맨위로가기 타임라인 바로가기

대동맥류

"오늘의AI위키"는 AI 기술로 일관성 있고 체계적인 최신 지식을 제공하는 혁신 플랫폼입니다.
"오늘의AI위키"의 AI를 통해 더욱 풍부하고 폭넓은 지식 경험을 누리세요.
타임라인 바로가기

1. 개요

대동맥류는 대동맥 벽이 약해져서 부풀어 오르는 질환으로, 발생 위치에 따라 흉부 대동맥류, 복부 대동맥류 등으로 분류된다. 주요 위험 요인으로는 동맥경화증, 고혈압, 흡연 등이 있으며, 유전적 요인도 영향을 미칠 수 있다. 대부분의 대동맥류는 증상이 없지만, 커지면 복통, 요통, 신경 압박 등의 증상이 나타날 수 있다. 진단은 의학 영상 검사를 통해 이루어지며, 파열 위험에 따라 수술적 치료 또는 약물 치료를 시행한다. 예방을 위해서는 혈압 관리, 금연, 콜레스테롤 수치 관리가 중요하며, 선별 검사도 도움이 될 수 있다. 대동맥류는 전 세계적으로 사망 원인이 되며, 한국에서도 환자가 증가하는 추세이다.

더 읽어볼만한 페이지

  • 대동맥 질환 - 복부대동맥류
    복부대동맥류는 복부 대동맥이 비정상적으로 확장되는 질환으로 흡연, 알코올 섭취, 유전적 요인, 동맥경화 등이 원인이며, 무증상으로 진행되다 복부, 가슴, 허리 통증을 유발하고 심각한 경우 대동맥 파열로 이어져 저혈량 쇼크를 일으킬 수 있으며, 금연과 혈압 관리를 통해 예방하고 크기와 증상에 따라 약물, 개복 수술, 혈관 내 치료를 고려한다.
  • 대동맥 질환 - 대동맥 협착
    대동맥 협착은 대동맥 특정 부위가 좁아지는 선천성 심장 질환으로, 위치와 협착 정도에 따라 다양한 증상을 유발하며, 의학 영상 검사로 진단 후 수술, 혈관 성형술, 스텐트 이식편 등으로 치료한다.
  • 혈관외과 - 복부대동맥류
    복부대동맥류는 복부 대동맥이 비정상적으로 확장되는 질환으로 흡연, 알코올 섭취, 유전적 요인, 동맥경화 등이 원인이며, 무증상으로 진행되다 복부, 가슴, 허리 통증을 유발하고 심각한 경우 대동맥 파열로 이어져 저혈량 쇼크를 일으킬 수 있으며, 금연과 혈압 관리를 통해 예방하고 크기와 증상에 따라 약물, 개복 수술, 혈관 내 치료를 고려한다.
  • 혈관외과 - 정맥류
    정맥류는 혈액 정체로 다리에 주로 나타나는 질환으로, 다양한 원인에 의해 발생하며 다리 통증, 부종, 피부 변색 등의 증상을 보이고 심한 경우 합병증을 유발하며, 압박 스타킹, 약물, 수술 등의 방법으로 치료한다.
대동맥류
지도 정보
기본 정보
분야심장학, 혈관외과
증상복통 및 요통
합병증출혈
진단초음파
원인
원인불명
가족력
고혈압
흡연
동맥경화
치료
치료약물
수술
기타
사망률파열된 복부 대동맥류의 경우 90% 사망률
빈도남성에서 더 흔함

2. 분류

대동맥류는 발생 위치에 따라 다음과 같이 분류된다.


  • 대동맥 근부 동맥류 또는 발살바 동 동맥류.
  • 흉부 대동맥류: 흉부 내에서 발견되며 상행 대동맥류, 대동맥궁, 하행 대동맥류로 더 분류된다.
  • 복부 대동맥류 ("AAA" 또는 "트리플 A"): 가장 흔한 형태의 대동맥류로, 복강 내 대동맥 부위에 발생한다. 흉복부 대동맥류는 흉부와 복부 대동맥 모두에 걸쳐 발생한다.
  • 흉복부 대동맥류: 흉부와 복부 대동맥의 일부 또는 전부를 포함하며, 흉부 대동맥류와 복부 대동맥류의 특징을 모두 가지고 있다.[7] 크로포드 분류법은 다섯 가지 유형을 설명한다.[8]

3. 위험 요인


대부분 고혈압, 동맥경화, 노화 등에 의해 이차적으로 발생하는 경우가 많다.[36]

4. 병태 생리

대동맥류는 외상, 감염 또는 대동맥 벽을 구성하는 엘라스틴과 콜라겐 구성 요소의 고유한 이상으로 인해 발생할 수 있다. 대동맥류의 발생과 진행은 엘라스틴 결핍과 1형 콜라겐의 손실과 직접적으로 관련이 있다.[18] 또한, 건강한 복부 대동맥에 비해 동맥류성 복부 대동맥에서 엘라스틴 대 콜라겐 비율이 훨씬 더 높다.[18] 마르판 증후군, 엘러스-단로스 증후군과 같이 대동맥류와 관련된 유전적 증후군에서는 명확한 유전적 이상이 확인되었지만, 흉부 및 복부 대동맥류 모두 그 원인에 강력한 유전적 요소가 존재함을 보여준다.[19] 대부분 고혈압, 동맥경화, 노화 등에 의해 이차적으로 발생하는 경우가 많다.[36]

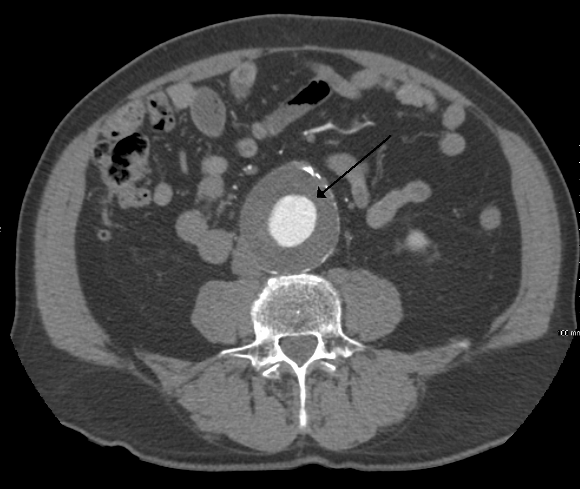
내경 3cm, 직경 6.5cm의 복부대동맥류

5. 징후 및 증상

대부분의 대동맥류는 증상이 없다. 대동맥류가 커지면 복통요통 같은 증상이 나타날 수 있다. 신경근 압박은 다리 통증이나 마비를 일으킬 수 있다. 치료하지 않으면 대동맥류는 점차 커지는 경향이 있지만, 개인마다 커지는 속도는 예측할 수 없다. 드물게 대부분의 대동맥류를 감싸고 있는 응고된 혈액이 떨어져 나와 색전을 일으킬 수 있다.[7]

신체 검사로는 동맥류를 발견할 수 없다. 진단을 확인하고 대동맥류의 해부학적 범위를 결정하려면 의료 영상 촬영이 필요하다. 대동맥궁 동맥류 환자의 경우 일반적인 징후는 대동맥궁 주위를 감아 후두 근육을 공급하는 미주 신경의 가지인 왼쪽 반회후두신경이 늘어나 쉰 목소리가 나는 것이다.[9]

6. 진단

대동맥류 진단에는 다음과 같은 검사 방법이 사용된다.


  • 신체 검사: 신체 검사로는 동맥류를 발견하기 어렵다.
  • 의료 영상 촬영: 진단을 확인하고 동맥류의 해부학적 범위를 결정하기 위해 필요하다.
  • 일반 흉부 X선 촬영: 대동맥 궁 동맥류 환자의 경우, 대동맥 궁 주위를 감아 후두 근육을 공급하는 미주 신경의 가지인 왼쪽 재발성 후두 신경이 늘어나 쉰 목소리가 나는 징후가 나타날 수 있다.
  • 복부 대동맥 초음파 검사: 복부 대동맥류(AAA) 진단을 확인하는 데 사용될 수 있다. 파열 시 복부에 자유 체액이 존재하는지 확인 가능하다. 가장 비용 효율적인 선별 검사 방법이다.
  • 조영증강 복부 CT 스캔: AAA를 진단하고 치료 옵션을 결정하는 데 가장 좋은 검사이다.
  • 초음파 단층촬영: 형태 외에 컬러 도플러를 이용하여 혈류 및 가성강의 상태도 평가할 수 있다. 다만, 촬영이 어려운 부위가 많아 흉부 대동맥 평가는 일부만 가능하다.
  • 단순 X선 촬영: 혈관의 윤곽이 보여 진단의 계기가 될 수 있지만, 확진은 불가능하다.
  • CT: 초음파 검사에서 문제가 되는 장관의 가스나 늑골의 영향을 받지 않고 혈관의 형태를 평가할 수 있다. 정확한 진단에는 조영제를 사용한다.


메디케어 및 메디케이드 서비스 센터(CMS)는 65세 이상의 모든 흡연자에게 한 번의 초음파 검사 비용을 지원한다("SAAAVE 법").[24]

복부 대동맥류(AAA)는 직경 3cm 이상 또는 정상 크기보다 50% 이상 확장된 경우를 말하며,[38] 미국에서는 흡연 경력이 있는 65~75세 남성에게 초음파 스크리닝이 권장되고 있으며,[43] 영국에서는 65세 이상 모든 남성에게 스크리닝이 권장된다.[38]

복부 대동맥류의 파열 위험은 직경과 관련이 있으며, 모양과도 관련이 있다.

복부 대동맥류의 추정 파열률[51]
복부 대동맥류 직경(cm)파열률(%/년)
<40
4-50.5-5
5-63-15
6-710-20
7-820-40
>830-50


7. 치료

대동맥류의 확정적인 치료법은 수술(개복 또는 혈관내)이다. 약물 치료는 일반적으로 수술적 수복의 위험이 비수술적 치료(관찰만)의 위험보다 큰 고령의 허약한 환자 또는 작은 동맥류에 국한된다.[15]

개복 하복부 대동맥 수복 모델. 동맥류 위쪽과 신장 동맥 아래쪽에 수술용 클램프가 보임


약물 치료는 엄격한 혈압 조절을 포함하며, 이는 고혈압을 조절하여 대동맥류의 확장 속도를 낮출 수 있다. 소형 대동맥류 환자나 허약한 환자의 경우 금연, 혈압 조절, 스타틴베타 차단제 사용을 포함한 약물 관리가 이루어지며, 6개월 또는 12개월마다 초음파 검사를 통해 대동맥류 크기를 추적 관찰한다.[25] 그러나 최적의 약물 치료에도 불구하고, 대동맥류가 큰 환자는 수술적 치료 없이는 계속 성장하고 파열될 위험이 있다.[25]

대동맥류 수술 여부는 파열 위험과 치료 자체의 위험을 비교 평가하여 결정한다. 예를 들어, 심각한 심혈관 질환을 가진 고령 환자의 경우 작은 대동맥류는 파열 가능성이 수술로 인한 심장 합병증 위험보다 낮기 때문에 수술하지 않는다. 수술 위험은 수술 중 및 직후 발생할 수 있는 문제("수술 주변" 합병증)와 수술의 장기적인 효과(대동맥류 파열로부터 환자를 효과적으로 보호하고 추가 수술 필요성을 줄이는지) 두 가지 측면을 고려해야 한다. 혈관내 대동맥류 수술과 같이 침습적인 정도가 낮은 수술은 단기 위험이 적을 수 있지만, 장기적인 추적 관찰 중에 추가적인 수술이 필요할 수 있다.

수술 여부는 환자별로 결정되며, 대동맥류의 직경, 성장 속도, 마르팡 증후군, 엘러스-단로스 증후군 또는 유사한 결합 조직 질환의 유무 및 기타 동반 질환이 중요한 요소이다. 크고 빠르게 확장되거나 증상이 있는 대동맥류는 파열 가능성이 높아 수술해야 하며, 천천히 확장되는 대동맥류는 CT 스캔이나 초음파 영상과 같은 정기적인 진단 검사를 통해 추적 관찰할 수 있다.

복부 대동맥류의 경우, 현재 지침은 대동맥류 직경이 5cm보다 클 때 선택적 수술을 권장한다. 그러나 60~76세 환자에 대한 최근 자료에 따르면 직경이 5.5cm 미만인 복부 대동맥류는 약물 치료를 할 수 있다.[26]

대동맥류의 혈관내 치료는 개복 수술에 비해 최소 침습적인 대안으로, 각 다리의 상단에 작은 절개를 통해 대동맥으로 혈관내 스텐트를 삽입한다. EVAR(혈관내 대동맥류 수술)는 개복 수술과 비교하여 단기적으로 사망 위험이 낮고 입원 기간이 짧지만, 항상 선택 가능한 것은 아니다.[31][32][33] 장기적인 결과에는 차이가 없으며,[34] EVAR 후에는 반복 시술이 필요할 가능성이 더 높다.[35]

복부 대동맥류 수술은 장기의 깊숙한 곳에 위치하여 난이도가 높으며, 한국에서는 10년 이상의 경험이 있는 심장혈관외과의가 담당한다.[50] 서울대학교병원과 같은 대형병원에서는 좁은 시야와 깊숙한 수술 부위를 재현하기 위해 다양한 훈련을 실시하고 있다.[50]

7. 1. 합병증

개복 수술 중에는 대동맥과 분지 동맥을 혈관 클램프로 차단하는데, 이는 척수로의 혈액 공급 부족을 야기하여 사지마비를 초래할 수 있다.[27] 2004년 체계적 문헌 고찰 및 메타 분석에 따르면, 숙련된 센터에서 뇌척수액 배액(CFSD)을 시행하면 척수로의 관류 압력을 증가시켜 허혈성 척수 손상 위험을 줄일 수 있다.[27] 2012년 코크란 체계적 문헌 고찰에서는 척수 손상 예방을 위한 CFSD의 효과에 대한 추가 연구가 필요하다고 언급했다.[28] 2023년 체계적 문헌 고찰에서는 흉복부 동맥류의 개복 수술 후 적절한 예방 조치와 수술 전후 조치를 통해 수술 후 척수 허혈률을 낮은 수준으로 유지할 수 있다고 제안했다.[29] 대부분의 외과 의사들은 예방적 요추 배액이 척수 허혈 감소에 효과적이라고 생각한다.[30] 운동 유발 전위(MEP)와 감각 유발 전위(SSEP)를 동시에 모니터링하는 것이 가장 신뢰할 수 있는 방법으로 보이며,[29] 이를 통해 외과의는 선택적 늑간 재건술 또는 기타 보호적인 마취 및 수술 조치를 결정할 수 있다.

8. 예방

대동맥류 확대 위험은 환자의 혈압, 흡연 및 콜레스테롤 수치에 주의를 기울임으로써 감소될 수 있다. 65세 이상 남성과 같이 가장 위험이 높은 사람들을 위한 선별 검사 도구로 초음파 검사를 도입하자는 제안이 있었다.[20][21]

아나세트라핍(Anacetrapib)은 고밀도 지단백(HDL) 콜레스테롤을 증가시키고 저밀도 지단백(LDL) 콜레스테롤을 감소시키는 콜레스테릴 에스터 전달 단백질 억제제이다. 아나세트라핍은 주로 비-HDL-콜레스테롤을 감소시킴으로써 죽상동맥경화증의 진행을 감소시키고, 병변 안정성을 개선하며, 아토르바스타틴의 유익한 효과를 더한다.[22]

마우스의 대동맥 복부 영역에서 HDL 콜레스테롤의 양을 증가시키면 이미 자란 동맥류의 크기를 줄이고 복부 대동맥류가 전혀 형성되지 않도록 예방하는 효과가 있었다. HDL 콜레스테롤을 증가시키는 것이 유익한 이유는 이것이 프로그램된 세포 사멸을 유도하기 때문이다. 기능이 저하된 대동맥 벽이 대체되고 강화된다. 이 약물을 사용하면 새로운 병변이 전혀 형성되지 않아야 한다.[23]

대동맥류 파열 전에 발견 및 치료를 위해 대동맥류 선별 검사를 하는 것이 질병의 전반적인 사망률을 줄이는 가장 좋은 방법이다. 가장 비용 효율적인 선별 검사는 복부 대동맥 초음파 검사이다. 여러 대규모 인구 기반 선별 시험의 결과를 고려하여 미국 메디케어 및 메디케이드 서비스 센터(CMS)는 현재 65세 이상의 모든 흡연자에게 한 번의 초음파 검사에 대한 비용을 지불한다("SAAAVE 법").[24]

대동맥류의 약물 치료는 엄격한 혈압 조절을 포함한다. 이것은 대동맥류 자체를 치료하는 것이 아니지만, 엄격한 혈압 범위 내에서 고혈압을 조절하면 대동맥류의 확장 속도를 낮출 수 있다.

대동맥류 환자의 약물 관리(소형 대동맥류 환자나 허약한 환자에게만 적용)는 금연, 혈압 조절, 스타틴 사용, 그리고 때때로 베타 차단제 사용을 포함한다. 대동맥류의 크기를 추적하기 위해 정기적으로(즉, 6개월 또는 12개월마다) 초음파 검사를 실시한다.

최적의 약물 치료에도 불구하고, 대동맥류가 큰 환자는 수술적 치료 없이는 대동맥류가 계속 성장하고 파열될 위험이 있다.[25]

복부대동맥류(AAA) 예방에 가장 효과적인 것은 금연이다. 또한 고혈압이나 고콜레스테롤혈증을 치료하거나, 비만을 해소하는 것도 예방에 도움이 된다.

9. 역학

전 세계적으로 대동맥류로 인한 사망자 수는 1990년 약 10만 명에서 2017년 약 17만 명으로 증가했다.[5][6] 2013년에는 152,000명이 대동맥류로 사망했다.[49]

복부대동맥류는 65세 이상 남성의 2~8%에서 발생하며, 여성보다 4배 더 흔하다. 1년 이내 파열 가능성은 동맥류 크기에 따라 달라지는데, 5.5cm 미만이면 1% 미만, 5.5~7cm이면 약 10%, 7cm 이상이면 약 33%이다. 파열 시 사망률은 85~90%에 달한다.[38] 미국에서는 2009년 10,000~18,000명이 복부대동맥류로 사망했다.[42]

한국에서도 고령화, 흡연, 고혈압 등의 영향으로 대동맥류 환자가 증가하는 추세이며, 수술은 난이도가 높아 10년 이상의 경험이 있는 심장혈관외과의가 담당한다.[50]

참조

[1] 논문 Suggested standards for reporting on arterial aneurysms. Subcommittee on Reporting Standards for Arterial Aneurysms, Ad Hoc Committee on Reporting Standards, Society for Vascular Surgery and North American Chapter, International Society for Cardiovascular Surgery 1991-03-01
[2] 논문 Abdominal aortic aneurysm 2006-04-01
[3] 논문 Abdominal aortic aneurysms 2021-03-01
[4] 논문 Systematic review and meta-analysis of population-based mortality from ruptured abdominal aortic aneurysm https://academic.oup[...] 2013-10-01
[5] 논문 The Global and Regional Prevalence of Abdominal Aortic Aneurysms: A Systematic Review and Modeling Analysis 2023-06-01
[6] 논문 Global, regional, and national age-sex specific all-cause and cause-specific mortality for 240 causes of death, 1990–2013: a systematic analysis for the Global Burden of Disease Study 2013 2015-01-01
[7] 논문 Aortic aneurysm 2016-04-01
[8] 웹사이트 Crawford classification https://radiopaedia.[...] 2023-02-13
[9] 논문 Hoarseness Due to Aortic Arch Aneurysms https://doi.org/10.2[...] 2020-01-01
[10] 논문 Changes in global mortality from aortic aneurysm 2024-02-01
[11] 웹사이트 Abdominal Aortic Aneurysms https://www.lecturio[...] 2020-10-16
[12] 논문 A review of current reporting of abdominal aortic aneurysm mortality and prevalence in the literature 2014-03-01
[13] 논문 Rupture signs on computed tomography, treatment, and outcome of abdominal aortic aneurysms 2014-06-01
[14] 논문 No Increased Mortality With Early Aortic Aneurysm Disease NIH Public Access 2024-03-14
[15] 논문 Effects of weekend admission on the outcomes and management of ruptured aortic aneurysms 2014-08-01
[16] 논문 Impact of the US Food and Drug Administration warning regarding increased risk of aortic aneurysms or aortic dissections on fluoroquinolone prescribing trends https://bmjopenquali[...]
[17] 논문 Risk of aortic aneurysm in patients with psoriasis: A systematic review and meta-analysis of cohort studies 2020-11-01
[18] 논문 A review of current status of cell-based therapies for aortic aneurysms 2023-08-07
[19] 논문 The genetic basis for aortic aneurysmal disease 2014-06-01
[20] 간행물 Routine screening in the management of AAA, UK Department of Health study http://www.dh.gov.uk[...] 2007-02-05
[21] 웹사이트 Abdominal Aortic Aneurysm http://www.bandolier[...] 1996-05-01
[22] 논문 Efficacy and safety of the cholesteryl ester transfer protein inhibitor anacetrapib as monotherapy and coadministered with atorvastatin in dyslipidemic patients 2009-02-01
[23] 논문 Elevation of plasma high-density lipoproteins inhibits development of experimental abdominal aortic aneurysms 2012-11-01
[24] 웹사이트 SAAAVE Act Background {{!}} Society for Vascular Surgery https://vascular.org[...] 2024-01-23
[25] 논문 Abdominal aortic aneurysm: A comprehensive review 2011-01-01
[26] 논문 Mortality results for randomised controlled trial of early elective surgery or ultrasonographic surveillance for small abdominal aortic aneurysms. The UK Small Aneurysm Trial Participants 1998-11-01
[27] 논문 Cerebrospinal fluid drainage to prevent paraplegia during thoracic and thoracoabdominal aortic aneurysm surgery: a systematic review and meta-analysis 2004-07-01
[28] 논문 Cerebrospinal fluid drainage for thoracic and thoracoabdominal aortic aneurysm surgery 2012-10-01
[29] 논문 Perioperative neuromonitoring during thoracoabdominal aortic aneurysm open repair: a systematic review. 2023-06-01
[30] 논문 Prevention and management of spinal cord ischemia following aortic surgery: A survey of contemporary practice. 2022-01-01
[31] 논문 Clinical practice. Abdominal aortic aneurysms 2014-11-01
[32] 논문 Open versus Endovascular Repair of Abdominal Aortic Aneurysm in the Elective and Emergent Setting in a Pooled Population of 37,781 Patients: A Systematic Review and Meta-Analysis
[33] 논문 Elective endovascular vs. open repair for abdominal aortic aneurysm in patients aged 80 years and older: systematic review and meta-analysis 2011-11-01
[34] 논문 Endovascular repair of abdominal aortic aneurysm 2014-01-01
[35] 논문 Endovascular aneurysm repair (EVAR) follow-up imaging: the assessment and treatment of common postoperative complications 2015-02-01
[36] 웹사이트 大動脈にこぶができたら:大動脈瘤・解離の診断と治療 http://www.ncvc.go.j[...] 国立循環器病センター 2009-10-10
[37] 서적 Logan's Medical and Scientific Abbreviations J. B. Lippincott Company 1987
[38] 논문 Clinical practice. Abdominal aortic aneurysms. 2014-11-27
[39] 논문 Abdominal aortic aneurysm
[40] 논문 Abdominal emergencies in the geriatric patient. 2014
[41] 논문 Aortic emergencies. 2011-11
[42] 웹사이트 Aortic Aneurysm Fact Sheet http://www.cdc.gov/d[...] 2014-07-22
[43] 논문 Screening for abdominal aortic aneurysm: U.S. Preventive Services Task Force recommendation statement. 2014-08-19
[44] 논문 Aortic aneurysms - screening, surveillance and referral. 2013-06
[45] 논문 Open versus Endovascular Repair of Abdominal Aortic Aneurysm in the Elective and Emergent Setting in a Pooled Population of 37,781 Patients: A Systematic Review and Meta-Analysis. 2014
[46] 논문 Elective endovascular vs. open repair for abdominal aortic aneurysm in patients aged 80 years and older: systematic review and meta-analysis. 2011-11
[47] 논문 Endovascular repair of abdominal aortic aneurysm. 2014-01-23
[48] 논문 Global, regional, and national age-sex specific all-cause and cause-specific mortality for 240 causes of death, 1990-2013: a systematic analysis for the Global Burden of Disease Study 2013. 2014-12-17
[49] 웹사이트 “100円均一の植木鉢” から見える外科医の課題 NHK https://www3.nhk.or.[...] 2023-08-02
[50] 간행물 大動脈瘤・大動脈解離診療ガイドライン(2006年改訂版)
[51] 논문 Suggested standards for reporting on arterial aneurysms. Subcommittee on Reporting Standards for Arterial Aneurysms, Ad Hoc Committee on Reporting Standards, Society for Vascular Surgery and North American Chapter, International Society for Cardiovascular Surgery 1991-03
[52] 논문 Clinical practice. Abdominal aortic aneurysms. 2014-11-27
[53] 논문 Abdominal aortic aneurysm
[54] 웹인용 대동맥류, '상행대동맥'에 생기면 수술 필요성 낮아 - 당신의 건강가이드 헬스조선 https://health.chosu[...] 2021-04-27

관련 사건 타임라인

( 최근 20개의 뉴스만 표기 됩니다. )



본 사이트는 AI가 위키백과와 뉴스 기사,정부 간행물,학술 논문등을 바탕으로 정보를 가공하여 제공하는 백과사전형 서비스입니다.
모든 문서는 AI에 의해 자동 생성되며, CC BY-SA 4.0 라이선스에 따라 이용할 수 있습니다.
하지만, 위키백과나 뉴스 기사 자체에 오류, 부정확한 정보, 또는 가짜 뉴스가 포함될 수 있으며, AI는 이러한 내용을 완벽하게 걸러내지 못할 수 있습니다.
따라서 제공되는 정보에 일부 오류나 편향이 있을 수 있으므로, 중요한 정보는 반드시 다른 출처를 통해 교차 검증하시기 바랍니다.

문의하기 : help@durumis.com