맨위로가기

황색종

"오늘의AI위키"는 AI 기술로 일관성 있고 체계적인 최신 지식을 제공하는 혁신 플랫폼입니다.
"오늘의AI위키"의 AI를 통해 더욱 풍부하고 폭넓은 지식 경험을 누리세요.

1. 개요

황색종은 피부 아래에 생기는 황색 콜레스테롤 덩어리 또는 그로 인해 발생하는 질환을 통칭한다. 다양한 유형이 있으며, 피부, 힘줄, 손바닥 등 신체 여러 부위에 나타날 수 있다. 황색종은 고지혈증, 당뇨병 등 다른 질환과 관련될 수 있으며, 액체 질소 요법, 고지혈증 치료, 외과적 절제 등의 방법으로 치료한다.

더 읽어볼만한 페이지

  • 간장학 - 간세포암
    간세포암은 간에서 발생하는 악성 종양으로, 만성 간 질환 환자에게서 주로 발생하며, 다양한 원인과 위험 요인에 의해 발생하고, 복통, 황달 등의 증상이 나타날 수 있으며, 수술, 간 이식 등의 치료 방법이 사용되고, 예방을 위해 B형 간염 예방 접종 등이 중요하다.
  • 간장학 - 담관
    담관은 간에서 십이지장으로 연결되는 관 네트워크로, 담즙을 운반하여 지방의 소화와 흡수를 돕고, 폐쇄 시 황달을 유발하며, 담관 배액 시술 등으로 치료한다.
  • 징후 - 심박수
    심박수는 1분 동안 심장이 뛰는 횟수를 나타내는 지표로, 신체의 산소 요구량, 자율신경계, 호르몬 등의 영향을 받아 변하며 건강 상태를 파악하는 데 활용된다.
  • 징후 - 항응고제
    항응고제는 혈액 응고를 억제하여 심혈관 질환과 혈전증을 예방 및 치료하는 약물로, 출혈 위험 증가의 부작용이 있어 출혈 위험 예측 도구를 활용하여 신중히 사용해야 하며, 와파린 외에 다비가트란, 리바록사반, 아픽사반과 같은 직접 경구용 항응고제도 사용된다.
  • 피부 질환 - 류마티스 관절염
    류마티스 관절염은 관절 활막의 만성 염증성 질환으로, 조기 진단과 적극적인 치료를 통해 질병 진행을 늦추고 삶의 질을 향상시키는 것이 중요하며, 진단에는 류마티스 인자와 항CCP 항체가 사용되고 메토트렉세이트 등의 약물로 치료한다.
  • 피부 질환 - 두드러기
    두드러기는 피부에 붉은 팽진과 가려움증을 동반하는 질환으로, 다양한 원인에 의해 발생하며 급성 및 만성으로 분류되고, 항히스타민제 등의 치료를 받는다.
황색종
일반 정보
황색종
여러 결절 황색종을 보이는 환자의 무릎
증상피부 또는 힘줄에 콜레스테롤 침착
세부 정보
의학 분야피부과학

2. 종류

황색판종은 피부 아래, 보통 눈꺼풀 위나 주변에 위치하는 경계가 명확한 황색 콜레스테롤 덩어리이다. 엄밀히 말하면, 황색판종은 황색종이 더 커지고 결절을 이루며 종양과 같은 비율을 나타낼 때에만 구분되는 고유한 상태이다.[3] 그럼에도 불구하고, 흔히 황색종의 하위 유형으로 분류된다.[4]

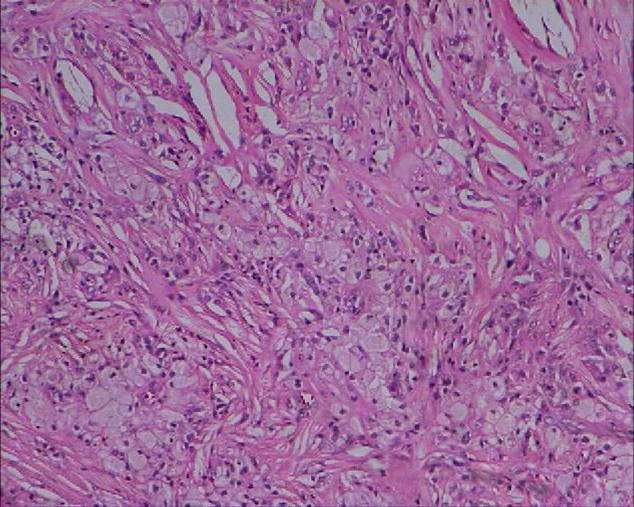
황색종의 조직학적 사진, 지질이 풍부한 거품 세포와 큰 콜레스테롤 열극을 보여준다, 10배 확대, 에오신 및 헤마톡실린 염색
[1]

결절성 황색종은 관절의 결절 부위에 위치한 황색종이 특징이다.[2] 분출성 결절 황색종(ILDS E78.210)은 임상적으로 염증이 있고 융합되는 경향이 있는 붉은 구진과 결절로 특징지어진다.[2] 결절성 황색종은 분출성 황색종과 유사하며 동일한 질병 범위 내에 있는 것으로 간주된다.[5]

'''힘줄 황색종'''(tendon xanthoma 또는 힘줄성 황색종이라고도 함[5])은 손, 발, 뒤꿈치의 힘줄에서 발견되는 구진 및 결절로 임상적으로 특징지어진다.[2] 가족성 고콜레스테롤혈증(FH)과 관련이 있다.[6]

발진성 황색종(ICD-10 E78.220)은 임상적으로 신체 전체, 특히 손, 둔부 및 사지 폄 부위에 갑자기 나타나는 작고 황색-오렌지색에서 적갈색의 구진으로 특징지어지며, 붉은 홍반 후광으로 둘러싸여 있다.[2] 이는 트리글리세리드 수치 상승과 관련이 있는 경향이 있다.[7]

편평 황색종은 몸의 넓은 부위에 확산된 띠 또는 직사각형 판(반점)과 피부의 플라크로 특징지어진다.

손바닥 황색종은 임상적으로 손바닥과 손가락의 굴곡면에 나타나는 황색 반점으로 특징지어진다.[2] 황색에서 오렌지색을 띠는 편평한 반점 또는 약간 융기된 판으로 특징지어지며, 종종 중앙에 흰색 부위가 나타나며 국소적이거나 전반적일 수 있다. 종종 피부 주름, 특히 손바닥 주름에서 발생한다. 이는 고지단백혈증 III형 및 IIA형과 담즙성 간경변과 관련하여 발생한다. 손바닥 황색종의 존재는 힘줄 황색종의 존재와 마찬가지로 고콜레스테롤혈증을 나타낸다.

의학 사전에서 확인된 다른 유형의 황색종은 다음과 같다.[8]

  • 당뇨병성 황색종: 심각한 당뇨병과 자주 연관되는 발진성 황색종의 한 유형이다.
  • 파종성 황색종: 굴곡(접힌) 표면에 위치한 비-X 조직구로 구성된 희귀한 황색종으로, 요붕증과 관련이 있다.
  • 사마귀 황색종 또는 조직구증 Y: 상피 아래의 결합 조직에 조직구가 포함된 구강 점막 및 피부의 유두종이다.
  • 안검 황색종
  • 결절성 황색종
  • 건 황색종
  • 손바닥 선상 황색종
  • 범발성 편평 황색종

2. 1. 안검 황색종

황색판종은 피부 아래, 보통 눈꺼풀 위나 주변에 위치하는 경계가 명확한 황색 콜레스테롤 덩어리이다. 엄밀히 말하면, 황색판종은 황색종이 더 커지고 결절을 이루며 종양과 같은 비율을 나타낼 때에만 구분되는 고유한 상태이다.[3] 그럼에도 불구하고, 흔히 황색종의 하위 유형으로 분류된다.[4][1]

2. 2. 결절성 황색종

결절성 황색종은 관절의 결절 부위에 위치한 황색종이 특징이다.[2] 분출성 결절 황색종(ILDS E78.210)은 임상적으로 염증이 있고 융합되는 경향이 있는 붉은 구진과 결절로 특징지어진다.[2] 결절성 황색종은 분출성 황색종과 유사하며 동일한 질병 범위 내에 있는 것으로 간주된다.[5]

2. 3. 힘줄 황색종

'''힘줄 황색종'''(tendon xanthoma 또는 힘줄성 황색종이라고도 함[5])은 손, 발, 뒤꿈치의 힘줄에서 발견되는 구진 및 결절로 임상적으로 특징지어진다.[2] 가족성 고콜레스테롤혈증(FH)과 관련이 있다.[6]

2. 4. 발진성 황색종

발진성 황색종(ICD-10 E78.220)은 임상적으로 신체 전체, 특히 손, 둔부 및 사지 폄 부위에 갑자기 나타나는 작고 황색-오렌지색에서 적갈색의 구진으로 특징지어지며, 붉은 홍반 후광으로 둘러싸여 있다.[2] 이는 트리글리세리드 수치 상승과 관련이 있는 경향이 있다.[7]

2. 5. 편평 황색종

편평 황색종은 몸의 넓은 부위에 확산된 띠 또는 직사각형 판(반점)과 피부의 플라크로 특징지어진다.

2. 6. 수장 황색종

손바닥 황색종은 임상적으로 손바닥과 손가락의 굴곡면에 나타나는 황색 반점으로 특징지어진다.[2] 황색에서 오렌지색을 띠는 편평한 반점 또는 약간 융기된 판으로 특징지어지며, 종종 중앙에 흰색 부위가 나타나며 국소적이거나 전반적일 수 있다. 종종 피부 주름, 특히 손바닥 주름에서 발생한다. 이는 고지단백혈증 III형 및 IIA형과 담즙성 간경변과 관련하여 발생한다. 손바닥 황색종의 존재는 힘줄 황색종의 존재와 마찬가지로 고콜레스테롤혈증을 나타낸다.

2. 7. 기타 황색종

의학 사전에서 확인된 다른 유형의 황색종은 다음과 같다.[8]

  • 당뇨병성 황색종: 심각한 당뇨병과 자주 연관되는 발진성 황색종의 한 유형이다.
  • 파종성 황색종: 굴곡(접힌) 표면에 위치한 비-X 조직구로 구성된 희귀한 황색종으로, 요붕증과 관련이 있다.
  • 사마귀 황색종 또는 조직구증 Y: 상피 아래의 결합 조직에 조직구가 포함된 구강 점막 및 피부의 유두종이다.
  • 안검 황색종
  • 결절성 황색종
  • 건 황색종
  • 손바닥 선상 황색종
  • 범발성 편평 황색종

3. 원인

4. 치료

황색종의 치료에는 다음과 같은 방법들이 사용된다.

; 액체질소 요법

: 액체 질소 요법은 황색종 치료에 사용되는 방법 중 하나이다.

; 고지혈증 치료

: 황색종의 근본적인 원인인 고지혈증을 치료하여 황색종의 발생을 예방하고, 기존 황색종의 크기를 줄일 수 있다. 고지혈증 치료에는 식이 요법, 운동 요법, 약물 치료 등이 사용된다.

; 외과적 절제

: 황색종은 외과적으로 절제하여 치료할 수 있다. 이는 황색종의 크기가 크거나, 미용상 문제가 되는 경우에 고려할 수 있는 방법이다.

4. 1. 액체질소 요법

액체 질소 요법은 황색종 치료에 사용되는 방법 중 하나이다.

4. 2. 고지혈증 치료

황색종의 치료는 지질 이상증에 대한 치료법으로 액체 질소 요법이 있다.

분류:피부병

분류:종양학

분류:이상지질혈증

4. 3. 외과적 절제

황색종은 외과적으로 절제하여 치료할 수 있다.

참조

[1] 논문 Acute myocardial infarction in an 18 year old South Indian girl with familial hypercholesterolemia: a case report 2008-08
[2] 서적 Andrews' Diseases of the Skin: clinical Dermatology Saunders Elsevier
[3] 서적 Eyelid, conjunctival, and orbital tumors: atlas and textbook Lippincott Williams & Wilkins
[4] 웹사이트 xanthelasma http://medical-dicti[...] The American Heritage Medical Dictionary, Mosby's Medical Dictionary
[5] 서적 Dermatology: 2-Volume Set Mosby
[6] 논문 Achilles'-Tendon Xanthoma in Familial Hypercholesterolemia 1998-05
[7] 논문 Eruptive xanthomas as a cutaneous manifestation of hypertriglyceridemia: a case report 2011-01
[8] 웹사이트 Xanthoma http://www.theodora.[...] 2015-02-05
[9] 서적 Andrews' Diseases of the Skin: clinical Dermatology https://archive.org/[...] Saunders Elsevier



본 사이트는 AI가 위키백과와 뉴스 기사,정부 간행물,학술 논문등을 바탕으로 정보를 가공하여 제공하는 백과사전형 서비스입니다.
모든 문서는 AI에 의해 자동 생성되며, CC BY-SA 4.0 라이선스에 따라 이용할 수 있습니다.
하지만, 위키백과나 뉴스 기사 자체에 오류, 부정확한 정보, 또는 가짜 뉴스가 포함될 수 있으며, AI는 이러한 내용을 완벽하게 걸러내지 못할 수 있습니다.
따라서 제공되는 정보에 일부 오류나 편향이 있을 수 있으므로, 중요한 정보는 반드시 다른 출처를 통해 교차 검증하시기 바랍니다.

문의하기 : help@durumis.com