나팔관
"오늘의AI위키"의 AI를 통해 더욱 풍부하고 폭넓은 지식 경험을 누리세요.
1. 개요
나팔관은 자궁의 양쪽에 위치하며, 난소와 연결되어 난자가 자궁으로 이동하는 통로 역할을 한다. 각 나팔관은 자궁뿔에서 시작하여 난소 근처에서 복강으로 열리며, 자궁관깔때기, 자궁관팽대, 자궁관잘룩, 자궁간질부의 네 부분으로 구성된다. 나팔관은 장막, 근육층, 점막의 세 층으로 이루어져 있으며, 섬모와 연동 운동을 통해 난자를 이동시킨다. 난자는 나팔관 내에서 정자와 수정될 수 있으며, 수정란은 자궁으로 이동하여 착상한다. 나팔관은 불임, 자궁외 임신, 나팔관염, 나팔관암 등의 임상적 문제를 야기할 수 있으며, 외과적 수술을 통해 치료할 수 있다.
더 읽어볼만한 페이지
- 골반 - 난소
난소는 여성의 생식 기관으로 난자 생성과 여성 호르몬 분비를 담당하며, 자궁 옆에 위치하고 월경 주기와 임신, 출산 과정에 중요한 역할을 수행하며, 나이가 들면서 기능이 저하되어 폐경에 이르게 된다. - 골반 - 자궁
자궁은 여성 골반 내에 위치한 배 모양의 생식 기관으로, 수정란 착상과 태아 발달을 담당하며 자궁저부, 자궁체부, 자궁협부, 자궁경부의 네 부분과 자궁내막, 자궁근층, 자궁외막의 세 층으로 구성되어 임신과 여성 생식 건강에 중요한 역할을 하지만 다양한 질병에 취약하다. - 여성의 생식 기관 - 질
질은 여성 생식 기관의 일부로 외음부에서 자궁경부까지 이어지는 근육관이며, 월경혈 배출, 성교, 출산에 중요한 역할을 하고 질 내 미생물총은 건강 유지에 기여하지만 감염과 질환의 위험, 노화 및 출산으로 인한 변화, 그리고 사회적 편견에 직면하기도 한다. - 여성의 생식 기관 - 난소
난소는 여성의 생식 기관으로 난자 생성과 여성 호르몬 분비를 담당하며, 자궁 옆에 위치하고 월경 주기와 임신, 출산 과정에 중요한 역할을 수행하며, 나이가 들면서 기능이 저하되어 폐경에 이르게 된다. - 해부학 - 유방
유방은 여성의 가슴에 있는 기관으로, 모유를 생산하여 신생아에게 영양을 공급하며, 엽과 소엽으로 구성되고, 크기와 모양은 다양한 요인에 따라 다르며, 유방암 발생 부위이자 문화적 상징으로서의 의미도 가진다. - 해부학 - 자궁
자궁은 여성 골반 내에 위치한 배 모양의 생식 기관으로, 수정란 착상과 태아 발달을 담당하며 자궁저부, 자궁체부, 자궁협부, 자궁경부의 네 부분과 자궁내막, 자궁근층, 자궁외막의 세 층으로 구성되어 임신과 여성 생식 건강에 중요한 역할을 하지만 다양한 질병에 취약하다.
나팔관 | |
---|---|
개요 | |
이름 | 輸卵管(수란관) Fallopian tube(팔로피오관) |
라틴어 | tuba uterina |
그리스어 | σάλπιγξ (sálpinx) |
설명 | 여성 생식 기관의 튜브 |
해부학적 정보 | |
전구체 | 중신곁관 |
계통 | 생식기 계통 |
동맥 | 난소 동맥의 난관 가지 자궁 동맥의 난관 가지 (자궁곁주름 경유) |
림프 | 허리 림프절 |
길이 | 10 ~ 14cm |
폭 | 1cm |
기능 | |
역할 | 난자를 자궁으로 운반, 수정 장소 제공 |
기타 | |
관련 질병 | 난관 폐쇄 등 |
2. 구조
나팔관은 자궁 양쪽 뿔 부분에서 시작하여 난소 근처까지 뻗어 있는 한 쌍의 관으로, 길이는 약 7~14cm이다.[9] 나팔관은 복강에 열려 있지만, 질 바깥쪽 공간을 통해 복강과 직접 연결된다. 나팔관 중 하나가 없더라도, 정상적인 나머지 하나가 수정란을 자궁으로 옮길 수 있다.
나팔관은 광간막의 일부인 난관간막에 의해 제자리에 고정된다. 광간막의 또 다른 부분인 난소간막은 난소를 제자리에 매달아 준다.[5]
난관은 정자의 이동과 수정란의 이동에 중요한 역할을 한다. 난관 팽대부와 난관 협부는 내륜주근층과 외종주근층의 수축에 의한 연동 운동을 통해 정자를 이동시킨다. 대부분의 포유류에서 수정란은 난관 협부를 통과하는 데 4~5일이 걸리며, 이 기간 동안 착상 전까지의 초기 배아 발생이 일어난다. 난관의 벽은 점막, 근층, 장막의 3층으로 이루어져 있으며, 점막 상피는 단층 원주 상피이다.
난관이 막히거나 좁아지는 상태를 난관 폐쇄(난관 협착)라고 하며, 불임증의 원인 중 하나이다. 난관 폐쇄는 증상이 거의 없어 불임증 진찰 및 검사 시 발견되는 경우가 많다. 주요 원인으로는 클라미디아 감염증과 같은 성 감염증, 자궁내막증, 복강 내 염증에 의한 난관 주변 유착 등이 있다.
2. 1. 구성
나팔관은 난소로부터 자궁에 이르기까지 다음과 같이 네 부분으로 나뉜다.- 자궁관깔때기 - 자궁관술 포함
- 자궁관팽대 - 보통 수정이 이루어지는 장소
- 자궁관잘룩
- 자궁간질부 - 자궁 내벽
각 나팔관은 자궁의 자궁뿔에 있는 구멍에서 시작되며, 이를 근위부 관 개구 또는 근위부 누두라고 한다.[9] 관은 난소 근처까지 뻗어 있으며, 여기서 원위부 관 개구를 통해 복강으로 열린다. 다른 포유류에서는 나팔관을 난관이라고 하며, 이는 사람의 나팔관을 지칭하는 데에도 사용될 수 있다.[10][11]
나팔관의 자궁내 부분 또는 간질 부분은 자궁의 근육벽인 자궁근층에 위치한다. 이 부분은 좁은 부분으로, 자궁 벽을 가로질러 좁은 협부와 연결된다. 자궁내 부분은 너비가 0.7 mm이고 길이는 1 cm이다.[12]
협부는 자궁관을 자궁에 연결하며, 팽대부와 연결된다. 협부는 둥글고 단단한 자궁관의 근육 부분이다. 협부의 폭은 1~5mm이며 길이는 3cm이다.[12] 협부에는 많은 수의 분비 세포가 있다.[10]
팽대부는 나팔관의 주요 부분이다. 팽대부는 나팔관에서 가장 넓은 부분으로, 최대 내강 지름은 1cm, 길이는 5cm이다. 난소를 덮고 있으며, 수정이 일어나는 주요 부위이다.[12] 팽대부에는 많은 수의 섬모 상피 세포가 있다.[10] 얇은 벽을 가지고 있으며, 내강 표면은 매우 접혀 있고, 깔때기 부분으로 열려 있다.[12]
난관 채는 깔때기 모양의 구조로 되어 있으며, 난소에서 나온 난자를 수용한다. 난관 팽대부는 난관 채와 난관 협부 사이에 있는 굵은 관으로, 생식 세포의 수정을 촉진하는 장소이다. 여기에 도달한 정자는 수일 동안 쇠퇴하지 않고 잔존할 수 있다. 난관 협부는 자궁에 연결되는 가는 관으로, 수정란을 자궁으로 운반한다.
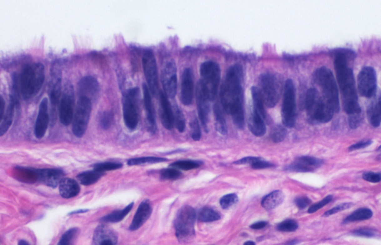
2. 2. 조직학적 구조
나팔관은 안쪽에서부터 바깥쪽으로 점막, 근육층, 장막의 세 층으로 구성되어 있다.[6][15][16]
- 점막: 나팔관의 가장 안쪽 층으로, 내강 상피층과 그 아래의 얇은 성긴 결합 조직인 고유판으로 구성되어 있다.[16] 상피에는 섬모 원주 세포, 분비 세포, 말뚝 세포의 세 가지 유형의 세포가 있다.[4] 섬모 세포는 깔때기 부분과 팽대부에 가장 많으며, 에스트로겐은 이 세포의 섬모 형성을 증가시킨다.[6] 점막에는 면역 세포도 존재하며, CD8+ T-세포가 주요 유형이다.[16] 그 외에 B 림프구, 대식세포, NK 세포, 수지상 세포도 발견된다.[16] 나팔관 점막은 위치에 따라 다른데, 팽대부에서는 복잡한 주름을 가지는 반면, 협부에서는 단순한 주름을 가진다.[14]
- 근육층: 바깥쪽 세로 평활근 층과 두꺼운 안쪽 원형 평활근 층으로 구성되어 있다.[6] 이 층은 연동 운동을 통해 난자를 자궁으로 이동시킨다.[14]
- 장막: 나팔관의 가장 바깥쪽 층으로, 내장 복막에서 유래한다.[6][14]
3. 기능
나팔관은 난소에서 자궁으로 난자를 이동시키는 통로이다. 난자는 나팔관 안에서 섬모의 움직임과 근육의 수축 작용을 통해 이동하며, 이 과정은 몇 시간에서 며칠까지 걸릴 수 있다. 난자는 나팔관 팽대부에서 정자와 만나 수정될 수 있다. 수정란은 나팔관을 통해 자궁으로 이동하여 자궁내막에 착상되어 임신이 시작된다.
한쪽 나팔관이 없더라도 다른 쪽 나팔관이 정상이라면 수정란을 자궁으로 운반할 수 있다.[18] 난자 방출은 양쪽 난소에서 번갈아 일어나지 않고 무작위로 일어나는 것으로 보인다.
드물게 수정란이 나팔관에 착상되는 경우가 있는데, 이를 자궁외 임신이라고 한다.
나팔관이 막히거나 좁아지는 상태를 난관 폐쇄(난관 협착)이라고 하며, 불임의 원인이 될 수 있다. 주요 원인으로는 클라미디아 감염증과 같은 성 감염증, 자궁내막증, 복강 내 염증으로 인한 나팔관 주변 유착 등이 있다.
3. 1. 난자 이동
난자가 난소에서 발달할 때, 난자는 난포라는 주머니에 싸여 있다. 배란 시기가 되면 난포와 난소 벽이 파열되어 난자가 난소를 빠져나가게 된다. 이때, 나팔관 깔때기 끝에 있는 나팔관술(자세포)이 난자를 나팔관 안으로 잡아들인다.[4] 나팔관술 중 난소 자세포는 배란 동안 난소 가까이 닿을 정도로 길다.[13][14][12]
나팔관 안으로 들어온 난자는 나팔관 점막 섬모의 움직임과 근육층의 연동 운동에 의해 자궁 방향으로 이동한다. 이 이동에는 몇 시간에서 며칠이 걸리기도 한다. 난자는 나팔관 팽대부에서 정자와 만나 수정될 수 있다. 수정된 난자, 즉 접합자는 나팔관의 섬모와 근육 활동을 통해 자궁으로 이동하여 착상하게 된다.[10]
3. 2. 수정
나팔관은 난자가 난소에서 자궁으로 이동하는 통로이다. 월경 주기의 배란 시기에, 제2난모세포는 난소에서 방출된다. 난포와 난소 벽이 파열되어 제2난모세포가 빠져나오며, 나팔관의 섬모가 있는 끝 부분에 의해 포획되어 팽대부로 이동한다. 팽대부는 일반적으로 정자와 난자가 만나 수정이 일어나는 곳이다.[12] 수정 후, 난자는 접합자(수정란)라고 불리며 나팔관의 섬모와 근육 활동의 도움을 받아 자궁으로 이동한다. 수정란은 자궁내막에 착상되어 임신을 시작한다. 초기 배아는 나팔관 내에서 중요한 발달이 필요하다.[10] 약 5일 후, 새로운 배아는 자궁강에 들어가며, 약 6일째에 자궁벽에 착상을 시작한다.
난관 팽대부는 난관 채와 난관 협부 사이에 있는 굵은 관으로, 생식 세포의 수정을 촉진하는 장소이다. 난관 협부는 자궁에 연결되는 가는 관으로, 수정란을 자궁으로 운반한다.
3. 3. 초기 배아 발생
난자가 난소에서 방출된 후 나팔관의 섬모가 있는 끝 부분에 의해 포획되어 팽대부로 이동한다. 팽대부는 일반적으로 정자와 만나 수정이 일어나는 곳이다. 수정 후, 난자는 접합자라고 불리며 나팔관의 섬모와 근육 활동의 도움을 받아 자궁으로 이동한다.[10] 초기 배아는 나팔관 내에서 중요한 발달을 거치며, 약 5일 후 배아는 자궁강에 들어가고, 약 6일째에 자궁벽에 착상한다.4. 발생
나팔관은 수정관을 비롯한 남성의 기관과는 상동 관계가 아니다.
수정란은 배우자를 내보내기 위한 두 쌍의 관을 가지고 있는데, 그 중 뮐러관이 여성의 나팔관, 자궁, 질로 발달한다. 다른 한 쌍인 중간콩팥관은 남성에서 발달하여 부고환과 수정관이 된다. 보통은 이들 중 한 쌍만 발달하고 나머지는 퇴화한다.
자궁이 발달함에 따라 난관 중 자궁에 더 가까운 부분인 팽대부가 더 커진다. 난관에서 뻗어 나온 부분인 채화는 시간이 지남에 따라 발달하는데, 채화에서 발견된 세포 표지자는 채화의 배아 기원이 다른 관 부분과 다르다는 것을 보여준다.[8]
4. 1. 뮐러관
배아는 꼬리 쪽에 형성되어 궁극적으로 비뇨기계와 생식 기관의 기초를 형성하는 생식 융기를 발달시킨다. 이 통로의 양쪽 측면과 앞쪽에는 약 6주차에 뮐러관(paramesonephric duct)이라고도 하는 부신중관이 발달한다.[17] 두 번째 관인 중신관이 이에 인접하여 발달한다. 두 관 모두 다음 2주 동안 더 길어지고, 약 8주차에 부신중관은 교차하여 정중선에서 만나 융합된다.[17] 그런 다음 한 관이 퇴화하는데, 이는 배아가 유전적으로 여성인지 남성인지에 따라 달라진다. 여성의 경우 부신중관이 남아 궁극적으로 여성 생식 기관을 형성한다.[17] 부신중관 중 머리 쪽에 더 가까운 부분은 난관을 형성하게 된다.[17] 남성의 경우 Y 염색체의 존재로 인해 항뮐러관 호르몬이 생성된다. 이것은 부신중관의 퇴화를 유발한다.[17]
배아는 성인이 되었을 때 생식세포를 몸 밖으로 배출하는 두 쌍의 관을 가지고 있다. 뮐러관은 여성의 경우 난관, 자궁 및 질로 발달한다.
4. 2. 유전적 요인
성 염색체의 존재 외에도 Wnt 및 Hox 유전자 그룹, Lim1, Pax2, Emx2 등이 나팔관 발달에 관여한다.[17]5. 임상적 의의
골반염은 나팔관에 나쁜 영향을 미쳐 나팔관 폐쇄를 유발할 수 있다. 나팔관암은 나팔관의 상피를 따라 발생할 수 있는 드문 종양으로, 때로는 난소암으로 오진되기도 한다.[30] 하지만 난소암과 나팔관암의 치료법에는 큰 차이가 없다.
나팔관 병리 현상은 불임 사례의 거의 3분의 1을 차지하며, 여기에는 염증과 나팔관 폐쇄가 포함된다. 여러 나팔관 병리 현상은 나팔관의 섬모를 손상시켜 정자 또는 난자의 이동을 방해할 수 있으며, 여러 성병이 불임으로 이어질 수 있다.[7]
5. 1. 불임
나팔관 병리 현상은 불임 사례의 거의 3분의 1을 차지한다. 여기에는 염증과 나팔관 폐쇄가 포함된다. 여러 나팔관 병리 현상은 나팔관의 섬모를 손상시켜 정자 또는 난자의 이동을 방해할 수 있으며, 여러 성병이 불임으로 이어질 수 있다.[7]나팔관염은 나팔관의 염증이며, 단독으로 또는 다른 골반 염증성 질환과 함께 나타날 수 있다. 염증으로 인해 나팔관의 좁은 잘록 부위가 두꺼워지는 것을 잘록부 나팔관염이라고 한다. 자궁내막증과 마찬가지로 나팔관 폐쇄를 유발할 수 있으며, 나팔관 폐쇄는 불임이나 자궁외 임신의 원인이 될 수 있다.[19]
나팔관 폐쇄가 생식 능력에 영향을 미친 경우, 가능한 경우 수술을 통해 임신 가능성을 높일 수 있다.[20] 나팔관 폐쇄는 근위부, 원위부 또는 중부 분절에서 발생할 수 있다. 나팔관 폐쇄는 불임의 주요 원인이지만, 나팔관 기능에 대한 완벽한 검사는 불가능하다. 그러나 나팔관의 개통 여부, 즉 튜브가 열려 있는지 여부는 자궁난관조영술, 색소 복강경 검사, 또는 자궁 조영 초음파 (HyCoSy)를 사용하여 검사할 수 있다. 수술 중에는 나팔관의 상태를 확인하고, 메틸렌 블루와 같은 염료를 자궁에 주입하여 자궁경부가 막혀 있을 때 나팔관을 통과하는지 확인할 수 있다. 나팔관 질환은 종종 ''클라미디아'' 감염과 관련이 있으므로, ''클라미디아'' 항체 검사는 나팔관 병변에 대한 비용 효율적인 선별 검사 도구가 되었다.[21]
나팔관이 막히거나(폐쇄), 좁아지는(협착) 상태를 난관 폐쇄(난관 협착)라고 하며, 불임증의 원인 중 하나로도 알려져 있다.
난관 폐쇄의 증상은 거의 없기 때문에, 불임증으로 진찰 및 검사 시 발견되는 경우가 많다. 주요 원인으로는 성 감염증 중 하나인 클라미디아 감염증, 자궁내막증, 복강 내 염증에 의한 난관 주변 유착 등이 있다.
5. 2. 자궁외 임신
수정란이 자궁이 아닌 나팔관에 착상되는 경우가 있는데, 이를 자궁외 임신 혹은 "난관 임신"이라고 한다.[22] 대부분의 자궁 외 임신은 나팔관에서 발생한다.[22]
5. 3. 나팔관염
나팔관염은 나팔관에 염증이 생기는 질환으로, 골반 염증성 질환의 일종이다. 잘록부 나팔관염은 염증으로 인해 나팔관의 좁은 잘록 부위가 두꺼워지는 것을 말한다. 자궁내막증과 마찬가지로 나팔관 폐쇄를 유발할 수 있으며, 이는 불임이나 자궁외 임신의 원인이 될 수 있다.[19]5. 4. 나팔관암
나팔관암은 나팔관 상피 내막에서 발생하는 드문 암이다. 역사적으로 나팔관암은 매우 드문 악성 종양으로 여겨졌으나, 최근 연구에 따르면 과거 난소암으로 오진되었던 질환의 상당수가 나팔관암일 가능성이 있으며, 최대 80%에 이를 수 있다고 한다. 나팔관암은 장액성 암종으로 분류되며, 보통 술잔을 닮은 먼쪽 나팔관에 위치한다.[23]5. 5. 외과적 수술

나팔관을 외과적으로 제거하는 것을 난관절제술이라고 한다. 양쪽 나팔관을 모두 제거하는 것은 양측 난관절제술이다. 나팔관과 난소를 함께 제거하는 수술은 난소난관절제술이라고 한다. 나팔관 폐쇄를 복원하는 수술은 난관성형술이라고 하며, 영구적인 피임을 위한 수술 절차는 난관 결찰술이다.
6. 역사
그리스 의사 헤로필로스는 산파술에 관한 논문에서 "여성 정액"을 운반한다고 생각했던 두 개의 관의 존재를 언급했다. 그 후 현대 시대에 갈렌은 헤로필로스가 언급한 쌍을 이루는 관이 자궁에 연결되어 있다고 묘사했다.
1561년, 르네상스 시대의 의사 가브리엘레 팔로피오는 해부학 관찰이라는 책을 출판했다. 이 책은 자궁의 "관"과 그 다양한 부분에 대한 자세한 설명을 담고 있으며, 가장 먼(원위) 끝은 복부를 향해 열려 있고, 다른(근위) 끝은 자궁에 연결되어 있다고 설명했다.[25][26]
'나팔관'이라는 이름은 명칭에서 유래되었지만, '팔로피오'라는 형용사가 이 구조의 de factola 이름으로 현대 영어에 흡수되었다는 가정 하에 소문자 'f'로 표기되는 경우가 많다. 예를 들어, 메리엄-웹스터 사전은 'fallopian tube'를 목록에 올리고 있으며, 종종 'Fallopian tube'로 표기된다.[27]
7. 조류 및 포유류의 난관
조류의 난관은 누두부, 팽대부, 협부, 자궁, 질로 구분된다. 누두부에서는 칼라자가 형성되고 수정이 일어난다. 팽대부에서는 난백(계란 흰자)이, 협부에서는 난각막(계란 껍데기 안쪽의 얇은 막)이 형성된다. 자궁에서는 난각(계란 껍데기)이, 질에서는 큐티클층이 형성된다.[1]
조류는 보통 왼쪽 난관만 발달하고 오른쪽 난관은 퇴화하는데, 그 이유는 아직 밝혀지지 않았다.[1]
파충류에서 진화한 포유류는 난관이 난관, 자궁, 질로 분화되었다. 포유류의 수정란은 밖으로 배출되지 않고 자궁에 머무르기 때문에, 일반적으로 난관이라고 부르지 않는다.[1]
참조
[1]
웹사이트
Uterine Tube (Fallopian Tube) Anatomy: Overview, Pathophysiological Variants
https://emedicine.me[...]
2021-07-14
[2]
논문
Levonorgestrel decreases cilia beat frequency of human fallopian tubes and rat oviducts without changing morphological structure.
2015-02
[3]
논문
Anatomy, Abdomen and Pelvis, Fallopian Tube
https://www.ncbi.nlm[...]
StatPearls Publishing
2022-01-01
[4]
웹사이트
Fallopian Tube Disorders: Overview, Salpingitis and Pelvic Inflammatory Disease, Salpingitis Isthmica Nodosa
https://emedicine.me[...]
2022-03-15
[5]
논문
Anatomy, Abdomen and Pelvis, Broad Ligaments
https://pubmed.ncbi.[...]
StatPearls Publishing
2022-01-01
[6]
서적
Principles of anatomy and physiology
John Wiley & Sons
2010-01-01
[7]
논문
Fallopian tubes--literature review of anatomy and etiology in female infertility
2015-01-01
[8]
논문
Proportional vascularization along the fallopian tubes and ovarian fimbria: assessment by confocal microtomography
2020-01-01
[9]
논문
Tubal Obstruction after Ligation Reversal Surgery: Results of Catheter Recanalization
http://radiology.rsn[...]
1999-03-01
[10]
논문
Oviduct: roles in fertilization and early embryo development.
2017-01-01
[11]
논문
Extracellular Vesicles and the Oviduct Function.
2020-11-05
[12]
서적
Gray's anatomy : the anatomical basis of clinical practice
2016-01-01
[13]
웹사이트
ovarian fimbria
http://cancerweb.ncl[...]
2022-05-02
[14]
서적
Manual of Obstetrics
Elsevier
[15]
웹사이트
Dictionary - Normal: Fallopian tube - The Human Protein Atlas
https://www.proteina[...]
2022-10-25
[16]
논문
The immune cell profile of human fallopian tubes in health and benign pathology: a systematic review
2022-08-01
[17]
서적
Blaustein's pathology of the female genital tract.
Springer
2011-01-01
[18]
웹사이트
Menstrual Cycle: Biology of the Female Reproductive System: Merck Manual Home Health Handbook
https://www.merckman[...]
2011-03-06
[19]
간행물
Salpingitis
[20]
웹사이트
Tubal Factor Infertility (Fallopian Tube Obstruction)
https://www.columbia[...]
2017-06-20
[21]
논문
Evidence-based diagnosis and management of tubal factor infertility.
2004-06-01
[22]
웹사이트
Ectopic pregnancy | RCOG
https://www.rcog.org[...]
2022-10-02
[23]
논문
Cancer of the ovary, fallopian tube, and peritoneum: 2021 update
2021-10-01
[24]
논문
Benign Neoplasms of the Vagina
https://www.glowm.co[...]
2018-03-11
[25]
논문
La Tuba Uterina: Desde Herófilo a Horacio Croxatto
http://dx.doi.org/10[...]
2018-06-01
[26]
논문
Cáncer primitivo de la trompa de falopio
http://dx.doi.org/10[...]
2015-07-02
[27]
웹사이트
Definition of FALLOPIAN TUBE
https://www.merriam-[...]
2022-09-26
[28]
웹사이트
卵管閉塞(卵管狭窄) (らんかんへいそく)とは
https://www.saiseika[...]
社会福祉法人 恩賜財団 済生会
2021-11-05
[29]
문서
Fallopian tube
http://www.gfmer.ch/[...]
[30]
웹인용
보관된 사본
http://www.iarc.fr/W[...]
2005-11-12
본 사이트는 AI가 위키백과와 뉴스 기사,정부 간행물,학술 논문등을 바탕으로 정보를 가공하여 제공하는 백과사전형 서비스입니다.
모든 문서는 AI에 의해 자동 생성되며, CC BY-SA 4.0 라이선스에 따라 이용할 수 있습니다.
하지만, 위키백과나 뉴스 기사 자체에 오류, 부정확한 정보, 또는 가짜 뉴스가 포함될 수 있으며, AI는 이러한 내용을 완벽하게 걸러내지 못할 수 있습니다.
따라서 제공되는 정보에 일부 오류나 편향이 있을 수 있으므로, 중요한 정보는 반드시 다른 출처를 통해 교차 검증하시기 바랍니다.
문의하기 : help@durumis.com