담창구
"오늘의AI위키"의 AI를 통해 더욱 풍부하고 폭넓은 지식 경험을 누리세요.
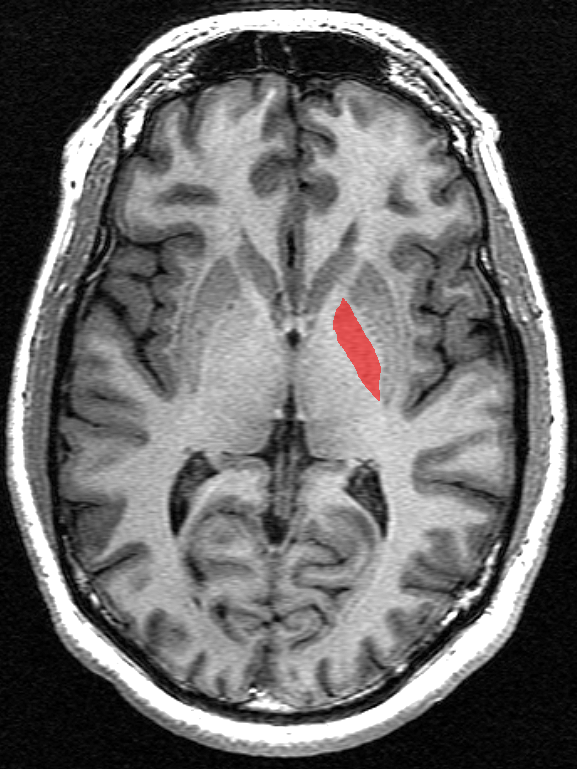
1. 개요
담창구는 기저핵의 일부로, 자발적인 운동 조절에 관여하는 뇌의 구조이다. 얇은 내측 수질판에 의해 내부 담창구와 외부 담창구로 나뉘며, 흑색질 치밀부에서 도파민성 축삭을 받는다. 담창구는 간접 경로 및 직접 경로를 통해 시상으로 정보를 전달하며, 억제적인 영향을 통해 소뇌의 흥분을 조절하여 부드럽고 제어된 움직임을 가능하게 한다. 창백핵 경색, 대사 장애, 신경 퇴행성 질환 등 다양한 질환과 관련되며, 창백핵 절개술, 심부 뇌 자극술 등의 치료법이 사용된다.
더 읽어볼만한 페이지
- 기저핵 - 흑색질
흑색질은 기저핵의 일부로 중뇌에서 가장 큰 핵이며, 안구 운동, 운동 계획, 보상 회로 등 다양한 뇌 기능에 관여하고, 특히 치밀부의 도파민성 뉴런은 운동 조절에 중요한 역할을 수행한다. - 기저핵 - 측좌핵
측좌핵은 기저핵의 일부인 배쪽 선조체에 위치하며, 겉질과 속질로 구성되어 보상, 쾌락, 중독 등 다양한 기능과 관련이 있고, 임상적 의의를 지닌다. - 해부학 - 유방
유방은 여성의 가슴에 있는 기관으로, 모유를 생산하여 신생아에게 영양을 공급하며, 엽과 소엽으로 구성되고, 크기와 모양은 다양한 요인에 따라 다르며, 유방암 발생 부위이자 문화적 상징으로서의 의미도 가진다. - 해부학 - 자궁
자궁은 여성 골반 내에 위치한 배 모양의 생식 기관으로, 수정란 착상과 태아 발달을 담당하며 자궁저부, 자궁체부, 자궁협부, 자궁경부의 네 부분과 자궁내막, 자궁근층, 자궁외막의 세 층으로 구성되어 임신과 여성 생식 건강에 중요한 역할을 하지만 다양한 질병에 취약하다. - 신경과학 - 인공 일반 지능
인공 일반 지능(AGI)은 추론, 지식 표현, 학습 등의 능력을 갖춘 인공지능 시스템을 의미하며, 기아와 빈곤 해결 등의 이점을 제공하지만 통제력 상실과 같은 위험도 존재한다. - 신경과학 - 계산신경과학
계산신경과학은 컴퓨터 과학과 신경과학의 융합 분야로, 뇌의 정보 처리 과정을 계산 모델로 연구하며, 뇌 기능 설명, 뉴런 및 신경망 모델링, 인공지능 활용 비교 연구, 계산 임상 신경과학 발전 등을 포함한다.
담창구 | |
---|---|
개요 | |
![]() | |
라틴어 명칭 | Globus pallidus |
기타 명칭 | Pallidum (창백핵) Palaeostriatum (고선조체) |
약칭 | GP |
소속 | 대뇌 기저핵 |
구조 | |
구성 요소 | 외절 (GPe) 내절 (GPi) |
혈액 공급 | |
동맥 | (정보 없음) |
정맥 | (정보 없음) |
식별 | |
AnatomographyPartsID | FMA61835 |
SylviusID_s | 101 |
DA (뇌 해부학 아틀라스) | -ol&strings=globus+pallidus -ol&strings=globus+pallidus -ol&strings=globus+pallidus -ol&strings=globus+pallidus -ol&strings=globus+pallidus |
BredeROI 번호 | 113 |
IBVD | Pallidum |
NeuroNamesID | 231 |
NIF | Globus pallidus |
그레이 해부학 | 189 |
그레이 페이지 | 834 |
MeSH 이름 | Globus+Pallidus |
관련 정보 | |
기능 | (정보 없음) |
위치 | (정보 없음) |
추가 이미지 | |
![]() | |
![]() |
2. 구조
영장류의 담창구는 얇은 '''내측 수질판'''에 의해 내부 담창구(GPi)와 외부 담창구(GPe) 두 부분으로 나뉜다.[7] 이들은 모두 수초로 둘러싸인 닫힌 핵으로 구성되어 있다.
복측 담창구는 무명질 내에 위치하며, 복측 선조체(측좌핵 및 후각 결절)로부터 원심성 연결을 받는다. 이는 등쪽 시상의 내측 등쪽 핵으로 투사하며, 이 핵은 다시 전전두피질로 투사한다. 또한 다리뇌피개 핵과 피개 운동 영역으로도 투사한다. 복측 담창구의 기능은 변연-체성 운동 인터페이스 역할을 하는 것이며, 등쪽 선조-담창구 복합체로부터의 운동 계획 및 억제에 관여한다.
2. 1. 부분
배쪽 창백핵(Ventral Pallidum)은 핵구조체 그룹(subcortical nuclei)으로 기저신경에 위치하고 있다. 담창구(Globus pallidus)의 바깥쪽을 따라 피각에 의하여 다른 기저신경의 핵과 분리되어 있다. 다른 말초신경들과 마찬가지로 중간 대뇌 동맥에서 혈관이 공급된다.
창백핵은 동일한 신경 세포 구성 요소로 구성되어 있다. 영장류에서 거의 모든 창백핵 뉴런은 매우 크고 파르발부민 양성이며, 매우 큰 수상 돌기 분지를 가지고 있다. 이러한 뉴런은 납작한 원반의 3차원 모양을 하고 있으며 서로 평행하고, 창백핵의 경계와 평행하며[3], 구심성 선조체창백핵 축삭에 수직으로 놓여 있다는 특징이 있다.[4] 작은 국소 회로 뉴런은 거의 없다.
창백핵은 창백핵의 이름의 유래가 된 옅은 외관을 부여하는 수초를 덮은 선조체창백흑질 다발의 수많은 축삭을 통과한다.
초미세 구조는 매우 독특하며, 긴 수상 돌기가 단절 없이 모든 곳에서 시냅스로 덮여 있다.[5][6]

3. 기능
담창구는 자발적인 운동 조절에 관여하는 뇌의 구조로, 기저핵의 일부이다.[8] 기저핵은 무의식 수준에서 작동하며, 의식적인 노력 없이도 기능을 수행한다. 예를 들어, 개를 쓰다듬는 행동을 할 때, 담창구는 움직임을 부드럽게 조절하고 감각 피드백에 반응하는 데 도움을 준다.
3. 1. 조절 메커니즘
담창구는 자발적인 운동 조절에 관여하는 뇌의 구조이다.[8] 이는 기저핵의 일부이며, 다양한 기능 중에서도 무의식 수준에서 일어나는 운동을 조절한다.담창구는 주로 운동 조절에 억제적인 영향을 미치며, 소뇌의 흥분을 균형 있게 조절한다. 이러한 보완적인 시스템들 간의 맥동적이고 규칙적인 상호작용은 부드럽고 제어된 움직임을 가능하게 한다. 불균형은 떨림, 경련, 근육 이상증, 무도병 및 진행성 운동 약화를 초래하여 횡격막 기능 부전으로 이어질 수 있으며, 대부분의 신경 퇴행성 질환에서 사망의 가장 흔한 원인은 흡인성 폐렴이다.
기저핵은 무의식 수준에서 작동하며, 기능을 수행하기 위해 의식적인 노력이 필요하지 않다. 예를 들어, 누군가가 개를 쓰다듬는 것과 같은 활동을 하려는 결정을 내릴 때, 이러한 구조는 움직임을 최대한 부드럽게 조절하고 감각 피드백에 반응하는 데 도움을 준다. 마찬가지로, 담창구는 사람들이 걷고 다양한 다른 활동에 최소한의 방해를 받으며 참여할 수 있도록 하는 움직임의 지속적이고 미묘한 조절에 관여한다.
3. 2. 페이스메이커
두 개의 창백핵과 흑질의 두 부분(치밀부와 그물체)은 고주파 자율 페이스메이커를 구성한다.[9]3. 3. AFFERENTS (구심성 연결)
배쪽 창백핵(Ventral Pallidum)은 기저신경에 위치한 핵구조체 그룹(subcortical nuclei)이다. 담창구(Globus pallidus)의 바깥쪽을 따라 피각에 의해 다른 기저신경의 핵과 분리되어 있다. 다른 말초신경들과 마찬가지로 중간 대뇌 동맥에서 혈관이 공급된다.창백핵은 동일한 신경 세포 구성 요소로 구성되어 있다. 영장류에서 거의 모든 창백핵 뉴런은 매우 크고 파르발부민 양성이며, 매우 큰 수상 돌기 분지를 가지고 있다.
담창구의 두 부분은 조밀한 선조-담창구흑색다발을 통해 선조체로부터 대량의 GABA성 축삭 종말 분지를 받는다.[5][6] 선조체에서 오는 구심성 섬유는 시냅스의 90% 이상을 차지한다.
두 담창구 핵은 흑색질 치밀부에서 도파민성 축삭을 받는다.
4. 경로
배쪽 창백핵(Ventral Pallidum)은 기저신경에 위치한 핵구조체 그룹(subcortical nuclei)이다. 담창구(Globus pallidus)는 피각에 의해 다른 기저신경 핵과 분리되어 있으며, 중간 대뇌 동맥에서 혈관이 공급된다.
담창구는 미상핵과 피각으로 이루어진 선조체로부터 입력을 받아 시상으로 전달한다. 담창구는 내측부와 외측부로 나뉘는데, 내측부는 시상으로 직접 정보를 전달하고, 외측부는 내측부를 거쳐 시상으로 정보를 전달한다.
4. 1. 담창구 외절 (GPe)
영장류에서 담창구는 얇은 '''내측 수질판'''에 의해 내부 담창구(GPi)와 외부 담창구(GPe) 두 부분으로 나뉜다.[7] 이들은 모두 수초로 둘러싸인 닫힌 핵으로 구성되어 있다.
'''담창구 외절'''(GPe)은 '''간접 경로'''의 구성 요소이며, 선조체로부터 GABA작동성 입력을 받는다. 담창구 외절로부터의 GABA작동성 출력은 시상하핵, 담창구 내절, 흑질 망상부로 입력된다.
4. 2. 담창구 내절 (GPi)
영장류에서 담창구는 얇은 '''내측 수질판'''에 의해 내부 담창구(GPi)와 외부 담창구(GPe) 두 부분으로 나뉜다.[7] 이들은 모두 수초로 둘러싸인 닫힌 핵으로 구성되어 있다.'''담창구내절'''(GPi)은 선조체로부터 GABA 작용성 입력을 받는 직접 경로와, 담창구외절로부터 GABA 작용성 입력 및 시상하핵으로부터 글루탐산 작용성 입력을 받는 간접 경로를 통해 입력을 받는다. 흑질 망상부와 함께 대뇌 기저핵의 출력 핵으로 기능한다.
4. 3. 복측 담창구 (VP)
복측 담창구(VP)는 무명질(라틴어로 '이름 없는 물질') 내에 위치하며, 선조체의 일부인 측좌핵 및 후각 결절로부터 GABA 작용성의 억제성 입력을 받는다.[7] 시상의 배내측(MD) 핵으로 신호를 보내고, 이 핵은 다시 대뇌 신피질의 전전두엽으로 흥분성 신호를 전달한다. 또한, 복측 담창구는 다리뇌피개 핵과 피개 운동 영역으로도 투사한다. 복측 담창구의 기능은 변연-체성 운동 인터페이스 역할을 하며, 등쪽 선조-담창구 복합체로부터의 운동 계획 및 억제에 관여한다.5. 관련 질환
(섹션 제목 '관련 질환'에 대한 내용은 이미 하위 섹션에서 상세히 다루고 있으므로, 중복을 피하기 위해 별도의 내용을 추가하지 않는다.)
5. 1. 신경 퇴행성 질환
저산소성 뇌 손상, 일산화 탄소 중독 및 MDMA, 헤로인 등의 약물 과다 복용 시 창백핵 경색이 나타날 수 있으며, 손상은 전형적으로 양측성이다. 공격적인 비경구 영양으로 렌즈 모양의 양측성 석회화가 발생할 수 있다. 간경변이나 레 증후군과 같은 뇌병증은 창백핵의 이상을 유발하며, 간 질환에서는 MRI T1 시퀀스에서 밝게 나타나고, 레 증후군에서는 T2 시퀀스에서 밝게 나타난다. 기저핵에 축적될 수 있는 물질로는 중금속(예: 가돌리늄, 철, 구리), 칼슘, 아밀로이드, 갑상선 기능 저하증 등이 있다.[10]무질서하게 뭉쳐진 신경 조직은 신경섬유종 1형과 함께 창백핵 내부에 축적되어 심각한 신경 기능 장애를 유발할 수 있다. 창백핵은 PKAN, 메틸말론산 혈증, 단풍 시럽 뇨병과 같은 드문 대사 장애에 의해 파괴될 수도 있다.[10]
창백핵 손상은 운동 장애를 유발할 수 있지만, 파킨슨병 및 본태성 진전과 같은 질병은 초음파, 감마 나이프 또는 드물게 개두술을 사용하여 핵에 수술적으로 병변을 유도함으로써 역설적으로 치료할 수 있다. 또한 배터리 팩을 흉벽에 삽입하고 전선 리드를 목을 통해 두개골 뒤쪽에서 뇌로 연결하는 심부 뇌 자극술을 사용하여 핵을 인위적으로 자극할 수도 있다. 이러한 시술의 목적은 불수의 근육 떨림을 줄이고 신경 변성과 관련된 추체외로 증상을 개선하는 것이지만, 지적 기능에 영향을 미치고 구음 장애를 유발할 수 있다.[11]
5. 2. 기타 질환
창백핵 경색은 저산소성 뇌 손상, 일산화 탄소 중독 및 MDMA, 헤로인 등의 약물 과다 복용 시에 나타날 수 있으며, 손상은 전형적으로 양측성이다. 공격적인 비경구 영양으로 렌즈 모양의 양측성 석회화가 발생할 수 있다. 간경변이나 레 증후군과 같은 뇌병증은 창백핵의 이상을 유발하며, 간 질환에서는 MRI T1 시퀀스에서 밝게 나타나고, 레 증후군에서는 T2 시퀀스에서 밝게 나타난다. 기저핵에 축적될 수 있는 추가적인 물질로는 가돌리늄, 철, 구리(윌슨병), 칼슘(파르병), 아밀로이드(아밀로이드증)와 갑상선 기능 저하증과 같은 중금속이 있다.무질서하게 뭉쳐진 신경 조직은 신경섬유종 1형과 함께 창백핵 내부에 축적되어 심각한 신경 기능 장애를 유발할 수 있다. 창백핵은 또한 PKAN, 메틸말론산 혈증 및 단풍 시럽 뇨병과 같은 드문 대사 장애에 의해 파괴될 수 있다.[10]
6. 치료
창백핵 손상은 운동 장애를 유발할 수 있지만, 파킨슨병 및 본태성 진전과 같은 질병은 창백핵 절개술이나 심부 뇌 자극술을 통해 치료할 수 있다. 이러한 시술은 불수의적 근육 떨림을 줄이고 신경 변성과 관련된 추체외로 증상을 개선하는 것을 목표로 하지만, 지적 기능에 영향을 미치거나 구음 장애를 유발할 수 있다.[11]
6. 1. 창백핵 절개술
창백핵 손상은 운동 장애를 유발할 수 있지만, 파킨슨병 및 본태성 진전과 같은 질병은 초음파, 감마 나이프 또는 드물게 개두술을 사용하여 핵에 수술적으로 병변을 유도함으로써 역설적으로 치료할 수 있다.[11]6. 2. 심부 뇌 자극술 (DBS)
창백핵 손상은 운동 장애를 유발할 수 있지만, 파킨슨병 및 본태성 진전과 같은 질병은 초음파, 감마 나이프 또는 드물게 개두술을 사용하여 핵에 수술적으로 병변을 유도함으로써 역설적으로 치료할 수 있다. 또한 배터리 팩을 흉벽에 삽입하고 전선 리드를 목을 통해 두개골 뒤쪽에서 뇌로 연결하는 심부 뇌 자극술을 사용하여 핵을 인위적으로 자극할 수도 있다. 이러한 시술의 목적은 불수의근육 떨림을 줄이고 신경 변성과 관련된 추체외로 증상을 개선하는 것이지만, 지적 기능에 영향을 미치고 구음 장애를 유발할 수 있다.[11]7. 역사
이 명칭의 유래는 아직 밝혀지지 않았다. 조제프 드제린(1906)은 사용했지만, 산티아고 라몬 이 카할(1909–1911)은 사용하지 않았다.
구성 요소가 구(globe)의 형태를 전혀 띠지 않으므로, 20세기 동안 과학자들은 더 간단한 용어(중성 형용사)인 ''pallidum''("창백한"을 의미)을 제안했다. 포익스와 니콜레스코(1925), 보그츠 부부(1941), 크로스비 외(1962), 그리고 ''Terminologia Anatomica''에서 제안되었다.
오랫동안 담창구는 조가비핵(putamen)과 연결되어 렌즈핵 (nucleus lenticularis 또는 lentiformis)으로 불렸는데, 이는 담창구가 아닌 선조체의 일부인 이질적인 해부학적 실체이다. 흑색질 망상부와의 연관성은 수상 돌기 분화의 유사성 때문에 매우 일찍부터 강조되었고 (때로는 담창흑색질 세트라고도 알려져 있다) 강력한 증거에도 불구하고, 이러한 연관성은 여전히 논란의 여지가 있다.
8. 동물 연구
설치류에서 담창구 내부는 내포각 핵이라고도 한다.
참조
[1]
논문
Revised Nomenclature for Avian Telencephalon and Some Related Brainstem Nuclei
[2]
서적
Theme atlas of anatomy: head and neuroanathomy
https://books.google[...]
Thieme
[3]
문서
A Golgi analysis of the primate globus pallidus. II- Quantitative morphology and spatial orientation of dendritic arborisations
[4]
문서
A Golgi analysis of the primate globus pallidus. III-Spatial organization of the striato-pallidal complex
[5]
문서
The primate globus pallidus. A Golgi and electron microscopic study
[6]
문서
A Golgi and ultrastructural study of the monkey globus pallidus
[7]
논문
Internal Structures of the Globus Pallidus in Patients with Parkinson's Disease: Evaluation with Phase Difference-enhanced Imaging.
2017-10-10
[8]
문서
The Cognitive Role of the Globus Pallidus interna; Insights from Disease States
https://doi.org/10.1[...]
[9]
문서
Autonomous pacemakers in the basal ganglia: who needs excitatory synapses anyway?
[10]
논문
Imaging Patterns of Toxic and Metabolic Brain Disorders.
2019-10
[11]
문서
Pallidotomy as a treatment option for a complex patient with severe dystonia
http://onlinelibrary[...]
[12]
웹인용
Globus pallidus – an overview {{!}} ScienceDirect Topics
http://www.sciencedi[...]
본 사이트는 AI가 위키백과와 뉴스 기사,정부 간행물,학술 논문등을 바탕으로 정보를 가공하여 제공하는 백과사전형 서비스입니다.
모든 문서는 AI에 의해 자동 생성되며, CC BY-SA 4.0 라이선스에 따라 이용할 수 있습니다.
하지만, 위키백과나 뉴스 기사 자체에 오류, 부정확한 정보, 또는 가짜 뉴스가 포함될 수 있으며, AI는 이러한 내용을 완벽하게 걸러내지 못할 수 있습니다.
따라서 제공되는 정보에 일부 오류나 편향이 있을 수 있으므로, 중요한 정보는 반드시 다른 출처를 통해 교차 검증하시기 바랍니다.
문의하기 : help@durumis.com