맨위로가기

CREST 증후군

"오늘의AI위키"는 AI 기술로 일관성 있고 체계적인 최신 지식을 제공하는 혁신 플랫폼입니다.
"오늘의AI위키"의 AI를 통해 더욱 풍부하고 폭넓은 지식 경험을 누리세요.

1. 개요

CREST 증후군은 피부가 두꺼워지고 팽팽해지며 칼슘 침착 결절이 나타나는 질환이다. 레이노 현상, 위장관 문제, 손가락 경화증, 모세혈관 확장증 등의 증상이 나타나며, 자가면역성 항체의 생성과 관련이 있지만 정확한 원인은 밝혀지지 않았다. 진단은 임상 증상, 혈액 검사, 피부 생검 등을 통해 이루어지며, 완치법은 없지만 증상 치료를 통해 질병의 진행을 늦출 수 있다. 이 질환은 1964년 R.H. 윈터바우어에 의해 처음 보고되었다.

더 읽어볼만한 페이지

  • 결합조직질환 - 전신 홍반성 루푸스
    전신 홍반성 루푸스는 면역계가 자신의 조직을 공격하는 만성 자가면역 질환으로, 특징적인 피부 증상과 함께 다양한 증상을 나타내며 유전적, 환경적 요인이 복합적으로 작용하여 발병하고, 증상 완화와 질병 진행 억제를 목표로 치료한다.
  • 결합조직질환 - 전신피부경화증
    전신피부경화증은 피부가 딱딱해지는 만성 자가면역 질환으로, 다양한 장기에 영향을 미치며 레이노 현상, 관절통 등의 증상을 동반하고, 정확한 원인은 불명확하지만 유전적, 환경적 요인 등이 관련 있는 것으로 추정되며, 증상 완화를 위해 ACE 억제제, 면역억제제 등이 사용된다.
  • 자가 면역 질환 - 류마티스 관절염
    류마티스 관절염은 관절 활막의 만성 염증성 질환으로, 조기 진단과 적극적인 치료를 통해 질병 진행을 늦추고 삶의 질을 향상시키는 것이 중요하며, 진단에는 류마티스 인자와 항CCP 항체가 사용되고 메토트렉세이트 등의 약물로 치료한다.
  • 자가 면역 질환 - 크론병
    크론병은 위장관에 만성 염증을 일으키는 질환으로, 유전적 요인, 면역계 이상, 환경적 요인이 복합적으로 작용하며 복통, 설사, 합병증 등을 유발할 수 있고, 약물 요법, 영양 요법, 수술 등으로 치료하며 완치 치료법은 없다.
  • 증후군 - 쇼그렌 증후군
    쇼그렌 증후군은 자가면역 반응으로 발생하는 만성 염증성 질환으로, 침샘과 눈물샘 등에서 분비물 감소를 유발하여 건성안, 구강건조증 등 다양한 증상을 나타낸다.
  • 증후군 - 수근관 증후군
    수근관 증후군은 손목터널 내 정중신경 압박으로 인해 저림, 통증을 유발하며 유전적 요인, 당뇨병, 반복적인 손목 사용 등이 원인이 될 수 있고, 보존적 치료나 수술적 치료를 고려한다.
CREST 증후군
일반 정보
CREST 증후군 (석회증과 손발가락경화증)
CREST 증후군 (석회증과 손발가락경화증)
다른 이름칼시노시스-레이노 현상-식도 침범-손발가락경화증-모세혈관확장증 증후군
분야류마티스내과
발견Winterbauer RH
발표 연도1964년

2. 증상

CREST 증후군은 5가지 주요 증상으로 나타나며, 각 증상의 머리글자를 따서 CREST 증후군이라고 부른다.

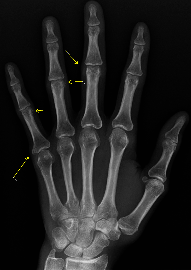
CREST 증후군(석회증 및 경화지증)


CREST 증후군 환자의 석회증을 보여주는 X-레이


CREST 증후군에서 미세 석회화를 보여주는 X-레이

  • Calcinosis(석회증): 피부가 두꺼워지고 팽팽해지며 칼슘 침착 결절이 생긴다.
  • Raynaud's phenomenon(레이노 현상): 스트레스와 낮은 온도에 의해 손가락 피부의 작은 동맥 등이 과도하게 혈관 수축을 일으켜 피부색이 흰색-파란색-빨간색으로 변하는 현상이다.
  • Esophageal dysmotility(식도 운동 장애): 음식이 중간 또는 하부 식도에 걸리는 듯한 느낌이 든다.
  • Sclerodactyly(손가락 경화증): 피부에 콜라겐 침착이 증가하여 피부가 점차 조여든다.
  • Telangiectasias(모세혈관 확장증): 얼굴, 손바닥, 점막 등에 모세혈관 확장증이 나타난다.


CREST 증후군의 다른 증상으로는 피로, 쇠약, 호흡 곤란, 손과 발의 통증, 어지럼증, 그리고 상처가 잘 아물지 않는 증상이 나타날 수 있다. 또한 국한성 피부 경화증(lcSSc) 환자는 흔히 폐동맥 고혈압을 앓게 되며, 이는 폐성 심장증을 유발할 수 있다.

2. 1. 석회증 (Calcinosis)

피부가 두꺼워지고 팽팽해지며 칼슘 침착 결절(Calcinosis|칼시노시스영어)이 생긴다.[1]

2. 2. 레이노 현상 (Raynaud's phenomenon)

레이노 현상은 CREST 증후군의 첫 번째 징후로 나타나는 경우가 많으며, 다른 증상보다 수년 전에 나타나기도 한다. 스트레스와 낮은 온도는 손가락 피부의 작은 동맥, 세동맥, 그리고 체온 조절 혈관의 과도한 혈관 수축을 유발한다. 임상적으로는 피부색이 흰색-파란색-빨간색으로 변하는 현상으로 나타난다. 이러한 변화는 손가락의 창백함과 청색증을 보이다가, 다시 따뜻해지면서 반응성 과혈류가 나타나는 현상이다.[3] 극심하고 빈번하게 나타나는 경우, 이 현상은 손가락 궤양, 괴사 또는 절단으로 이어질 수 있다. 궤양은 해당 부위의 만성 감염을 유발할 수 있다.

2. 3. 식도 운동 장애 (Esophageal dysmotility)

음식이 중간 또는 하부 식도에 걸리는 느낌(연하곤란)과 비전형적인 흉통 또는 기침이 나타난다. 환자들은 종종 고형 음식을 삼키기 위해 액체를 마셔야 한다고 말한다. 이러한 운동성 문제는 위장관 벽 평활근의 위축으로 발생하며,[3] 이러한 변화는 유의미한 조직 섬유화의 병리학적 증거가 있거나 없이 발생할 수 있다.

2. 4. 손가락 경화증 (Sclerodactyly)

가장 쉽게 인지할 수 있는 증상이지만, 모든 환자에게서 두드러지게 나타나는 것은 아니다. 일반적으로 피부가 두꺼워지는 현상은 CREST 증후군 환자의 손가락, 즉 손허리손가락 관절(metacarpophalangeal joint) 원위부의 피부에만 국한된다. 질병 초기에는 피부가 부어오르고 염증이 나타날 수 있다. 결국, 진피 섬유아세포가 과도하게 세포외 기질을 생성하여 피부에 콜라겐 침착이 증가한다. 콜라겐 가교 결합으로 인해 피부가 점차 조여든다. 손가락 원위부에 허혈성 궤양이 흔하게 발생하며, 환자의 30~50%에서 나타난다.[3]

2. 5. 모세혈관 확장증 (Telangiectasias)

얼굴, 손바닥, 점막에 모세혈관 확장증이 나타난다. 모세혈관 확장증은 폐동맥 고혈압과 같은 다른 경피증 관련 혈관 질환을 가진 사람들에게 더 많이 나타나는 경향이 있다. 모세혈관 확장증의 수와 관련 부위는 시간이 지남에 따라 증가하는 경향이 있다.[3]

2. 6. 기타 증상

피로, 쇠약, 호흡 곤란, 손과 발의 통증, 어지럼증 및 상처가 잘 아물지 않는 증상이 나타날 수 있다.[1]

국한성 피부 경화증(lcSSc) 환자는 흔히 폐동맥 고혈압을 앓게 되며, 이는 폐성 심장증(심부전의 일종으로, 폐동맥 압력 증가로 인해 발생)을 유발할 수 있다.[1]

3. 원인

CREST 증후군은 자가면역성 항핵 및 항중심체 항체의 생성을 수반하지만, 그 원인은 현재 밝혀지지 않았다. 알려진 감염성 원인은 없다.

4. 진단

CREST 증후군은 다른 결합 조직 및 자가면역 질환의 증상과 매우 유사하여 쉽게 진단되지 않는다. 진단은 일반적으로 환자가 5가지 주요 임상 증상 중 2개 이상을 나타낼 때 내려진다.[5] 또한, 양성 ANA 및 ACA를 검사하기 위한 혈액 검사를 실시하거나 진단을 확인하기 위해 피부 생검을 실시할 수 있다.[6]


5. 치료

현재까지 CREST 증후군에 대한 완치법은 없다. 면역억제제 등을 사용하여 질병 진행을 늦출 수 있다. 식도 역류, 폐고혈압, 레이노 현상 등은 증상 완화 치료를 시행한다.

6. 역학

원발성 담즙성 담관염 환자의 최대 10%에서 나타날 수 있다.[7]

7. 역사

증상의 조합은 1964년 존스 홉킨스 의과대학 의대생이었던 R.H. 윈터바우어에 의해 처음 보고되었다.[2]

참조

[1] 웹사이트 Orphanet: CREST syndrome https://www.orpha.ne[...] 2019-04-27
[2] 논문 Multiple telangiectasia, Raynaud's phenomenon, sclerodactyly, and subcutanious calcinosis: a syndrome mimicking hereditary hemorrhagic telangiectasia
[3] 웹사이트 CURRENT Rheumatology Diagnosis & Treatment, 3e http://accessmedicin[...] New York: McGraw-Hill 2014-02-20
[4] 논문 Anti-Nuclear Antibodies Patterns in Patients With Systemic Lupus Erythematosus and Their Correlation With Other Diagnostic Immunological Parameters.
[5] 웹사이트 CREST syndrome: MedlinePlus Medical Encyclopedia Image https://medlineplus.[...]
[6] 웹사이트 CREST syndrome - Genetic and Rare Diseases Information Center (GARD) – an NCATS Program https://rarediseases[...] 2017-12-05
[7] 논문 Primary biliary cirrhosis. 2003-07-05
[8] 웹인용 Orphanet: CREST syndrome https://www.orpha.ne[...] 2019-04-27
[9] 저널 인용 Multiple telangiectasia, Raynaud's phenomenon, sclerodactyly, and subcutanious calcinosis: a syndrome mimicking hereditary hemorrhagic telangiectasia



본 사이트는 AI가 위키백과와 뉴스 기사,정부 간행물,학술 논문등을 바탕으로 정보를 가공하여 제공하는 백과사전형 서비스입니다.
모든 문서는 AI에 의해 자동 생성되며, CC BY-SA 4.0 라이선스에 따라 이용할 수 있습니다.
하지만, 위키백과나 뉴스 기사 자체에 오류, 부정확한 정보, 또는 가짜 뉴스가 포함될 수 있으며, AI는 이러한 내용을 완벽하게 걸러내지 못할 수 있습니다.
따라서 제공되는 정보에 일부 오류나 편향이 있을 수 있으므로, 중요한 정보는 반드시 다른 출처를 통해 교차 검증하시기 바랍니다.

문의하기 : help@durumis.com