관교의치
"오늘의AI위키"의 AI를 통해 더욱 풍부하고 폭넓은 지식 경험을 누리세요.
1. 개요
관교의치는 자연 치아를 대체하기 위해 고정적으로 부착되는 치과 보철물로, 지대치, 가공치, 유지 장치 등으로 구성된다. 가공의치는 심미성, 기능, 교합 안정성을 회복시키지만, 치아 삭제, 치수 손상, 이차 우식 등의 단점도 있다. 가공의치는 재료, 피개복 정도, 구성 형식, 내구성에 따라 다양하게 분류되며, 시술 과정은 평가, 치아 삭제, 인상 채득, 임시 수복물 제작, 최종 장착 및 검토 등으로 이루어진다. 실패 원인으로는 불량한 구강 위생, 기계적/생물학적/심미적 실패, 지대치 문제가 있으며, 정기적인 검진과 철저한 구강 위생 관리가 중요하다.
더 읽어볼만한 페이지
- 치과 보철물 - 갈바니즘
- 치과 보철물 - 국소의치
국소의치는 치아 상실 환자의 심미적, 기능적 회복을 위한 가철성 보철물로, 경제적인 대안이 될 수 있으며 다양한 장점과 함께 구강 위생 관리의 중요성이 강조된다. - 치과보철학 - 덴탈임플란트
덴탈임플란트는 티타늄 재질의 인공 치아 뿌리를 턱뼈에 심어 치아의 기능과 형태를 회복하는 치료 방법으로, 자연 치아와 유사한 안정성과 저작력을 제공하며 주변 치아에 부담을 주지 않지만, 외과 수술 위험, 시술 후 관리, 비용, 임플란트 주위염과 같은 합병증 예방을 위한 꾸준한 관리가 필요하다. - 치과보철학 - 치과 보철학
치과 보철학은 인공적인 보철물로 치아의 기능과 심미성을 회복시키는 치의학 분야로, 고대 이집트 시대부터 시작되어 피에르 포샤르에 의해 체계화되었으며, 결손된 치아의 수와 상태에 따라 다양한 분야로 나뉜다.
관교의치 | |
---|---|
정의 | |
종류 | 치과 보철의 일종 |
목적 | 상실된 치아를 대체하고 기능 및 심미성을 회복 |
구성 요소 | |
지대치 (Abutment teeth) | 브릿지를 지지하는 인접 치아 |
연결체 (Connector) | 지대치와 인공치아를 연결하는 부분 |
가공치 (Pontic) | 상실된 치아를 대체하는 인공 치아 |
종류 | |
고정식 브릿지 (Fixed bridge) | 전통적인 브릿지: 양쪽 지대치를 씌우는 형태 캔틸레버 브릿지 (Cantilever bridge): 한쪽 지대치에만 연결하는 형태 메릴랜드 브릿지 (Maryland bridge): 금속 또는 세라믹 날개로 지대치에 접착하는 형태 |
가철식 브릿지 (Removable bridge) | 환자가 직접 탈착할 수 있는 형태 |
임플란트 지지 브릿지 (Implant-supported bridge) | 임플란트를 지대치로 사용하는 형태 |
장점 | |
심미성 | 자연스러운 치아 형태와 색상을 재현 가능 |
기능성 | 저작 기능 및 발음 개선 |
유지 관리 | 올바른 칫솔질과 치실 사용으로 수명 연장 가능 |
단점 | |
지대치 손상 | 브릿지 장착을 위해 지대치 삭제 필요 |
관리 | 브릿지 하방에 음식물 잔류 가능성 |
비용 | 다른 보철 치료에 비해 비용이 높을 수 있음 |
시술 과정 | |
1단계 | 구강 검사 및 진단 |
2단계 | 지대치 형성 |
3단계 | 본뜨기 (인상 채득) |
4단계 | 임시 브릿지 장착 |
5단계 | 최종 브릿지 장착 |
2. 가공의치의 정의 및 구성 요소
'''고정성 가공의치'''는 자연 치아에 영구적으로 부착되어 치아가 없는 부분을 대체하는 치과 보철물이다.[1]
관교의치는 상실된 치아를 대체하기 위해 사용되는 고정식 보철물로, 다음과 같은 장점과 단점을 갖는다.
'''지대치'''는 치과 보철물을 지지하고 유지하는 치아이다.[2]
'''가공치'''는 치아가 없는 부분을 대체하는 인공 치아이다.[2]
'''유지 장치'''는 보철물의 유지를 위해 지대치에 부착되는 구성 요소로, 주 유지 장치 또는 부 유지 장치가 될 수 있다.[3]
'''단위'''는 가공치와 지대치를 지칭하는 말이다. 가공의치의 총 단위 수는 가공치의 수와 지대치의 수를 합한 것과 같다.[1]
'''안장'''은 하나 이상의 치아가 없는 부분을 복원하기 위해 치조제에 있는 무치악 부위이다.[3]
'''연결 장치'''는 가공치를 유지 장치에 연결하거나 두 개의 유지 장치를 서로 연결하며, 고정형 또는 가동형일 수 있다.[3]
'''스팬'''은 가공의치가 위치할 자연 치아 사이의 치조제의 길이이다.[3]
3. 가공의치의 장단점
장점 단점
각 종류별 관교의치의 구체적인 장단점은 하위 문서에서 확인할 수 있다.
3. 1. 장점
관교의치는 상실된 치아를 대체하여 심미성을 회복시켜주며, 특히 앞니 부위에서 그 효과가 두드러진다. 저작 및 발음과 같은 기능적인 측면을 회복시켜주고, 인접 치아나 맞물리는 치아가 기울거나 이동, 회전하는 것을 막아준다.[3] 또한, 과도하게 솟아오르는 현상을 방지하여 교합의 안정성을 유지하는 데 도움을 준다.[3] 이러한 장점들 때문에 환자들이 선호하는 치료 방법 중 하나이다.[3]
관교의치 종류에 따른 장점은 다음과 같다.
종류 | 장점 |
---|---|
고정형-고정형 | |
고정형-가동형 | |
캔틸레버 | |
고정-고정 | |
고정-가동 | |
캔틸레버 |
3. 2. 단점
관교의치의 단점은 다음과 같다.- 치아 손상: 지대치를 삭제해야 하므로 치아 조직이 손상된다. 경우에 따라서는 상당한 양의 치아를 삭제해야 할 수도 있다.[3]
- 치수 손상: 치아를 삭제할 때 상아 세관이 열리면서 구강 내 세균과 치수 사이의 연결 통로가 생긴다. 깊게 삭제할 경우 치수에 손상을 줄 수 있다.[3]
- 이차 우식 발생: 크라운 변연 주변이나 탈락된 유지 장치 날개 아래에 이차 우식(충치)이 발생할 수 있다.[3]
이 외에도, 다음과 같은 단점들이 있을 수 있다.
종류 | 단점 |
---|---|
고정형-고정형 | |
고정형-가동형 | |
캔틸레버 | |
접착-고정 | |
접착-가동 | |
접착-캔틸레버 |
4. 가공의치의 종류
가공의치는 결손된 치아를 대체하기 위해 사용되는 보철물의 일종으로, 다양한 종류가 있다. 여기서는 구성 형식에 따른 가공의치의 종류를 중심으로 설명한다.
고정성 가공의치
지대치(가공의치를 지지하는 치아)와 가공치가 고정 연결되어 지대치에 합착되는 가공의치이다. 일반적으로 볼 수 있는 브릿지는 대부분 이에 해당한다.
- 고정성-고정성 브릿지 (Fixed-fixed bridge): 삽입 경로가 하나뿐인 공간의 양쪽에 유지 장치(가공의치를 지대치에 연결하는 부분)가 부착된 폰틱(pontic, 가짜 치아)을 의미한다. 지대치와 폰틱을 연결하는 각 끝에 강성 연결 장치가 있다. 지대치가 단단하게 연결되어 있기 때문에 치아 삭제 시 지대치 치아의 인접면이 서로 평행하도록 삭제하는 것이 중요하다.[3]
- 캔틸레버 브릿지 (Cantilever bridge): 폰틱이 한쪽 면에만 유지 장치에 부착된 브릿지이다. 지대치는 폰틱의 근심(입 안쪽) 또는 원심(입 바깥쪽)에 위치할 수 있다.[3]
- 스프링 캔틸레버 (Spring cantilever): 폰틱과 유지 장치가 서로 멀리 떨어져 있으며 금속 막대로 연결된다. 일반적으로 결손된 앞니를 어금니로 대체하고 지지한다. 현대에는 잘 사용되지 않는 방식이다.[3]
- 고정성-가동성 브릿지 (Fixed-movable bridge): 폰틱은 한쪽 끝(주 유지 장치)에서 유지 장치에 단단히 부착되고, 다른 쪽 끝(부 유지 장치)에서는 가동 조인트를 통해 부착된다. 가동 조인트는 지대치의 장축(long axis) 각도 차이를 수용할 수 있어 삽입 경로가 지대치 정렬과 관계없이 설정될 수 있다는 장점이 있다.[5] 이를 통해 지대치를 서로 평행하게 준비할 필요가 없어 보존적인 접근이 가능하다. 이상적으로는 고정 연결 장치가 폰틱을 더 먼 지대치에 부착해야 하며, 가동 연결 장치는 폰틱을 근심 지대치에 부착하여 이 지대치가 수직 방향으로 제한된 움직임을 가질 수 있도록 한다.[3]
일부 고정성 가공의치가공치의 근심 또는 원심 중 한쪽만 고정 연결되고, 나머지 한쪽은 가동성 연결 장치로 연결된 가공의치이다. 평행성이 없는 지대에 사용하며, 가철성은 아니다. 제작 및 장착 시 조작이 복잡하여 기피되는 경향이 있다.
가철성 가공의치가철성 지대 장치를 사용하거나, 고정성 지대 장치와 가철성 지대 장치 사이에 가철성 연결 장치를 사용한 가공의치이다. 임의로 탈착이 가능하여 세정성이 좋다.
레진 결합 가공의치 (Resin-bonded bridge)Resin-bonded bridge영어는 폰틱 측면에 있는 유지 "윙"을 사용하여 지대치 치아의 에칭된 법랑질(치아의 가장 바깥쪽 표면)에 부착하는 방식이다. '메릴랜드 브릿지'라고도 불린다. 지대치 치아는 준비가 거의 또는 전혀 필요하지 않다. 지대치 치아가 온전하고 튼튼할 때(예: 크라운 또는 주요 충전물이 없을 때) 가장 자주 사용된다.[4] 단일 유지 캔틸레버 레진 결합 가교는 양쪽에 유지 윙이 있는 엔드 투 엔드 레진 결합 가교보다 합병증이 적다.[4]
각 브릿지 종류별 장단점 비교
보철 구간에 따른 분류
- 중간 가공 의치: 중간 결손(치아가 빠진 부분)의 근심 및 원심에 지대치를 설정한 가공 의치이다. 일반적인 브릿지이다. 중간 결손 거리가 길면 지대치에 부담이 증가하므로 지대치 수를 늘리는 등의 대책이 필요하다.
- 연장 가공 의치: 지대치를 가공 치아의 근심 또는 원심 중 한쪽에만 설정한 가공 의치이다. 교합·저작력이 지대치에 지렛대 작용으로 힘이 가해지므로 역학적으로 불안정하여 바람직하지 않다.
4. 1. 재료에 따른 분류 (한국어판)
관교의치는 사용되는 재료에 따라 다음과 같이 분류할 수 있다.- '''금속관 (Metal crown)'''
- 금, 백금 등 귀금속을 사용하거나, 비귀금속 합금을 사용하여 제작한다.
- 종류
- 전부 주조관: 치관 전체를 주조하여 제작.
- 모리슨관: 1871년 모리슨이 개발, 교합면은 금속판, 나머지는 밴드로 제작.
- 교합면 주조관: 교합면은 주조, 측면은 밴드로 제작.
- 무봉관: 금속판 하나로 압인성형하여 제작.
- S.P관: 캡과 밴드를 금속판으로 만들어 납착.
- 이중 치관 보철: 1903년 피소가 발표, 내관과 외관으로 구성. 주로 어금니 부분에 사용되며 유지력이 강하다.
- '''합성수지관 (Resin crown)'''
- 주로 아크릴 수지를 사용하여 제작하며, 임시 치관 보철물로 사용된다.
- 종류
- 합성수지 자켓관(All resin): 아크릴 수지로만 제작.
- '''도재관 (Porcelain crown)'''
- 도재를 소성하여 제작하며, 자연치와 유사한 형태, 색조, 투명도를 가진다.
- 종류
- 도재 자켓관(All porcelain): 도재로만 제작.
- '''조합관 (Combination crown)'''
- 금속과 수지, 또는 금속과 도재를 함께 사용하여 제작한다.
- 종류
- 합성수지 전장 주조관: 합성수지 전장 + 금속 주조물
- 도재 전장 주조관: 도재 전장 + 금속 주조물
- 도재 용착 주조관(Porcelain fused to metal crown, PFM): 금속 주조물 + 도재 축성

아크릴 레진은 초기에 심미성 회복을 위해 사용되었으나 안정성과 내마모성이 부족했다.[6] 이후 금속-도재 융합(PFM)이 도입되었으며, 10년 동안 95%의 성공률을 보여 표준으로 간주되기도 한다.[19] 그러나 PFM 수복물은 치아 경계 부위에서 금속이 노출될 수 있다.
IPs Emax 세라믹은 심미성이 뛰어나지만, 브릿지 수명에 대한 근거는 부족하다. 구치부 수복 실패가 보고되었으며, 이갈이증 환자에게는 권장되지 않는다.[20][21][22]
지르코니아는 전치부 및 구치부 고정성 가교 의치, 임플란트에 사용되며, CAD/CAM 기술로 제작된다.[23] 높은 기계적 강도를 가지지만, 비니어링 재료에서 균열이 발생할 수 있다.[24][25][26]
코크란 리뷰에서는 금속-세라믹 보철물과 비교하여 세라믹 재료의 효과를 뒷받침할 증거가 부족하다고 결론 내렸다.[29]
4. 2. 피개복 정도에 따른 분류 (한국어판)
피개복 정도에 따른 관교의치는 크게 전부 치관 보철과 부분 치관 보철로 나눌 수 있다.[3]전부 치관 보철 (Full veneer or complete veneer crown)전부 치관 보철은 치아 전체를 덮는 형태의 보철물이다. 종류는 다음과 같다.[3]
- 기둥(dowel)이 없는 전부 치관 보철
- 금속관 (Full crown with gold alloy or other metal alloy)
- 전부 주조관: 치관 전체를 주조하여 하나로 제작한 금속관이다.
- 모리슨관: 1871년 모리슨이 개발한 금속관으로, 교합면은 금속판으로 압인하고 나머지는 밴드로 만들어 납착한다.
- 교합면 주조관: 교합면은 주조하고 측면은 밴드로 제작하여 납착한 금속관이다.
- 무봉관: 치관 전체를 하나의 금속판으로 압인성형하여 만든 금속관이다.
- S.P관: 금속판을 이용해 캡과 밴드를 만들고 납착한 금속관이다.
- 이중 치관 보철: 1903년 피소(peeso)가 발표한 방법으로, 크라운이 원통형 내관과 치관 형태의 외관으로 구성된다. 내관은 고정부, 외관은 가철부로 하며, 유지력이 강해 주로 어금니에 사용한다.
- 자켓관 (jacket crown): 치관 전체를 덮는 보철물로, 도재 또는 아크릴 수지로만 제작한다.
- 도재 자켓관 (porcelain jacket crown): 도재로 소성 성형한 치아 전체를 덮는 보철물이다. 자연치와 유사한 형태, 색조, 투명도를 가지며, 화학적으로 안정적이고 변색, 변질 우려가 적으며 마모 저항성이 강하다. 금속보다 열전도가 작고 조직에 대한 위해작용이 적지만, 취약하고 파절되기 쉬우며 소성 시 수축이 크고 제작이 복잡하다. 주로 앞니의 왜소치, 기형치 등에 사용된다.
- 수지 자켓관 (acrylic resin jacket crown): 수지를 사용한 전부 피복 보철물로, 아크릴 수지관이라고도 한다. 제작이 간단하고 저렴하며 자연치와 유사한 색을 재현할 수 있지만, 강도가 약하고 이탈, 마모 우려가 있으며 색조 안정성이 낮아 주로 임시 치관 보철물로 사용된다.
- 조합관 (combination crown): 금속과 수지, 또는 금속과 도재를 함께 사용하여 제작한 인공 치관이다.
- 도재 전장 주조관 (veneer gold(metal) alloy crown with porcelain): 전장재료는 도재, 이장재료는 금합금으로 제작한 전부 치관 보철이다.
- 수지 전장 주조관 (veneer gold(metal) alloy crown with acrylic resin): 전장재료는 수지, 이장재료는 금합금으로 제작한 전부 치관 보철이다.
- 금속 결합 도재관 (porcelain fused to gold(metal) alloy crown): 납 원형을 얻어 합금 주조물을 만든 후 도재를 축조하여 화학적으로 유착시켜 얻는 보철물이다. 사용되는 도재와 합금은 용융 온도, 열팽창률, 강도 등을 고려해야 한다.
- 기둥(dowel, post)이 있는 전부 치관 보철
- 도재 전장 합정 치관 (porcelain faced post crown): 치관부 순면에 도치를 사용하여 자연치와 유사한 형태와 색을 내고, 금속 설면판으로 도치를 유지 가공한 치관 보철이다. 앞니와 작은 어금니에 주로 사용되며, 설면이 금속으로 덮여 있어 도치 파절이 적고 교합이 긴밀할 때 사용한다.
- 수지 전장 합정 치관 (resin faced post crown): 수지 전장 치관 보철에 합정을 포함하는 치관 보철이다.
- 도재관 합정 치관 (all porcelain crown with dowel): 도재만을 이용하여 제작된 인공 치관으로 합정을 포함한다. 자연치와 유사한 형태, 색조, 투명도를 가지며, 화학적으로 안정적이고 변색, 변질 우려가 적으며 마모 저항성이 강하다.
- 수지관 합정 치관 (all resin crown with dowel): 합정을 포함하고 합성 수지만을 사용하는 인공 치관 보철물로, 주로 임시 치관 보철물로 사용된다. 심미성이 높고 치아 삭제량이 적지만, 적합성과 재현성이 떨어지고 내구성이 낮다.
부분 치관 보철 (Partial veneer crown)부분 치관 보철은 치아의 일부분만을 덮는 형태의 보철물이다. 종류는 다음과 같다.[3]
- 1/2관 (Onlay): 절단면이나 교합면에 비교적 넓은 와동으로 인해 인레이보다 넓은 범위를 덮는 충전물이다.
- 3/4관: 부분 피복관의 일종으로, 주로 유수치에 대한 지대치로 쓰인다. 치아의 순면 또는 협면을 제외한 다른 치면을 덮고 인접면부의 종구와 절연구에 의해 치아를 튼튼히 파지한다. 금속 노출이 적어 심미성이 좋고, 치질 삭제량이 적어 치수에 대한 위해작용이 적으며, 2차 우식으로부터 보호해준다.
- 7/8관: 상악 제1대구치에서 심미성을 고려하여 근심협측 교두만 노출시키고 나머지 부분을 덮는 인공 치관 보철이다.
- 핀레지관 (Pin-ledge crown): 부분 피복관의 일종으로, 전치부 유수치에 대한 지대 장치로 쓰인다. 설면부와 지대 측 인접면을 덮는다. 3개의 핀으로 유지되며 금속이 거의 보이지 않아 심미성이 우수하고, 치질 삭제량이 적으며 유지력이 강하다.
- 맥보일관 (MacBoyle crown): 1921년 맥보일(MacBoyle)이 고안한 치관 보철물의 한 종류로, 3/4 치관 보철과 유사하며 MOD, MOB, MOLD 인레이와도 비슷하다. 강한 유지력을 얻는 데 유리하며 하악 4전치와 상악 측절치에 적응하는 경우가 많다.
4. 3. 구성 형식에 따른 분류 (영어, 일본어판 참고)
Fixed bridge영어는 지대치와 가공치가 고정 연결되어 지대치에 합착되는 가공의치이다. 일반적인 브릿지는 대부분 여기에 해당한다.- 고정성-고정성 브릿지 (Fixed-fixed bridge): 삽입 경로가 하나뿐인 공간의 양쪽에 유지 장치가 부착된 폰틱(pontic, 가짜 치아)을 의미한다. 지대치와 폰틱을 연결하는 각 끝에 강성 연결 장치가 있다. 지대치가 단단하게 연결되어 있기 때문에 치아 삭제 시 지대치 치아의 인접면이 서로 평행하도록 삭제하는 것이 중요하다.[3]
- 캔틸레버 브릿지 (Cantilever bridge): 폰틱이 한쪽 면에만 유지 장치에 부착된 브릿지이다. 지대치는 폰틱의 근심 또는 원심에 위치할 수 있다.[3]
- 스프링 캔틸레버 (Spring cantilever): 폰틱과 유지 장치가 서로 멀리 떨어져 있으며 금속 막대로 연결된다. 일반적으로 결손된 앞니를 어금니로 대체하고 지지한다. 현대에는 잘 사용되지 않는 방식이다.[3]
- 고정성-가동성 브릿지 (Fixed-movable bridge): 폰틱은 한쪽 끝(주 유지 장치)에서 유지 장치에 단단히 부착되고, 다른 쪽 끝(부 유지 장치)에서는 가동 조인트를 통해 부착된다. 가동 조인트는 지대치의 장축(long axis) 각도 차이를 수용할 수 있어 삽입 경로가 지대치 정렬과 관계없이 설정될 수 있다는 장점이 있다.[5] 이를 통해 지대치를 서로 평행하게 준비할 필요가 없어 보존적인 접근이 가능하다. 이상적으로는 고정 연결 장치가 폰틱을 더 먼 지대치에 부착해야 하며, 가동 연결 장치는 폰틱을 근심 지대치에 부착하여 이 지대치가 수직 방향으로 제한된 움직임을 가질 수 있도록 한다.[3]
일부 고정성 가공의치는 가공치의 근심 또는 원심 중 한쪽만 고정 연결되고, 나머지 한쪽은 가동성 연결 장치로 연결된 가공의치이다. 평행성이 없는 지대에 사용하며, 가철성은 아니다. 제작 및 장착 시 조작이 복잡하여 기피되는 경향이 있다.
가철성 가공의치는 가철성 지대 장치를 사용하거나, 고정성 지대 장치와 가철성 지대 장치 사이에 가철성 연결 장치를 사용한 가공의치이다. 임의로 탈착이 가능하여 세정성이 좋다.
레진 결합 가공의치 (Resin-bonded bridge): Resin-bonded bridge영어는 폰틱 측면에 있는 유지 "윙"을 사용하여 지대치 치아의 에칭된 법랑질에 부착하는 방식이다. '메릴랜드 브릿지'라고도 불린다. 지대치 치아는 준비가 거의 또는 전혀 필요하지 않다. 지대치 치아가 온전하고 튼튼할 때(예: 크라운 또는 주요 충전물이 없을 때) 가장 자주 사용된다.[4] 단일 유지 캔틸레버 레진 결합 가교는 양쪽에 유지 윙이 있는 엔드 투 엔드 레진 결합 가교보다 합병증이 적다.[4]
4. 4. 보철 구간에 따른 분류 (일본어판)
中間欠損일본어의 근심 및 원심에 지대치를 설정한 가공 의치이다. 일반적인 브릿지이다. 중간 결손 거리가 길면 지대치에 부담이 증가하므로 지대치 수를 늘리는 등의 대책이 필요하다. 앞니 등 아치를 포함하는 경우에는 이러한 경향이 더욱 강해진다. 거리가 있는 중간 결손의 경우, 가철성 의치로 하는 것이 일반적이지만, 가철성 의치에 대한 이미지가 좋지 않아(특히 여성의 경우) 무리해서라도 브릿지로 해달라고 요구하는 환자가 많다.[3] 그러나, 보험에 Duchange 등의 저항성 판정법이 도입되었기 때문에 보험 진료로 연속 다수 치아 결손의 브릿지는 어렵다.[3]지대치를 가공 치아의 근심 또는 원심 중 한쪽에만 설정한 가공 의치이다. 교합·저작력이 지대치에 지렛대 작용으로 힘이 가해지므로 역학적으로 불안정하여 바람직하지 않다.[3] 일반적으로는 원래 치아 크기의 1/2~1/3로 하여 지대치에 대한 부하를 경감해야 한다.[3] 또한, 부하 분산을 위해 폰틱의 소형화와 함께 지대치 수를 증가시키는 것도 권장된다.[3]
4. 5. 내구성에 따른 분류 (영어판)
가철성 관교의치는 임시/과도기적이거나 영구적일 수 있다. 임시 가철성 보철물은 치아 삭제로 약해진 치아를 보호하고 최종 보철물 제작 전까지 치과 조직을 안정시키는 임시 수복물이며, 향후 영구적인 보철물의 심미성과 외관을 개선하여 환자가 최종적인 모습을 받아들이도록 돕는 역할을 할 수 있다.[14]임시 보철물은 몇 주에서 몇 달 동안 사용하도록 설계되었으며, 직접적(체어사이드에서) 또는 간접적(치과기공소)으로 제작될 수 있다. 일반적으로 적절하게 맞는지, 변연이 치아 표면 및 잇몸에 잘 맞는지 확인하기 위해 여러 번 시적해 보며, 재료를 덧대거나 약간의 조절이 필요할 수 있다.[15]
임시 가철성 보철물은 아크릴 수지 또는 금속으로 만들 수 있다. 수지가 가장 일반적으로 사용되며, 셀룰로스 아세테이트, 폴리카보네이트 또는 폴리-메틸 메타크릴레이트로 만들어진다. 다른 화학적으로 활성화된 수지에는 폴리-R 메타크릴레이트가 포함되며, 이는 재료의 강도를 높이기 위해 에틸 또는 이소부틸 물질이 첨가된 메타크릴레이트이다. 또한, 일반적으로 사용되는 수지에는 BisGMA 기반 디메타크릴레이트와 가시광선 경화형 우레탄 디메틸아크릴레이트가 포함된다.[15][16] 디메타크릴레이트 기반 재료는 굴곡 강도와 경도 측면에서 임시 수복물에 대한 모노메타크릴레이트보다 우수한 것으로 나타났다.[17][18]
4. 6. 재료에 따른 분류 (영어판)
관교의치는 사용되는 재료에 따라 다음과 같이 분류할 수 있다.- 금속관 (Metal crown)
- 귀금속 합금 (Precious alloy)
- 반귀금속 합금 (Semi-precious alloy)
- 비귀금속 합금 (Non-precious alloy)
- 합성수지관 (Resin crown)
- 합성수지 자켓관 (All resin)
- 도재관 (Porcelain crown)
- 도재 자켓관 (All porcelain)
- 조합관 (Combination crown)
- 합성수지 전장 주조관 - 합성수지 전장(facing) + 금속 주조물
- 도재 전장 주조관 - 도재 전장(facing) + 금속 주조물
- 도재 용착 주조관 (Porcelain fused to metal crown, PFM) - 금속 주조물 + 도재 축성(Porcelain build up)
금속관은 금과 같은 귀금속이나 니켈-크롬과 같은 비금속 합금을 기반으로 제작된다.[6]
아크릴 레진은 치관 및 교량의 심미성을 회복하는 데 사용된 최초의 비니어 재료였다. 금속 치관/교량의 순면(labial surface)에 부착하여 자연 치아와 유사한 색상을 유지하는 것이 목표였지만, 레진으로 비니어된 치과 보철물은 안정성과 내마모성이 부족했다.[6] 그 후, 금속-도재 융합(PFM)이 도입되었다. 도재는 두 층으로 구성되어 있는데, 하나는 금속 하부 구조를 덮는 불투명층이고 다른 하나는 에나멜의 환상을 제공하는 반투명층이다. 몇몇 연구자들은 PFM을 여전히 표준으로 간주하는데, 10년 동안 95%의 성공률을 보였다고 보고되었기 때문이다. 이러한 이유로 새로운 유형의 올-세라믹 수복물은 일반적으로 PFM 치관/교량과 비교하여 성공률과 내구성을 평가한다.[19] 그러나 PFM 수복물은 치아의 치경부 마진에서 금속 하부 구조를 보여주면서 회색을 띨 수 있다.
IPs Emax 세라믹은 심미성이 뛰어나 사용이 점점 더 늘어나고 있다. 하지만 Emax를 이용한 브릿지의 수명에 대한 충분한 근거는 부족하다. 일부 보고에 따르면 단기적인 성공률은 양호하지만, 중기적인 성공률은 좋지 않다고 한다.[20] 수복물의 실패는 주로 구치 부위에서 보고되었다. IPs Emax는 프레스 잉곳 또는 IPs Emax CAD/CAM 시스템으로 제공된다.[21] 크라운이나 브릿지에 Emax를 사용하는 것은 이갈이증 환자에게는 권장되지 않는다.[22]
지르코니아는 전치부 및 구치부 고정성 가교 의치에 사용되며 임플란트에도 사용된다. 지르코니아는 치과용 CAD/CAM 기술을 사용하여 제작된다.[23] 지르코니아는 높은 기계적 강도를 가지며, 모든 세라믹 재료에 비해 높은 교합력을 견딜 수 있다.[24] 또한, 코어 재료에서 균열 확산에 저항할 수 있다. 그러나, 치아 지지형 또는 임플란트 지지형 가교 의치 모두에서, 균열은 종종 비니어링 재료에서 발생하여 파절로 이어진다.[25][26] 지르코니아 가교 의치에서 3×3 mm로 설계된 연결부가 파절 저항력을 20% 증가시킨다는 보고가 있다.[27][28]
세라믹 기반 고정성 보철물은 실제와 같은, 매우 심미적인 외관을 얻을 수 있기 때문에 널리 사용되어 왔지만, 코크란 리뷰에서는 금속-세라믹보다 고정성 보철 치료에 세라믹 재료의 효과를 지지하거나 반박할 충분한 증거가 없다는 결론을 내렸다.[29]
5. 가공의치 시술 과정
관교의치 시술은 다음과 같은 순서로 진행된다.[3][4][30]
1. '''평가''': 환자의 병력 청취, 구강 환경 평가, 교합, 우식 및 치주 질환 위험도, 방사선 검사, 감각 검사 등을 포함한다. 이를 통해 환자의 목표와 동기를 평가하고, 지대치 선택 및 브릿지 디자인을 결정한다.
2. '''초인상 채득''': 알지네이트로 초인상을 채득하여 모형을 제작한다. 페이스 보우 기록도 채득하여 보철물 제작 전에 교합을 연구한다.
3. '''진단 왁스업''': 최종 보철물의 형태를 시각화하고, 임시 수복물 제작을 위한 퍼티 매트릭스를 제작한다.
4. '''수복물 교체''': 예후가 불확실하거나 오래된 복합 레진 수복물이 있는 지대치는 교체한다.
5. '''치아 삭제''': 치아 조직 보존, 삽입 경로 확보, 교합 공간 확보, 명확한 삭제 변연 형성을 목표로 한다. 지대치 간의 평행성을 확보하여 브릿지가 잘 맞도록 한다.
6. '''주 인상 채득''': 삭제된 치아의 정확한 치과 인상을 채득한다. 반대쪽 치열에 대한 인상도 함께 채득하여 주 모형을 제작하고, 보철물 제작에 사용한다.
7. '''교합 기록''': 광범위한 브릿지의 경우 반대편 모형과의 정확한 관계를 위해 필요하다.
8. '''임시 수복물 제작''': 삭제된 치아를 보호하고 유지하기 위해 제작한다.
9. '''시적''': 최종 시멘트 접착 전 임상적 허용 가능성을 확인한다.
10. '''최종 장착''': 임상적으로 허용 가능하다고 판단되면 브릿지를 시멘트 접착한다.
11. '''검토''': 브릿지를 평가하고, 시술 후 문제점을 관리한다.
단일 크라운과 마찬가지로, 브릿지는 로스트 왁스 기법을 사용하거나 CAD/CAM 소프트웨어를 사용하여 제작할 수 있다.[31] 다중 유닛 복원을 준비할 때는 지대치 간의 적절한 평행성이 있어야 브릿지가 변연부에 제대로 안착된다.
만약 브릿지가 안착되지 않으면, 각 지대치를 개별적으로 시적하여 문제의 원인을 파악한다. 각 지대치가 개별적으로 맞는다면, 공간적 관계가 잘못된 것이므로, 폰틱에서 절단된 지대치를 새로 확인된 공간적 관계에 따라 폰틱에 다시 부착해야 한다. 이는 납땜 인덱스를 사용하여 수행된다.
절단된 유닛의 근심 표면을 거칠게 하고, GC America사의 PATTERN RESIN과 같은 재료로 관계를 유지한다.[32] 두 지대치가 준비된 지대치에 개별적으로 안착되면, 수지를 절단 위치에 적용하여 두 조각 사이의 적절한 공간적 관계를 재확립한다. 이후 실험실로 보내 두 조각을 납땜하고, 다시 시적하거나 최종 시멘트 접착을 위해 반환한다.
6. 가공의치 실패 및 관리
관교의치는 정기적인 검진 및 관찰이 필요하며, 결함이 발견되면 수리, 교체 또는 제거를 해야 한다.[39] 폰틱 아래를 치간 세정 보조 도구를 사용하여 청소하는 등 구강 위생 교육 및 관리가 중요하다. 고정 보철물 주변은 치태 조절이 더 어렵기 때문이다.[39]
6. 1. 일반적인 실패 원인
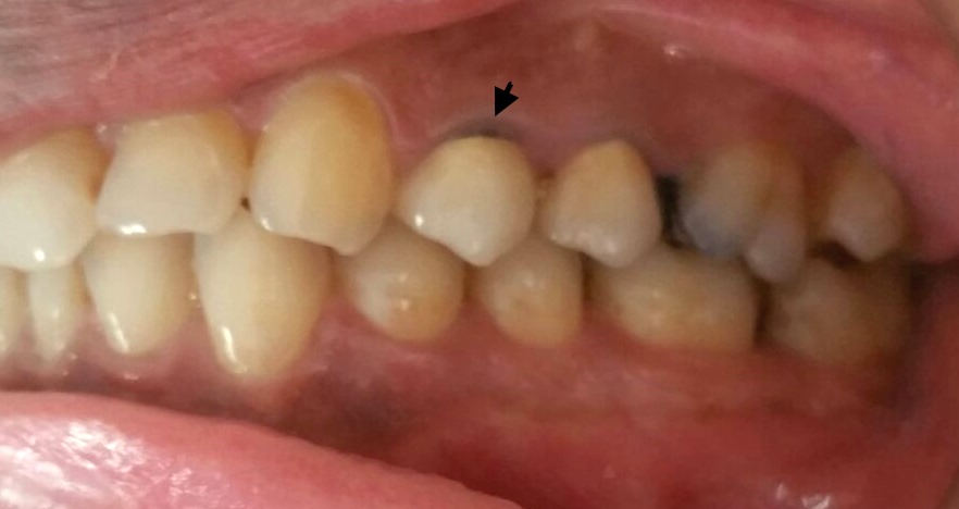
관교의치 실패는 다양한 원인으로 발생할 수 있다.- 구강 위생 불량: 브릿지 주변에 치태가 형성되어 치은 염증을 유발할 수 있다. 이는 단일 크라운과는 다른 현상이다.[34][35]
- 기계적 실패: 부적절한 접착, 제작, 치아 삭제로 인해 브릿지의 유지력이 상실되거나,[36][37] 금속 코팅 또는 폰틱이 파절될 수 있다. 치은 측 브릿지 연결부 파절은 대부분의 올세라믹 브릿지에서 흔히 발견된다.[38]
- 생물학적 실패: 치아 우식(크라운과 브릿지 실패의 가장 흔한 원인 중 하나[39])이나 치수 손상, 또는 치아 파절, 이차 우식, 치주 질환과 같은 지대치 문제로 인해 발생할 수 있다.
- 심미적 실패: 접착 시 색상 불일치, 변연부 거칠기, 부적절한 치아 윤곽 등으로 인해 발생하거나, 치아 마모, 치은 퇴축, 치아 이동으로 인해 시간이 지나면서 나타날 수 있다.
- 지대치 문제: 이차 우식, 생활력 상실, 치주 질환의 영향을 받는 지대치는 브릿지 실패로 이어질 수 있다.[36]
6. 2. 구강 내 증상
통증[36], 잇몸의 민감성, 출혈 및 염증[36], 구취 및 미각 이상6. 3. 관리
관교의치는 정기적인 검진 및 관찰이 필요하다. 결함이 발견되면 수리, 교체 또는 제거를 해야 한다.[39] 구강 위생 교육 및 관리가 중요하며, 특히 치간 세정 보조 도구를 사용하여 폰틱 아래를 청소하는 것이 중요하다. 고정 보철물 주변은 치태 조절이 더 어렵기 때문이다.[39]7. 인공 플라스틱 치아의 종류 (영어판)
업계에서 폰틱(Pontics)이라고 알려져 있는 인공 플라스틱 치아의 종류는 다음과 같다.[11]
- 통과형 폰틱 (위생 폰틱)[3]
- 돔형 폰틱 (총알 또는 어뢰 모양)[11]
- 릿지 랩 폰틱 (풀 새들 폰틱)[11]
- 수정된 릿지 랩 폰틱[11]
- 타원형 폰틱[11]
폰틱은 심미성을 회복하고, 교합 안정성을 제공하며, 기능을 개선하는 것을 목표로 한다.[3]
위생 폰틱은 하부 치조제와 접촉하지 않아 가장 깨끗하게 유지하기 쉽다. 이 디자인은 심미성이 좋지 않아 하악 구치를 대체하는 데 가장 일반적으로 사용된다.[3]
총알 폰틱은 구강 위생을 잘 유지할 수 있다는 측면에서 두 번째로 선호되며, 폰틱은 치조제의 한 지점과만 접촉한다.[3]
릿지 랩 및 수정된 릿지 랩 폰틱은 이전에 논의된 디자인보다 심미성이 뛰어나며, 순면/협면은 절단연에서 치은연까지 자연 치아의 외관을 복원하는 것을 목표로 한다. 연조직의 덮개를 최소화하기 위해 폰틱의 설면/구개 부분은 구강 위생을 잘 유지할 수 있도록 접근성을 개선하기 위해 축소된다. 수정된 릿지 랩 디자인의 경우 폰틱은 치조제의 협측면과만 접촉한다.[3]
타원형 폰틱은 하부 연조직과 접촉하며 가벼운 압력을 가하여 무치악 릿지의 결함을 숨긴다.[12] 이는 치아 발치 후 임시 브릿지에서 발현 프로파일을 개선하고 미래의 고정 보철물 주변의 치은을 성형하는 데 도움이 되기 위해 일반적으로 사용된다.[13]
참조
[1]
서적
Oxford Handbook of Clinical Dentistry
Oxford University Press
2014
[2]
간행물
The Glossary of Prosthodontic Terms: Ninth Edition
2017-05
[3]
서적
Planning and Making Crowns and Bridges, Fourth Edition
CRC Press
2006-10-05
[4]
서적
Fundamentals of fixed prosthodontics
Quintessence Pub.
2014-08-02
[5]
서적
Advanced operative dentistry : a practical approach
Elsevier Churchill Lvgst
2013
[6]
간행물
Replacement of missing teeth with fixed prostheses
2004-04
[7]
간행물
Modern restorative management of patients with congenitally missing teeth: 3. Conventional restorative options and considerations
2007
[8]
간행물
Risk management in clinical practice. Part 3. Crowns and bridges
2010-08
[9]
간행물
Resin-Bonded Bridges – the Problem or the Solution? Part 1- Assessment and Design
https://kclpure.kcl.[...]
[10]
간행물
Resin-Bonded Bridges--Can We Cement Them 'High'?
2016-04
[11]
간행물
'A bridge too far'--the negative impact of a bridge prosthesis on gingival health and its conservative management
2013-09
[12]
간행물
Incorporating modified ovate pontic design for anterior tooth replacement: A report of two cases
http://www.j-ips.org[...]
[13]
웹사이트
Division of pontics according to shape and relation to the mucosa. - WikiLectures
https://www.wikilect[...]
2018-06-14
[14]
서적
Contemporary fixed prosthodontics
Mosby
2006
[15]
서적
Planning and Making Crowns and Bridges.
Taylor & Francis, A Martin Dunitz Book
1998
[16]
서적
Textbook of prosthodontics
Jaypee Brothers Medical Publishers
2003
[17]
간행물
Polymerization shrinkage-strain kinetics of temporary crown and bridge materials
2004-01
[18]
간행물
Mechanical properties of provisional dental materials: A systematic review and meta-analysis
2018-02-28
[19]
서적
Prosthodontics at a glance
Wiley-Blackwell
2012
[20]
간행물
Clinical outcomes of lithium disilicate single crowns and partial fixed dental prostheses: a systematic review
2014-07
[21]
간행물
The science and application of IPS e.Max dental ceramic
2018-04
[22]
간행물
Clinical performance of novel-design porcelain veneers for the recovery of coronal volume and length
2000-10
[23]
간행물
An overview of zirconia ceramics: basic properties and clinical applications
2007-11
[24]
간행물
The zirconia ceramic: strengths and weaknesses
[25]
간행물
The clinical success of tooth- and implant-supported zirconia-based fixed dental prostheses. A systematic review
http://muep.mau.se/b[...]
2015-06
[26]
간행물
Zirconium dioxide based dental restorations. Studies on clinical performance and fracture behaviour
[27]
간행물
Fracture strength of three-unit fixed partial denture cores (Y-TZP) with different connector dimension and design
2009
[28]
Doctoral Thesis
All-ceramic fixed partial dentures. Studies on aluminum oxide- and zirconium dioxide-based ceramic systems
2005
[29]
간행물
Metal-free materials for fixed prosthodontic restorations
https://air.unimi.it[...]
2017-12
[30]
간행물
Guidelines for Crowns, Fixed Bridges and Implants
2017-05
[31]
Youtube
WorkNC Dental machining video
https://www.youtube.[...]
[32]
웹사이트
PATTERN RESIN™ LS Self-Curing, Acrylic Die Material
http://www.gcamerica[...]
[33]
웹사이트
Dental bridges. Advantages and disadvantages.
http://www.infodenti[...]
infodentis.com
[34]
간행물
Oral Hygiene and Gingival Health in Patients with Fixed Prosthodontic Appliances - A Six Month Follow-up
2015-10
[35]
간행물
Oral hygiene and gingival health in patients with fixed prosthodontic appliances--a 12-month follow-up
2012-03
[36]
서적
Oxford Handbook Clinical Dentistry
Oxford University Press
2014
[37]
서적
Cohen's Pathways of the Pulp Expert Consult
Mosby Elsevier
[38]
논문
Effect of two connector designs on the fracture resistance of all-ceramic core materials for fixed dental prostheses
2009-03
[39]
논문
Avoiding and managing the failure of conventional crowns and bridges
2012-03
본 사이트는 AI가 위키백과와 뉴스 기사,정부 간행물,학술 논문등을 바탕으로 정보를 가공하여 제공하는 백과사전형 서비스입니다.
모든 문서는 AI에 의해 자동 생성되며, CC BY-SA 4.0 라이선스에 따라 이용할 수 있습니다.
하지만, 위키백과나 뉴스 기사 자체에 오류, 부정확한 정보, 또는 가짜 뉴스가 포함될 수 있으며, AI는 이러한 내용을 완벽하게 걸러내지 못할 수 있습니다.
따라서 제공되는 정보에 일부 오류나 편향이 있을 수 있으므로, 중요한 정보는 반드시 다른 출처를 통해 교차 검증하시기 바랍니다.
문의하기 : help@durumis.com