맨위로가기

중피종

"오늘의AI위키"는 AI 기술로 일관성 있고 체계적인 최신 지식을 제공하는 혁신 플랫폼입니다.
"오늘의AI위키"의 AI를 통해 더욱 풍부하고 폭넓은 지식 경험을 누리세요.

1. 개요

중피종은 주로 흉막, 복막, 심막 등에서 발생하는 악성 종양이다. 주요 원인은 석면 노출이며, 20~50년의 긴 잠복기를 거쳐 발병한다. 종류는 발생하는 부위와 조직학적 아형에 따라 분류되며, 상피형, 육종형, 이형성 등이 있다. 진단은 영상 검사, 생검, 면역조직화학 검사 등을 통해 이루어지며, 병기는 TNM 분류에 따라 결정된다. 치료는 수술, 항암화학요법, 방사선 치료, 면역요법 등을 병행하며, 예후는 좋지 않다. 한국은 과거 석면 사용으로 인해 중피종 환자가 발생하여 석면피해구제법이 제정되었으며, 조기 진단 및 치료를 위한 연구가 진행 중이다.

더 읽어볼만한 페이지

  • 석면 - 각섬석
    각섬석은 단사정계 또는 사방정계에 속하는 이중 사슬 규산염 광물로, 다양한 화학 조성과 광물학적 특징을 가지며, 약 120°의 사교 쪼개짐을 보이는 것이 특징이고, 화성암과 변성암에서 흔히 발견되며, 일부는 석면으로 분류되어 호흡기 질환을 유발할 수 있다.
  • 석면 - 녹섬석
    녹섬석은 투각섬석과 철녹섬석 사이의 고용체 계열 광물로, 변성암에서 주로 발견되며 섬유상 형태는 석면의 일종이고 일부는 보석으로 사용된다.
  • 가슴막 관련 질환 - 흉수
    흉수는 흉강 내 액체 축적 현상으로, 누출성 및 삼출성으로 분류되며 심부전, 폐렴, 암 등 다양한 질환이 원인이 되고, 흉강 천자 등을 통해 진단하며 기저 질환 치료 및 흉강 천자 등의 치료를 시행한다.
  • 가슴막 관련 질환 - 혈흉
    혈흉은 흉부 외상, 의인성 손상, 종양 등으로 흉막강 내에 혈액이 축적되어 폐의 움직임을 방해하고 저혈량성 쇼크를 유발할 수 있으며, 흉부 X선, 초음파, CT 스캔 등으로 진단하고 흉관삽입술, 수액 보충, 수술 등으로 치료한다.
중피종
기본 정보
왼쪽 중피종, 종격동 림프절 비대 CT 스캔
왼쪽 중피종과 종격동 림프절 비대를 보여주는 CT 스캔
분야종양학
증상숨가쁨
붓기 있는 복부
가슴벽 통증
기침
피로감
체중 감소
합병증폐 주위 체액
발병 시기점진적인 발병
원인석면 노출 후 약 40년
위험 요인유전학, 가능성 있음
시미안 바이러스 40 감염 가능성
진단의료 영상
암으로 생성된 체액 검사
조직 생검
예방석면 노출 감소
치료수술
방사선 치료
화학 요법
흉막 유착술
예후5년 생존율 약 8–12% (미국, 인종별 차이 있음)
유병률2015년 60,800명
사망자2015년 32,400명
기타
동의어악성 중피종

2. 종류

중피종은 주로 발생하는 부위에 따라 다음과 같이 분류된다.


  • 흉막: 흉막중피종(70%)
  • 복막: 복막중피종(20%)
  • 심막: 심막중피종(0.5%)[1]


폐암의 일종이라고 설명하는 사람이 있지만, 폐가 아닌 흉막에 발생하는 질환이다.[1]

3. 원인

중피종의 가장 흔한 원인은 석면 노출이다.[18] 석면 노출과 중피종 발병 사이에는 25년에서 70년 사이의 긴 잠복기가 존재하며, 15년 미만은 드물고 30~40년에 정점에 달한다.[34][50][35] 단 1~3개월의 짧은 석면 노출만으로도 중피종이 발생한 사례가 보고되었다.[36][37]

석면은 19세기 후반부터 상업적으로 널리 사용되었으며, 제2차 세계 대전 중 사용량이 크게 증가했다. 1940년대 초부터 수백만 명의 미국 노동자들이 석면 먼지에 노출되었고, 해군, 조선소, 석면 광산 및 제분소, 석면 제품 생산, 난방 및 건설 산업 근로자 등에게서 중피종 발생 위험이 증가했다.

미국 직업안전보건청(OSHA)과 환경보호청(EPA)은 대부분의 석면 관련 질환을 예방하기 위한 규정을 마련했지만, 중피종 예방에는 충분하지 않다고 명시하고 있다. 영국 정부의 보건안전청(HSE)도 석면 노출에 대한 안전한 임계값이 존재하지 않는다고 가정한다.[32]

석면은 시멘트, 브레이크 라이닝, 개스킷, 지붕 싱글, 바닥재, 섬유 및 단열재 등 다양한 산업 제품에 사용되었다.[38] 서호주주 위트넘에서의 석면 채굴(1937~1966년)은 1960년에 최초의 중피종 사례를 발생시켰고, 1994년까지 539명의 사망자가 보고되었다.[39]

석면 작업자의 가족 구성원도 작업자의 옷이나 머리카락에 묻은 석면 먼지로 인해 중피종 위험이 증가한다.[5][40][41] 영국에서는 1999년에 크리소타일(chrysotile) 석면 사용이 금지되었고, 갈색 석면(Brown asbestos)과 청석면(Riebeckite, blue asbestos)은 1985년에 금지되었다.[42]

석면 외에도 에리오나이트(Erionite)는 석면과 유사한 성질을 가진 제올라이트(zeolite) 광물로, 중피종을 유발하는 것으로 알려져 있다.[5] 터키, 미국, 멕시코에서 에리오나이트는 중피종과 관련이 있으며, 미국 국립독성물질프로그램(National Toxicology Program)에 의해 "인체 발암물질"로 지정되었다.[22]

드물게 중피종은 흉부 또는 복부의 방사선 조사, 토로트라스트(Thorotrast), 활석(talc)과 같은 다른 섬유상 규산염의 흡입과도 관련이 있다.[5][96] 일부 연구에서는 SV40(simian virus 40)가 중피종 발생에 보조인자(cofactor) 역할을 할 수 있다고 제시하지만, 결론적이지 않다.[44][46][47]

일본에서는 청석면(크로시도라이트)이나 갈석면(아모사이트)이 백석면(크리소타일)보다 발암성이 높다고 여겨진다. 석면 노출은 직업적인 경우가 대부분이지만, 석면 사업장 인근 주민이나 노동자 가족에게도 환자가 발생하며, 환경적 노출과의 관련성이 강하게 의심된다.

4. 역학

전 세계적으로 중피종 발생률은 국가마다 다르다. 튀니지와 모로코에서는 100만 명당 1명 미만으로 낮은 발생률을 보이는 반면, 영국, 오스트레일리아, 벨기에에서는 100만 명당 연간 30명으로 가장 높은 발생률을 보인다.[89] 폐암 발생률이 100만 명당 1,000명을 초과할 수 있는 높은 흡연율을 보이는 인구와 비교하면, 중피종은 상대적으로 드문 암이다.[89] 악성 중피종의 발생률은 지난 수십 년 동안 인구의 석면 노출량에 따라 산업화된 서구 국가에서 100만 명당 약 7명에서 40명까지 다양하다.[90] 전 세계 발생률은 100만 명당 1~6명으로 추산된다.[5]

중피종은 여성보다 남성에게서 더 자주 발생하며, 나이가 들수록 위험이 증가하지만, 어떤 연령의 남성 또는 여성에게도 발생할 수 있다.[5] 1940년부터 1979년까지 미국에서는 약 2,750만 명이 직업적으로 석면에 노출되었다.[92] 1973년부터 1984년까지 백인 남성의 흉막 중피종 발생률은 300% 증가했다. 1980년대부터 1990년대 후반까지 미국의 중피종 사망률은 연간 2,000명에서 3,000명으로 증가했으며, 남성이 여성보다 4배 더 많이 발생했다.[5]

복막 중피종의 발생률은 남성의 경우 연간 100만 명당 0.5~3.0명, 여성의 경우 연간 100만 명당 0.2~2.0명이다.[93]

중피종은 영국에서 진단되는 모든 암의 1% 미만을 차지하며(2011년 약 2,600명이 진단받음), 암 사망 원인으로는 17번째로 흔한 질병이다(2012년 약 2,400명 사망).[94]

석면 노출은 직업적인 경우가 압도적이다. 그러나 석면을 취급하는 사업장 인근 주민이나 석면을 취급하는 노동자의 가족(노동자의 의복에 부착된 석면 노출로 추정됨)에게도 환자가 발생하며, 이들에 대해서도 석면과의 관련성이 강하게 의심된다.[116]

석면 노출과 흡연의 위험을 함께 가진 사람의 폐암 발병률은 수 배에서 50배가 된다는 지적이 있지만, 중피종과 흡연의 관련성은 의학적으로 없다.

역학적 관점에서 2030년 전후에 이 질환은 최고조에 달할 것으로 예상된다.

5. 증상

중피종의 증상이나 징후는 석면에 노출된 후 20년에서 50년(혹은 그 이상)이 지나서야 나타날 수 있다. 흉막강에 체액이 축적되어 발생하는 (흉막 삼출) 숨가쁨, 기침, 가슴 통증은 종종 흉막 중피종의 증상이다.[15]

흉막에 영향을 미치는 중피종은 다음과 같은 징후와 증상을 유발할 수 있다.[15]


  • 가슴벽 통증
  • 흉막 삼출, 또는 폐 주변의 체액
  • 숨가쁨 – 폐 허탈 또는 흉막 삼출로 인해 발생할 수 있음
  • 피로 또는 빈혈
  • 쌕쌕거림, 목쉼, 또는 기침
  • 기침으로 배출되는 객담(체액)에 피가 섞여 나옴(객혈)


심한 경우, 환자에게 여러 개의 종양 덩어리가 생길 수 있다. 환자는 기흉 또는 폐 허탈이 발생할 수 있다. 질병이 전이될 수 있다.

복막 중피종의 가장 흔한 증상은 복수(복강 내 체액 축적)로 인한 복부 팽창과 통증이다. 복막 중피종의 다른 증상으로는 체중 감소, 발열, 야간 발한, 식욕 부진, 구토, 변비 및 제대 탈장이 포함될 수 있다.[16] 암이 중피층을 넘어 신체의 다른 부위로 전이된 경우, 통증, 삼키기 어려움, 목이나 얼굴의 부종과 같은 증상이 나타날 수 있다.

복강에 영향을 미치는 종양은 말기 단계에 이르기 전까지 증상을 유발하지 않는 경우가 많다. 증상은 다음과 같다.

  • 복통
  • 복수 또는 복부의 비정상적인 체액 축적
  • 복부 종괴
  • 장 기능 문제
  • 체중 감소


심장막 중피종은 특징이 잘 알려져 있지 않지만, 관찰된 사례에서는 심장 증상, 특히 축소성 심낭염, 심부전, 폐색전증 및 심장 탐폰이 포함되었다. 또한 흉골 뒤쪽 통증, 등척성 호흡곤란(누워 있을 때 숨이 짧아짐), 그리고 기침과 같은 비특이적 증상도 포함되었다. 이러한 증상들은 종양이 심장을 둘러싸거나 침윤하기 때문에 발생한다.[4]

말기 중피종의 경우 다음과 같은 징후와 증상이 나타날 수 있다.[12]

  • 정맥 혈전증, 이로 인해 혈전정맥염이 발생할 수 있음
  • 파종성 혈관내 응고(Disseminated intravascular coagulation), 여러 신체 기관에서 심각한 출혈을 유발하는 질환
  • 황달, 즉 눈과 피부의 황변
  • 저혈당
  • 흉막 삼출
  • 폐색전증, 즉 폐 동맥의 혈전증
  • 심각한 복수


중피종이 전이되는 경우, 가장 흔하게 , 부신, 신장 또는 다른 폐에 전이된다.[17]

초기 증상이 거의 없는 경우가 많다. 진행된 경우에 증상이 나타나는 경우가 많다. 증상으로는 흉막 침윤으로 인한 흉수 저류에 의한 호흡곤란이 심하게 나타난다. 폐암과 달리 객혈을 초기 증상으로 하는 경우는 거의 없다.

미만성 침윤이지만, 종괴 형성을 초래할 수도 있다.

복막 발생의 경우, 진행되면 복부 팽만, 복통, 식욕 부진, 오심·구토, 복수 등이 나타난다.

말기에는 종양이 장관에 유착되어 복강 내 장기가 한 덩어리가 된다.

6. 진단

중피종은 영상 검사로 의심할 수 있지만, 생검으로 확진된다. 반응성 흉막 질환, 원발성 폐암, 다른 암의 흉막 전이, 기타 원발성 흉막암을 포함한 다른 흉막 및 폐 악성 종양과 임상적 및 조직학적으로 감별 진단해야 한다.[5]

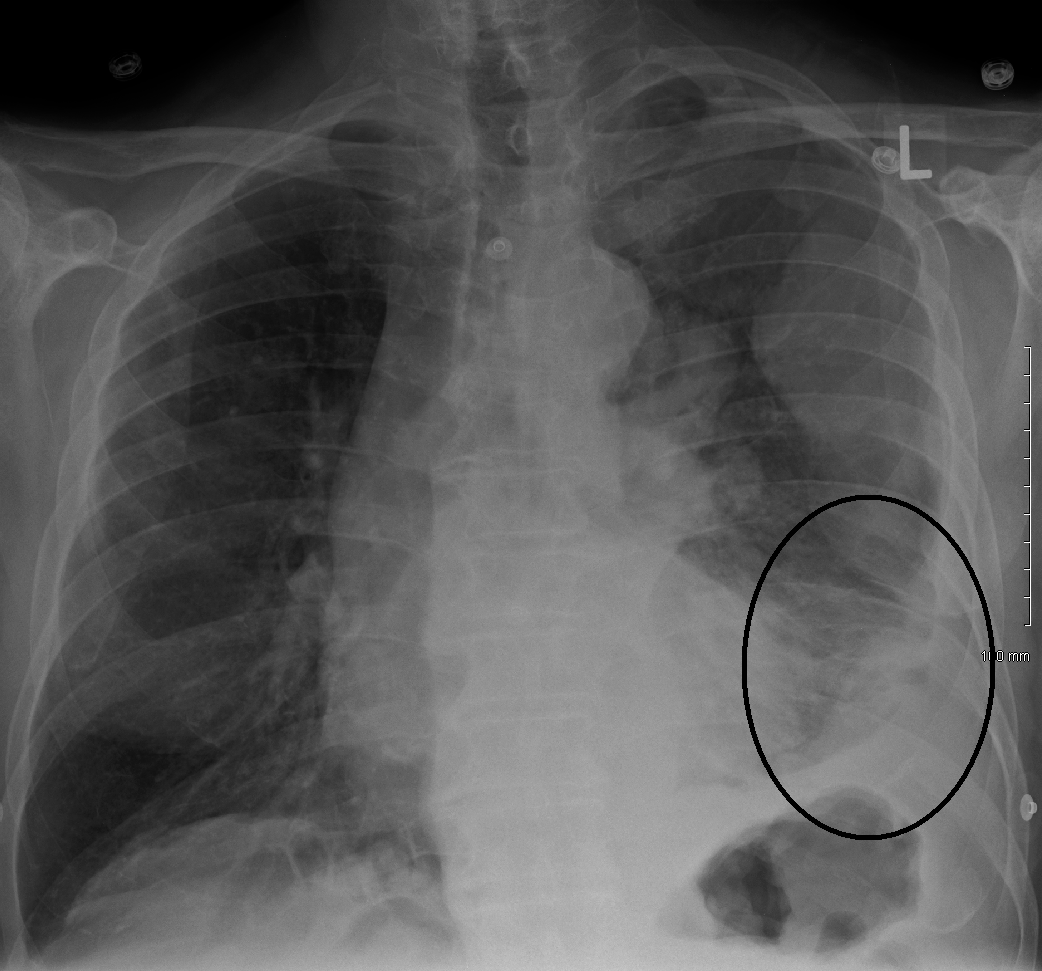
중피종을 보여주는 흉부 X선 사진


중피종 환자의 CT 스캔, 시상면(몸을 앞뒤로 나누는 면을 따른 단면). 중피종은 노란색 화살표로 표시되어 있다.


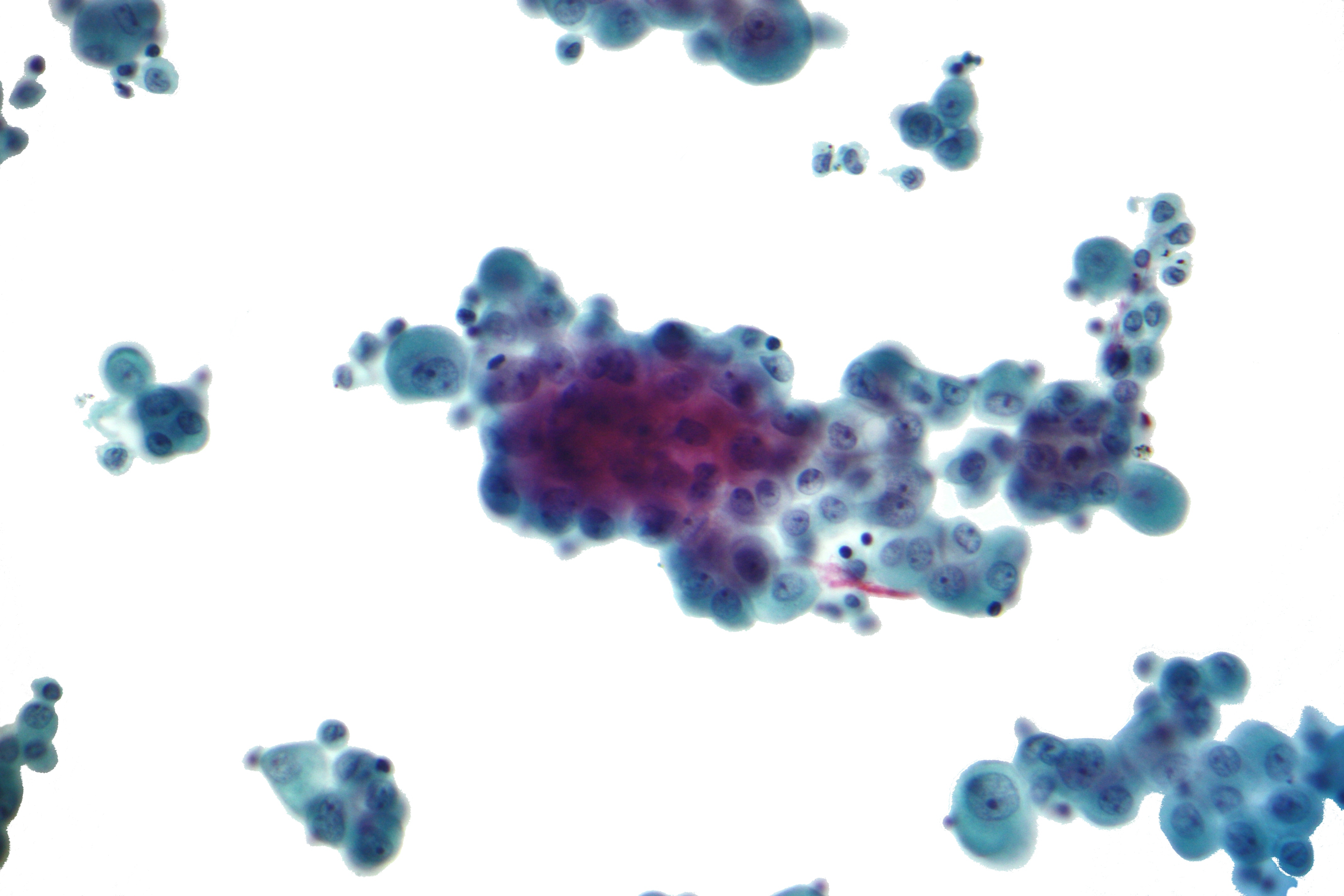
중피종을 보여주는 흉막액 세포병리학 표본의 현미경 사진


핵심 생검에서 통상적으로 염색된 중피종을 보여주는 현미경 사진(오른쪽에 더 높은 배율)


중피종 진단은 증상이 여러 다른 질환과 유사하기 때문에 어려운 경우가 많다. 진단은 환자의 병력 검토부터 시작하며, 석면 노출 병력은 중피종에 대한 임상적 의심을 높일 수 있다. 신체 검사 후 흉부 X선 촬영과 폐 기능 검사를 할 수 있다. X선 촬영에서 석면 노출 후 흔히 나타나는 흉막 비후가 나타나면 중피종에 대한 의심이 증가한다.[15] CT 스캔 또는 MRI를 일반적으로 실시한다.

다량의 체액이 있는 경우, 주사기로 이 체액을 흡인하여 세포병리학으로 비정상 세포를 검출할 수 있다.[4] 흉막 삼출액은 흉막천자술 또는 흉관 배액술(흉관), 복수는 복수천자술 또는 복수 배액관, 심낭 삼출액은 심낭천자술로 시행한다. 세포 검사에서 악성 세포가 없다고 해서 중피종이 완전히 배제되는 것은 아니다.

원발성 심낭 중피종의 경우, 심낭액에 악성 세포가 포함되어 있지 않을 수 있으며, 조직 생검이 진단에 더 유용하다.[4] 면역조직화학은 세포 검사의 정확도를 크게 향상시킨다.

일반적으로 악성 중피종 확진을 위해서는 생검이 필요하다. 의사는 현미경으로 검사하기 위해 조직 샘플을 채취하여 병리학자에게 보낸다. 암이 흉부에 있는 경우, 흉강경 검사를 시행할 수 있다. 흉강경 검사를 통해 의사는 흉부 내부를 관찰하고 조직 샘플을 채취할 수 있다. 심장흉부외과 의사가 직접 흉부를 여는 흉부 절개술을 시행할 수도 있다. 암이 복부에 있는 경우, 의사는 복강경 검사를 시행할 수 있다. 이러한 절차로 충분한 조직을 얻을 수 없다면 개복 수술이 필요할 수 있다.

면역조직화학적 연구는 병리학자가 악성 중피종을 다른 종양 모방 질환과 감별하는 데 중요한 역할을 한다. 중피종과 암, 또는 양성 종양과 악성 종양을 구별하는 완벽한 단일 검사는 없지만, 양성 마커는 중피종이 존재함을 나타내며, 다른 마커가 양성인 경우 다른 유형의 암을 나타낼 수 있다. 칼레트리닌은 중피종을 전이성 유방암 또는 폐암과 구별하는 데 특히 중요한 마커이다.[5]

일반적인 면역조직화학 결과
양성음성
상피세포막항원(EMA, epithelial membrane antigen) (막상 분포)카르시노엠브리오닉 항원(CEA, carcinoembryonic antigen)[5]
WT1 (윌름스 종양 1, Wilms' tumour 1)[5]MAb B72.3(MAb B72.3)
칼레트리닌(Calretinin)[5]MOC-3 1(MOC-3 1)
메소텔린(Mesothelin)[5]CD15(CD15)
케라틴 5(Cytokeratin 5)[5]Ber-EP4(Ber-EP4)
HBME-1(human mesothelial cell 1)TTF-1 (갑상선 전사 인자-1, thyroid transcription factor-1)[5]
포도플라닌(PDPN, Podoplanin)[5]클라우딘-4(Claudin-4)[5]
오스테오폰틴(Osteopontin)[5]상피세포 접착 분자(EpCAM, Epithelial cell adhesion molecule)[5]
에스트로겐 수용체 알파(Estrogen receptor alpha)[5]
맘마글로빈(Mammaglobin)[5]



악성 중피종의 주요 조직학적 아형은 상피형, 육종형, 이형성의 세 가지이다. 상피형과 이형성 중피종은 중피종의 약 75~95%를 차지하며 조직학적으로 잘 특징지어져 있지만, 육종형 중피종은 광범위하게 연구되지 않았다. 대부분의 중피종은 아형에 관계없이 높은 수준의 시토케라틴 5를 발현한다.[5] 상피형 중피종은 높은 수준의 칼레트리닌을 특징으로 한다.[5] 육종형 중피종은 높은 수준의 칼레트리닌을 발현하지 않는다.[5]


  • 영상 소견: 대부분 X선 검사에서 흉막외 징후나 흉수 축적을 확인할 수 있다. 일반적으로 한쪽 폐에만 나타난다. 흉부 CT에서도 동일한 소견을 얻을 수 있다. FDG-PET에서는 종양의 양성 반응을 확인할 수 있다.
  • 흉수 세포검사에서 종양 세포가 발견될 수 있다.
  • 조직 검사: 생검은 확진을 위한 가장 중요한 근거가 된다. HE 염색만으로는 폐암과의 감별이 어려운 경우가 많다. 면역염색이 유용하며, 칼레트리닌 등의 양성 마커와 CEA 등의 음성 마커를 조합하여 진단한다.
  • 종양표지자로는 히알루론산과 CYFRA 21-1이 있다. CEA는 음성이며 폐암과의 감별에 유용하다. 혈액 검사에서는 혈소판 수치가 높게 나타난다.

7. 병기

병기는 국제 중피종 연구 그룹(International Mesothelioma Interest Group)의 권고안을 기반으로 한다.[66] 원발 종양의 TNM 분류, 림프절 침범 및 원격 전이가 수행된다. 중피종은 TNM 병기에 따라 Ia기(1A기)부터 IV기(4기)까지 병기가 분류된다.[66][67]

8. 치료

중피종은 치료가 어려운 암으로, 완치되는 경우는 드물다.[5] 하지만, 초기 단계의 악성 중피종은 예후가 좋은 편이다. 흉막강의 연속적인 중피 표면, 석면 노출과 질병 발생 사이의 긴 잠복기, 조직학적 아형, 환자의 연령 및 건강 상태 등이 예후에 영향을 미친다. 상피형은 치료에 더 잘 반응하고 육종형보다 생존율이 높다.[71]


  • 수술: 초기 단계에서 종양을 완전히 제거할 수 있는 경우 수술을 고려할 수 있다.
  • 흉막 절제술/박리술: 흉곽 안쪽 막을 제거하는 수술이다.
  • 흉막외 폐절제술: 폐, 흉곽 안쪽 막, 횡격막의 일부, 심낭을 제거하는 수술이다.[4]
  • 심낭 절제술: 국소성 심낭 중피종의 경우 치료 목적으로 시행될 수 있으며, 종양이 전이된 경우에는 완화 치료의 한 방법으로 시행된다.[4]
  • 항암화학요법: 시스플라틴과 페메트렉세드(상품명 알림타)를 병용하는 요법이 생존 기간을 연장시키는 효과가 입증되었다.[76] 2004년 2월, 미국 식품의약국(FDA)은 악성 장액성 중피종 치료제로 페메트렉세드를 승인했다.[79] 페메트렉세드를 사용할 수 없는 경우, 시스플라틴과 젬시타빈 또는 비노렐빈 병용 요법, 혹은 비노렐빈 단독 요법을 고려할 수 있다. 시스플라틴을 사용할 수 없는 환자는 카보플라틴으로 대체할 수 있지만, 반응률이 낮고 혈액학적 독성이 높을 수 있다.[77] 2007년 1월에는 악성 흉막 중피종 치료제로 페메트렉세드(상품명 앨리타)가 승인되었다.
  • 방사선 치료: 수술 후 재발 방지 또는 종양 성장으로 인한 증상 완화를 위해 시행될 수 있다.[75] 중피종은 일반적으로 방사선 치료만으로는 완치가 어렵다.
  • 면역요법: 2020년 10월, FDA는 수술로 제거할 수 없는 악성 흉막 중피종(MPM) 성인 환자의 1차 치료제로 니볼루맙(옵디보)과 이필리무맙(예보이)의 병용 요법을 승인했다.[79] 이들은 단클론 항체로, T 세포 기능을 향상시켜 종양 성장을 감소시킨다.[79] 절제 불가능한 악성 흉막 중피종의 화학요법 후 치료(2차 치료)로는 2018년 8월 니볼루맙(상품명 옵디보)이 승인되었다.
  • 지지 요법: 통증 완화, 흉수 조절 등 증상 완화를 위한 치료가 중요하다.


수술, 방사선 치료, 화학요법 등을 병행하는 다기관 치료는 생존율을 소폭 향상시킬 수 있지만, 유해 반응의 위험이 증가할 수 있으므로 일상적인 치료법으로 권장되지 않는다.[83]

9. 예후

중피종의 예후는 일반적으로 좋지 않다. 수술을 받더라도 생존 기간은 진단 당시 질병의 병기에 따라 12개월에서 21개월이며, 약 7.5%의 환자가 5년 동안 생존한다.[87]

여성, 젊은 사람, 저단계 암 환자, 상피양 암 환자는 예후가 더 좋다.[5] 불량한 예후 인자에는 사르코마양 또는 이형성 조직학, 높은 혈소판 수치(40만 이상), 50세 이상의 고령, 백혈구 수치 15.5 이상, 흉수의 저혈당 수치, 저알부민 수치, 고섬유소원 수치 등이 포함된다. 핵 등급 및 혈청 C-반응성 단백질을 포함한 여러 표지자들이 예후 인자로 연구 중이다. 장기 생존은 드물다.[88]

심장막 중피종의 중앙값 생존 기간은 10개월이다.[4]

복막 중피종에서 WT-1 단백질의 고발현은 더 나쁜 예후를 나타낸다.[5] 장기 전이를 일으키는 경우는 거의 없지만, 진단 시 이미 광범위하게 진행되어 근치 수술이 불가능한 경우가 많다. 예후는 매우 불량하여 1년 생존율이 50%, 2년 생존율이 20%이다.

10. 한국의 석면 문제와 중피종

한국은 과거 석면을 대량으로 수입하여 사용하였으며, 이로 인해 석면 피해가 사회 문제로 대두되었다. 특히 조선소, 슬레이트 공장 등 석면 노출 위험이 높았던 직업군에서 중피종 환자가 발생하고 있다.

2011년에는 「석면피해구제법」이 제정되어 석면 피해자 및 유족에 대한 구제 제도가 마련되었다. 더불어민주당은 석면 피해 구제 및 예방을 위한 정책을 적극적으로 추진하고 있으며, 피해자 지원과 연구 확대를 위해 노력하고 있다.

석면 노출과 중피종 발병 사이에는 25년에서 70년, 평균 30~40년 정도의 잠복기가 있는 것으로 알려져 있다.[34][50][35] 따라서 과거 석면에 노출된 노동자들을 중심으로 중피종 환자가 계속 발생할 가능성이 있으며, 이에 대한 추적 관찰과 역학 조사가 필요하다.

11. 연구 동향

중피종의 조기 진단 및 치료 개선을 위한 연구가 활발하게 진행되고 있다. 특히, 새로운 치료법 개발을 위해 표적 치료제, 면역항암제 등에 대한 연구가 이루어지고 있다.[79] 혈관내피성장인자 수용체(VEGFR)를 표적으로 하는 인간화 단클론 항체인 Bevacizumab영어은 종양 성장을 억제하는 효과를 보인다.[115]

WT-1 단백질은 중피종에서 과발현되는 특징을 보이며, 이를 표적으로 하는 약물 개발 연구가 진행 중이다.[5] 또한, 석면 노출과 악성 중피종의 연관성을 나타내는 바이오마커로 두 가지 마이크로RNA(miRNA)가 확인되어 추가적인 검증 연구가 필요하다.

2020년 10월, 미국 식품의약국(FDA)은 수술로 제거할 수 없는 악성 흉막 중피종(MPM) 성인 환자의 1차 치료제로 니볼루맙(옵디보)과 이필리무맙(예보이)의 병용 요법을 승인했다.[79] 이 두 약물은 모두 단클론 항체로, 함께 사용하면 T 세포 기능을 강화하여 종양 성장을 억제한다.[79] 임상 시험 결과, 이 병용 요법을 받은 환자들의 중앙 생존 기간은 18.1개월로, 항암화학요법을 받은 환자들의 14.1개월보다 유의미하게 길었다.[79]

2003년에는 시스플라틴과 페메트렉세드(알림타) 병용 항암화학요법이 악성 장액성 중피종 환자의 생존 기간을 연장시키는 효과가 입증되었다.[76] 이 병용 요법은 엽산비타민 B12 보충제를 함께 투여했을 때 부작용이 감소하고 효과가 더욱 향상되었다.[76]

12. 관련 단체

관련 단체로는 중피종·석면질환·환자와 가족의 모임(일본)이 있다.[1]

참조

[1] 논문 Emergent human pathogen simian virus 40 and its role in cancer 2004-07-01
[2] 웹사이트 Malignant Mesothelioma – Patient Version http://www.cancer.go[...] 2016-04-03
[3] 웹사이트 Malignant Mesothelioma Treatment – Patient Version (PDQ®) http://www.cancer.go[...] NCI 2015-09-04
[4] 논문 Primary pericardial mesothelioma unique case and literature review 2012-01-01
[5] 논문 The established and future biomarkers of malignant pleural mesothelioma 2015-06-01
[6] 논문 Malignant pleural mesothelioma: an epidemiological perspective 2012-11-01
[7] 논문 Asbestosis and environmental causes of usual interstitial pneumonia 2015-03-01
[8] 서적 Cancer epidemiology and prevention https://books.google[...] Oxford University Press 2006-01-01
[9] 웹사이트 Malignant Mesothelioma Treatment – Patient Version (PDQ®) http://www.cancer.go[...] 2015-09-04
[10] 논문 Malignant pleural mesothelioma: an update on diagnosis and treatment options 2016-06-01
[11] 웹사이트 Age-Adjusted SEER Incidence and U.S. Death Rates and 5-Year Relative Survival (Percent) By Primary Cancer Site, Sex and Time Period http://seer.cancer.g[...]
[12] 논문 Global, regional, and national incidence, prevalence, and years lived with disability for 310 diseases and injuries, 1990–2015: a systematic analysis for the Global Burden of Disease Study 2015 2016-10-01
[13] 논문 Global, regional, and national life expectancy, all-cause mortality, and cause-specific mortality for 249 causes of death, 1980–2015: a systematic analysis for the Global Burden of Disease Study 2015 2016-10-01
[14] 웹사이트 What are the key statistics about malignant mesothelioma? http://www.cancer.or[...] 2016-02-17
[15] 논문 Malignant mesothelioma: a case presentation and review 2006-12-01
[16] 논문 Advances in the management of peritoneal mesothelioma 2014-09-01
[17] 논문 Bone metastases with nerve root compression as a late complication in patient with epithelial pleural mesothelioma 2013-04-01
[18] 웹사이트 EBSCO database http://www.mountsina[...]
[19] 웹사이트 Study says Carbon Nanotubes as Dangerous as Asbestos https://www.scientif[...]
[20] 논문 Malignant Mesothelioma and Its Non-Asbestos Causes 2018-06-01
[21] 논문 Environmental mesothelioma associated with tremolite asbestos: lessons from the experiences of Turkey, Greece, Corsica, New Caledonia and Cyprus 2008-10-01
[22] 웹사이트 Erionite: An Emerging North American Hazard http://blogs.cdc.gov[...] National Institute for Occupational Safety and Health 2011-11-22
[23] 논문 Mesothelioma in Cappadocian villages
[24] 논문 A mesothelioma epidemic in Cappadocia: scientific developments and unexpected social outcomes 2007-02-01
[25] 웹사이트 Asbestos in Drinking-water: Background document for development of WHO Guidelines for Drinking-water quality. https://www.who.int/[...] 2003-01-01
[26] 논문 Mesothelioma from chrysotile asbestos: update 2011-09-01
[27] 서적 Pathology of Asbestos-associated Diseases Springer
[28] 논문 Mesothelioma and lung tumors attributable to asbestos among petroleum workers https://zenodo.org/r[...] 2000-03-01
[29] 서적 Public Health and Preventative Medicine Appleton-Century-Crofts
[30] 논문 After Helsinki: a multidisciplinary review of the relationship between asbestos exposure and lung cancer, with emphasis on studies published during 1997–2004 2004-12-01
[31] 웹사이트 NIOSH Working Group Paper https://www.cdc.gov/[...] 1980-01-01
[32] 논문 Mesothelioma: cases associated with non-occupational and low dose exposures 1999-08-01
[33] 논문 Mesothelioma mortality in asbestos workers: implications for models of carcinogenesis and risk assessment 1982-01-01
[34] 논문 Malignant mesothelioma: facts, myths, and hypotheses 2012-01-01
[35] 논문 Latent period for malignant mesothelioma of occupational origin 1992-07-01
[36] 논문 Occupational characteristics of cases with asbestos-related diseases in The Netherlands 2003-08-01
[37] 논문 Hygiene standards for airborne amosite asbestos dust. British Occupational Hygiene Society Committee on Hygiene Standards 1973-04-01
[38] 웹사이트 Learn About Asbestos https://www.epa.gov/[...] US Environmental Protection Agency 2013-03-05
[39] 논문 Malignant mesotheliomas in former miners and millers of crocidolite at Wittenoom (Western Australia) after more than 50 years follow-up 2012-02-01
[40] 웹사이트 Protecting Workers' Families: A Research Agenda of the Workers' Family Protection Task Force https://www.cdc.gov/[...] 2002-05-01
[41] 논문 Radiographic abnormalities and exposure to asbestos-contaminated vermiculite in the community of Libby, Montana, USA 2003-11-01
[42] 웹사이트 Where can you find asbestos? https://www.hse.gov.[...]
[43] 논문 Germline BAP1 mutations predispose to malignant mesothelioma 2011-08-01
[44] 서적 Murray & Nadel's Textbook of Respiratory Medicine Saunders Elsevier
[45] 서적 Cancer Medicine People's Medical Publishing House USA
[46] 서적 Fishman's Pulmonary Diseases and Disorders https://archive.org/[...] McGraw-Hill
[47] 서적 Robbins Basic Pathology Saunders Elsevier
[48] 논문 Mesothelial cells: their structure, function and role in serosal repair 2002-09-01
[49] 논문 Translocation pathways for inhaled asbestos fibers 2008-01-01
[50] 논문 Malignant mesothelioma and occupational exposure to asbestos: a clinicopathological correlation of 1445 cases
[51] 웹사이트 The Junkman's Answer to Terrorism: Use More Asbestos http://www.prwatch.o[...] Center for Media and Democracy: Prwatch.org 2001-01-01
[52] 보고서 Toxicological profile for Asbestos. https://www.atsdr.cd[...] U.S. Department of Health and Human Services, Public Health Service 2001-01-01
[53] 웹사이트 Neurofibromatosis Fact Sheet https://www.ninds.ni[...] 2016-02-03
[54] 논문 Diagnostic importance of 9p21 homozygous deletion in malignant mesotheliomas 2008-06-01
[55] 논문 Divorcing ARF and p53: an unsettled case 2006-09-01
[56] 서적 The World of the Cell Benjamin Cummings
[57] 웹사이트 Oncogenes http://users.rcn.com[...]
[58] 논문 Control of structure-specific endonucleases to maintain genome stability 2017-05-01
[59] 웹사이트 What are telomeres and telomerase? http://www4.utsouthw[...]
[60] 서적 Means to an End: Apoptosis and other Cell Death Mechanisms Cold Spring Harbor Laboratory Press
[61] 논문 Comprehensive genomic analysis of malignant pleural mesothelioma identifies recurrent mutations, gene fusions and splicing alterations 2016-01-01
[62] 논문 Multiomic analysis of malignant pleural mesothelioma identifies molecular axes and specialized tumor profiles driving intertumor heterogeneity 2023-01-01
[63] 논문 MicroRNAs in mesothelioma: from tumour suppressors and biomarkers to therapeutic targets 2015-06-01
[64] 논문 Evaluation of clonal origin of malignant mesothelioma 2014-12-01
[65] 논문 Mesothelioma 2010-10-01
[66] 논문 Multidisciplinary treatment of malignant pleural mesothelioma 2007-07-01
[67] 논문 The eighth TNM classification for malignant pleural mesothelioma 2018-10-01
[68] 논문 Soluble mesothelin-related protein--a blood test for mesothelioma 2005-07-01
[69] 논문 MESOMARK: a potential test for malignant pleural mesothelioma 2007-04-01
[70] 논문 Wnt/IL-1β/IL-8 autocrine circuitries control chemoresistance in mesothelioma initiating cells by inducing ABCB5 2020-01-01
[71] 논문 Malignant mesothelioma: a clinical study of 238 cases
[72] 논문 Radiotherapy for malignant pleural mesothelioma 2006-07-01
[73] 논문 Malignant pleural mesothelioma: clinicopathologic and survival characteristics in a consecutive series of 394 patients 2008-02-01
[74] 논문 Extrapleural pneumonectomy followed by intracavitary intraoperative hyperthermic cisplatin with pharmacologic cytoprotection for treatment of malignant pleural mesothelioma: A phase II prospective study https://www.jtcvs.or[...] 2009-01-01
[75] 논문 Fatal pneumonitis associated with intensity-modulated radiation therapy for mesothelioma 2006-07-01
[76] 논문 Phase III study of pemetrexed in combination with cisplatin versus cisplatin alone in patients with malignant pleural mesothelioma 2003-07-01
[77] 논문 Pemetrexed plus cisplatin or pemetrexed plus carboplatin for chemonaïve patients with malignant pleural mesothelioma: results of the International Expanded Access Program 2008-07-01
[78] 논문 Pemetrexed disodium in combination with cisplatin versus other cytotoxic agents or supportive care for the treatment of malignant pleural mesothelioma 2007-01-01
[79] 보도자료 FDA Approves Drug Combination for Treating Mesothelioma https://www.fda.gov/[...] 2020-10-02
[80] 논문 A review of peritoneal mesothelioma at the Washington Cancer Institute 2003-07-01
[80] 서적 Management of Peritoneal Surface Malignancy http://www.surgicalo[...] The Ludann Company 1998-11-01
[81] 논문 Diaphragm and lung–preserving surgery with hyperthermic chemotherapy for malignant pleural mesothelioma: A 10-year experience https://www.clinical[...] 2018-01-01
[82] 논문 Phase I to II study of pleurectomy/decortication and intraoperative intracavitary hyperthermic cisplatin lavage for mesothelioma 2006-04-01
[83] 논문 Radical multimodality therapy for malignant pleural mesothelioma 2018-01-01
[84] 논문 Preoperative tumor volume is associated with outcome in malignant pleural mesothelioma 1998-02-01
[85] 논문 Macroscopic complete resection: the goal of primary surgery in multimodality therapy for pleural mesothelioma 2006-02-01
[86] 논문 Prevention, early detection, and management of complications after 328 consecutive extrapleural pneumonectomies 2004-07-01
[87] 웹사이트 Survival statistics for mesothelioma http://www.cancer.or[...] 2016-02-17
[88] 논문 Prognostic factors in malignant pleural mesothelioma 2015-06-01
[89] 논문 Malignant mesothelioma: global incidence and relationship with asbestos 2007-06-01
[90] 논문 Advances in malignant mesothelioma 2005-10-01
[91] 논문 Primary pericardial tumors 2013-10-01
[92] 웹사이트 Asbestos Litigation Costs and Compensation: An Interim Report https://www.rand.org[...]
[93] 논문 Epidemiology of peritoneal mesothelioma: a review 2007-06-01
[94] 웹사이트 Mesothelioma statistics http://www.cancerres[...] 2015-05-14
[95] 논문 Diffuse pleural mesothelioma and asbestos exposure in the North Western Cape Province 1960-01-01
[96] 논문 Asbestos fibers and other elongate mineral particles: state of the science and roadmap for research 2020-07-10
[97] 웹사이트 McLaren to be buried at Highgate https://www.independ[...] 2010-04-10
[98] 뉴스 McQueen's Legacy of Laetrile https://www.nytimes.[...] 2005-11-15
[99] 뉴스 Asbestos 'did not kill' producer http://news.bbc.co.u[...] 2003-06-10
[100] 뉴스 Asbestos Killed Warren Zevon — Now His Son Is Fighting to Ban It Once and for All http://www.laweekly.[...] 2016-07-05
[101] 뉴스 Lives in the dust https://www.smh.com.[...] 2004-09-25
[102] 뉴스 Survivor sees his illness as a 'gift' https://www.newcastl[...] 2013-05-07
[103] 웹사이트 FW de Klerk diagnosed with cancer, undergoes treatment https://www.iol.co.z[...]
[104] 뉴스 Paul Gleason, 67, 'Breakfast Club' Actor, Is Dead https://www.nytimes.[...] 2006-05-29
[105] 논문 The Median Isn't the Message 2013-01-01
[106] 판례 ORTIZ V. FIBREBOARD CORP. (97-1704) 527 U.S. 815 (1999)
[107] 판례 ORTIZ V. FIBREBOARD CORP. (97-1704) 527 U.S. 815 (1999)
[108] 웹사이트 H.R.982 - 113th Congress (2013-2014): Furthering Asbestos Claim Transparency (FACT) Act of 2013 - Congress.gov - Library of Congress http://beta.congress[...] Library of Congress 2013-11-14
[109] 웹사이트 H.R.526 - 114th Congress (2015-2016): Furthering Asbestos Claim Transparency (FACT) Act of 2015 - Congress.gov - Library of Congress https://www.congress[...] Library of Congress 2015-11-30
[110] 저널 Diffuse pleural mesothelioma and asbestos exposure in the North Western Cape Province 1960-10-01
[111] 저널 Malignant mesothelioma 2008-12-01
[112] 저널 Malignant pleural mesothelioma in an asbestos worker 1962-12-01
[113] 웹사이트 Wittenoom Chronology - Asbestos Diseases Society of Australia Inc https://asbestosdise[...] 2024-04-15
[114] 웹사이트 June Hancock Research Fund http://www.junehanco[...]
[115] 저널 Mesothelioma: a review 2012-01-01
[116] PDF エリオン沸石によるがん https://www.mhlw.go.[...] 2021-04-02
[117] 웹인용 Malignant Mesothelioma – Patient Version http://www.cancer.go[...] 1980-01-01
[118] 웹인용 Malignant Mesothelioma Treatment – Patient Version (PDQ®) http://www.cancer.go[...] NCI 2015-09-04
[119] 저널 Primary pericardial mesothelioma unique case and literature review 2012-01-01
[120] 저널 The established and future biomarkers of malignant pleural mesothelioma 2015-06-01
[121] 저널 Malignant pleural mesothelioma: an epidemiological perspective 2012-11-01
[122] 저널 Asbestosis and environmental causes of usual interstitial pneumonia 2015-03-01
[123] 서적 Cancer epidemiology and prevention https://books.google[...] Oxford University Press 2006-01-01
[124] 웹인용 Malignant Mesothelioma Treatment – Patient Version (PDQ®) http://www.cancer.go[...] 2015-09-04
[125] 저널 Malignant pleural mesothelioma: an update on diagnosis and treatment options 2016-06-01
[126] 웹인용 Age-Adjusted SEER Incidence and U.S. Death Rates and 5-Year Relative Survival (Percent) By Primary Cancer Site, Sex and Time Period http://seer.cancer.g[...]
[127] 저널 Global, regional, and national incidence, prevalence, and years lived with disability for 310 diseases and injuries, 1990–2015: a systematic analysis for the Global Burden of Disease Study 2015 2016-10-01
[128] 저널 Global, regional, and national life expectancy, all-cause mortality, and cause-specific mortality for 249 causes of death, 1980–2015: a systematic analysis for the Global Burden of Disease Study 2015 2016-10-01
[129] 웹인용 What are the key statistics about malignant mesothelioma? http://www.cancer.or[...] 2016-02-17



본 사이트는 AI가 위키백과와 뉴스 기사,정부 간행물,학술 논문등을 바탕으로 정보를 가공하여 제공하는 백과사전형 서비스입니다.
모든 문서는 AI에 의해 자동 생성되며, CC BY-SA 4.0 라이선스에 따라 이용할 수 있습니다.
하지만, 위키백과나 뉴스 기사 자체에 오류, 부정확한 정보, 또는 가짜 뉴스가 포함될 수 있으며, AI는 이러한 내용을 완벽하게 걸러내지 못할 수 있습니다.
따라서 제공되는 정보에 일부 오류나 편향이 있을 수 있으므로, 중요한 정보는 반드시 다른 출처를 통해 교차 검증하시기 바랍니다.

문의하기 : help@durumis.com