프림네시움속
"오늘의AI위키"의 AI를 통해 더욱 풍부하고 폭넓은 지식 경험을 누리세요.
1. 개요
프림네시움속(Prymnesium)은 두 개의 편모와 햅토네마를 가진 세포를 특징으로 하는 생물 분류군이다. 세포 표면은 비늘로 덮여 있으며, 골지체는 비늘 형성에 관여한다. 2011년 프림네시움목 분류 개정을 통해 여러 종이 추가되었으며, 여기에는 이전 Hyalolithus, Chrysochromulina, Platychrysis 속에 속했던 종들도 포함된다.
더 읽어볼만한 페이지
- 하크로비아 - 합티스타
합티스타는 2015년 캐빌리어-스미스에 의해 명명된 생물 분류군으로, 엑스카바타 생물군 중 디스코바에 속하며, 하위 분류로 알베이다아문, 육질태양충아문, 착편모조아문 등이 있다. - 하크로비아 - 이소크리시스목
이소크리시스목은 이소크리시스과, 노엘라에르합두스과, 프린시우스과 등을 포함하는 다양한 과와 이소크리시스속, 디크라테리아속, 에밀리아니아속, 게피로캅사속, 레티쿨로페네스트라속 등의 주요 속을 가지는 조류 분류군으로, 해양 생태계에서 중요한 역할을 하며 특히 코콜리토포어류는 칼슘판 형성을 통해 해양 환경과 기후 변화 연구에 활용된다.
2. 형태
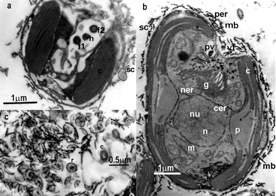
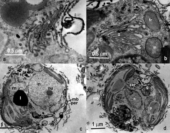
프림네시움속(''Prymnesium'') 세포는 일반적으로 두 개의 편모와 햅토네마를 가진다. 엽록체는 엽록체 소포체(cer)와 엽록체 주위 소포체(per)로 둘러싸여 있으며, 핵(n)과 인(nu), 핵 소포체(ner)를 가진다. 미토콘드리아(m), 피레노이드(p), 골지체(g), 점액질체(mb), 맥동/수축성 액포(pv) 등의 세포 소기관도 관찰된다.[8] 세포 표면은 비늘(sc)로 덮여 있으며, 비늘은 방사형(r) 또는 동심원(c) 형태를 띤다.[8] 골지체(g)는 비늘 형성에 관여하며, 소포체(er)와 연결되어 있다.[8] 편모 뿌리(fr) 바로 아래에는 골지체(g)가 위치하며, 미토콘드리아(m), 핵(n), 점액질체(mb) 등이 주변에 분포한다.[8] 엽록체 소포체는 핵 소포체와 연결되어 있다.[8]
2011년 프림네시움목 분류 개정에 따라, 프림네시움속에는 기존에 알려진 종들 외에 10종이 추가되었다.[9]

3. 하위 종
추가된 종들은 ''P. neolepis''(이전 ''Hyalolithus'' 속), ''P. minus''(이전 ''Chrysochromulina'' 속), ''P. simplex''(이전 ''Platychrysis'' 속) 등이다.[9]
4. 분류
2011년에 프림네시움목의 분류가 개정되면서 10종이 프림네시움속에 추가되었다.[9] ''P. neolepis''(이전 ''Hyalolithus'' 속), ''P. minus''(이전 ''Chrysochromulina'' 속), ''P. simplex''(이전 ''Platychrysis'' 속) 등이 그 예이다.[9]
- ''P. neolepis'' Edvardsen, Eikrem & Probert, 2011 (=''Hyalolithus neolepis'')
- ''P. palpebrale'' Edvardsen, Eikrem & Probert, 2011 (=''Chrysochromulina palpebralis'')
- ''P. polylepis'' Edvardsen, Eikrem & Probert, 2011 (=''Chrysochromulina polylepis'')
- ''P. kappa'' Edvardsen, Eikrem & Probert, 2011 (=''Chrysochromulina kappa'')
- ''P. chiton'' Edvardsen, Eikrem & Probert, 2011 (=''Chrysochromulina chiton'')
- ''P. minus'' Edvardsen, Eikrem & Probert, 2011 (=''Chrysochromulina minor'')
- ''P. neustophilum'' Edvardsen, Eikrem & Probert, 2011 (=''Platychrysis neustophila'')
- ''P. pienaarii'' Edvardsen, Eikrem & Probert, 2011 (=''Platychrysis pienaarii'')
- ''P. pigrum'' Edvardsen, Eikrem & Probert, 2011 (=''Platychrysis pigra'')
- ''P. simplex'' Edvardsen, Eikrem & Probert, 2011 (=''Platychrysis simplex'')
5. 생태
6. 독성
7. 참고 문헌
참조
[1]
학술지
Analysis of expressed sequence tags from the harmful alga, ''Prymnesium parvum'' (Prymnesiophyceae, Haptophyta)
[2]
서적
The Structure and Reproduction of the Algae.
Cambridge University Press
[3]
서적
Thesaurus Linguae Romanae et Britannicae
http://thrax.mpiwg-b[...]
[4]
서적
Algae
https://archive.org/[...]
Prentice Hall
[5]
서적
A Comprehensive Etymological Dictionary of the Spanish Language
https://books.google[...]
Xlibris Corp.
[6]
학술지
Nederland Nationaal Archief - Inventaris van het archief van de Hoofinspecteur der Visserijen, (1907) 1910-1922 (1924) - Item 195: Verslag van een onderzoek naar de oorzaken van de vissterfte in de polder Workumer-Nieuwland nabij Workum, door N.W. Deerns van het Rijksinstituut voor Hydrografisch Visserijonderzoek, houdende een beschrijving van visdodende flagellaten (planktonorganismen). 1920
https://www.nationaa[...]
1920-07-01
[7]
학술지
Recherches sur les organismes inférieurs. VIII. - Sur la motilité des Flagellates.
https://img.algaebas[...]
[8]
학술지
New record of Prymnesium parvum f. patelliferum (Green, Hibberd & Piennar) Larsen stat. nov. (Prymnesiophyceae) from Valparaíso Bay
2007-05
[9]
학술지
Ribosomal DNA phylogenies and a morphological revision provide the basis for a revised taxonomy of the Prymnesiales (Haptophyta)
2011
[10]
저널 인용
Analysis of expressed sequence tags from the harmful alga, ''Prymnesium parvum'' (Prymnesiophyceae, Haptophyta)
본 사이트는 AI가 위키백과와 뉴스 기사,정부 간행물,학술 논문등을 바탕으로 정보를 가공하여 제공하는 백과사전형 서비스입니다.
모든 문서는 AI에 의해 자동 생성되며, CC BY-SA 4.0 라이선스에 따라 이용할 수 있습니다.
하지만, 위키백과나 뉴스 기사 자체에 오류, 부정확한 정보, 또는 가짜 뉴스가 포함될 수 있으며, AI는 이러한 내용을 완벽하게 걸러내지 못할 수 있습니다.
따라서 제공되는 정보에 일부 오류나 편향이 있을 수 있으므로, 중요한 정보는 반드시 다른 출처를 통해 교차 검증하시기 바랍니다.
문의하기 : help@durumis.com
