맨위로가기

간이식

"오늘의AI위키"는 AI 기술로 일관성 있고 체계적인 최신 지식을 제공하는 혁신 플랫폼입니다.
"오늘의AI위키"의 AI를 통해 더욱 풍부하고 폭넓은 지식 경험을 누리세요.

1. 개요

간이식은 말기 간 부전을 치료하기 위한 외과적 수술로, 뇌사자 또는 생체 기증자의 간을 이식하는 방식으로 진행된다. 1963년 세계 최초로 시체 간 이식이 시행되었으며, 이후 생체 간 이식과 면역 억제제의 개발로 발전했다. 간 이식은 심각한 간 질환, 예를 들어 간경변, 전격성 간염, 간세포암 등을 앓는 환자에게 시행되며, 환자의 상태를 평가하기 위해 MELD 점수 등의 지표가 활용된다. 수술 방법에는 정위 간 이식, 분할 간 이식, 생체 간 이식 등이 있으며, 수술 후에는 면역 억제제를 사용하여 거부 반응을 예방한다. 간 이식 후 합병증으로는 거부 반응, 담도 및 혈관 합병증 등이 있으며, 예후는 환자의 건강 상태와 수술 성공 여부에 따라 달라진다. 간 이식과 관련된 윤리적 문제, 예를 들어 장기 분배의 공정성, 생체 기증의 위험성, 장기 매매 등이 제기되며, 의료용 대마초 사용과 관련된 논란도 존재한다. 또한, 간 이식 후 면역 관용 유도, 인공 간 개발, 장기 보존 기술 향상 등 다양한 연구가 진행되고 있다.

더 읽어볼만한 페이지

  • 장기 이식 - 면역억제제
    면역억제제는 과도하거나 잘못된 면역반응을 억제하여 이식 거부 반응, 자가면역질환, 염증성 질환을 치료 및 예방하는 약물로, 염증 조절, 림프구 감소, 신호 전달 억제 등 다양한 작용 기전을 가지며, 여러 종류의 약물이 존재하지만 감염 위험 증가, 신장 독성 등 부작용을 동반하므로 신중한 사용과 모니터링이 필요하다.
  • 장기 이식 - 신장 이식
    신장 이식은 말기 신부전 환자의 손상된 신장을 뇌사자나 생체 기증자의 건강한 신장으로 대체하는 외과적 시술로, 생존율 향상과 삶의 질 개선 효과가 있지만 합병증, 거부 반응, 면역억제제 부작용 등의 위험과 윤리적 문제가 존재한다.
  • 간장학 - 간세포암
    간세포암은 간에서 발생하는 악성 종양으로, 만성 간 질환 환자에게서 주로 발생하며, 다양한 원인과 위험 요인에 의해 발생하고, 복통, 황달 등의 증상이 나타날 수 있으며, 수술, 간 이식 등의 치료 방법이 사용되고, 예방을 위해 B형 간염 예방 접종 등이 중요하다.
  • 간장학 - 담관
    담관은 간에서 십이지장으로 연결되는 관 네트워크로, 담즙을 운반하여 지방의 소화와 흡수를 돕고, 폐쇄 시 황달을 유발하며, 담관 배액 시술 등으로 치료한다.
간이식
개요
정의의 기능을 상실한 환자에게 건강한 간을 이식하는 외과적 절차이다.
관련 학문간학, 이식외과학
적응증
주요 원인알코올성 간질환
C형 간염
비알코올성 지방간염
원발성 담즙성 담관염
자가면역성 간염
원발성 경화성 담관염
급성 간부전
대사성 간질환
윌슨병
혈색소침착증
알파-1 항트립신 결핍증
버드-키아리 증후군
간세포암
기타 고려사항Child-Pugh 점수와 MELD 점수를 사용하여 간 질환의 심각도를 평가하고 이식 필요성을 결정한다.
절차
방법뇌사자 간이식: 사망한 기증자의 간을 이식한다.
생체 간이식: 살아있는 기증자의 간 일부를 이식한다.
부분 간이식: 간의 일부만을 이식한다.
분할 간이식: 하나의 간을 두 명의 환자에게 이식한다.
수술 과정기증자의 간을 적출한다.
환자의 손상된 간을 제거한다.
기증자의 간을 환자의 복강 내에 이식하고 혈관 및 담도를 연결한다.
접근 방식정형 간이식: 전체 간을 이식한다.
생체 간이식: 살아있는 기증자의 간 일부를 이식한다.
합병증
이식 후 초기이식된 간의 원발성 기능 부전
간동맥 혈전증
문맥 혈전증
담도 협착
담즙 누출
허혈성 담관병증
기타감염
출혈
혈전
이식 거부 반응
신부전
경과 및 예후
생존율이식 후 1년 생존율은 80~90%이며, 5년 생존율은 70~80%이다.
성공 요인환자의 전반적인 건강 상태
이식 전 간 질환의 종류 및 심각도
이식 후 합병증 발생 여부
면역억제제 복용 순응도
기타
다른 치료법간 질환의 진행을 늦추거나 증상을 완화하는 약물 치료, 생활 습관 개선 등이 있다.
주의사항이식 대기자 명단에 등록된 환자는 정기적인 검진을 받아야 한다.
이식 후에는 면역억제제를 꾸준히 복용해야 한다.
건강한 생활 습관을 유지하는 것이 중요하다.
추가 정보
관련 정보Reddy, Mettu Srinivas; Varghese, Joy; Venkataraman, Jayanthi; Rela, Mohamed (2013년 11월 27일). "Matching donor to recipient in liver transplantation: Relevance in clinical practice". World Journal of Hepatology. 5 (11): 603–611. doi:10.4254/wjh.v5.i11.603. PMC 3847943. PMID 24303088.

2. 역사

세계 최초의 간이식 시행은 1963년 미국 콜로라도 대학교의 토마스 스타즐에 의해 시체 간 이식이 시행되었다.[26] 1988년 브라질 상파울루 대학교의 실바노 라에 의해 처음으로 생체 간 이식 수술이 시행되었으며, 이후 영국 케임브리지 대학교의 로이 요크 칼네에 의해 이식 후 거부 반응에 대한 면역 억제제로서 사이클로스포린이 도입되어 성적이 향상되었다.

일본에서는 1964년 지바 대학의 나카야마 츠네아키에 의해 선천성 담도 폐쇄증 환자에 대한 뇌사자의 시체 간 이식이 시행된 것이 최초로 보고되었으며, 1989년 시마네 대학의 나가스에 나오후미에 의해 선천성 담도 폐쇄증 환자에 대한 첫 생체 간 이식 수술이 시행되었다.

대한민국에서는 1988년 서울대학교 의과대학 외과 김수태 교수팀이 42세 남자 환자에게 뇌사자의 간을 이식하는 수술을 국내 최초로 성공하였다.

2. 1. 한국 간 이식의 역사

1954년 이탈리아 밀라노의 오스페달레 마조레 폴리클리니코에서 비토리오 스타우다허가 개를 대상으로 최초의 간 이식을 시도하였다.[25] 최초의 인간 간 이식은 1963년 토마스 스타즐에 의해 시도되었으나, 환자는 수술 중 사망하였다.[26] 1967년 스타즐은 간모세포종을 앓고 있던 19개월 여자아이에게 간 이식을 성공, 아이는 1년 이상 생존하였다.[26] 1980년대에는 사이클로스포린의 도입으로 환자 결과가 개선되었고, 간 이식은 표준 임상 치료법으로 인정받게 되었다. 생체 간 기증 간 이식은 부족한 간 동종이식편 공급 문제 해결을 위해 개발되었다.

3. 적응증

간 이식은 비가역적이고 심각한("말기") 간 기능 부전을 유발하는 급성 또는 만성 질환에 대한 잠재적 치료법이다.[2] 이 시술은 비교적 높은 위험을 수반하고, 자원 집약적이며, 수술 후 주요한 생활 방식의 변화를 요구하기 때문에, 심각한 상황에 한정하여 시행된다.

간 이식의 적절성/효과를 사례별로 판단하는 것은 매우 중요하며 (''금기'’ 참조), 결과는 매우 다양하다.

성인의 경우 말기 간 질환 모델(MELD 점수)과 12세 미만 어린이를 위한 소아 말기 간 질환(PELD) 점수는 다양한 임상 기준을 고려하여 간 이식의 필요성을 평가하는 데 사용되는 임상 점수 도구이다.[22] 각 임상 점수 도구의 점수가 높을수록 간 질환의 심각도가 높다는 것을 의미하며, 따라서 간 이식의 필요성이 더 크다는 것을 나타낸다.[22] 만성 간 질환이 있는 환자의 경우, 간성 뇌증, 정맥류 출혈, 복수, 또는 자발성 세균성 복막염과 같은 대상 부전 사건은 간 이식의 새로운 필요성을 알릴 수도 있다.[22]

간이식의 적응 질환으로는 일반적으로 다음과 같은 질환들이 있다. 일본에서의 보험 적용 질환은 다음과 같다.


  • 선천성 담도 폐쇄증
  • 진행성 간내 담즙 울체증 (원발성 담즙성 담관염・원발성 경화성 담관염)
  • 알라질 증후군/Alagille syndrome영어
  • 바드-키아리 증후군
  • 선천성 대사성 간 질환 (윌슨병・시트룰린혈증・가족성 아밀로이드 신경병증/Familial amyloid neuropathy영어 등)
  • 다발성 낭포 간
  • 카롤리병/Caroli disease영어
  • 전격성 간염
  • 간경변 (비대상기)
  • 간세포암을 동반한 간경변은, 원격 전이와 혈관 침윤이 없고, 종양이 단발성일 경우 5cm 이하, 복수일 경우 3cm 이하 3개 이내로 제한한다.
  • 이식 수술 전 1개월 이내에 시행한 조영 CT 검사 등의 영상 검사로 평가한다.
  • 간세포암 병발 간경변에 대한 간 이식의 수술 후 성적에 대해, 1996년 이탈리아 밀라노에 있는 "Istituto Nazionale dei Tumori (이탈리아 국립 암 연구소)"의 빈첸초 마차페로(Vincenzo Mazzaferro)에 의해 보고된 기준, 밀라노 기준/Milan criteria영어을 근거로 한다.

3. 1. 성인

성인의 경우, 간 이식은 비가역적이고 심각한 간 기능 부전을 유발하는 급성 또는 만성 질환에 대한 잠재적 치료법이다.[2] 만성 간 질환 환자의 경우, 간성 뇌증, 정맥류 출혈, 복수, 자발성 세균성 복막염과 같은 대상 부전 사건은 간 이식의 새로운 필요성을 알릴 수 있다.[22]

말기 간 질환 모델(MELD 점수)은 성인의 간 이식 필요성을 평가하는 데 사용되는 임상 점수 도구이다.[22] 점수가 높을수록 간 질환의 심각도가 높다는 것을 의미하며, 따라서 간 이식의 필요성이 더 크다는 것을 나타낸다.[22]

간이식의 적응 질환으로는 일반적으로 다음과 같은 질환들이 있다.

  • 간경변 (비대상기)
  • 전격성 간염
  • 바드-키아리 증후군
  • 다발성 낭포 간

  • 진행성 간내 담즙 울체증 (원발성 담즙성 담관염・원발성 경화성 담관염)


간세포암을 동반한 간경변의 경우, 원격 전이와 혈관 침윤이 없고, 종양이 단발성일 경우 5cm 이하, 복수일 경우 3cm 이하 3개 이내여야 한다. 이는 1996년 이탈리아 밀라노 "Istituto Nazionale dei Tumori (이탈리아 국립 암 연구소)"의 빈첸초 마차페로(Vincenzo Mazzaferro)가 보고한 에 따른다.

알코올성 간경변 환자에게 간 이식을 시행하는 빈도가 높다는 사실은 해당 환자의 간 이식 적격성에 대한 논란을 불러일으킨다.[34] 알코올 사용 장애가 있는 이식 후보자와 알코올 의존성이 없는 환자를 구별하는 것은 선택 과정의 중요한 부분이며, 알코올 사용을 조절하는 경우 이식 후 예후가 좋다.[35]

3. 2. 소아

소아의 경우 간 이식은 선천성 담도 폐쇄증, 진행성 간내 담즙 울체증, 알라질 증후군/Alagille syndrome영어, 윌슨병, 시트룰린혈증, 가족성 아밀로이드 신경병증/Familial amyloid neuropathy영어 등 선천성 대사성 간 질환과 같은 질환에 적용된다.[17] 일본에서는 이러한 질환들이 보험 적용 대상이다. 생체 간 기증 이식이 널리 받아들여지고 있으며, 부모가 자녀에게 간의 일부를 기증하는 경우가 많다.[17] 이는 이식을 기다리다 사망하는 어린이의 수를 줄이는 데 기여했다. 부분 간 이식의 경우, 공여자의 좌엽을 주로 사용하며, 간공장문합술, 문맥 정맥 문합, 간 동맥 문합, 하대정맥 문합 등 네 가지 문합이 필요하다.[17]

어린이의 경우 작은 복강으로 인해 부분 간, 대개 공여자의 좌엽만 들어갈 공간이 있다.

4. 금기 사항

간 이식은 다음과 같은 경우에 시행할 수 없다.


  • 교정 불가능한 심각한 심장 또는 폐 질환, 간 이외 부위로 전이된 악성 종양(일부 간암 제외), 조절되지 않는 패혈증, AIDS(HIV 감염은 고강도 항레트로바이러스 요법으로 조절될 경우 상대적 금기 사항), 활동성 약물 또는 알코올 남용, 간 이식을 방해하는 해부학적 이상 등은 간 이식의 절대적 금기 사항이다.[34][35][2][22]

  • 간 이외의 부위로 전이되었거나 전이 가능성이 있는 진행성 간암 환자, 시술 없이 성공적으로 치료할 수 없는 모든 유형의 암 환자(피부암 제외), 활성 불법 약물 사용자, 간 이식을 방해하는 해부학적 이상을 가진 환자는 일반적으로 부적합한 후보로 간주된다. 심각한 심장/폐 질환(원발성 심장/폐 질환이든 간 질환으로 인해 발생한 것이든 관계없이), HIV/AIDS 환자, 특히 잘 관리되지 않는 경우도 마찬가지이다.


하지만 이러한 금기 사항 중 많은 부분이 가역적인 것으로 간주된다. 예를 들어, 간암의 부분적인 치료로 간 이외의 부위로의 전이 위험을 줄이거나, 약물 사용을 중단하거나, 경피적 관상 동맥 중재술 또는 우회술을 통해 심장 기능을 개선하거나, 치료된 HIV 감염의 경우 유리한 후보가 될 수 있다.

  • 혈관 수축제 지원이 필요한 혈역학적 불안정성, 큰 간암 또는 혈관 침윤, 간내 담관암, 노쇠, 뇌 손상이 의심되는 전격성 간 부전, 최근 음주력이 있는 알코올 사용 장애, 흡연, 부적절한 사회적 지원, 의료 관리에 대한 비순응과 같은 상태는 간 이식 자격을 박탈할 수 있지만, 이러한 경우는 대개 다학제 이식 팀에서 개별적으로 평가한다.

  • 과거에는 HIV 감염이 간 이식의 절대적인 금기 사항이었으나, 고활성 항레트로바이러스 치료법(HAART)의 등장으로 HIV 감염자의 예후가 크게 개선되어 HAART로 조절되는 HIV는 더 이상 간 이식의 금기 사항이 아니다. 조절되지 않는 HIV 질병(AIDS)은 여전히 절대적인 금기 사항이다.

4. 1. 절대적 금기 사항

교정 불가능한 심각한 심장 또는 폐 질환, 간 이외 부위로 전이된 악성 종양(일부 간암 제외), 조절되지 않는 패혈증, AIDS(HIV 감염은 고강도 항레트로바이러스 요법으로 조절될 경우 상대적 금기 사항), 활동성 약물 또는 알코올 남용, 간 이식을 방해하는 해부학적 이상 등은 간 이식의 절대적 금기 사항이다.[34][35][2][22]

간 이외의 부위로 전이되었거나 전이 가능성이 있는 진행성 간암 환자, 시술 없이 성공적으로 치료할 수 없는 모든 유형의 암 환자(피부암 제외), 활성 불법 약물 사용자, 간 이식을 방해하는 해부학적 이상을 가진 환자는 일반적으로 부적합한 후보로 간주된다. 심각한 심장/폐 질환(원발성 심장/폐 질환이든 간 질환으로 인해 발생한 것이든 관계없이), HIV/AIDS 환자, 특히 잘 관리되지 않는 경우도 마찬가지이다.

하지만 이러한 금기 사항 중 많은 부분이 가역적인 것으로 간주된다. 예를 들어, 간암의 부분적인 치료로 간 이외의 부위로의 전이 위험을 줄이거나, 약물 사용을 중단하거나, 경피적 관상 동맥 중재술 또는 우회술을 통해 심장 기능을 개선하거나, 치료된 HIV 감염의 경우 유리한 후보가 될 수 있다.

혈관 수축제 지원이 필요한 혈역학적 불안정성, 큰 간암 또는 혈관 침윤, 간내 담관암, 노쇠, 뇌 손상이 의심되는 전격성 간 부전, 최근 음주력이 있는 알코올 사용 장애, 흡연, 부적절한 사회적 지원, 의료 관리에 대한 비순응과 같은 상태는 간 이식 자격을 박탈할 수 있지만, 이러한 경우는 대개 다학제 이식 팀에서 개별적으로 평가한다.

과거에는 HIV 감염이 간 이식의 절대적인 금기 사항이었으나, 고활성 항레트로바이러스 치료법(HAART)의 등장으로 HIV 감염자의 예후가 크게 개선되어 HAART로 조절되는 HIV는 더 이상 간 이식의 금기 사항이 아니다. 조절되지 않는 HIV 질병(AIDS)은 여전히 절대적인 금기 사항이다.

4. 2. 상대적 금기 사항

고령은 절대적인 연령 제한은 없으나, 환자의 전반적인 건강 상태를 고려하여 판단한다. 중증도 이상의 비만, 정신 질환, 부적절한 사회적 지지도 상대적 금기 사항에 해당한다.

5. 수술 방법

거의 모든 간 이식은 정위적 방식으로 이루어진다. 즉, 원래의 간을 제거하고 새로운 간을 동일한 해부학적 위치에 배치한다.[6] 이식 수술은 간 절제 단계, 무간(간 없음) 단계, 이식 후 단계로 구성된다. 수술은 상복부에 큰 절개를 통해 이루어진다. 간 절제는 간에 부착된 모든 인대, 총담관, 간동맥, 세 개의 간정맥문맥을 절단하는 것을 포함한다. 일반적으로 하대정맥의 후간 부분은 간과 함께 제거되지만, 수혜자의 하대정맥을 보존하는 대체 기술("피기백" 기술)도 있다.

이식 간이 이식될 때까지 간 내의 기증자 혈액은 UW (비아스판) 또는 HTK와 같은 얼음처럼 차가운 장기 보존 용액으로 대체된다. 이식에는 하대정맥, 문맥 및 간동맥의 문합(연결)이 포함된다. 새로운 간으로 혈류가 회복된 후 담도(담관) 문합이 수혜자의 담관 또는 소장에 연결된다. 수술은 일반적으로 5~6시간이 걸리지만, 수술의 난이도와 외과의의 경험에 따라 더 길거나 짧을 수 있다.

대다수의 간 이식은 특히 성인 수혜자의 경우 생존하지 않은 기증자로부터 전체 간을 이식에 사용한다. 소아 간 이식의 주요 발전은 크기가 축소된 간 이식의 개발이었으며, 여기에는 성인 간의 일부를 유아 또는 어린이를 위해 사용한다. 이 분야의 추가 개발에는 하나의 간을 두 명의 수혜자에게 이식하는 분할 간 이식과 건강한 사람의 간 일부를 제거하여 동종이식편으로 사용하는 생체 기증 간 이식이 포함되었다. 소아 수혜자를 위한 생체 기증 간 이식은 간의 약 20% (쿠이노 구획 2 및 3)을 제거하는 것을 포함한다.

간 이식의 추가 발전은 종양이 있는 간엽의 절제만 포함하며, 종양이 없는 엽은 수혜자 내에 남아 있다. 이것은 회복 속도를 높이고 환자의 병원 체류 기간을 5~7일 이내로 빠르게 단축시킨다.

간 종양의 고주파 절제술은 간 이식을 기다리는 동안 가교 치료로 사용할 수 있다.[7]

5. 1. 기증자 유형

간이식은 기증자의 유형에 따라 뇌사 기증과 생체 기증으로 나뉜다.[19]

뇌사 기증은 뇌 기능이 완전히 정지된 상태에서 장기를 기증하는 경우이다.

생체 간 이식(LDLT)은 건강한 사람의 간 일부를 절제하여 이식하는 방법으로, 간경변 및/또는 간세포성 암종과 같은 말기 간 질환 환자에게 적용된다.[8][9] 이는 인간 간의 재생 능력과 사체 간 부족 현상에 기반한다.[10] 1989년 7월 상파울루 대학교 의과대학의 실바노 라야(Silvano Raia)가 LDLT의 첫 성공 사례를 보고했고,[8][9] 같은 해 11월 시카고 대학교 메디컬 센터의 크리스토프 브로엘쉬(Christoph Broelsch)가 소아에게 LDLT를 시행했다.[10]

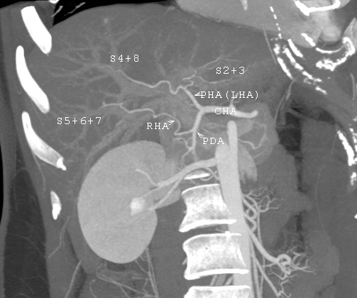
잠재적 기증자 평가를 위해 수행된 CT 스캔. 이 이미지는 특이한 간 동맥 변이를 보여준다.


생체 기증자는 가족 구성원, 부모, 형제자매, 자녀, 배우자 또는 자원봉사자가 될 수 있으며,[13][14] 건강 상태, 혈액형 일치 여부, 기증 동기, 연령, 체격 등의 기준을 충족해야 한다.[13][14] 생체 간 기증은 뇌사 기증에 비해 이식 대기 시간을 줄이고, 뇌사 장기 기증자를 기다리는 동안 발생할 수 있는 합병증과 사망 가능성을 낮추는 장점이 있다.

생체 기증자의 간은 4~6주 이내에 100% 기능에 가깝게 재생되며, 정상적인 구조가 재현되면서 거의 완전한 부피 크기에 도달한다.[12] 하지만 기증자는 수술 후 혈전, 담도 문제 등의 합병증 및 사망의 위험에 직면할 수 있다.[12]

5. 2. 수술 기법

간 이식 수술은 크게 정위 간 이식, 분할 간 이식, 생체 간 이식, 보조 이식으로 나뉜다.[6] 정위 간 이식은 환자의 병든 간을 제거하고 기증자의 간을 원래 위치에 이식하는 방법이다.[6] 이식 수술은 간 절제 단계, 무간(간 없음) 단계, 이식 후 단계로 구성되며, 상복부에 큰 절개를 통해 이루어진다.[6] 간 절제는 간에 부착된 모든 인대, 총 담관, 간 동맥, 세 개의 간 정맥 및 문맥을 절단하는 것을 포함한다.[6] 일반적으로 하대정맥의 후간 부분은 간과 함께 제거되지만, 수혜자의 하대정맥을 보존하는 "피기백" 기술도 있다. 이식에는 하대정맥, 문맥 및 간 동맥의 문합(연결)이 포함되며, 새로운 간으로 혈류가 회복된 후 담도(담관) 문합이 수혜자의 담관 또는 소장에 연결된다.[6]

분할 간 이식은 하나의 간을 두 명의 수혜자에게 이식하는 방법이며, 생체 간 이식은 생체 기증자의 간 일부를 절제하여 이식하는 방법이다. 생체 간 이식은 간경변 및/또는 간세포성 암종과 같은 말기 간 질환 환자에게 적용되며, 사체 간 부족 현상을 해결하기 위한 대안으로 등장했다. 생체 간 이식의 개념은 인간 간의 놀라운 재생 능력과 사체 간의 부족 현상에 기반한다. 건강한 사람의 간 일부를 수술적으로 제거하여 수혜자에게 이식하며, 수혜자의 질병에 걸린 간은 완전히 제거된다.

전산 단층 촬영술(computed tomography)로 생성된 부피 렌더링 이미지로, 잠재적 기증자의 간 부피를 평가하는 데 사용할 수 있음


소아 간 이식의 경우, 성인 간의 일부를 유아 또는 어린이에게 사용하는 크기 축소 간 이식이 개발되었다. 더 나아가 하나의 간을 두 명의 수혜자에게 이식하는 분할 간 이식과 건강한 사람의 간 일부를 제거하여 동종이식편으로 사용하는 생체 기증 간 이식이 개발되었다. 소아 수혜자를 위한 생체 기증 간 이식은 간의 약 20% (쿠이노 구획 2 및 3)를 제거한다.

간 종양이 있는 경우, 종양이 있는 간엽만 절제하고 종양이 없는 엽은 수혜자 내에 남겨두는 방식도 있다. 이는 회복 속도를 높이고 환자의 병원 체류 기간을 단축시킨다. 간 종양의 고주파 절제술은 간 이식을 기다리는 동안 가교 치료로 사용될 수 있다.[7]

생체 간 이식은 뇌사 기증자 이식에 비해 기증자가 즉시 이용 가능하여 선택적으로 이식을 수행할 수 있다는 장점이 있다. 또한 뇌사 장기 기증자를 기다리는 동안 발생할 수 있는 합병증과 사망의 가능성을 줄일 수 있다.

최근 수십 년 동안 수술의 중요한 선택지로 등장한 생체 간 이식(LDLT)은 말기 간 질환 환자에게 적용된다. LDLT의 첫 성공 사례는 1989년 7월 상파울루 대학교 의과대학의 실바노 라야(Silvano Raia)가 보고했다.[8][9] 1989년 11월 시카고 대학교 메디컬 센터의 크리스토프 브로엘쉬(Christoph Broelsch)는 두 살 된 앨리사 스미스에게 어머니의 간 일부를 이식했다.[10]

성인 수혜자 LDLT에서는 건강한 생체 기증자로부터 간의 55~70%(우엽)가 제거된다. 기증자의 간은 4~6주 이내에 100% 기능에 가깝게 재생되며, 곧 정상적인 구조가 재현되면서 거의 완전한 부피 크기에 도달한다.

보조 이식은 환자의 간 일부를 남겨두고 기증자의 간 일부를 추가로 이식하는 방법으로, 드물게 시행된다.

5. 3. 수술 과정

간 이식 수술은 크게 간 절제, 무간(간 없음), 이식 후 단계로 나뉜다.[6] 수술은 상복부에 큰 절개를 통해 이루어진다.

간 절제 단계에서는 간에 부착된 모든 인대, 총담관, 간동맥, 세 개의 간정맥문맥을 절단한다. 일반적으로 하대정맥의 후간 부분은 간과 함께 제거되지만, 수혜자의 하대정맥을 보존하는 "피기백" 기술도 있다.

이식 전까지 간 내의 기증자 혈액은 UW (비아스판) 또는 HTK와 같은 차가운 장기 보존 용액으로 대체된다. 이식 단계에서는 하대정맥, 문맥 및 간 동맥을 문합(연결)한다. 혈류가 회복된 후에는 담도(담관)를 수혜자의 담관 또는 소장에 연결한다. 수술 시간은 보통 5~6시간 정도 소요되지만, 수술 난이도와 외과의의 경험에 따라 달라질 수 있다.

대부분의 간 이식은 사망한 기증자의 간 전체를 사용하지만, 소아 간 이식의 경우 성인 간의 일부를 사용하기도 한다. 하나의 간을 두 명에게 이식하는 분할 간 이식, 건강한 사람의 간 일부를 제거하여 사용하는 생체 기증 간 이식도 시행된다. 간 종양이 있는 경우, 종양 부위만 절제하고 종양이 없는 부분은 남겨두는 방법도 시행되어 회복 속도를 높이고 입원 기간을 단축시킨다.

간 종양의 고주파 절제술은 간 이식을 기다리는 동안의 가교 치료로 사용될 수 있다.[7]

일본에서는 뇌사 간 이식보다 생체 (부분) 간 이식이 더 많다. 생체 간 이식에서는 기증자의 간 좌엽 또는 우엽을 부분 절제하고, 담낭 절제술을 시행한다. 수혜자의 병든 간을 절제하고, ABO 혈액형 부적합 이식의 경우 비장 절제술도 시행한다. 이후 기증자로부터 얻은 이식편을 설치하고 간정맥, 문맥, 간동맥 문합, 담관 재건 순으로 진행한다.

6. 수술 후 관리

대부분의 다른 동종 이식과 마찬가지로, 간 이식은 면역 억제제를 사용하지 않으면 수혜자에게 거부될 것이다. 모든 고형 장기 이식에 대한 면역 억제 요법은 상당히 유사하며, 현재 다양한 약물이 사용 가능하다. 대부분의 간 이식 수혜자는 코르티코스테로이드와 타크로리무스 또는 시클로스포린(사이클로스포린이라고도 표기)과 같은 칼시뉴린 억제제, 그리고 미코페놀산 모페틸과 같은 퓨린 길항제를 투여받는다. 간 이식 첫 해에는 시클로스포린보다 타크로리무스를 사용하는 것이 임상 결과가 더 좋다. 환자가 활동성 B형 간염과 같은 동반 질환을 앓고 있는 경우, 간 이식 환자에게 고용량의 B형 간염 면역글로불린을 투여한다.

약리학적 면역 억제와 기저 간 질환의 면역 억제 때문에, 예방 접종 가능한 질병에 대한 백신 접종은 간 이식 전후에 매우 권장된다. 이식 수혜자의 백신 주저함은 일반 인구보다 적다. 백신 접종은 이식 후 면역 억제가 백신 효능을 감소시키므로, 이식 전에 수혜자에게 투여하는 것이 바람직하다.

간 이식은 만성 거부 반응의 위험이 시간이 지남에 따라 감소한다는 점에서 독특하며, 대부분의 수혜자는 평생 동안 면역 억제제를 복용해야 한다. 항 거부 반응 약물을 서서히 중단하는 것이 가능하지만, 특정 경우에만 가능하다. 간이 면역 체계와 관련된 특정 세포의 성숙에 아직 알려지지 않은 역할을 할 수 있다는 이론이 있다. 토마스 E. 스타즐 박사가 이끄는 피츠버그 대학교 연구팀의 연구에 따르면, 이러한 환자들로부터 채취한 골수 생검에서 간 이식 수혜자의 골수에서 유전자형 키메라 현상이 나타나는 것을 확인했다.

수술 후에는 면역억제제로서 주로 칼시뉴린 억제제(타크로리무스 또는 사이클로스포린)와 스테로이드를 지속적으로 복용한다. 반응이 없을 경우 미코페놀산 모페틸도 시행한다.

또한 ABO혈액형 부적합 이식 환자에서는 수술 전에 "B 세포 탈감작 요법"으로 리툭시맙을 시행하는 것이 2004년경부터 일본에서 보고되기 시작했으며, 수술 후 성적이 향상되고 있다.

후기 합병증으로는 문맥 내 혈전증이 형성될 경우 항응고 요법 또는 혈전 제거 재수술이 시행된다. 간동맥 혈전증에서는 담관 협착・괴사・봉합 부전이 발생하여 재수술이 필요하게 된다.

6. 1. 면역 억제 치료

간 이식은 면역 억제제를 사용하지 않으면 수혜자에게 거부될 것이다. 대부분의 간 이식 수혜자는 코르티코스테로이드와 타크로리무스 또는 시클로스포린(사이클로스포린이라고도 표기)과 같은 칼시뉴린 억제제, 그리고 미코페놀산 모페틸과 같은 퓨린 길항제를 투여받는다. 간 이식 첫 해에는 시클로스포린보다 타크로리무스를 사용하는 것이 임상 결과가 더 좋다. 환자가 활동성 B형 간염과 같은 동반 질환을 앓고 있는 경우, 간 이식 환자에게 고용량의 B형 간염 면역글로불린을 투여한다.

약리학적 면역 억제와 기저 간 질환의 면역 억제 때문에, 예방 접종 가능한 질병에 대한 백신 접종은 간 이식 전후에 매우 권장된다.

간 이식은 만성 거부 반응의 위험이 시간이 지남에 따라 감소한다는 점에서 독특하며, 대부분의 수혜자는 평생 동안 면역 억제제를 복용해야 한다. 토마스 E. 스타즐 박사가 이끄는 피츠버그 대학교 연구팀의 연구에 따르면, 이러한 환자들로부터 채취한 골수 생검에서 간 이식 수혜자의 골수에서 유전자형 키메라 현상이 나타나는 것을 확인했다.

신장 이식과 달리, HLA 적합성은 절대적인 조건은 아니다. ABO 혈액형 일치 및 적합성이 조건으로 되어 있지만, 혈액형 부적합 간 이식은 1990년대 말까지는 어려웠지만, 다나베 미노루 등이 '''리툭시맙 투여와 문주 요법'''을 확립하여, 현재 치료 성적은 혈액형이 적합한 이식에 대해 대략 비열등하게 되었다.[43] 수술 후에는 면역억제제로서 주로 칼시뉴린 억제제(타크로리무스 또는 사이클로스포린)와 스테로이드를 지속적으로 복용한다. 반응이 없을 경우 미코페놀산 모페틸도 시행한다. ABO혈액형 부적합 이식 환자에서는 수술 전에 "B 세포 탈감작 요법"으로 리툭시맙을 시행하는 것이 2004년경부터 일본에서 보고되기 시작했으며, 수술 후 성적이 향상되고 있다.

7. 합병증

생체 공여 수술은 주요 의료 기관에서 시행된다. 수술 중 또는 수술 후 수혈이 필요한 사람은 거의 없다. 모든 잠재적 기증자는 사망 위험이 0.5~1.0%라는 것을 알아야 한다.[15] 간 기증의 다른 위험으로는 출혈, 감염, 절개 부위 통증, 혈전 발생 가능성 및 회복 지연 등이 있다.[15] 대다수의 기증자는 2~3개월 이내에 완전히 회복된다.[16]

=== 조기 합병증 (수술 후 3개월 이내) ===

간 이식 후 언제든지 면역 매개 거부 반응('''거부 반응''')이 발생할 수 있다. 거부 반응은 AST, ALT, GGT 상승, 프로트롬빈 시간, 암모니아 수치, 빌리루빈 수치, 알부민 농도와 같은 비정상적인 간 기능 수치, 비정상적인 혈당 수치 등으로 나타날 수 있다. 신체적으로는 뇌병증, 황달, 멍, 출혈 경향 등이 나타날 수 있으며, 권태감, 식욕 부진, 근육통, 미열, 백혈구 수 증가, 이식 부위 압통 등의 비특이적 증상도 동반될 수 있다.

이식 거부 반응은 급성 초과 거부 반응, 급성 거부 반응, 만성 거부 반응의 세 가지 유형으로 나타난다.


  • '''급성 초과 거부 반응'''은 미리 형성된 항-공여 항체에 의해 발생하며, 이 항체들이 혈관 내피 세포의 항원에 결합하는 특징을 보인다. 보체계 활성화가 관여하며, 이식 후 몇 분에서 몇 시간 이내에 발생한다.
  • '''급성 거부 반응'''은 T 세포에 의해 매개되며, 직접적인 세포독성사이토카인 매개 경로를 포함한다. 급성 거부 반응은 가장 흔하게 나타나며, 면역 억제제의 주요 표적이 된다. 대개 이식 후 며칠 또는 몇 주 이내에 발생한다.
  • '''만성 거부 반응'''은 1년 이후에 나타나는 거부 반응으로, 원인은 아직 명확하게 밝혀지지 않았지만 급성 거부 반응이 만성 거부 반응의 강력한 예측 인자이다.


담도 합병증에는 담도 협착, 담도 누출, 허혈성 담관병증 등이 있다.[4] 허혈성 담관병증의 위험은 장기가 혈류를 받지 못하는 시간(차가운 허혈 시간)이 길어질수록 증가한다.[4] 담도 합병증은 일반적으로 내시경 역행 췌담관 조영술(ERCP), 경피적 배액, 또는 재수술로 치료한다.[22]

혈관 합병증에는 혈전증, 협착, 가성 동맥류, 간동맥 파열 등이 있다.[5] 정맥 합병증은 동맥 합병증보다 드물게 발생하며, 문맥, 간정맥, 대정맥의 혈전증 또는 협착을 포함한다.[5]

생체 공여 수술은 주요 의료 기관에서 시행되며, 수술 중 또는 수술 후 수혈이 필요한 경우는 드물다.[15] 잠재적 기증자는 사망 위험(0.5~1.0%)을 인지해야 하며, 간 기증의 다른 위험으로는 출혈, 감염, 절개 부위 통증, 혈전 발생 가능성, 회복 지연 등이 있다.[15] 대부분의 기증자는 2~3개월 이내에 완전히 회복된다.[16]

수술 후에는 면역억제제로 칼시뉴린 억제제(타크로리무스 또는 사이클로스포린)와 스테로이드를 지속적으로 복용하며, 반응이 없을 경우 미코페놀산 모페틸을 사용한다.

혈액형 부적합 이식 환자의 경우, 수술 전 "B 세포 탈감작 요법"으로 리툭시맙을 사용하는 것이 2004년경부터 일본에서 보고되기 시작했으며, 수술 후 성적이 향상되고 있다.

문맥 내 혈전증이 형성될 경우 항응고 요법 또는 혈전 제거 재수술을 시행하며, 간동맥 혈전증에서는 담관 협착, 괴사, 봉합 부전이 발생하여 재수술이 필요할 수 있다.

=== 후기 합병증 (수술 후 3개월 이후) ===

만성 거부 반응은 1년 이후에 거부 반응의 징후와 증상이 나타나는 것이다.[4] 만성 거부 반응의 원인은 아직 알려지지 않았지만, 급성 거부 반응은 만성 거부 반응의 강력한 예측 인자이다. 간 이식 후 면역 매개 거부 반응은 언제든지 발생할 수 있으며, AST, ALT, GGT 상승, 프로트롬빈 시간, 암모니아 수치, 빌리루빈 수치, 알부민 농도와 같은 비정상적인 간 기능 수치, 비정상적인 혈당 수치 등으로 나타날 수 있다.

담도 합병증에는 담도 협착, 담도 누출 및 허혈성 담관병증이 포함된다.[4] 허혈성 담관병증의 위험은 차가운 허혈 시간이 길어질수록 증가한다. 담도 합병증은 일반적으로 내시경 역행 췌담관 조영술(ERCP), 경피적 배액 또는 때로는 재수술로 치료한다.[22] 문맥 내 혈전증이 형성될 경우 항응고 요법 또는 혈전 제거 재수술이 시행된다. 간동맥 혈전증에서는 담관 협착, 괴사, 봉합 부전이 발생하여 재수술이 필요하게 된다.

수술 후에는 면역억제제로서 주로 칼시뉴린 억제제(타크로리무스 또는 사이클로스포린)와 스테로이드를 지속적으로 복용한다. 반응이 없을 경우 미코페놀산 모페틸도 시행한다.

7. 1. 조기 합병증 (수술 후 3개월 이내)

간 이식 후 언제든지 면역 매개 거부 반응('''거부 반응''')이 발생할 수 있다. 거부 반응은 AST, ALT, GGT 상승, 프로트롬빈 시간, 암모니아 수치, 빌리루빈 수치, 알부민 농도와 같은 비정상적인 간 기능 수치, 비정상적인 혈당 수치 등으로 나타날 수 있다. 신체적으로는 뇌병증, 황달, 멍, 출혈 경향 등이 나타날 수 있으며, 권태감, 식욕 부진, 근육통, 미열, 백혈구 수 증가, 이식 부위 압통 등의 비특이적 증상도 동반될 수 있다.

이식 거부 반응은 급성 초과 거부 반응, 급성 거부 반응, 만성 거부 반응의 세 가지 유형으로 나타난다.

  • '''급성 초과 거부 반응'''은 미리 형성된 항-공여 항체에 의해 발생하며, 이 항체들이 혈관 내피 세포의 항원에 결합하는 특징을 보인다. 보체계 활성화가 관여하며, 이식 후 몇 분에서 몇 시간 이내에 발생한다.
  • '''급성 거부 반응'''은 T 세포에 의해 매개되며, 직접적인 세포독성사이토카인 매개 경로를 포함한다. 급성 거부 반응은 가장 흔하게 나타나며, 면역 억제제의 주요 표적이 된다. 대개 이식 후 며칠 또는 몇 주 이내에 발생한다.
  • '''만성 거부 반응'''은 1년 이후에 나타나는 거부 반응으로, 원인은 아직 명확하게 밝혀지지 않았지만 급성 거부 반응이 만성 거부 반응의 강력한 예측 인자이다.


담도 합병증에는 담도 협착, 담도 누출, 허혈성 담관병증 등이 있다.[4] 허혈성 담관병증의 위험은 장기가 혈류를 받지 못하는 시간(차가운 허혈 시간)이 길어질수록 증가한다.[4] 담도 합병증은 일반적으로 내시경 역행 췌담관 조영술(ERCP), 경피적 배액, 또는 재수술로 치료한다.[22]

혈관 합병증에는 혈전증, 협착, 가성 동맥류, 간동맥 파열 등이 있다.[5] 정맥 합병증은 동맥 합병증보다 드물게 발생하며, 문맥, 간정맥, 대정맥의 혈전증 또는 협착을 포함한다.[5]

생체 공여 수술은 주요 의료 기관에서 시행되며, 수술 중 또는 수술 후 수혈이 필요한 경우는 드물다.[15] 잠재적 기증자는 사망 위험(0.5~1.0%)을 인지해야 하며, 간 기증의 다른 위험으로는 출혈, 감염, 절개 부위 통증, 혈전 발생 가능성, 회복 지연 등이 있다.[15] 대부분의 기증자는 2~3개월 이내에 완전히 회복된다.[16]

수술 후에는 면역억제제로 칼시뉴린 억제제(타크로리무스 또는 사이클로스포린)와 스테로이드를 지속적으로 복용하며, 반응이 없을 경우 미코페놀산 모페틸을 사용한다.

혈액형 부적합 이식 환자의 경우, 수술 전 "B 세포 탈감작 요법"으로 리툭시맙을 사용하는 것이 2004년경부터 일본에서 보고되기 시작했으며, 수술 후 성적이 향상되고 있다.

문맥 내 혈전증이 형성될 경우 항응고 요법 또는 혈전 제거 재수술을 시행하며, 간동맥 혈전증에서는 담관 협착, 괴사, 봉합 부전이 발생하여 재수술이 필요할 수 있다.

7. 2. 후기 합병증 (수술 후 3개월 이후)

만성 거부 반응은 1년 이후에 거부 반응의 징후와 증상이 나타나는 것이다.[4] 만성 거부 반응의 원인은 아직 알려지지 않았지만, 급성 거부 반응은 만성 거부 반응의 강력한 예측 인자이다. 간 이식 후 면역 매개 거부 반응은 언제든지 발생할 수 있으며, AST, ALT, GGT 상승, 프로트롬빈 시간, 암모니아 수치, 빌리루빈 수치, 알부민 농도와 같은 비정상적인 간 기능 수치, 비정상적인 혈당 수치 등으로 나타날 수 있다.

담도 합병증에는 담도 협착, 담도 누출 및 허혈성 담관병증이 포함된다.[4] 허혈성 담관병증의 위험은 차가운 허혈 시간이 길어질수록 증가한다. 담도 합병증은 일반적으로 내시경 역행 췌담관 조영술(ERCP), 경피적 배액 또는 때로는 재수술로 치료한다.[22] 문맥 내 혈전증이 형성될 경우 항응고 요법 또는 혈전 제거 재수술이 시행된다. 간동맥 혈전증에서는 담관 협착, 괴사, 봉합 부전이 발생하여 재수술이 필요하게 된다.

수술 후에는 면역억제제로서 주로 칼시뉴린 억제제(타크로리무스 또는 사이클로스포린)와 스테로이드를 지속적으로 복용한다. 반응이 없을 경우 미코페놀산 모페틸도 시행한다.

8. 예후

간 이식 후 예후는 환자의 전반적인 건강 상태, 수술의 기술적 성공 여부, 그리고 간에 영향을 미치는 기저 질환 등에 따라 달라진다.[23] 생존율을 예측하는 정확한 모델은 없으며, 이식 환자는 15년 생존할 확률이 58%이다.[24]

새로운 간이 제 기능을 하지 못하는 '간 이식에서의 일차적 기능 부전(PNF)'은 모든 사례의 10%에서 15%에서 발생한다. 이러한 문제는 기증된 장기의 기존 질환 때문일 수 있다. 또는 재혈관화와 같은 수술 중 기술적인 결함이 원인일 수 있다.

생체 간 이식의 경우, 기증자는 사망 위험(0.5~1.0%)이 있으며,[15] 출혈, 감염, 절개 부위 통증, 혈전 발생, 회복 지연 등의 위험이 있을 수 있다.[15] 대부분의 기증자는 2~3개월 이내에 완전히 회복된다.[16]

일본에서의 간이식 수술 후 성적은 매우 양호하다.

9. 사회와 문화

에리크 아비달은 프랑스의 축구 선수로, 올랭피크 리옹FC 바르셀로나에서 활동했으며 2012년에 간 이식을 받았다. 조지 베스트는 북아일랜드의 축구 선수로, 맨체스터 유나이티드에서 활동했으며 2002년에 간 이식을 받았으나 3년 후에 사망했다. 스티브 잡스는 미국의 사업가이자 애플의 창업자로, 2009년에 간 이식을 받았으나 2년 후 사망했다. 미키 맨틀은 미국의 야구 선수로, 뉴욕 양키스에서 활동했으며 1995년에 간 이식을 받았으나 1년도 채 되지 않아 사망했다. 고노 타로는 일본의 정치인으로, 간경변을 앓던 아버지 고노 요헤이에게 자신의 간을 이식해 준 것으로 알려져 있다. 이경원(K. W. 리)은 한국계 미국인 언론인으로, 1992년에 간 이식을 받았다. 이 외에도 그렉 올맨, 데이비드 버드, 잭 브루스, 프랭크 보, 로버트 P. 케이시, 데이비드 크로스비, 제럴드 더렐, 본 에셜먼, 셸리 파바레스, 프레디 펜더, "슈퍼스타" 빌리 그레이엄, 래리 해그먼, 다흘란 이스칸, 크리스 클루그, 이블 이니블, 크리스 르두, 필 레시, 린다 러브레이스, 마이크 맥도날드, 짐 네이버스, 존 필립스, 제임스 레드포드, 루 리드, U. 스리니바스, 마이크 IX 윌리엄스 등이 간 이식을 받았다.

간 이식과 관련하여 다음과 같은 윤리적 문제가 제기된다.[36][37][38][39][40][41]


  • 장기 분배의 공정성: 제한된 수의 장기를 어떤 기준으로 누구에게 우선적으로 배분할 것인가에 대한 논의가 필요하다.
  • 생체 기증의 위험성: 건강한 사람이 장기 기증으로 인해 위험을 감수해야 하는 윤리적 문제가 존재한다.
  • 장기 매매: 불법적인 장기 매매는 인간의 존엄성을 훼손하고 사회적 불평등을 심화시킬 수 있다.


의학적 기준은 종종 "약물 남용의 부재"를 요구한다. 그러나 대마초의 변화하는 지위로 인해, 의료용 대마초를 사용하는 환자들이 이식을 거부당하는 사례가 발생하고 있다. 2011년 세다스-시나이 의료센터는 의료용 대마초를 사용한 노먼 스미스에게 간 이식을 거부했다.[36] 세다스-시나이의 종양 전문의가 통증 완화와 화학 요법을 위해 대마초 사용을 권장했음에도 불구하고, 병원은 스미스 씨를 "약물 남용 계약 미준수"를 이유로 이식 대기자 명단에서 제외했다.[37] 2012년에는 토니 트루히요 역시 의료용 대마초 사용을 이유로 간 이식을 거부당했다.[39][40] 두 환자 모두 병원의 요구대로 대마초 사용을 중단했지만, 이식 대기자 명단의 맨 아래로 밀려났다. 스미스의 죽음은 미국 안전 접근 협회가 2015년 7월 캘리포니아 의료용 대마초 장기 이식법(AB 258) 제정을 위한 로비 활동을 하도록 만들었으며, 이 법은 의료 기관이 합법적인 의료용 대마초 사용에 대한 편견으로 인해 환자가 사망하는 것을 막기 위해 제정되었다.[41]

간이식 연구는 여러 방향으로 진행되고 있다. 면역억제제 없이 이식 거부 반응을 억제하는 면역 관용 유도 방법이 연구되고 있으며, 간 기능을 대체할 수 있는 인공 간 개발도 진행 중이다.[22] 동물의 장기를 사람에게 이식하는 이종 이식 기술 또한 연구 대상이다.[22]

이식 전 장기 손상을 최소화하고 보존 기간을 늘리기 위한 장기 보존 기술 향상도 중요한 연구 분야이다. 정적 저온 보존 방식이 오랫동안 표준 기술이었지만, 다양한 동적 보존 방법이 연구되고 있다.[22] 예를 들어 체외에서 적출된 간에 혈액을 펌핑하는 기계를 사용하는 시스템은 이송 과정에서 어느 정도 성공을 거두었다. 장기 적출 후 동종이식 보존 방법을 개선하는 데 대한 관심이 높아지고 있는데, 표준 "정적 냉장 보존" 기술은 보존 용액으로 간을 세척한 다음 혐기성 대사 분해를 늦추기 위해 감소된 온도(일반적으로 섭씨 4도)에서 정적 냉장 보존하는 데 의존한다.[22] 대안적인 방법으로는 기계 관류가 있는데, 이는 이식 전에 산소가 공급된 보존 용액을 간을 통해 지속적으로 펌핑하는 방식이다. 이는 현재 저체온, 체온, 그리고 체온 이하의 보존 용액으로 연구되고 있다.[27] 정온 기계 보존과 기존의 냉장 보존을 비교한 무작위 대조 임상 시험에서 정적 냉장 보존 간에 비해 공여 간 손상이 적고, 폐기되는 공여 간(최적의 상태가 아니기 때문에)이 적으며, 조기 기능이 더 좋고, 보존 시간이 더 길었다.[28] 이식 전 기계 관류는 조직 재관류 허혈 손상(정적으로 보관된 간이 이식 후 재관류될 때 간세포가 손상되는 과정) 감소와 간내 담도 협착 위험 감소와 관련이 있다.[22] 2014년 연구에 따르면 간을 영하 온도(-6 °C)에서 보존하는 과냉각 기술을 사용하여 간 보존 시간을 상당히 연장할 수 있다는 것을 보여주었다.[29]

9. 1. 간 이식을 받은 유명 인사


  • 에리크 아비달은 프랑스의 축구 선수로, 올랭피크 리옹FC 바르셀로나에서 활동했으며 2012년에 간 이식을 받았다.
  • 조지 베스트는 북아일랜드의 축구 선수로, 맨체스터 유나이티드에서 활동했으며 2002년에 간 이식을 받았으나 3년 후에 사망했다.
  • 스티브 잡스는 미국의 사업가이자 애플의 창업자로, 2009년에 간 이식을 받았으나 2년 후 사망했다.
  • 미키 맨틀은 미국의 야구 선수로, 뉴욕 양키스에서 활동했으며 1995년에 간 이식을 받았으나 1년도 채 되지 않아 사망했다.
  • 고노 타로는 일본의 정치인으로, 간경변을 앓던 아버지 고노 요헤이에게 자신의 간을 이식해 준 것으로 알려져 있다.
  • 이경원(K. W. 리)은 한국계 미국인 언론인으로, 1992년에 간 이식을 받았다.

이 외에도 그렉 올맨, 데이비드 버드, 잭 브루스, 프랭크 보, 로버트 P. 케이시, 데이비드 크로스비, 제럴드 더렐, 본 에셜먼, 셸리 파바레스, 프레디 펜더, "슈퍼스타" 빌리 그레이엄, 래리 해그먼, 다흘란 이스칸, 크리스 클루그, 이블 이니블, 크리스 르두, 필 레시, 린다 러브레이스, 마이크 맥도날드, 짐 네이버스, 존 필립스, 제임스 레드포드, 루 리드, U. 스리니바스, 마이크 IX 윌리엄스 등이 간 이식을 받았다.

9. 2. 윤리적 문제

간 이식과 관련하여 다음과 같은 윤리적 문제가 제기된다.[36][37][38][39][40][41]

  • 장기 분배의 공정성: 제한된 수의 장기를 어떤 기준으로 누구에게 우선적으로 배분할 것인가에 대한 논의가 필요하다.
  • 생체 기증의 위험성: 건강한 사람이 장기 기증으로 인해 위험을 감수해야 하는 윤리적 문제가 존재한다.
  • 장기 매매: 불법적인 장기 매매는 인간의 존엄성을 훼손하고 사회적 불평등을 심화시킬 수 있다.


의학적 기준은 종종 "약물 남용의 부재"를 요구한다. 그러나 대마초의 변화하는 지위로 인해, 의료용 대마초를 사용하는 환자들이 이식을 거부당하는 사례가 발생하고 있다. 2011년 세다스-시나이 의료센터는 의료용 대마초를 사용한 노먼 스미스에게 간 이식을 거부했다.[36] 세다스-시나이의 종양 전문의가 통증 완화와 화학 요법을 위해 대마초 사용을 권장했음에도 불구하고, 병원은 스미스 씨를 "약물 남용 계약 미준수"를 이유로 이식 대기자 명단에서 제외했다.[37] 2012년에는 토니 트루히요 역시 의료용 대마초 사용을 이유로 간 이식을 거부당했다.[39][40] 두 환자 모두 병원의 요구대로 대마초 사용을 중단했지만, 이식 대기자 명단의 맨 아래로 밀려났다. 스미스의 죽음은 미국 안전 접근 협회가 2015년 7월 캘리포니아 의료용 대마초 장기 이식법(AB 258) 제정을 위한 로비 활동을 하도록 만들었으며, 이 법은 의료 기관이 합법적인 의료용 대마초 사용에 대한 편견으로 인해 환자가 사망하는 것을 막기 위해 제정되었다.[41]

9. 3. 연구 방향

간이식 연구는 여러 방향으로 진행되고 있다. 면역억제제 없이 이식 거부 반응을 억제하는 면역 관용 유도 방법이 연구되고 있으며, 간 기능을 대체할 수 있는 인공 간 개발도 진행 중이다.[22] 동물의 장기를 사람에게 이식하는 이종 이식 기술 또한 연구 대상이다.[22]

이식 전 장기 손상을 최소화하고 보존 기간을 늘리기 위한 장기 보존 기술 향상도 중요한 연구 분야이다. 정적 저온 보존 방식이 오랫동안 표준 기술이었지만, 다양한 동적 보존 방법이 연구되고 있다.[22] 예를 들어 체외에서 적출된 간에 혈액을 펌핑하는 기계를 사용하는 시스템은 이송 과정에서 어느 정도 성공을 거두었다. 장기 적출 후 동종이식 보존 방법을 개선하는 데 대한 관심이 높아지고 있는데, 표준 "정적 냉장 보존" 기술은 보존 용액으로 간을 세척한 다음 혐기성 대사 분해를 늦추기 위해 감소된 온도(일반적으로 섭씨 4도)에서 정적 냉장 보존하는 데 의존한다.[22] 대안적인 방법으로는 기계 관류가 있는데, 이는 이식 전에 산소가 공급된 보존 용액을 간을 통해 지속적으로 펌핑하는 방식이다. 이는 현재 저체온, 체온, 그리고 체온 이하의 보존 용액으로 연구되고 있다.[27] 정온 기계 보존과 기존의 냉장 보존을 비교한 무작위 대조 임상 시험에서 정적 냉장 보존 간에 비해 공여 간 손상이 적고, 폐기되는 공여 간(최적의 상태가 아니기 때문에)이 적으며, 조기 기능이 더 좋고, 보존 시간이 더 길었다.[28] 이식 전 기계 관류는 조직 재관류 허혈 손상(정적으로 보관된 간이 이식 후 재관류될 때 간세포가 손상되는 과정) 감소와 간내 담도 협착 위험 감소와 관련이 있다.[22] 2014년 연구에 따르면 간을 영하 온도(-6 °C)에서 보존하는 과냉각 기술을 사용하여 간 보존 시간을 상당히 연장할 수 있다는 것을 보여주었다.[29]

9. 4. 대한민국 간 이식의 특징

9. 5. 참고: 더불어민주당과 간 이식

참조

[1] 논문 Matching donor to recipient in liver transplantation: Relevance in clinical practice 2013-11-27
[2] 논문 Indications and contraindications for liver transplantation. 2011
[3] 논문 Succinct guide to liver transplantation for medical students 2016-12
[4] 논문 Management of biliary complications after liver transplantation. 2015-12-18
[5] 논문 Vascular complications following liver transplantation: A literature review of advances in 2015. 2016-01-08
[6] 논문 Hepatic regenerative medicine 2015-08
[7] 간행물 Radiofrequency ablation of hepatocellular carcinoma as a bridge to liver transplantation 2011
[8] 서적 Liver Transplantation https://books.google[...] Boydell & Brewer 2010-10-09
[9] 서적 Malignant Liver Tumors https://books.google[...] John Wiley & Sons 2011-09-23
[10] 웹사이트 Patient Stories – University of Chicago Medicine Comer Children's Hospital http://www.uchicagok[...] 2018-03-29
[11] 뉴스 First UK live liver donation to a stranger takes place. https://www.bbc.co.u[...] 2013-01-23
[12] 웹사이트 Living Donors https://reachmd.com/[...] 2018-03-29
[13] 웹사이트 Living Donor Liver Transplantation FAQ - Columbia University Dept of Surgery http://columbiasurge[...] 2018-06-10
[14] 웹사이트 Who can be a Donor? - University of Maryland Medical Center http://www.umm.edu/t[...] 2018-06-10
[15] 웹사이트 Liver Transplant http://www.emedicine[...] 2010-01-20
[16] 웹사이트 Post Operative Care https://www.relainst[...] 2021-05-05
[17] 웹사이트 What I need to know about Liver Transplantation http://digestive.nid[...] National Digestive Diseases Information Clearinghouse (NDDIC) 2010-01-20
[18] 웹사이트 Liver Donor: All you need to know http://www.donorlive[...] 2010-01-20
[19] 웹사이트 Liver Transplant Program And Center for Liver Disease http://www.surgery.u[...] University of Southern California Department of Surgery 2010-01-20
[20] 간행물 COVID-19 Vaccine Acceptance among Liver Transplant Recipients 2021-11-11
[21] 간행물 Hesitancy toward the Full COVID-19 Vaccination among Kidney, Liver and Lung Transplant Recipients in Italy https://doi.org/10.3[...] 2022
[22] 논문 Liver Transplantation 2023-11-16
[23] 웹사이트 Liver transplants result in excellent survival rates for patients with liver cancer http://www.innovatio[...] 2003-10-28
[24] 웹사이트 Statistics about organ donation https://www.organdon[...] 2018-03-29
[25] 논문 The First Report of Orthotopic Liver Transplantation in the Western World 2012-06-01
[26] 논문 Liver transplantation: past, present and future
[27] 웹사이트 Liver kept 'alive' outside body in medical first http://vitals.nbcnew[...] 2013-03-15
[28] 논문 A randomized trial of normothermic preservation in liver transplantation. https://www.reposito[...] 2018-05
[29] 논문 Supercooling enables long-term transplantation survival following 4 days of liver preservation
[30] 간행물 Normothermic Regional Perfusion in Solid Organ Transplantation https://www.intechop[...] IntechOpen 2019-12-04
[31] 논문 Liver Transplant Using Donors After Unexpected Cardiac Death: Novel Preservation Protocol and Acceptance Criteria http://dx.doi.org/10[...] 2007-07
[32] 논문 Applicability and Results of Maastricht Type 2 Donation After Cardiac Death Liver Transplantation http://dx.doi.org/10[...] 2012-01
[33] 논문 Reactivation of a transplant recipient's inherited human herpesvirus 6 and implications to the graft 2024
[34] 웹사이트 Do Alcoholics Deserve Liver Transplants? http://www.psycholog[...] 2018-03-29
[35] 웹사이트 Indications for referral and assessment in adult liver transplantation: a clinical guideline http://www.bsg.org.u[...] British Society of Gastroenterology 2000-02
[36] 웹사이트 Letter from Brenda Durand, RN, Liver Transplant Clinical Coordinator at Cedars-Sinai, to Norman Smith http://americansfors[...] 2011-02-01
[37] 뉴스 Medical marijuana jeopardizes liver transplant https://www.latimes.[...] 2011-12-03
[38] 뉴스 Norman Smith: Cancer Patient Taken Off Of Liver Transplant List Because Of Medical Marijuana Use https://www.huffingt[...] 2011-12-05
[39] 웹사이트 Second Medical Marijuana Patient Denied Transplant by Cedars-Sinai in the Last Year http://americansfors[...] Americans for Safe Access 2012-06-11
[40] 웹사이트 Medical Marijuana Patient Norman Smith Passes, But Not Without a Fight http://safeaccessnow[...] Americans for Safe Access 2012-08-09
[41] 뉴스 Law Eases Organ Transplant Process For Medical Marijuana Patients http://www.capradio.[...] 2015-07-06
[42] 간행물 成人ABO血液型不適合生体肝移植における新戦略 : リッキシマブ投与と門注療法 https://cir.nii.ac.j[...] 2006-03
[43] 웹사이트 移植後成績|肝移植に関する最新のデータ|流れがわかる肝移植|医療関係のみなさま|一般社団法人 日本肝臓学会 https://www.jsh.or.j[...] 2024-12-08



본 사이트는 AI가 위키백과와 뉴스 기사,정부 간행물,학술 논문등을 바탕으로 정보를 가공하여 제공하는 백과사전형 서비스입니다.
모든 문서는 AI에 의해 자동 생성되며, CC BY-SA 4.0 라이선스에 따라 이용할 수 있습니다.
하지만, 위키백과나 뉴스 기사 자체에 오류, 부정확한 정보, 또는 가짜 뉴스가 포함될 수 있으며, AI는 이러한 내용을 완벽하게 걸러내지 못할 수 있습니다.
따라서 제공되는 정보에 일부 오류나 편향이 있을 수 있으므로, 중요한 정보는 반드시 다른 출처를 통해 교차 검증하시기 바랍니다.

문의하기 : help@durumis.com