정형외과
"오늘의AI위키"의 AI를 통해 더욱 풍부하고 폭넓은 지식 경험을 누리세요.
1. 개요
정형외과는 근골격계 질환을 다루는 외과 분야이다. 1780년 장 앙드레 베넬이 소아 골격 이상을 치료하는 병원을 설립한 것이 시초로 여겨지며, 전쟁의 외상 치료와 함께 발전해왔다. 현대 정형외과는 휴 오웬 토마스와 로버트 존스에 의해 크게 발전했으며, 관절경 수술, 관절 성형술, 골절의 외부 고정술 등 다양한 치료법이 사용된다. 정형외과는 소아정형외과, 척추외과 등 여러 하위 진료과로 세분화되며, 골다공증, 골관절염, 골절 등의 질환을 다룬다.
더 읽어볼만한 페이지
- 정형외과 - 관절염
관절염은 관절에 염증이 생겨 통증, 부종, 강직 등을 유발하는 질환을 통칭하며, 다양한 종류가 있고, 약물 치료, 물리 치료, 수술적 치료 등으로 치료하며, 고령화 사회에서 유병률이 증가할 것으로 예상된다. - 정형외과 - 염좌
염좌는 관절의 과도한 움직임으로 관절낭, 인대, 연부 조직이 손상되어 통증, 부종, 발열 등의 염증을 동반하며, 손상 정도에 따라 정도가 나뉘고, RICE 요법 등의 비수술적 치료나 심한 경우 수술적 치료와 재활을 통해 회복을 꾀한다. - 의학 분야 - 산부인과
산부인과는 임신, 출산, 여성 생식기 질환을 다루는 의학 분야이며, 미국에서는 다양한 세부 전문 분야로, 한국에서는 1920년대에 근대적 산부인과가 등장하여 다양한 시술을 시행하고, 여성의학과로 명칭 변경 움직임이 있었다. - 의학 분야 - 방사선 치료
방사선 치료는 이온화 방사선을 사용하여 암세포를 파괴하거나 암으로 인한 증상을 완화하는 의료 기술로, 근치적 및 완화적 치료를 목적으로 다양한 암종에 적용되며, 고정밀 방사선 치료 기술을 통해 정상 조직 손상을 최소화하지만 피로, 피부 자극 등의 부작용이 발생할 수 있고, 다른 치료법과 병행하여 사용되기도 한다.
| 정형외과 | |
|---|---|
| 개요 | |
| 학문 분야 | 근골격계 |
| 관련 분야 | 외과, 신경외과 |
| 정의 | 근골격계의 질병과 외상을 다루는 외과의 한 분야 |
| 진료 대상 | 뼈, 관절, 인대, 근육, 신경 등 |
| 주요 치료 | 수술, 약물 치료, 물리 치료 등 |
| 역사 | |
| 어원 | 그리스어 "orthos(곧은)" + "paideia(어린이의 교육)" |
| 기원 | 18세기 프랑스 의사 니콜라스 안드리(Nicolas Andry)의 소아 척추 변형 교정 연구 |
| 발전 | 외상 치료, 관절경 수술, 인공 관절 치환술 등 |
| 주요 질환 및 치료 | |
| 외상 | 골절, 탈구, 인대 손상, 근육 손상 |
| 퇴행성 질환 | 골관절염, 척추관 협착증, 추간판 탈출증 |
| 염증성 질환 | 류마티스 관절염, 통풍 |
| 종양 | 골종양, 연부 조직 종양 |
| 선천성 질환 | 선천성 고관절 탈구, 척추측만증 |
| 기타 | 골다공증, 테니스 엘보, 손목 터널 증후군 |
| 진단 방법 | |
| 영상 검사 | X선 검사, CT 검사, MRI 검사, 초음파 검사 |
| 이학적 검사 | 관절 운동 범위 측정, 근력 검사, 신경학적 검사 |
| 기타 검사 | 혈액 검사, 신경 전도 검사, 근전도 검사 |
| 치료 방법 | |
| 비수술적 치료 | 약물 치료, 물리 치료, 보조기 착용, 주사 치료 |
| 수술적 치료 | 골절 수술, 관절경 수술, 인공 관절 치환술, 척추 수술 |
| 관련 용어 | |
| 진료과 | 정형외과 |
| 의사 | 정형외과 전문의 |
| 수술 | 정형외과 수술 |
| 기타 정보 | |
| 관련 학회 | 대한정형외과학회, 미국 정형외과학회(AAOS) |
| 관련 저널 | Journal of Bone and Joint Surgery (JBJS), Clinical Orthopaedics and Related Research (CORR) |
2. 역사
1780년 장 앙드레 베넬이 소아 골격 이상을 다루는 병원을 설립한 것이 최초라고 여겨진다. 네덜란드 군의관인 안드레 마티센은 석고로 깁스를 시행했다.
일반적으로 정형외과 영역은 전쟁의 외상 치료와 함께 발전해 왔다. 중세에는 전장에서 창상 부위에 말의 피를 적신 붕대를 감고, 부목을 대기도 했다.[3]
2. 1. 어원
니콜라스 앙드리는 1741년에 출판한 ''Orthopedie''(번역: ''Orthopædia: Or the Art of Correcting and Preventing Deformities in Children'')에서 프랑스어 단어 ''orthopédie프랑스어''를 만들었다.[2] 이 단어는 고대 그리스어 ὀρθός|orthosgrc("올바른", "곧은")와 παιδίον|paidiongrc("어린이")에서 유래했다. 영어로는 ''orthopædics''로 동화되었으며, 합자 ''æ''는 그리스어 및 라틴어 기반 단어에서 ''ae''로 흔히 사용되었다. 이름에서 알 수 있듯이, 이 분야는 처음에는 어린이에 중점을 두고 개발되었지만, 모든 연령대에서 척추 및 뼈 변형의 교정이 결국 정형외과 진료의 초석이 되었다.2. 2. 초기 정형외과
중세 시대 전장에서는 부상자들을 말의 피에 적신 붕대로 치료했는데, 이는 뻣뻣하지만 위생적이지 않은 부목을 형성하기 위해 말랐다.[3]원래 정형외과라는 용어는 소아의 근골격계 기형을 교정하는 것을 의미했다.[4] 파리 대학교 의학 교수였던 니콜라스 앙드리는 1741년 이 분야에 관한 최초의 교과서에서 이 용어를 만들었다. 그는 운동, 조작 및 부목 사용을 옹호하여 어린이의 기형을 치료했다. 그의 책은 부모를 대상으로 했으며, 오늘날의 정형외과 의사에게 익숙한 몇 가지 주제 외에도 '손바닥의 과도한 발한'과 주근깨도 포함되었다.[5]
장-앙드레 베넬은 1780년에 최초의 정형외과 연구소를 설립했는데, 이곳은 어린이의 골격 기형 치료를 전문으로 하는 최초의 병원이었다. 그는 발 기형을 가지고 태어난 어린이를 위한 굽은 발 신발과 척추 측만증을 치료하는 다양한 방법을 개발했다.
존 헌터의 힘줄 치유 연구 및 퍼시벌 포트의 척추 기형에 대한 연구와 같이 18세기 외과 기술의 발전은 효과적인 치료를 위해 사용할 수 있는 새로운 방법의 범위를 꾸준히 증가시켰다. 선구적인 영국 정형외과 의사인 로버트 체셔는 1790년에 하체 골절 치료에 사용되는 이중 경사면을 발명했다.[6] 네덜란드 군의관 안토니우스 마티센은 1851년에 석고 캐스트를 발명했다. 그러나 1890년대까지 정형외과는 여전히 소아 기형 교정에 국한된 연구였다. 개발된 최초의 수술 절차 중 하나는 경피적 힘줄 절개술이었다. 이는 원래 아킬레스건을 절단하여 부목과 운동과 함께 기형을 치료하는 것을 포함했다. 1800년대 후반과 1900년대 초반에는 정형외과가 수술 절차를 포함해야 하는지에 대한 상당한 논란이 있었다.
2. 3. 현대 정형외과
휴 오웬 토마스(Hugh Owen Thomas)와 그의 조카 로버트 존스(Robert Jones)는 현대 정형외과 수술 발전에 큰 기여를 했다.[7] 토마스는 골절 및 결핵 치료에 휴식을 강조하고, "토마스 부목"을 개발하는 등 여러 의학적 혁신을 이루었다.토마스의 기술은 제1차 세계 대전 중 부상 군인 치료에 사용되면서 그 가치를 인정받았다. 그의 조카 존스는 맨체스터 선박 운하 건설 현장에서 외과 감독관으로 일하며 골절 관리 기술을 발전시켰고, 세계 최초의 종합적인 사고 서비스를 조직했다.[8] 그는 1894년 영국 정형외과 학회를 창립했다.
제1차 세계 대전 동안 존스는 군의관으로 복무하며 군사 정형외과 병원 도입에 기여했다. 해머스미스의 듀케인 로드 병원은 영국과 미국의 군사 정형외과 병원의 모델이 되었다. 토마스 부목을 대퇴골 골절 치료에 사용하여 사망률을 크게 낮췄다.[9]
골수강 내 막대를 사용한 대퇴골 및 경골 골절 치료는 독일의 게르하르트 퀸처가 개척했다. 제2차 세계 대전 중 독일 군인의 회복 속도에 큰 영향을 미쳤으며, 전 세계적으로 골절의 골수강 내 고정술이 널리 사용되게 되었다. 견인술은 1970년대 후반까지 대퇴골 골절 치료의 표준이었으나, 시애틀 하버뷰 메디컬 센터 그룹이 골수강 내 고정술을 대중화시켰다.

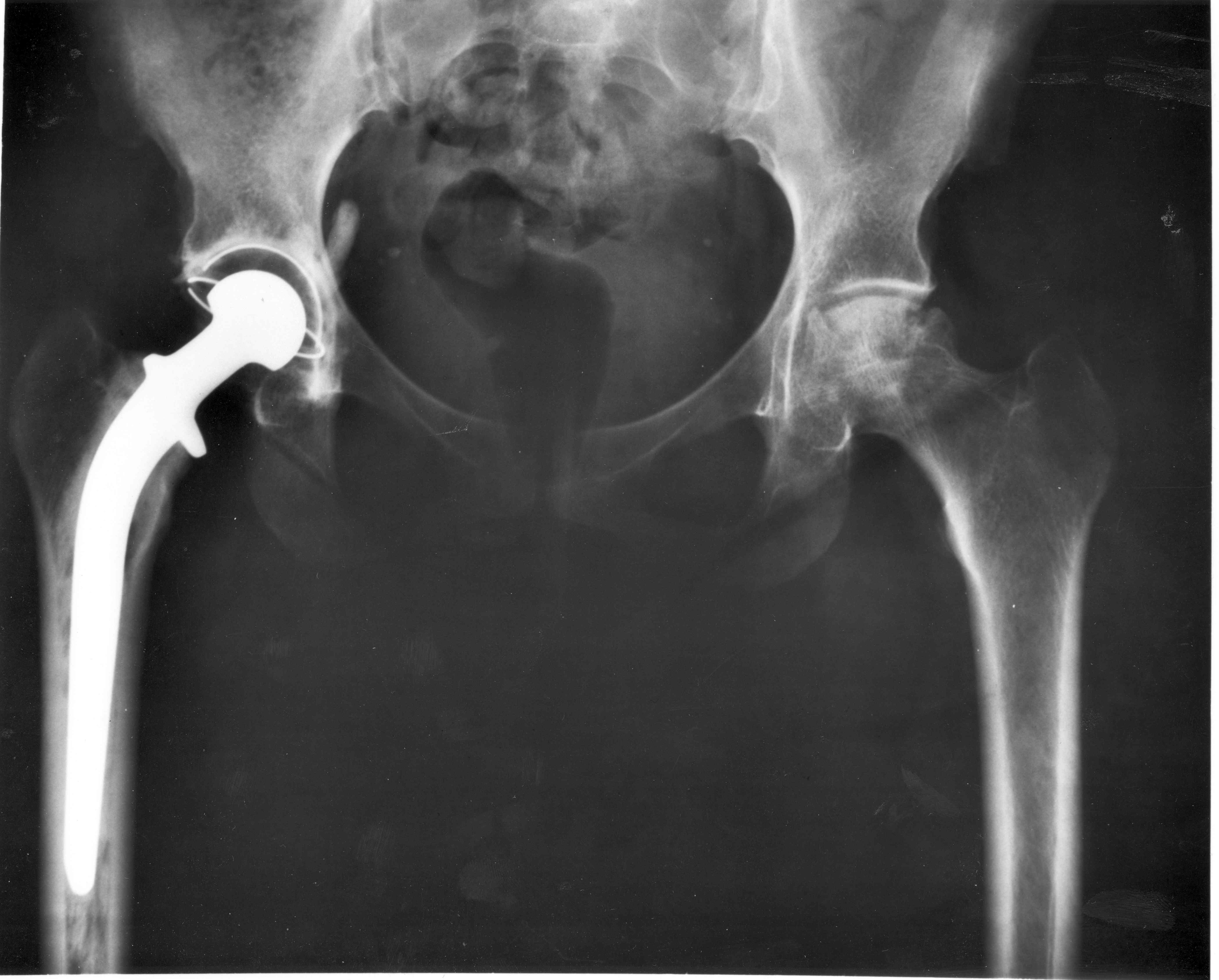
현대 고관절 치환술은 1960년대 영국의 존 찰리(John Charnley) 경에 의해 개척되었다.[10] 그는 관절 표면을 뼈에 시멘트로 고정한 임플란트로 대체하는 방법을 개발했다. 찰리의 디자인은 스테인리스 강 대퇴부 줄기와 머리, 폴리에틸렌 비구 구성 요소를 PMMA(아크릴) 뼈 시멘트로 고정하는 방식이었다. 엑서터 고관절 치환술 시스템도 개발되었다. W. H. 해리스와 그의 팀은 뼈가 직접 결합하는 비시멘트 관절 성형술 기술을 개척했다.
무릎 치환술은 1970년대에 맥킨토시, 군스톤, 마머, 존 인설, 프레데릭 부쉘, 마이클 파파스 등에 의해 개발되었다.[11]
골절의 외부 고정술은 베트남 전쟁 중 미국 외과 의사들에 의해 개선되었고, 소련의 가브릴 아브라모비치 일리자로프(Gavril Abramovich Ilizarov)가 큰 기여를 했다. 일리자로프는 일리자로프 기구를 고안하여 골절 치유, 재정렬 및 연장을 달성했다.[12]
현대 정형외과 수술과 근골격계 연구는 수술의 침습성을 줄이고 이식된 구성 요소의 성능을 개선하며 내구성을 높이는 데 주력하고 있다. 한편, 정형외과 의사들은 아편유사제 약물을 많이 처방하는 사람들 중 하나로, 처방을 줄이면서 적절한 통증 관리를 제공하는 것이 과제이다.[13][14][1][15][16]
3. 주요 진료 분야
정형외과는 뼈, 관절, 근육, 인대, 신경 등 근골격계를 다루는 의학 분야이다. 주요 진료 분야로는 소아, 척추, 수부(손), 족관절(발목), 견주관절(어깨와 팔꿈치), 무릎, 고관절, 근골격종양 등이 있다.[1] 각 분야는 소아정형외과, 척추외과, 수부외과, 족부외과, 견주관절외과, 슬관절외과, 고관절외과, 근골격계 종양외과 등으로 세분화된다.[1]
3. 1. 하위 진료과
정형외과의 하위 진료과는 다음과 같다.| 분야 | 설명 |
|---|---|
| 소아정형외과 | 소아의 뼈, 관절, 근육 질환을 다룬다. |
| 척추외과 | 척추와 관련된 질환을 다룬다. |
| 수부외과 | 손과 손목의 질환을 다룬다. |
| 족부외과 | 발과 발목의 질환을 다룬다. |
| 견주관절외과 | 어깨와 팔꿈치 관절의 질환을 다룬다. |
| 슬관절외과 | 무릎 관절의 질환을 다룬다. |
| 고관절외과 | 고관절(엉덩이 관절)의 질환을 다룬다. |
| 근골격계 종양외과 | 뼈, 근육, 연골 등에 발생하는 종양을 다룬다. |
이 외에도 다음과 같은 질환들을 다룬다.
- 골다공증
- 골관절염
- 류마티스 관절염
- 추간판 탈출증
- 요추 척추관 협착증
- 소아 추간판 석회화
- 손목터널 증후군
- 듀피트렌 구축 : 원인 불명의 IP 관절, MP 관절에서의 굴곡 구축을 일으키는 질환으로, 남성에게 많다.
- 헤버딘 결절
- 부샤르 결절
- 변형성 모지 수근 중수 관절증
- 상완 이두근 장두 건염
- 주관절 아탈구
- 대퇴골두 전위증(대퇴골두 골단 분리증)
- 골절
- 탈구
- 염좌
- 뼈 종양
- * 거대 세포종
- * 골육종
- * 연골육종
- * 유잉 육종
- 척수 종양
4. 치료
정형외과의 치료 방법은 크게 보존적 치료와 수술적 치료로 나뉜다. 보존적 치료에는 부목, 깁스 등을 이용한 방법이 있다.
휴 오웬 토마스는 골절과 결핵 치료에 휴식을 강조하고 '토마스 부목'을 개발하여 제1차 세계 대전 때 부상병 치료에 크게 기여했다.[9] 그의 조카 로버트 존스 역시 정형외과 수술 발전에 공헌했다.
게르하르트 퀸처는 골수강 내 막대를 이용한 대퇴골 및 경골 골절 치료법을 개발하여 제2차 세계 대전 중 독일 군인들의 회복 속도를 높였다.[9]
존 찰리는 1960년대 고관절 치환술을 개척하여 현대 고관절 임플란트의 기초를 마련했다.[10] 1970년대에는 무릎 관절 치환술이 시작되었으며, 존 인설은 고정 베어링 시스템을, 프레데릭 부쉘과 마이클 파파스는 이동 베어링 시스템을 개발했다.[11]
가브릴 아브라모비치 일리자로프는 소련에서 일리자로프 기구를 이용한 골 신장술을 개발했다.[12]
와타나베 마사키는 관절경 검사를 개척하여 최소 침습 수술법의 발전에 기여했다.[25]
1999년부터 2003년까지 정형외과 의사들이 가장 많이 시행한 시술은 다음과 같다:[20]
| 순위 | 시술명 |
|---|---|
| 1 | 무릎 관절경술 및 반월판 절제술 |
| 2 | 어깨 관절경술 및 감압술 |
| 3 | 수근관 증후군 절개술 |
| 4 | 무릎 관절경술 및 연골 성형술 |
| 5 | 지지 임플란트 제거 |
| 6 | 무릎 관절경술 및 전방 십자 인대 재건술 |
| 7 | 무릎 관절 치환술 |
| 8 | 대퇴경부 골절 복구 |
| 9 | 대전자 골절 복구 |
| 10 | 피부/근육/뼈/골절 변연 절제술 |
| 11 | 양쪽 반월판의 무릎 관절경술 복구 |
| 12 | 고관절 치환술 |
| 13 | 어깨 관절경술/원위 쇄골 절제술 |
| 14 | 회전근개 힘줄 복구 |
| 15 | 요골/척골 골절 복구 |
| 16 | 척추 절제술 |
| 17 | 발목 골절 (양과 타입) 복구 |
| 18 | 어깨 관절경술 및 변연 절제술 |
| 19 | 요추 척추 유합술 |
| 20 | 요골 원위부 골절 복구 |
| 21 | 요추 추간판 수술 |
| 22 | 손가락 힘줄 초박막 절개 |
| 23 | 발목 골절 (비골) 복구 |
| 24 | 대퇴 간부 골절 복구 |
| 25 | 대전자 골절 복구 |
4. 1. 보존적 치료
- 부목
- 깁스
- 스피드 트랙 견인
- 그리슨 견인
4. 2. 수술적 치료
휴 오웬 토마스와 그의 조카 로버트 존스는 현대 정형외과 수술 발전에 기여한 대표적인 인물이다.[7] 토마스는 골절과 결핵 치료에 휴식을 권장하고, '토마스 부목'을 개발했다. 그의 기술은 제1차 세계 대전 때 부상병 치료에 사용되면서 인정받았다.[9]로버트 존스는 맨체스터 선박 운하 건설 현장에서 외과 감독관으로 일하며 세계 최초의 종합적인 사고 서비스를 조직했다.[8] 그는 골절 관리 기술을 발전시켰고, 1894년 영국 정형외과 학회를 창립했다. 제1차 세계 대전 중에는 군의관으로 복무하며 군사 정형외과 병원을 도입, 토마스 부목 사용을 통해 대퇴골 개방 골절 사망률을 크게 낮췄다.[9]
게르하르트 퀸처는 골수강 내 막대를 이용한 대퇴골 및 경골 골절 치료법을 개발했다. 이 방법은 제2차 세계 대전 중 독일 군인들의 회복 속도를 높였고, 전 세계적으로 널리 사용되게 되었다.[9] 하버뷰 메디컬 센터는 골절을 열지 않고 골수강 내 고정술을 시행하여 대중화했다.
존 찰리는 1960년대 고관절 치환술을 개척했다.[10] 그는 관절 표면을 뼈에 시멘트로 고정한 임플란트로 대체하는 방법을 개발했다. 찰리의 디자인은 현대 고관절 임플란트의 기초가 되었다. 엑서터 고관절 치환술 시스템도 개발되었으며, W. H. 해리스는 비시멘트 관절 성형술 기술을 개척했다.
무릎 관절 치환술은 1970년대에 시작되었으며, 존 인설은 고정 베어링 시스템을, 프레데릭 부쉘과 마이클 파파스는 이동 베어링 시스템을 개발했다.[11]
가브릴 아브라모비치 일리자로프는 소련에서 일리자로프 기구를 이용한 골 신장술을 개발했다.[12]
현대 정형외과 수술은 최소 침습 수술, 이식된 구성 요소의 성능 및 내구성 향상에 주력하고 있다. 그러나 정형외과 의사들은 아편유사제 처방의 주요 주체로 지목되기도 한다.[13][14]
관절경 검사는 와타나베 마사키에 의해 개척된 최소 침습 수술법으로, 빠른 회복이 가능하다. 관절 성형술은 관절 표면을 대체, 개조 또는 재정렬하는 수술이다.[25]
1999년부터 2003년까지 정형외과 의사들이 가장 많이 시행한 시술은 다음과 같다:[20]
| 순위 | 시술명 |
|---|---|
| 1 | 무릎 관절경술 및 반월판 절제술 |
| 2 | 어깨 관절경술 및 감압술 |
| 3 | 수근관 증후군 절개술 |
| 4 | 무릎 관절경술 및 연골 성형술 |
| 5 | 지지 임플란트 제거 |
| 6 | 무릎 관절경술 및 전방 십자 인대 재건술 |
| 7 | 무릎 관절 치환술 |
| 8 | 대퇴경부 골절 복구 |
| 9 | 대전자 골절 복구 |
| 10 | 피부/근육/뼈/ 골절 변연 절제술 |
| 11 | 양쪽 반월판의 무릎 관절경술 복구 |
| 12 | 고관절 치환술 |
| 13 | 어깨 관절경술/원위 쇄골 절제술 |
| 14 | 회전근개 힘줄 복구 |
| 15 | 요골/척골 골절 복구 |
| 16 | 척추 절제술 |
| 17 | 발목 골절 (양과 타입) 복구 |
| 18 | 어깨 관절경술 및 변연 절제술 |
| 19 | 요추 척추 유합술 |
| 20 | 요골 원위부 골절 복구 |
| 21 | 요추 추간판 수술 |
| 22 | 손가락 힘줄 초박막 절개 |
| 23 | 발목 골절 (비골) 복구 |
| 24 | 대퇴 간부 골절 복구 |
| 25 | 대전자 골절 복구 |
일반적인 정형외과 의사의 근무 시간은 주당 50-55시간이며,[21][22] 2013년 설문 조사에 따르면 평균 70시간 이상이었다.[23][1]
참조
[1]
웹사이트
Orthopedic Surgeons: Seven Things You Need to Know
https://www.pennmedi[...]
The Trustees of the University of Pennsylvania
2022-02-26
[2]
서적
Orthopædia, or, The art of correcting and preventing deformities in children
https://books.google[...]
Classics of Medicine Library
1980-11-02
[3]
논문
Extremity Injury and War: A Historical Reflection
2015-09
[4]
웹사이트
Orthopedic surgery
https://howellmedica[...]
2022-02-26
[5]
웹사이트
Sugar-Tong Forearm Splinting Technique: Application of Sugar-Tong Splint, Postprocedural Care, Complications
https://emedicine.me[...]
WebMD LLC
2022-02-26
[6]
논문
Robert Chessher (1750–1831): An English Pioneer in Orthopaedics
1958-10
[7]
논문
From bonesetters to orthopedic surgeons: a history of the specialty of orthopedics.
http://www.ast.org/p[...]
1999
[8]
논문
Care of emergencies in the United Kingdom
1981-09
[9]
DWB
Jones, Sir Robert, Bart
2010-12-31
[10]
논문
Professor Sir John Charnley (1911–1982)
The British Society for Rheumatology via Oxford Journals
2002-07
[11]
논문
The history of mobile-bearing total knee replacement systems
2006-09
[12]
서적
Limb Lengthening and Reconstruction Surgery
https://books.google[...]
CRC Press
[13]
웹사이트
Information Statement: Opioid Use, Misuse, and Abuse in Orthopedic Practice
https://aaos.org/glo[...]
American Academy of Orthopedic Surgeons
2015
[14]
논문
Risk Factors for Increased Postoperative Pain and Recommended Orderset for Postoperative Analgesic Usage
2020-11
[15]
논문
The efficacy of local infiltration analgesia in the early postoperative period after total knee arthroplasty: A systematic review and meta-analysis
2016-11
[16]
논문
Comparative Analysis of Length of Stay and Inpatient Costs for Orthopedic Surgery Patients Treated with IV Acetaminophen and IV Opioids vs. IV Opioids Alone for Post-Operative Pain
2016-09
[17]
웹사이트
Orthopaedics
http://orthoinfo.aao[...]
American Academy of Orthopedic Surgeons (AAOS)
[18]
웹사이트
Your Surgeon is certified by The American Board of Orthopaedic Surgery
http://www.abos.org/[...]
American Board of Orthopedic Surgery
2008-10-26
[19]
웹사이트
AOBOS 2012 Candidate Handbook
http://www.aobos.org[...]
American Osteopathic Board of Orthopedic Surgery
2012-09-19
[20]
논문
American Board of Orthopaedic Surgery Practice of the Orthopaedic Surgeon: Part-II, certification examination case mix
https://www.abos.org[...]
2016-11-30
[21]
논문
Medical Scribes in an Orthopedic Sports Medicine Clinic Improve Productivity and Physician Well-Being
https://arthroscopys[...]
2022-04-08
[22]
웹사이트
Orthopaedic Surgery
https://www.aamc.org[...]
2022-04-17
[23]
논문
Characteristics of highly successful orthopedic surgeons: a survey of orthopedic chairs and editors
[24]
논문
Epidemiology of musculoskeletal upper extremity ambulatory surgery in the United States
2014-01
[25]
웹사이트
Restoring Joint Function with Arthroplasty
http://www.hopkinsme[...]
Johns Hopkins University
2024-02-17
[26]
논문
Unicompartmental knee arthroplasty revised to total knee arthroplasty versus primary total knee arthroplasty: A meta-analysis of matched studies
https://www.thekneej[...]
2023-12
[27]
웹사이트
Hip replacement surgery
https://www.hopkinsm[...]
Johns Hopkins University
2024
[28]
논문
Shoulder replacements are less likely to be revised when surgeons perform more than 10 a year
https://evidence.nih[...]
2024-01-18
[29]
논문
The influence of implant design and limb alignment on in vivo wear rates of fixed-bearing and rotating-platform knee implant retrievals
https://onlinelibrar[...]
2023-11
[30]
논문
Association between surgeon volume and patient outcomes after elective shoulder replacement surgery using data from the National Joint Registry and Hospital Episode Statistics for England: population based cohort study
https://www.bmj.com/[...]
2023-06-21
[31]
논문
Trends in Operating Room Procedures in U.S. Hospitals, 2001—2011
http://hcup-us.ahrq.[...]
Agency for Healthcare Research and Quality
2014-03
[32]
웹사이트
Most Frequent Operating Room Procedures Performed in U.S. Hospitals, 2003–2012
https://www.hcup-us.[...]
Agency for Healthcare Research and Quality
2014-12
[33]
웹사이트
Global Orthopedic Solutions
https://globalorthop[...]
2024-09-11
[34]
웹사이트
The Meaning of the Orthopedic Tree
https://waortho.com/[...]
2024-12-27
[35]
웹사이트
整形外科と美容外科|公益社団法人 日本整形外科学会
https://www.joa.or.j[...]
2024-12-27
[36]
웹인용
인하대학교 의과대학의 정형외과학 설명
http://medicine.inha[...]
2013-05-14
본 사이트는 AI가 위키백과와 뉴스 기사,정부 간행물,학술 논문등을 바탕으로 정보를 가공하여 제공하는 백과사전형 서비스입니다.
모든 문서는 AI에 의해 자동 생성되며, CC BY-SA 4.0 라이선스에 따라 이용할 수 있습니다.
하지만, 위키백과나 뉴스 기사 자체에 오류, 부정확한 정보, 또는 가짜 뉴스가 포함될 수 있으며, AI는 이러한 내용을 완벽하게 걸러내지 못할 수 있습니다.
따라서 제공되는 정보에 일부 오류나 편향이 있을 수 있으므로, 중요한 정보는 반드시 다른 출처를 통해 교차 검증하시기 바랍니다.
문의하기 : help@durumis.com