복부대동맥류
"오늘의AI위키"의 AI를 통해 더욱 풍부하고 폭넓은 지식 경험을 누리세요.
1. 개요
복부대동맥류는 복부 대동맥이 비정상적으로 확장되는 질환이다. 대부분 증상이 없지만, 복부, 가슴, 허리, 음낭 부위에 통증을 유발할 수 있으며, 파열 시 사망률이 매우 높다. 흡연, 고혈압, 유전적 요인이 주요 원인이며, 죽상 동맥 경화증도 관련이 있다. 진단은 신체 검사, 초음파 검사, CT 스캔 등으로 이루어지며, 크기와 증상에 따라 분류된다. 치료는 보존적 관리, 수술적 치료(개복 수술, 혈관내 치료)가 있으며, 예방을 위해서는 금연과 혈압 관리가 중요하다.
더 읽어볼만한 페이지
- 남성 건강 - 맨즈 헬스
1986년 미국에서 창간된 《맨즈 헬스》는 남성 건강 전반을 다루는 잡지로, 국제적으로 확장되었으나 비판도 있으며, 현재 허스트 커뮤니케이션스에 인수되어 전 세계 35개 에디션으로 발행되고 있다. - 남성 건강 - 성별에 따른 자살률 차이
성별에 따른 자살률 차이는 전 세계적으로 남성이 여성보다 높은 경향을 보이며, 이는 자살 시도 방법의 차이, 생물학적·심리적·사회문화적·경제적 요인 등 복합적인 원인으로 발생하고, 자살 예방을 위해 사회적 낙인 해소와 정신 건강 서비스 강화 등의 노력이 필요하다. - 대동맥 질환 - 대동맥류
대동맥류는 대동맥의 일부가 비정상적으로 확장되는 질환으로, 위치에 따라 분류되며 대부분 증상이 없지만 파열 시 사망에 이를 수 있고, 고혈압, 흡연 등이 위험 요인이며, 크기와 위치에 따라 약물 치료, 수술, 스텐트 삽입술 등으로 치료한다. - 대동맥 질환 - 대동맥 협착
대동맥 협착은 대동맥 특정 부위가 좁아지는 선천성 심장 질환으로, 위치와 협착 정도에 따라 다양한 증상을 유발하며, 의학 영상 검사로 진단 후 수술, 혈관 성형술, 스텐트 이식편 등으로 치료한다. - 혈관외과 - 대동맥류
대동맥류는 대동맥의 일부가 비정상적으로 확장되는 질환으로, 위치에 따라 분류되며 대부분 증상이 없지만 파열 시 사망에 이를 수 있고, 고혈압, 흡연 등이 위험 요인이며, 크기와 위치에 따라 약물 치료, 수술, 스텐트 삽입술 등으로 치료한다. - 혈관외과 - 정맥류
정맥류는 혈액 정체로 다리에 주로 나타나는 질환으로, 다양한 원인에 의해 발생하며 다리 통증, 부종, 피부 변색 등의 증상을 보이고 심한 경우 합병증을 유발하며, 압박 스타킹, 약물, 수술 등의 방법으로 치료한다.
복부대동맥류 | |
---|---|
질병 개요 | |
![]() | |
진료 분야 | 혈관 외과 |
증상 | 없거나, 배, 등, 다리의 통증 |
상세 정보 | |
발병 시기 | 50세 이상 남성 |
원인 | 불명 |
위험 요인 | 흡연 고혈압 다른 심혈관계 질환 가족력 마르팡 증후군 |
진단 | 의료 영상 (복부 대동맥 직경 > 3 cm) |
예방 | 금연, 위험 요인 치료 |
치료 | 수술 (개복 수술 또는 혈관 내 동맥류 복구) |
빈도 | ~5% (65세 이상 남성) |
사망자 수 | 168,200명 (대동맥류) (2015년) |
관련 질환 | |
감별 진단 | 대동맥 박리 |
2. 징후와 증상
복부대동맥류는 대부분 증상이 나타나지 않는다. 그러나 복부대동맥류가 커지면서 복부에서 맥박이 뛰는 느낌, 가슴, 허리, 음낭 등에 통증을 유발할 수 있다.[125] 증상이 있는 동맥류는 파열 위험이 높아 수술이 필요할 수 있다. 합병증으로는 파열, 말초 혈관 경화, 급성 대동맥 폐쇄 및 축착(혈관이 좁아지는 현상)이 있으며, 신장 동맥이나 내장 동맥으로 증상이 번질 수 있다.
2. 1. 주요 증상
복부대동맥류는 대부분 증상이 없지만, 팽창하면서 복부에서 맥박이 뛰는 느낌, 가슴, 허리, 음낭 부위의 통증을 유발할 수 있다.[125] 파열 위험은 증상이 있는 동맥류에서 높으므로, 증상이 나타나면 수술이 필요하다.대동맥 파열이 발생하면 허리, 옆구리, 복부, 사타구니에 심한 통증이 나타나고, 심장에서 직접 맥동(맥박이 뛰는 느낌)이 느껴지기도 한다.[119] 파열로 인한 출혈은 저혈압, 빠른 심박동을 동반한 저혈량 쇼크를 일으켜 의식 상실로 이어질 수 있다.[119]
2. 2. 대동맥 파열
복부 대동맥류 파열은 매우 치명적이며, 사망률이 90%에 이른다.[126] 환자의 65~75%가 병원에 도착하기 전에 사망하고, 최대 90%가 수술실에 도착하기 전에 사망한다.[126][16] 출혈은 후복막 또는 복강 내로 발생할 수 있으며, 파열은 대동맥과 내장 또는 대동맥과 하대정맥 사이의 혈류 흐름을 만들 수 있다.[127] 대동맥 동맥류 파열은 신장 결석 통증 또는 근육 관련 허리 통증으로 오인될 수 있다.[119]파열된 대동맥의 징후와 증상은 허리, 옆구리, 복부 또는 사타구니에 심한 통증을 포함할 수 있으며, 심장에서 직접 맥동감이 느껴지기도 한다.[119] 대동맥 파열에 따른 출혈은 저혈압과 빈맥으로 저혈량 쇼크를 일으켜 실신을 유발할 수 있다.[119][3] 옆구리 반상출혈(멍의 출현)은 후복막 출혈의 징후이며, 그레이 터너 징후라고도 한다.[91][18]
3. 원인
복부 대동맥류가 퇴행하는 정확한 원인은 분명하지 않다.[128] 그러나 몇 가지 가설과 잘 정의된 위험 요소가 있다.[19] 주요 원인으로는 감염, 신체적 외상, 동맥염, 낭성 중막 괴사 등이 있다.[127]
3. 1. 주요 위험 요인
- 흡연: 복부대동맥류 환자의 90% 이상이 흡연 경험이 있다.[129][20]
- 알코올 및 고혈압: 장기간의 알코올 섭취와 그로 인한 염증, 그리고 복부 질환을 유발하는 복부 종창으로 인한 고혈압은 복부 대동맥류의 장기적인 원인으로 간주된다.
- 유전적 영향: 복부대동맥류는 유전적 요인의 영향을 크게 받는다. 남성 형제에서 발병률이 4~6배 높으며, 위험도는 20~30%이다.[130][21] 가족 유병률은 남성 환자에게서 가장 두드러지게 나타난다.[131][22] 알파 1- 항 트립신 결핍의 영향, X-연결된 돌연변이 가설 등이 제기되고 있으며, 마르판 증후군 및 엘러스-단로스 증후군과도 강한 연관성을 보인다.[127][91][17]
- 죽상 경화증: 오랫동안 주요 원인으로 여겨졌으나, 초기 결함과 혈관 폐쇄 발달을 설명할 수 없어 확실한 원인이 아닌 것으로 판단된다.
- 기타 요인: 감염, 신체적 외상, 동맥염, 낭성 중간 괴사 등이 있다.[127][17]
4. 병태 생리
복부 대동맥류의 가장 두드러진 조직 병리학적 변화는 동맥 경화증으로 인해 중막과 내막 층에서 관찰된다. 이러한 변화에는 거품 세포 내의 지질 축적, 세포 외 유리 콜레스테롤 결정, 석회화, 혈전증, 층의 궤양 및 파열이 포함된다. 모험막 염증성침윤물이 존재한다.[17]
분해에 의한 중막의 단백질 분해 과정이 복부 대동맥류 발달의 기본적인 병태 생리학적 메커니즘으로 보인다. 일부 연구자들은 복부 대동맥류 환자에서 기질 금속단백분해효소의 발현과 활성이 증가한다고 보고한다. 이는 중막에서 엘라스틴의 제거로 이어져 대동맥 벽이 혈압의 영향에 더 취약해진다.[91] 다른 보고서에서는 세린 프로테아제 그랜자임 B가 데코린의 절단을 통해 대동맥류 파열에 기여할 수 있으며, 이는 콜라겐 조직의 파괴와 모험막의 인장 강도 감소로 이어진다고 제안했다.[25][26] 또한 복부 대동맥에는 혈관벽의 양이 감소하며(흉부 대동맥에 비해), 결과적으로 중막은 영양 공급을 주로 확산에 의존해야 하므로 손상에 더 취약해진다.[27]
혈역학은 복부 대동맥류의 발달에 영향을 미치며, 이는 선호도가 신장 아래 대동맥에 있다. 신장 아래 대동맥의 조직학적 구조와 기계적 특성은 흉부 대동맥의 그것과 다르다. 직경은 뿌리에서 대동맥 분기로 감소하고, 신장 아래 대동맥의 벽도 엘라스틴의 비율이 적다. 따라서 복부 대동맥 벽의 기계적 근육 긴장은 흉부 대동맥 벽보다 높다. 탄성과 신장성 또한 나이가 들면서 감소하여 세그먼트의 점진적인 팽창을 초래할 수 있다. 동맥 고혈압 환자의 더 높은 내강 압력은 병리학적 과정의 진행에 현저하게 기여한다.[17] 적절한 혈역학적 조건은 대동맥 내강을 따라 특정 내강 혈전(ILT) 패턴과 관련될 수 있으며, 이는 복부 대동맥류의 발달에 영향을 미칠 수 있다.[28]
5. 진단
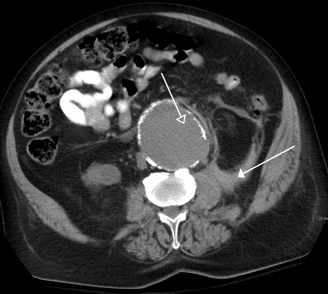
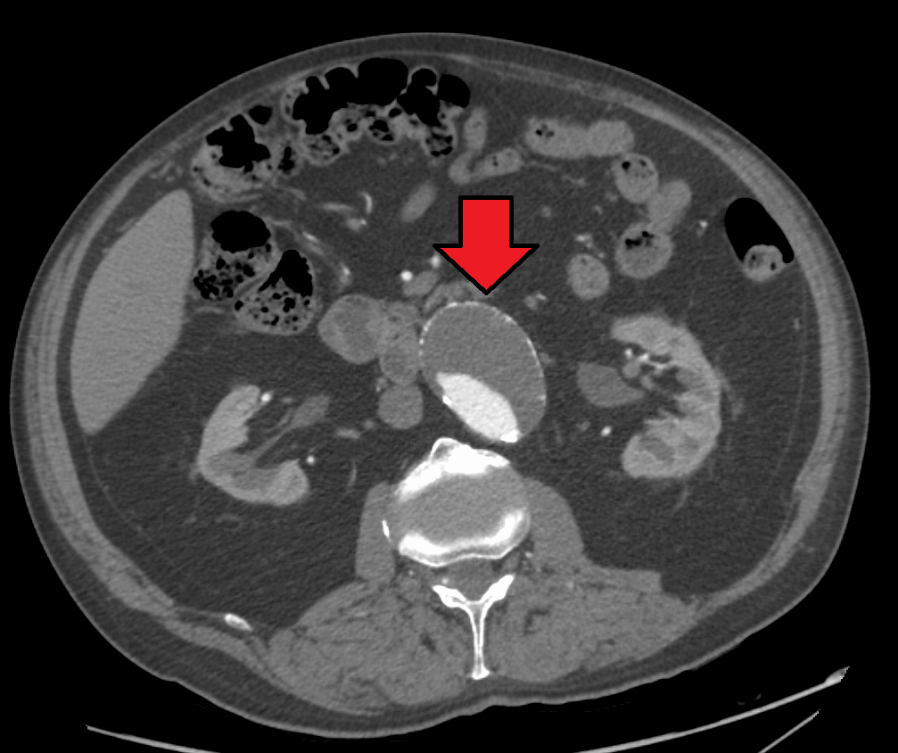
복부 대동맥류는 파열 위험을 평가하고 치료 계획을 수립하기 위해 정확한 진단이 필요하다. 신체 검사, 복부 초음파 검사, CT 스캔 등이 활용된다.
5. 1. 진단 방법
복부대동맥류는 일반적으로 신체 검사, 복부 초음파 검사, CT 스캔으로 진단된다. 단순 복부 방사선 사진은 대동맥벽이 석회화된 경우 대동맥류의 윤곽을 보여줄 수 있지만, 전체 대동맥류의 절반 미만에서만 확인 가능하다.복부 초음파 검사는 대동맥류를 선별하고, 대동맥류가 있는 경우 그 크기를 결정하는 데 사용된다. 또한, 복강 내 자유 액체도 감지할 수 있다. 이는 비침습적이고 민감하지만, 장내 가스나 비만은 유용성을 제한할 수 있다.[29] CT 스캔은 대동맥류에 대해 거의 100%의 민감도를 가지며, 해부학적 구조와 혈관 내 복구 가능성을 상세히 설명하여 수술 전 계획에도 유용하다. 파열이 의심되는 경우, 후복막강 내 체액도 신뢰할 수 있게 감지할 수 있다. 대동맥류를 시각화하는 데 덜 사용되는 대체 방법으로는 MRI와 혈관조영술이 있다.[30]
대동맥류는 기계적 스트레스(단위 면적당 인장력)가 국소 벽 강도를 초과하면 파열된다. 따라서, 최고 벽 스트레스(PWS),[31] 평균 벽 스트레스(MWS),[32] 및 최고 벽 파열 위험(PWRR)[33]은 직경보다 AAA 파열 위험을 평가하는 데 더 신뢰할 수 있는 매개변수로 밝혀졌다. 의료 소프트웨어를 사용하면 표준 임상 CT 데이터에서 이러한 파열 위험 지수를 계산하고 환자별 AAA 파열 위험 진단을 제공할 수 있다.[34][35][36] 이러한 유형의 생체역학적 접근 방식은 AAA 파열 위치를 정확하게 예측하는 것으로 나타났다.[35][36][37]



6. 분류
복부 대동맥류는 크기와 증상에 따라 분류된다. 대동맥류는 일반적으로 대동맥의 바깥쪽 지름이 3cm 이상이거나 평소 지름의 50% 이상인 경우로 정의된다.[141][138] 바깥쪽 지름이 5.5cm를 초과하면 대동맥류가 큰 것으로 판단한다.
신장 위 대동맥은 일반적으로 신장 아래 대동맥보다 약 0.5cm 더 크다.[42] 파열된 복부대동맥류는 복부 통증, 쇼크 및 박동성 복부 덩어리의 3가지 요소가 있을 때 진단한다.
6. 1. 크기 분류
복부 대동맥류는 주로 크기와 증상에 따라 분류된다. 대동맥류는 대동맥의 바깥쪽 지름이 3cm 이상이거나, 평소 지름의 50% 이상인 경우로 정의된다. 이때 대동맥의 정상 지름은 약 2cm이다.[141][138] 바깥쪽 지름이 5.5cm를 초과하면 대동맥류가 큰 것으로 판단한다.
7. 예방
8. 검사
대한민국에는 복부대동맥류 검진에 대한 특별한 가이드라인이 존재하지 않지만, 고위험군(65세 이상, 흡연, 가족력 등)은 정기적인 검진이 권장된다. 서구권 국가에서는 다음과 같은 검진 기준을 적용한다.
- 미국 예방 서비스 태스크 포스(USPSTF)는 흡연 경력이 있는 65세에서 75세 사이의 남성을 대상으로 복부 대동맥류에 대한 단일 복부 초음파 검사를 권장한다.[43] 흡연 경력이 없는 이 집단에서는 선택적으로 검사할 수 있다.[43] 흡연 여성에게 검사가 유용한지는 불분명하며, USPSTF는 흡연 경험이 없는 여성에게는 검사를 권장하지 않는다.[5][44]
- 영국 NHS AAA 검진 프로그램에서는 65세가 되는 해에 잉글랜드의 남성에게 검진을 받도록 권유한다. 65세 이상 남성은 이 프로그램에 연락하여 검진을 예약할 수 있다.[45]
- 스웨덴에서는 65세 이상 모든 남성에게 일회성 검진을 권장한다.[1][6] 이는 AAA로 인한 사망 위험을 42% 감소시키는 것으로 나타났으며, 검진에 필요한 인원은 200명 정도이다.[44] 대동맥류 진단을 받은 가까운 친척이 있는 사람의 경우, 스웨덴 지침에서는 약 60세에 초음파 검사를 권장한다.[46]
- 호주에는 검진에 대한 지침이 없다.[47]
대동맥 크기가 3cm보다 큰 사람은 반복적인 초음파 검사를 받아야 한다.[48] 대동맥 크기에 따른 검사 주기는 다음과 같다.
대동맥 크기 | 검사 주기 |
---|---|
3cm ~ 3.9cm | 3년 |
4cm ~ 4.4cm | 2년 |
4.5cm ~ 5.4cm | 매년 |
9. 관리
복부 대동맥류는 증상이 있거나 파열 위험이 높으면 치료해야 한다. 치료에는 개복 동맥류 수술과 혈관 내 동맥류 수술(EVAR) 두 가지 방법이 있다. 동맥류가 1년에 1cm 이상 커지거나 5.5cm보다 커지면 중재술을 권장하며,[49] 증상이 있는 동맥류에도 수술이 필요하다. 개복 수술 후 10년 생존율은 59%이다.[50]
보존적 관리, 수술을 염두에 둔 추적 관찰, 즉시 수술 등의 선택지가 있다. 진균성 복부 대동맥류(MAAA)는 드물고 생명을 위협하는 질환으로, 치료 및 추적 관찰에 대한 충분한 연구와 합의가 부족하다. 최근 Premnath 등의 연구진이 《혈관 수술 연보(Annals of Vascular Surgery)》에 관련 관리 프로토콜을 게재하였다.[51]
9. 1. 치료 방법
복부 대동맥류는 증상이 있거나 파열 위험이 높으면 치료해야 한다. 치료에는 위험이 따르는데, 서구에서는 직경 5.5cm 이상일 때 파열 위험이 수술 위험보다 높다고 판단하여 치료를 권장한다. 그러나 한국에서는 5.0cm를 치료 기준으로 삼고 있다. 이 기준에 미치지 못하더라도 1년 내 1cm 또는 6개월 내 5mm 이상 커지면 치료를 고려한다.[140]현재까지 무증상 복부 대동맥류의 성장 속도나 파열을 줄이는 효과적인 약물 치료법은 없다.[117] 그러나 혈압과 비만은 평소에 치료해야 한다.[141]
수술은 수술 후 조리와 지속적인 관리에 개인차가 크다는 한계가 있다. 대동맥 크기는 다양한 합병증의 위험을 높이는 요인이 될 수 있어, 4 cm ~ 5.5 cm 인 경우에는 외과적인 수술을 권장하지 않는다.[140]
치료 방법에는 크게 고식적인 개복 수술과 혈관내 치료(EVAR)가 있다.[140]
- 개복 수술: 젊은 환자에게 선택적으로 사용하거나 파열된 동맥류 치료에 이용된다. 수술 중 대동맥을 클램프로 고정해야 하므로, 척수와 복부 기관 일부에 혈액 공급이 일시적으로 중단된다. 빠른 수술이 중요하며, 큰 절개가 필요할 수 있다. 회복에는 상당한 시간이 걸리며, 중환자 치료, 입원 치료, 완전 회복까지 몇 달이 걸릴 수 있다.
- 혈관내 치료 (EVAR): 1990년대에 처음 고안된 방법으로, 개복 수술의 대안으로 자리 잡고 있다. 스텐트와 인조혈관을 결합한 기구(스텐트그라프트)를 혈관 내에 삽입하여 늘어진 대동맥류 부위로 혈류가 직접 접촉하지 않게 한다.

일반적으로 나이가 많거나 개복 수술에 적합하지 않은 고위험 환자에게 적용되었으나, 점차 적용 범위가 확대되고 있다. 개복 수술보다 수술 사망률이 낮고, 통증이 적으며, 입원 기간이 짧고, 회복이 빠르다는 장점이 있다. 그러나 스텐트의 힘으로 인조혈관을 대동맥 벽에 밀착시키는 방식이므로, 밀착이 정확하지 않으면 혈류가 새어 대동맥류가 다시 커지거나, 대동맥 분지를 통해 혈류가 역류하여 대동맥이 계속 확장될 수 있다. 스텐트그라프트 자체의 손상 가능성도 있어 주기적인 검사가 필요하며, 장기간 경과 시 문제가 발생하는 경우가 보고되고 있다. 최신 연구에 따르면 EVAR 치료는 동맥류 관련 수술 사망률은 낮지만, 전반적인 생존율이나 건강 관련 삶의 질에는 개복 수술과 비교하여 큰 차이가 없을 수 있다.[142][143][144][145]
복부 대동맥류 파열은 사망률이 매우 높으며, 수술하더라도 생명을 구하기 어려운 경우가 많다. EVAR 치료가 개복 수술보다 사망률이나 합병증이 낮은 것으로 보고되고 있다.[146] 즉각적인 외과 수술이 필요하며, 수술실로 운반하는 동안 정맥 내 유체 이동을 제한하고 일정 정도의 저혈압을 유지하는 것이 좋다.[147]
9. 2. 치료 기준
복부 대동맥류는 증상이 있으면 치료해야 하고, 증상이 없더라도 파열 위험성이 높으면 치료해야 한다. 모든 치료에는 위험이 따르는데, 서구에서는 직경 5.5cm 이상이면 파열 위험성이 수술 위험성보다 높다고 판단하여 치료 기준으로 삼는다. 그러나 한국에서는 서구인 자료를 바탕으로 하되, 한국인의 특성을 고려하여 5.0cm를 치료 기준으로 삼고 있다.[140] 이 크기에 도달하지 않더라도 1년에 1cm 또는 6개월에 5mm 이상 커지면 치료를 고려한다.크기가 4~5.5cm인 경우에는 외과적인 수술을 지원하지 않는다.[140] 5.5cm 미만인 경우에는 수술을 권장하지 않는다는 증거가 있다.[49] 동맥류가 1년에 1cm 이상 커지거나 5.5cm보다 커지면 중재술을 권장하며,[49] 증상이 있는 동맥류에도 수술이 필요하다.
수술 기준은 개인에 따라 약간씩 다르며, 수술과 지속적인 감시를 고려할 때 위험과 이점의 균형에 따라 달라진다. 개인의 고유한 대동맥 크기가 수술 위험을 증가시키거나 기대 수명을 감소시키는 동반 질환이 존재하면 이에 영향을 미칠 수 있다.
10. 예측 진단
복부 대동맥류는 일반적으로 신체 검사, 초음파 또는 CT 스캔으로 진단된다. 복부 방사선 사진은 동맥벽이 경화되었을 때 동맥류의 윤곽을 보여주지만, 동맥류 절반 이하에서만 확인 가능하다. 초음파 검사는 동맥류 검사 및 동맥벽 크기 결정에 사용되며, 자유 복막액이 검출될 수 있다. 하지만 장내 가스나 비만은 검출을 어렵게 할 수 있다. CT 스캔은 동맥류에 대해 거의 100% 확신을 가지기 때문에 수술 전 계획에 유용하며, 파열이 의심되는 경우 복막 후방 액체를 확실하게 감지할 수 있다. MRI 및 혈관 조영술도 사용 가능하지만, 자주 사용되지는 않는다.[119]
동맥류는 면적당 인장력이 국소 벽 강도를 초과하면 파열된다. 따라서 벽 응력(peak wall stress, PWS)[132] 및 벽 파열 위험(peak wall rupture risk, PWRR)[133]은 복부대동맥류 파열 위험 진단에 직경보다 더 신뢰할 수 있는 지표로 알려져 있다. 의료 소프트웨어를 통해 표준 임상 CT 데이터로부터 이러한 파열 위험 지수를 계산하여 환자별 복부대동맥류 파열 위험 진단을 제공할 수 있다.[134] 이러한 생체 역학 접근법은 복부대동맥류 파열 위치를 정확하게 예측하는 것으로 나타난다.[135]
복부 대동맥류는 파열을 나타내는 증상이 나타나면 수술 전 추가 임상 검사 없이 바로 진단할 수 있으며, 외과적인 수술이 필요하다.
10. 1. 직경에 따른 파열 위험 (참고 자료)
현재 파열 위험을 결정하는 표준은 최대 직경을 기준으로 하지만, 이 임곗값(직경 5.5cm 미만)보다 작은 복부 대동맥류도 파열될 수 있으며, 더 큰 복부 대동맥류(직경 5.5cm 이상)는 안정적으로 유지될 수 있다. 즉 최대 직경과 파열 위험은 비례할 뿐 절대적인 판단 기준은 아니다.[150][151] 한 보고서에서는 파열된 복부대동맥류의 10-24%가 직경 5cm 미만임을 보여주었다.[121] 부검 보고서에서 검사된 473개의 비치료 복부대동맥류 중 118건(13%는 직경 5cm 미만)이 파열되었다. 이 연구는 또한 5cm보다 큰 복부대동맥류의 60%(7.1-10cm 사이 복부대동맥류의 54% 포함)가 파열을 경험하지 않았음을 보여준다.[152]최근에는 벽 응력, 벽 강도 등 생체역학적 요소를 고려한 파열 평가 방법이 연구되고 있다. 벽 응력 분포를 측정하기 위해 유한요소법(FEM)을 사용하여 복부대동맥류의 수치 해석을 시행하는 방법이 보고되었다. 이러한 응력 분포는 최대 직경 정보보다는 복부 대동맥류의 전체 진행 상황과 관련이 있는 것으로 나타났다.[153][154][155] 또한 벽 응력이 벽 강도를 초과할 때 복부대동맥류가 파열되기 때문에, 환자별 벽 응력을 환자별 벽 강도와 함께 고려하면 파열 평가가 더 정확할 수 있다. 환자 벽 강도를 결정하는 비침습적인 방법이 최근 보고되었다.[156][157][158][159]
11. 역학
복부대동맥류(AAA) 발생 빈도는 인종에 따라 다르다. 영국에서는 65세 이상 백인 남성의 AAA 발생률이 약 4.7%인 반면, 아시아 남성은 0.45%이다.[89] 아프리카계, 히스패닉계 사람에게서 덜 흔하게 발생한다.[1] 남성이 여성보다 4배 더 자주 발생한다.[1]
미국에서는 AAA 파열로 인해 연간 최소 13,000명이 사망한다.[1] 남성의 경우 연간 신규 발생 건수 발생률(epidemiology)의 최고치는 약 70세이며, 60세 이상 유병률은 2~6%이다. 흡연자의 빈도가 비흡연자보다 훨씬 높으며(8:1), 금연 후 위험이 천천히 감소한다.[90] 미국에서 AAA 발생률은 성인 인구의 2~4%이다.[91]
AAA 파열은 65세 이상 남성의 1~3%에서 발생하며, 사망률은 70~95%이다.[92]
12. 역사
기원전 2세기 고대 로마 시대 그리스 외과의사 안틸루스가 복부대동맥류(AAA) 치료를 시도한 것이 최초의 역사적 기록이다. 그는 근위 및 원위 결찰술, 중심 절개 및 혈전 물질 제거를 시도했다.[93]
그러나 복부대동맥류를 외과적으로 치료하려는 시도는 1923년까지 성공하지 못했다. 그 해, 루돌프 마타스는 인간에게 첫 번째 성공적인 대동맥 결찰술을 시행했다.[93] 복부대동맥류 치료에 성공한 다른 방법으로는 폴리에틸렌 셀로판으로 대동맥을 감싸는 방법이 있었는데, 이는 섬유증을 유발하여 동맥류의 성장을 억제했다. 혈관 내 동맥류 복구술은 1980년대 후반에 처음 시행되었으며 이후 수십 년 동안 널리 채택되었다. 혈관 내 복구술은 1994년 노팅엄에서 파열된 동맥류를 치료하는 데 처음 사용되었다.[94]
참조
[1]
논문
Clinical practice. Abdominal aortic aneurysms.
2014-11-27
[2]
논문
Abdominal aortic aneurysm
[3]
논문
Abdominal emergencies in the geriatric patient.
[4]
논문
Aortic emergencies.
2011-11
[5]
논문
Screening for abdominal aortic aneurysm: U.S. Preventive Services Task Force recommendation statement.
2014-08-19
[6]
논문
Update on screening for abdominal aortic aneurysm: a topical review.
2014-12
[7]
논문
Open versus Endovascular Repair of Abdominal Aortic Aneurysm in the Elective and Emergent Setting in a Pooled Population of 37,781 Patients: A Systematic Review and Meta-Analysis.
[8]
논문
Elective endovascular vs. open repair for abdominal aortic aneurysm in patients aged 80 years and older: systematic review and meta-analysis.
2011-11
[9]
논문
Endovascular repair of abdominal aortic aneurysm.
2014-01-23
[10]
논문
Endovascular aneurysm repair (EVAR) follow-up imaging: the assessment and treatment of common postoperative complications.
2015-02
[11]
서적
Kumar and Clark's Clinical Medicine
Elsevier
2020
[12]
논문
Global, regional, and national life expectancy, all-cause mortality, and cause-specific mortality for 249 causes of death, 1980–2015: a systematic analysis for the Global Burden of Disease Study 2015.
2016-10-08
[13]
논문
Global, regional, and national age-sex specific all-cause and cause-specific mortality for 240 causes of death, 1990-2013: a systematic analysis for the Global Burden of Disease Study 2013
2014-12-17
[14]
웹사이트
Aortic Aneurysm Fact Sheet
https://www.cdc.gov/[...]
2015-02-03
[15]
서적
Harrison's Principles of Internal Medicine
McGraw-Hill Professional
2008-03-06
[16]
논문
Risk Factors for Aneurysm Rupture in Patients Kept Under Ultrasound Surveillance
1999-09
[17]
서적
Aneuryzma břišní aorty
Prague
1999
[18]
서적
Goldman's Cecil Medicine
Elsevier Saunders
2011-07-25
[19]
논문
Abdominal aortic aneurysm
2015-04
[20]
논문
Endovascular repair of abdominal aortic aneurysm
2008-01
[21]
논문
Sibling risks of abdominal aortic aneurysm
1995-09
[22]
논문
Familial abdominal aortic aneurysms
1977-11
[23]
서적
Dermatology: 2-Volume Set
Mosby
[24]
논문
Integrating the theories of Darwin and Bernoulli: Maladaptive baroreceptor network dysfunction may explain the pathogenesis of aortic aneurysms
https://www.scienced[...]
2005-01-01
[25]
논문
Perforin-independent extracellular granzyme B activity contributes to abdominal aortic aneurysm
[26]
논문
Serpina3n attenuates granzyme B-mediated decorin cleavage and rupture in a murine model of aortic aneurysm
[27]
논문
Pathogenesis of abdominal aortic aneurysm
[28]
논문
Blood flow and coherent vortices in the normal and aneurysmatic aortas: a fluid dynamical approach to intra-luminal thrombus formation
[29]
논문
Obesity and the obesity paradox in abdominal aortic aneurysm
2024
[30]
논문
Imaging of Thoracoabdominal Aortic Aneurysms
2018-11
[31]
논문
Prediction of rupture risk in abdominal aortic aneurysm during observation: wall stress versus diameter
2003-04
[32]
논문
An Objective and Repeatable Sac Isolation Technique for Comparing Biomechanical Metrics in Abdominal Aortic Aneurysms
2022-11
[33]
논문
Biomechanical rupture risk assessment of abdominal aortic aneurysms: model complexity versus predictability of finite element simulations
[34]
웹사이트
VASCOPS
http://www.vascops.c[...]
2011-01-15
[35]
논문
A Comparative Study of Biomechanical and Geometrical Attributes of Abdominal Aortic Aneurysms in the Asian and Caucasian Populations
2020-06-01
[36]
논문
A Predictive Analysis of Wall Stress in Abdominal Aortic Aneurysms Using a Neural Network Model
2021-12-01
[37]
논문
Regions of high wall stress can predict the future location of rupture in abdominal aortic aneurysm
[38]
웹사이트
Bedside Ultrasonography Evaluation of Abdominal Aortic Aneurysm - Technique
https://emedicine.me[...]
2017-08-28
[39]
웹사이트
UOTW #35 - Ultrasound of the Week
https://www.ultrasou[...]
2015-01-27
[40]
서적
Overview of the Arterial System
https://books.google[...]
Elsevier Health Sciences
2014-01-16
[41]
논문
Abdominal Aortic Aneurysms
2014-11-27
[42]
웹사이트
Clinical features and diagnosis of abdominal aortic aneurysm
https://www.uptodate[...]
2018-03-05
[43]
논문
Screening for Abdominal Aortic Aneurysm: US Preventive Services Task Force Recommendation Statement.
2019-12-10
[44]
논문
Screening for abdominal aortic aneurysm in asymptomatic adults.
2016-12-01
[45]
웹사이트
NHS Abdominal Aortic Aneurysm Screening Programme
https://assets.publi[...]
[46]
웹사이트
Aortascreening av nära släkting (Aortic screening of close relative)
https://alfresco.vgr[...]
2019-01-03
[47]
논문
Aortic aneurysms – screening, surveillance and referral.
null
2013-06-01
[48]
논문
Surveillance intervals for small abdominal aortic aneurysms: a meta-analysis
http://jama.jamanetw[...]
2013-02-01
[49]
논문
Surgery for small asymptomatic abdominal aortic aneurysms
2020-07-01
[50]
논문
Long-Term Survival and Quality of Life After Open Abdominal Aortic Aneurysm Repair
2013-12-01
[51]
논문
Mycotic Abdominal Aortic Aneurysms – A Tertiary Centre Experience and Formulation of a Management Protocol
https://www.annalsof[...]
2021-07-01
[52]
논문
Final 12-year follow-up of surgery versus surveillance in the UK Small Aneurysm Trial
2007-06-01
[53]
논문
Immediate repair compared with surveillance of small abdominal aortic aneurysms
2002-05-01
[54]
논문
ACC/AHA Guidelines for the Management of Patients with Peripheral Arterial Disease (Lower Extremity, Renal, Mesenteric, and Abdominal Aortic)
2006-09-01
[55]
논문
Randomized EVAR trials and advent of level i evidence: a paradigm shift in management of large abdominal aortic aneurysms?
2006-06-01
[56]
논문
Systematic review: repair of unruptured abdominal aortic aneurysm
[57]
논문
Endovascular aneurysm repair versus open repair in patients with abdominal aortic aneurysm (EVAR trial 1): randomised controlled trial
[58]
논문
Two-year outcomes after conventional or endovascular repair of abdominal aortic aneurysms
2005-06-01
[59]
논문
Endovascular aneurysm repair and outcome in patients unfit for open repair of abdominal aortic aneurysm (EVAR trial 2): randomised controlled trial
[60]
논문
Endovascular treatment of a triple paraanastomotic aneurysm after aortobiiliac reconstruction
[61]
논문
Endovascular treatment for ruptured abdominal aortic aneurysm
2017-05-26
[62]
논문
The role of permissive hypotension in the management of ruptured abdominal aortic aneurysms
https://www.minervam[...]
2014-04-01
[63]
논문
Abdominal aortic aneurysm in high-risk patients. Outcome of selective management based on size and expansion rate
1984-09-01
[64]
논문
Guidelines for the treatment of abdominal aortic aneurysms. Report of a subcommittee of the Joint Council of the American Association for Vascular Surgery and Society for Vascular Surgery
2003-05-01
[65]
논문
Autopsy study of unoperated abdominal aortic aneurysms. The case for early resection
1977-09-01
[66]
논문
Rupture in small abdominal aortic aneurysms
1998-11-01
[67]
논문
Biomechanics of abdominal aortic aneurysm
[68]
논문
Mechanical wall stress in abdominal aortic aneurysm: influence of diameter and asymmetry
1998-04-01
[69]
논문
In vivo three-dimensional surface geometry of abdominal aortic aneurysms
[70]
논문
Vessel Asymmetry as an Additional Diagnostic Tool in the Assessment of Abdominal Aortic Aneurysms
2009-02-01
[71]
논문
Towards A Noninvasive Method for Determination of Patient-Specific Wall Strength Distribution in Abdominal Aortic Aneurysms
[72]
논문
Regional distribution of wall thickness and failure properties of human abdominal aortic aneurysm
[73]
논문
Ex vivo biomechanical behavior of abdominal aortic aneurysm: assessment using a new mathematical model
[74]
논문
Mechanical properties of abdominal aortic aneurysm wall
[75]
논문
In vivo analysis of mechanical wall stress and abdominal aortic aneurysm rupture risk
2002-09
[76]
논문
A comparative study of aortic wall stress using finite element analysis for ruptured and non-ruptured abdominal aortic aneurysms
2004-08
[77]
논문
Growth curve of ruptured aortic aneurysm
1998-02
[78]
논문
Effect of intraluminal thrombus on wall stress in patient-specific models of abdominal aortic aneurysm
2002-09
[79]
논문
Biomechanical determinants of abdominal aortic aneurysm rupture
2005-08
[80]
논문
A biomechanics-based rupture potential index for abdominal aortic aneurysm risk assessment
[81]
논문
A Finite Element Analysis Rupture Index (FEARI) as an Additional Tool for Abdominal Aortic Aneurysm Rupture Prediction
2009-07-11
[82]
논문
Analysis and computer program for rupture-risk prediction of abdominal aortic aneurysms
[83]
논문
Growth of thrombus may be a better predictor of rupture than diameter in patients with abdominal aortic aneurysms
2000-11
[84]
논문
Predicting the risk of rupture of abdominal aortic aneurysms by utilizing various geometrical parameters: revisiting the diameter criterion
[85]
논문
A mathematical model for the growth of the abdominal aortic aneurysm
2004-11
[86]
논문
A model of growth and rupture of abdominal aortic aneurysm
[87]
논문
A meta-analysis of 50 years of ruptured abdominal aortic aneurysm repair
2002-06
[88]
논문
Comparison of endovascular aneurysm repair with open repair in patients with abdominal aortic aneurysm (EVAR trial 1), 30-day operative mortality results: randomised controlled trial
[89]
논문
Should Asian men be included in abdominal aortic aneurysm screening programmes?
2009-12
[90]
논문
The association between cigarette smoking and abdominal aortic aneurysms
1999-12
[91]
문서
Abdominal Aortic Aneurysm
[92]
논문
Screening for abdominal aortic aneurysms: single centre randomised controlled trial
2005-04
[93]
논문
Milestones in Treatment of Aortic Aneurysm: Denton A. Cooley, MD, and the Texas Heart Institute
[94]
논문
Emergency endovascular repair of leaking aortic aneurysm
1994-12
[95]
뉴스
Famous Patients, Famous Operations, Part 3
https://www.medscape[...]
2002-06-14
[96]
뉴스
Ball dies of ruptured aorta
https://www.latimes.[...]
2013-05-12
[97]
뉴스
Bob Dole has surgery to treat aneurysm
https://www.usatoday[...]
USA Today via Associated Press
2009-09-22
[98]
뉴스
Thomas Mikal Ford, Known for His Role in '90s Sitcom 'Martin,' Dies at 52
https://www.nytimes.[...]
2016-10-12
[99]
논문
Regional distribution of wall thickness and failure properties of human abdominal aortic aneurysm
[100]
논문
Association of intraluminal thrombus in abdominal aortic aneurysm with local hypoxia and wall weakening
[101]
논문
Effects of wall calcifications in patient-specific wall stress analyses of abdominal aortic aneurysms
[102]
논문
International opinion on priorities in research for small abdominal aortic aneurysms and the potential path for research to impact clinical management
https://ora.ox.ac.uk[...]
2017-10
[103]
서적
2016 IEEE Conference on Control Applications (CCA)
2016
[104]
논문
Calculating when elective abdominal aortic aneurysm repair improves survival for individual patients: development of the Aneurysm Repair Decision Aid and economic evaluation
https://www.journals[...]
2015
[105]
논문
An artificial intelligence based abdominal aortic aneurysm prognosis classifier to predict patient outcomes
2024-02-09
[106]
논문
3D Reconstruction and Manufacture of Real Abdominal Aortic Aneurysms: From CT Scan to Silicone Model
2008-06-01
[107]
논문
Experimental modelling of aortic aneurysms: Novel applications of silicone rubbers
2009-10
[108]
논문
An Experimental and Numerical Comparison of the Rupture Locations of an Abdominal Aortic Aneurysm
2009-06
[109]
논문
Endovascular repair of abdominal aortic aneurysms in patients with severe angulation of the proximal neck using a flexible stent-graft: European Multicenter Experience.
https://www.minervam[...]
2006-06
[110]
간행물
Study establishes major new treatment target in diseased arteries
http://www.physorg.c[...]
2009-05-10
[111]
논문
Perforin-Independent Extracellular Granzyme B Activity Contributes to Abdominal Aortic Aneurysm
[112]
웹사이트
Discovery points way for new treatment for aneurysms
http://www.hli.ubc.c[...]
University of British Columbia
2010-01-27
[113]
논문
Translational Relevance and Recent Advances of Animal Models of Abdominal Aortic Aneurysm
2017-03
[114]
논문
Mouse Models of Abdominal Aortic Aneurysms
2004-03-01
[115]
논문
Experimental aortic aneurysm severity and growth depend on topical elastase concentration and lysyl oxidase inhibition
2022-01-07
[116]
서적
Logan's Medical and Scientific Abbreviations
https://archive.org/[...]
J. B. Lippincott Company
1987
[117]
저널
Clinical practice. Abdominal aortic aneurysms.
2014-11-27
[118]
저널
Abdominal aortic aneurysm
[119]
저널
Abdominal emergencies in the geriatric patient.
2014
[120]
저널
Aortic emergencies.
2011-11
[121]
저널
Open versus Endovascular Repair of Abdominal Aortic Aneurysm in the Elective and Emergent Setting in a Pooled Population of 37,781 Patients: A Systematic Review and Meta-Analysis.
2014
[122]
저널
Elective endovascular vs. open repair for abdominal aortic aneurysm in patients aged 80 years and older: systematic review and meta-analysis.
2011-11
[123]
저널
Global, regional, and national life expectancy, all-cause mortality, and cause-specific mortality for 249 causes of death, 1980-2015: a systematic analysis for the Global Burden of Disease Study 2015.
2016-10-08
[124]
저널
Global, regional, and national age-sex specific all-cause and cause-specific mortality for 240 causes of death, 1990-2013: a systematic analysis for the Global Burden of Disease Study 2013
2014-12-17
[125]
서적
Harrison's Principles of Internal Medicine
McGraw-Hill Professional
2008-03-06
[126]
저널
Risk Factors for Aneurysm Rupture in Patients Kept Under Ultrasound Surveillance
1999-09
[127]
문서
Treska V. et al.:Aneuryzma břišní aorty, Prague, 1999
[128]
URL
http://www.danmedbul[...]
[129]
저널
Endovascular repair of abdominal aortic aneurysm
2008-01
[130]
저널
Sibling risks of abdominal aortic aneurysm
1995-09
[131]
저널
Familial abdominal aortic aneurysms
1977-11
[132]
저널
Prediction of rupture risk in abdominal aortic aneurysm during observation: wall stress versus diameter
2003-04
[133]
저널
Biomechanical rupture risk assessment of abdominal aortic aneurysms: model complexity versus predictability of finite element simulations
[134]
웹인용
Archived copy
http://www.vascops.c[...]
2011-01-15
[135]
저널
Regions of high wall stress can predict the future location of rupture in abdominal aortic aneurysm
[136]
웹인용
UOTW #35 - Ultrasound of the Week
https://www.ultrasou[...]
2015-01-27
[137]
웹인용
Archived copy
https://books.google[...]
2017-08-23
[138]
저널
Abdominal Aortic Aneurysms
[139]
저널
Surveillance intervals for small abdominal aortic aneurysms: a meta-analysis
2013-02
[140]
저널
Surgery for small asymptomatic abdominal aortic aneurysms
2015-02-08
[141]
저널
ACC/AHA Guidelines for the Management of Patients with Peripheral Arterial Disease (lower extremity, renal, mesenteric, and abdominal aortic): a collaborative report from the American Associations for Vascular Surgery/Society for Vascular Surgery, Society for Cardiovascular Angiography and Interventions, Society for Vascular Medicine and Biology, Society of Interventional Radiology, and the ACC/AHA Task Force on Practice Guidelines (writing committee to develop guidelines for the management of patients with peripheral arterial disease)—summary of recommendations
2006-09
[142]
저널
Randomized EVAR trials and advent of level i evidence: a paradigm shift in management of large abdominal aortic aneurysms?
2006-06
[143]
저널
Systematic review: repair of unruptured abdominal aortic aneurysm
[144]
저널
Endovascular aneurysm repair versus open repair in patients with abdominal aortic aneurysm (EVAR trial 1): randomised controlled trial
[145]
저널
Two-year outcomes after conventional or endovascular repair of abdominal aortic aneurysms
http://content.nejm.[...]
2005-06
[146]
저널
Endovascular aneurysm repair and outcome in patients unfit for open repair of abdominal aortic aneurysm (EVAR trial 2): randomised controlled trial
[147]
저널
The role of permissive hypotension in the management of ruptured abdominal aortic aneurysms.
2014-04
[148]
저널
Abdominal aortic aneurysm in high-risk patients. Outcome of selective management based on size and expansion rate
1984-09
[149]
저널
Guidelines for the treatment of abdominal aortic aneurysms. Report of a subcommittee of the Joint Council of the American Association for Vascular Surgery and Society for Vascular Surgery
2003-05
[150]
저널
Autopsy study of unoperated abdominal aortic aneurysms. The case for early resection
1977-09
[151]
저널
Rupture in small abdominal aortic aneurysms
1998-11
[152]
저널
BIOMECHANICS OF ABDOMINAL AORTIC ANEURYSM
[153]
저널
Mechanical wall stress in abdominal aortic aneurysm: influence of diameter and asymmetry
1998-04
[154]
저널
In vivo three-dimensional surface geometry of abdominal aortic aneurysms
[155]
저널
Vessel Asymmetry as an Additional Diagnostic Tool in the Assessment of Abdominal Aortic Aneurysms
2009-02
[156]
저널
Towards A Noninvasive Method for Determination of Patient-Specific Wall Strength Distribution in Abdominal Aortic Aneurysms
[157]
저널
Regional distribution of wall thickness and failure properties of human abdominal aortic aneurysm
[158]
저널
Ex vivo biomechanical behavior of abdominal aortic aneurysm: assessment using a new mathematical model
[159]
저널
Mechanical properties of abdominal aortic aneurysm wall
[160]
저널
A meta-analysis of 50 years of ruptured abdominal aortic aneurysm repair
2002-06
[161]
저널
Comparison of endovascular aneurysm repair with open repair in patients with abdominal aortic aneurysm (EVAR trial 1), 30-day operative mortality results: randomised controlled trial
본 사이트는 AI가 위키백과와 뉴스 기사,정부 간행물,학술 논문등을 바탕으로 정보를 가공하여 제공하는 백과사전형 서비스입니다.
모든 문서는 AI에 의해 자동 생성되며, CC BY-SA 4.0 라이선스에 따라 이용할 수 있습니다.
하지만, 위키백과나 뉴스 기사 자체에 오류, 부정확한 정보, 또는 가짜 뉴스가 포함될 수 있으며, AI는 이러한 내용을 완벽하게 걸러내지 못할 수 있습니다.
따라서 제공되는 정보에 일부 오류나 편향이 있을 수 있으므로, 중요한 정보는 반드시 다른 출처를 통해 교차 검증하시기 바랍니다.
문의하기 : help@durumis.com