충수암
"오늘의AI위키"의 AI를 통해 더욱 풍부하고 폭넓은 지식 경험을 누리세요.
1. 개요
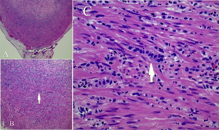
충수암은 충수에 발생하는 드문 암으로, 자각 증상이 적어 진단이 어렵고 다른 질환 검사나 수술 과정에서 발견되는 경우가 많다. 주요 유형으로는 카르시노이드 종양, 선암종 점액, 기타 선암종 등이 있으며, 낭포형, 결장형, 중간형으로 분류된다. 치료는 수술이 주를 이루며, 종양의 종류, 병기, 환자 상태에 따라 항암 화학 요법, 방사선 치료 등을 병행할 수 있다. 충수암은 발생률이 증가하는 추세이며, 유명인들의 사망 사례도 보고되고 있다.
더 읽어볼만한 페이지
- 위장관암 - 식도암
식도암은 식도 상피세포에서 발생하는 악성 종양으로, 편평상피세포암과 선암이 주된 유형이며, 진행될수록 연하곤란, 체중 감소, 흉통 등이 나타나고 흡연, 음주 등이 위험 요인으로 작용하며, 내시경 검사, 조직검사 등으로 진단하고 수술, 화학요법 등으로 치료하며 예방을 위해서는 금연, 절주 등이 중요하다. - 위장관암 - MALT 림프종
MALT 림프종은 림프절 외 림프종의 한 종류로, 헬리코박터 파일로리 감염 등과 관련 있으며, 내시경과 생검으로 진단하고, 헬리코박터 파일로리 제균 치료, 방사선 치료, 화학 요법 등을 통해 치료하며 예후가 비교적 양호하다. - 소화기 질환 - 식도암
식도암은 식도 상피세포에서 발생하는 악성 종양으로, 편평상피세포암과 선암이 주된 유형이며, 진행될수록 연하곤란, 체중 감소, 흉통 등이 나타나고 흡연, 음주 등이 위험 요인으로 작용하며, 내시경 검사, 조직검사 등으로 진단하고 수술, 화학요법 등으로 치료하며 예방을 위해서는 금연, 절주 등이 중요하다. - 소화기 질환 - 위염
위염은 헬리코박터 파일로리 감염, 비스테로이드성 소염제, 알코올, 스트레스 등으로 인해 위 점막에 염증이 생기는 질환으로, 상복부 통증, 메스꺼움, 구토 등의 증상이 나타나거나 무증상일 수 있으며, 급성 또는 만성으로 분류되고, 내시경 검사 등으로 진단하여 제산제, 항생제 등으로 치료한다.
충수암 | |
---|---|
기본 정보 | |
![]() | |
진료 분야 | 종양학 일반외과 |
발병 연령 | 50~55세 |
관련 질병 | 위 식도 역류병 과민성 대장 증후군 젖당불내증 위암 |
증상 | |
주요 증상 | 복부 팽만 배 오른쪽 아래의 불편감 호흡곤란 거식증 |
원인 및 위험 요인 | |
위험 요인 | 흡연 가족력 다발내분비샘종양 1형 |
진단 | |
진단 방법 | 생검 컴퓨터단층촬영 자기공명영상 |
치료 | |
치료 방법 | 충수절제술 화학요법 방사선 치료 |
예후 및 통계 | |
5년 생존율 | 25~88% (미국) |
발생 빈도 | 연간 약 1,000건 (미국) |
종류 | |
암 종류 | 대장형 선암종 비암성 충수 종양 반지세포 선암종 |
2. 진단
충수암은 자각 증상이 적고[33], 대장내시경 검사에서의 발견율이 30% 정도라는 보고[37]가 있는 것처럼, 수술 전 확정 진단이 어렵기 때문에[31] 다른 질환의 검사나 수술에 수반되어 발견되는 경우도 많다.
대장암의 일종이라고도 할 수 있는 충수암은 CEA나 CA 19-9 등의 종양 표지자 상승을 보이지 않는 경우도 있어[29] 진단에 어려움을 더한다.
2. 1. 카르시노이드
카르시노이드는 창자에 생기는 신경내분비 종양이다.[48][14] 악성 및 양성을 모두 포함한 카르시노이드의 발생률은 연간 10만 명 중 0.15명으로, 보통 40~50대에 많이 생기며, 전체 환자 중 4분의 3 가량은 종양이 충수에 발생한다. 이유는 알 수 없으나, 여성과 백인의 카르시노이드 발생률이 약간 더 높다.[49][15] 카르시노이드의 5년생존율은 일반적인 경우 70~80%이며, 암이 진행된 경우 12~28%이다.
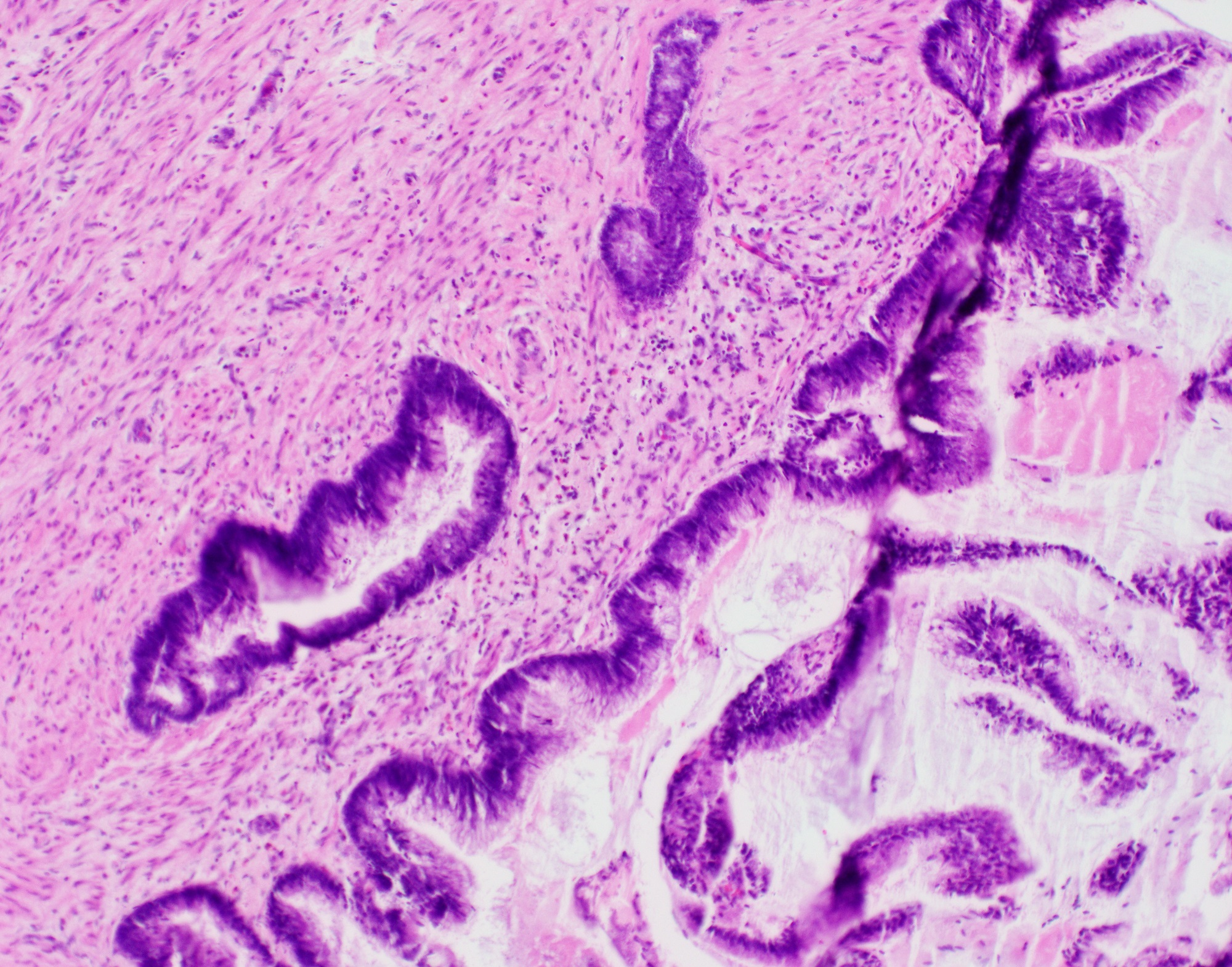
2. 2. 선암종 종양
충수 선암종 종양(어펜디실 뮤시너스 네오플라즘/appendiceal mucinous neoplasm영어)은 과거 점액낭샘종(뮤시너스 시스타데노마/mucinous cystadenoma영어)이라고 불렸다.[51][52]
3. 분류
충수에 발병하는 암은 카르시노이드 종양으로 인한 암이 제일 많으며,[47] 다른 형태로는 선암종 점액, 기타 선암종, 원발성 자궁 경부선암 등이 있다.[58]
- 낭포형(cystic type / 점액낭포선암): 충수 내에 점액을 저장한다. 파열되어 복막가성점액종이 된다.[37]
- 결장형(colonic type): 일반적인 대장암과 마찬가지로 림프나 혈행성 전이를 일으키기 쉽다.
- 중간형(혼합형):[35] 낭포형과 결장형의 중간.[36]
4. 증상
초기에는 증상이 거의 없거나 경미하여 진단이 어렵다.[29][33] 진행될 경우 오른쪽 아랫배 통증이나 오른쪽 윗부분 갈비뼈 부근에 압박되는 듯한 통증이 나타날 수 있다.[29][33] 복부 팽만감 등이 나타날 수 있으며, 낭종형의 경우 오른쪽 아랫배 종괴를 주소로 한다.[37] 결장형은 충수염을 동반하는 경우가 많다.[37]
5. 치료
충수암 치료는 병기, 종양의 종류, 환자의 전반적인 건강 상태 등을 고려하여 결정한다. 외과적 수술이 주된 치료법이며, 필요에 따라 항암 화학 요법, 방사선 치료 등을 병행할 수 있다.[37][31]
악성화되지 않은 크기 2cm 이내의 작은 신경내분비 종양은 충수 절제술을 통해 제거한다.[53] 다른 신경내분비 종양과 선암종은 별도로 우측 결장 절제술이 필요할 수 있다.[53]
복막 가짜 점액종(Pseudomyxoma peritonei영어)[54]의 치료에는 복부 및 골반 내의 보이는 종양과 영향을 받은 필수 장기를 제거하는 종양 감축 수술이 포함된다. 복강 내에는 잔존 질환을 근절하기 위해 HIPEC로 알려진 가온된 화학 요법이 주입된다. 수술 전후에 정맥 내 화학 요법 또는 HIPEC를 시행할 수도 있고, 그렇지 않을 수도 있다.[19]
발견 당시 이미 복막이나 림프절로 전이된 경우가 많기 때문에[37], 외과 수술로 충수와 전이 부위를 제거한 후 화학 요법을 시행한다[31]。 그러나 다른 암과는 달리 충수암 고유의 표준 수술법은 확립되어 있지 않다[31]。 맹장부 절제술 후에 확진된 경우에는 추가 절제를 적극적으로 실시한다[29]。
6. 역학
미국 연구에 따르면, 악성 충수 종양 발생률은 연간 인구 100만 명당 0.12건으로 추정된다.[56][20] 악성화되지 않은 카르시노이드는 이 수치에 포함되지 않았다. 카르시노이드는 충수염으로 인한 충수 절제술 과정에서 300~400건 당 1건 정도의 빈도로 발견된다.[57][21] 최근 연구에 따르면, 종양의 종류, 나이, 성별, 병기와 관계없이 충수암 발생률이 증가하는 추세를 보인다.[58][22] 이러한 증가 추세는 1990년대 이후 컴퓨터단층촬영 사용 증가로 진단율이 높아졌기 때문일 수 있다는 주장이 있다.
7. 유명 사례
오드리 헵번은 충수암에 걸려 1993년 사망하였다.[59][23] ESPN의 스포츠 방송 앵커 스튜어트 스콧은 2007년 충수암 진단을 받아 2015년 사망하였다.[60][61][24][25] 2023년 4월 렉섬 AFC의 팬이었던 제이 피어는, 충수암 말기 투병 중 할리우드의 유명인인 라이언 레이놀즈를 만나고 싶다는 의사를 밝혔는데, 실제로 며칠 후 라이언 레이놀즈는 제이 피어와 가족을 만났다. 피어는 같은 해 5월 26일 사망하였다.[62] 세르비아의 음악가 블라다 디블얀은 2012년에 충수암 진단을 받았고, 2015년에 합병증으로 사망했다.[26] 멕시코 배우 아단 칸토는 2024년 42세의 나이로 충수암으로 사망했다.[27]
8. 한국의 현황
대한민국에서 충수암 발생률은 점차 증가하는 추세이다. 정확한 통계 자료는 부족하지만, 서구화된 식습관, 고령화 등의 요인이 영향을 미치는 것으로 추정된다.[58] 특히, 젊은 층에서도 충수암 발병 사례가 보고되고 있어 주의가 필요하다. 충수암의 발생률은 종양의 종류, 나이, 성별, 암의 진행 정도와 관련 없이 증가하는 경향을 보인다.[58] 1990년대 이후 컴퓨터단층촬영 사용이 증가하며 수술 이외의 방법으로 암을 발견하는 경우가 늘어났기 때문이라는 주장이 있다.[58]
9. 기타
충수암은 자각 증상이 적고[33], 대장내시경 검사에서의 발견율이 30% 정도라는 보고[37]가 있을 정도로 수술 전 확정 진단이 어렵기 때문에[31] 다른 질환의 검사나 수술에 수반되어 발견되는 경우가 많다. 맹장 저분화선암으로 표기되기도 하지만, 분류상으로는 같은 종류의 암이다. 충수는 대장의 일부분이므로, 대장암의 일종이라고도 할 수 있다. CEA나 CA 19-9 등의 종양 표지자 상승을 보이지 않는 경우도 있다[29]。암세포가 복막으로 퍼지는 복막 파종[32]을 일으키기 쉽고, 충수 점액낭종[34]과 복막 가성 점액종을 일으키기 쉽다. 궤양성 대장염의 합병증으로 발병하는 경우도 있다[33][34]。 복강 내 장기 전체와 폐로의 원격 전이가 일어날 수 있다.[35]
참조
[1]
웹사이트
MedStar Georgetown Cancer Institute
https://www.medstarg[...]
[2]
웹사이트
Rare Diseases article
https://rarediseases[...]
[3]
웹사이트
MedStar Georgetown Cancer Institute
https://www.medstarg[...]
[4]
웹사이트
Moffitt Cancer Center
https://moffitt.org/[...]
[5]
웹사이트
MedStar Georgetown Cancer Institute
https://www.medstarg[...]
[6]
웹사이트
MedStar Georgetown Cancer Institute
https://www.medstarg[...]
[7]
웹사이트
University of Chicago Medicine
https://www.uchicago[...]
[8]
웹사이트
cancer.net
https://www.cancer.n[...]
[9]
웹사이트
MD Anderson
https://www.mdanders[...]
[10]
웹사이트
What is the Appendix?
https://www.news-med[...]
2023-02-08
[11]
학술지
Correlation between Three-Dimensional Volume and Malignant Potential of Gastrointestinal Stromal Tumors (GISTs)
2020-09
[12]
서적
Rosai and Ackerman's surgical pathology
Mosby
[13]
서적
Sabiston Principles of Surgery
[14]
웹사이트
Carcinoid Tumors: Symptoms, Diagnosis & Treatment
https://my.cleveland[...]
2023-02-08
[15]
학술지
Acute appendicitis, inflammatory appendiceal mass and the risk of a hidden malignant tumor: a systematic review of the literature
2017-03-09
[16]
학술지
Combined Mucinous and Neuroendocrine Tumours of the Appendix Managed with Surgical Cytoreduction and Oxaliplatin-based Hyperthermic Intraperitoneal Chemotherapy
[17]
웹사이트
Appendix - Other tumors - Mucinous neoplasms (LAMN and HAMN)
http://www.pathology[...]
[18]
학술지
Appendiceal neuroendocrine tumors: recent insights and clinical implications.
2010
[19]
서적
Sabiston
Elsevier
[20]
학술지
Primary malignant neoplasms of the appendix
[21]
서적
Bailey and Love's Short Practice of Surgery
[22]
학술지
The Rise in Appendiceal Cancer Incidence: 2000–2009
2015-01-06
[23]
학술지
The Fairest of All
http://www.crmagazin[...]
American Association for Cancer Research
2023-05-26
[24]
뉴스
Stuart Scott Says, 'F U, Cancer!'
http://www.menshealt[...]
2015-01-07
[25]
뉴스
Stuart Scott, ESPN's Voice of Exuberance, Dies at 49
https://www.nytimes.[...]
2015-01-04
[26]
뉴스
Vlada Divljan poručio: Nisam životno ugrožen, osećam se vrlo dobro
http://www.blic.rs/K[...]
2023-05-26
[27]
뉴스
What to Know About Appendiceal Cancer
https://time.com/655[...]
2024-01-10
[28]
논문
Primary malignant neoplasmsof the appendix : a population-based study from the surveillance, epidemiology and end-results program, 1973-1998
[29]
논문
若年者早期虫垂癌の1例
https://doi.org/10.3[...]
2009
[30]
학술지
絨毛状発育を内視鏡的に認めた虫垂絨毛癌の1例
https://doi.org/10.1[...]
[31]
논문
原発性虫垂癌10例の検討
https://doi.org/10.3[...]
2015
[32]
웹사이트
用語集 腹膜播種(ふくまくはしゅ)
https://ganjoho.jp/p[...]
国立がん研究センター がん情報サービス
[33]
논문
潰瘍性大腸炎に合併した虫垂癌の多発肝転移の1例
https://doi.org/10.1[...]
2008
[34]
논문
潰瘍性大腸炎の長期経過中に発症した盲腸癌と虫垂粘液嚢胞腺癌との衝突癌の1例
https://doi.org/10.5[...]
2007
[35]
논문
肺転移再発をきたした虫垂原発粘液嚢胞腺癌の1例
https://doi.org/10.5[...]
1995
[36]
논문
術前診断しえた虫垂粘液嚢胞腺癌の1例
https://doi.org/10.5[...]
1993
[37]
논문
原発性虫垂癌の2例
https://doi.org/10.3[...]
1996
[38]
웹사이트
Rare Diseases article
https://rarediseases[...]
[39]
웹사이트
Moffitt Cancer Center
https://moffitt.org/[...]
[40]
웹사이트
MedStar Georgetown Cancer Institute
https://www.medstarg[...]
[41]
웹사이트
University of Chicago Medicine
https://www.uchicago[...]
[42]
웹사이트
cancer.net
https://www.cancer.n[...]
[43]
웹사이트
MD Anderson
https://www.mdanders[...]
[44]
웹인용
What is the Appendix?
https://www.news-med[...]
News-Medical.net
2023-02-08
[45]
저널
Correlation between Three-Dimensional Volume and Malignant Potential of Gastrointestinal Stromal Tumors (GISTs)
2020-09
[46]
서적
Rosai and Ackerman's surgical pathology
https://archive.org/[...]
Mosby
[47]
서적
Sabiston Principles of Surgery
[48]
웹인용
Carcinoid Tumors: Symptoms, Diagnosis & Treatment
https://my.cleveland[...]
2023-02-08
[49]
저널
Acute appendicitis, inflammatory appendiceal mass and the risk of a hidden malignant tumor: a systematic review of the literature
2017-03-09
[50]
저널
Combined Mucinous and Neuroendocrine Tumours of the Appendix Managed with Surgical Cytoreduction and Oxaliplatin-based Hyperthermic Intraperitoneal Chemotherapy
[51]
백과사전
mucinous cystadenoma
https://terms.naver.[...]
군자출판사
2012-01-20
[52]
웹인용
Appendix - Other tumors - Mucinous neoplasms (LAMN and HAMN)
http://www.pathology[...]
[53]
저널
Appendiceal neuroendocrine tumors: recent insights and clinical implications.
2010
[54]
백과사전
복강거짓점액종
https://terms.naver.[...]
[55]
서적
Sabiston
Elsevier
[56]
저널
Primary malignant neoplasms of the appendix
[57]
서적
Bailey and Love's Short Practice of Surgery
[58]
저널
The Rise in Appendiceal Cancer Incidence: 2000–2009
2015-01-06
[59]
저널
The Fairest of All
http://www.crmagazin[...]
American Association for Cancer Research
2009
[60]
뉴스
Stuart Scott Says, 'F U, Cancer!'
http://www.menshealt[...]
2015-01-07
[61]
뉴스
Stuart Scott, ESPN's Voice of Exuberance, Dies at 49
https://www.nytimes.[...]
2015-01-04
[62]
뉴스
Wrexham fan who met Ryan Reynolds as final wish dies of cancer
https://www.bbc.com/[...]
2023-05-26
본 사이트는 AI가 위키백과와 뉴스 기사,정부 간행물,학술 논문등을 바탕으로 정보를 가공하여 제공하는 백과사전형 서비스입니다.
모든 문서는 AI에 의해 자동 생성되며, CC BY-SA 4.0 라이선스에 따라 이용할 수 있습니다.
하지만, 위키백과나 뉴스 기사 자체에 오류, 부정확한 정보, 또는 가짜 뉴스가 포함될 수 있으며, AI는 이러한 내용을 완벽하게 걸러내지 못할 수 있습니다.
따라서 제공되는 정보에 일부 오류나 편향이 있을 수 있으므로, 중요한 정보는 반드시 다른 출처를 통해 교차 검증하시기 바랍니다.
문의하기 : help@durumis.com