내반슬
"오늘의AI위키"의 AI를 통해 더욱 풍부하고 폭넓은 지식 경험을 누리세요.
1. 개요
내반슬은 다리가 휜 상태를 의미하며, 어린이나 성인에게 나타날 수 있다. 주요 원인으로는 구루병, 골격 문제, 감염, 종양, 외상 등이 있으며, 특히 기수에게서 직업적 요인으로 나타나기도 한다. 어린이는 생리적으로 내반슬을 보일 수 있으며, 3~4세 미만에서는 자연스러운 현상이다. 진단은 엉덩이-무릎-발목 각도를 통해 이루어지며, 치료는 원인에 따라 다르다. 생리적인 내반슬은 치료가 필요하지 않지만, 질병이나 외상으로 인한 경우에는 근본적인 질환 치료, 부목, 수술 등의 치료법이 사용될 수 있다. 내반슬은 관절염 발병을 가속화할 수 있다.
더 읽어볼만한 페이지
| 내반슬 | |
|---|---|
| 개요 | |
| 질병 분야 | 정형외과 |
| 이미지 | |
![]() | |
| 의학 정보 | |
| 동의어 | 안굽이무릎, O각, genu varum, bow-leggedness |
2. 원인
내반슬의 원인은 크게 세 가지로 나눌 수 있다.
- 질병: 어린이가 허약하거나 구루병 또는 뼈의 골화(ossification)를 방해하는 다른 질병으로 고통받거나 부적절한 영양 섭취를 하는 경우, 휜 다리 상태가 지속될 수 있다. 구루병은 내반슬의 주요 원인 중 하나이다.[2] 골격 문제, 감염, 종양 또한 다리 성장에 영향을 미쳐 때로는 한쪽 다리가 휘는 원인이 된다.[2] 영양성 구루병은 세계 일부 지역에서 소아 내반슬의 중요한 원인이며, 비타민 D의 주요 공급원인 햇빛 노출 부족과 칼슘 섭취 부족, 유전적인 원인 등이 있다.[3] 블라운트병은 무릎에서 발목까지 다리뼈가 안쪽이나 바깥쪽으로 굽는 병으로, O자 다리의 원인이 된다.[5] 골연골형성이상은 사지와 척추를 포함하는 일반적인 골격 변형을 일으키는 유전성 골 질환으로, 내반슬을 유발할 수 있다.[6]
- 신체적 외상: 넙다리뼈의 관절융기와 관련된 사고 등으로 인해 발생할 수 있다.[2]
- 직업적 요인: 기수와 같이 특정 직업군에서 휜 다리가 흔하게 나타날 수 있다.[2]
2. 1. 생리적 내반슬
3~4세 미만의 어린이는 어느 정도의 내반슬을 보인다. 아이는 발바닥이 서로 마주보게 앉으며, 경골과 넙다리뼈는 바깥쪽으로 굽어 있다. 그리고 다리를 뻗으면 발목은 닿지만, 무릎 관절 사이에는 뚜렷한 간격이 있다. 생후 1년 동안 점진적인 변화가 일어난다. 무릎 관절이 서로 가까워지고, 넙다리뼈는 무릎 관절을 향해 아래쪽과 안쪽으로 기울어진다. 경골은 곧게 펴지고, 발바닥은 거의 똑바로 아래를 향하게 된다.이러한 변화가 일어나는 동안, 처음에는 주로 연골로 구성된 뼈는 점차 골화된다. 정상적인 아이가 걷기 시작할 무렵이면, 하지는 일반적인 방향과 이를 형성하는 뼈의 강성으로 인해 체중을 지탱할 준비가 된다.[2]
2. 2. 질병에 의한 내반슬
어린이가 허약하거나 구루병 또는 뼈의 골화(ossification)를 방해하는 다른 질병으로 고통받거나 부적절한 영양 섭취를 하는 경우, 휜 다리 상태가 지속될 수 있다. 따라서 이 변형의 주요 원인은 구루병이다. 골격 문제, 감염, 종양 또한 다리 성장에 영향을 미쳐 때로는 한쪽 다리가 휜 상태를 유발할 수 있다. 나머지 원인은 직업적 요인인데, 특히 기수에게서 흔히 나타나며, 신체적 외상으로 인해 발생하기도 하는데, 이는 넙다리뼈의 관절융기와 관련된 사고 이후에 발생할 가능성이 매우 높다.[2]영양성 구루병은 세계 일부 지역에서 소아 내반슬 또는 O자 다리의 중요한 원인이다. 영양성 구루병은 비타민 D의 주요 공급원인 햇빛 노출 부족과 같은 건강하지 못한 생활 습관으로 인해 발생한다. 칼슘 섭취 부족도 또 다른 요인이다. 구루병은 유전적인 원인, 때로는 저항성 구루병이라고 불리는 경우도 있다.[3] 구루병은 일반적으로 네 다리 모두의 골 변형을 일으킨다. 내반슬은 생활 습관을 수정하거나 의료 치료를 받은 후 저절로 해결될 수 있다. 일부 변형은 저절로 교정되지 않아, 특히 심하고 보행 장애를 일으키는 경우 수술적 개입이 필요하다. 구루병으로 인한 내반슬을 치료하는 데 사용되는 주요 수술 방식은 유도 성장 수술, 즉 성장 조절 수술이다.[4]
블라운트병은 다리, 주로 무릎에서 발목까지의 변형이다. 영향을 받은 뼈는 안쪽이나 바깥쪽으로 굽어지며, 흔히 "궁수의 활" 모양을 형성하는데, 이는 O자 다리라고도 불린다. 블라운트병에는 두 가지 유형이 있다. 첫 번째 유형은 영아형으로, 네 살 미만의 어린이가 이 질병으로 진단받는 경우이다. 이 연령대의 블라운트병은 때때로 발견되지 않고 두 번째 유형의 블라운트병으로 진행될 수 있기 때문에 매우 위험하다. 두 번째 유형의 블라운트병은 주로 나이가 많은 어린이와 십대에서 발견되며, 때로는 한쪽 다리에, 때로는 양쪽 다리에 나타난다; 환자의 나이가 진단의 심각성을 결정한다.[5]
골연골형성이상은 사지와 척추를 포함하는 일반적인 골격 변형으로 나타나는 다양한 유전성 골 질환 또는 유전성 골격 이형성증 그룹이다. 내반슬, 즉 O자 다리는 이러한 기형 중 하나이다. 특징적인 골 X-레이 검사 결과는 진단을 확인하는 데 중요하다.[6]
2. 3. 직업적 요인
직업적 요인으로는 기수에게서 휜 다리가 흔히 나타난다.[2]3. 진단
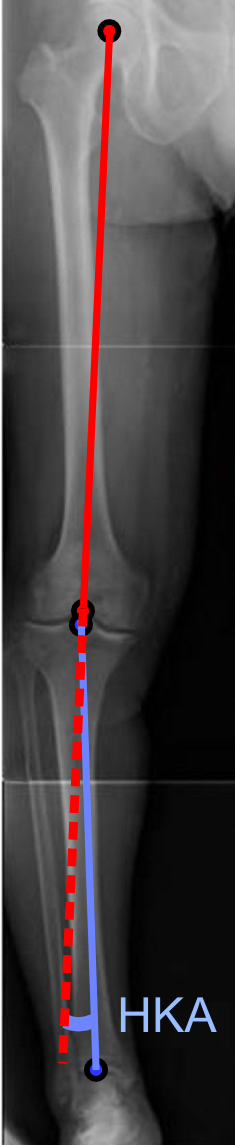
투사 방사선 촬영법에서 내반슬 또는 외반슬 변형 정도는 발목 관절 중심과 넙다리뼈의 기계적 축 사이 각도인 '엉덩이-무릎-발목 각도'[7][8]로 정량화할 수 있다. 성인은 정상적으로 에서 1.5° 사이의 내반슬을 보이나,[9] 소아의 정상 범위는 다르다.[10]
3. 1. 엉덩이-무릎-발목 각도

투사 방사선 촬영법에서 내반슬 또는 외반슬 변형의 정도는 ''엉덩이-무릎-발목 각도''[7]로 정량화할 수 있는데, 이는 발목 관절의 중심과 넙다리뼈의 기계적 축 사이의 각도이다.[8] 성인의 경우 정상적으로 에서 1.5° 사이의 내반슬을 보인다.[9] 소아의 정상 범위는 성인과 다르다.[10]
4. 치료
일반적으로 특발성 질환의 경우 어린아이들에게 정상적인 해부학적 변이로 나타나기 때문에 치료가 필요하지 않다. 3.5세 이후에도 증상이 지속되거나, 한쪽 다리에서만 나타나거나 만곡이 점차 악화되는 경우, 또는 구루병에 의해 발생하는 경우에는 근본적인 질환을 치료하는 것이 중요하다. 이때 보호자는 아이가 발을 딛지 않도록 지도해야 한다. 많은 경우, 이것만으로도 충분하지만, 부목을 적용하여 개선을 촉진할 수도 있다. 외상이나 직업으로 인해 더 나이든 환자에게서 변형이 발생하는 경우, 유일한 영구적 치료법은 수술이지만, 정형외과 보조기 착용은 증상 완화에 도움이 될 수 있다.[4]
4. 1. 질병에 의한 내반슬
일반적으로 특발성의 경우 어린이들에게 흔히 보이는 해부학적 현상이므로 치료가 필요하지 않다. 3.5세가 넘어서도 지속될 경우 치료가 필요하다고 인지된다. 구루병에 의해 발생 시 곡률이 점진적으로 악화되는 경우 가장 중요한 것은 이를 구성하는 질환을 치료하는 것이다.[3]영양성 구루병은 세계 일부 지역에서 소아 내반슬 또는 O자 다리의 중요한 원인이다. 영양성 구루병은 비타민 D의 주요 공급원인 햇빛 노출 부족과 같은 건강하지 못한 생활 습관으로 인해 발생한다. 칼슘 섭취 부족도 또 다른 요인이다. 구루병은 유전적인 원인, 때때로 저항성 구루병이라고 불리는 경우도 있다.[3] 구루병은 일반적으로 네 다리 모두의 골 변형을 일으킨다. 내반슬은 생활 습관을 수정하거나 의료 치료를 받은 후 저절로 해결될 수 있다. 일부 변형은 저절로 교정되지 않아, 특히 심하고 보행 장애를 일으키는 경우 수술적 개입이 필요하다. 구루병으로 인한 내반슬을 치료하는 데 사용되는 주요 수술 방식은 유도 성장 수술, 즉 성장 조절 수술이다.[4]
블라운트병은 다리, 주로 무릎에서 발목까지의 변형이다. 영향을 받은 뼈는 안쪽이나 바깥쪽으로 굽어지며, 흔히 "궁수의 활" 모양을 형성하는데, 이는 O자 다리라고도 불린다. 블라운트병에는 두 가지 유형이 있다. 첫 번째 유형은 영아형으로, 네 살 미만의 어린이가 이 질병으로 진단받는 경우이다. 이 연령대의 블라운트병은 때때로 발견되지 않고 두 번째 유형의 블라운트병으로 진행될 수 있기 때문에 매우 위험하다. 두 번째 유형의 블라운트병은 주로 나이가 많은 어린이와 십대에서 발견되며, 때로는 한쪽 다리에, 때로는 양쪽 다리에 나타난다. 환자의 나이가 진단의 심각성을 결정한다.[5]
골연골형성이상은 사지와 척추를 포함하는 일반적인 골격 변형으로 나타나는 다양한 유전성 골 질환 또는 유전성 골격 이형성증 그룹이다. 내반슬, 즉 O자 다리는 이러한 기형 중 하나이다. 특징적인 골 X-레이 검사 결과는 진단을 확인하는 데 중요하다.[6]
4. 2. 수술적 치료
일반적으로 특발성 질환의 경우 어린 아이들에게 정상적인 해부학적 변이로 나타나기 때문에 치료가 필요하지 않다. 3.5세 이후에도 증상이 지속되거나, 한쪽 다리에서만 나타나거나 만곡이 점차 악화되는 경우, 또는 구루병에 의해 발생하는 경우에는 근본적인 질환을 치료하는 것이 중요하다. 보호자는 아이가 발을 딛지 않도록 지도해야 한다. 많은 경우, 이것만으로도 치료 효과를 얻기에 충분하지만, 부목을 적용하여 개선을 촉진할 수 있다. 외상이나 직업으로 인해 더 나이든 환자에게서 변형이 발생하는 경우, 유일한 영구적 치료법은 수술이지만, 정형외과 보조기 착용은 증상 완화에 도움이 될 수 있다.
구루병은 보통 네 다리 모두의 뼈 변형을 일으킨다. 내반슬은 생활 습관을 바꾸거나 치료를 받은 후 자연적으로 해결될 수 있다. 일부 변형은 자연적으로 교정되지 않으며, 특히 심각하고 보행 곤란을 유발하는 경우 수술이 필요하다. 구루병으로 인한 내반슬 치료에 사용되는 주요 수술 방법은 유도 성장 수술이다.[4]
어린이의 블런트병 치료는 일반적으로 보조기를 사용하지만, 수술이 필요할 수도 있다. 어린이의 경우, 유도 성장 수술을 사용하여 휜 다리를 점진적으로 교정한다.[11] 십대 청소년의 경우, 골 절제술 또는 뼈 절단술을 사용하여 뼈의 변형을 교정하는 경우가 많다. 이 수술은 경골의 일부를 제거하고, 비골을 절단하고, 뼈를 똑바로 펴는 것으로 구성된다. 다리 연장술을 선택할 수도 있다. 충분히 일찍 치료하지 않으면 상태가 빠르게 악화된다.[12]
소아의 유도 성장 수술은 골연골이형성증을 포함한 내반슬로 인해 발생하는 무릎 변형을 점진적으로 교정하기 위해 널리 사용된다. 그러나 이 치료법은 재발률이 높으며, 적절한 뼈 정렬을 유지하기 위해 반복적인 수술이 필요할 수 있다.[11][6]
5. 예후
대부분의 경우, 어린 시절 이후에도 지속되더라도 걷는 능력에 거의 또는 전혀 영향이 없다. 그러나 무릎에 불균등한 스트레스와 마모가 발생하기 때문에, 덜 심한 증상이라도 관절염의 발병을 가속화할 수 있다.[13]
참조
[1]
논문
Genu Varum in Children: Diagnosis and Treatment
https://dx.doi.org/1[...]
1995-11
[2]
서적
[3]
논문
Nutritional rickets around the world: an update. Paediatr Int Child Health.
2016-12-06
[4]
논문
Growth modulation for knee coronal plane deformities in children with nutritional rickets: A prospective series with treatment algorithm.
2020-01-01
[5]
웹사이트
Blount's Disease
http://www.shrinersh[...]
2011-10-28
[6]
논문
A systematized approach to radiographic assessment of commonly seen genetic bone diseases in children: A pictorial review.
2017-11-15
[7]
논문
Association between knee alignment and knee pain in patients surgically treated for medial knee osteoarthritis by high tibial osteotomy. A one year follow-up study
[8]
논문
Mechanical, Anatomical, and Kinematic Axis in TKA: Concepts and Practical Applications
[9]
논문
Does measurement of the anatomic axis consistently predict hip-knee-ankle angle (HKA) for knee alignment studies in osteoarthritis? Analysis of long limb radiographs from the multicenter osteoarthritis (MOST) study
[10]
논문
The Hip-Knee-Ankle Angle in Children: Reference Values Based on a Full-Length Standing Radiograph
[11]
논문
Update on guided growth concepts around the knee in children.
[12]
웹사이트
Blount's Disease
https://www.ncbi.nlm[...]
2011-10-28
[13]
웹사이트
Genu Varum
https://www.lecturio[...]
2021-07-23
본 사이트는 AI가 위키백과와 뉴스 기사,정부 간행물,학술 논문등을 바탕으로 정보를 가공하여 제공하는 백과사전형 서비스입니다.
모든 문서는 AI에 의해 자동 생성되며, CC BY-SA 4.0 라이선스에 따라 이용할 수 있습니다.
하지만, 위키백과나 뉴스 기사 자체에 오류, 부정확한 정보, 또는 가짜 뉴스가 포함될 수 있으며, AI는 이러한 내용을 완벽하게 걸러내지 못할 수 있습니다.
따라서 제공되는 정보에 일부 오류나 편향이 있을 수 있으므로, 중요한 정보는 반드시 다른 출처를 통해 교차 검증하시기 바랍니다.
문의하기 : help@durumis.com
