사춘기지연
"오늘의AI위키"의 AI를 통해 더욱 풍부하고 폭넓은 지식 경험을 누리세요.
1. 개요
사춘기 지연은 비슷한 연령대의 아이들보다 사춘기 발달이 늦어지는 현상으로, 여자아이의 경우 12~13세, 남자아이의 경우 14세가 되어도 성적 발달이 시작되지 않는 경우를 진단 기준으로 한다. 원인으로는 유전적 요인, 만성 질환, 호르몬 이상 등이 있으며, 치료는 원인에 따라 호르몬 치료, 기저 질환 치료 등을 시행한다. 사춘기 지연은 심리적 불안을 야기할 수 있으며, 최종 신장에 영향을 미칠 수 있고, 골밀도 감소, 심혈관 질환 위험 증가와 관련될 수 있다.
더 읽어볼만한 페이지
- 사춘기 - 초경
초경은 여성의 사춘기 생리적 변화 중 하나로 처음 경험하는 월경을 의미하며, 시기는 개인차가 크고 다양한 요인의 영향을 받으며, 사회문화적으로 여성의 성장을 기념하는 의미를 지닌다. - 사춘기 - 변성기
변성기는 사춘기에 성호르몬의 영향으로 후두와 성대가 성장하면서 목소리가 변하는 시기로, 남성에게서 뚜렷하게 나타나 목소리가 낮아지고 후두융기가 두드러지며, 민족적, 문화적 차이를 보인다. - 생식샘자극호르몬 분비호르몬과 생식샘자극호르몬 - 생식샘 자극 호르몬
생식샘 자극 호르몬은 뇌하수체 전엽에서 분비되어 생식샘의 기능과 성호르몬 생성을 조절하는 호르몬으로, 황체 형성 호르몬(LH), 난포 자극 호르몬(FSH), 융모 성선 자극 호르몬(hCG) 등이 있으며, 결핍 시 성선 기능 저하증이나 불임을 유발할 수 있다. - 생식샘자극호르몬 분비호르몬과 생식샘자극호르몬 - 황체형성호르몬
황체형성호르몬은 남녀 생식 기능에 중요한 이량체 당단백질 호르몬으로, 여성의 배란 및 프로게스테론 분비, 남성의 테스토스테론 생성을 촉진하며 뇌하수체에서 분비되고 시상하부의 GnRH에 의해 조절된다. - 내분비 질환 - 애디슨병
애디슨병은 부신 기능 저하로 코르티솔이 부족하여 피로, 체중 감소, 저혈압, 피부색소침착 등의 증상을 보이며, 호르몬 대체 요법으로 평생 치료해야 하는 질환이다. - 내분비 질환 - 고알도스테론증
고알도스테론증은 혈액 내 알도스테론 수치가 비정상적으로 높은 상태로, 원발성 고알도스테론증은 부신 문제, 속발성 고알도스테론증은 레닌-안지오텐신-알도스테론계의 과활성화, 가성 고알도스테론증은 감초 섭취 등 다른 원인으로 발생하며, 고혈압, 저칼륨혈증, 근육 약화 등의 증상이 나타날 수 있다.
사춘기지연 | |
---|---|
일반 정보 | |
![]() | |
분야 | 내분비학 |
증상 | |
여성 | 13세까지 유방 발달이 없음 16세까지 월경이 없음 |
남성 | 14세까지 고환 비대 없음 |
합병증 | |
유형 | |
원인 | |
진단 | |
치료 | |
빈도 | |
2. 정의 및 진단 기준
사춘기 지연은 일반적으로 비슷한 성장 배경을 가진 또래 아이들의 평균 사춘기 시작 연령보다 2 표준 편차 이상 늦어지는 경우를 의미한다.[9][37][5][83][84][85] 이는 통계적으로 볼 때, 같은 연령대 아이들의 약 95%가 이미 사춘기를 경험하고 있는 시점에도 사춘기 시작 징후가 나타나지 않는 상태에 해당한다.[9][37][5]
2. 1. 한국의 진단 기준
비슷한 배경을 가진 또래 아이들과 비교했을 때, 2SD 이상 늦어, 같은 연령대 아이들의 약 95%가 이미 사춘기를 경험하고 있음에도 불구하고 사춘기 징후가 나타나지 않는 경우 사춘기 지연으로 간주한다[83][84][85].여아의 경우, 만 12~13세가 되어도 유방 발달이 시작되지 않거나 만 16세까지 초경이 없는 경우 사춘기 지연으로 진단한다[86]. 또한 태너 단계 진행이 느리거나, 유방 발달 시작 후 5년이 지나도 초경이 없는 경우에도 사춘기 지연을 의심할 수 있다[87]. 인종과 관계없이 만 16세까지 월경이 시작되지 않으면 지연으로 본다[88].
남아의 경우, 만 14세가 되어도 고환 크기가 4ml를 넘지 않거나, 만 14세 이전에 고환이나 음경 발달이 시작되었더라도 만 18세까지 성인 수준으로 발달하지 않으면 사춘기 지연으로 진단한다[89][90]. 사춘기 지연은 남아에게서 더 자주 관찰된다[91].
사춘기 지연이 있는 아동은 음모나 겨드랑이털이 없는 경우가 많지만, 이러한 체모의 발달은 난소나 고환에서 분비되는 성호르몬과 별개로 부신에서 나오는 호르몬의 영향을 받는다[92][84].
2. 2. 국제적 진단 기준
사춘기 지연은 일반적으로 비슷한 배경을 가진 또래 아이들의 평균 사춘기 시작 연령보다 2 표준 편차 이상 늦어지는 경우, 즉 상위 2.5%에 해당할 때로 정의된다.[9][37][5][83][84][85] 이는 대략 같은 연령대 아이들의 95%가 이미 사춘기를 시작한 후에도 시작 징후가 없는 상태를 의미한다.북미 지역의 진단 기준은 다음과 같다.
- 여자아이: 13세까지 유방 발달이 시작되지 않거나, 15세까지 초경을 하지 않는 경우 사춘기 지연으로 간주된다.[1][37] 또한, 성장 속도 증가가 없거나, 타너 척도에 따른 발달 진행이 느리거나, 유방 발달 시작 후 3년 이내에 초경이 없는 경우도 사춘기 지연에 해당될 수 있다.[37] 미국 내에서는 인종에 따라 사춘기 시작 연령에 차이가 있어, 백인 소녀는 12.8세, 흑인 소녀는 12.4세까지 유방 발달이 없으면 지연으로 간주하기도 한다.[9][37] 다만, 모든 인종에서 15세까지 월경이 없는 경우는 지연으로 본다.[37]
- 남자아이: 14세까지 고환 직경이 2.5cm 미만이거나[1] 고환 부피가 4ml 미만일 때 사춘기 지연으로 진단한다.[3] 사춘기 지연은 여자아이보다 남자아이에게 더 흔하게 나타난다.[1][91]
다른 지역에서는 기준이 다소 다를 수 있다.
- 여자아이: 일부 지역에서는 12~13세까지 유방 발달이 없거나 16세 이전에 초경이 없는 경우,[86] 또는 유방 발달 시작 후 5년 이내에 초경을 하지 않는 경우[87] 사춘기 지연으로 보기도 한다. 모든 민족 배경에서 16세까지 월경이 없는 경우 지연으로 간주하는 기준도 있다.[88]
- 남자아이: 14세가 되어도 고환 크기가 4ml를 넘지 않거나, 14세 이전에 고환이나 음경 발달이 시작되었더라도 18세까지 발달이 완성되지 않는 경우를 사춘기 지연으로 간주하기도 한다.[89][90]
음모나 겨드랑이 털이 없는 것은 사춘기 지연 아동에게 흔히 나타나는 특징이지만, 이러한 체모(성모)의 존재 유무가 반드시 사춘기 진행과 일치하는 것은 아니다. 성모 발달은 난소나 고환에서 분비되는 성 호르몬과 별개로 부신에서 분비되는 호르몬의 영향을 받을 수 있기 때문이다.[6][37][92][84]
이처럼 진단 기준에 차이가 있는 것은 사춘기 시작 연령 자체가 유전, 전반적인 건강 상태, 사회 경제적 지위, 환경 노출(거주 지역의 위도, 고도, 도시화 정도 등) 및 체중 등 다양한 요인의 영향을 받기 때문이다.[9][83] 예를 들어, 적도에 가깝거나 고도가 낮은 지역, 도시 지역에 거주하는 아이들이나 경도 비만 이상인 아이들은 일반적으로 사춘기를 더 일찍 시작하는 경향이 있다.[9][83][32][93] 부모의 사춘기 시작 연령, 특히 어머니와 딸, 자매 간의 초경 시기는 유전적 영향을 받아 상관관계가 높게 나타난다.[9][83]
3. 원인
사춘기 지연의 원인은 다양하며, 크게 네 가지 주요 범주로 나누어 볼 수 있다.[1][91] 가장 흔한 원인인 체질적 성장 지연부터 시작하여, 만성 질환이나 영양 결핍, 생식샘 자체의 기능 이상(고성선자극호르몬성 성선기능저하증), 그리고 시상하부-뇌하수체-생식샘 축의 문제로 인한 호르몬 분비 이상(저생식샘자극호르몬성 성선기능저하증) 등이 있다. 이 외에도 칼만 증후군과 같은 유전자 이상, 터너 증후군이나 클라인펠터 증후군과 같은 염색체 이상, 아연 결핍과 같은 특정 영양소 부족 등 다양한 원인이 존재한다.
3. 1. 체질적 성장 지연
건강하지만 평균보다 신체 발달 속도가 느린 어린이는 체질적 지연과 함께 사춘기 지연을 겪을 수 있다. 이는 사춘기 지연의 가장 흔한 원인으로, 여자아이에서는 약 30%[9][7][37], 남자아이에서는 약 65%[6]를 차지한다.[1] 체질적 성장 지연은 유전되는 경향이 강하며, 사춘기 시작 시기의 차이 중 약 80%가 유전적 요인에 기인하는 것으로 알려져 있다.[6][8]이러한 어린이들은 어린 시절부터 또래보다 키가 작은 경향이 있지만, 키는 골 연령에 비해 적절한 수준이다. 이는 골격 성숙이 늦어지고 있음을 의미하며, 앞으로 성장할 잠재력이 남아있다는 것을 시사한다.[9] 또한, 이들은 또래보다 키가 작고 급성장이 나타나지 않으며, 전반적으로 체격이 마른 편인 경우가 많다.[28] 사춘기에 나타나는 급격한 성장이 예상되기 몇 년 전부터 성장 속도가 둔화되기 시작하는데, 이는 시상하부-뇌하수체-생식샘 축(HPG 축) 관련 질환과 체질적 성장 지연을 구별하는 데 도움이 될 수 있다.[6]
단순한 체질적 성장 및 사춘기 지연인지, 아니면 다른 기저 질환이 원인인지 구별하는 것은 어려울 수 있다. 검사 결과만으로는 명확하게 판별하기 어렵기 때문이다.[10] 때로는 다른 특별한 증상 없이 작은 키, 키와 몸무게의 성장 지연, 그리고 사춘기 지연만이 셀리악병을 포함한 특정 만성 질환의 유일한 임상 증상일 수도 있다.[11][12][13][14] 따라서 정확한 진단을 위해서는 부모가 사춘기를 경험한 나이를 포함한 상세한 가족력을 확인하는 것이 중요하며[3][9], 아이의 신장, 체중, 성장 속도, 그리고 해당 아동의 예상 성인 신장을 나타내는 계산된 중간 부모 신장 등의 성장 측정 지표를 종합적으로 평가한다.[1][3]
3. 2. 만성 질환 및 영양 결핍
아연 결핍과 같은 영양 문제나 호르몬 문제도 사춘기 지연의 원인이 될 수 있다. 저체중이거나 허약한 아이에게 사춘기 지연이 나타나는 경우, 사춘기를 일시적이고 가역적으로 지연시키는 질병이 있는지 확인할 필요가 있다.[1][91]겸상 적혈구 빈혈증[15][16][17][101][102][103], 지중해 빈혈[18][104], 낭성 섬유증[19][105], HIV/AIDS[105], 갑상선 기능 저하증[20][106], 만성 신장 질환[21][22][107][108], 그리고 만성 위장 장애(예: 셀리악병[12][23][98][109] 및 염증성 장 질환[24][25][26][110][111][112])과 같은 만성 질환은 뇌의 시상하부가 사춘기 시작 신호를 보내는 것을 지연시킬 수 있다.[27][113] 성장 및 사춘기 지연은 이러한 심각한 만성 질환의 첫 징후일 수 있으며,[9][83] 피로, 통증, 비정상적인 배변 패턴과 같은 증상은 기저 만성 질환을 시사할 수 있다.[3][122]
소아암 생존자 역시 암 치료의 영향으로 사춘기 지연을 보일 수 있으며, 특히 남성의 경우 그 경향이 더 강하다.[6][28][92][114] 치료 유형, 약물 노출량 및 용량, 치료 당시의 연령에 따라 생식선에 미치는 영향의 정도가 달라지며, 어린 환자일수록 생식 기능에 부정적인 영향을 받을 위험이 낮다.[28][114]
과도한 신체 운동이나 신체적 스트레스, 특히 운동선수에게서도 사춘기 시작이 지연될 수 있다.[29][115] 신경성 폭식증이나 신경성 식욕 부진증과 같은 섭식 장애는 영양 부족으로 인해 사춘기를 방해할 수 있다.[27][30][113][116] 낮은 BMI는 섭식 장애, 영양 부족, 아동 학대 또는 만성 위장 질환의 가능성을 시사할 수 있다.[3][122]
체중 감량을 위한 탄수화물 제한 다이어트는 인슐린 자극을 감소시켜, 사춘기 시작 호르몬 방출에 필수적인 키스펩틴 뉴런을 자극하지 못하게 하는 것으로 나타났다.[31][117] 이는 탄수화물 제한 식단을 따르는 어린이나 제1형 당뇨병이 있는 어린이에게서 사춘기 지연이 나타날 수 있음을 시사한다.[32][33][93][118]
식습관, 신체 활동 습관, 과거의 심각한 질병 병력 및 약물 복용 이력은 사춘기 지연의 원인을 파악하는 데 중요한 단서를 제공할 수 있다.[9][83]
3. 3. 생식샘 기능 저하 (고성선자극호르몬성 성선기능저하증)
난소 또는 고환 (생식선)의 일차적인 기능 부전은 HPG 축의 최종 단계에서 호르몬 반응이 부족하여 사춘기 지연을 유발할 수 있다.[9][83] 이 경우 뇌는 많은 호르몬 신호(높은 생식선 자극 호르몬)를 보내지만 생식선이 이에 반응하지 못해 고성선자극호르몬성 성선기능저하증이 발생한다.[9][83] 이는 선천적 또는 후천적 원인으로 발생할 수 있다.[34][119]
선천적 원인에는 고환이 복부에서 정상적으로 내려오지 못하는 고환정류증 등이 있다.[27] 유전적 특성을 갖는 다른 선천성 질환들도 있다.
- 남성: 세정관의 기형, 클라인펠터 증후군(남성에서 가장 흔한 원인)[35], 고환 스테로이드 생성 결함, 고환 호르몬 작용을 방해하는 수용체 돌연변이, 누난 증후군과 같은 염색체 이상, 또는 고환을 구성하는 세포의 문제 등이 원인이 될 수 있다.[27]
- 여성: 터너 증후군(여성에서 가장 흔한 원인)[35], XX 성선 이형성증, XY 성선 이형성증, 방향화 효소 결핍과 같이 난소 호르몬 합성 경로에 문제가 있는 경우[27], 또는 뮐러관 무형성증과 같은 선천적 해부학적 기형이 나타날 수 있다.[34]
후천적으로는 볼거리 고환염, 콕사키바이러스 B 감염, 방사선 조사, 화학 요법, 또는 외상 등으로 인해 생식선 기능 부전이 발생할 수 있다.[1][34]
팔 길이가 키보다 5cm 이상 긴 환관형 체형은 성선 기능 저하증으로 인해 성장판 폐쇄가 지연되었음을 시사할 수 있다.[9][83] 터너 증후군은 물갈퀴 목, 작은 키, 방패 모양 가슴, 낮은 헤어라인 등 고유한 진단적 특징을 가지고 있다.[3][122] 클라인펠터 증후군은 키가 크고 작고 단단한 고환을 보이는 것이 특징이다.[3][122]
3. 4. 호르몬 경로 이상 (저성선자극호르몬성 성선기능저하증)
뇌의 시상하부-뇌하수체-생식샘 축(HPG 축) 기능에 이상이 생겨 사춘기가 지연될 수 있다.[34][119] 이는 뇌에서 생식샘으로 충분한 호르몬 신호를 보내지 못하여(낮은 생식샘자극호르몬 수치) 생식샘이 제대로 활성화되지 않는 저생식샘자극호르몬성 성선기능저하증 상태를 유발한다.[36][121] HPG 축의 기능 이상은 시상하부 또는 뇌하수체 수준에서 발생할 수 있다.[36][121]후천적 원인으로는 소아기에 발생하는 뇌종양(예: 두개인두종, 프로락틴종, 배아종, 신경교종)과 같은 중추신경계 질환이 시상하부와 뇌하수체 사이의 신호 전달을 방해하는 경우를 들 수 있다.[27][113] 특히 뇌하수체 종양 중 하나인 프로락틴종은 혈중 도파민 농도를 높여 HPG 축의 기능을 억제할 수 있다.[7] 두통이나 시각 장애와 같은 신경학적 증상이 나타나면 뇌하수체 기능 저하증을 유발하는 뇌종양과 같은 뇌 질환을 의심해 볼 수 있다.[9][83] 또한, 유즙 분비와 함께 신경 증상이 동반된다면 프로락틴 수치가 높다는 신호일 수 있으며, 이는 약물 부작용이나 프로락틴종의 가능성을 시사한다.[3][122]
선천적 원인으로는 프라더-윌리 증후군과 칼만 증후군과 같은 시상하부 기능 이상 질환이 있다.[1][91] 저생식샘자극호르몬성 성선기능저하증의 가장 흔한 원인은 시상하부에서 분비되는 생식샘자극호르몬 방출 호르몬(GnRH)의 기능적 결핍이다.[9][83] 칼만 증후군의 경우, 후각 결여증(무후각증)과 함께 사춘기 지연이 나타나는 것이 특징적인 임상 징후이다.[6][38][39][92][123][124] 또한, GnRH 결핍은 입술 갈림증이나 척추측만증과 같은 선천성 기형을 동반하기도 한다.[9][83]
3. 5. 기타 요인
칼만 증후군과 같은 유전자 이상, 터너 증후군이나 클라인펠터 증후군 같은 염색체 이상, 아연 결핍 등의 영양 문제, 호르몬 문제 등이 사춘기 지연의 원인이 될 수 있다.4. 진단
소아 내분비학자는 사춘기 지연을 평가하는 데 가장 전문적인 지식과 경험을 갖춘 의사이다.[9] 사춘기 지연의 진단은 정확한 병력 청취, 전신 상태 검토, 성장 패턴 분석, 신체 검사, 그리고 필요한 경우 실험실 검사 및 영상 검사를 종합적으로 시행하여 이루어진다.[9][83] 이러한 평가를 통해 발달 정지나 사춘기 지연을 유발할 수 있는 대부분의 전신 질환이나 상태를 파악하고, 생식계에 영향을 미치는 특정 증후군의 가능성을 확인할 수 있다.[9][83]
특히 사춘기 지연을 겪는 여자아이의 약 절반은 기저 질환을 가지고 있을 수 있으므로, 적절한 시기에 의학적 평가를 받는 것이 매우 중요하다.[37][84] 자세한 진단 방법에는 병력 청취 및 신체 검사, 골 연령 측정을 위한 영상 검사, 호르몬 수치 확인을 위한 혈액 검사 등이 포함된다.
4. 1. 병력 청취 및 신체 검사
소아 내분비학자는 사춘기 지연 평가에 가장 많은 훈련과 경험을 갖춘 전문가이다.[9] 정확한 진단을 위해 병력 청취, 전신 상태 검토, 성장 패턴 분석, 신체 검사, 그리고 필요한 경우 실험실 검사 및 영상 검사를 종합적으로 시행한다. 이를 통해 발달 정지나 사춘기 지연을 유발하는 대부분의 전신 질환 및 상태를 파악하고, 생식계에 영향을 미치는 특정 증후군의 단서를 찾을 수 있다.[9][83]특히 사춘기 지연을 겪는 여자아이의 약 절반은 기저 질환을 가지고 있을 가능성이 있으므로, 적절한 시기에 의학적 평가를 받는 것이 매우 중요하다.[37][84] 병력 청취 시 다음과 같은 정보들은 사춘기 지연의 원인을 파악하는 데 중요한 단서가 된다.
- 식이 및 신체 활동 습관: 영양 상태와 운동량이 사춘기 발달에 영향을 줄 수 있으므로 확인한다.[9][83]
- 과거 병력 및 약물 복용 이력: 과거의 심각한 질병이나 현재 복용 중인 약물이 원인일 수 있다.[9][83]
- 가족력: 부모의 사춘기 시작 연령 등 가족의 성장 및 발달 정보는 유전적 요인을 고려하고 예상 사춘기 시기를 추정하는 데 도움이 된다.[122][83]
- 성장 패턴: 출생부터 현재까지의 키와 체중 변화, 연간 성장 속도를 면밀히 살핀다. 체질성 성장 지연의 경우, 사춘기 급성장이 나타나기 수년 전부터 성장 속도가 둔화되는 특징을 보인다.[92] 또한, 체질성 지연 아동은 동급생에 비해 키가 작고 마른 체형인 경우가 많다.[114] 의사는 이러한 성장 기록과 부모의 키를 이용해 계산한 중간 부모 키(midparental height, 아동의 예상 성인 키 추정치)를 종합적으로 평가한다.[91][122]
- 전신 증상: 피로, 통증, 비정상적인 배변 패턴 등은 기저 만성 질환의 가능성을 시사한다.[3][122] 실제로 성장 및 사춘기 지연은 염증성 장 질환이나 갑상선 기능 저하증과 같은 심각한 만성 질환의 초기 증상일 수 있다.[9][83]
신체 검사에서는 이차 성징의 발달 정도를 평가하고, BMI 등을 통해 영양 상태를 확인한다. BMI가 현저히 낮다면 섭식 장애, 영양실조, 아동 학대, 만성 위장 질환 등의 가능성을 염두에 두어야 한다.[3][122]
4. 2. 영상 검사

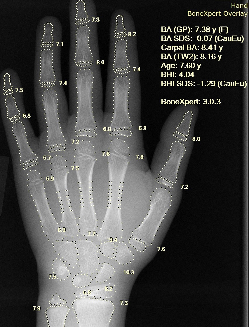
뼈의 성숙도는 전반적인 신체 성숙을 보여주는 좋은 지표이다. 따라서 뼈 나이를 평가하기 위해 왼쪽 손과 손목의 X-ray 촬영을 시행한다. 이를 통해 해당 아이가 사춘기가 시작되어야 하는 신체적 성숙 단계에 도달했는지 확인할 수 있다.[1][9][91][83] X-ray 검사 결과, 실제 나이와 관계없이 골연령이 여자아이의 경우 11세 미만, 남자아이의 경우 13세 미만이라면 대부분 체질적인 사춘기 지연으로 판단한다.[9][35][83][120]
사춘기 지연 외에 신경학적 증상이 동반되는 경우, 뇌 MRI 검사를 고려할 수 있다. 이는 뇌하수체 또는 시상하부 종양을 의심할 만한 소견이 있을 때 필요하다.[1][6][91][92] 또한 MRI는 후각 신경 경로의 부재나 비정상적인 발달을 확인하여 칼만 증후군 진단을 확정하는 데 도움이 될 수 있다.[6][92] 그러나 명확한 신경학적 증상이 없다면 MRI는 비용 대비 효율적이지 않을 수 있다.[6][92]
골반 초음파 검사는 잠복 고환이나 뮐러관 무형성과 같은 해부학적 이상을 감지하는 데 사용될 수 있다.[1][34][91][119]
4. 3. 호르몬 검사

사춘기 지연의 원인을 감별하기 위해 다양한 호르몬 검사를 시행한다. 혈액 검사를 통해 뇌하수체에서 분비되는 생식샘자극호르몬인 난포 자극 호르몬(FSH)과 황체 형성 호르몬(LH) 수치를 측정한다. 또한, 여성의 경우 난소에서 분비되는 에스트라디올, 남성의 경우 고환에서 분비되는 테스토스테론 수치를 측정하여 생식샘의 반응 능력을 평가한다.[9][34] 이러한 호르몬 수치를 통해 성선기능저하증이 뇌하수체나 시상하부의 문제로 인한 저생식샘자극호르몬증인지, 혹은 난소나 고환 자체의 문제로 인한 고생식샘자극호르몬증인지 구별할 수 있다.[9][34] 예를 들어, 10~12세 이후에도 생식샘 기능 부전이 있는 경우, 뇌는 사춘기를 시작하려 하지만 생식샘이 반응하지 않아 FSH와 LH 수치가 높게 나타난다(고생식샘자극호르몬증).[9][1]
필요에 따라 생식샘자극 호르몬 방출 호르몬(GnRH) 자극 검사를 시행할 수 있다. 인공 GnRH를 투여하여 뇌하수체의 반응을 보는 이 검사는 남아에서 체질성 사춘기 지연과 GnRH 결핍을 구별하는 데 도움이 될 수 있으나, 여아에서는 그 유용성이 입증되지 않았다.[9][40] 많은 경우, 기본적인 생식샘자극호르몬 수치 측정만으로도 감별 진단에 충분하다.[6]
저생식샘자극호르몬증이 의심되는 여아의 경우, 혈청 프로락틴 수치를 측정하여 뇌하수체 종양의 일종인 프로락틴종 여부를 확인한다. 약물 부작용 외의 원인으로 프로락틴 수치가 높으면 MRI 검사가 필요할 수 있다.[9][83] 신경학적 증상이 동반되는 경우에도 뇌 병변 확인을 위해 MRI 검사가 권장된다.[9][83]
고생식샘자극호르몬증이 확인된 경우, 염색체 이상 여부를 확인하기 위해 핵형 분석을 시행한다. 여아에서는 터너 증후군이[9][83], 남아에서는 클라인펠터 증후군[1][91] 등이 흔하게 발견될 수 있다. 핵형 분석 결과가 정상인 경우에는 부신 스테로이드 호르몬 합성 과정의 이상을 확인하기 위해 17-하이드록실라제 효소 활성 등을 측정할 수 있다.[9][83]
5. 치료
단기 호르몬 치료는 성적 발달의 시작과 성장 급등을 유도하는 것을 목표로 하지만, 사춘기 지연으로 인해 심각한 심리적 고통이나 불안을 겪는 경우에 한해 제한적으로 사용될 수 있다.[1][9] 치료 중에는 골 연령을 자주 확인하여, 뼈의 성장판이 너무 일찍 닫혀 최종 키 성장을 저해하는 것을 방지해야 한다.[9]
5. 1. 체질적 성장 지연의 치료
성장 및 사춘기 지연이 있는 건강한 아이의 경우, 골 연령을 기반으로 안심시키고 예측할 수 있다.[6][28][92][114] 일반적으로 다른 특별한 치료는 필요하지 않으며 경과를 관찰하는 것이 권장된다.[1][3][9][91][122][83] 다만, 혈청 테스토스테론 또는 에스트로겐 수치를 반복적으로 측정하는 것이 좋다.[1][3][9][91][122][83] 만약 청소년이 16~18세까지 사춘기를 시작하면 성선기능저하증 진단은 배제할 수 있다.[3][35][122][120]그러나 사춘기 지연으로 인해 심각한 심리적 고통이나 불안을 겪는 경우에는 단기간의 호르몬 치료를 고려할 수 있다.[91][83] 이 치료의 목적은 성적 발달 시작과 급성장을 유도하는 것이다.[91][83]
- 남자아이: 14세 이상이면서 성장이 현저히 둔화되었거나 사춘기 부족으로 심각한 고통을 겪는 경우, 키 성장을 돕기 위해 테스토스테론 투여를 시작할 수 있다.[6][92] 테스토스테론 치료는 성적 발달을 촉진하는 데도 사용될 수 있지만, 뼈의 성장판(골단)을 조기에 닫아 성장을 멈추게 할 수 있으므로 신중하게 투여해야 한다.[41][9][126][83] 아로마타제 억제제를 사용하여 안드로겐이 에스트로겐으로 전환되는 것을 막는 방법도 있지만, 부작용 때문에 테스토스테론 단독 요법이 더 자주 사용된다.[6][92] 에스트로겐은 뼈 성장판 발달을 멈추게 하는 역할을 한다.[6]
- 여자아이: 남자아이와 동일한 목표로 에스트로겐 투여를 시작할 수 있다.[6][92]
단기 호르몬 치료 시에는 골 연령을 자주 모니터링하여 골판 조기 폐쇄로 인한 성장 저해를 방지해야 한다.[83]
전반적으로 성장 호르몬이나 아로마타제 억제제는 체질적 성장 지연 치료에 권장되지 않는다.[28][42][114][127] 또한, 연구에 따르면 성 스테로이드(테스토스테론, 에스트로겐 등)를 단기간 투여받은 청소년과 치료 없이 관찰만 한 청소년 간에 최종 성인 신장에는 유의미한 차이가 없는 것으로 나타났다.[43][128]
5. 2. 만성 질환 및 영양 결핍의 치료
사춘기 지연이 전신 질환이나 영양실조로 인해 발생한 경우, 치료는 이러한 기저 원인을 해결하는 데 중점을 둔다.[9][3] 셀리악병 환자의 경우, 조기에 진단하고 글루텐 프리 식단을 꾸준히 실천하면 장기적인 합병증을 예방하고 정상적인 성숙 과정을 회복할 수 있다.[11][14][97][100] 갑상선 기능 저하증이 원인이라면 갑상선 호르몬 치료가 필요하다.[9][83]5. 3. 생식샘 기능 저하의 치료
성선 기능 저하증으로 인한 사춘기 지연의 경우, 부족한 성 호르몬을 보충하는 치료가 필요하며, 이는 평생 지속될 수도 있다.[1][91]여아의 경우, 원발성 난소 부전이 있다면 사춘기가 시작되어야 할 시기에 에스트로겐 투여를 시작한다.[9][83] 유방 발달이 어느 정도 진행된 후(보통 에스트로겐 시작 후 12~24개월), 프로게스틴을 추가로 투여한다. 프로게스틴을 너무 일찍 투여하면 유방 성장에 부정적인 영향을 줄 수 있기 때문이다.[9][83] 유방이 충분히 발달한 후에는 에스트로겐과 프로게스틴을 주기적으로 투여하여 규칙적인 월경을 유도하고, 2~3년에 걸쳐 완전한 성적 성숙을 목표로 한다.[41][35][126][120][9][83] 성적 성숙이 이루어진 후에는 호르몬 치료 없이 일정 기간을 두어 평생 치료가 필요한지 판단할 수 있다.[1][91] 선천적으로 GnRH 분비에 문제가 있는 여아는 배란 유도 및 임신 가능성을 위해 충분한 호르몬 보충이 필요하다.[9][83]
남아의 경우, 원발성 고환 부전이 있다면 평생 테스토스테론을 투여받게 된다.[39][124]
성인이 된 후 임신을 원하는 경우, 남녀 모두 맥동성 GnRH 투여나 LH, hCG, FSH 주사 등을 통해 임신을 유도할 수 있다.[6][35][92][120]
5. 4. 호르몬 경로 이상의 치료
호르몬 경로 이상으로 인한 사춘기 지연의 치료는 원인에 따라 접근한다. 예를 들어 뇌종양 등으로 인해 뇌하수체 기능 저하증이 발생한 경우에는 해당 기저 질환을 먼저 치료한다.[9]성선자극호르몬저하성 성선기능저하증이 원인인 경우, 부족한 호르몬을 보충하거나 분비를 자극하는 치료를 시행한다.
- 남아: 만 12세 이상의 남아는 단기간 테스토스테론 치료를 받는 경우가 많으며, 고환 기능 부전이 확인된 경우에는 평생 테스토스테론을 투여받을 수 있다.[6][44][45][92][129][130] 국소 제제나 주사 등 투여 방식은 환자와 가족의 선호도, 부작용 내성 등을 고려하여 선택한다.[44][129] 테스토스테론 치료만으로도 사춘기가 시작될 수 있지만, 생식 능력 회복을 위해서는 맥동성 성선자극호르몬 방출호르몬(GnRH)이나 hCG, 유전자 재조합 난포자극 호르몬(rFSH) 등의 추가 치료가 필요할 수 있다.[6][44][92][129] 일시적인 성선자극호르몬저하성 성선기능저하증으로 자연적인 사춘기 발달이 시작된 남아에게는 hCG를 단독으로 사용하기도 하며, 치료 6~12개월 후 정자 수가 부족하면 rFSH를 추가할 수 있다.[6][92] 치료 시작 후 1년이 지나도 사춘기 발달이 없으면 영구적인 상태일 가능성을 고려한다.[6][92]
- 여아: 성선자극호르몬저하성 성선기능저하증이 있는 여아는 체질적 지연이 있는 경우와 유사하게 에스트로겐 요법을 시작하지만, 성인 수준의 호르몬 보충이 이루어지도록 점진적으로 용량을 늘린다.[6][92] 에스트로겐 용량은 월경(소퇴성 출혈) 유발 여부와 적절한 골밀도 유지 등을 고려하여 조절한다.[6][92] 생식 능력 유도가 필요한 경우에는 맥동성 GnRH 투여를 고려한다.[6][92]
5. 5. 기타 치료
성장 호르몬은 또 다른 치료 선택지가 될 수 있지만, 특발성 저신장증과 같이 성장 호르몬 결핍이 증명된 경우에만 사용해야 한다.[46][47][6][92][131][132] 체질적인 사춘기 지연이 있는 어린이에게는 성장 호르몬 치료가 효과를 보이지 않았다.[6][92] 체질성 사춘기 지연에서는 혈청 성장 호르몬 수치가 낮게 나타나지만, 성 호르몬 치료 후에는 상승하므로, 이러한 경우 성장 호르몬을 이용한 성장 촉진은 권장되지 않는다.[9][83]비타민 A 섭취 부족은 사춘기 지연의 원인 중 하나가 될 수 있다. 정상적인 체질 지연을 가진 어린이 중 비타민 A 섭취가 부족한 경우, 비타민 A와 철분을 보충하는 것이 성장과 사춘기 유도에 있어 호르몬 치료만큼 효과적일 수 있다.[48][133]
키스펩틴Kisspeptineng이나 뉴로키닌 BNeurokinin Beng와 같이 HPG 축의 세부적인 조절 인자를 표적으로 하는 새로운 치료법들이 개발되고 있다.[49][50][134][135]
성선기능저하증으로 인해 심각한 사춘기 지연을 겪는 경우, 심리학자나 정신과 의사의 평가와 더불어 상담 및 지원적인 환경을 제공하는 것이 아동에게 중요한 보조 치료가 된다.[1][51][91][136] 또한, 소아과 진료에서 성인 진료로 전환하는 과정도 매우 중요하며, 많은 아이들이 이 전환 과정에서 어려움을 겪고 치료에서 이탈하는 경우가 있다.[28][114]
6. 예후
성장 및 사춘기 지연은 장기적인 건강 문제는 없지만 지속적인 심리적 영향을 미칠 수 있는 정상적인 발달의 변형이다.[43][52] 사춘기 지연을 겪는 청소년기 남자아이는 또래에 비해 불안과 우울증 수준이 더 높으며,[53] 청소년기 교육에서 학업 성취도가 감소하는 것으로 나타난다. 다만 성인기의 학업 성취도 변화는 아직 명확히 밝혀지지 않았다.[43]
체질적 성장 및 사춘기 지연을 겪는 아이들이 최종 신장 잠재력에 도달하는지에 대해서는 상반된 증거가 있다.[43] 전통적으로는 이러한 아이들이 사춘기 성장 급등 시기에 성장을 따라잡고, 사춘기 지연이 시작되기 전까지 일시적으로 키가 작은 상태로 유지된다고 여겨졌다.[54] 그러나 일부 연구에 따르면, 이들은 목표 신장보다 약 4cm에서 11cm 정도 작을 수 있다.[43] 최종 신장에 영향을 미칠 수 있는 요인으로는 가족성 저신장 여부와 사춘기 전 성장 발달 정도 등이 있다.[43]
사춘기 지연은 또한 골밀도와 이후 골다공증 발병에 영향을 미칠 수 있다.[55] 사춘기 지연을 겪는 남성은 안드로겐 치료의 영향을 받지 않으며, 골밀도가 낮거나 정상인 경우가 많다.[43] 반면, 여성은 골밀도가 낮을 가능성이 더 높으며, 이로 인해 사춘기 시작 전부터 골절 위험이 증가할 수 있다.[43]
더욱이 사춘기 지연은 여성의 심혈관 및 대사 장애 위험 증가와 관련이 있을 수 있다. 반면, 여성의 유방암 및 자궁내막암, 남성의 고환암에 대해서는 보호 효과가 나타날 수 있다는 연구 결과도 있다.[43]
참조
[1]
서적
Ferri's clinical advisor 2019 : 5 books in 1
Elsevier Health Sciences
2018-05-26
[2]
논문
The Genetic Basis of Delayed Puberty
2018
[3]
논문
Disorders of Puberty: An Approach to Diagnosis and Management
2017-11
[4]
논문
Dihydrotestosterone treatment in adolescents with delayed puberty: does it explain insulin resistance of puberty?
2001-10
[5]
논문
Disorders of pubertal development
2003-02
[6]
논문
Transition in endocrinology: induction of puberty
2014-06
[7]
서적
Williams Gynecology
McGraw-Hill Education
[8]
논문
Management of hypogonadism from birth to adolescence
http://qmro.qmul.ac.[...]
2018-08
[9]
서적
Clinical Gynecologic Endocrinology and Infertility.
Lippincott Williams & Wilkins
2015
[10]
Review
Recent advances in the understanding and management of delayed puberty
2016-05
[11]
Review
The prevention of coeliac disease
2015-06
[12]
Review
Extraintestinal manifestations of coeliac disease
2015-10
[13]
논문
Celiac disease: a review
2014-03
[14]
Review
Celiac disease: an immune dysregulation syndrome
2014-12
[15]
간행물
Sickle Cell Nephropathy
https://www.ncbi.nlm[...]
StatPearls Publishing
2019-01-26
[16]
논문
Common gynecological challenges in adolescents with sickle cell disease
2016
[17]
논문
Reproductive endocrine issues in men with sickle cell anemia
2017-07
[18]
논문
Thalassemia and infertility
2016-06
[19]
논문
Delayed puberty in girls with cystic fibrosis despite good clinical status
1997-01
[20]
논문
Discovery of GnIH and Its Role in Hypothyroidism-Induced Delayed Puberty
2018-01
[21]
Review
"[Puberty, fertility and chronic diseases]"
2013-06
[22]
논문
Pubertal development in children with chronic kidney disease
2017-06
[23]
Review
Celiac disease and reproductive disorders: meta-analysis of epidemiologic associations and potential pathogenic mechanisms
2014
[24]
Review
Growth problems in children with IBD
2014-10
[25]
Review
Pathological fractures in paediatric patients with inflammatory bowel disease
2014-02
[26]
논문
Biological Therapy in Pediatric Inflammatory Bowel Disease: A Systematic Review
2017-02
[27]
서적
Williams textbook of endocrinology.
Elsevier
2015
[28]
논문
TRANSITION IN ENDOCRINOLOGY: Hypogonadism in adolescence
2015-07
[29]
Review
Endocrine disorders in adolescent and young female athletes: impact on growth, menstrual cycles, and bone mass acquisition
2014-11
[30]
논문
Elite athletes and pubertal delay
2017-10
[31]
논문
"[Kisspeptin and leptin in the regulation of fertility]"
2015-09
[32]
논문
Impact of Carbohydrate Restriction on Healthy Adolescent Development
2017-09
[33]
논문
The Role of Diabetes Mellitus in Sexual and Reproductive Health: An Overview of Pathogenesis, Evaluation, and Management
2017
[34]
서적
Goldman-Cecil Medicine
Elsevier
[35]
논문
Pathology or normal variant: what constitutes a delay in puberty?
2014
[36]
서적
Obstetrics and gynaecology
Mosby
2008
[37]
서적
Practical pediatric and adolescent gynecology
Wiley-Blackwell
2013
[38]
서적
Testosterone Deficiency in Men
Oxford Endocrinology Library
2008
[39]
서적
Male Hypogonadism
Uni-Med Science
2004
[40]
논문
"[The status of the gonadotropin releasing hormone test in differential diagnosis of delayed puberty in adolescents over 14 years of age]"
1994-10
[41]
서적
Brody's human pharmacology : molecular to clinical
Elsevier Mosby
2010
[42]
논문
Novel approaches to short stature therapy
2015-06
[43]
논문
Adult Consequences of Self-Limited Delayed Puberty
2017-06
[44]
논문
Treatment of hypogonadism in males
2014-02
[45]
서적
Principles of Gender-Specific Medicine
Elsevier Science
2004
[46]
논문
Treatment of delayed puberty and hypogonadism in girls
[47]
논문
Late or delayed induced or spontaneous puberty in girls with Turner syndrome treated with growth hormone does not affect final height
2003-09
[48]
논문
Vitamin A and iron supplementation is as efficient as hormonal therapy in constitutionally delayed children
2004-06
[49]
서적
Advanced Therapies in Pediatric Endocrinology and Diabetology
2016
[50]
논문
Recent advances in the understanding and management of delayed puberty
2016-05
[51]
서적
The importance of puberty for adolescent development: conceptualization and measurement
2015
[52]
서적
Endocrinology adult and pediatric : reproductive endocrinology
[53]
논문
TRANSITION IN ENDOCRINOLOGY: Hypogonadism in adolescence
2015-07
[54]
논문
Delayed adolescence
1975-03
[55]
논문
Osteoporosis prevention, diagnosis, and therapy
2001-02
[56]
논문
Delayed Puberty
2020-01
[57]
논문
Delayed Puberty
2020-01
[58]
논문
The Genetic Basis of Delayed Puberty
2018
[59]
서적
Ferri's Clinical Advisor 2019 E-Book: 5 Books in 1
https://books.google[...]
Elsevier Health Sciences
2021-02-21
[60]
서적
Ferri's Clinical Advisor 2019 E-Book: 5 Books in 1
https://books.google[...]
Elsevier Health Sciences
2021-02-21
[61]
논문
Disorders of Puberty: An Approach to Diagnosis and Management
2017-11
[62]
서적
Ferri's Clinical Advisor 2019 E-Book: 5 Books in 1
https://books.google[...]
Elsevier Health Sciences
2021-02-21
[63]
논문
The Genetic Basis of Delayed Puberty
2018
[64]
서적
Ferri's Clinical Advisor 2019 E-Book: 5 Books in 1
https://books.google[...]
Elsevier Health Sciences
2021-02-21
[65]
논문
Delayed Puberty
2020-01
[66]
논문
Delayed Puberty
2020-01
[67]
논문
The Genetic Basis of Delayed Puberty
2018
[68]
서적
Ferri's Clinical Advisor 2019 E-Book: 5 Books in 1
https://books.google[...]
Elsevier Health Sciences
2021-02-21
[69]
서적
Ferri's Clinical Advisor 2019 E-Book: 5 Books in 1
https://books.google[...]
Elsevier Health Sciences
2021-02-21
[70]
서적
Ferri's Clinical Advisor 2019 E-Book: 5 Books in 1
https://books.google[...]
Elsevier Health Sciences
2021-02-21
[71]
서적
Ferri's Clinical Advisor 2019 E-Book: 5 Books in 1
https://books.google[...]
Elsevier Health Sciences
2021-02-21
[72]
간행물
Delayed Puberty
2020-01
[73]
간행물
Disorders of Puberty: An Approach to Diagnosis and Management
2017-11
[74]
서적
Ferri's Clinical Advisor 2019 E-Book: 5 Books in 1
https://books.google[...]
Elsevier Health Sciences
2021-02-21
[75]
서적
Ferri's Clinical Advisor 2019 E-Book: 5 Books in 1
https://books.google[...]
Elsevier Health Sciences
2021-02-21
[76]
간행물
Delayed Puberty
2020-01
[77]
간행물
Delayed Puberty
2020-01
[78]
간행물
The Genetic Basis of Delayed Puberty
2018
[79]
서적
Ferri's Clinical Advisor 2019 E-Book: 5 Books in 1
https://books.google[...]
Elsevier Health Sciences
2021-02-21
[80]
간행물
Disorders of Puberty: An Approach to Diagnosis and Management
2017-11
[81]
서적
The Knowledge of Childhood in the German Middle Ages, 1100-1350
https://books.google[...]
University of Pennsylvania Press
[82]
웹사이트
Children aren't starting puberty younger, medieval skeletons reveal
https://theconversat[...]
2018-02-12
[83]
서적
Clinical Gynecologic Endocrinology and Infertility.
Lippincott Williams & Wilkins
[84]
서적
Practical pediatric and adolescent gynecology
Wiley-Blackwell
[85]
간행물
Disorders of pubertal development
2003-02
[86]
웹사이트
【成長ホルモン関連疾患解説】思春期遅発症/思春期による体の変化
https://jcrgh.com/sh[...]
2022-01-29
[87]
웹사이트
思春期遅発 - 19. 小児科
https://www.msdmanua[...]
2022-01-29
[88]
웹사이트
思春期遅発 - 19. 小児科
https://www.msdmanua[...]
2022-01-29
[89]
웹사이트
【成長ホルモン関連疾患解説】思春期遅発症/思春期による体の変化
https://jcrgh.com/sh[...]
2022-01-29
[90]
웹사이트
思春期遅発 - 19. 小児科
https://www.msdmanua[...]
2022-01-29
[91]
서적
Ferri's clinical advisor 2019 : 5 books in 1
2018-05-26
[92]
간행물
Transition in endocrinology: induction of puberty
2014-06
[93]
간행물
Impact of Carbohydrate Restriction on Healthy Adolescent Development
2017-09
[94]
서적
Williams Gynecology
McGraw-Hill Education
[95]
간행물
Management of hypogonadism from birth to adolescence
http://qmro.qmul.ac.[...]
2018-08
[96]
Review
Recent advances in the understanding and management of delayed puberty
2016-05
[97]
Review
The prevention of coeliac disease
2015-06
[98]
Review
Extraintestinal manifestations of coeliac disease
2015-10
[99]
간행물
Celiac disease: a review
2014-03
[100]
Review
Celiac disease: an immune dysregulation syndrome
2014-12
[101]
문서
Sickle Cell Nephropathy
https://www.ncbi.nlm[...]
StatPearls Publishing
2019-01-26
[102]
간행물
Common gynecological challenges in adolescents with sickle cell disease
2016
[103]
간행물
Reproductive endocrine issues in men with sickle cell anemia
2017-07
[104]
간행물
Thalassemia and infertility
2016-06
[105]
간행물
Delayed puberty in girls with cystic fibrosis despite good clinical status
1997-01
[106]
논문
Discovery of GnIH and Its Role in Hypothyroidism-Induced Delayed Puberty
2018-01
[107]
논문
"[Puberty, fertility and chronic diseases]"
2013-06
[108]
논문
Pubertal development in children with chronic kidney disease
2017-06
[109]
논문
Celiac disease and reproductive disorders: meta-analysis of epidemiologic associations and potential pathogenic mechanisms
[110]
논문
Growth problems in children with IBD
2014-10
[111]
논문
Pathological fractures in paediatric patients with inflammatory bowel disease
2014-02
[112]
논문
Biological Therapy in Pediatric Inflammatory Bowel Disease: A Systematic Review
2017-02
[113]
서적
Williams textbook of endocrinology.
Elsevier
[114]
논문
TRANSITION IN ENDOCRINOLOGY: Hypogonadism in adolescence
2015-07
[115]
논문
Endocrine disorders in adolescent and young female athletes: impact on growth, menstrual cycles, and bone mass acquisition
2014-11
[116]
논문
Elite athletes and pubertal delay
2017-10
[117]
논문
"[Kisspeptin and leptin in the regulation of fertility]"
2015-09
[118]
논문
The Role of Diabetes Mellitus in Sexual and Reproductive Health: An Overview of Pathogenesis, Evaluation, and Management
[119]
서적
Goldman-Cecil Medicine
Elsevier
[120]
논문
Pathology or normal variant: what constitutes a delay in puberty?
[121]
서적
Obstetrics and gynaecology
Mosby
[122]
논문
Disorders of Puberty: An Approach to Diagnosis and Management
2017-11
[123]
서적
Oxford Endocrinology Library. Testosterone Deficiency in Men.
[124]
서적
Male Hypogonadism.
Uni-Med Science
[125]
논문
"[The status of the gonadotropin releasing hormone test in differential diagnosis of delayed puberty in adolescents over 14 years of age]"
1994-10
[126]
서적
Brody's human pharmacology : molecular to clinical
Elsevier Mosby
[127]
논문
Novel approaches to short stature therapy
2015-06
[128]
논문
Adult Consequences of Self-Limited Delayed Puberty
2017-06
[129]
논문
Treatment of hypogonadism in males
2014-02
[130]
서적
Principles of Gender-Specific Medicine
[131]
논문
Treatment of delayed puberty and hypogonadism in girls
[132]
논문
Late or delayed induced or spontaneous puberty in girls with Turner syndrome treated with growth hormone does not affect final height
2003-09
[133]
논문
Vitamin A and iron supplementation is as efficient as hormonal therapy in constitutionally delayed children
2004-06
[134]
서적
Advanced Therapies in Pediatric Endocrinology and Diabetology
[135]
논문
Recent advances in the understanding and management of delayed puberty
2016-05
[136]
서적
Advances in Child Development and Behavior
[137]
서적
Endocrinology adult and pediatric : reproductive endocrinology
[138]
논문
TRANSITION IN ENDOCRINOLOGY: Hypogonadism in adolescence
2015-07
[139]
논문
Delayed adolescence
1975-03
[140]
논문
Osteoporosis prevention, diagnosis, and therapy
2001-02
본 사이트는 AI가 위키백과와 뉴스 기사,정부 간행물,학술 논문등을 바탕으로 정보를 가공하여 제공하는 백과사전형 서비스입니다.
모든 문서는 AI에 의해 자동 생성되며, CC BY-SA 4.0 라이선스에 따라 이용할 수 있습니다.
하지만, 위키백과나 뉴스 기사 자체에 오류, 부정확한 정보, 또는 가짜 뉴스가 포함될 수 있으며, AI는 이러한 내용을 완벽하게 걸러내지 못할 수 있습니다.
따라서 제공되는 정보에 일부 오류나 편향이 있을 수 있으므로, 중요한 정보는 반드시 다른 출처를 통해 교차 검증하시기 바랍니다.
문의하기 : help@durumis.com