신경아세포종
"오늘의AI위키"의 AI를 통해 더욱 풍부하고 폭넓은 지식 경험을 누리세요.
1. 개요
신경아세포종은 주로 소아에게 발생하는 교감 신경계의 악성 종양이다. 아직 명확한 원인은 밝혀지지 않았지만, 유전자 변이와 관련이 있을 수 있으며, 종양 세포 내 MYCN 온코진의 증폭이 흔하게 나타난다. 증상은 종양의 위치와 전이 여부에 따라 다양하며, 피로, 식욕 부진, 발열 등이 나타날 수 있다. 진단은 임상 양상, 현미경 소견, 소변 또는 혈액 검사 등을 통해 이루어지며, 병기에 따라 치료 방법이 결정된다. 치료는 수술, 화학 요법, 방사선 치료, 줄기 세포 이식, 면역 치료 등을 포함하며, 예후는 병기, 연령, 유전적 특징 등에 따라 다르다.
더 읽어볼만한 페이지
- 뇌종양 - 교모세포종
교모세포종은 별아교세포에서 발생하는 악성 뇌종양으로, 빠른 증식과 다양한 유전자 변이를 보이며, IDH 야생형 종양으로 분류되고, 유전자 발현에 따라 세 가지 분자 아형으로 나뉘며, 수술, 방사선 치료, 화학 요법 등으로 치료하지만 예후가 좋지 않다. - 뇌종양 - 뇌실막세포종
뇌실막세포종은 뇌실과 척수를 덮는 뇌실막세포에서 기원하여 5세에서 35세 사이에서 주로 발생하며 뇌척수액 흐름을 막아 두통, 메스꺼움, 구토, 수두증 등을 유발하는 종양으로, 수술적 절제와 방사선 치료를 통해 치료한다. - 소아암 - 골육종
골육종은 뼈, 특히 장골의 골간단 부위에서 발생하는 악성 종양으로, 밤에 심해지는 통증, 부종, 병적 골절 등의 증상을 보이며, 유전적, 환경적 요인이 복합적으로 작용하는 것으로 추정되고, 수술 및 항암화학요법을 통해 치료하며, 예후는 병기 및 치료 반응에 따라 달라진다. - 소아암 - 망막모세포종
망막모세포종은 소아에게 주로 나타나는 악성 종양으로, RB1 또는 MYCN 유전자 돌연변이가 원인이며, 백색동공, 시력 저하, 사시 등의 증상을 보이고, 안구 적출술, 방사선 치료, 화학 요법 등으로 치료하며, 종양 위험도 분류 체계를 통해 관리된다. - 내분비 신생물 - 갑상샘암
갑상샘암은 갑상샘에 생기는 악성 종양으로, 방사선 노출, 호르몬, 가족력 등이 발병에 영향을 주며, 초기에는 증상이 없다가 진행되면 목에 혹이 만져지거나 통증, 쉰 목소리, 연하 곤란 등이 나타날 수 있고, 촉진, 초음파, 세포 검사 등으로 진단하여 수술, 방사성 요오드 치료, 호르몬 치료 등 다양한 방법으로 치료하며, 예후가 좋은 편이나 미분화암은 예후가 불량하고, 최근에는 조기 검진으로 발견율이 높아져 과잉 진단 논란이 있다. - 내분비 신생물 - 부신종양
부신종양은 부신에서 발생하는 다양한 종류의 종양을 통칭하며, 부신 피질과 수질에서 각각 다른 종류의 종양이 발생하고, 진단에는 영상 검사 및 호르몬 검사가 사용되며, 치료는 종양의 종류와 상태에 따라 수술, 약물 치료, 방사선 치료 등이 시행된다.
신경아세포종 | |
---|---|
질병 개요 | |
![]() | |
진료 분야 | 신경종양학 |
증상 | 뼈 통증, 덩어리 |
발병 시기 | 5세 미만 |
원인 | 유전자 돌연변이 |
진단 | 조직 생검 |
치료 | 관찰, 수술, 방사선, 화학 요법, 줄기 세포 이식 |
예후 | 미국 5년 생존율 ~95% (1세 미만), 68% (1–14세) |
빈도 | 어린이 7,000명 중 1명 |
사망 | 어린이 암 사망의 15% |
상세 정보 | |
관련 질병 | 과잉 진단 |
참고 문헌 |
2. 원인
신경아세포종의 원인은 아직 명확하게 밝혀지지 않았다. 대부분의 경우 산발적으로 발생하며 가족력은 없다. 약 1~2%의 사례는 가족력이 있으며, 특정 유전자 변이와 관련이 있다. 일부 가족성 신경아세포종은 역형성 림프종 키나제(`ALK`) 유전자의 드문 생식 세포 변이 때문에 발생한다.[12] `PHOX2B` 또는 `KIF1B` 유전자의 생식 세포 변이 또한 가족성 신경아세포종과 관련이 있는 것으로 알려져 있다. 신경아세포종은 신경섬유종증 1형 및 베크위드-비데만 증후군의 특징이기도 하다.
신경아세포종의 첫 번째 증상은 종종 모호하여 진단을 어렵게 만든다. 피로, 식욕 부진, 발열, 그리고 관절 통증이 흔하게 나타난다. 증상은 주요 종양 위치와 전이 여부에 따라 다르다.[7]
종양 내 `MYCN` 온코진 증폭은 신경아세포종에서 흔히 발견된다. 증폭 정도는 3~10배 또는 100~300배의 이중 분포를 보인다. 이러한 변이의 존재는 질병의 진행된 단계와 매우 관련이 깊다.[13]
신경아세포종 종양 세포 내 `LMO1` 유전자의 중복된 부분이 이 암의 공격적인 형태를 유발할 위험을 높이는 것으로 나타났다.[14]
다른 유전자들도 신경아세포종에서 예후에 영향을 줄 수 있다. 2023년에 발표된 생물정보학 연구에 따르면 `AHCY`, `DPYSL3`, 및 `NME1` 유전자가 이 질병의 예후에 영향을 줄 수 있다고 한다.[15]
신경아세포종은 `NBPF10` 유전자 내의 복제수 변이와 관련이 있으며, 이는 1q21.1 결손 증후군 또는 1q21.1 중복 증후군을 일으킨다.[16]
한 연구에 따르면 다른 유전자 하위 그룹의 신경아세포종과 달리 1p가 결손된 신경아세포종 세포에서 과도하게 발현되는 miRNA가 신경 분화와 관련된 유전자의 조절을 방해하여 신경아세포종의 발병 기전에 기여할 수 있다고 한다. 또한 miR-495가 주로 신경 분화에 관여하는 대부분의 mRNA를 표적으로 한다는 점에 주목했다.[17]
몇 가지 위험 요인이 제안되었으며, 현재 연구가 진행 중이다. 특징적인 조기 발병으로 인해 많은 연구에서 수정 전후와 임신 중의 부모 요인에 초점을 맞추고 있다. 조사된 요인으로는 직업(예: 특정 산업에서의 화학 물질 노출), 흡연, 알코올 섭취, 임신 중 약물 사용, 출산 요인이 있었지만 결과는 결정적이지 않았다.[18]
다른 연구에서는 아토피 및 생애 초기의 감염 노출,[19] 호르몬 및 불임 치료 약물 사용,[20] 그리고 산모의 염색약 사용과 관련한 가능한 연관성을 조사했다.[21][22]
3. 증상
신경아세포종은 증상이 나타나기 전에 종종 신체의 다른 부분으로 퍼지며, 모든 신경아세포종 사례의 50~60%는 전이를 동반한다.[8]
신경아세포종이 발생하는 가장 흔한 위치(즉, 원발성 종양)는 부신이다. 이는 국소 종양의 40%와 전신 질환의 60%에서 발생한다. 신경아세포종은 목에서 골반에 이르는 교감 신경계 사슬을 따라 어디에서나 발생할 수 있다. 다른 위치에서의 빈도는 다음과 같다.
위치 | 빈도 |
---|---|
목 | 1% |
흉부 | 19% |
복부(부신 외) | 30% |
골반 | 1% |
드물게는 원발성 종양을 식별할 수 없는 경우도 있다.[9]
드물지만 특징적인 증상으로는 횡단 척수병증 (종양 척수 압박, 사례의 5%), 치료 저항성 설사 (종양 혈관활성 장 펩타이드 분비, 사례의 4%), 호너 증후군 (경부 종양, 사례의 2.4%), 안구진탕근간대경련 증후군[10] 및 운동실조 (의심되는 부종양 원인, 사례의 1.3%), 그리고 고혈압 (카테콜아민 분비 또는 신동맥 압박, 사례의 1.3%) 등이 있다.[11]
4. 진단
진단은 보통 임상 양상, 현미경 소견, 그리고 기타 실험실 검사를 종합하여 수술 병리학자가 확정한다. 신경아세포종은 교감 신경계의 모든 신경 능선 요소에서 발생할 수 있다.
후각 신경아세포종이라고도 알려진 에스테지오신경아세포종은 후각 상피에서 발생하는 것으로 알려져 있으며, 그 분류는 논란의 여지가 있다. 그러나 이는 교감 신경계 악성 종양이 아니므로 에스테지오신경아세포종은 별개의 임상 실체이며 신경아세포종과 혼동해서는 안 된다.[23][24]
신경아세포종 환자의 약 90%에서 카테콜아민 또는 그 대사 산물의 수치가 소변이나 혈액에서 상승하는 것으로 나타난다. 카테콜아민과 그 대사 산물에는 도파민, 호모바닐산(HVA), 바닐릴만델산(VMA) 등이 있다.[25]
신경아세포종을 감지하는 또 다른 방법은 메타-아이오도벤질구아니딘 스캔으로, 이는 모든 신경아세포종의 90~95%에서 나타나며, 종종 "mIBG-친화적"이라고 불린다.[74] mIBG가 교감 신경 뉴런에 흡수되며 신경 전달 물질 노르에피네프린의 기능적 유사체라는 것이 그 원리이다. I-131 또는 I-123(방사성 요오드 동위원소)으로 방사성 요오드화되면, 이 질병의 진단 및 치료 반응 모니터링에 매우 적합한 방사성의약품이 된다. 반감기가 13시간인 I-123은 영상의 민감도와 품질을 위해 선호되는 동위원소이다. I-131은 반감기가 8일이며, 더 높은 용량에서는 재발성 및 난치성 신경아세포종에 대한 표적 방사선 치료법으로 효과적이다.[26] mIBG가 항상 신경아세포종에 흡수되는 것은 아니므로, 연구자들은 신경아세포종을 앓고 있는 어린이들에게 다른 유형의 핵 영상인 플루오로-데옥시-글루코스 양전자 방출 단층 촬영술, 즉 "F-FDG-PET"이 유용할 수 있는지 탐구해 왔다.[27] 증거에 따르면 mIBG가 효과가 없는 신경아세포종을 앓고 있는 어린이에게 이것을 사용하는 것이 권장될 수 있지만, 이 분야에 대한 더 많은 연구가 필요하다.[27]
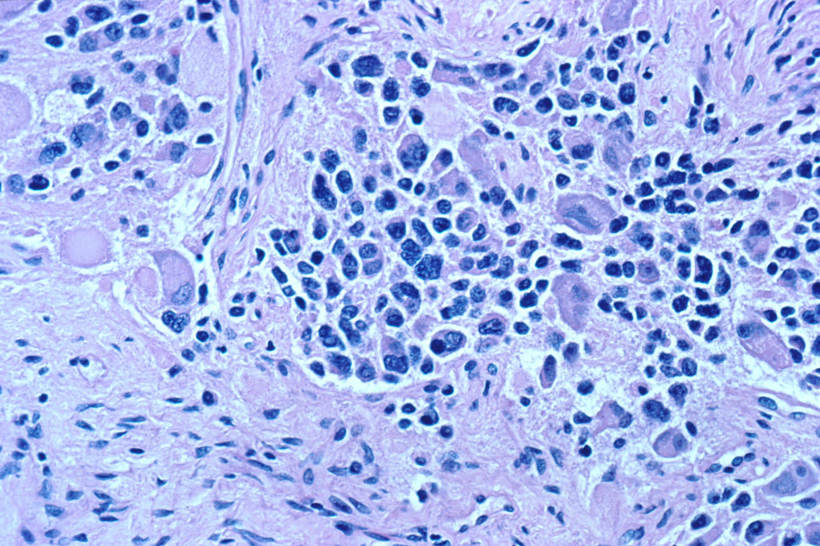
현미경 검사에서 종양 세포는 일반적으로 작고 둥글며 파란색으로 묘사되며, 로제트 패턴(호머 라이트 가성 로제트)이 보일 수 있다. 호머 라이트 가성 로제트는 신경총 주변의 종양 세포이며, 비어있는 내강 주변의 종양 세포인 진성 로제트와 혼동해서는 안 된다.[28] 또한, 교상 섬유 산성 단백질(GFAP) 양성 돌기가 혈관을 향해 가늘어지는 뇌실종(두 가지의 조합)으로 구성된 뇌실종의 가성 로제트와도 구별된다.[29] 병리학자들은 신경아세포종을 횡문근육종, 유잉 육종, 림프종 및 윌름스 종양과 같은 조직학적 모방체와 구별하기 위해 다양한 면역조직화학적 염색을 사용한다.[30]
신경아세포종은 유사한 기원을 가지고 있으며 양성 신경절신경종에서 신경아세포 세포가 혼합되거나 결절을 이루는 기질이 풍부한 신경절신경아세포종에 이르기까지, 고도로 악성인 신경아세포종에 이르기까지 광범위한 분화 패턴을 보이는 말초 신경 모세포성 종양(pNT) 중 하나이다. 치료 전 종양 병리의 이러한 구분은 연령 및 미토시스-핵분열증 지수(MKI)와 함께 중요한 예후 인자이다. 이 병리 분류 시스템(시마다 시스템)은 1999년에 설립되어 2003년에 개정된 국제 신경아세포종 병리 위원회(INPC)에서 "유리한" 종양과 "불리한" 종양을 설명한다.[31]
소변 카테콜아민 수치는 임상 전 신경아세포종에서 증가할 수 있다. 1980년대부터 일본, 캐나다, 오스트리아, 독일에서 증상이 없는 3주, 6개월, 1세 유아를 대상으로 선별검사를 실시했다.[37][38] 일본은 1984년부터 6개월 된 유아를 대상으로 호모바닐산과 바닐만델산 수치를 분석하여 신경아세포종 선별검사를 시작했다. 캐나다와 독일 연구에서 신경아세포종으로 인한 사망률 감소 효과가 없고, 오히려 치료 없이 사라질 진단을 증가시켜 해당 유아에게 불필요한 수술과 화학 요법을 받게 한다는 결과가 나오면서 2004년에 선별검사가 중단되었다.[39][40][41]
5. 병기 분류
국제 신경아세포종 병기 분류 시스템(INSS)에 따라 신경아세포종은 진단 시 해부학적 위치에 따라 다음과 같이 분류된다.[32][33][34]
- 1기: 발생 부위에 국한된 종양.
- 2A기: 불완전한 육안 절제술을 시행한 단측성 종양; 종양이 없는 것으로 확인된 동측 및 반대측 림프절.
- 2B기: 완전 또는 불완전한 육안 절제술을 시행한 단측성 종양; 종양이 있는 것으로 확인된 동측 림프절; 종양이 없는 것으로 확인된 반대측 림프절.
- 3기: 국소 림프절 침윤 유무와 관계없이, 중앙선을 침범한 종양; 또는 반대측 림프절 침윤이 있는 단측성 종양; 또는 양측 림프절 침윤이 있는 중앙선 종양.
- 4기: 4S기에 정의된 경우를 제외하고, 원격 림프절, 골수, 뼈, 간 또는 기타 장기로의 종양 전이.
- 4S기: 1세 미만으로, 1기 또는 2기에 정의된 국소 원발성 종양과 간, 피부 또는 골수로의 전이가 제한됨(핵을 가진 골수 세포의 10% 미만이 종양).
병기 분류(INSS)에 대한 국제적인 합의가 사용되어 왔지만, 연구 결과에서 유사한 환자군을 비교하기 위해 위험 할당에 대한 국제적 합의의 필요성 또한 인식되어 왔다. 2005년부터 주요 소아 종양 협력 그룹의 대표들은 1990년에서 2002년 사이에 유럽, 일본, 미국, 캐나다 및 호주에서 치료받은 8,800명의 신경아세포종 환자에 대한 데이터를 검토했다. 이 태스크 포스는 국제 신경아세포종 위험군(INRG) 분류 시스템을 제안했다. 회고적 연구에서, 이전에 고위험군으로 분류되었던 12~18개월 연령대의 높은 생존율이 밝혀졌고, N-''myc''(일반적으로 MYCN이라고 함) 증폭이 없는 12~18개월 어린이들을 중간 위험 범주로 재분류하기로 결정했다.[35]
새로운 INRG 위험 할당은 새로운 국제 신경아세포종 위험군 병기 분류 시스템(INRGSS)을 기반으로 진단 시 신경아세포종을 분류한다.
- L1기: 영상 정의 위험 요인이 없는 국소 질환.
- L2기: 영상 정의 위험 요인이 있는 국소 질환.
- M기: 전이성 질환.
- MS기: MS는 4S기와 동일한 "특별"한 전이성 질환.
새로운 위험 계층화는 새로운 INRGSS 병기 분류 시스템, 연령(18개월에서 이분화됨), 종양 등급, MYCN 증폭, 불균형 11q 이상, 그리고 배수체를 기반으로 매우 낮음, 낮음, 중간, 높음의 4가지 치료 전 위험군으로 분류될 것이다.[3][36]
6. 위험군 분류
신경아세포종의 병기는 1986년에 제정되고 1988년에 수정된 "국제 신경아세포종 병기 분류 시스템"(INSS)에 따라 분류된다.[32][33][34]
- 1기: 발생 부위에 국한된 종양.
- 2A기: 불완전한 육안 절제술을 시행한 단측성 종양. 종양이 없는 것으로 확인된 동측 및 반대측 림프절.
- 2B기: 완전 또는 불완전한 육안 절제술을 시행한 단측성 종양. 종양이 있는 것으로 확인된 동측 림프절. 종양이 없는 것으로 확인된 반대측 림프절.
- 3기: 국소 림프절 침윤 유무와 관계없이, 중앙선을 침범한 종양. 또는 반대측 림프절 침윤이 있는 단측성 종양. 또는 양측 림프절 침윤이 있는 중앙선 종양.
- 4기: 4S기에 정의된 경우를 제외하고, 원격 림프절, 골수, 뼈, 간 또는 기타 장기로의 종양 전이.
- 4S기: 1세 미만으로, 1기 또는 2기에 정의된 국소 원발성 종양과 간, 피부 또는 골수로의 전이가 제한됨(핵을 가진 골수 세포의 10% 미만이 종양).
국제적인 합의에 따라 병기 분류(INSS)가 사용되어 왔지만, 연구 결과에서 유사한 환자군을 비교하기 위해 위험 할당에 대한 국제적 합의의 필요성 또한 인식되어 왔다. 2005년부터 주요 소아 종양 협력 그룹의 대표들은 1990년에서 2002년 사이에 유럽, 일본, 미국, 캐나다 및 호주에서 치료받은 8,800명의 신경아세포종 환자에 대한 데이터를 검토하기 위해 만났다. 이 태스크 포스는 국제 신경아세포종 위험군(INRG) 분류 시스템을 제안했다. 회고적 연구에서, 이전에 고위험군으로 분류되었던 12~18개월 연령대의 높은 생존율이 밝혀졌고, MYCN 증폭이 없는 12~18개월 어린이들을 중간 위험 범주로 재분류하기로 결정했다.[35]
새로운 INRG 위험 할당은 새로운 국제 신경아세포종 위험군 병기 분류 시스템(INRGSS)을 기반으로 진단 시 신경아세포종을 분류한다.
- L1기: 영상 정의 위험 요인이 없는 국소 질환.
- L2기: 영상 정의 위험 요인이 있는 국소 질환.
- M기: 전이성 질환.
- MS기: MS는 4S기와 동일한 "특별"한 전이성 질환.
새로운 위험 계층화는 새로운 INRGSS 병기 분류 시스템, 연령(18개월에서 이분화됨), 종양 등급, MYCN 증폭, 불균형 11q 이상, 그리고 배수체를 기반으로 매우 낮음, 낮음, 중간, 높음의 4가지 치료 전 위험군으로 분류될 것이다.[3][36]
7. 치료
신경아세포종의 치료는 1986년에 제정되고 1988년에 수정된 "국제 신경아세포종 병기 분류 시스템"(INSS)에 따라 진단 시 해부학적 위치에 따라 분류된다.[32][33][34]
병기 | 설명 |
---|---|
1기 | 발생 부위에 국한된 종양. |
2A기 | 불완전한 육안 절제술을 시행한 단측성 종양; 종양이 없는 것으로 확인된 동측 및 반대측 림프절. |
2B기 | 완전 또는 불완전한 육안 절제술을 시행한 단측성 종양; 종양이 있는 것으로 확인된 동측 림프절; 종양이 없는 것으로 확인된 반대측 림프절. |
3기 | 국소 림프절 침윤 유무와 관계없이, 중앙선을 침범한 종양; 또는 반대측 림프절 침윤이 있는 단측성 종양; 또는 양측 림프절 침윤이 있는 중앙선 종양. |
4기 | 4S기에 정의된 경우를 제외하고, 원격 림프절, 골수, 뼈, 간 또는 기타 장기로의 종양 전이. |
4S기 | 1세 미만으로, 1기 또는 2기에 정의된 국소 원발성 종양과 간, 피부 또는 골수로의 전이가 제한됨(핵을 가진 골수 세포의 10% 미만이 종양). |
2005년부터 주요 소아 종양 협력 그룹의 대표들은 1990년에서 2002년 사이에 유럽, 일본, 미국, 캐나다 및 호주에서 치료받은 8,800명의 신경아세포종 환자에 대한 데이터를 검토하여 국제 신경아세포종 위험군(INRG) 분류 시스템을 제안했다. 회고적 연구에서, 이전에 고위험군으로 분류되었던 12~18개월 연령대의 높은 생존율이 밝혀졌고, N-''myc''(일반적으로 MYCN이라고도 함) 증폭이 없는 12~18개월 어린이들을 중간 위험 범주로 재분류하기로 결정했다.[35]
새로운 INRG 위험 할당은 새로운 국제 신경아세포종 위험군 병기 분류 시스템(INRGSS)을 기반으로 진단 시 신경아세포종을 분류한다.
병기 | 설명 |
---|---|
L1기 | 영상 정의 위험 요인이 없는 국소 질환. |
L2기 | 영상 정의 위험 요인이 있는 국소 질환. |
M기 | 전이성 질환. |
MS기 | 4S기와 동일한 "특별"한 전이성 질환. |
새로운 위험 계층화는 INRGSS 병기 분류 시스템, 연령(18개월에서 이분화됨), 종양 등급, N-myc 증폭, 불균형 11q 이상, 그리고 배수체를 기반으로 매우 낮음, 낮음, 중간, 높음의 4가지 치료 전 위험군으로 분류된다.[3][36]
최근에는 생존율을 90%로 유지하면서 저위험 및 중위험 신경아세포종 환자의 치료 강도를 낮추는 데 초점을 맞추고 있다.[82] 1997년부터 2005년까지 중위험 환자 467명을 대상으로 한 연구에서 양호한 특성을 가진 환자는 4주기, 불량한 특성을 가진 환자는 8주기의 화학 요법을 받았으며, 전체 환자군의 3년 무사건 생존율과 전체 생존율은 90%로 안정적이었다. 향후 1p36 또는 11q23 염색체 이상이 있는 환자, 그리고 치료에 대한 초기 반응이 없는 환자의 치료를 강화할 계획이다.[83][84]
반대로, 지난 20년 이상 동안 고위험 신경아세포종 환자의 치료 강도를 높이는 데 초점을 맞춰왔다. 화학 요법, 수술 시기, 줄기 세포 이식, 방사선 치료, 단일 클론 항체 및 레티노이드 사용 등에 대한 연구가 진행 중이다.
토포테칸과 사이클로포스파미드를 이용한 화학 요법은 불응성 환경과 재발 후에 자주 사용된다.[85]
부모에게서 유래한 공여 세포를 이용한 반일치 조혈모 세포 이식은 환자 자신의 줄기 세포가 유용하지 않은 불응성 또는 재발성 신경아세포종 환자에게 연구되고 있다.[86]
신경아세포종은 소마토스타틴 수용체의 높은 발현을 보이며[87][88][89], 이를 통해 177Lu-DOTA-TATE를 이용한 잠재적 치료가 가능하다. 고위험 불응성/재발성 신경아세포종 치료에 177Lu-DOTA-TATE를 사용한 여러 초기 단계 임상 시험이 실시되었으며, 유망한 결과를 얻었다.[90][91][92]
7. 1. 치료 약물
18개월 이상 된 진행성 질환을 가진 어린이는 공격적인 다중 치료법(집중적인 화학 요법, 수술, 방사선 치료, 줄기 세포 이식, 분화제 이소트레티노인(13-''시스''-레티노산이라고도 함), 항-GD2 단일클론 항체 치료법(GD2 단일클론 항체 치료법인 디누툭시맙))에도 불구하고 장기 생존율이 낮다.[42]위험군 할당(저위험, 중위험, 고위험)을 위한 기준에는 개인의 연령, 질병 확산 정도, 현미경적 외관, DNA 배수성 및 N-myc 종양 유전자 증폭(N-myc는 microRNA를 조절함[44])을 포함한 유전적 특징이 포함된다.[43] 신경아세포종 사례의 37%는 저위험, 18%는 중간 위험, 45%는 고위험이다.[45]
치료법은 위험 범주에 따라 다르다.
- 저위험 질환은 관찰 대기를 하거나 수술만으로 치료할 수 있다.[47]
- 중간 위험 질환은 수술 및 화학 요법으로 치료한다.[48]
- 고위험 신경아세포종은 집중적인 화학 요법, 수술, 방사선 치료, 골수 / 조혈 줄기 세포 이식,[49] 13-''시스''-레티노산(이소트레티노인)을 사용한 생물학 기반 치료법[50]과 항체 치료법(일반적으로 사이토카인 GM-CSF 및 IL-2와 함께 투여)으로 치료한다.[51]
저위험 및 중간 위험 질환 환자는 예후가 매우 좋으며(저위험 90% 이상, 중간 위험 70~90% 완치율), 고위험 신경아세포종 치료는 약 30%의 경우에서만 완치를 보였다.[53] 항체 치료법의 추가는 고위험 질환의 생존율을 상당히 높였다. GM-CSF 및 IL-2와 함께 ch14.18 항체를 투여받은 그룹은 줄기 세포 이식 후 2년 동안 66%가 생존하고 질병이 없었던 반면, 항체를 투여받지 않은 그룹에서는 46%에 불과했다(2009년 3월, 고위험 환자 226명을 대상으로 한 연구 초기 분석 결과).[54]
신경아세포종에 효과적인 화학 요법 제제는 다음과 같다.
화학 요법 제제 |
---|
시스플라틴, 카보플라틴 (백금 화합물) |
사이클로포스파미드, 이포스파미드, 멜팔란 (알킬화제) |
에토포시드 (토포이소머라제 II 억제제) |
독소루비신 (안트라사이클린 항생제) |
빈크리스틴 (빈카 알칼로이드) |
일부 새로운 요법에는 재발성 질환에 효과적인 토포이소머라제 I 억제제(토포테칸, 이리노테칸)가 포함된다.
2020년 11월, 낙시타맙은 이전 치료에 반응하지 않거나 재발했으며 이전 치료에 부분 반응, 경미한 반응 또는 안정적인 질환을 보인 골 또는 골수 내 고위험 신경아세포종이 있는 1세 이상 환자를 치료하기 위해 과립구-대식세포 콜로니 자극 인자(GM-CSF)와 병용하여 미국에서 의료용으로 승인되었다.[56][57]
8. 예후
영국 자료에 따르면 신경아세포종의 전체 5년 생존율은 67%이다.[58] 고위험군의 20~50%는 고용량 화학요법에 제대로 반응하지 않아 병이 진행되거나 치료가 어렵다.[59][60] 1차 치료 후 재발하는 경우도 많다. 새로운 약제와 병용 요법을 시험하는 임상 시험에서 추가 치료가 가능하지만, 재발성 고위험 질환의 예후는 여전히 좋지 않다.[61]
장기 생존자 대부분은 저위험 또는 중간 위험 질환을 앓았고, 고위험 질환에 비해 치료 강도가 약했다. 생존자 대다수는 치료로 인한 장기적인 후유증을 겪는다. 중간 위험 및 고위험 치료 생존자는 청력 손실, 성장 감소, 갑상선 기능 장애, 학습 장애를 겪는 경우가 많으며, 고위험 질환 생존자는 이차 암 발생 위험이 더 크다.[62][63] 소아암 생존자 3명 중 2명은 암 진단 후 20~30년 안에 최소 하나의 만성적이고 때로는 생명을 위협하는 건강 문제를 겪을 것으로 추정된다.[64][65][66]
8. 1. 세포유전학적 프로파일
493개의 신경아세포종 샘플을 대상으로 한 연구에서, 배열 기반 핵형분석으로 검사한 전체 유전체 패턴이 신경아세포종의 결과를 예측하는 인자라는 보고가 있었다.[67]- 전체 염색체 복제수 변화만 나타나는 종양은 생존율이 매우 높았다.
- 어떤 종류의 분절 염색체 복제수 변화가 나타나는 종양은 재발 위험이 높았다.
- 분절 변화를 보이는 종양 내에서 전반적인 생존율 감소의 추가적인 독립적 예측 인자는 N-myc 증폭, 1p 및 11q 결손, 1q 획득이었다.
이전 연구에서는 세포유전학적 프로파일을 기반으로 신경아세포종을 세 가지 주요 아형으로 분류했다.[68][69]
- 아형 1: 유리한 신경아세포종으로, 3배체에 가깝고 수적인 획득과 손실이 우세하며, 대부분 비전이성 NB 1, 2, 4S기에 해당한다.
- 아형 2A 및 2B: 불리한 광범위 신경아세포종, 3기 및 4기에서 발견되며, N-myc 증폭 없이 11q 손실과 17q 획득(아형 2A) 또는 N-myc 증폭과 함께 1p 결손 및 17q 획득(아형 2B)이 나타난다.
가상 핵형분석은 이러한 유전자좌에서 복제수를 평가하기 위해 신선하거나 파라핀 포매된 종양에서 수행할 수 있다. 단일 뉴클레오티드 다형성(SNP) 배열 가상 핵형분석은 신경아세포종을 포함한 종양 샘플에 선호되는데, 이는 복제수 중립적 동형접합성 상실(획득된 단일 부모 기원 이수성)을 감지할 수 있기 때문이다. 복제수 중립적 LOH는 생물학적으로 결손과 동등할 수 있으며, 신경아세포종의 핵심 유전자좌에서 감지되었다.[70] ArrayCGH, FISH 또는 일반적인 세포유전학은 복제수 중립적 LOH를 감지할 수 없다.
9. 역학
신경아세포종은 모든 소아암의 6~10%를 차지하며, 소아 암 사망의 15%를 차지한다.[71] 연간 사망률은 0~4세 어린이 그룹에서 100만 명당 10명, 4~9세 어린이 그룹에서 100만 명당 4명이다.[72]
최대 발병 연령은 생후 1년이며, 일부는 선천적이다. 연령 범위는 넓어서 나이가 많은 어린이와 성인도 포함하지만,[73] 사례의 10%만이 5세 이상에서 발생한다.[74] 대규모 유럽 연구에 따르면 4000건 이상의 신경아세포종 사례 중 2% 미만이 18세 이상이었다.[75]
10. 역사
1864년 독일 의사 루돌프 피르호는 소아의 복부 종양을 "신경교종"으로 처음 기술했다. 1891년 독일 병리학자 펠릭스 야코프 마르샹은 교감 신경계 및 부신 수질의 종양 특성을 언급했다.[76][77] 1901년 윌리엄 페퍼는 영아의 4S기(간 전이는 있으나 골 전이는 없음)의 특징적인 임상 양상을 기술했다. 1910년 제임스 호머 라이트는 종양이 원시 신경 세포에서 기원한다는 것을 이해하고 이를 신경아세포종이라고 명명했다. 그는 또한 현재 "호머 라이트 로제트"라고 불리는 골수 샘플 내 세포의 원형 덩어리를 언급했다. 참고로, "Homer-Wright"는 하이픈을 사용하는 것이 문법적으로 잘못된 표현이며, 이 명칭은 라이트 박사 한 명만을 지칭한다.[78]
11. 연구
신경아세포종 환자 유래 종양 이종 이식(PDX)은 면역 결핍 마우스에 종양 샘플을 동소 이식하여 생성되었다.[79] PDX 모델은 기존의 암 세포주 (CCL)보다 몇 가지 장점이 있다.[80] 신경아세포종 PDX는 해당 종양의 유전적 특징을 유지하며, PDX는 침윤성 성장과 원격 장기 전이를 보인다.[79] PDX 모델은 기존의 암 세포주 이종 이식에 비해 임상 결과를 더 잘 예측한다.[81] 따라서 신경아세포종 PDX는 신경아세포종에 효과적인 화합물을 식별하는 데 임상적으로 관련된 모델로 사용될 수 있다.[79]
최근 여러 국제 기구들이 신경아세포종 환자의 전자 건강 기록(Electronic health records, EHR) 데이터 공유를 위한 이니셔티브를 시작했다. 이 데이터는 머신 러닝 및 통계 모델로 분석하여 이 질병에 대한 새로운 지식을 추론할 수 있기 때문이다.
이를 위해 국제 신경아세포종 위험 그룹(INRG)은 최근 INRG 데이터 커먼즈를 공개했으며,[93] 시카고 대학교는 소아암 데이터 커먼즈를 시작했다.[94] 이 두 저장소는 과학적 연구에 사용할 수 있는 수천 명의 환자 전자 건강 기록 데이터를 포함하고 있으며, 사전 승인이 필요하다.
2022년, 연구자들은 데이터에 어떠한 제약 없이 자유롭게 다운로드할 수 있는 전자 건강 기록의 새로운 데이터 저장소인 ''신경아세포종 전자 건강 기록 오픈 데이터 저장소''를 공개했다.[95]
11. 1. 관련 단체
신경아세포종 연구 협회(ANRA)는 신경아세포종의 생물학, 진단, 예후 및 치료 분야의 연구자들을 위한 최고 기구이며, 이들 간의 정보 교환을 위해 2년마다 회의를 개최한다.[96]11. 2. 한국의 신경아세포종 연구
2009년 3월 17일부터 지바현 암센터와 지바 대학의 연계를 통한 "파이토! 소아암 프로젝트"가 세계 최대 규모의 분산 컴퓨팅 World Community Grid(BOINC)에서 시작되었다.
참조
[1]
웹사이트
Neuroblastoma Treatment
https://www.cancer.g[...]
2016-01-20
[2]
논문
Neuroblastoma arises in early fetal development and its evolutionary duration predicts outcome
2023-04-01
[3]
논문
Neuroblastoma
2007-06-01
[4]
웹사이트
Neuroblastoma Treatment
https://www.cancer.g[...]
2016-08-25
[5]
서적
World Cancer Report 2014
http://publications.[...]
World Health Organization
2014-01-01
[6]
서적
The History of Cancer: An Annotated Bibliography
https://books.google[...]
ABC-CLIO
1989-01-01
[7]
웹사이트
Neuroblastoma in children
http://www.macmillan[...]
Macmillan
2013-01-01
[8]
웹사이트
Neuroblastoma: Pediatric Cancers: Merck Manual Professional
http://www.merck.com[...]
[9]
논문
Changing trends of research and treatment in infant neuroblastoma
2007-12-01
[10]
논문
The association between neuroblastoma and opsoclonus-myoclonus syndrome: a historical review
2009-07-01
[11]
서적
Neuroblastoma
Springer-Verlag
[12]
논문
Identification of ALK as a major familial neuroblastoma predisposition gene
2008-10-01
[13]
논문
Amplification of N-myc in untreated human neuroblastomas correlates with advanced disease stage
1984-06-01
[14]
논문
Integrative genomics identifies LMO1 as a neuroblastoma oncogene
2011-01-01
[15]
논문
Signature literature review reveals ''AHCY'', ''DPYSL3'', and ''NME1'' as the most recurrent prognostic genes for neuroblastoma
2023-03-04
[16]
논문
Copy number variation at 1q21.1 associated with neuroblastoma
2009-06-01
[17]
논문
Chromosome 1p status in neuroblastoma correlates with higher expression levels of miRNAs targeting neuronal differentiation pathway
https://link.springe[...]
2023-02-17
[18]
서적
Neuroblastoma
Elsevier
[19]
논문
Day care, childhood infections, and risk of neuroblastoma
2004-05-01
[20]
논문
Hormone and fertility drug use and the risk of neuroblastoma: a report from the Children's Cancer Group and the Pediatric Oncology Group
1999-11-01
[21]
논문
Maternal hair dye use and risk of neuroblastoma in offspring
2005-08-01
[22]
논문
The epidemiology of neuroblastoma: a review
2009-03-01
[23]
EMedicine
Esthesioneuroblastoma
[24]
서적
Neuroblastoma
Springer-Verlag
[25]
논문
Diagnostic and prognostic impact of urinary catecholamines in neuroblastoma patients
2007-05-01
[26]
논문
MIBG and somatostatin receptor analogs in children: current concepts on diagnostic and therapeutic use
http://jnm.snmjourna[...]
2005-01-01
[27]
논문
123I-MIBG scintigraphy and 18F-FDG-PET imaging for diagnosing neuroblastoma
2015-09-01
[28]
서적
Robbins and Cotran pathologic basis of disease
Elsevier
2015-01-01
[29]
EMedicine
Ependymoma
[30]
논문
A comparative study of immunohistochemical staining for neuron-specific enolase, protein gene product 9.5 and S-100 protein in neuroblastoma, Ewing's sarcoma and other round cell tumours in children
1990-05-01
[31]
논문
Revision of the International Neuroblastoma Pathology Classification: confirmation of favorable and unfavorable prognostic subsets in ganglioneuroblastoma, nodular
2003-11-01
[32]
웹사이트
Neuroblastoma Treatment—National Cancer Institute
http://www.cancer.go[...]
1980-01-01
[33]
논문
International criteria for diagnosis, staging, and response to treatment in patients with neuroblastoma
1988-12-01
[34]
논문
Revisions of the international criteria for neuroblastoma diagnosis, staging, and response to treatment
1993-08-01
[35]
논문
Favorable prognosis for patients 12 to 18 months of age with stage 4 nonamplified MYCN neuroblastoma: a Children's Cancer Group Study
2005-09-01
[36]
논문
Update on the development of the international neuroblastoma risk group (INRG) classification schema
http://meeting.ascop[...]
[37]
논문
Screening of infants and mortality due to neuroblastoma
2002-04
[38]
논문
Children may not benefit from neuroblastoma screening at 1 year of age. Updated results of the population based controlled trial in Germany
2003-07
[39]
논문
A halt to neuroblastoma screening in Japan
2004-05
[40]
웹사이트
Neuroblastoma Screening
http://www.cancer.go[...]
National Cancer Institute
1980-01-01
[41]
웹사이트
Screen Alert: How an Ounce of RX Prevention can Cause a Pound of Hurt
http://www.slate.com[...]
Slate magazine
2006-11-28
[42]
논문
Antibody-based immunotherapy in high-risk neuroblastoma
2007-12
[43]
논문
Neuroblastoma: biological insights into a clinical enigma
2003-03
[44]
논문
MYCN regulates oncogenic MicroRNAs in neuroblastoma
2008-02
[45]
웹사이트
Translating Neuroblastoma Genomics to the Clinic—J. Maris presentation ASCO 2007
http://media.asco.or[...]
[46]
논문
Distinct evolutionary mechanisms for genomic imbalances in high-risk and low-risk neuroblastomas
2007-09
[47]
웹사이트
Neuroblastoma Treatment
http://www.cancer.go[...]
National Cancer Institute
1980-01-01
[48]
논문
Current aspects of biology, risk assessment, and treatment of neuroblastoma
1999-03
[49]
논문
Stem cell transplantation for neuroblastoma
2008-01
[50]
논문
Treatment of high-risk neuroblastoma with intensive chemotherapy, radiotherapy, autologous bone marrow transplantation, and 13-cis-retinoic acid. Children's Cancer Group
1999-10
[51]
논문
Anti-GD2 antibody with GM-CSF, interleukin-2, and isotretinoin for neuroblastoma
2010-09
[52]
논문
High-dose chemotherapy and autologous haematopoietic stem cell rescue for children with high-risk neuroblastoma
2015-10
[53]
웹사이트
Neuroblastoma Treatment
http://www.cancer.go[...]
National Cancer Institute
1980-01-01
[54]
논문
A phase III randomized trial of the chimeric anti-GD2 antibody ch14.18 with GM-CSF and IL2 as immunotherapy following dose intensive chemotherapy for high-risk neuroblastoma: Childrens Oncology Group (COG) study ANBL0032
http://meetinglibrar[...]
[55]
논문
Reactivation of the G1 enhancer landscape underlies core circuitry addiction to SWI/SNF
2023-11-23
[56]
웹사이트
Drugs Trials Snapshot: Danyelza
https://www.fda.gov/[...]
2020-11-25
[57]
웹사이트
Drug Approval Package: Danyelza
https://www.accessda[...]
2020-12-22
[58]
웹사이트
Neuroblastoma overview
https://www.children[...]
2020-07-01
[59]
논문
Reduction from seven to five cycles of intensive induction chemotherapy in children with high-risk neuroblastoma
2004-12
[60]
논문
Response and toxicity to a dose-intensive multi-agent chemotherapy induction regimen for high risk neuroblastoma (HR-NB): A Children's Oncology Group (COG A3973) study
http://meeting.ascop[...]
[61]
논문
Survival after relapse in children with solid tumors: a follow-up study from the Italian off-therapy registry
2006-10
[62]
논문
Hearing loss, quality of life, and academic problems in long-term neuroblastoma survivors: a report from the Children's Oncology Group
2007-11
[63]
논문
Long-term outcomes in children with high-risk neuroblastoma treated with autologous stem cell transplantation
2007-10
[64]
웹사이트
Childhood Cancer Survivors Face Increased Sarcoma Risk
http://consumer.heal[...]
HealthDay
2007-02-21
[65]
논문
Chronic health conditions in adult survivors of childhood cancer
2006-10
[66]
논문
Long-term outcomes in survivors of neuroblastoma: a report from the Childhood Cancer Survivor Study
2009-08
[67]
논문
Overall genomic pattern is a predictor of outcome in neuroblastoma
2009-03
[68]
논문
Unequivocal delineation of clinicogenetic subgroups and development of a new model for improved outcome prediction in neuroblastoma
https://www.zora.uzh[...]
2005-04
[69]
논문
Genome wide measurement of DNA copy number changes in neuroblastoma: dissecting amplicons and mapping losses, gains and breakpoints
[70]
논문
High-resolution array copy number analyses for detection of deletion, gain, amplification and copy-neutral LOH in primary neuroblastoma tumors: four cases of homozygous deletions of the CDKN2A gene
2008-07
[71]
문서
Data and references for pie chart are located at file description page in Wikimedia Commons.
https://commons.wiki[...]
[72]
서적
Principles and Practice of Pediatric Oncology
Wolters Kluwer Health/Lippincott Williams & Wilkins
[73]
논문
Neuroblastoma in adults and adolescents: an indolent course with poor survival
1997-05
[74]
논문
Neuroblastoma and other neuroendocrine tumors
2007-07
[75]
논문
28 years of high-dose therapy and SCT for neuroblastoma in Europe: lessons from more than 4000 procedures
2008-06
[76]
서적
Neuroblastoma
https://books.google[...]
Springer
[77]
논문
In Situ Neuroblastomas: A Contribution to the Natural History of Neural Crest Tumors
1963-12
[78]
논문
Neuroblastoma-remembering the three physicians who described it a century ago: James Homer Wright, William Pepper, and Robert Hutchison
2009-02
[79]
논문
Neuroblastoma patient-derived orthotopic xenografts retain metastatic patterns and geno- and phenotypes of patient tumours
2015-03
[80]
논문
One mouse, one patient paradigm: New avatars of personalized cancer therapy
2014-03
[81]
논문
Patient-derived tumour xenografts as models for oncology drug development
2012-04
[82]
웹사이트
Neuroblastoma Committee—Current Focus of Research
http://www.curesearc[...]
2008-01-13
[83]
논문
Outcome after reduced chemotherapy for intermediate-risk neuroblastoma
http://meeting.ascop[...]
2010-09
[84]
논문
Outcome after reduced chemotherapy for intermediate-risk neuroblastoma
2010-09
[85]
논문
Current and future strategies for relapsed neuroblastoma: challenges on the road to precision therapy
2013-07
[86]
논문
Haploidentical Stem Cell Transplantation for Refractory/Relapsed Neuroblastoma
Elsevier BV
2018-05
[87]
논문
Differentiated expression of somatostatin receptor subtypes in experimental models and clinical neuroblastoma: Expression of Somatostatin Receptors in Neuroblastoma
https://onlinelibrar[...]
2011-04
[88]
논문
Immunohistochemical evaluation of molecular radiotherapy target expression in neuroblastoma tissue
http://pure-oai.bham[...]
2018-03-01
[89]
논문
Somatostatin receptor gene expression in neuroblastoma
https://www.scienced[...]
2000-03-17
[90]
논문
177Lu-DOTATATE molecular radiotherapy for childhood neuroblastoma
2011-07
[91]
논문
Initial Experience With Gallium-68 DOTA-Octreotate PET/CT and Peptide Receptor Radionuclide Therapy for Pediatric Patients With Refractory Metastatic Neuroblastoma
https://research.mon[...]
2016-03
[92]
논문
Phase I trial of 90Y-DOTATOC therapy in children and young adults with refractory solid tumors that express somatostatin receptors
2010-10
[93]
문서
INRG Data Commons
https://inrgdb.org/
[94]
문서
Pediatric Cancer Data Commons
https://commons.cri.[...]
[95]
간행물
A survey on publicly available open datasets derived from electronic health records (EHRs) of patients with neuroblastoma
[96]
웹사이트
Home
https://www.anrmeeti[...]
2014-04-26
[97]
웹인용
Neuroblastoma Treatment
https://www.cancer.g[...]
2016-01-20
[98]
웹인용
Neuroblastoma Treatment
https://www.cancer.g[...]
2016-08-25
[99]
서적
World Cancer Report 2014
http://publications.[...]
World Health Organization
2014
[100]
저널
Neuroblastoma
2007-06
본 사이트는 AI가 위키백과와 뉴스 기사,정부 간행물,학술 논문등을 바탕으로 정보를 가공하여 제공하는 백과사전형 서비스입니다.
모든 문서는 AI에 의해 자동 생성되며, CC BY-SA 4.0 라이선스에 따라 이용할 수 있습니다.
하지만, 위키백과나 뉴스 기사 자체에 오류, 부정확한 정보, 또는 가짜 뉴스가 포함될 수 있으며, AI는 이러한 내용을 완벽하게 걸러내지 못할 수 있습니다.
따라서 제공되는 정보에 일부 오류나 편향이 있을 수 있으므로, 중요한 정보는 반드시 다른 출처를 통해 교차 검증하시기 바랍니다.
문의하기 : help@durumis.com