동맥
"오늘의AI위키"의 AI를 통해 더욱 풍부하고 폭넓은 지식 경험을 누리세요.
1. 개요
동맥은 심장에서 신체 각 부위로 혈액을 운반하는 혈관으로, 내막, 중막, 외막의 세 층으로 구성되어 있다. 동맥은 산소가 풍부한 동맥혈을 운반하며, 폐동맥과 같이 예외적으로 산소가 고갈된 혈액을 운반하는 경우도 있다. 동맥의 유연성이 상실되면 동맥경화가 발생하여 고혈압이나 허혈을 유발할 수 있다. 동맥은 주요 동맥인 대동맥을 포함하여 다양한 종류가 있으며, 순환계에서 중요한 역할을 한다.
더 읽어볼만한 페이지
- 동맥 - 세동맥
세동맥은 동맥과 모세혈관을 연결하는 작은 혈관으로, 혈압 및 혈류량 조절, 혈관벽 기능, 자율신경계와 호르몬 조절, 자가 조절 기전을 통해 조직의 대사 요구에 따른 혈류량을 조절하며, 세동맥경화증, 동맥염 등의 질병과 항고혈압제에 영향을 받는다. - 동맥 - 식도동맥
- 심장혈관생리학 - 심박수
심박수는 1분 동안 심장이 뛰는 횟수를 나타내는 지표로, 신체의 산소 요구량, 자율신경계, 호르몬 등의 영향을 받아 변하며 건강 상태를 파악하는 데 활용된다. - 심장혈관생리학 - 정맥
정맥은 폐정맥을 통해 산소가 풍부한 혈액을 심장으로 운반하고, 전신 정맥을 통해 산소가 고갈된 혈액을 심장으로 되돌리는 혈관계이며, 정맥판을 가지고 혈액 역류를 방지하고, 심장 수축, 골격근 펌프, 호흡 펌프 작용으로 심장으로 혈액을 귀환시키며, 정맥 혈전증, 문맥 고혈압, 정맥염 등의 질환이 발생할 수 있다.
| 동맥 | |
|---|---|
| 개요 | |
![]() | |
| 라틴어 | arteria (복수: arteriae) |
| 그리스어 | ἀρτηρία (artēríā) |
| 계통 | 순환계 |
| 상세 정보 | |
| 기능 | 심장에서 혈액을 운반 |
| 추가 정보 | |
| 어원 | 그리스어 ἀρτηρία (artēríā)에서 유래 |
2. 구조


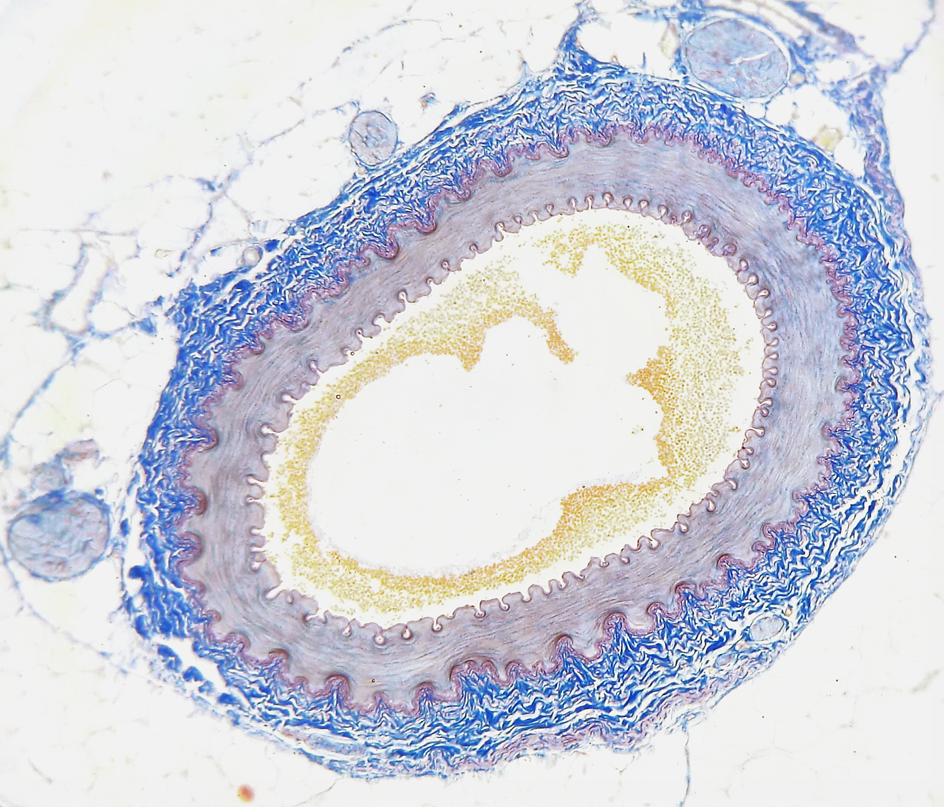
동맥은 심장이 내보낸 혈액이 흐르는 관으로, 높은 압력에 견딜 수 있도록 튼튼하고 유연한 구조를 가진다. 척추동물의 동맥은 외막, 중막, 내막의 3층으로 이루어져 있으며, 심장의 수축과 이완 시 혈압 차이를 흡수한다.
동맥은 각 조직으로 혈액을 배분하기 위해 분기되지만, 분기된 가지끼리 합류하는 경우도 있는데, 이를 문합이라고 한다. 문합은 한쪽 혈류가 부족하더라도 조직이 허혈에 빠지지 않도록 돕는 역할을 한다. 반대로 문합이 없는 동맥은 허혈의 위험이 높다.
일반적으로 대동맥을 통해 전신으로 보내지는 혈액은 산소가 풍부한 동맥혈이다. 폐에서 산소화되어 심장으로 돌아오는 혈액은 '''폐정맥'''을 흐르지만, 이 역시 '''동맥혈'''이다.
동맥의 유연성이 상실된 상태를 동맥경화라고 하며, 이는 고혈압이나 허혈의 원인이 되기도 한다.
동맥은 벽이 튼튼하고 내부 혈액에 높은 압력이 가해지기 때문에, 살아있는 동물을 해부할 때 동맥혈이 흘러나와도 벽은 찌그러지지 않고 공기가 들어간다. 이 때문에 혈액 순환이 발견되기 전에는 동맥이 기체를 운반한다고 생각되었으며, 이 기체를 생기라고 믿었던 적도 있었다.[2]
2. 1. 미세 구조
동맥의 해부학은 현미경으로 연구해야 하는 미세 해부학으로 나눌 수 있다. 인체의 동맥 계통은 심장에서 온몸으로 혈액을 운반하는 전신 동맥과 심장에서 폐로 산소가 고갈된 혈액을 운반하는 폐동맥으로 나뉜다.
대동맥과 같은 큰 동맥은 내피 세포, 평활근, 섬유아세포, 면역 세포 등 다양한 유형의 세포로 구성된다.[2] 정맥과 마찬가지로 동맥벽은 내층에서 외층으로 ''내막'', ''중막'', ''외막''이라고 하는 세 층으로 구성된다. ''외막''은 ''모험막''이라고도 하며, 콜라겐 섬유와 탄성 조직으로 구성되어 있으며, 가장 큰 동맥에는 큰 혈관의 벽에 영양을 공급하는 작은 혈관인 혈관 영양 혈관이 포함되어 있다.[3] 대부분의 층은 명확한 경계를 가지고 있지만, 외막은 경계가 불분명하다. 일반적으로 결합 조직과 만나거나 접촉할 때 경계로 간주된다.[4] 이 층 내부에는 평활근 세포, 탄성 조직 (''결합 조직''이라고도 함) 및 콜라겐 섬유로 구성된 ''중막''이 있다.[3] 혈액의 흐름과 직접 접촉하는 가장 안쪽 층은 ''내막''이다. 탄성 조직은 동맥이 몸의 특정 부위를 구부리고 통과하도록 해준다. 이 층은 주로 내피 세포 (및 탄성 동맥의 엘라스틴이 풍부한 콜라겐)로 구성된다. 혈액이 흐르는 속이 빈 내부 공간을 내강이라고 한다.
2. 2. 발달
동맥 형성은 내피 세포가 에프린 B2와 같은 동맥 특이 유전자를 발현하기 시작할 때 시작되고 끝난다.[5]3. 종류
- 폐동맥
- 체동맥
- 대동맥
- 소동맥
- 모세 혈관
4. 기능
동맥은 심장에서 뿜어져 나오는 혈액을 온몸으로 전달하는 통로 역할을 한다. 심장에서 나온 혈액은 높은 압력을 가지고 있는데, 동맥은 이러한 압력에 견딜 수 있도록 튼튼하면서도 유연한 구조를 가지고 있다. 동맥은 외막, 중막, 내막의 세 층으로 이루어져 있어 심장이 수축하고 이완할 때 발생하는 혈압 차이를 잘 흡수한다.[6]
동맥은 몸 곳곳으로 혈액을 분배하기 위해 계속해서 가지를 치는데, 이 가지들이 서로 다시 만나 연결되기도 한다. 이를 문합이라고 하며, 한쪽 혈관이 막히더라도 다른 쪽 혈관을 통해 혈액이 공급될 수 있도록 하여 조직이 허혈에 빠지는 것을 막는다.
일반적으로 동맥은 산소가 풍부한 혈액을 운반하지만, 폐동맥은 예외적으로 산소가 부족한 혈액을 폐로 운반하여 산소를 공급받도록 한다. 또한, 탯줄에 있는 제대 동맥은 태아의 몸에서 산소가 제거된 혈액을 어머니에게로 운반하는 특수한 역할을 한다.
4. 1. 순환계에서의 역할
심장에서 펌핑되어 산소가 공급된 혈액을 온몸의 조직으로 운반하는 순환계의 일부이다. 폐동맥은 예외적으로 산소 공급을 위해 혈액을 폐로 운반하며, 폐정맥은 산소가 공급된 혈액을 심장으로 운반한다.[6] 관상 동맥은 산소가 공급된 혈액을 심장 근육에 공급하여 심장 펌프 작용을 돕는다.동맥 내 혈압은 심장 주기 동안 변화하는데, 수축기에 가장 높고 이완기에 가장 낮다. 이러한 압력 변화는 맥박을 통해 느껴진다. 세동맥은 혈류와 혈압 조절에 중요한 역할을 하며, 심박출량과 전신 혈관 저항의 조합이 동맥 혈압을 결정한다.
전신 순환에서 더 큰 동맥(직경 >10 mm)은 탄성형, 더 작은 동맥(0.1–10 mm)은 근육형으로 나뉜다. 전신 동맥은 혈액을 세동맥으로 전달하고, 모세 혈관에서 영양소와 가스 교환이 일어난다.
대동맥에서 나온 혈액은 말초 동맥, 세동맥을 거쳐 모세 혈관으로 이동한다. 세동맥 벽의 평활근 조직은 혈압을 조절하며, 교감 신경 활성에 따라 혈관이 수축하거나 확장된다.[7] [8] 교감 신경 활성이 증가하면 혈관이 수축하여 혈압이 상승하고,[9] 감소하면 혈관이 확장되어 혈압이 감소한다.[10]
동물 체액 순환에서 펌프 역할을 하는 심장에서 나온 혈액이 흐르는 관이 동맥이다. 동맥은 높은 압력에 견디기 위해 튼튼한 3층 구조(외막, 중막, 내막)를 가지며, 유연하여 심장 수축/확장 시 혈압 차이를 흡수한다.
동맥은 분기하여 각 조직에 혈액을 배분하며, 분기된 가지끼리 합류하는 문합을 통해 혈류가 부족해도 조직이 허혈에 빠지지 않도록 한다. 문합이 없는 동맥은 허혈 위험이 높다.
대동맥을 통해 전신으로 가는 혈액은 산소가 풍부한 동맥혈이다. 폐에서 산소화되어 심장으로 돌아오는 혈액은 '''폐정맥'''을 흐르지만 '''동맥혈'''이다.
동맥경화는 동맥의 유연성이 상실된 상태로, 고혈압이나 허혈의 원인이 될 수 있다.
동맥은 벽이 튼튼하고 내부 혈액 압력이 높아, 살아있는 동물을 해부하면 동맥혈이 흘러나오지만 벽은 찌그러지지 않아 공기가 들어간다. 과거에는 동맥이 기체를 보내고, 이 기체가 생기라고 생각되었다.
4. 2. 혈압 조절
동맥은 순환계의 다른 부분보다 혈압이 높다. 동맥의 압력은 심장 주기 동안 변화한다. 수축기에 가장 높고 이완기에 가장 낮다. 압력의 변화는 맥박을 발생시키며, 이는 요골 동맥 맥박과 같이 신체의 여러 부위에서 느껴질 수 있다. 세동맥은 국소 혈류와 전반적인 혈압 모두에 가장 큰 영향을 미친다. 세동맥은 혈액 시스템의 주요 "조절 가능한 노즐"이며, 여기서 가장 큰 압력 강하가 발생한다. 심장 박출량(심박출량)과 신체의 모든 세동맥의 전체 저항을 나타내는 전신 혈관 저항의 조합은 특정 시점의 동맥 혈압의 주요 결정 요인이다.[6]대동맥을 통과한 혈액은 말초 동맥을 거쳐 세동맥이라고 하는 더 작은 동맥으로 이동한 다음, 결국 모세 혈관으로 이동한다. 세동맥은 벽의 평활근 조직의 가변적인 수축을 통해 혈압을 조절하는 데 도움을 주고, 모세 혈관에 혈액을 전달한다. 이러한 평활근 수축은 주로 세동맥을 지배하는 교감 신경성 혈관 운동 신경의 활동에 의해 영향을 받는다.[7] [8] 교감 신경 활성 증가는 혈관 수축을 유발하여 내강 직경을 줄인다. 결과적으로 내강 직경이 감소하면 세동맥 내 혈압이 상승한다.[9] 반대로, 혈관 운동 신경 내에서 교감 신경 활동이 감소하면 혈관이 확장되어 혈압이 감소한다.[10]
4. 3. 혈액 분배
동맥은 순환계의 일부로, 심장에서 펌핑된 산소가 공급된 혈액을 몸 전체 조직으로 운반하는 역할을 한다. 예외적으로 폐동맥은 산소 공급을 위해 혈액을 폐로 운반하며, 제대 동맥은 태아에서 산소가 제거된 혈액을 어머니에게 운반한다.[6]동맥은 순환계의 다른 부분보다 혈압이 높다. 동맥의 압력은 심장 주기 동안 변화하며, 수축기에 가장 높고 이완기에 가장 낮다. 이러한 압력 변화는 맥박을 통해 느낄 수 있다. 세동맥은 혈류와 혈압 조절에 중요한 역할을 하며, 심박출량과 전신 혈관 저항의 조합은 동맥 혈압의 주요 결정 요인이다.
전신 순환의 전신 동맥은 산소가 공급된 혈액을 심장에서 인체로 운반하고 산소가 제거된 혈액을 심장으로 되돌려 보낸다. 전신 동맥은 크기와 구성에 따라 근육형과 탄성형으로 나뉜다. 더 큰 동맥은 일반적으로 탄성형이고 더 작은 동맥은 근육형이다. 전신 동맥은 혈액을 세동맥으로 전달한 다음 모세 혈관으로 전달하여 영양소와 가스를 교환한다.
대동맥을 통과한 혈액은 말초 동맥을 거쳐 세동맥으로 이동한 다음, 모세 혈관으로 이동한다. 세동맥은 벽의 평활근 조직의 수축을 통해 혈압을 조절하고 모세 혈관에 혈액을 전달한다.[7][8] 평활근 수축은 주로 세동맥을 지배하는 교감 신경성 혈관 운동 신경의 활동에 의해 영향을 받는다.[9][10]
동맥은 각 조직으로 혈액을 분배하기 위해 분기하며, 분기된 가지끼리 합류하는 경우도 있는데 이를 문합이라고 한다. 문합은 한쪽 혈류가 불충분하더라도 조직이 허혈에 빠지는 것을 막는 역할을 한다.
5. 주요 동맥

대동맥은 전신 순환의 주요 동맥이다. 인간의 경우, 대동맥판막을 통해 심장의 좌심실에서 직접 혈액을 받는다. 대동맥이 갈라지고 이 동맥들이 다시 갈라지면서 직경이 점차 작아져 세동맥에 이른다. 세동맥은 모세혈관에 혈액을 공급하고, 모세혈관은 다시 세정맥으로 연결된다. 대동맥에서 처음 갈라져 나오는 가지는 심장 근육 자체에 혈액을 공급하는 관상 동맥이다. 이어서 상완두 동맥, 왼쪽 총경동맥, 왼쪽 쇄골하 동맥으로 구성된 대동맥궁의 가지들이 있다.
6. 관련 질환

전신 순환에서 동맥압은 심장의 강력한 수축에 의해 생성된다. 높은 혈압은 동맥 손상의 원인이 되는 요인이다. 맥압은 수축기와 이완기 혈압의 차이로서, 각 심장 박동에 의해 방출되는 혈액량, 일회 박출량과 주요 동맥의 용적 및 탄성에 의해 주로 결정된다.
동맥에서 피가 뿜어져 나오는 현상인 혈액 분출은 동맥압이 높기 때문에 동맥이 절단될 때 나타난다. 혈액은 심장 박동과 일치하여 빠르고 간헐적인 속도로 분출된다. 출혈량은 많을 수 있고, 매우 빠르게 발생할 수 있으며, 생명을 위협할 수 있다.[11]
시간이 지남에 따라, 상승된 동맥 혈당(특히 당뇨병에서 나타나는), 지단백, 콜레스테롤, 고혈압, 스트레스 및 흡연과 같은 요인들은 모두 동맥의 내피와 벽에 손상을 입히는 데 관여하여 동맥경화증을 유발한다. 동맥경화증은 동맥 경화를 특징으로 하는 질병이다. 이는 동맥벽에 있는 죽상경화반 또는 플라크로 인해 발생하며, 지질(콜레스테롤 및 지방산), 칼슘[12][13] 및 다양한 양의 섬유성 결합 조직을 포함하는 세포 잔해의 축적이다.
우발적인 동맥 내 주사는 의인성으로 또는 오락용 약물 사용을 통해 발생할 수 있으며, 심한 통증, 이상 감각 및 괴사와 같은 증상을 유발할 수 있다. 일반적으로 사지에 영구적인 손상을 유발하며, 종종 절단이 필요하다.[14]
동맥 관련 질환은 다음과 같다.
7. 역사
히포크라테스 이전의 고대 그리스인들은 모든 혈관을 Φλέβες|플레베스grc라고 불렀다. "arteria"라는 단어는 당시 기관을 지칭했다.[15] 헤로필로스는 동맥과 정맥, 두 종류의 혈관 사이의 해부학적 차이점을 처음으로 기술했다. 엠페도클레스는 혈액이 혈관을 통해 앞뒤로 움직인다고 믿었지만, 동맥과 정맥을 연결하는 모세 혈관에 대한 개념이 없었고, 순환에 대한 개념도 없었다.[16] 아폴로니아의 디오게네스는 원래 공기를 의미했지만 곧 영혼과 동일시되고 혈관 속의 혈액과 함께 존재한다고 생각되는 ''프뉴마'' 이론을 발전시켰다.[17] 동맥은 조직으로 공기를 운반하고 기관지와 연결되어 있다고 생각되었다. 이것은 시체의 동맥에서 혈액이 발견되지 않았기 때문이다.
중세 시대에는 동맥이 정맥의 내용물과는 다른 것으로 여겨지는 "정신적인 혈액" 또는 "생명력"이라고 불리는 체액을 운반한다고 추정되었다. 이 이론은 갈레노스에게서 비롯되었다. 중세 시대 후반에는 척추동물 기관지[18]와 인대도 "동맥"이라고 불렸다.[19]
윌리엄 하비는 17세기에 순환계의 현대적 개념과 동맥 및 정맥의 역할을 설명하고 대중화했다.
20세기 초 알렉시 카렐은 혈관 봉합 및 문합 기술을 처음으로 설명하고 동물에게 많은 장기 이식을 성공적으로 수행했다. 그리하여 그는 이전에 혈관의 영구적인 결찰에 국한되었던 현대 혈관 외과의 길을 열었다.
참조
[1]
웹사이트
A Greek-English Lexicon
https://web.archive.[...]
[2]
논문
Unveiling the Hidden Landscape of Arterial Diseases at Single-Cell Resolution
https://linkinghub.e[...]
2023-12-01
[3]
웹사이트
The Leeds Histology Guide
https://www.histolog[...]
2003
[4]
서적
Rutherford's Vascular Surgery and Endovascular Therapy
Elsevier, Inc.
[5]
논문
Arterial-venous specification during development.
2009-03-13
[6]
서적
Human Biology and Health
https://archive.org/[...]
Prentice Hall
[7]
논문
Sympathetic and sensory-motor nerves in peripheral small arteries
https://journals.phy[...]
2021-04-01
[8]
논문
Sympathetic regulation of vascular function in health and disease
2012
[9]
논문
Pathophysiology of Vascular Remodeling in Hypertension
2013-07-22
[10]
웹사이트
Chapter 3 - The Cardiovascular System
https://www.scienced[...]
W.B. Saunders
2023-11-17
[11]
웹사이트
U.S. Navy Standard First Aid Manual, Chapter 3 (online)
http://www.brookside[...]
2003-02-03
[12]
논문
Nano-analytical electron microscopy reveals fundamental insights into human cardiovascular tissue calcification
[13]
논문
Cardiovascular calcification: Orbicular origins
[14]
논문
Complications After Unintentional Intra-arterial Injection of Drugs: Risks, Outcomes, and Management Strategies
http://www.mayoclini[...]
MAYO Clinic
2014-08-25
[15]
서적
The heart and the vascular system in ancient Greek medicine. From Alcmaeon to Galen.
Oxford University Press
[16]
서적
The heart and the vascular system in ancient Greek medicine. From Alcmaeon to Galen.
Oxford University Press
[17]
서적
The heart and the vascular system in ancient Greek medicine. From Alcmaeon to Galen.
Oxford University Press
[18]
서적
Oxford English Dictionary
[19]
서적
Hamlet Complete, Authoritative Text with Biographical and Historical Contexts, Critical History, and Essays from Five Contemporary Critical Perspectives
Bedford Books of St. Martins Press
본 사이트는 AI가 위키백과와 뉴스 기사,정부 간행물,학술 논문등을 바탕으로 정보를 가공하여 제공하는 백과사전형 서비스입니다.
모든 문서는 AI에 의해 자동 생성되며, CC BY-SA 4.0 라이선스에 따라 이용할 수 있습니다.
하지만, 위키백과나 뉴스 기사 자체에 오류, 부정확한 정보, 또는 가짜 뉴스가 포함될 수 있으며, AI는 이러한 내용을 완벽하게 걸러내지 못할 수 있습니다.
따라서 제공되는 정보에 일부 오류나 편향이 있을 수 있으므로, 중요한 정보는 반드시 다른 출처를 통해 교차 검증하시기 바랍니다.
문의하기 : help@durumis.com
