간문맥
"오늘의AI위키"의 AI를 통해 더욱 풍부하고 폭넓은 지식 경험을 누리세요.
1. 개요
간문맥은 소화기관, 췌장, 비장으로부터 혈액을 받아 간으로 운반하는 혈관으로, 길이는 약 8cm이며, 복부 오른쪽 윗부분에 위치한다. 위창자간막 정맥과 지라 정맥이 합류하여 형성되며, 간에 도달하기 전 오른쪽과 왼쪽으로 나뉘어 간 내로 혈액을 공급한다. 간문맥은 간으로 가는 혈액의 약 75%를 공급하며, 간경변증과 같은 질환으로 인해 문맥 고혈압, 정맥류, 감염 등의 임상적 문제가 발생할 수 있다.
더 읽어볼만한 페이지
| 간문맥 | |
|---|---|
| 개요 | |
![]() | |
| 라틴어 이름 | vena portae hepatis |
| 영어 이름 | portal vein, hepatic portal vein (HPV) |
| 한국어 이름 | 간문맥, 문맥 |
| 연결 위치 | 위장관계, 비장, 췌장 |
| 유입 위치 | 간 동굴 혈관 |
| 근원 | 비장 정맥, 상장간막 정맥, 하장간막 정맥, 췌장 정맥 |
| 계통 | 간문맥계 |
2. 해부학
사람의 혈관계는 일반적으로 심장→동맥→모세혈관망→정맥→심장으로 혈액이 흐르지만, 상장간막정맥과 비장정맥이 합류하여 간으로 향하는 문맥의 경우 심장→동맥→모세혈관망 1→문맥→모세혈관망 2(동양모세혈관)→정맥→심장이라는 특수한 구성을 가진다. 문맥은 소화관, 췌장, 비장에서 오는 혈액을 받아 소화관에서 흡수된 영양분이나 해독해야 할 성분을 간으로 운반한다.
간경변 등으로 인해 문맥의 혈압이 상승하는 문맥압 항진증에서는 식도정맥류, 위정맥류, 항문 부근의 정맥류 등이 나타나며, 간을 거쳐야 할 혈액이 문맥을 우회하여 정맥계로 주입되는 측부로(션트)가 형성되기도 한다. 메두사의 머리도 이러한 측부 순환 경로 중 하나이다.[17]
2. 1. 구조
성인의 간문맥은 대략 8cm 길이이며,[18] 복부의 오른쪽 윗부분 사분면에 위치하고 췌장 목부분 뒤에서 시작한다.[5]대부분의 경우, 간문맥은 위창자간막 정맥과 지라 정맥이 합쳐져 형성된다.[4] 따라서 간문맥은 '지라-창자간막 합류'라고도 불린다.[5] 아래창자간막 정맥이 간문맥과 직접 연결되는 경우도 있지만, 이는 매우 드물다. 그 외에 쓸개 정맥, 왼쪽 위 정맥 및 오른쪽 위 정맥,[6] 배꼽곁 정맥, 앞문부 정맥 등이 간문맥으로 합류한다.
간에 도달하기 직전, 간문맥은 오른쪽과 왼쪽으로 나뉜다. 이후 더 작은 가지들로 나뉘어 간 내의 문맥 소정맥을 형성한다. 각 문맥 소정맥은 간 세동맥과 함께 문맥 삼인조를 이루며, 간 동양혈관으로 혈액을 공급한다.[6]
2. 2. 문맥-전신 순환 문합
문맥 정맥은 전신 정맥과 여러 곳에서 문합을 이룬다. 문맥 고혈압이 발생하면 이러한 문합이 울혈, 확장되거나 정맥류를 형성하여 파열될 수 있다.[17]2. 3. 부속 간문맥
부속 간문맥은 간문맥을 거치지 않고 직접 간으로 혈액을 운반하는 정맥들이다.[5] 여기에는 배꼽곁정맥, 작은 그물막, 낫인대의 정맥, 그리고 쓸개 벽에서 배출되는 정맥이 포함된다.[5]3. 기능
간문맥과 간동맥은 간에 이중으로 혈액을 공급하며, 간 혈류의 약 75%는 간문맥에서 유래한다.[5] 간문맥은 심장으로 직접 혈액을 보내지 않고, 간 내의 간동맥혈관이라는 모세혈관계를 거치게 하는 문맥계의 일부이다. 위장관계에서 흡수된 영양분과 해독이 필요한 물질을 간으로 운반하여, 전신 순환에 들어가기 전에 간에서 처리되도록 한다. 이를 통해 독성 물질이 간세포에 의해 해독되고, 영양소가 간에서 먼저 대사될 수 있다. 간동맥혈관을 거친 혈액은 간정맥을 통해 하대정맥으로 배출된다.
4. 임상적 중요성
간문맥은 여러 임상적 중요성을 갖는다.
문맥 고혈압은 문맥 내 혈압 상승을 의미하며, 간경변증 등 간 질환의 주요 합병증이다.[7] 문맥 고혈압의 임상적 의학적 징후에는 복수, 식도 정맥류, 거미 혈관종, 메두사머리, 손바닥 홍반 등이 있다.[10]
도플러 초음파 검사로 문맥의 박동성을 측정할 수 있다. 박동성 증가는 간경변뿐만 아니라 우심방 압력 증가(이는 우측 심부전 또는 삼첨판 역류에 의해 발생할 수 있음)에 의해 발생할 수 있다.[11]
문맥 정맥염은 게실염과 같은 감염성 복강 내 과정에서 발생하는 간문맥의 감염이다.[14][15] '''문맥 기종'''은 방사선 검사에서 드물게 발견되는 소견으로, 가스가 문맥계로 유입되는 것이다. 가장 흔한 원인은 장 허혈이지만, 결장암과도 관련이 있다.[16]
4. 1. 문맥 고혈압
문맥 고혈압은 문맥 내 혈압 상승을 의미하며, 간경변증 등 간 질환의 주요 합병증이다.[7] 문맥 고혈압의 진단 기준은 다음과 같다.- 확장된 간문맥 (직경 13mm 또는 15mm 이상): 민감도는 12.5% 또는 40%로 추정된다.[8]
- 느린 혈류 속도 (16cm/s 미만): 도플러 초음파 검사에서 주 문맥(MPV)의 최고 수축기 속도는 일반적으로 20cm/s에서 40cm/s 사이이다.[9]
문맥 고혈압의 임상적 의학적 징후에는 만성 간 질환의 징후가 포함된다: 복수, 식도 정맥류, 거미 혈관종, 메두사머리, 손바닥 홍반.[10]
간경변 등으로 인해 문맥의 혈압이 상승하는 문맥압 항진증에서는 식도정맥류, 위정맥류, 항문 부근의 정맥류 등이 나타나며, 더 나아가 정맥류에서 측부로(션트)를 통해 혈류가 정맥계로 연결될 수 있다. 메두사의 머리도 측부 순환 경로 중 하나로 여겨진다.[17]
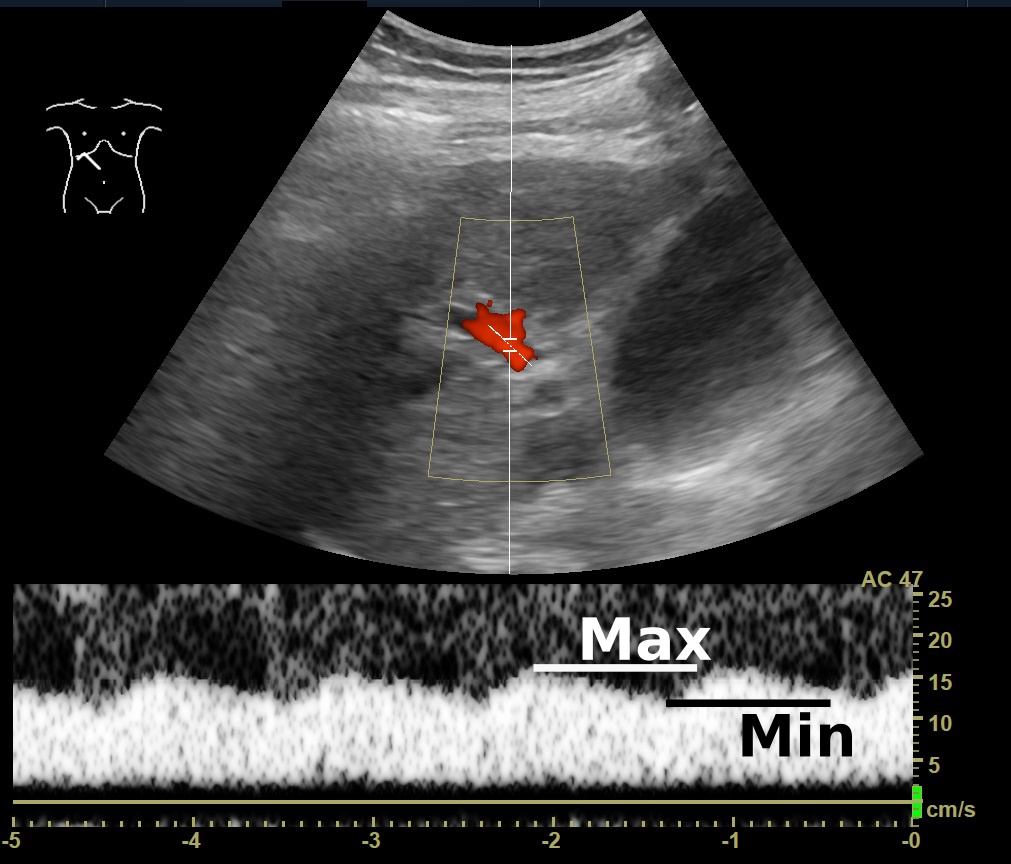
4. 2. 문맥 박동성
도플러 초음파 검사로 5초 동안 측정한 문맥의 혈류 속도이며, '''최대''' 속도와 '''최소''' 속도를 보여준다.
문맥의 박동성은 도플러 초음파 검사로 측정할 수 있다. 박동성 증가는 간경변뿐만 아니라 우심방 압력 증가(이는 차례로 우측 심부전 또는 삼첨판 역류에 의해 발생할 수 있음)에 의해 발생할 수 있다.[11] 문맥 박동성은 박동 지수(PI)로 정량화할 수 있으며, 특정 컷오프 이상의 지수는 병리학적 상태를 나타낸다.
4. 3. 감염
문맥 정맥염은 게실염과 같은 감염성 복강 내 과정에서 발생하는 간문맥의 감염이다.[14][15]4. 4. 문맥 기종
'''문맥 기종'''은 방사선 검사에서 드물게 발견되는 소견이다. 가스가 문맥계로 유입되는 것이 관찰된다. 가장 흔한 원인은 장 허혈이지만, 결장암과도 관련이 있다.[16]5. 기타
사람의 혈관계는 일반적으로 심장 → 동맥 → 모세혈관망 → 정맥 → 심장의 순서로 순환하지만, 간문맥은 심장 → 동맥 → 모세혈관망 1 → 문맥 → 모세혈관망 2 (동양 모세혈관) → 정맥 → 심장의 특수한 순환 경로를 가진다. 간문맥은 소화관, 췌장 및 비장으로부터 혈액을 받아 소화관에서 흡수된 영양분이나 해독해야 할 성분을 포함한 혈액을 간으로 운반한다.
간경변 등으로 인해 문맥의 혈압이 상승하는 문맥압 항진증에서는 식도정맥류, 위정맥류, 항문 부근의 정맥류 등이 나타나며, 정맥류에서 측부로(션트)를 통해 혈류가 정맥계로 연결될 수 있다. 메두사의 머리도 측부 순환 경로 중 하나이다.[17]
5. 1. 분류
간문맥계는 다음과 같이 분류할 수 있다.- 간문맥
- 뇌하수체 문맥
- 부신 문맥계
참조
[1]
논문
Visceral fat and metabolic inflammation: the portal theory revisited
https://www.zora.uzh[...]
[2]
논문
Abdominal Obesity, Adipokines and Non-communicable Diseases
[3]
서적
Gross anatomy
https://archive.org/[...]
Wolters Kluwer Health/Lippincott Williams & Wilkins
[4]
서적
Pediatric Gastrointestinal Disease
PMPH-USA
[5]
서적
Portal Hypertension: Diagnostic Imaging and Imaging-Guided Therapy
Springer
[6]
서적
Anatomy, Descriptive and Surgical
https://archive.org/[...]
Lea Brothers
[7]
서적
Diseases of the liver and biliary system
Blackwell Science
[8]
논문
The role of ultrasonography in portal hypertension
[9]
논문
Altered Doppler flow patterns in cirrhosis patients: an overview
[10]
서적
Key Topics in General Surgery
Informa Healthcare
[11]
논문
Altered Doppler flow patterns in cirrhosis patients: an overview
[12]
논문
Changes of portal vein flow in heart failure patients with liver congestion
[13]
서적
Clinical Hepatology: Principles and Practice of Hepatobiliary Diseases
https://books.google[...]
Springer Science & Business Media
[14]
논문
Septic thrombophlebitis of the portal vein (pylephlebitis): diagnosis and management in the modern era
1995-11
[15]
논문
Pylephlebitis associated with diverticulitis
1993-05
[16]
논문
Hepatic portal venous gas associated with colon cancer: A case report and literature review.
2017-12
[17]
기타
肝硬変による側副循環(臍傍静脈経路とメズサの頭)
http://plaza.umin.ac[...]
[18]
서적
Gross anatomy
Wolters Kluwer Health/Lippincott Williams & Wilkins
[19]
서적
Pediatric Gastrointestinal Disease
PMPH-USA
[20]
서적
Portal Hypertension: Diagnostic Imaging and Imaging-Guided Therapy
Springer
[21]
서적
Anatomy, Descriptive and Surgical
Lea Brothers
본 사이트는 AI가 위키백과와 뉴스 기사,정부 간행물,학술 논문등을 바탕으로 정보를 가공하여 제공하는 백과사전형 서비스입니다.
모든 문서는 AI에 의해 자동 생성되며, CC BY-SA 4.0 라이선스에 따라 이용할 수 있습니다.
하지만, 위키백과나 뉴스 기사 자체에 오류, 부정확한 정보, 또는 가짜 뉴스가 포함될 수 있으며, AI는 이러한 내용을 완벽하게 걸러내지 못할 수 있습니다.
따라서 제공되는 정보에 일부 오류나 편향이 있을 수 있으므로, 중요한 정보는 반드시 다른 출처를 통해 교차 검증하시기 바랍니다.
문의하기 : help@durumis.com
