농양
"오늘의AI위키"의 AI를 통해 더욱 풍부하고 폭넓은 지식 경험을 누리세요.
1. 개요
농양은 고름이 모여 형성된 국소적인 집합체로, 세균 감염, 기생충, 이물질 등에 의해 발생하며 피부, 폐, 뇌 등 다양한 부위에서 나타날 수 있다. 주요 원인균은 황색포도상구균이며, 정맥 주사 약물 사용이 위험 요인으로 작용한다. 농양은 부위와 심각성에 따라 다양한 증상을 보이며, 절개 및 배농, 항생제 치료 등의 방법으로 치료한다. 치료하지 않으면 뇌 농양과 같은 일부 농양은 치명적일 수 있다.
더 읽어볼만한 페이지
- 일반외과 - 충수염
충수염은 충수에 염증이 생기는 질환으로, 급성 복통, 오른쪽 아랫배 통증 등의 증상을 보이며, 충수 폐쇄로 인해 발생하고, 수술적 치료인 충수 절제술이 일반적이다. - 일반외과 - 메켈 곁주머니
메켈 곁주머니는 인구의 약 2%에서 발생하는 소화관 기형으로, 회맹판에서 60cm 이내 위치하며 무증상인 경우가 많지만 출혈, 장폐색, 곁주머니염 등의 합병증을 유발하여 수술적 치료가 필요할 수 있다. - 감염병 - 바이러스
바이러스는 DNA 또는 RNA를 유전 물질로 사용하고 단백질 껍질로 둘러싸인 비세포성 감염체이며, 숙주 세포 내에서만 증식하고 다양한 분야에서 활용된다. - 감염병 - 결핵
결핵은 결핵균에 의해 발생하는 감염성 질환으로, 주로 폐에 영향을 미치며 기침, 객혈 등의 증상을 보이지만 무증상일 수도 있고, 호흡기 비말 전파를 통해 감염되며, 항생제 치료를 하지만 약물 내성 문제로 인해 공중 보건 문제로 남아있다.
2. 원인
농양 발생의 위험 요인으로는 정맥 주사 약물 사용이 있다.[16] 과거의 추간판 탈출증 또는 기타 척추 이상 병력이 또 다른 위험 요인이 될 수 있지만,[17] 이는 아직 입증되지 않았다.
농양은 세균 감염, 기생충 또는 이물질에 의해 발생한다.
2. 1. 세균 감염
농양은 세균 감염, 기생충 또는 이물질에 의해 발생한다. 세균 감염이 가장 흔한 원인이며, 특히 황색포도상구균이 원인이다. 더 침습적인 ''메티실린 내성 황색포도상구균''(MRSA)도 감염의 원인이 될 수 있지만, 훨씬 드물다.[18] 척추 경막하 농양의 경우, 메티실린 감수성 ''황색포도상구균''이 가장 흔한 원인균이다.[17]드물게 기생충이 농양을 유발할 수 있으며, 이는 개발도상국에서 더 흔하다.[4] 이러한 작용을 하는 것으로 알려진 특정 기생충으로는 회선충증과 구더기증이 있다.[4]
2. 2. 기생충 감염
농양은 세균 감염, 기생충 또는 이물질에 의해 발생한다. 드물게 기생충이 농양을 유발할 수 있으며, 이는 개발도상국에서 더 흔하다.[4] 이러한 작용을 하는 것으로 알려진 특정 기생충으로는 회선충증과 구더기증이 있다.[4]2. 3. 기타 원인
농양 발생의 위험 요인으로는 정맥 주사 약물 사용이 있다.[16] 과거의 추간판 탈출증 또는 기타 척추 이상 병력이 또 다른 위험 요인이 될 수 있지만,[17] 이는 아직 입증되지 않았다.농양은 세균 감염, 기생충 또는 이물질에 의해 발생한다. 세균 감염이 가장 흔한 원인이며, 특히 황색포도상구균이 원인이다. 더 침습적인 ''메티실린 내성 황색포도상구균(MRSA)''도 감염의 원인이 될 수 있지만, 훨씬 드물다.[18] 척추 경막하 농양의 경우, 메티실린 감수성 ''황색포도상구균''이 가장 흔한 원인균이다.[17]
드물게 기생충이 농양을 유발할 수 있으며, 이는 개발도상국에서 더 흔하다.[4] 이러한 작용을 하는 것으로 알려진 특정 기생충으로는 회선충증과 구더기증이 있다.[4]
2. 4. 특정 부위별 농양
항문 주위 농양은 항문 또는 직장 내 분비샘의 비특이적 폐쇄 및 그에 따른 감염으로 인해 발생할 수 있다. 다른 원인으로는 암, 외상 또는 염증성 장 질환이 있다.[19]절개 농양은 수술 절개의 합병증으로 발생하는 농양이다. 절개 부위 가장자리에 발적과 열감, 그리고 고름 배출이 나타난다.[20] 진단이 불확실한 경우, 바늘로 상처 부위를 흡인하여 고름을 확인하고 그람 염색 및 세균 배양을 실시한다.[20]
충수 농양은 충수염의 합병증으로, 충수에 감염된 덩어리가 생기는 질환이다. 이 질환은 충수염 환자의 2~10%에서 발생하는 것으로 추정되며, 대개 충수를 외과적으로 제거하는 수술(충수 절제술)로 치료한다.
- 뇌 농양
- 항문 주위 농양
- 치근 농양
- 복강 내 농양
- 간 농양
3. 증상


농양은 모든 종류의 조직에서 발생할 수 있지만, 가장 흔하게는 피부 표면(여기서는 종기 또는 심부 피부 농양으로 알려진 얕은 고름집일 수 있음), 폐, 뇌, 치아, 신장 및 편도에서 발생한다. 주요 합병증으로는 농양 물질의 인접 또는 원격 조직으로의 확산, 광범위한 국소 조직 괴사(괴저) 등이 있다.[12]
3. 1. 일반적인 증상
피부 농양의 주요 증상과 징후는 홍반, 열감, 부기, 통증, 기능 상실이다. 고열(발열)과 오한이 있을 수도 있다.[27] 표면적인 경우, 농양은 촉진 시 파동을 보일 수 있는데, 이러한 파동과 같은 움직임은 농양 내부의 고름의 움직임에 의해 발생한다.[13]내부 농양은 확인하기가 더 어렵고 농양의 위치와 감염 유형에 따라 달라진다. 일반적인 징후로는 해당 부위의 통증, 고열, 전반적인 컨디션 저하 등이 있다.[21] 내부 농양은 드물게 자연 치유되므로, 이러한 농양이 의심될 경우 즉시 의학적 치료를 받는 것이 좋다. 농양은 위치에 따라 치명적일 수 있다.[14][15]
3. 2. 내부 농양의 증상
내부 농양은 확인하기가 더 어렵고 농양의 위치와 감염 유형에 따라 증상이 다르다. 일반적인 징후로는 해당 부위의 통증, 고열, 전반적인 컨디션 저하 등이 있다.[21] 내부 농양은 드물게 자연 치유되므로, 이러한 농양이 의심될 경우 즉시 의학적 치료를 받는 것이 좋다. 농양은 위치에 따라 치명적일 수 있다.[14][15]4. 진단
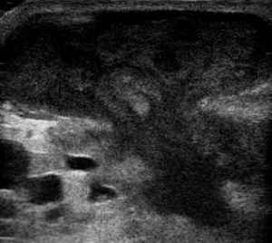
농양은 조직, 장기 또는 제한된 공간에 고름이 모여 형성된 국소적인 집합체이며, 화농성 막으로 덮여 있다.[25] 초음파 검사는 농양 진단에 도움이 될 수 있다.[26]
4. 1. 시진 및 촉진
농양과 관련된 문서에는 뇌 농양, 항문 주위 농양, 치근 농양, 복강 내 농양, 간 농양 등이 있다.4. 2. 영상 검사
초음파 검사는 농양 진단에 도움이 될 수 있다.[26]
4. 3. 감별 진단
농양은 조직, 장기 또는 제한된 공간에 묻혀 있는 화농성 염증 조직인 고름이 모여 형성된 국소적인 집합체이며, 화농성 막으로 덮여 있다.[25] 초음파 검사는 진단에 도움이 될 수 있다.[26]농양은 새로 형성된 해부학적 공간이 아닌 기존의 해부학적 공간에 고름이 축적되는 농흉과 감별해야 한다.[29] 유사한 증상을 유발할 수 있는 다른 질환으로는 봉와직염, 피지 낭종, 괴사성 근막염 등이 있다.[4] 봉와직염은 일반적으로 발적 반응을 동반하지만, 화농성 배액은 나타나지 않는다.[20]
5. 치료
부상 부위의 농양은 항생 물질로 치료가 불가능하며, 외과적인 수술, 절개술, 소파술이 요구된다.[43] 단순한 피부 또는 연조직 농양의 표준 치료법은 절개 및 배농이다.[5] 대부분의 경우 항생제를 함께 사용하는 것은 이점이 없는 것으로 보인다.[7]
5. 1. 절개 및 배농
부상 부위의 농양은 항생 물질로 치료가 불가능하며, 외과적 중재술인 절개술 및 소파술이 요구된다.[43]단순한 피부 또는 연조직 농양의 표준 치료법은 절개 및 배농이다.[5] 대부분의 경우 항생제를 함께 사용하는 것은 이점이 없는 것으로 보인다.[7] 농양을 거즈로 채우는 것이 이점이 없음을 보여주는 증거는 소량 존재한다.[7]

농양은 이물질이 원인인지 확인하기 위해 검사해야 하며, 이물질이 원인일 경우 제거해야 할 수 있다. 이물질이 원인이 아닌 경우, 농양을 절개하고 배농하는 것이 표준 치료법이다.[5][30]
5. 2. 항생제 치료
부상 부위의 농양은 항생 물질로 치료가 불가능하며, 외과적 중재, 절개술, 소파술이 필요하다.[43] 정맥 주사 약물 사용 병력이 있는 환자의 경우, 치료 전에 바늘 조각이 없는지 확인하기 위해 엑스레이 촬영을 권장한다.[16] 이러한 환자군에서 발열이 동반되는 경우, 감염성 심내막염을 고려해야 한다.[16]단순한 피부 또는 연조직 농양의 표준 치료법은 절개 및 배농이다.[5] 대부분의 경우 항생제를 함께 사용하는 것은 이점이 없는 것으로 보인다.[7] 소량의 증거는 농양을 거즈로 채우는 것이 이점이 없음을 발견했다.[7]
대부분의 단순 피부 농양 환자는 항생제를 사용해서는 안 된다.[5] 심각한 농양, 여러 감염 부위, 빠른 질병 진행, 연조직염의 존재, 전신적인 세균성 질환을 나타내는 증상 또는 면역억제를 유발하는 건강 상태가 있는 사람에게는 표준 절개 및 배농 외에 항생제가 권장된다.[7] 매우 어리거나 나이가 많은 사람도 항생제가 필요할 수 있다.[7] 절개 및 배농만으로는 농양이 치유되지 않거나, 농양이 얼굴, 손 또는 생식기 등 배농이 어려운 부위에 있는 경우 항생제가 필요할 수 있다.[7]
항생제 치료가 필요한 농양의 경우, ''황색포도상구균'' 박테리아가 흔한 원인이며, 플루클록사실린 또는 디클록사실린과 같은 항포도상구균 항생제가 사용된다. 미국 감염병 학회는 농양 배농만으로는 지역사회 획득 메티실린 내성 ''황색포도상구균'' (MRSA)을 해결하기에 충분하지 않으며, 이러한 경우 기존 항생제가 효과가 없을 수 있다고 조언한다.[7] 지역사회 획득 MRSA에 효과적인 대체 항생제에는 클린다마이신, 독시사이클린, 미노사이클린 및 트리메토프림-설파메톡사졸이 있다.[7] 미국 응급의학회는 MRSA에 의한 일반적인 농양의 경우 표준 치료 외에 항생제 치료를 받는 것이 아무런 이점이 없다고 조언한다.[5]
표준 후속 관리를 절개 및 배농 후 제공할 수 있다면 세포 배양은 필요하지 않다.[5] 상처 배양을 수행하는 것은 치료 지침으로 사용할 수 있는 정보를 거의 제공하지 않기 때문에 불필요하다.[5]
5. 3. 기타 치료
부상 부위의 농양은 항생 물질로 치료가 불가능하며, 외과적 수술, 절개, 긁어냄 등이 필요하다.[43]단순한 피부 또는 연조직 농양의 표준 치료법은 절개 및 배농이다.[5] 대부분의 경우 항생제를 함께 사용하는 것은 이점이 없는 것으로 보인다.[7] 농양을 거즈로 채우는 것이 이점이 없다는 것을 보여주는 적은 양의 증거가 있다.[7]
북미 지역에서는 배농 후 농양 빈 공간에 보통 패킹을 시행하는데, 특수 요오드포름 처리된 천을 사용하는 경우가 많다. 이는 남아있는 삼출물을 흡수하고 중화하며, 배액을 촉진하고 조기 폐쇄를 막기 위해 시행된다. 배액을 오래 지속하는 것이 치유를 촉진한다고 여겨진다. 심장의 펌프 작용이 손상 부위 가장자리로 면역 세포와 재생 세포를 전달할 수 있지만, 농양은 본질적으로 혈관이 없는 공간이라는 가설이 있다. 패킹은 신체에서 치유에 도움이 되는 인자와 세포를 지속적으로 농양 공간으로 끌어들이는 흡수 작용을 제공한다고 여겨진다. 배출물은 이후 피부 붕대로 흡수되며, 이러한 붕대를 정기적으로 교체하여 흡수를 더욱 촉진한다. 그러나 응급 의학 문헌에 따르면 배농 후 상처, 특히 작은 상처에 패킹을 시행하는 것은 환자에게 고통을 유발하며, 재발률을 감소시키거나, 더 빠른 치유를 가져오거나, 의사 방문 횟수를 줄이지 못한다는 보고가 있다.
최근 몇몇 북미 병원에서는 표준 배액 및 상처 충전 대신 덜 침습적인 루프 배액을 선택하고 있다. 소아 환자 143명을 대상으로 한 연구에서 루프 그룹의 실패율은 1.4%인 반면, 충전 그룹은 10.5%로 보고되었다.[32] 또 다른 연구에서는 루프 그룹의 실패율이 5.5%로 보고되었다.[33]
농양을 배액한 직후에 즉시 봉합하는 것은 재발 위험을 증가시키지 않으면서 치유 속도를 높이는 것으로 보인다.[8] 이는 항문직장 농양에는 적용되지 않을 수 있는데, 항문직장 농양은 더 빨리 치유될 수 있지만, 개방해둔 경우보다 재발률이 더 높을 수 있기 때문이다.[34]
6. 예후
피부 농양은 치료를 받지 않아도 자연적으로 피부를 뚫고 나오기 때문에 사망에 이르는 경우는 드물다.[4] 뇌 농양은 치료하지 않으면 치명적일 수 있다. 치료를 받으면 사망률이 5~10%로 감소하지만, 농양이 파열되면 더 높아진다.[36]
7. 역학
피부 농양은 흔하며 최근 몇 년 동안 더 흔해졌다.[7] 위험 요인으로는 정맥 주사 약물 사용이 있으며, 사용자 중 최대 65%에서 나타난다.[9] 2005년 미국에서는 320만 명이 농양으로 응급실을 찾았다.[10] 2008년 오스트레일리아에서는 약 13,000명이 이 질병으로 입원했다.[11]
8. 사회와 문화
라틴어 의학 격언 "''고름이 있는 곳에는 배출하라''(ubi pus, ibi evacua)"는 "고름이 있는 곳에는 배출하라"는 뜻을 담고 있으며, 서양 의학 문화에서 고전적인 조언이다.[37]
주사기 교환 프로그램은 주사 약물 사용자를 대상으로 피해 감소 공중 보건 전략의 일환으로 농양 치료를 관리하거나 관련 정보를 제공하는 경우가 많다.[38][39]
9. 기타 농양
의학 사전에는 다음과 같은 종류의 농양이 나열되어 있다.[42]
참조
[1]
서적
Infectious Diseases of the Skin.
https://books.google[...]
Manson Pub.
2009
[2]
서적
Rosen's emergency medicine : concepts and clinical practice
Elsevier/Saunders
2014
[3]
서적
The encyclopedia of skin and skin disorders
https://books.google[...]
Facts on File
2007
[4]
서적
Rosen's emergency medicine : concepts and clinical practice
Elsevier/Saunders
2014
[5]
간행물
Five Things Physicians and Patients Should Question
http://www.choosingw[...]
American College of Emergency Physicians
2014-01-24
[6]
논문
Antibiotics after incision and drainage for uncomplicated skin abscesses: a clinical practice guideline
2018-02
[7]
논문
Management of skin abscesses in the era of methicillin-resistant Staphylococcus aureus
http://enotes.us/Ski[...]
2014-09-24
[8]
논문
Primary closure of cutaneous abscesses: a systematic review
http://www.emottawa.[...]
2011-05
[9]
서적
The substance abuse handbook
https://books.google[...]
Wolters Kluwer Health/Lippincott Williams & Wilkins
2007
[10]
논문
National epidemiology of cutaneous abscesses: 1996 to 2005
2009-03
[11]
논문
Increases in Australian cutaneous abscess hospitalisations: 1999-2008
2012-01
[12]
웹사이트
Skin abscess: MedlinePlus Medical Encyclopedia
https://medlineplus.[...]
2023-07-19
[13]
서적
Churchill Livingstone medical dictionary.
Churchill Livingstone
[14]
서적
Ferri's Clinical Advisor 2015 E-Book: 5 Books in 1
https://books.google[...]
Elsevier Health Sciences
2014
[15]
서적
Mastery of Surgery
https://books.google[...]
Lippincott Williams & Wilkins
2006
[16]
논문
Diagnostic and treatment options for skin and soft tissue abscesses in injecting drug users with consideration of the natural history and concomitant risk factors
2008-09
[17]
논문
Spinal subdural abscess following epidural steroid injection
2015-01
[18]
서적
The Gale Encyclopedia of Medicine
Gale Research
1999
[19]
웹사이트
Perianal Abscess
https://www.ncbi.nlm[...]
StatPearls Publishing
2024-07-28
[20]
논문
Diagnosis and Management of Postoperative Infection
http://www.glowm.com[...]
[21]
웹사이트
Intra-Abdominal Abscesses - Intra-Abdominal Abscesses
https://www.merckman[...]
2024-11-22
[22]
웹사이트
abscess
https://www.vetneuro[...]
2023-07-12
[23]
논문
A Brief Study on Abscess: A Review
https://www.easpubli[...]
[24]
웹사이트
UOTW#66 – Ultrasound of the Week
https://www.ultrasou[...]
2016-01-07
[25]
문서
Robins/8th/68
[26]
논문
In patients presenting to the emergency department with skin and soft tissue infections what is the diagnostic accuracy of point-of-care ultrasonography for the diagnosis of abscess compared to the current standard of care? A systematic review and meta-analysis
2017-01
[27]
웹사이트
Abscess
http://www.nhs.uk/Co[...]
United Kingdom National Health Service
[28]
웹사이트
Abscess
https://www.nlm.nih.[...]
[29]
웹사이트
"Abscess {{!}} Radiology Reference Article {{!}} Radiopaedia.org"
https://radiopaedia.[...]
2024-06-20
[30]
서적
Surgery: Facts and Figures
Cambridge University Press
[31]
논문
News, views, and reviews. Less may be more for MRSA: the latest on antibiotics, the utility of packing an abscess, and decolonization strategies
2014-01
[32]
논문
The LOOP technique: a novel incision and drainage technique in the treatment of skin abscesses in a pediatric ED
2015-02
[33]
논문
Incision and loop drainage: a minimally invasive technique for subcutaneous abscess management in children
2010-03
[34]
논문
Incision and drainage v. incision, curettage and suture under antibiotic cover in anorectal abscess. A randomized study with 3-year follow-up
[35]
논문
Early versus delayed appendicectomy for appendiceal phlegmon or abscess
https://pubmed.ncbi.[...]
2017-06-02
[36]
서적
StatPearls
StatPearls Publishing
2019-07-28
[37]
서적
Orbital Cellulitis
Springer International Publishing
2023
[38]
학술지
The damage done: a study of injection drug use, injection related abscesses and needle exchange regulation
2007
[39]
학술지
Abscess and self-treatment among injection drug users at four California syringe exchanges and their surrounding communities
2013-05
[40]
간행물
Abscess
Collier's New Encyclopedia
[41]
문서
Carbuncle
OED
[42]
웹사이트
Abscess
http://www.theodora.[...]
2013-01-24
[43]
서적
Oxford Handbook of Clinical Surgery
OUP
본 사이트는 AI가 위키백과와 뉴스 기사,정부 간행물,학술 논문등을 바탕으로 정보를 가공하여 제공하는 백과사전형 서비스입니다.
모든 문서는 AI에 의해 자동 생성되며, CC BY-SA 4.0 라이선스에 따라 이용할 수 있습니다.
하지만, 위키백과나 뉴스 기사 자체에 오류, 부정확한 정보, 또는 가짜 뉴스가 포함될 수 있으며, AI는 이러한 내용을 완벽하게 걸러내지 못할 수 있습니다.
따라서 제공되는 정보에 일부 오류나 편향이 있을 수 있으므로, 중요한 정보는 반드시 다른 출처를 통해 교차 검증하시기 바랍니다.
문의하기 : help@durumis.com