척추골절
"오늘의AI위키"의 AI를 통해 더욱 풍부하고 폭넓은 지식 경험을 누리세요.
1. 개요
척추골절은 척추의 골절을 의미하며, 챈스 골절의 경우 극돌기를 가로지르는 골절 또는 인대 파열이 발생할 수 있다. 진단을 위해 X-레이, CT 스캔, MRI가 사용되며, 골절은 불안정할 수 있다. 이 질환은 조지 퀸틴 챈스에 의해 1948년에 처음 기술되었으며, 안전 벨트가 보편화되기 전인 1950년대와 1960년대에 더 흔하게 발생했다.
더 읽어볼만한 페이지
- 골절 - 개방성 골절
개방성 골절은 외상 등으로 뼈가 피부를 뚫고 나와 외부 환경에 노출되는 골절로, 연조직 손상 및 감염 위험이 높아 신속한 진단과 치료가 필요하며, 구스틸로-앤더슨 분류 등으로 심각도를 평가한다. - 골절 - 불유합
불유합은 골절 후 뼈가 정상적으로 치유되지 못하는 상태로, 통증, 비정상적 움직임, 가골 형성 부전 등을 동반하며, 골절 정도, 개방성 골절 여부, 치료 안정성, 감염 등 다양한 요인에 의해 발생하고, 임상적 평가와 방사선학적 검사를 통해 진단하며, 안정화 및 골 유합 촉진을 목표로 수술적/비수술적 치료를 고려한다.
| 척추골절 | |
|---|---|
| 질병 정보 | |
| 이름 | 척추 골절 |
| 영어 이름 | Chance fracture |
| 기타 이름 | Chance fracture of the spine (척추의 찬스 골절) flexion distraction fracture (굴곡 분산 골절) lap seat belt fracture (무릎 안전벨트 골절) |
![]() | |
| 분야 | 정형외과 |
| 증상 | 복부 타박상, 다리 마비 |
| 합병증 | 비장 파열, 소장 손상, 장간막 파열 |
| 원인 | 해당 없음 |
| 위험 요인 | 사람이 안전띠만 매고 있는 상황의 정면 자동차 사고 |
| 진단 | 의학촬영 (X-ray, CT 스캔) |
| 감별 진단 | 압박골절, 파열 골절 |
| 예방 | 해당 없음 |
| 치료 | 보조기, 수술 |
| 약물 | 해당 없음 |
| 예후 | 해당 없음 |
| 빈도 | 드물다 |
| 사망 | 해당 없음 |
2. 발생 기전
어떤 챈스 골절의 경우 뼈의 극돌기를 가로지르는 골절이 발생하고, 다른 경우에는 극상인대, 황색인대, 극간인대, 후종인대의 파열이 발생한다.[4]
1948년, 아일랜드 출신 방사선 전문의 조지 퀸틴 챈스(G. Q. Chance)에 의해 처음 기술되었다.[5][12] 이 골절은 어깨 안전 벨트가 보편화되기 전인 1950년대와 1960년대에 더 흔하게 발생했다.[5][13]
[1]
서적
Textbook of Polytrauma Management: A Multidisciplinary Approach
Springer
2022
3. 진단

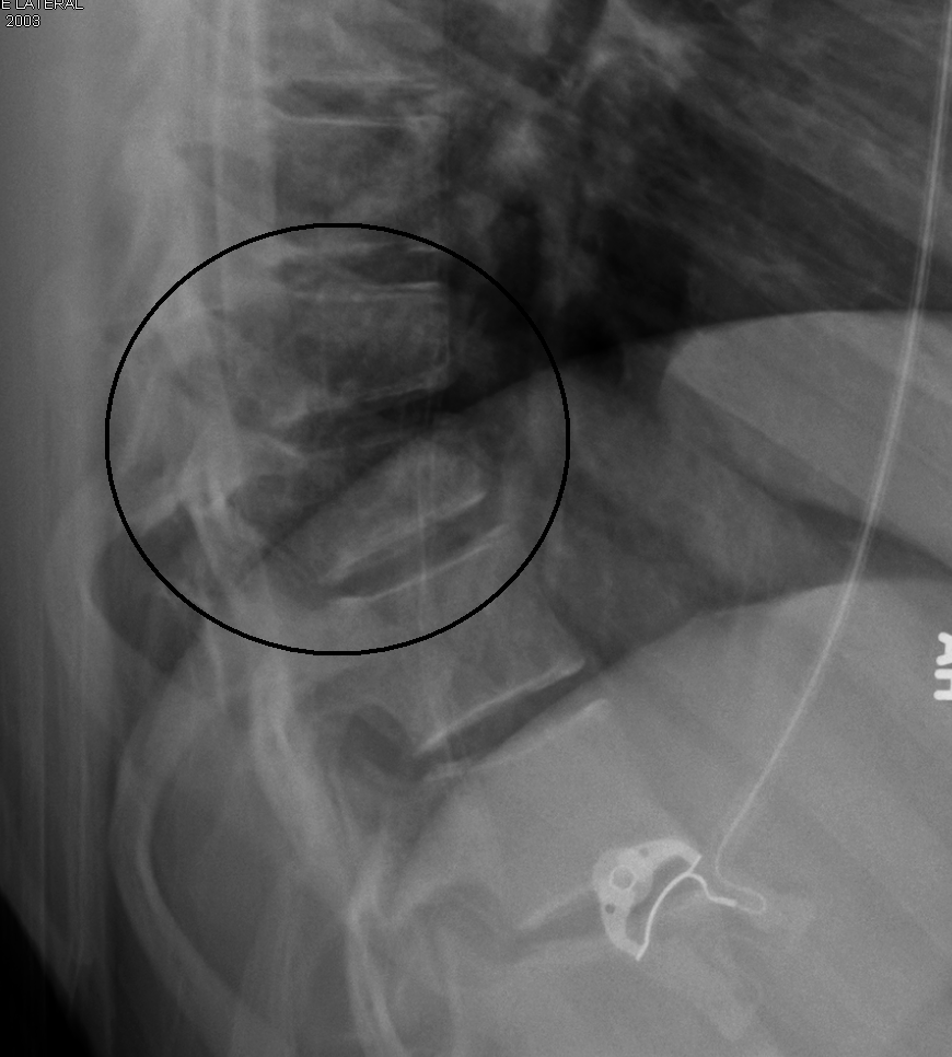
단순 X-레이에서 두 개의 극돌기가 과도하게 떨어져 있다면 챈스 골절을 의심할 수 있다.[4]
복부 손상을 감지하기 위한 진단 검사의 일환으로 흉부, 복부 및 골반의 CT 스캔이 권장된다.[13][4] MRI도 유용할 수 있다.[4] 골절은 종종 불안정하다.[11]
4. 역사
참조
[2]
논문
Seat belt-related injuries: A surgical perspective
2017
[3]
논문
The Seatbelt Syndrome-Do We Have a Chance?: A Report of 3 Cases With Review of Literature
2016-05
[4]
서적
Harris & Harris' Radiology of Emergency Medicine
https://books.google[...]
Lippincott Williams & Wilkins
2012
[5]
서적
essentials of skeletal radiology
https://books.google[...]
Lippincott Williams & Wilkins
2004
[6]
서적
Radiology for Anaesthesia and Intensive Care
https://books.google[...]
Cambridge University Press
2009
[7]
웹사이트
Fractures of the Thoracic and Lumbar Spine
https://orthoinfo.aa[...]
2018-05-29
[8]
서적
AAOS Atlas of Orthoses and Assistive Devices
https://books.google[...]
Elsevier Health Sciences
2008
[9]
서적
Emergency Radiology: Imaging and Intervention
https://books.google[...]
Springer Science & Business Media
2007
[10]
서적
Duke Radiology Case Review: Imaging, Differential Diagnosis, and Discussion
https://books.google[...]
Lippincott Williams & Wilkins
2012
[11]
웹사이트
Wheeless' Textbook of Orthopaedics
http://www.wheelesso[...]
2018-05-29
[12]
논문
Note on a type of flexion fracture of the spine
1948-09
[13]
서적
Spine Trauma: Surgical Techniques
https://books.google[...]
Springer Science & Business Media
2010
[14]
웹사이트
Wheeless' Textbook of Orthopaedics
http://www.wheelesso[...]
2018-05-29
[15]
웹사이트
Fractures of the Thoracic and Lumbar Spine
https://orthoinfo.aa[...]
2018-05-29
[16]
서적
essentials of skeletal radiology
https://books.google[...]
Lippincott Williams & Wilkins
2004
[17]
서적
Emergency Radiology: Imaging and Intervention
https://books.google[...]
Springer Science & Business Media
2007
[18]
논문
Seat belt-related injuries: A surgical perspective.
2017
[19]
논문
The Seatbelt Syndrome-Do We Have a Chance?: A Report of 3 Cases With Review of Literature.
2016-05
[20]
서적
Harris & Harris' Radiology of Emergency Medicine
https://books.google[...]
Lippincott Williams & Wilkins
2012
[21]
서적
Radiology for Anaesthesia and Intensive Care
https://books.google[...]
Cambridge University Press
2009
[22]
서적
AAOS Atlas of Orthoses and Assistive Devices
https://books.google[...]
Elsevier Health Sciences
2008
[23]
서적
Duke Radiology Case Review: Imaging, Differential Diagnosis, and Discussion
https://books.google[...]
Lippincott Williams & Wilkins
2012
[24]
논문
Note on a type of flexion fracture of the spine.
1948-09
[25]
서적
Spine Trauma: Surgical Techniques
https://books.google[...]
Springer Science & Business Media
2010
[26]
웹인용
Wheeless' Textbook of Orthopaedics
http://www.wheelesso[...]
2018-05-29
[27]
웹인용
Fractures of the Thoracic and Lumbar Spine
https://orthoinfo.aa[...]
2018-05-29
[28]
서적
essentials of skeletal radiology
https://books.google[...]
Lippincott Williams & Wilkins
2004
[29]
저널
The Seatbelt Syndrome-Do We Have a Chance?: A Report of 3 Cases With Review of Literature.
2016-05
[30]
서적
Spine Trauma: Surgical Techniques
https://books.google[...]
Springer Science & Business Media
2010
[31]
서적
Duke Radiology Case Review: Imaging, Differential Diagnosis, and Discussion
https://books.google[...]
Lippincott Williams & Wilkins
2012
[32]
서적
Emergency Radiology: Imaging and Intervention
https://books.google[...]
Springer Science & Business Media
2007
본 사이트는 AI가 위키백과와 뉴스 기사,정부 간행물,학술 논문등을 바탕으로 정보를 가공하여 제공하는 백과사전형 서비스입니다.
모든 문서는 AI에 의해 자동 생성되며, CC BY-SA 4.0 라이선스에 따라 이용할 수 있습니다.
하지만, 위키백과나 뉴스 기사 자체에 오류, 부정확한 정보, 또는 가짜 뉴스가 포함될 수 있으며, AI는 이러한 내용을 완벽하게 걸러내지 못할 수 있습니다.
따라서 제공되는 정보에 일부 오류나 편향이 있을 수 있으므로, 중요한 정보는 반드시 다른 출처를 통해 교차 검증하시기 바랍니다.
문의하기 : help@durumis.com
