복수 (질병)
"오늘의AI위키"의 AI를 통해 더욱 풍부하고 폭넓은 지식 경험을 누리세요.
1. 개요
복수는 복강 내에 액체가 비정상적으로 축적되는 질환으로, 간경변, 심부전 등이 주요 원인이다. 한국에서는 간경변증이 가장 흔한 원인이며, 악성 종양, 결핵성 복막염 등도 복수를 유발할 수 있다. 복수는 복부 팽만, 호흡 곤란 등의 증상을 유발하며, 신체 검진, 초음파, 복수 천자를 통해 진단한다. 치료는 원인 질환 치료와 함께 염분 제한, 이뇨제 투여, 복수 천자 등을 시행하며, 간경변에 의한 난치성 복수는 간 이식을 고려할 수 있다.
더 읽어볼만한 페이지
- 소화계통 및 복부의 증상 및 징후 - 구토
구토는 다양한 원인으로 위장 내용물이 입을 통해 배출되는 반사 작용으로, 메스꺼움을 동반하거나 탈수와 같은 합병증을 유발할 수 있으며, 토사물의 색깔과 성분은 원인 질환 진단에 중요한 단서가 된다. - 소화계통 및 복부의 증상 및 징후 - 설사
설사는 세계보건기구(WHO) 정의에 따라 하루 세 번 이상 묽은 변을 보거나 평소보다 많은 변을 보는 상태로, 급성, 지속성, 만성으로 나뉘며, 소화흡수능력 저하, 감염, 약물 부작용 등 다양한 원인으로 발생하고, 물 같은 변, 복통, 구토, 탈수 증상을 동반하며, 위생적인 생활 습관과 수분 및 전해질 보충으로 예방 및 치료가 가능하다.
복수 (질병) | |
---|---|
일반 정보 | |
![]() | |
분야 | 소화기학 |
증상 | 복부 크기 증가, 체중 증가, 복부 불편감, 숨가쁨 |
합병증 | 자발성 세균성 복막염, 간신증후군, 낮은 혈중 나트륨 |
원인 | 간경변, 암, 심부전, 결핵, 췌장염, 간정맥 폐쇄 |
진단 및 치료 | |
진단 | 신체 검사, 초음파, CT 촬영 |
치료 | 저염식, 약물, 액체 배액 |
약물 | 스피로놀락톤, 푸로세미드 |
기타 정보 | |
발병 빈도 | 간경변 환자의 50% 이상 |
영어 | Ascites (어사이티즈), (əˈsaɪtiːz) |
그리스어 | ἀσκός (askos) |
2. 원인
복수는 간경변이나 심부전과 같이 문맥 고혈압을 동반하는 질환이나, 악성 종양, 결핵성 복막염 등에 의해 발생한다. 한국인의 경우 간경변증(60%), 악성 종양(26%), 결핵성 복막염(7%) 순으로 복수가 발생하는 것으로 알려져 있다.[37] 두 가지 이상 질환이 함께 나타나는 혼합형 복수도 약 5%를 차지한다.[38]
복수의 원인을 감별하기 위해 복수천자를 시행하여 복수를 채취하고, 세포 수 분석, 총 단백질 농도, 알부민 농도 등을 측정한다. 추가적으로 그람 염색, 포도당, 아밀라아제, 젖산탈수소효소(LDH) 농도 측정도 가능하다. 진단은 혈청-복수 알부민 기울기(SAAG)와 복수의 총 단백질 농도를 기준으로 한다.
scope="col" | | scope="col" | | SAAG (g/dL) | |
---|---|---|---|
< 1.1 | > 1.1 | ||
총 단백질 양 | < 2.5 | 신증후군 | 간경변, 알코올성 간염 |
> 2.5 | 복막암, 췌장염, 결핵성 복막염 | 우심부전, 버드-키아리 증후군, 간정맥 폐쇄 | |
문맥 고혈압은 내장 혈관 내 모세 혈관 정수압을 증가시켜 복수 발생의 주요 원인이 된다. 원인에 관계없이 복강 내 체액이 고이면 알도스테론과 같은 혈압 호르몬이 자극되어 신장에서 체액 저류가 발생한다. 교감 신경계 활성화, 레닌 생성 증가, 신장 관류 감소는 간신 증후군으로 이어질 수 있다. 또한, 복수액 내 보체와 같은 항균 인자 감소는 자발성 세균성 복막염(SBP)을 유발할 수 있다.
삼출액은 간문맥의 압력 증가로 발생하고, 삼출물은 염증이나 악성 종양으로 인해 분비되는 액체이다. 삼출물은 단백질과 젖산 탈수소 효소가 높고, pH와 포도당 수치가 낮으며, 백혈구가 많다. 반면 삼출액은 단백질이 낮고, LDH가 낮으며, pH가 높고, 포도당은 정상이며, 백혈구가 적다. 임상적으로 복수액과 혈청 알부민 농도 차이가 1 g/dL 미만이면 삼출물을 의미한다.[11]
여성의 경우 난소암 등의 가능성도 고려해야 한다.
2. 1. 낮은 SAAG (< 1.1 g/dL)
암 (전이 및 원발성 복막 암종)[9], 감염 (결핵[9] 또는 자발성 세균성 복막염), 췌장염[9], 장막염, 신증후군[9], 유전성 혈관부종[10] 등이 낮은 SAAG (1.1 g/dL 미만)의 원인이다. 삼출성 복수는 일반적으로 염분 균형 조절이나 이뇨제 치료에 반응하지 않으며,[34] 반복적인 복수 천자와 근본 원인 치료가 주된 방법이다.2. 2. 기타 원인
간경변이나 심부전 외에 드물게 나타나는 복수의 원인은 다음과 같다.[39][40][41]3. 증상
경미한 복수는 알아차리기 어렵지만, 심한 복수는 복부 팽만으로 이어진다. 복수 환자는 일반적으로 점진적인 복부의 묵직함과 압박감을 호소하며, 횡격막에 대한 기계적인 압박으로 인해 호흡 곤란을 겪는다.[8]
복수는 눕혀진 상태에서 옆구리가 튀어나오는 것을 육안으로 확인하는 것("옆구리 팽창"), "이동성 둔탁음"(환자를 옆으로 눕혔을 때 옆구리에서 나타나는 타진음의 변화) 또는 대량의 복수에서 "액체 진탕" 또는 "파동 검사"(한쪽을 두드리거나 밀면 복수를 통해 반대쪽 복부에서 느껴지는 파동이 생성됨)와 같은 신체 검사를 통해 진단된다.
복수의 근본 원인에 따라 다른 징후가 나타날 수 있다. 예를 들어, 문맥 고혈압(간 경변 또는 섬유화로 인해 발생할 수 있음) 환자는 다리 부종, 멍, 여유증, 토혈 또는 뇌병증으로 인한 정신적 변화를 호소할 수 있다. 암(복막 암종증)으로 인한 복수 환자는 만성 피로 또는 체중 감소를 호소할 수 있다. 심부전으로 인한 복수 환자는 호흡 곤란과 함께 천명음 및 운동 내성을 호소할 수 있다.
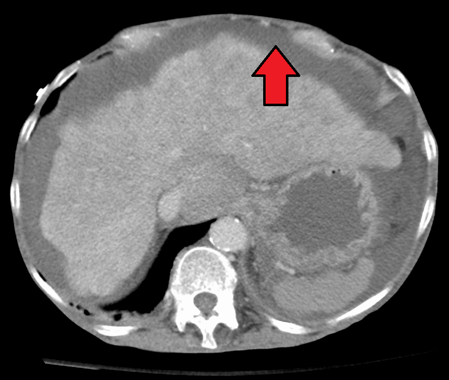
복수가 축적되면 체중 증가, 복부 팽륭, 뇨량 감소가 나타나며, 타진, 촉진상 이상 소견이 나타난다. 복부 초음파 검사나 복부 CT를 통해 진단할 수 있다.
4. 진단
복수는 신체검진이나 영상의학적 검사를 통해 진단할 수 있다. 한국인의 경우 복수의 원인으로는 간경변이 60%로 가장 많고, 악성 종양이 26%, 결핵성 복막염이 7%, 기타 질병이 8%를 차지한다.[37] 약 5%는 두 가지 이상 질환이 합병된 혼합형이다.[38]
4. 1. 신체 검진
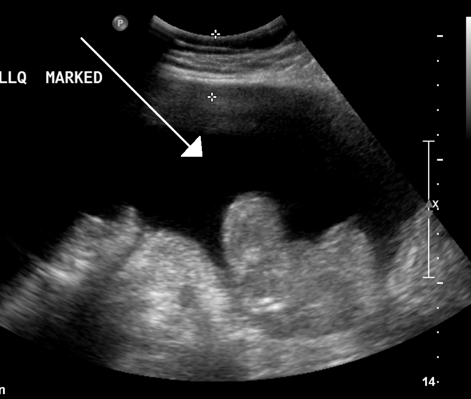
복수의 진단은 신체검진이나 영상의학적 검사를 통해서 할 수 있다. 일반적으로 신체검진 시 타진으로 평가하는 이동탁음(shifting dullness)은 500mL 이상의 복수가 있을 때 진단 가능하며, 초음파 검사는 100mL 이상의 복수가 차 있는 경우 진단 가능하다.
복수가 축적되면 체중 증가, 복부 팽륭, 뇨량 감소가 나타나며, 타진, 촉진상 이상 소견이 나타난다. 복부 초음파 검사나 복부 CT를 통해 진단할 수 있다.
4. 2. 영상 검사
초음파 검사는 100mL 이상의 복수가 차 있는 경우 진단 가능하며, 복부 장기의 크기와 모양을 보여줄 수 있고, 도플러 검사를 통해 문맥의 흐름 방향을 보여주거나 바드-키아리 증후군(간정맥 혈전증) 및 문맥 혈전증을 감지할 수 있다.[13] 초음파 검사자는 복수액의 양을 추정할 수 있으며, 배액이 어려운 복수는 초음파 유도하에 배액할 수 있다. 복부 CT 스캔은 복부 장기 구조와 형태를 파악하는 데 초음파보다 더 정확하다.[13]4. 3. 복수 천자
복수의 원인은 주로 복수천자를 시행한 후 얻어낸 복수를 추가적인 검사를 통해 감별한다. 주로 시행하는 검사는 세포 수 분석, 총 단백질 농도, 알부민 농도의 측정이며, 추가적으로 그람 염색이나 포도당, 아밀라아제, 젖산탈수소효소(LDH) 등의 농도를 측정해 볼 수 있다.[37]복수의 감별진단은 혈청-복수 알부민 기울기(serum-ascites albumin gradient, SAAG)와 복수의 총 단백질 농도의 2가지 척도를 기준으로 시행하게 된다.
scope="col" | | scope="col" | | SAAG (g/dL) | |
---|---|---|---|
<1.1 | >1.1 | ||
총 단백질 양 | <2.5 | 신증후군 | 간경변, 알코올성 간염 |
>2.5 | 복막암, 췌장염, 결핵성 복막염 | 우심부전, 버드-키아리 증후군, 간정맥 폐쇄 | |
혈청-복수 알부민 기울기(SAAG)에 따른 여출액의 병인은 다음과 같다.[39]
혈청-복수 알부민 기울기(SAAG)에 따른 삼출물의 병인은 다음과 같다.
- 암 - 10%
- 감염: 결핵 - 2% / 자발성 세균성 복막염(SBP)
- 췌장염- 1%
- 장막염
- 선천성 맥관부종[41]
그 밖의 드문 병인은 다음과 같다.
- 메이그스 증후군
- 혈관염
- 갑상선 기능 저하증
- 신장 투석
- 복막 중피종
일상적인 전혈구 계산, 기본 대사 프로필, 간 효소, 및 응고 검사를 수행해야 한다. 대부분의 전문가들은 복수가 새롭게 발생했거나 복수 환자가 병원에 입원하는 경우 진단적 복수 천자를 권장한다. 그런 다음 액체의 육안적 외관, 단백질 수치, 알부민, 및 세포 수(적혈구 및 백혈구)를 검토한다. 미생물 배양, 그람 염색, 및 세포 병리학과 같이 필요한 경우 추가 검사를 수행한다.[11]
혈청-복수 알부민 기울기(SAAG)는 복수의 원인을 파악하는 데 있어 이전의 측정 방법(삼출액 대 삼출액)보다 더 나은 판별법일 것이다.[12] 높은 기울기(> 1.1 g/dL)는 복수가 문맥 고혈압으로 인한 것임을 나타낸다. 낮은 기울기(< 1.1 g/dL)는 비문맥 고혈압성 복수를 나타낸다.[13]
초음파 검사는 복부에서 체액을 제거하기 전에 자주 시행된다. 이는 복부 장기의 크기와 모양을 보여줄 수 있으며, 도플러 검사를 통해 문맥의 흐름 방향을 보여줄 뿐만 아니라 바드-키아리 증후군 (간정맥 혈전증) 및 문맥 혈전증을 감지할 수 있다. 초음파 검사자는 또한 복수액의 양을 추정할 수 있으며, 배액이 어려운 복수는 초음파 유도하에 배액할 수 있다. 복부 CT 스캔은 복부 장기 구조와 형태를 파악하는 데 초음파보다 더 정확하다.[13]
5. 치료
간경변에 의한 복수는 심하지 않을 때 염분 섭취를 제한하고, 이뇨제 투여 및 수분 섭취를 제한하여 치료할 수 있다. 복수가 대량으로 생긴 경우에는 복수 천자를 통해 증상을 완화할 수 있다.[42] 이때 복수를 지나치게 많이 제거하면 신기능 저하가 동반될 수 있으므로, 알부민을 정맥 주사해야 한다.
반복적인 복수가 계속 발생하고 간 기능이 떨어져 있지 않다면 경경정맥 간내 문맥전신순환 지름술(TIPS)을 고려해 볼 수 있다. 삼출성 복수는 염분 균형 조절이나 이뇨제 치료에 잘 반응하지 않으며,[34] 반복적인 복수 천자와 근본 원인 치료가 주된 치료법이다.
5. 1. 내과적 치료
복수(Ascites영어)는 근본 원인을 찾는 동안 증상을 완화하고 합병증 및 진행을 예방하기 위해 일반적으로 치료한다. 경미한 복수가 있는 사람은 통원 치료를 하는 경우가 많다. 복수와 말초 부종이 모두 있는 사람은 하루 1.0kg 이하, 복수만 있는 사람은 하루 0.5kg 이하로 체중을 감량하는 것이 목표이다.[19] 복수로 인해 복부가 팽팽해지는 심한 복수가 있는 사람은 일반적으로 복수 천자를 위해 입원해야 한다.[20][21]염분 제한이 치료의 기본 개념이고, 알도스테론은 염분 보유를 증가시키는 호르몬 중 하나이므로, 알도스테론에 대항하는 약물을 찾아야 한다. 스피로노락톤(또는 트리암테렌 및 아밀로라이드와 같은 다른 원위 세뇨관 이뇨제)은 수집 세뇨관에서 알도스테론 수용체를 차단하므로 선호되는 약물이다. 이러한 선택은 무작위 대조 시험에서 확인되었다.[23] 복수 치료를 위한 이뇨제는 하루에 한 번 복용해야 한다.[24] 일반적으로 시작 용량은 경구용 스피로노락톤 100mg/일 (최대 400mg/일)이다.
스피로노락톤에 반응하는 환자는 40% 정도이다.[22] 반응하지 않는 환자의 경우, 고리 이뇨제를 추가할 수 있으며 일반적으로 푸로세미드를 40mg/일 (최대 160mg/일) 용량으로 추가하거나, 또는 부메타니드 또는 토라세미드를 추가할 수 있다. 100:40의 비율은 칼륨 불균형의 위험을 감소시킨다.[24] 환자가 이 약물을 복용하는 동안 혈청 칼륨 수치와 신장 기능을 면밀히 모니터링해야 한다.[25]
이뇨 모니터링은 매일 환자의 체중을 측정하여 할 수 있다. 복수와 말초 부종이 모두 있는 사람의 경우 하루에 1.0kg 이하, 복수만 있는 사람의 경우 하루에 0.5kg 이하의 체중 감소가 목표이다.[19] 매일 체중을 측정할 수 없는 경우, 소변 나트륨 농도를 기준으로 이뇨제를 투여할 수도 있다. 음성 나트륨 균형이 발생할 때까지 용량을 증가시킨다.[24] 무작위 소변 나트륨 대 칼륨 비율이 > 1이면 음성 균형을 예측하는 데 90%의 민감도를 보인다(> 78-mmol/일 나트륨 배설).[26]
이뇨제 저항성은 이뇨제 없이 3일 후와 80 mEq 나트륨/일 식이 요법으로 80mg의 정맥 푸로세미드를 투여하여 예측할 수 있다. 8시간 동안의 소변 나트륨 배설량이 < 50 mEq/8시간이면 저항성을 예측한다.[27]
환자가 이뇨제 요법에 대한 저항성 또는 부진한 반응을 보이는 경우, 체액 저류 및 울혈을 적절하게 조절하기 위해 초여과 또는 아쿠아페레시스가 필요할 수 있다. 이러한 기계적인 체액 제거 방법의 사용은 이뇨제 저항성이 있는 사람에게 의미 있는 임상적 이점을 가져올 수 있으며, 기존 용량의 이뇨제에 대한 반응성을 회복시킬 수 있다.[28][29]
복수의 원인이 되는 질환의 치료가 우선적으로 중요하다. 그러나 간경변이나 암성 복막염에 의한 복수는 원인 질환의 조절이 어려워 대증 요법이 주로 이루어진다. 체내의 수분을 소변으로 강제 배출하여 복수 감소를 꾀하며, 고리 이뇨제가 우선적으로 사용된다. 간경변에 의한 난치성 복수에는 칼륨 유지성 이뇨제도 함께 사용된다.
저알부민혈증 등 혈장의 교질 삼투압이 저하된 상태에서는 혈관 내로 수분을 끌어들일 수 없어 이뇨제의 효과가 나타나지 않는다. 알부민 투여를 통해 일시적으로 교질 삼투압을 상승시켜 복수를 혈관 내로 되돌릴 수 있다. 투여 시에는 반드시 이뇨제를 병용한다. 암성 복수에 대해 피시바닐 등을 복강 내에 주입하는 방법이 시도될 수 있다.
5. 2. 외과적 치료
간경변에 의한 복수의 경우, 심하지 않을 때에는 염분 섭취를 제한하고, 수분 제한 및 이뇨제 투여를 할 수 있다. 복수가 대량으로 생긴 경우에는 대량 복수 천자를 통해 증상을 완화할 수 있다.[42] 이 경우 복수를 지나치게 많이 제거하면 신기능 저하가 동반될 수 있으므로, 복수 천자와 동시에 알부민을 정맥 주사해야 한다. 반복적인 복수가 계속 발생하고 간 기능이 떨어져 있지 않다면 목정맥 경유 간속문맥 전신순환 지름술 (Transjugular intrahepatic portosystemic shunt, TIPS)을 고려해 볼 수 있다.일반적으로 복수는 근본 원인을 찾는 동안 증상을 완화하고 합병증과 진행을 예방하기 위해 치료한다. 경미한 복수가 있는 사람은 통원 치료를 하는 경우가 많다. 목표는 복수와 말초 부종이 모두 있는 사람은 하루 1.0kg 이하, 복수만 있는 사람은 하루 0.5kg 이하로 체중을 감량하는 것이다.[19] 복수로 인해 복부가 팽팽해지는 심한 복수가 있는 사람은 복수 천자를 위해 입원해야 한다.[20][21]
염분 제한은 초기 치료법으로, 환자가 염분 농도보다 더 많은 체액을 가지게 되므로 이뇨(소변 생성)를 유발한다. 염분 제한은 이러한 환자들의 약 15%에서 효과적이다.[22] 저나트륨혈증으로 혈청 나트륨 수치가 130 mmol L−1 미만으로 떨어지면 수분 제한이 필요하다.[25]
심각한(긴장성) 복수가 있는 환자의 경우, 위에 나열된 내과적 치료 외에 치료적 복수 천자술이 필요할 수 있다.[20][21] 이는 혈액 내 혈청 알부민 수치를 고갈시킬 수 있으므로, 제거된 복수의 양에 비례하여 알부민을 정맥 내로 투여한다.
내과적 치료에 반응하지 않는 복수는 간 이식의 적응증으로 간주된다. 미국에서는 MELD 점수[30]를 사용하여 이식 우선순위를 정한다.
재발성 복수를 동반한 진행성 간경변 환자 중 소수에서 문합술을 사용할 수 있다. 사용되는 일반적인 문합술은 문맥-대정맥 문합술, 복막-정맥 문합술, 경경정맥 간내 문맥-전신 문합술(TIPS)이다. 그러나 이들 중 어느 것도 기대 수명을 연장하는 것으로 나타나지 않았으며, 간 이식의 다리 역할을 하는 것으로 간주된다. 2006년 메타 분석에서는 "TIPS가 복수 제거에 [수] 복수 천자보다 더 효과적이었으며 사망률, 위장관 출혈, 감염 및 급성 신부전에서 유의미한 차이가 없었다. 그러나 TIPS 환자는 간성 뇌증이 훨씬 더 자주 발생한다."[31]라고 결론 내렸다.
난치성 또는 악성 복수 환자를 위한 또 다른 옵션은 자동 저유량 복수 펌프(Alfapump)인데, 이는 복강에서 방광으로 복수를 이동시켜 배뇨하도록 펌프를 사용하는 이식형 기기이다.[32][33]
복강 내에 관을 삽입하여 복수를 직접 제거하는 방법이다. 즉효성이 있고 효과도 크지만, 원인이 제거되지 않으면 복수는 다시 증가한다. 복수에는 알부민 등 혈장 단백질이 많이 포함되어 있으므로, 빈번한 천자 배액은 혈장 단백질의 손실을 초래하여 오히려 복수를 악화시킬 수 있다. 혈장 단백질의 손실을 막기 위해, 제거한 복수를 농축하여 다시 복강이나 정맥으로 되돌리는 경우도 있다.
간경변증이나 수술 후 림프 누출 등에서 복수를 조절하기 위해 사용된다. 또한, 암성 복막염으로 인한 암성 복수에 대해서도 완화 목적으로 사용된다.
역류 방지 밸브가 있는 카테터를 피하에 매립하는 처치가 필요하다. 복수는 복강압과 정맥압의 차이에 의해 자동으로 관류된다. 카테터 삽입 후에는 늑골 위의 피하에 매설된 펌프 챔버 부분을 피부 위에서 적절하게 펌핑하여 카테터의 폐색을 예방한다. 폐색된 경우 부분적 교환 또는 전체 교환을 검토한다.
복강-정맥 션트는 복수 중의 영양분을 버리지 않고 정맥으로 관류시키기 때문에 전해질 밸런스 개선, 신 혈류량 증가, 횡격막 거상에 의한 호흡 곤란 및 복부 팽만감 경감 등의 기대가 있다. 그러나, 복수 원액을 직접 정맥 내로 흘려 보내기 때문에 합병증이 예측된다. 생화학적 검사, 복수 검사 등의 결과에 따라 실시를 검토한다.
경피적으로 조성이 가능한 덴버 션트가 유명하다. 그 외에 외과적으로 조성하는 복수 펌프도 있다.
참조
[1]
웹사이트
Ascites ! Definition of Ascites by Lexico
https://www.lexico.c[...]
2019-10-26
[2]
웹사이트
Ascites
http://dictionary.re[...]
IAC (company)
2017-12-14
[3]
웹사이트
Ascites: background
https://emedicine.me[...]
2024-01-22
[4]
웹사이트
Ascites
https://www.ncbi.nlm[...]
2017-12-14
[5]
학술지
Management of cirrhotic ascites.
2015-05
[6]
웹사이트
Ascites - Hepatic and Biliary Disorders
http://www.merckmanu[...]
2017-12-14
[7]
학술지
Historical Aspects of Ascites and the Hepatorenal Syndrome
2021-10-29
[8]
웹사이트
Ascites
https://www.hopkinsm[...]
2021-07-01
[9]
문서
Kumar & Clark's Clinical Medicine e.8 Chapter 7: Liver, biliary tract and pancreatic disease Pg. 335
[10]
학술지
Ascites in hereditary angioedema
[11]
서적
Oxford textbook of medicine
Oxford University Press
[12]
학술지
The serum-ascites albumin gradient is superior to the exudate-transudate concept in the differential diagnosis of ascites
1992-08
[13]
웹사이트
Ascites
https://www.lecturio[...]
2021-07-01
[14]
학술지
Refractory Ascites: Pathogenesis, Clinical Impact, and Management
2009-09-01
[15]
학술지
The Management of Ascites in Cirrhosis: Report on the Consensus Conference of the International Ascites Club
[16]
학술지
Guidelines on the management of ascites in cirrhosis
https://gut.bmj.com/[...]
2006-10-01
[17]
학술지
Clinical Features of Liver Disease
https://www.scienced[...]
W.B. Saunders
2023-11-18
[18]
학술지
Ascites in cirrhosis: Relative importance of portal hypertension and hypoalbuminemia
1967-09
[19]
학술지
Compartmentalization of ascites and edema in patients with hepatic cirrhosis
[20]
학술지
Comparison of paracentesis and diuretics in the treatment of cirrhotics with tense ascites. Results of a randomized study
[21]
학술지
Repeated paracentesis and i.v. albumin infusion to treat 'tense' ascites in cirrhotic patients. A safe alternative therapy
[22]
학술지
A pathophysiological interpretation of unresponsiveness to spironolactone in a stepped-care approach to the diuretic treatment of ascites in nonazotemic cirrhotic patients
[23]
학술지
Diuresis in the ascitic patient: a randomized controlled trial of three regimens
[24]
학술지
Care of patients with ascites
[25]
학술지
Management of cirrhosis and ascites
[26]
학술지
Utility of 24-hour urine sodium collection and urine Na/K ratios in the management of patients with cirrhosis and ascites
[27]
학술지
Furosemide-induced natriuresis as a test to identify cirrhotic patients with refractory ascites
[28]
학술지
ACC/AHA 2005 Guideline Update for the Diagnosis and Management of Chronic Heart Failure in the Adult: a report of the American College of Cardiology/American Heart Association Task Force on Practice Guidelines
[29]
학술지
Heart Failure Society of America (HFSA) 2006 Comprehensive Heart Failure Practice Guideline.
[30]
학술지
New classification with prognostic value in cirrhotic patients
[31]
학술지
TIPS versus paracentesis for cirrhotic patients with refractory ascites
[32]
학술지
EASL Clinical Practice Guidelines for the management of patients with decompensated cirrhosis
2018-08
[33]
웹사이트
NICE Guidelines, UK 2018. (NICEGuidance IPG 631, replacing IPG479
https://www.nice.org[...]
2018-11-14
[34]
학술지
Evaluation and management of patients with refractory ascites
2009
[35]
서적
Die Militärischen Eide der Hethiter
Wiesbaden
[36]
저널
The Management of Ascites in Cirrhosis: Report on the Consensus Conference of the International Ascites Club
[37]
저널
천자검사를 받은 복수 환자의 원인 분석
[38]
저널
복수의 감별진단
http://www.kasl.org/[...]
2015-12-06
[39]
서적
Oxford textbook of medicine
Oxford University Press
[40]
웹인용
Ascites Tapping
http://www.patient.c[...]
2009-06-10
[41]
저널
Ascites in hereditary angioedema
[42]
저널
간경변성 복수의 치료
http://www.kasl.org/[...]
본 사이트는 AI가 위키백과와 뉴스 기사,정부 간행물,학술 논문등을 바탕으로 정보를 가공하여 제공하는 백과사전형 서비스입니다.
모든 문서는 AI에 의해 자동 생성되며, CC BY-SA 4.0 라이선스에 따라 이용할 수 있습니다.
하지만, 위키백과나 뉴스 기사 자체에 오류, 부정확한 정보, 또는 가짜 뉴스가 포함될 수 있으며, AI는 이러한 내용을 완벽하게 걸러내지 못할 수 있습니다.
따라서 제공되는 정보에 일부 오류나 편향이 있을 수 있으므로, 중요한 정보는 반드시 다른 출처를 통해 교차 검증하시기 바랍니다.
문의하기 : help@durumis.com