맨위로가기

바깥목동맥

"오늘의AI위키"는 AI 기술로 일관성 있고 체계적인 최신 지식을 제공하는 혁신 플랫폼입니다.
"오늘의AI위키"의 AI를 통해 더욱 풍부하고 폭넓은 지식 경험을 누리세요.

1. 개요

바깥목동맥은 머리와 목 부위에 혈액을 공급하는 동맥이다. 속목동맥과 비교하여 크기가 다르며, 목을 따라 올라가면서 위치가 변한다. 바깥목동맥은 피부, 근막, 근육 등에 의해 덮여 있으며, 여러 신경과 정맥, 근육과 교차한다. 바깥목동맥은 위갑상선동맥, 오름인두동맥, 혀동맥, 얼굴동맥, 뒤통수동맥, 뒤귓바퀴동맥 등의 가지를 내며, 위턱동맥과 얕은관자동맥으로 끝난다. 상갑상선동맥은 갑상샘하동맥과, 얼굴동맥은 눈동맥과, 뒤귓바퀴동맥은 뒤통수동맥과, 얕은관자동맥은 눈물샘동맥 및 눈꺼풀동맥과 문합한다. 도플러 초음파, CT 혈관조영술, PC-MRI 등을 통해 바깥목동맥의 상태를 평가하며, 혈류 속도를 측정하여 협착 여부를 판단한다.

더 읽어볼만한 페이지

  • 두경부 동맥 - 뇌바닥동맥
    뇌바닥동맥은 양쪽 척추동맥이 합쳐져 형성되는 굵은 동맥으로, 숨뇌와 다리뇌 사이에서 시작하여 중간뇌와 다리뇌 사이에서 두 개의 뒤대뇌동맥으로 갈라지며, 주요 가지로는 앞아래소뇌동맥, 미로동맥, 다리뇌동맥, 위소뇌동맥 등이 있다.
  • 두경부 동맥 - 맨아래갑상동맥
    맨아래갑상동맥은 갑상샘, 기관, 부갑상샘에 혈액을 공급하는 드문 동맥으로, 팔머리동맥에서 주로 시작되며 크기, 기능, 시작 지점 등에서 변이가 많고 수술 시 출혈 위험에 주의해야 한다.
바깥목동맥
개요
외경동맥은 총경동맥에서 기원하여 얼굴과 목의 구조물에 혈액을 공급함.
외경동맥은 총경동맥에서 기원하여 얼굴과 목의 구조물에 혈액을 공급함.
기원총경동맥
분지상갑상샘동맥
혀동맥
얼굴동맥
오름인두동맥
뒤통수동맥
뒤귓바퀴동맥
턱동맥
얕은관자동맥
선구1번 및 2번 대동맥활
추가 정보
메시명Carotid Artery, External
메시 번호A07.231.114.186.200.210
도를란드 사전 접두사a_61
도를란드 사전 접미사12153668

2. 구조

바깥목동맥은 피부, 표재근막, 넓은목근, 심재근막, 흉쇄유돌근 앞쪽 가장자리를 덮는다. 설하신경, 설신경, 혀밑신경, 설동맥, 총안면정맥, 상갑상선정맥과 교차하며, 턱이복근과 경돌설골근을 경유한다. 이하선 안을 통과하여 위로 향하며, 얼굴신경 및 측두정맥과 위턱정맥의 합류 지점 심부를 통과한다.

바깥목동맥 내측에는 목뿔뼈, 인두벽, 상후두신경, 이하선의 일부가 있다. 측방의 낮은 위치에는 속목동맥이 있다.

바깥목동맥의 후방에는, 온목동맥에서 갈라지는 부분 근처에 상후두신경이 있다. 더 높은 곳에서는 경돌설근과 경돌인두근에 의해 속목동맥이 갈라지며, 혀인두신경미주신경 인두 가지, 이하선의 일부가 있다.

2. 1. 발달

어린이는 속목동맥보다 바깥목동맥이 조금 더 작지만, 성인은 두 동맥의 크기가 거의 같다. 바깥목동맥은 갑상연골 위쪽 경계 바로 아래의 온목동맥에서 기원한다.[1] 바깥목동맥은 속목동맥보다 피부에 더 가깝고, 목동맥삼각 내에 내측으로 위치한다.

2. 2. 위치 관계

바깥목동맥은 앞쪽 위로 굽어 올라가 아래턱뼈의 목 뒤 공간에 도달하기 위해 뒤쪽으로 기울어지며, 그곳에서 귀밑샘 내에서 얕은관자 동맥과 위턱 동맥으로 나뉜다.[2]

목을 따라 올라갈수록 가지의 수와 크기가 커지면서 크기가 빠르게 줄어든다. 기시부에서 바깥목동맥은 속목동맥보다 내측에 위치하며, 목을 따라 올라가면서 속목동맥보다 더 외측에 놓이게 된다.[2]

바깥목동맥은 피부, 얕은 근막, 넓은목근, 깊은 근막, 그리고 흉쇄유돌근의 앞쪽 가장자리에 의해 덮여 있다. 이는 설하신경, 설정맥, 설하정맥, 얼굴 정맥, 상갑상선 정맥에 의해 교차되며, 두힘살근 및 턱설골근에 의해 교차된다. 위로 올라갈수록 귀밑샘의 실질 깊숙이 통과하며, 여기서 얼굴신경과 관자정맥 및 안쪽 위턱정맥의 접합부 깊숙이에 위치한다.[2]

내측에는 목뿔뼈, 인두의 벽, 상후두 신경, 그리고 귀밑샘의 일부가 있다.[2]

기시부 근처의 뒤쪽에는 상후두 신경이 있으며, 더 위쪽에서는 붓설근 및 붓인두근, 혀인두신경, 미주신경의 인두 가지, 그리고 귀밑샘의 일부에 의해 속목동맥으로부터 분리된다.[2]

3. 가지

바깥목동맥의 가지.


바깥목동맥은 위로 올라가면서 다음과 같은 가지를 낸다.[3]

  • 목동맥삼각에서:
  • 위갑상선동맥 - 앞쪽에서 기시
  • 오름인두동맥 - 안쪽 또는 깊은 쪽에서 기시
  • 혀동맥 - 앞쪽에서 기시
  • 얼굴동맥 - 앞쪽에서 기시
  • 뒤통수동맥 - 뒤쪽에서 기시
  • 뒤귓바퀴동맥 - 뒤쪽에서 기시


바깥목동맥은 다음 두 개의 가지로 끝난다.

  • 위턱동맥
  • 얕은관자동맥

3. 1. 문합

상갑상샘동맥은 갑상샘하동맥과 문합하며, 갑상샘하동맥은 쇄골하동맥의 갑상목동맥에서 기원한다.[2]

얼굴동맥의 종말 가지는 내경동맥의 눈동맥과 문합한다.[2]

뒤귓바퀴동맥은 바깥목동맥의 다른 가지인 뒤통수동맥과 문합한다.[2]

얕은관자동맥의 가지 중 하나는 눈물샘동맥 및 눈꺼풀동맥과 문합한다.[2]

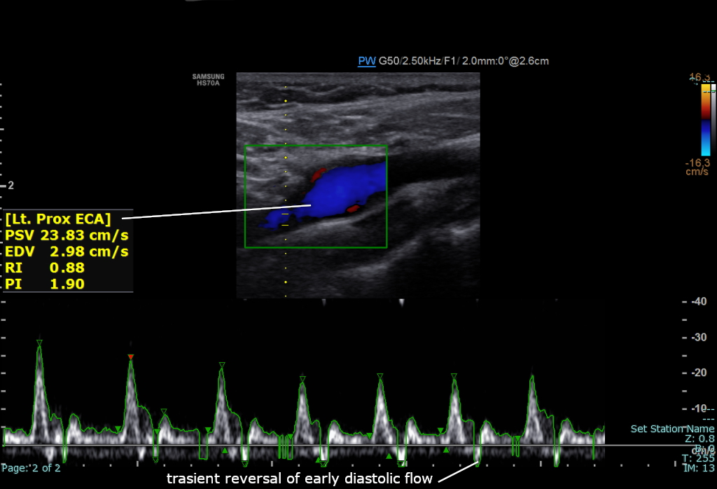
4. 진단

정상적인 스펙트럼 도플러 초음파를 사용한 왼쪽 바깥목동맥


바깥목동맥의 상태와 건강은 도플러 초음파, CT 혈관조영술, 위상 대비 자기 공명 영상(PC-MRI)을 사용하여 평가한다. 바깥목동맥의 혈류 속도는 최고 수축기 속도(PSV)와 이완기 말 속도(EDV)로 측정된다.[4]

PSV 값이 200cm/s를 초과하면 바깥 목동맥 협착의 50% 이상을 예측하는 것으로 간주된다.[5]

참조

[1] 웹사이트 Dictionnaire médical de l'Académie de Médecine https://www.academie[...] 2024-05-09
[2] 서적 Anatomy for diagnostic imaging Elsevier Ltd 2011
[3] 웹사이트 Human Anatomy – Lab 25 Step 12 http://ect.downstate[...]
[4] 논문 General principles of carotid Doppler ultrasonography 2014-01
[5] 논문 Peak systolic velocity and color aliasing are important in the development of duplex ultrasound criteria for external carotid artery stenosis 2020-09
[6] 사전 external carotid artery https://www.kmle.co.[...] 대한의협 의학용어 사전, 대한해부학회 의학용어 사전



본 사이트는 AI가 위키백과와 뉴스 기사,정부 간행물,학술 논문등을 바탕으로 정보를 가공하여 제공하는 백과사전형 서비스입니다.
모든 문서는 AI에 의해 자동 생성되며, CC BY-SA 4.0 라이선스에 따라 이용할 수 있습니다.
하지만, 위키백과나 뉴스 기사 자체에 오류, 부정확한 정보, 또는 가짜 뉴스가 포함될 수 있으며, AI는 이러한 내용을 완벽하게 걸러내지 못할 수 있습니다.
따라서 제공되는 정보에 일부 오류나 편향이 있을 수 있으므로, 중요한 정보는 반드시 다른 출처를 통해 교차 검증하시기 바랍니다.

문의하기 : help@durumis.com