갈색지방조직
"오늘의AI위키"의 AI를 통해 더욱 풍부하고 폭넓은 지식 경험을 누리세요.
1. 개요
갈색 지방 조직(BAT)은 열을 생성하여 체온을 유지하는 데 중요한 역할을 하는 지방 조직의 일종이다. 영아에게는 쇄골상와, 부신, 심낭 등 여러 부위에 존재하며, 성인이 되면서 점차 감소한다. 갈색 지방 세포는 미토콘드리아와 탈공역 단백질을 통해 열을 발생시키며, 특히 신생아와 동면하는 동물에게 중요하다. 성인에게서 갈색 지방 조직은 쇄골상와, 척추 주변, 대동맥 주변 등에서 발견되며, 추위에 노출될 때 활성화된다. 최근 연구에 따르면 갈색 지방 조직의 활성화는 포도당 항상성, 인슐린 감수성, 뼈 건강을 개선하고, 죽상동맥 경화증을 예방하는 데 도움이 될 수 있다. 하지만, 다이어트 효과에 대한 의학적 근거는 부족하다.
더 읽어볼만한 페이지
- 결합 조직 - 근막
근막은 근육과 장기를 지지하는 결합 조직으로, 마찰 감소, 장력 분산, 안정성 유지, 탄성 에너지 저장 및 방출 등의 역할을 하며, 근막 구획을 형성하고 관련 연구가 진행 중이다. - 결합 조직 - 뼈
뼈는 척추동물의 골격을 이루는 단단한 조직으로, 신체 지지, 장기 보호, 혈액 세포 생성, 무기질 저장 등의 기능을 수행하며, 골절, 골다공증 등 관련 질환 예방을 위해 관리가 필요하다. - 표시 이름과 문서 제목이 같은 위키공용분류 - 라우토카
라우토카는 피지 비치레부섬 서부에 위치한 피지에서 두 번째로 큰 도시이자 서부 지방의 행정 중심지로, 사탕수수 산업이 발달하여 "설탕 도시"로 알려져 있으며, 인도에서 온 계약 노동자들의 거주와 미 해군 기지 건설의 역사를 가지고 있고, 피지 산업 생산의 상당 부분을 담당하는 주요 기관들이 위치해 있다. - 표시 이름과 문서 제목이 같은 위키공용분류 - 코코넛
코코넛은 코코넛 야자나무의 열매로 식용 및 유지로 사용되며, 조리되지 않은 과육은 100g당 354kcal의 열량을 내는 다양한 영양 성분으로 구성되어 있고, 코코넛 파우더의 식이섬유는 대부분 불용성 식이섬유인 셀룰로오스이며, 태국 일부 지역에서는 코코넛 수확에 훈련된 원숭이를 이용하는 동물 학대 문제가 있다. - 한국어 위키백과의 링크가 위키데이터와 같은 위키공용분류 - 라우토카
라우토카는 피지 비치레부섬 서부에 위치한 피지에서 두 번째로 큰 도시이자 서부 지방의 행정 중심지로, 사탕수수 산업이 발달하여 "설탕 도시"로 알려져 있으며, 인도에서 온 계약 노동자들의 거주와 미 해군 기지 건설의 역사를 가지고 있고, 피지 산업 생산의 상당 부분을 담당하는 주요 기관들이 위치해 있다. - 한국어 위키백과의 링크가 위키데이터와 같은 위키공용분류 - 코코넛
코코넛은 코코넛 야자나무의 열매로 식용 및 유지로 사용되며, 조리되지 않은 과육은 100g당 354kcal의 열량을 내는 다양한 영양 성분으로 구성되어 있고, 코코넛 파우더의 식이섬유는 대부분 불용성 식이섬유인 셀룰로오스이며, 태국 일부 지역에서는 코코넛 수확에 훈련된 원숭이를 이용하는 동물 학대 문제가 있다.
갈색지방조직 | |
---|---|
개요 | |
![]() | |
라틴어 | textus adiposus fuscus |
약어 | BAT |
전구체 | 해당 없음 |
계통 | 해당 없음 |
동맥 | 해당 없음 |
정맥 | 해당 없음 |
신경 | 해당 없음 |
림프 | 해당 없음 |
상세 정보 | |
유형 | 지방 조직 |
기능 | 열 발생 |
2. 위치 및 분류
성인의 갈색 지방 조직(BAT)은 2003년 전이성 암 감지를 위한 FDG-PET 스캔을 통해 발견되었다.[12][13] 이 스캔과 인간 부검 데이터를 통해 여러 퇴적물이 확인되었다. 영아의 갈색 지방 조직 퇴적물은 견갑골 사이, 쇄골상와, 부신, 심낭, 대동맥 주변, 췌장, 신장, 기관 주변에 분포한다.[14] 이러한 퇴적물은 성인이 되면서 점차 흰색 지방과 유사해진다. 성인의 경우, FDG-PET 스캔에서 가장 자주 감지되는 퇴적물은 쇄골상와, 척추 주변, 종격동, 대동맥 주변, 부신이다.[15][6]
과학 및 대중 문헌에서 인간의 갈색 지방은 해부학적 위치와 세포 형태에 따라 두 가지 세포 집단으로 나뉜다.
- "전형적인" 갈색 지방은 어깨뼈 사이, 신장 주변, 목, 쇄골상 영역, 척수를 따라 비교적 일관된 해부학적 위치에서 발견되는 고도로 혈관화된 퇴적물이다. 이는 두 가지 유형 중 더 작으며, 수많은 작은 지질 방울을 가지고 있다.
- 베이지색 지방은 지방 조직 전체에 분산된 아드레날린 유도 세포 유형이다. 흰색 지방보다 지질 방울 크기의 가변성이 크고, 미토콘드리아에 대한 지질 방울의 비율이 더 높아 밝은 갈색을 띤다.[18]
3. 발생
갈색 지방 세포는 배아의 중간층인 중배엽에서 유래하며, 이는 근육 세포, 지방 세포 및 연골 세포의 기원이기도 하다.
전형적인 갈색 지방 세포와 근육 세포는 모두 중배엽의 줄기 세포 집단인 축성 중배엽에서 유래하는 것으로 보인다. 둘 다 근육 형성 인자 5(Myf5) 프로모터를 활성화하는 고유한 능력을 가지고 있는데, 이는 근육 세포와 이 갈색 지방 집단에만 관련된 특징이다. 기존 백색 지방 세포와 아드레날린에 의해 유도된 갈색 지방의 전구 세포는 Myf5 프로모터를 활성화하는 능력이 없다. 지방 세포와 갈색 지방 세포는 모두 백색 지방 조직을 통과하는 혈관을 둘러싼 세포인 주변 세포에서 유래할 수 있다.[11][20] 특히, 이는 많은 조직의 발달에 관여하는 Myf5 단백질의 존재와는 다르다.
또한 전사 인자 PRDM16과 함께 배양된 근육 세포는 갈색 지방 세포로 전환되었고, PRDM16이 없는 갈색 지방 세포는 근육 세포로 전환되었다.[11]
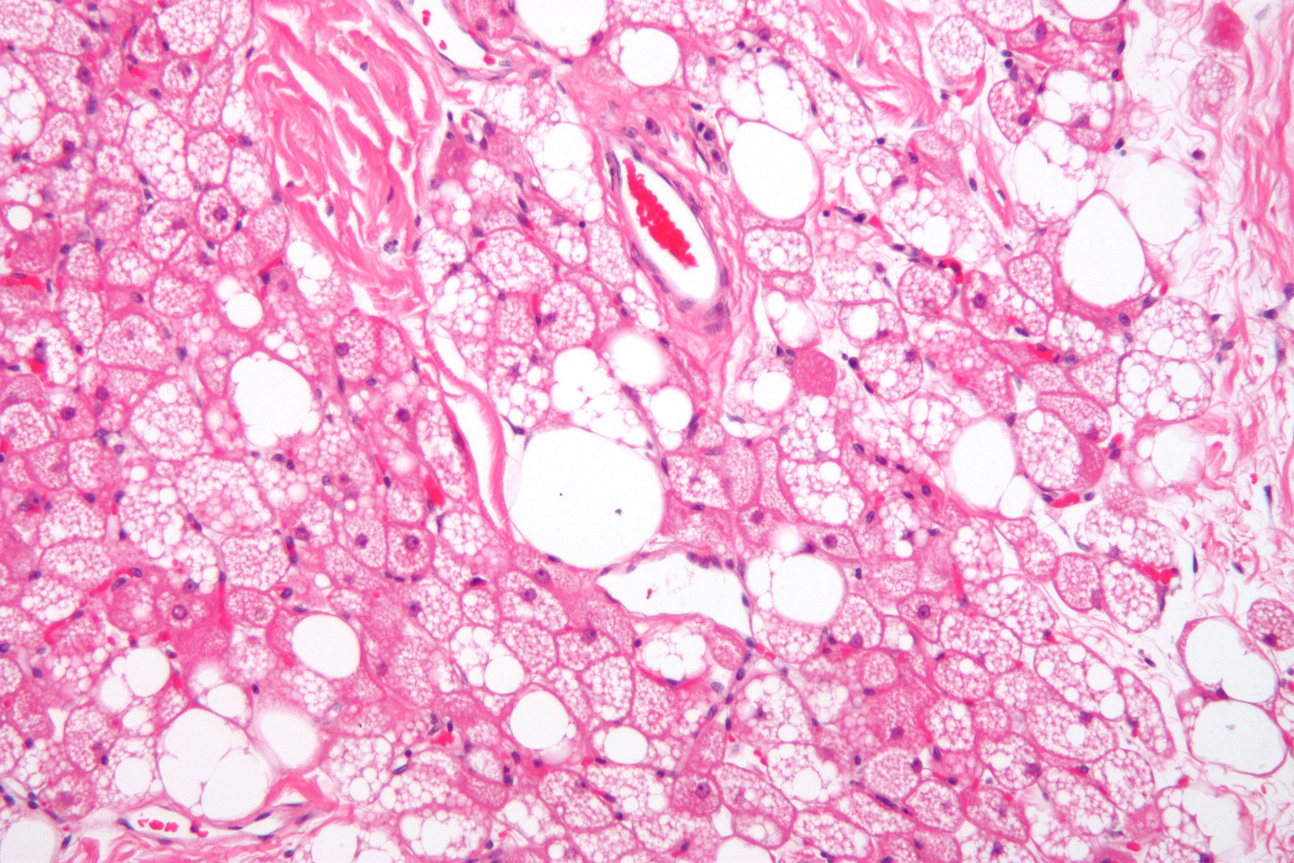
갈색지방조직은 신생아나 동면동물에게 특히 풍부하다.[67] 주요 기능은 동물과 신생아가 몸을 떨지 않고 체온을 생성하는 것이다. 단일 지방 방울이 포함된 백색 지방 세포와 대조적으로, 갈색 지방 세포는 철을 포함하고 있어 갈색을 띠며, 다수의 작은 액체 방울과 훨씬 더 많은 수의 미토콘드리아를 포함하고 있다.[68] 갈색지방조직은 대부분의 조직보다 많은 산소를 필요로 하므로, 갈색지방조직은 백색지방조직보다 더 많은 모세 혈관이 모여 있다.
노르아드레날린이 갈색 지방 세포의 β3 수용체에 결합하면 UCP1(탈공역 단백질)이 생성되어 미토콘드리아에서 탈공역이 일어나 열이 발생한다. 동물의 동면 시 자주 나타나는 운동과 관련 없는 Thermogenesis|열 발생영어 수단이다. 일본인을 포함한 황인종에서는 β3 수용체의 유전자에 유전 변이가 발생하는 경우가 많아, 열 발생이 적은 대신 칼로리를 절약하고 소비하기 어렵기 때문에, 이 변이된 유전자를 절약 유전자라고 부르기도 한다.[69]
4. 기능
진핵생물 세포 내의 미토콘드리아는 아데노신 삼인산(ATP)을 생성하기 위해 연료를 사용한다. 이 과정에는 미토콘드리아 내막을 가로지르는 양성자 구배(경사도), 즉 양성자 구동력(PMF)으로 에너지를 저장하는 것이 포함된다. 이 에너지는 양성자가 ATP 생성 효소 복합체를 통해 막을 가로질러 흐를 때(농도 구배를 따라) ATP를 합성하는 데 사용된다. 이를 화학 삼투라고 한다.
온혈동물에서 체온은 미토콘드리아에 ATP를 생성하지 않고 구배를 따라 양성자가 되돌아가도록 신호를 보내 유지된다(양성자 누출). 이는 내막에 탈공역 단백질을 통해 양성자가 돌아가는 대체 경로가 있기 때문에 발생할 수 있다. 열생성 단백질(탈공역 단백질 1)로 알려진 이 단백질은 전자 전달 사슬에 의해 미토콘드리아 기질에서 활발하게 펌핑된 후 양성자가 돌아가는 것을 촉진한다. 양성자의 이 대체 경로는 산화적 인산화를 탈공역시키며 PMF의 에너지는 대신 열로 방출된다.
온혈동물의 모든 세포는 체온이 조절 임계값 이하일 때 열을 방출하지만, 갈색 지방 조직은 이러한 비떨림 열생성에 특화되어 있다. 각 세포는 일반적인 세포에 비해 더 많은 수의 미토콘드리아를 가지고 있으며, 이러한 미토콘드리아는 내막에 정상보다 높은 농도의 열생성 단백질을 가지고 있다.
갈색지방조직은 신생아나 동면동물에게 특히 풍부하며,[67] 주요 기능은 몸을 떨지 않고 체온을 생성하는 것이다. 갈색 지방 세포는 철을 포함하여 갈색을 띠며, 다수의 작은 액체 방울과 훨씬 더 많은 수의 미토콘드리아를 포함하고 있다.[68] 갈색지방조직은 대부분의 조직보다 많은 산소를 필요로 하므로, 백색지방조직보다 더 많은 모세 혈관이 모여 있다.
노르아드레날린이 갈색 지방 세포의 β3 수용체에 결합하면 UCP1(탈공역 단백질)이 생성되어 미토콘드리아에서 탈공역이 일어나 열이 발생한다. 이는 동물의 동면 시 자주 나타나는 운동과 관련 없는 Thermogenesis|열 발생영어 수단이다. 일본인을 포함한 황인종에서는 β3 수용체의 유전자에 유전 변이가 발생하는 경우가 많아, 열 발생이 적은 대신 칼로리를 절약하고 소비하기 어렵기 때문에, 이 변이된 유전자를 절약 유전자라고 부르기도 한다.[69]
4. 1. 영아
신생아(갓 태어난 아기)의 경우, 갈색 지방은 체질량의 약 5%를 차지하며 등, 척추 상반부, 어깨 쪽 부위에 위치한다. 치명적인 추위는 미숙아에게 주요 사망 위험 요소이므로 저체온증을 피하는 것이 매우 중요하다.영아는 성인보다 추위에 더 취약한데, 그 이유는 다음과 같다.
- 체표면적(열 손실과 비례) 대 체적(열 생산과 비례)의 비율이 더 높다.
- 머리의 비례적 표면적이 더 크다.
- 근육량이 적고 몸 떨림을 할 수 없다.
- 피하 지방과 가는 체모와 같은 보온력이 부족하다(특히 조산아의 경우).
- 추운 곳, 기류 또는 열을 빼앗는 물질에서 벗어날 수 없다.
- 따뜻함을 유지하기 위한 추가적인 방법(예: 피부를 말리고, 옷을 입고, 더 따뜻한 곳으로 이동하거나, 신체 운동을 수행하는 것)을 사용할 수 없다.
- 신경계가 완전히 발달되지 않아 추위에 빠르고/또는 적절하게 반응하지 못한다(예: 피부 내부 및 바로 아래의 혈관 수축: 혈관 수축).
갈색 지방에서의 열 생산은 영아에게 열 조절의 대체 수단을 제공한다. 갈색지방조직은 신생아나 동면동물에게 특히 풍부하다.[67] 주요 기능은 동물과 신생아가 몸을 떨지 않고 체온을 생성하는 것이다. 단일 지방 방울이 포함된 백색 지방 세포와 대조적으로, 갈색 지방 세포는 철을 포함하고 있어 갈색을 띠며, 다수의 작은 액체 방울과 훨씬 더 많은 수의 미토콘드리아를 포함하고 있다.[68] 갈색지방조직은 대부분의 조직보다 많은 산소를 필요로 하므로, 갈색지방조직은 백색지방조직보다 더 많은 모세 혈관이 모여 있다.
노르아드레날린이 갈색 지방 세포의 β3 수용체에 결합하면 UCP1(탈공역 단백질)이 생성되어 미토콘드리아에서 탈공역이 일어나 열이 발생한다. 이는 동물의 동면 시 자주 나타나는 운동과 관련 없는 Thermogenesis|열 발생영어 수단이다. 일본인을 포함한 황인종에서는 β3 수용체의 유전자에 유전 변이가 발생하는 경우가 많아, 열 발생이 적은 대신 칼로리를 절약하고 소비하기 어렵기 때문에, 이 변이된 유전자를 절약 유전자라고 부르기도 한다.[69]
4. 2. 성인

영아기 이후, 갈색 지방 조직 내 대부분의 미토콘드리아는 사라져서, 이 조직은 기능과 외관상 백색 지방과 유사해진다고 알려져 있었다. 그러나 드물게 갈색 지방이 퇴행하지 않고 계속 성장하여 겨울잠종이라는 종양을 유발하기도 한다. 최근 연구에 따르면 갈색 지방은 백색 지방이 아닌 골격근과 더 관련이 있는 것으로 밝혀졌다.[21][22][23]
성인 인간을 대상으로 한 양전자 방출 단층 촬영술 연구 결과, 갈색 지방 조직은 대부분 가슴 윗부분과 목(특히 척추 옆)에 남아있는 것으로 나타났다. 이 남아있는 조직은 추위에 노출될 때 더 활발하게 대사 활동을 하며(추적자 흡수 증가), 스캔 전에 아드레날린성 베타 차단제를 투여하면 덜 보인다. 이러한 발견은 갈색 지방이 일반 지방에서 칼로리를 연소시키기 때문에 새로운 체중 감소 방법 개발 가능성을 제시한다. 실제로 과학자들은 쥐의 갈색 지방 성장을 자극하는 데 성공했다.[24][25][26][27] 그러나 APOE 녹아웃 쥐를 대상으로 한 연구에서는 추위 노출이 죽상동맥 경화증 플라크의 성장과 불안정성을 촉진할 수 있다는 결과가 나왔다.[28] 이 연구에서 쥐들은 8주 동안 4°C의 지속적인 저온에 노출되었는데, 이는 급격한 환경 변화로 인한 스트레스 상황을 유발했을 가능성이 있다. 따라서 주변 온도를 5°C~10°C 정도만 낮추는 것이 성인에게 미치는 영향을 이해하는 데 더 적합할 수 있다.
최근 여러 연구에서 인간을 포함한 다양한 종에서 추위 노출의 긍정적 효과가 보고되었다. 예를 들어, 연구자들은 "갈색 지방 조직의 활성화는 고지혈증을 개선하고 죽상동맥 경화증으로부터 보호하는 강력한 치료 방법"이라고 결론 내렸으며,[29] 갈색 지방 활성화가 혈장 트리글리세리드 및 콜레스테롤 수치를 감소시키고 식이 유도 죽상동맥 경화증 발달을 억제한다고 밝혔다.[30]
하지만 백색 지방 과다 축적과 관련된 건강 악화가 나타나기 전, 최근 인간 세대의 생활 조건에 대한 역사적 연구와 함께 성인 인간에 대한 장기적인 연구를 통해 추위 노출의 이점과 위험을 균형 있게 평가해야 한다. 한편, β3-아드레노수용체 작용제를 이용한 약리학적 접근 방식은 설치류의 갈색 지방 조직에서 포도당 대사 활성을 향상시키는 것으로 나타났다.[31][32][33]
또한, 연구를 통해 다음과 같은 사실들이 밝혀졌다.
- 갈색 지방 조직 활성화는 인간의 포도당 항상성[34] 및 인슐린 감수성을 향상시킨다.[35] 이는 인슐린 기능이 손상된 사람들에게 BAT 활성화가 도움이 될 수 있음을 시사한다. 건강한 비당뇨병성 인간에서도 약간 상승된 혈당은 눈, 힘줄, 내피/심혈관 시스템 및 뇌와 같은 여러 장기에 장기적인 손상을 유발할 수 있으며,[36][37][38] 유해한 최종 당화 산물 수치를 높인다는 연구 결과가 있어, BAT 활성화의 적용 범위가 더 넓을 수 있다.
- 갈색 지방 조직 활성화는 뼈 건강과 골밀도에 중요한 역할을 할 수 있다.[39][40]
- 추위 노출을 통한 갈색 지방 조직 활성화는 아디포넥틴 수치를 증가시킨다. 단 2시간의 추위 노출만으로도 성인 남성의 혈중 아디포넥틴이 70% 증가했다.[41] 장수 노인 (남녀 모두)과 그들의 자녀들은 아디포넥틴을 증가시키는 유전자를 가지고 있으며, 더 높은 혈중 아디포넥틴을 가지고 있어 장수와 아디포넥틴 생산 간의 연관성을 보여준다.[42] 또한, 장수 노인의 높은 혈장 아디포넥틴 농도는 유리한 대사 지표, 낮은 C-반응 단백질 및 E-셀렉틴 수치와 관련이 있었다.[43]
- 추위 노출은 혈중 아이리신을 증가시킨다.[44] 아이리신은 인슐린 감수성을 개선하고, 뼈의 질과 양을 증가시키며, 근육량 증가에 관여하고, 백색 지방을 갈색 지방으로 전환하여 비만을 줄이는 데 도움을 주어[45] 운동과 유사한 여러 이점을 제공한다.[46] 건강한 장수 노인은 혈청 아이리신 수치가 증가하는 반면, 심근 경색증 환자에서는 이 호르몬 수치가 유의하게 낮게 나타났다. 이러한 발견은 혈관 질환뿐만 아니라 수명 조절에서 아이리신의 역할에 대한 추가 연구의 필요성을 시사한다.[47]
- 섬유아세포 성장 인자 21 (FGF-21) 생산은 장수 경로로 밝혀졌다.[48] 추위 노출을 통한 BAT 활성화는 인간의 혈중 섬유아세포 성장 인자 21 (FGF21)을 37% 증가시킨다.[44] FGF21은 인슐린 감수성과 포도당 대사를 개선하여[49] 장수 증진 효과를 부분적으로 설명할 수 있다.
- 기저 환경 온도에서 HDAC3은 UCP1 발현과 PGC-1alpha의 탈아세틸화 및 활성화를 통해 급성 추위 생존을 위한 갈색 지방 열 생성 프로그램을 준비한다.[50]
- 추위 노출은 골격근과 BAT 모두에서 SIRT1 인산화/활성을 증가시켜 PGC-1alpha 및 기타 단백질 표적의 탈아세틸화를 통해 열 생성 및 인슐린 감수성을 높인다.[51] 사람의 SIRT1 수치 상승은 인간의 장수와 관련이 있다.[52] SIRT1 (및 다른 sirtuins)은 여러 대사 효과를 가지는데, 건강과 장수를 개선하는 중요한 효과는 SIRT1이 골격근에서 인슐린 감수성과 포도당 조절을 증가시키고,[53] 백색 지방의 갈변을 유발하며,[54] BAT 활성을 증가시킨다는 것이다.[55]
갈색지방조직은 신생아나 동면동물에게 특히 풍부하며,[67] 주된 기능은 동물과 신생아가 몸을 떨지 않고 체온을 생성하는 것이다. 단일 지방 방울을 포함하는 백색 지방 세포와 달리, 갈색 지방 세포는 철을 함유하여 갈색을 띠며, 다수의 작은 액체 방울과 훨씬 더 많은 수의 미토콘드리아를 포함하고 있다.[68] 갈색지방조직은 대부분의 조직보다 더 많은 산소를 필요로 하기 때문에 백색지방조직보다 더 많은 모세 혈관이 모여 있다.
노르아드레날린이 갈색 지방 세포의 β3 수용체에 결합하면 UCP1(탈공역 단백질)이 생성되어 미토콘드리아에서 탈공역이 일어나 열이 발생한다. 이는 동물의 동면 시 자주 나타나는 운동과 관련 없는 열 발생 수단이다. 일본인을 포함한 황인종에서는 β3 수용체의 유전자에 유전 변이가 발생하는 경우가 많아, 열 발생이 적은 대신 칼로리를 절약하고 소비하기 어렵기 때문에, 이 변이된 유전자를 절약 유전자라고 부르기도 한다.[69]
5. 다른 동물
견갑골 사이의 갈색 지방 조직은 흔히 '동면선'이라고 잘못 불린다.[56] 많은 사람들이 이것을 샘의 일종이라고 생각하지만, 실제로는 설치류 포유류의 견갑골 사이에 있는 지방 조직 덩어리이다.[57] 갈색 지방 조직으로 구성되어 있으며 두 개의 엽으로 나뉘고, 다양한 호르몬 생산을 조절하는 원시적인 샘과 유사하다.[58][59][60] 이 조직은 동면 동안 소비하기 위해 중간 크기 및 작은 지질 사슬을 저장하는 기능과 관련 있는 것으로 보이며, 더 작은 지질 구조는 당분해보다 빠른 에너지 생산 경로를 제공한다.
쥐의 견갑골 사이 갈색 지방 조직을 제거하는 연구에서 쥐가 정상적인 체중을 조절하는 데 어려움을 겪는다는 사실이 밝혀졌다.[60]
가장 오래 사는 소형 포유류인 박쥐(30년)와 벌거숭이두더지쥐(32년)는 모두 현저히 높은 수준의 갈색 지방 조직과 갈색 지방 조직 활동을 보인다.[61][62][63][64][65] 그러나 말, 코끼리, 바다소, 고래, 하이에락스 등 여러 계통에서는 조직의 주요 열 생성 단백질을 암호화하는 UCP1 유전자가 비활성화되었기 때문에, 갈색 지방이 많은 대형 포유류의 체온 조절에 역할을 할 가능성은 낮다. 대형 종은 표면적 대 부피 비율이 감소하여 추위에서 열 손실이 줄어들고, 체온을 유지하는 데 필요한 열 생성 요구량이 감소한다. 천산갑, 아르마딜로, 나무늘보, 개미핥기 등 다른 종에서 UCP1 유전자 소실은 낮은 신진대사율을 선호하는 선택압과 관련이 있을 수 있다.[66]
갈색지방조직은 신생아나 동면동물에게 특히 풍부하다.[67] 주요 기능은 동물과 신생아가 몸을 떨지 않고 체온을 생성하는 것이다. 단일 지방 방울이 포함된 백색 지방 세포와 달리, 갈색 지방 세포는 철을 포함하고 있어 갈색을 띠며, 다수의 작은 액체 방울과 훨씬 더 많은 수의 미토콘드리아를 포함한다.[68] 갈색지방조직은 대부분의 조직보다 많은 산소를 필요로 하므로, 백색지방조직보다 더 많은 모세 혈관이 모여 있다.
노르아드레날린이 갈색 지방 세포의 β3 수용체에 결합하면 UCP1(탈공역 단백질)이 생성되어 미토콘드리아에서 탈공역이 일어나 열이 발생한다. 이는 동물의 동면 시 자주 나타나는, 운동과 관련 없는 Thermogenesis|열 발생영어 수단이다. 일본인을 포함한 황인종에서는 β3 수용체의 유전자에 유전 변이가 발생하는 경우가 많아, 열 발생이 적은 대신 칼로리를 절약하고 소비하기 어렵기 때문에, 이 변이된 유전자를 절약 유전자라고 부르기도 한다.[69]
6. 다이어트 효과와의 연관성 (논란)
갈색 지방 조직은 나이가 들면서 감소한다. 운동이나 냉각으로 갈색 지방 조직이 많이 존재하는 부위를 자극하면 효율적인 지방 연소를 촉진하여 다이어트 효과가 있다는 설이 있지만, 의학적 근거가 부족하며 적어도 현재로서는 올바른 정보라고 할 수 없다.[70] 갈색 지방 조직이 베이지 지방 세포와 혼동되는 경우도 많다.
참조
[1]
논문
The adipose organ
2005
[2]
논문
Le recrutement et l'activation d'adipocytes bruns et/ou BRITE
https://www.medecine[...]
[3]
논문
Chronic peroxisome proliferator-activated receptor gamma (PPARgamma) activation of epididymally derived white adipocyte cultures reveals a population of thermogenically competent, UCP1-containing adipocytes molecularly distinct from classic brown adipocytes.
2010
[4]
논문
Beige adipocytes are a distinct type of thermogenic fat cell in mouse and human.
2012
[5]
논문
Developmental origin of fat: tracking obesity to its source
2007-10
[6]
논문
Unexpected evidence for active brown adipose tissue in adult humans.
2007
[7]
논문
High incidence of metabolically active brown adipose tissue in healthy adult humans: effects of cold exposure and adiposity.
2009
[8]
논문
Mechanisms of aging-related impairment of brown adipocyte development and function.
2015
[9]
논문
Studying Brown Adipose Tissue in a Human in vitro Context
2020
[10]
논문
Activation of Human Brown Adipose Tissue by Capsinoids, Catechins, Ephedrine, and Other Dietary Components: A Systematic Review
[11]
논문
The origins of brown adipose tissue
[12]
논문
Uptake in supraclavicular area fat ("USA-Fat"): description on 18F-FDG PET/CT.
http://jnm.snmjourna[...]
2003
[13]
논문
Patterns of (18)F-FDG uptake in adipose tissue and muscle: a potential source of false-positives for PET.
http://jnm.snmjourna[...]
2003
[14]
논문
The distribution of brown adipose tissue in the human.
1972
[15]
논문
Cold-activated brown adipose tissue in healthy men.
https://cris.maastri[...]
2009
[16]
논문
Genetic and functional characterization of clonally derived adult human brown adipocytes.
2015
[17]
논문
Two types of brown adipose tissue in humans.
2014
[18]
논문
Mitochondria in White, Brown, and Beige Adipocytes
2016-03-17
[19]
논문
EPAC1 enhances brown fat growth and beige adipogenesis
https://www.nature.c[...]
2024-01
[20]
논문
Two Cell Lineages, myf5 and myf5-Independent, Participate in Mouse Skeletal Myogenesis
2008-03-11
[21]
논문
Unexpected evidence for active brown adipose tissue in adult humans
2007-08
[22]
논문
Brown adipose tissue—when it pays to be inefficient
2009-04-09
[23]
뉴스
Calorie-burning fat? Studies say you have it
https://www.nytimes.[...]
The New York Times
2009-04-08
[24]
논문
Initiation of myoblast/brown fat switch through a PRDM16-C/EBP-β transcriptional complex
2009-08-27
[25]
논문
Initiation of myoblast/brown fat switch through a PRDM16-C/EBP-β transcriptional complex
2009-08
[26]
간행물
Scientists Create Energy-burning Brown Fat In Mice
https://www.scienced[...]
Science Daily
2009-07-30
[27]
웹사이트
'Good fat' could help manage type 2 diabetes
http://monash.edu/ne[...]
Monash University
2014-11-24
[28]
논문
Cold exposure promotes atherosclerotic plaque growth and instability via UCP1-dependent lipolysis
2013-07-02
[29]
논문
Brown fat activation reduces hypercholesterolaemia and protects from atherosclerosis development
2015-01-01
[30]
논문
Role of Brown Fat in Lipoprotein Metabolism and Atherosclerosis.
2016-01-08
[31]
논문
Quantitative assessment of brown adipose tissue metabolic activity and volume using 18F-FDG PET/CT and β3-adrenergic receptor activation
[32]
논문
Enhancement of (18) F-fluorodeoxyglucose metabolism in rat brain frontal cortex using a β3 adrenoceptor agonist
[33]
논문
Adrenergic pathway activation enhances brown adipose tissue metabolism: A 18FFDG PET/CT study in mice
[34]
논문
Brown adipose tissue regulates glucose homeostasis and insulin sensitivity
2013-01-02
[35]
논문
Brown Adipose Tissue Improves Whole Body Glucose Homeostasis and Insulin Sensitivity in Humans
2014-07-23
[36]
논문
Fasting blood glucose: an underestimated risk factor for cardiovascular death. Results from a 22-year follow-up of healthy nondiabetic men
1999-01-01
[37]
서적
Metabolic Influences on Risk for Tendon Disorders
2016-01-01
[38]
논문
Higher normal fasting plasma glucose is associated with hippocampal atrophy The PATH Study
2012-09-04
[39]
논문
The "Skinny" on brown fat, obesity, and bone
https://deepblue.lib[...]
2015-02-01
[40]
논문
Cold-activated brown adipose tissue is an independent predictor of higher bone mineral density in women
2013-04-01
[41]
논문
Cold exposure increases adiponectin levels in men
2009-04-01
[42]
논문
Adiponectin levels and genotype: a potential regulator of life span in humans
2008-05-01
[43]
논문
High adiponectin concentration and its role for longevity in female centenarians
https://www.research[...]
2006-02-27
[44]
논문
Irisin and FGF21 are cold-induced endocrine activators of brown fat function in humans
2014-02-04
[45]
논문
The myokine irisin increases cortical bone mass
2015-09-29
[46]
웹사이트
Newly Discovered Hormone Boosts Effects of Exercise, Could Help Fend Off Diabetes
http://blogs.scienti[...]
2016-09-02
[47]
논문
Serum irisin levels, precocious myocardial infarction, and healthy exceptional longevity
2014-09-01
[48]
논문
The starvation hormone, fibroblast growth factor-21, extends lifespan in mice
2012-01-01
[49]
논문
Cellular mechanisms by which FGF21 improves insulin sensitivity in male mice
2013-09-01
[50]
논문
Histone deacetylase 3 prepares brown adipose tissue for acute thermogenic challenge
2017-06-01
[51]
논문
The cAMP/PKA pathway rapidly activates SIRT1 to promote fatty acid oxidation independently of changes in NAD+
2011-12-23
[52]
논문
A remarkable age-related increase in SIRT1 protein expression against oxidative stress in elderly: SIRT1 gene variants and longevity in human
2015-01-01
[53]
논문
Sirt1 enhances skeletal muscle insulin sensitivity in mice during caloric restriction
2011-11-01
[54]
논문
Brown remodeling of white adipose tissue by SirT1-dependent deacetylation of Pparγ
2012-08-03
[55]
논문
SIRT1 enhances glucose tolerance by potentiating brown adipose tissue function
2015-02-01
[56]
논문
The so-called hibernating gland in mammals: A form of adipose tissue
[57]
웹사이트
Brown adipose tissue
http://www.vivo.colo[...]
2002-08-08
[58]
논문
The pre- and postnatal development and ageing of interscapular brown adipose tissue in the rat
1985-12-01
[59]
서적
Handbook of Physiology
American Physiological Society
[60]
논문
The effect of interscapular brown adipose tissue removal on body-weight and cold response in the mouse
[61]
논문
Being cool: how body temperature influences ageing and longevity
2015-08-01
[62]
논문
Thermogenic changes with chronic cold exposure in the naked mole-rat (''Heterocephalus glaber'')
2002-11-01
[63]
논문
Catecholaminergic innervation of interscapular brown adipose tissue in the naked mole-rat (''Heterocephalus glaber'')
1997-04-01
[64]
논문
Genome sequencing reveals insights into physiology and longevity of the naked mole rat
2011-10-12
[65]
논문
Changes in body mass and fat reserves in prehibernating little brown bats (''Myotis lucifugus'')
1998-01-01
[66]
논문
Inactivation of thermogenic UCP1 as a historical contingency in multiple placental mammal clades
2017-07-12
[67]
논문
Developmental origin of fat: tracking obesity to its source
[68]
논문
The origins of brown adipose tissue
http://content.nejm.[...]
[69]
웹사이트
脂肪細胞とインスリン抵抗性
http://polaris.hoshi[...]
星薬科大学オープン・リサーチ
[70]
웹사이트
褐色脂肪細胞と肩甲骨ダイエットの深くない関係、肩甲骨にはやせるポイントがある?!はニセ医学??
https://www.gohongi-[...]
五本木クリニック
[71]
논문
The adipose organ
2005
[72]
논문
Le recrutement et l'activation d'adipocytes bruns et/ou BRITE
https://www.medecine[...]
2013
[73]
논문
Chronic peroxisome proliferator-activated receptor gamma (PPARgamma) activation of epididymally derived white adipocyte cultures reveals a population of thermogenically competent, UCP1-containing adipocytes molecularly distinct from classic brown adipocytes.
2010
[74]
논문
Beige adipocytes are a distinct type of thermogenic fat cell in mouse and human.
2012
[75]
논문
Developmental origin of fat: tracking obesity to its source
2007-10
[76]
논문
Unexpected evidence for active brown adipose tissue in adult humans.
2007
[77]
논문
High incidence of metabolically active brown adipose tissue in healthy adult humans: effects of cold exposure and adiposity.
2009
[78]
논문
Mechanisms of aging-related impairment of brown adipocyte development and function.
2015
[79]
논문
Adaptive thermogenesis enhances the life-threatening response to heat in mice with an Ryr1 mutation
http://dx.doi.org/10[...]
2020-10-09
[80]
논문
The origins of brown adipose tissue
2009
본 사이트는 AI가 위키백과와 뉴스 기사,정부 간행물,학술 논문등을 바탕으로 정보를 가공하여 제공하는 백과사전형 서비스입니다.
모든 문서는 AI에 의해 자동 생성되며, CC BY-SA 4.0 라이선스에 따라 이용할 수 있습니다.
하지만, 위키백과나 뉴스 기사 자체에 오류, 부정확한 정보, 또는 가짜 뉴스가 포함될 수 있으며, AI는 이러한 내용을 완벽하게 걸러내지 못할 수 있습니다.
따라서 제공되는 정보에 일부 오류나 편향이 있을 수 있으므로, 중요한 정보는 반드시 다른 출처를 통해 교차 검증하시기 바랍니다.
문의하기 : help@durumis.com