맨위로가기

피하조직

"오늘의AI위키"는 AI 기술로 일관성 있고 체계적인 최신 지식을 제공하는 혁신 플랫폼입니다.
"오늘의AI위키"의 AI를 통해 더욱 풍부하고 폭넓은 지식 경험을 누리세요.

1. 개요

피하조직은 피부를 심부 근막에 고정하는 섬유 띠로 구성되어 있으며, 콜라겐과 엘라스틴 섬유로 이루어져 있다. 진피로 가는 혈관, 림프관, 땀샘, 유선, 피부 신경, 털집 뿌리, 루피니 소체, 파치니 소체, 비만 세포 등이 포함되어 있다. 피하 지방은 에너지 저장, 완충 작용, 체온 조절 기능을 하며, 약물 주입 경로로 사용되기도 한다. 피하농양, 피하종양과 같은 질병이 발생할 수 있으며, 식물에서는 잎의 보호 또는 물 저장 기능을 수행하기도 한다.

더 읽어볼만한 페이지

  • 피부해부학 - 피지샘
    피지샘은 손발바닥을 제외한 피부 대부분에 존재하며 피지를 분비해 피부와 털을 보호하는 샘으로, 모낭 연결 형태와 독립 형태, 태지 생성, 젖꼭지테두리샘, 마이봄샘 등 특수 형태로 존재하며, 피부 산성 외투막을 형성하여 신체 보호, 여드름, 지루성 피부염 등 피부 질환과 관련된다.
  • 피부해부학 - 랑게르한스 세포
    랑게르한스 세포는 피부에 존재하는 항원제시세포로, 감염 시 면역 반응을 유도하고 평상시에는 면역 항상성을 유지하며 세포 사멸체를 탐식하는 역할을 수행하며, 랑게르한스 세포 조직구증과 같은 질병 및 바이러스 감염과 관련이 있다.
피하조직
개요
라틴어 명칭tela subcutanea
계통피부계
상세 정보
설명척추동물의 피부계에서 가장 아래쪽에 있는 층

2. 구조

피하조직은 피부를 심부 근막에 고정하는 섬유 띠, 콜라겐과 엘라스틴 섬유, 지방, 혈관, 림프관, 땀샘, 유선, 신경, 털집 뿌리, 루피니 소체, 파치니 소체, 비만 세포, 윤활낭, 피판 근육 등으로 구성된다.[1][4][5]

고래나 겨울잠을 자는 포유류와 같은 일부 동물에게 피하조직은 중요한 단열층 및/또는 식량 저장고를 형성한다.

일부 식물에서 피하 조직은 잎의 표피 바로 아래에 있는 세포층이다. 이는 종종 기계적으로 강화되어 소나무 잎에서 추가 보호층이나 물 저장 조직을 형성한다.

2. 1. 구성 요소


  • 피부를 심부 근막에 고정하는 섬유 띠
  • 콜라겐과 엘라스틴 섬유가 이를 진피에 부착
  • 지방은 눈꺼풀, 음핵, 음경, 대부분의 귓바퀴, 음낭에는 존재하지 않음[1]
  • 진피로 가는 혈관
  • 진피에서 나오는 림프관
  • 일부 땀샘의 선 부분; 유선은 피하 조직 내에 완전히 위치 (이는 변형된 아포크린 땀샘임)[4]
  • 피부 신경 및 자유 종말
  • 털집 뿌리
  • 루피니 소체 및 파치니 소체
  • 비만 세포[5]
  • 관절 위 공간에 있는 윤활낭은 피부의 부드러운 통과를 촉진
  • 두피, 얼굴, 손, 젖꼭지 및 음낭을 포함한 특정 위치의 미세하고 평평한 근육 시트인 피판 근육

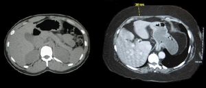
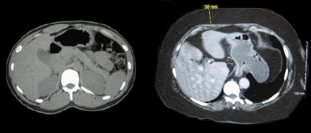
Two computed tomography images of a horizontal section of the mid-abdominal region; one from a normal-weight individual and the other from an obese person. In both, the bony structures and organs appear similar. The primary difference is that in the normal-weight person, there is little subcutaneous fat, and the obese person shows substantially subcutaneous fat.
정상 체중(왼쪽)과 비만인 사람(오른쪽)의 몸통 단면으로, CT 스캔으로 촬영되었다. 비만인 사람의 피하 지방은 이다.


피하 지방은 가장 널리 분포된 피하 조직층이다.[1] 이는 결합 조직에 의해 분리된 소엽에 함께 그룹화된 지방 세포로 구성된다. 지방 세포의 수는 신체 부위마다 다르며, 크기는 신체의 영양 상태에 따라 다르다. 이는 완충 작용을 하고 에너지 저장소 역할을 하며, 절연을 통해 약간의 체온 조절을 제공한다. 피하 지방은 피부 바로 아래에서 발견되며, 복강에서 발견되는 내장 지방과는 대조적이다. 체지방 캘리퍼를 사용하여 측정하여 총 체내 지방도를 대략적으로 추정할 수 있다.

2. 2. 피하 지방

피하 지방은 가장 널리 분포된 피하 조직층이다.[1] 이는 결합 조직에 의해 분리된 소엽에 함께 그룹화된 지방 세포로 구성된다. 지방 세포의 수는 신체 부위마다 다르며, 크기는 신체의 영양 상태에 따라 다르다. 피하 지방은 완충 작용을 하고 에너지 저장소 역할을 하며, 절연을 통해 약간의 체온 조절을 제공한다. 피부 바로 아래에서 발견되며, 복강에서 발견되는 내장 지방과는 대조적이다. 체지방 캘리퍼를 사용하여 측정하여 총 체내 지방도를 대략적으로 추정할 수 있다.

3. 의학적 중요성

피하 주사는 투여 경로 중 하나로, 인슐린과 같은 약물에 사용된다. 혈관이 거의 없기 때문에 약물을 천천히 흡수한다. 피하 주사는 인간 성장 호르몬과 같은 일부 약물을 투여하는 가장 효과적인 방법으로 여겨진다. 피하 조직은 지방을 저장할 수 있으며, 혈류가 제한되어 점진적으로 방출되어야 하는 약물에도 좋은 저장 공간을 제공할 수 있다. 스킨 포핑(Skin popping)은 이 투여 방법을 포함하는 속어이며, 레크리에이션 약물과 관련하여 사용된다.

피하 조직과 관련된 질병은 다음과 같다.

3. 1. 주사

피하 조직에 주사하는 것은 인슐린 등 약물에 사용되는 투여 경로 중 하나이다. 혈관이 매우 많으므로 조직은 약물을 빠르게 흡수한다.[7]

피하 주사는 인간 성장 호르몬과 같은 일부 약물을 투여하는 가장 효과적인 방법으로 여겨진다. 피하 조직은 지방을 저장할 수 있으며, 혈류가 제한되어 점진적으로 방출되어야 하는 약물에도 좋은 저장 공간을 제공할 수 있다. 혈관이 거의 없기 때문에 조직이 약물을 천천히 흡수한다. "스킨 포핑(Skin popping)"은 이 투여 방법을 포함하는 속어이며, 일반적으로 레크리에이션 약물과 관련하여 사용된다.

3. 2. 질병

참조

[1] 문서 Terminologia Anatomica
[2] 웹사이트 hypodermis lumenlearning https://courses.lume[...]
[3] 서적 Mosby's Medical, Nursing & Allied Health Dictionary Mosby
[4] 서적 Human Microscopic Anatomy: An Atlas for Students of Medicine and Biology Springer 2004-03-18
[5] 서적 Fitzpatrick's Dermatology in General Medicine McGraw-Hill 2012-04-10
[6] 서적 Mosby's Medical, Nursing & Allied Health Dictionary Mosby
[7] 서적 Human Anatomy Rex Bookstore, Inc.



본 사이트는 AI가 위키백과와 뉴스 기사,정부 간행물,학술 논문등을 바탕으로 정보를 가공하여 제공하는 백과사전형 서비스입니다.
모든 문서는 AI에 의해 자동 생성되며, CC BY-SA 4.0 라이선스에 따라 이용할 수 있습니다.
하지만, 위키백과나 뉴스 기사 자체에 오류, 부정확한 정보, 또는 가짜 뉴스가 포함될 수 있으며, AI는 이러한 내용을 완벽하게 걸러내지 못할 수 있습니다.
따라서 제공되는 정보에 일부 오류나 편향이 있을 수 있으므로, 중요한 정보는 반드시 다른 출처를 통해 교차 검증하시기 바랍니다.

문의하기 : help@durumis.com