뇌량
"오늘의AI위키"의 AI를 통해 더욱 풍부하고 폭넓은 지식 경험을 누리세요.
1. 개요
뇌량은 두 개의 대뇌 반구를 연결하는 신경 섬유 다발로, 뇌의 세로 틈새 바닥을 형성한다. 뇌량은 부리, 무릎, 몸통, 팽대부의 네 부분으로 구성되며, 각 부분은 서로 다른 뇌 영역을 연결한다. 뇌량은 좌우 반구의 정보를 통합하여 지각 경험을 형성하고, 양측 운동 협응을 가능하게 하며, 고차 인지 기능을 지원한다. 뇌량의 형태와 크기는 성별에 따라 차이가 있으며, 뇌량 무형성증, 뇌량 절제술, 다발성 경화증, 마르키아파바-비냐미병 등 다양한 질환과 관련이 있다.
더 읽어볼만한 페이지
뇌량 | |
---|---|
개요 | |
![]() | |
![]() | |
위치 | 두 대뇌반구 사이 |
길이 | 약 10cm |
구성 요소 | 뇌량 무릎 (Genu) 뇌량 부리 (Rostrum) 뇌량 몸통 (Trunk) 뇌량 팽대 (Splenium) |
기능 | 두 대뇌반구 사이의 의사소통을 촉진하여 정보 공유 및 운동, 감각 처리, 인지 과제와 같은 기능 조율 |
해부학 정보 | |
일부 | 인간의 뇌 |
동맥 | 해당 정보 없음 |
정맥 | 해당 정보 없음 |
시스템 | 해당 정보 없음 |
2. 구조
뇌량은 두 개의 대뇌 반구를 분리하는 세로 틈새의 바닥을 형성하며, 일부는 측뇌실의 지붕을 형성한다.[5] 뇌량은 좌우 반구를 결합하는 가장 중요한 교련 섬유로, 한쪽 반구에서 다른 쪽 반구로 신호를 전달한다. 좌우 반구는 뇌량 외에도 전교련, 후교련 등의 섬유로 결합되어 있다.
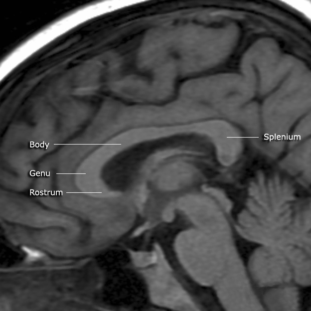
뇌량은 크게 부리, 무릎, 몸통, 팽대부의 네 부분으로 구성된다.[4] 앞부분은 전두엽을 향하며 무릎(genu)이라고 불린다. 무릎은 투명 중격 앞에서 아래쪽으로 구부러져 두께가 크게 줄어드는데, 이 얇은 부분은 부리(rostrum)라고 불린다. 부리는 뇌실 사이 구멍에서 시상 기저부의 오목까지 뻗어 있는 종판과 아래쪽에서 연결되어 있다. 뇌량의 뒷부분은 소뇌를 향하며 팽대부(splenium)라고 불린다. 팽대부는 뇌량 중 가장 두꺼운 부분이며, 셋째 뇌실의 맥락총과 중뇌를 덮고 있으며, 두껍고 볼록한 자유 경계로 끝난다. 뇌량의 몸통은 팽대부와 무릎 사이에 위치한다.
'''뇌량 고랑'''은 뇌량을 대상회에서 분리하는 고랑(신경 해부학)이다.
MRI 연구에 따르면 뇌량의 형태와 크기에는 성차가 있다는 보고가 있었고, 대뇌 용적과 비교한 상대적인 크기는 남성보다 여성이 더 큰 경향을 보였다. 다만, 대뇌 용적은 남성이 더 크고 뇌량 크기의 절대값에는 성차가 없다는 결과도 있으며, 뇌량 크기의 성차에 대한 부정적인 결과도 여러 건 제시되고 있다.
2. 1. 부위별 구조 및 기능
뇌량은 네 부분으로 구성되어 있으며, 각 부분은 서로 다른 대뇌 반구를 연결하는 신경 섬유로 이루어져 있다. 뇌량의 앞부분부터 순서대로 부리, 무릎, 몸통, 팽대부라고 부른다.[4]- 부리(rostrum): 뇌량의 가장 앞부분으로, 전두엽의 안와 영역을 연결한다. 부리는 부리와 닮아서 이름이 붙여졌다.
- 무릎(genu): 뇌량의 앞쪽 굽은 부분으로, 전두엽의 전전두피질을 연결하며, 앞쪽으로 굽어 전두엽으로 향하는 섬유 다발인 소집게(anterior forceps)를 형성한다.[4]
- 몸통(body): 팽대부와 무릎 사이에 위치하며, 운동 피질, 감각 피질, 두정엽 등 다양한 영역을 연결한다.
- 팽대부(splenium): 뇌량의 가장 뒷부분으로, 후두엽의 시각 피질을 연결하며, 뒤쪽으로 굽어 후두엽으로 향하는 섬유 다발인 대집게(posterior forceps)를 형성한다.[4] 팽대부는 뇌량 중 가장 두꺼운 부분이며, 셋째 뇌실의 맥락총과 중뇌를 덮고 있고, 두껍고 볼록한 자유 경계로 끝난다. 팽대부는 그리스어로 "붕대"를 의미한다.
몸통과 팽대부에서 나온 섬유는 함께 '''태피텀'''("융단")이라고 불리며, 각 측뇌실의 지붕을 형성한다.[6] tapetum과 앞교차는 좌우 측두엽을 연결하는 기능을 공유한다.
앞대뇌동맥은 뇌량의 아래 표면과 접촉하며, 무릎의 앞쪽을 아치형으로 덮고 몸통을 따라 뻗어나가 뇌량의 앞 5분의 4에 혈액을 공급한다.[7]
2. 2. 미세 구조
뇌량의 하위 영역에 있는 섬유의 크기, 수초화 정도, 밀도는 연결된 뇌 영역의 기능과 관련이 있다.[8] 수초화는 뉴런을 수초로 코팅하는 과정으로, 뉴런 간의 정보 전달을 돕는다. 이 과정은 개인의 30대까지 일어나며, 생애 첫 10년 동안 최고조에 달하는 것으로 여겨진다.[9] 얇고 가볍게 수초화된 섬유는 전도 속도가 느리며 전전두엽 영역과 연합 영역을 연결한다. 더 두껍고 빠르게 전도되는 섬유는 시각 및 운동 영역을 연결한다.[10]트랙토그램은 뇌량의 여섯 개 부분에서 나온 신경로를 보여주며, 대뇌 반구 사이의 피질 영역을 연결한다. 무릎 부분은 산호색, 전운동 영역은 녹색, 감각-운동 영역은 보라색, 두정엽은 분홍색, 측두엽은 노란색, 융해 부분은 파란색으로 표시된다.[11]
무릎 부분의 더 얇은 축삭은 뇌의 두 반구 사이의 전전두피질을 연결한다. 이러한 섬유는 테페툼(tapetum)에서 갈라져 나온 섬유 묶음인 소집게(forceps minor)에서 기원한다. 뇌량의 몸통 부분에 있는 더 두꺼운 축삭은 운동 피질 영역을 상호 연결하며, 브로카 영역을 포함한 보조 운동 영역에 뇌량의 더 많은 부분이 할당된다. 융해 부분은 두 반구의 두정엽과 후두엽의 시각 피질 사이에 체감각 정보를 전달한다. 이들은 대집게(forceps major)의 섬유이다.[12][13]
3. 발생
뇌량은 사람의 태아 발달 12주경, 또는 쥐의 배아 발생 15일경에 최초의 개척자 축삭이 정중선을 가로지르면서 형성되기 시작한다.[26][27] 뇌량은 신경관에서 발생하며, 뇌의 회전에 따라 문측과 미측에서 둥글게 굽어진다. 뇌량 섬유의 수초화는 천천히 일어나며, 완전히 수초화되는 것은 사춘기 무렵이다. 수초화는 뇌량의 후부에서 전부로 진행된다.
4. 기능
뇌량은 대뇌 반구를 분리하는 세로 틈새의 바닥을 형성하며, 측뇌실의 지붕 일부를 구성한다.[5] 뇌량은 부리, 무릎, 몸통, 팽대부의 네 부분으로 구성되며, 각 부분은 반구의 다른 부분을 연결하는 개별 신경 섬유를 가진다.[4] 몸통과 팽대부에서 나온 섬유는 '''태피텀'''("융단")이라고 불리며, 각 측뇌실의 지붕을 형성한다.[6]
뇌량 앞부분은 전두엽을 향하며 무릎(genu)이라고 불린다. 무릎은 투명 중격 앞에서 아래쪽으로 구부러져 두께가 크게 줄어드는데, 이 얇은 부분은 부리(rostrum)라고 불린다.[4] 뇌량 뒷부분은 소뇌를 향하며 팽대부(splenium)라고 불리는데, 가장 두꺼운 부분이다.[4] 뇌량 몸통은 팽대부와 무릎 사이에 위치한다. '''뇌량 고랑'''은 뇌량을 대상회에서 분리하는 고랑(신경 해부학)이다.
뇌량 양쪽에서 섬유는 백색질에서 방사형으로 뻗어 나와 다양한 부위의 대뇌피질로 연결된다. 무릎에서 앞으로 굽어 전두엽으로 향하는 섬유는 작은 집게(anterior forceps)를 형성하고, 뇌들보에서 뒤로 굽어 후두엽으로 향하는 섬유는 큰 집게(posterior forceps)를 형성한다.[4] 이 두 부분 사이에는 섬유의 주요 부분이 있으며, 이는 tapetum을 형성하여 측면으로 뻗어 나가 측두엽으로 연결되고 가쪽뇌실 중앙 부분을 덮는다. tapetum과 앞교차는 좌우 측두엽을 연결하는 기능을 공유한다.
앞대뇌동맥은 뇌량 아래 표면과 접촉하며, 무릎 앞쪽을 아치형으로 덮고 몸통을 따라 뻗어 나가 뇌량 앞 5분의 4에 혈액을 공급한다.[7]
4. 1. 주요 기능
뇌량은 좌우 대뇌 반구를 연결하는 신경 섬유 다발로, 다양한 기능을 수행한다. 뇌량 하위 영역에 있는 섬유의 크기, 수초화 정도, 밀도는 연결된 뇌 영역의 기능과 관련이 있다.[8] 수초화는 뉴런 간의 정보 전달을 돕는 과정으로, 30대까지 일어나며 생애 첫 10년 동안 최고조에 달한다.[9]- 감각 정보 통합: 좌우 반구의 체감각, 시각, 청각 정보를 통합하여 완전한 지각 경험을 형성한다. 특히 융해 부분은 두 반구의 두정엽과 후두엽의 시각 피질 사이에 체감각 정보를 전달한다.[12]
- 운동 조절: 좌우 반구의 운동 피질을 연결하여 양측 운동 협응과 조절을 가능하게 한다. 뇌량의 몸통 부분에 있는 더 두꺼운 축삭은 운동 피질 영역을 상호 연결하며, 브로카 영역을 포함한 보조 운동 영역에 뇌량의 더 많은 부분이 할당된다.[12]
- 인지 기능: 전전두피질, 두정엽, 측두엽 등 고차 인지 기능을 담당하는 영역을 연결하여 주의 집중, 기억, 언어, 실행 기능 등 다양한 인지 과정을 지원한다. 무릎 부분의 더 얇은 축삭은 뇌의 두 반구 사이의 전전두피질을 연결한다.[12]
- 학습 및 기억: 좌우 반구 간의 정보 교환을 통해 새로운 정보를 학습하고 장기 기억으로 저장하는 데 기여한다. 5세에서 18세 사이의 청소년을 대상으로 한 연구에서 나이와 뇌량 두께 사이에 양의 상관관계가 있는 것으로 나타났다.[3]
뇌량 섬유는 교련 섬유이며, 특정 피질 영역에서 반대쪽의 동일한 영역 또는 반대쪽의 다른 영역으로 신호를 전달한다. 뇌량의 부위와 그곳을 통과하는 신경 섬유가 연결하는 뇌의 부위는 어느 정도 위치적으로 대응한다. 예를 들어 뇌량 앞부분(뇌량 슬)은 좌우의 전전두엽을, 중간 부분은 좌우의 운동 영역을, 뒷부분은 좌우의 시각야를 연결하는 섬유로 구성되어 있다. 좌우 반구에서 연락이 많은 곳과 적은 곳이 있는데, 예를 들어 손발의 감각 영역은 반구 간의 연락을 전혀 갖지 않지만, 시각 연합야는 좌우에서 밀접하게 연락하고 있다.

얇고 가볍게 수초화된 섬유는 전도 속도가 느리며 연합 영역과 전전두엽 영역을 연결한다. 더 두껍고 빠르게 전도되는 섬유는 시각 및 운동 영역을 연결한다.[10]
5. 임상적 의의
뇌량은 다양한 신경학적, 정신과적 질환과 관련이 있다. 뇌량의 손상 또는 기능 이상은 다양한 신경학적, 인지적, 행동적 문제를 유발할 수 있다.
뇌량 무형성증 (ACC)은 뇌량이 부분적으로 또는 완전히 없는 드문 선천적 장애이다.[30] 초기 증상으로는 간질 발작이 있으며, 수유 문제, 머리 가누기, 앉기, 서기, 걷기 지연 등이 나타날 수 있다. 정신적, 신체적 발달 장애, 손과 눈의 협응, 시각 및 청각 기억력 저하 등도 나타날 수 있다.[30] 뇌량 무형성증 외에도 뇌량 저형성, 뇌량 이형성, 뇌량 저발달과 같은 상태가 있다.
뇌량 기형과 자폐 스펙트럼 장애 사이에 상관관계가 있을 수 있다는 연구 결과도 있다.[32][33]
뇌전증의 경우 뇌량을 통해 신호가 격렬하게 오가는 병형이 있는데, 뇌량 일부를 절단하는 뇌량 절제술을 시행하기도 한다. 그러나 뇌량 절제술은 침습 정도가 커서 최근에는 약물 요법으로 대체되는 추세이다. 뇌량 절제술로 좌우 대뇌 반구가 분리된 상태를 분리뇌라고 하며, 분리뇌 환자를 통해 다양한 인지신경과학적 지견을 얻고 있다.
5. 1. 뇌량 관련 질환
뇌량과 관련된 질환은 다음과 같다.- 뇌량 무형성증(ACC): 뇌량이 선천적으로 없거나 부분적으로만 형성된 상태이다. 발달 지연, 지적 장애, 경련, 시각 및 청각 문제 등을 일으킬 수 있다.[30] 아이카르디 증후군, 안더만 증후군, 샤피로 증후군, 아크로칼로설 증후군과 같은 증후군과 함께 나타나기도 한다.[30] 킴 피크는 서번트이자 영화 ''레인 맨''의 영감의 원천으로, FG 증후군의 일부로 뇌량 무형성증이 발견되었다. 뇌량 무형성증 외에도 뇌량 저형성, 뇌량 이형성, 뇌량 저발달과 같은 비슷한 상태들이 있다.
- 뇌량 절제술: 난치성 간질 치료를 위해 뇌량의 일부 또는 전체를 절단하는 수술이다. 뇌의 한쪽에서 발생한 뇌전증 초점이 반구 간 전기적 폭풍을 일으켜 발생하는 발작 또는 대발작의 경우에 시행된다. 뇌파도, MRI, PET 스캔 등의 검사를 통해 진단한다.
- 분리뇌: 뇌량 절제술로 인해 좌우 대뇌 반구가 분리된 상태를 말한다. 분리뇌 환자를 통해 다양한 인지신경과학적 지견을 얻고 있다.
- 다발성 경화증(MS): Dawson's fingers 징후를 보이는 뇌량 병변을 동반하는 경우가 많다.
- 마르키아파바-비냐미병: 만성 알코올 중독 환자에게서 주로 발생하며, 비타민 B군 결핍이 원인으로 추정된다. 뇌량에 병변이 잘 나타난다.
- 급성 파종성 뇌척수염(ADEM): 감염 후 발생하는 자가면역 질환으로, 뇌량 병변을 보인다.
- 일과성 뇌량 팽대부 병변(reversible splenial lesion syndrome, RESLES): 뇌량 팽대부에 일시적인 병변이 나타나는 질환이다. 페니토인, 카르바마제핀과 같은 항경련제 투여, 뇌염(감염성, 약물성), 뇌증, 대사 이상(알코올 중독, 영양 불량 등), 혈관염(SLE 등), 신부전, 전해질 대사 이상, 경련 중첩, 외상 등 다양한 원인으로 발생할 수 있다. 원인이 제거되면 대개 1주일 정도면 영상에서 병변이 사라지는 등 예후가 좋다.
- 가역성 뇌량 팽대부 병변(mild encephalitis/encephalopathy with a reversible splenial lesion: MERS): 뇌염, 뇌증 증상과 함께 나타나는 뇌량 팽대부 병변으로, 대부분 DWI에서 고신호를 보이며, Gd 조영 효과를 보이지 않는다. 대개 1주일 이내, 길어도 1개월 이내에 이상 신호 영역이 사라지는 예후가 좋은 질환으로 알려져 있다.
- 기타: 이질 손 증후군, 난독증(작문 불능증 없이), 무동성 무언증, 명칭 실어증, 시신경 중격 이형성증, 서색 증후군
- 뇌혈관 장애: 경색이 생길 수 있으며, 뇌량 팽대부가 경색의 호발 부위이다. 특히 CADASIL 증례에서 많이 나타난다.
- 종양: 교아세포종, 성상세포종, 배세포종과 같은 뇌종양, 악성 림프종, 전이성 뇌종양에서 뇌량 병변이 나타날 수 있다.
- 미만성 축삭 손상: 미만성 축삭 손상(DAI)에서는 뇌량에 T2 연장 병변이 나타난다.
6. 성별 및 좌우수와의 관계
뇌량과 성별 간의 관계는 오랜 기간 과학계와 대중 사이에서 논쟁의 대상이었다. 20세기 초반의 초기 연구에서는 뇌량의 크기가 남성과 여성 간에 다르다고 주장했지만, 이후 더 발전된 영상 기술을 통해 이러한 주장은 의문을 제기받았다. 그러나 1990년대 계산 신경해부학의 발전으로 뇌량의 특정 부분에서 성별 차이가 명확히 나타나고, 이는 특정 인지 능력과 상관관계가 있다는 것이 밝혀졌다.[14] 한 MRI 연구에서는 뇌 크기를 보정한 후, 정중 시상 뇌량 단면적이 평균적으로 여성에서 비례적으로 더 크다는 결과가 나왔다.[15]
MRI 기기의 확산 텐서 시퀀스를 사용하면 이방성을 측정할 수 있는데, 이는 해부학적 연결 강도의 간접적인 측정값으로 사용된다. 이러한 시퀀스를 통해 인간 뇌량의 형태와 미세 구조에서 일관된 성별 차이가 발견되었다.[16][17][18]
형태 및 크기 분석은 MRI를 이용한 특정 3차원 수학적 관계 연구에도 사용되었으며, 성별 간에 일관되고 통계적으로 유의미한 차이가 발견되었다.[19][20] 특정 알고리즘은 한 검토에서 70% 이상의 경우에서 두 성별 간에 유의미한 차이를 발견했다.[21]
트랜스젠더의 뇌량 크기와 구조에 대한 2005년 연구에서는, 그들의 뇌량 구조가 할당된 성별보다 선언된 성별에 더 일치하는 것으로 나타났다.[21]
한 연구에 따르면, 사람의 뇌량 앞부분은 왼손잡이와 양손잡이가 오른손잡이보다 0.75cm2 또는 11% 더 컸다.[23][22] 이러한 차이는 뇌량의 앞쪽과 뒤쪽 영역에서 나타났지만, 뇌량의 비장에서는 나타나지 않았다.[23] 그러나 2022년의 메타 분석에서는 뇌량의 크기가 왼손잡이, 오른손잡이, 양손잡이와 관련하여 실질적인 차이가 없다는 것을 확인했다.[24] 다른 연구자들은 손 사용 정도가 뇌량의 크기와 반비례 관계에 있으며, 양손을 모두 능숙하게 사용하는 개인의 뇌량이 가장 크고, 왼손 또는 오른손잡이의 경우 그 반대임을 주장한다.[25]
뇌량에 대한 성별 관련 첫 연구는 필라델피아 해부학자인 R. B. 빈에 의해 수행되었으며, 그는 1906년에 "뇌량의 예외적인 크기는 예외적인 지적 활동을 의미할 수 있다"고 주장하며 남성과 여성 사이에 측정 가능한 차이가 있다고 제안했다. 그는 다양한 인종 간의 뇌량 크기 차이도 주장했지만, 그의 연구는 자신의 연구소 책임자인 프랭클린 몰에 의해 반박되었다.[35]
1982년 할로웨이와 Utamsing이 발표한 ''사이언스'' 논문은 인간 뇌 형태의 성별 차이를 제안하며 인지 능력의 차이와 관련이 있다고 주장했다.[36] ''타임''은 1992년에 뇌량이 "여성의 뇌에서 남성의 뇌보다 더 넓은 경우가 많기 때문에 두 반구 사이의 더 큰 상호 작용을 허용하여 여성의 직관의 기반이 될 수 있다"고 제안하는 기사를 게재했다.[37]
이후 심리학 문헌에 게재된 논문들은 뇌량의 해부학적 크기가 실제로 다른지에 대해 의문을 제기했다. 1980년 이후 49개의 연구에 대한 메타 분석 결과, 남성의 더 큰 뇌 크기를 고려하든 그렇지 않든 뇌량 크기에서 성별 차이를 찾을 수 없었다.[35] 2006년의 얇은 단층 MRI를 사용한 연구는 대상의 크기를 고려했을 때 뇌량의 두께에 차이가 없음을 보여주었다.[38]
참조
[1]
논문
"[Morphologic anatomy of the corpus callosum]."
1998-05
[2]
웹사이트
Corpus callosum
https://qbi.uq.edu.a[...]
2017-11-10
[3]
논문
The Development of the Corpus Callosum in the Healthy Human Brain
2010-08-18
[4]
웹사이트
Corpus callosum {{!}} Radiology Reference Article {{!}} Radiopaedia.org
https://radiopaedia.[...]
[5]
서적
Core text of neuroanatomy
Williams & Wilkins
1985
[6]
논문
An anatomical review of the corpus callosum.
1970-03
[7]
서적
Adams and Victor's Principles of Neurology
McGraw-Hill
2014
[8]
논문
Neuroimaging techniques offer new perspectives on callosal transfer and interhemispheric communication.
2008-09
[9]
논문
Increased Corpus Callosum Size in Musicians
2010-04-10
[10]
논문
Brain connections: interhemispheric fiber systems and anatomical brain asymmetries in humans.
1992
[11]
웹사이트
NIAAA Publications
https://pubs.niaaa.n[...]
2018-09-17
[12]
논문
Evolution amplified processing with temporally dispersed slow neuronal connectivity in primates
[13]
논문
Topography of the human corpus callosum revisited—Comprehensive fiber tractography using diffusion tensor magnetic resonance imaging
[14]
논문
Sex differences in anatomic measures of interhemispheric connectivity: Correlations with cognition in women but not men
[15]
논문
Sexual Dimorphism in the Human Corpus Callosum: An MRI Study Using the OASIS Brain Database
[16]
논문
Characterization of sexual dimorphism in the human corpus callosum
[17]
논문
Effects of handedness and gender on macro- and microstructure of the corpus callosum and its subregions: A combined high-resolution and diffusion-tensor MRI study
[18]
논문
Sex differences in the human corpus callosum: Diffusion tensor imaging study
[19]
논문
Morphometric analysis of brain images with reduced number of statistical tests: A study on the gender-related differentiation of the corpus callosum
[20]
논문
Sexual dimorphism of the human corpus callosum: Digital morphometric study
[21]
서적
2005 IEEE Engineering in Medicine and Biology 27th Annual Conference
[22]
논문
The influence of sex, age, and handedness on corpus callosum morphology: A meta-analysis
[23]
논문
The brain connection: The corpus callosum is larger in left-handers
[24]
논문
Handedness and midsagittal corpus callosum morphology: a meta-analytic evaluation
[25]
논문
When more is less: Associations between corpus callosum size and handedness lateralization
2010-08-01
[26]
논문
Development of the corpus callosum and cavum septi in man.
1968-01
[27]
논문
A role for cingulate pioneering axons in the development of the corpus callosum.
2001-05-28
[28]
논문
Corpus callosotomy: A palliative therapeutic technique may help identify resectable epileptogenic foci
[29]
웹사이트
WebMd Corpus Callotomy
http://www.webmd.com[...]
Web MD
2010-07-18
[30]
논문
Absence makes the search grow longer
[31]
웹사이트
NINDS Agenesis of the Corpus Callosum Information Page: NINDS
http://www.rightdiag[...]
2011-08-30
[32]
논문
Deficit of corpus callosum axons, reduced axon diameter and decreased area are markers of abnormal development of interhemispheric connections in autistic subjects
2018-12-19
[33]
웹사이트
Autism May Involve A Lack Of Connections And Coordination In Separate Areas Of The Brain, Researchers Find
http://www.medicalne[...]
[34]
웹사이트
Cytotoxic lesions of the corpus callosum
https://radiopaedia.[...]
2024-10-27
[35]
논문
Sex Differences in the Human Corpus Callosum: Myth or Reality?
http://libres.uncg.e[...]
[36]
논문
Sexual dimorphism in the human corpus callosum
[37]
간행물
Sizing up the sexes
1992-01-20
[38]
논문
Gender effects on callosal thickness in scaled and unscaled space
[39]
논문
Absence of the Corpus callosum as a Mendelizing Character in the House Mouse
[40]
서적
Malformations of the Nervous System: Handbook of Clinical Neurology
https://books.google[...]
[41]
서적
The Neurobiology of Australian Marsupials: Brain Evolution in the Other Mammalian Radiation
https://books.google[...]
[42]
서적
Marsupials
https://books.google[...]
[43]
서적
Comparative Vertebrate Neuroanatomy: Evolution and Adaptation
https://books.google[...]
[44]
서적
Human anatomy; a complete systematic treatise
New York: Blakiston.
[45]
논문
Sexual dimorphism in the human corpus callosum
http://www.ncbi.nlm.[...]
[46]
논문
Sex differences in the human corpus callosum: myth or reality?
http://www.ncbi.nlm.[...]
[47]
논문
Sex differences in the human corpus callosum: myth or reality?
http://psy2.ucsd.edu[...]
1997-09
[48]
논문
Effects of handedness and gender on macro- and microstructure of the corpus callosum and its subregions: a combined high-resolution and diffusion-tensor MRI study
http://www.ncbi.nlm.[...]
2004-11
[49]
논문
Sex differences in the human corpus callosum: diffusion tensor imaging study
http://www.ncbi.nlm.[...]
2005-05-31
[50]
논문
Size matters: cerebral volume influences sex differences in neuroanatomy
http://www.ncbi.nlm.[...]
2008-12
[51]
논문
Behavioral correlates of corpus callosum size: anatomical/behavioral relationships vary across sex/handedness groups
http://www.ncbi.nlm.[...]
2009-10
본 사이트는 AI가 위키백과와 뉴스 기사,정부 간행물,학술 논문등을 바탕으로 정보를 가공하여 제공하는 백과사전형 서비스입니다.
모든 문서는 AI에 의해 자동 생성되며, CC BY-SA 4.0 라이선스에 따라 이용할 수 있습니다.
하지만, 위키백과나 뉴스 기사 자체에 오류, 부정확한 정보, 또는 가짜 뉴스가 포함될 수 있으며, AI는 이러한 내용을 완벽하게 걸러내지 못할 수 있습니다.
따라서 제공되는 정보에 일부 오류나 편향이 있을 수 있으므로, 중요한 정보는 반드시 다른 출처를 통해 교차 검증하시기 바랍니다.
문의하기 : help@durumis.com