연골
"오늘의AI위키"의 AI를 통해 더욱 풍부하고 폭넓은 지식 경험을 누리세요.
1. 개요
연골은 결합 조직의 일종으로, 연골 세포와 연골 기질로 구성된다. 연골 기질은 프로테오글리칸과 교원 섬유로 이루어져 있으며, 연골은 탄성, 섬유성, 유리 연골로 분류된다. 연골은 뼈와 뼈 사이에서 완충 작용을 하고 관절의 움직임을 돕는 역할을 한다. 연골은 한 번 손상되면 재생이 어렵고, 골관절염, 연골 무형성증, 추간판 탈출증과 같은 질병이 발생할 수 있다. 연골은 닭, 돼지, 소, 오징어 등 다양한 동물의 식재료로도 사용된다.
더 읽어볼만한 페이지
- 결합 조직 - 근막
근막은 근육과 장기를 지지하는 결합 조직으로, 마찰 감소, 장력 분산, 안정성 유지, 탄성 에너지 저장 및 방출 등의 역할을 하며, 근막 구획을 형성하고 관련 연구가 진행 중이다. - 결합 조직 - 뼈
뼈는 척추동물의 골격을 이루는 단단한 조직으로, 신체 지지, 장기 보호, 혈액 세포 생성, 무기질 저장 등의 기능을 수행하며, 골절, 골다공증 등 관련 질환 예방을 위해 관리가 필요하다. - 뼈대계 - 외골격
외골격은 다양한 생물에서 발견되는 외부 보호막 또는 지지 구조로, 포식 방어, 근육 부착, 탈수 방지 등의 역할을 하며, 화석 연구에 기여하고 신소재 개발에 영감을 주지만, 화석 기록 편향과 해양 환경의 영향을 받는다. - 뼈대계 - 내골격
내골격은 동물의 몸속에서 지지, 운동, 보호 기능을 하는 골격 구조로, 척삭동물, 극피동물, 해면동물 등에서 발견되며, 척삭동물의 경우 척추, 두개골 등으로 구성되고 뼈, 연골, 콜라겐 등으로 이루어질 수 있다.
연골 | |
---|---|
개요 | |
![]() | |
정의 | 동물에 존재하는 탄력 있고 매끄러운 탄성 조직 |
상세 정보 | |
전구체 | 해당 없음 |
계통 | 해당 없음 |
동맥 | 해당 없음 |
정맥 | 해당 없음 |
신경 | 해당 없음 |
림프 | 해당 없음 |
2. 구조
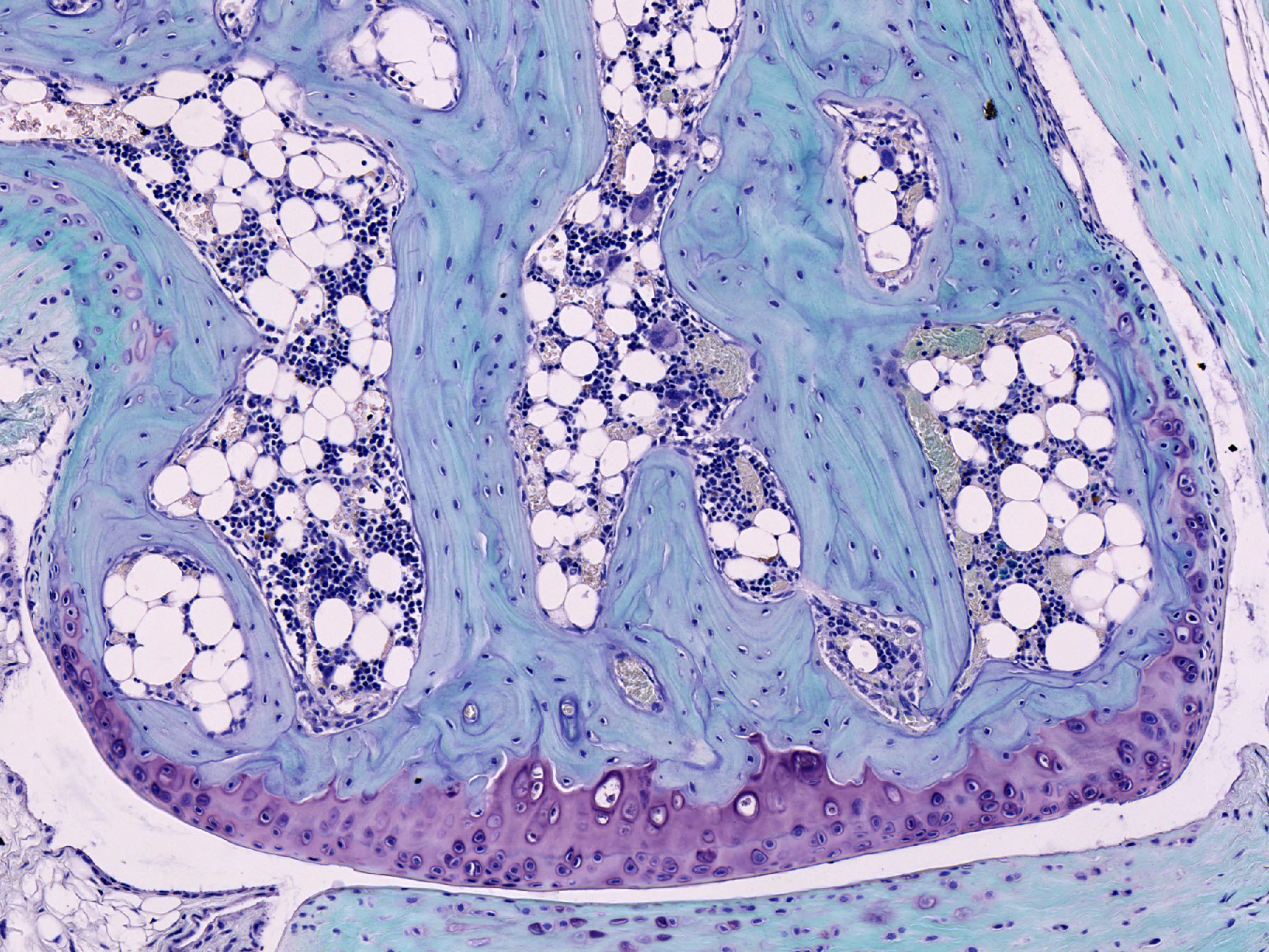
연골은 결합 조직의 일종으로, 세포 외 기질과 그 안에 점재하는 '''연골 세포'''로 구성된다. 세포 외 기질은 '''연골 기질'''이라고 불리며, 콘드로이틴 황산 등의 프로테오글리칸이 주성분이다. 콘드로이틴 황산은 다량의 음전하를 띠고 있어 나트륨 이온과 수분을 끌어당겨 연골이 풍부한 수분을 함유하도록 한다.
연골 세포는 연골 기질 속 '''연골 소강'''이라는 구멍 안에 있으며, 섬유 아세포 계통의 '''연골 모세포'''에서 분화한다. 분열 직후에는 밀집되어 있지만, 주변에 연골 기질을 분비하면서 틈새가 벌어진다. 완성된 연골에서는 하나의 연골 소강에 보통 2~3개의 세포만 존재한다.
연골은 대부분 연골막으로 싸여 있지만, 관절 연골은 예외이다. 혈관은 연골 내부로 침투하지 않으며, 연골 세포는 조직액을 통해 확산 방식으로 산소와 영양분을 공급받고 노폐물을 배출한다.
2. 1. 발생
배아 발생 과정에서 골격계는 중배엽 배엽에서 유래한다. 연골화(연골 발생이라고도 함)는 응축된 중간엽 조직에서 연골이 형성되는 과정으로, 연골모세포로 분화되어 세포 외 기질을 형성하는 분자(애그리칸 및 콜라겐 II형)를 분비하기 시작하면서 진행된다.[3][4] 모든 척추동물에서 연골은 초기 발생 단계에서 주요 골격 조직이다.[3][4] 골기어류에서는 많은 연골 요소가 이후 연골내 및 연골주위 골화를 통해 골화된다.[5]배아 발생 동안 발생하는 초기 연골화 이후, 연골 성장은 대부분 미성숙 연골이 더 성숙한 상태로 성숙되는 것으로 구성된다. 연골 내 세포 분열은 매우 느리게 일어나므로 연골의 성장은 일반적으로 연골 자체의 크기나 질량 증가에 기반하지 않는다.[6] 비코딩 RNA(예: miRNA 및 장쇄 비코딩 RNA)가 가장 중요한 후성 유전적 조절인자로서 연골 형성에 영향을 미칠 수 있다는 것이 확인되었다. 이것은 또한 관절염 등과 같은 다양한 연골 의존성 병리학적 상태에서 비코딩 RNA의 기여를 정당화한다.[7]
2. 2. 관절 연골

관절 연골의 기능은 세포외 기질(ECM)의 분자 구성에 달려 있다. 세포외 기질은 주로 프로테오글리칸과 콜라겐으로 구성된다. 연골의 주요 프로테오글리칸은 아그레칸이며, 히알루론산 및 자체와 함께 큰 응집체를 형성한다.[8] 이러한 응집체는 음전하를 띠며 조직 내에 물을 보유한다. 콜라겐(대부분 제2형 콜라겐)은 프로테오글리칸을 제한한다. 세포외 기질은 연골에서 경험하는 인장력 및 압축력에 반응한다.[9] 따라서 연골 성장은 기질 침착뿐만 아니라, 세포외 기질의 성장과 리모델링을 모두 의미한다. 슬개골의 관절 연골은 인체에서 가장 두꺼운 연골 중 하나인데, 이는 저항 무릎 신전 시 슬개대퇴관절에 큰 스트레스가 가해지기 때문이다. 관절 연골의 ECM은 세포주변 기질, 영토 기질, 그리고 영토간 기질의 세 영역으로 분류된다.
2. 3. 힘줄-뼈 경계면
연골은 하중을 지지하는 관절에서의 역할 외에도 부드러운 조직과 뼈 사이에서 기울기 물질로서 중요한 기능을 수행한다. 재료 특성이 일치하지 않는 경계면은 높은 응력 집중 영역을 유발하며, 이는 결국 파열로 이어진다. 예를 들어, 인체 뼈의 탄성 계수는 약 20GPa인 반면, 연골의 더 부드러운 영역은 약 0.5~0.9MPa이다.[16][17] 그러나 재료 특성이 부드럽게 변화하면 응력이 경계면 전체에 균등하게 분산되어 각 부분에 가해지는 마모가 줄어든다.신체는 뼈 근처에 더 단단하고 높은 계수의 층을 사용하며, 하이드록시아파타이트와 같은 광물 침전물이 고농도로 존재한다. 이 영역의 콜라겐 섬유는 뼈에 직접 고정되어 변형 가능성을 줄인다. 연골세포의 밀도가 증가하고 콜라겐 섬유가 재배열되는 조간선(tidemark) 영역에서는 응력 분산 및 낮은 마찰이 최적화된다. 관절 표면 근처의 가장 바깥쪽 층은 표층(superficial zone)으로 알려져 있으며, 주로 윤활 영역 역할을 한다. 여기서 연골은 조밀한 세포외 기질을 특징으로 하며, 충격을 완화하기 위해 물을 분산시키고 재흡수하는 프로테오글리칸이 풍부하며, 전단 저항 특성이 우수한 관절 표면에 평행하게 배열된 얇은 콜라겐이 특징이다.[18]
골관절염과 자연적인 노화는 연골 전체와 내부 재료 기울기의 적절한 기능에 모두 부정적인 영향을 미친다. 가장 초기 변화는 종종 조직의 가장 부드럽고 윤활성이 뛰어난 부분인 표층에서 발생한다. 이 층의 열화는 동일한 변형을 지원하도록 설계되지 않은 더 깊은 층에 추가적인 응력을 가할 수 있다. 노화의 또 다른 일반적인 영향은 콜라겐 섬유의 가교 결합 증가이다. 이는 전체적으로 연골을 더 단단하게 만들며, 단단한 조직이 피로 기반 파열에 더 취약하므로 다시 조기 파열로 이어질 수 있다. 석회화된 영역의 노화는 일반적으로 더 많은 수의 광물 침전물로 이어지며, 이는 유사하게 원치 않는 경화 효과를 갖는다.[19] 골관절염은 더 극심한 영향을 미치며 연골을 완전히 마모시켜 뼈와 뼈가 직접 접촉하게 할 수 있다.[20]
3. 기능
연골은 점탄성 특성을 지녀 마찰, 압축, 전단, 인장 하중에 반응하며, 이는 연골의 기계적 특성을 나타낸다.[10] 루브리신이라는 당단백질은 연골의 생체 윤활 및 마모 보호에 중요한 역할을 한다.[21]
연골은 스스로 복구하는 능력이 제한적이다. 연골 세포는 소강에 갇혀 이동할 수 없으므로 손상 부위의 치유가 어렵다. 또한, 초자 연골은 혈액 공급이 없어 기질 침착이 느리게 진행된다. 이러한 한계를 극복하기 위해 외과 의사들과 과학자들은 관절 치환술의 필요성을 늦추는 다양한 연골 복구 시술을 개발해왔다.[22] 생명공학 기술을 이용한 인공 연골 개발 연구도 활발히 진행되고 있다.[23]
3. 1. 기계적 특성
연골은 점탄성 특성을 가지며,[10] 마찰, 압축, 전단, 인장 하중에 대한 반응은 연골의 기계적 특성을 나타낸다.하중을 받는 무릎과 고관절과 같은 관절 연골의 기계적 특성은 거시, 미시 및 나노 규모에서 광범위하게 연구되어 왔다.
연골은 자유롭게 움직이는 간질액을 가지고 있어 재료 테스트가 어렵다. 이 문제를 극복하기 위해 제한된 압축 테스트가 사용되며, '크리프' 또는 '이완' 모드로 사용된다.[11][12] 크리프 모드에서는 일정한 하중 하에서 시간의 함수로 조직 변위를 측정하고, 이완 모드에서는 일정한 변위 하에서 시간의 함수로 힘을 측정한다. 크리프 모드에서 조직 변위는 처음에는 빠르게 일어나다가 느려져 결국 일정한 평형 값에 도달한다. 평형 변위에 도달하는 데는 몇 시간이 걸릴 수 있다.
제한된 압축 테스트에서 연골 디스크는 불침투성 유체 충전 용기에 넣고 간질액의 흐름을 수직 방향으로 제한하는 다공성 판으로 덮는다. 이 테스트로 연골의 집합 계수(관절 연골의 경우 0.5~0.9 MPa)[13]와 영률(0.45~0.80 MPa)을 측정할 수 있다. 집합 계수는 평형 상태에서 조직의 강성을, 영률은 주어진 응력 하에서 재료의 변형 정도를 나타낸다.
제한된 압축 테스트는 재료를 통한 유체 흐름에 대한 저항인 투과성도 측정한다. 투과성이 높을수록 유체가 빠르게 흘러나오고, 낮을수록 처음에는 빠르게 흐르다가 평형 상태로 감소한다. 관절 연골의 투과성은 10-15~10-16 m4/Ns 범위에 있지만, 하중 조건 및 테스트 위치에 따라 다르다. 관절 표면 근처에서 가장 높고 뼈 근처에서 가장 낮으며, 조직 하중이 증가하면 감소한다.
들여쓰기 테스트는 압입자(보통 <0.8 mm)를 사용하여 일정한 하중 하에서 조직의 변위를 측정하는 방법이다.[14] 이 테스트로 집합 계수, 푸아송 비, 투과성을 측정할 수 있다. 초기에는 연골이 주로 물로 구성되어 푸아송 비가 0.5이고 비압축성 재료로 모델링해야 한다는 오해가 있었지만, 후속 연구에서 이는 사실이 아님이 밝혀졌다. 관절 연골의 푸아송 비는 사람의 경우 약 0.4 이하, 소의 경우 0.46~0.5 범위이다.[15]
관절 연골의 기계적 특성은 대부분 비등방성이며, 테스트에 따라, 나이에 따라 달라질 수 있다. 또한 콜라겐-프로테오글리칸 상호 작용에 따라 달라지므로 총 물, 콜라겐, 당단백질 등의 함량에 따라 증가/감소할 수 있다. 예를 들어, 글루코사민글리칸 함량이 증가하면 압축 강성이 증가하고, 수분 함량이 증가하면 집합 계수가 낮아진다.
3. 2. 마찰 특성
루브리신은 연골과 활액에 풍부하게 존재하는 당단백질로, 연골의 생체 윤활 및 마모 보호에 중요한 역할을 한다.[21]3. 3. 복구
연골은 스스로 복구하는 능력이 제한적이다. 연골 세포(연골세포)는 소강 안에 갇혀 있어 손상된 곳으로 이동할 수 없다. 따라서 연골 손상은 치유되기 어렵다. 또한, 초자 연골은 혈액 공급이 없어 새로운 기질 침착이 느리게 진행된다. 지난 수년간, 외과 의사들과 과학자들은 관절 치환술의 필요성을 늦추는 데 도움이 되는 여러 연골 복구 시술을 개발해 왔다. 무릎 연골의 반월상 연골 파열은 종종 문제를 줄이기 위해 외과적으로 다듬을 수 있다. 손상이나 복구 시술 후 연골이 완전히 치유되는 것은 M1/M2 대식세포, 비만 세포 및 그들 사이의 상호작용과 관련된 연골 특이적 염증 때문에 방해받는다.[22]생명공학 기술은 세포 "지지체" 재료와 배양 세포를 사용하여 인공 연골을 만들기 위해 개발되고 있다.[23] 이러한 목적을 위해 냉동-해동된 PVA 하이드로겔에 대한 광범위한 연구가 수행되었다.[24] 이 겔들은 생체 적합성, 내마모성, 충격 흡수, 마찰 계수, 유연성 및 윤활 측면에서 큰 가능성을 보여주었으며, 폴리에틸렌 기반 연골보다 우수한 것으로 평가된다. PVA 하이드로겔을 토끼의 인공 반월판으로 2년간 이식한 결과, 겔이 분해, 파열 또는 특성 손실 없이 손상되지 않고 유지되었다.[24]
4. 종류
연골은 연골 기질의 성분에 따라 초자 연골(유리 연골), 섬유 연골, 탄성 연골의 세 종류로 분류된다. 이 세 종류는 엄밀하게 구분되는 것은 아니다.[8]
- 초자 연골(유리 연골): 가장 일반적인 연골로, 관절 연골, 기관 연골, 늑연골 등이 있다.[9]
- 섬유 연골: 추간판, 치골 결합, 관절 반월 등에서 발견된다.
- 탄성 연골: 이개 연골, 후두개 연골 등이 해당한다.
4. 1. 초자 연골 (유리 연골)
초자(硝子) 연골은 연골질의 수분 함유량이 많고(60-80%), 콘드로이친 황산 등으로 이루어진 콘드롬코이드를 함유하고 있어 압력에 대한 저항력이 강하다. 태아의 골격은 초자 연골로 만들어지며, 순차적으로 뼈로 변해간다. 대부분 성인이 될 때까지 골화(骨化)되지만 늑연골, 비연골, 귀 연골 등은 평생 연골로 남으며, 후두, 기관의 연골이나 관절 연골도 골화되지 않는다.[8]유리 연골은 가장 일반적인 연골로, 관절면을 덮는 관절 연골, 기관이 찌그러지지 않도록 둘러싸는 기관 연골과 갑상 연골, 흉곽의 가동 부분이 되는 늑연골 등이 있다. 유리 연골은 균질하고 무구조이며, 반투명하고 평생 유지되므로 영구 연골이라고 한다. 포유류 태아는 전신 골격이 유리 연골로 나타나 뼈로 치환되며, 출생 후 성장기에는 전신 긴 뼈에 골단 연골(성장 연골)이라 불리는 일시 연골층이 있어 성장에 맞춰 뼈로 치환된다. 이처럼 연골이 대략적인 형태를 만들고 경골로 치환되는 양식을 연골성 골화라고 한다.[9]
4. 2. 섬유 연골
추간판, 치골 결합, 관절 반월 등에서 섬유 연골이 발견된다. 또한, 통상적인 관절에서도 관절낭과 관절 연골의 이행부에서 보인다. 섬유 연골은 영구 연골이다. 연골 기질에 콜라겐을 많이 포함하는 것이 특징으로, 이 때문에 연골로서는 단단하고 강한 압력에 견딜 수 있다. 턱 관절에서 보이는 관절 원판은 섬유 연골 조직으로 간주되는 경우가 있지만, 정확히는 규칙성 밀성 결합 조직이며, 인대나 힘줄 등의 구조에 가깝고 그 안에 연골 성분은 보이지 않는다.4. 3. 탄성 연골
이개 연골이나, 음식이 기관에 들어가지 않도록 덮는 후두개 연골 등이 이에 해당한다. 탄성 연골은 영구 연골의 한 종류이다. 연골 기질에 탄성 섬유를 많이 포함하여 유리 연골이나 섬유 연골에 비해 유연하고 탄력이 있다.5. 임상적 의의
5. 1. 질병
연골은 골관절염, 연골무형성증, 늑연골염, 추간판 탈출증, 재발성 연골염 등 다양한 질병의 영향을 받을 수 있다.- 골관절염: 관절 전체의 질병이지만, 가장 영향을 많이 받는 조직 중 하나는 관절 연골이다. 뼈를 덮고 있는 연골이 얇아지고 닳아 없어지면서 운동 제한과 통증을 유발한다. 콘드로이틴 설페이트 또는 글루코사민 설페이트 보충제가 증상을 완화한다고 주장하지만, 이를 뒷받침할 만한 좋은 증거는 거의 없다.[25]
- 외상성 파열 또는 분리: 무릎 연골은 자주 손상되지만, 무릎 연골 대체 요법을 통해 부분적으로 복구될 수 있다. 운동선수가 무릎의 손상된 "연골"에 대해 이야기할 때, 그들은 관절 연골이 아닌 손상된 반월상 연골판(섬유 연골 구조)을 지칭하는 경우가 많다.
- 연골 무형성증: 유아기와 아동기 동안 긴 뼈의 골단판에서 연골세포의 증식이 감소하여 왜소증을 유발한다.
- 늑연골염: 늑골의 연골 염증으로 흉통을 유발한다.
- 추간판 탈출증: 추간판의 비대칭적 압박으로 인해 낭과 같은 디스크가 파열되어 부드러운 내용물이 탈출된다. 탈출된 디스크는 종종 인접 신경을 압박하여 요통을 유발한다.
- 재발성 연골염: 연골, 특히 코와 귀가 파괴되는 질환으로, 아마도 자가면역 질환일 것이며, 변형을 유발한다. 후두가 경직성을 잃고 붕괴되어 질식으로 사망에 이른다.
연골 조직으로 구성된 종양은 양성 종양 또는 암이 발생할 수 있다. 양성 종양은 연골종이라고 하고, 악성 종양은 연골육종이라고 한다.
5. 2. 영상
연골은 정상적인 생체 내 조건에서는 X선을 흡수하지 않지만, 활막에 염료를 주입하여 X선이 염료에 흡수되도록 할 수 있다. 그 결과 뼈와 반월판 사이의 방사선 사진 필름에 나타나는 빈 공간이 연골을 나타낸다.[27] 생체 외 X선 검사의 경우, 외부 연조직이 제거될 가능성이 높으므로, 연골과 공기의 경계가 X선의 굴절 때문에 연골의 존재를 대조하기에 충분하다.[27]
6. 계통 진화
과거에는 초기 척추동물이 연골 구조의 골격을 가졌고(연골어류), 이후에 단단한 뼈 구조의 골격으로 발전했다(경골어류)고 생각했다. 실제로 연골어류는 아가미 구조, 피부 구조, 암모니아 대사, 연골로 만들어진 골격 등 여러 면에서 경골어류보다 원시적인 특징을 가지고 있다.[1]
그러나 연골어류보다 오래된 척추동물인 판피류의 화석에서는 이미 몸 표면에 갑피(피골)가 발달되어 있어, 뼈의 기원이 연골어류보다 앞선다는 것을 알 수 있다. 이 사실은 뼈의 발생 양식을 막성골(직접 골화)과 연골성골(간접 골화) 두 가지로 나누어 설명할 수 있다. 막성골의 기원은 연골보다 앞서거나 동시대이고, 연골성골은 그 이후에 나타났다고 생각하면 된다.[1]
즉, 현재 연골어강으로 번성하고 있는 상어나 가오리 등은 이전에 판피류 등이 있었고, 그 표면을 덮고 있던 피골을 퇴화시키고 내부의 연골만을 진화시킨 생물이다. 그리고 그 분기 부근의 조상 동물로부터 체간골의 연골을 뼈로 바꿀 수 있는(연골성골화) 경골어류가 진화해 왔다는 견해가 현재 주류를 이루고 있다.[1]
7. 다른 동물
연골은 연골어류의 뼈대를 구성하는 주요 요소이며, 말굽게, 일부 연체동물(달팽이, 두족류 등), 털갯지렁이와 같은 환형동물을 포함한 일부 무척추동물에게도 발견된다.[1]
7. 1. 연골어류
연골어류는 상어, 가오리, 은상어를 포함하며, 골격이 모두 연골로 구성되어 있다.[1]7. 2. 무척추동물 연골
말굽게, 일부 연체동물(예: 바다 달팽이와 두족류), 털갯지렁이류와 같은 환형동물 등 일부 절지동물에서도 연골 조직이 발견될 수 있다.8. 식재료로서의 연골
닭의 가슴(닭가슴살)이나 무릎 연골, 돼지의 귀(미미가)나 갈비 연골(파이카), 소의 목 연골(울테, 우타고에), 오징어 연골 등은 식용으로 사용된다. 모두 오돌토돌한 식감이 특징이며, 술안주로 선호된다.
참조
[1]
논문
The basic science of articular cartilage: structure, composition, and function.
2009-11-01
[2]
서적
Vertebrate skeletal histology and paleohistology
https://books.google[...]
CRC Press
2021
[3]
논문
An Overview of the Embryonic Development of the Bony Skeleton
https://www.taylorfr[...]
CRC Press
2021
[4]
논문
An Overview of Cartilage Histology
https://www.taylorfr[...]
CRC Press
2021
[5]
논문
Evolutionary origin of endochondral ossification: the transdifferentiation hypothesis
2017-03-01
[6]
논문
Cartilage growth and remodeling: modulation of balance between proteoglycan and collagen network in vitro with beta-aminopropionitrile
https://digitalcommo[...]
2008-01-01
[7]
논문
Non-Coding RNAs in Cartilage Development: An Updated Review
2019-09-01
[8]
논문
Coexistence of Crumpling and Flat Sheet Conformations in Two-Dimensional Polymer Networks: An Understanding of Aggrecan Self-Assembly
2023-09-01
[9]
논문
Articular cartilage tensile integrity: modulation by matrix depletion is maturation-dependent
2008-06-01
[10]
논문
Viscoelastic properties of human articular cartilage
http://jap.physiolog[...]
1971-10-01
[11]
서적
Biomechanics of Cartilage
2013
[12]
논문
A Systematic Review and Guide to Mechanical Testing for Articular Cartilage Tissue Engineering
https://doi.org/10.1[...]
2019
[13]
논문
Comparison of the Equilibrium Response of Articular Cartilage in Unconfined Compression, Confined Compression and Indentation
https://doi.org/10.1[...]
2002
[14]
논문
Assessment of Native Human Articular Cartilage: A Biomechanical Protocol
https://doi.org/10.1[...]
2021
[15]
논문
Determination of Poisson's Ratio of Articular Cartilage by Indentation Using Different-Sized Indenters
https://doi.org/10.1[...]
2004
[16]
논문
Tissue Stiffness Dictates Development, Homeostasis, and Disease Progression
2015-04-27
[17]
서적
Biomechanics of Cartilage
https://web.mit.edu/[...]
MDPI
[18]
논문
Preparation and Characterization of Biomimetic Functional Scaffold with Gradient Structure for Osteochondral Defect Repair
2023-02-06
[19]
논문
Effects of aging on articular cartilage homeostasis
2012-03-28
[20]
웹사이트
Osteoarthritis
https://www.mayoclin[...]
2024-05-13
[21]
논문
The secreted glycoprotein lubricin protects cartilage surfaces and inhibits synovial cell overgrowth
2005-03-01
[22]
논문
Post-Implantation Inflammatory Responses to Xenogeneic Tissue-Engineered Cartilage Implanted in Rabbit Trachea: The Role of Cultured Chondrocytes in the Modification of Inflammation
2023
[23]
웹사이트
International Cartilage Repair Society ICRS
http://www.cartilage[...]
[24]
논문
Freeze/thawed polyvinyl alcohol hydrogels: Present, past and future
https://www.scienced[...]
2022-02-05
[25]
뉴스
Supplements for osteoarthritis 'do not work'
https://www.bbc.co.u[...]
2010-09-16
[26]
논문
Butein Activates Autophagy Through AMPK/TSC2/ULK1/mTOR Pathway to Inhibit IL-6 Expression in IL-1β Stimulated Human Chondrocytes
2018-09-05
[27]
웹사이트
Osteoarthritis
http://osteoarthriti[...]
2015-10-26
[28]
논문
The nature and significance of invertebrate cartilages revisited: distribution and histology of cartilage and cartilage-like tissues within the Metazoa
[29]
논문
The genetic program for cartilage development has deep homology within Bilateria
2016-05-01
[30]
웹사이트
Eflora – Glossary
http://eflora.librar[...]
2015-10-26
본 사이트는 AI가 위키백과와 뉴스 기사,정부 간행물,학술 논문등을 바탕으로 정보를 가공하여 제공하는 백과사전형 서비스입니다.
모든 문서는 AI에 의해 자동 생성되며, CC BY-SA 4.0 라이선스에 따라 이용할 수 있습니다.
하지만, 위키백과나 뉴스 기사 자체에 오류, 부정확한 정보, 또는 가짜 뉴스가 포함될 수 있으며, AI는 이러한 내용을 완벽하게 걸러내지 못할 수 있습니다.
따라서 제공되는 정보에 일부 오류나 편향이 있을 수 있으므로, 중요한 정보는 반드시 다른 출처를 통해 교차 검증하시기 바랍니다.
문의하기 : help@durumis.com