구루병
"오늘의AI위키"의 AI를 통해 더욱 풍부하고 폭넓은 지식 경험을 누리세요.
1. 개요
구루병은 비타민 D, 칼슘, 인의 결핍으로 인해 뼈의 무기질 침착이 제대로 이루어지지 않아 발생하는 질환이다. 주요 원인으로는 비타민 D 섭취 부족, 햇빛 노출 부족, 선천성 대사 장애 등이 있으며, 모체의 비타민 D 결핍은 태아에게도 영향을 미칠 수 있다. 증상으로는 뼈의 압통, 골절, 두개골 변형, O자형 다리, 척추 측만증 등이 나타날 수 있으며, 혈액 검사, 골밀도 검사, 방사선 사진 등을 통해 진단한다. 예방 및 치료를 위해서는 충분한 햇빛 노출, 비타민 D 및 칼슘 섭취가 중요하며, 심한 변형의 경우 수술적 교정이 필요할 수 있다. 2010년대 이후 대한민국에서는 자외선 기피, 모유 수유, 알레르기 질환 대책 등으로 인해 구루병 발생이 증가하는 경향을 보이고 있다.
더 읽어볼만한 페이지
- 비타민 D - 칼시트리올
칼시트리올은 활성형 비타민 D로서, 위장관 칼슘 흡수 촉진, 신장 칼슘 재흡수 증가, 뼈 칼슘 방출 자극을 통해 혈중 칼슘 농도를 높이는 역할을 하며, 저칼슘혈증, 골다공증 치료에 사용되지만 고칼슘혈증 부작용을 일으킬 수 있다. - 비타민 D - 골연화증
골연화증은 비타민 D 부족으로 뼈의 무기질화에 장애가 생겨 뼈가 약해지는 질환으로, 뼈 통증, 근력 약화, 보행 장애를 유발하며 방사선 및 혈액 검사로 진단하고 비타민 D 보충과 원인 질환 치료를 통해 개선을 목표로 한다. - 비타민 결핍 - 코르사코프 증후군
코르사코프 증후군은 티아민 결핍으로 발생하는 신경정신 질환으로, 심각한 기억 상실과 작화를 보이며, 알코올 중독이나 영양실조가 원인이고, 티아민 보충과 재활 치료로 증상 완화 및 기능 회복을 목표로 하며, 예방을 위해서는 알코올 중독 예방과 균형 잡힌 식단 유지가 중요하다. - 비타민 결핍 - 괴혈병
괴혈병은 비타민 C 부족으로 생기는 병으로, 잇몸에서 피가 나거나 피부에 문제가 생기고 상처가 잘 낫지 않는 증상이 나타나며, 감귤류를 먹으면 예방하거나 치료할 수 있다. - 골격계 질환 - 관절염
관절염은 관절에 염증이 생겨 통증, 부종, 강직 등을 유발하는 질환을 통칭하며, 다양한 종류가 있고, 약물 치료, 물리 치료, 수술적 치료 등으로 치료하며, 고령화 사회에서 유병률이 증가할 것으로 예상된다. - 골격계 질환 - 척추측만증
척추측만증은 척추가 옆으로 굽는 질환으로, 10도 이상의 콥 각도를 기준으로 진단하며, 만곡 정도와 골격 성숙도에 따라 관찰, 보조기 착용, 수술 등의 치료를 시행한다.
| 구루병 | |
|---|---|
![]() | |
| 분야 | 소아청소년과, 류머티스학, 영양학 |
| 증상 | 내반각, 왜소 생장, 뼈 통증, 넓은 이마, 수면 장애 |
| 합병증 | 골절, 근육 연축, 척추측만증, 지적 장애 |
| 발병 시기 | 아동기 |
| 원인 | 비타민 D 또는 칼슘 부족 식단, 햇빛 노출 부족, 보충제 없는 모유 수유, 실리악병, 특정 유전 질환 |
| 진단 | 혈액 검사, X선 검사 |
| 감별 진단 | 판코니 증후군, 괴혈병, 로위 증후군, 골연화증 |
| 예방 | 모유 수유 아기의 비타민 D 보충 |
| 치료 | 비타민 D와 칼슘 |
| 빈도 | 비교적 흔함 (중동, 아프리카, 아시아) |
2. 원인
구루병의 원인은 크게 유전적 요인, 후천적 요인, 약물성 요인으로 나눌 수 있다.
- 후천적 요인:
- 비타민 D 부족: 음식 섭취 부족, 햇빛(자외선) 노출 부족이 주된 원인이다. 최근에는 단순 섭취 부족보다는 선천성 대사 장애가 원인인 경우가 많다.[20][21] 햇빛, 특히 자외선은 피부 세포가 비타민 D를 활성 상태로 전환하도록 돕는다. 비타민 D가 부족하면 식이성 칼슘이 제대로 흡수되지 않아 저칼슘혈증을 유발하고, 골격 및 치아 기형과 신경근 증상(예: 과흥분성)으로 이어진다.[29]
- 칼슘 부족: 비타민 D 결핍과 함께 구루병의 주요 원인 중 하나이다. 특히 곡물 위주의 식단으로 칼슘 섭취가 부족한 경우 발생 위험이 높다.[25]
- 인 부족: 저인산염증이나 저인산혈증과 같이 유아의 뼈를 약하게 만드는 질병은 구루병으로 이어질 수 있다.[27]
- 기타: 흡수 장애[86], 대사 이상[87], 임신[90], 저체중아[91] 등이 있다.
- 유전적 요인:
- 비타민 D 의존성 구루병 (VDDR)[52]
- 1형: 활성화 부전 (VDDR1A, VDDR1B)
- 2형: 칼시트리올 저항성 (VDDR2A, VDDR2B)
- 저인산혈증 관련 구루병[51][53]
- 비타민 D 저항성 구루병
- 상염색체 우성 저인산혈증성 구루병 (ADHR)
- 상염색체 열성 저인산혈증성 구루병 (ARHR)
- 약물성 요인: 항경련제[92][93][94], 항B형 간염 바이러스제[95], 빈혈 치료 철제[96] 등에 의해 발생할 수 있다.

기타 요인:
- 환경 불일치: 흑인이 고위도 지역으로 이주하는 경우처럼, 이전 환경과 현재 환경 간의 불일치로 인해 비타민 D 결핍이 발생하여 구루병이 나타날 수 있다.[37][73]
- 문화적 요인: 종교적 이유 등으로 햇빛을 차단하는 옷을 입는 경우 구루병 발생 위험이 높아질 수 있다.[38][39]
- 산업혁명 시기 런던에서는 짙은 안개와 산업 매연으로 인해 햇빛이 차단되어 많은 어린이들이 구루병을 앓았다.[33]
구루병 발생 위험이 높은 대상은 다음과 같다.
- 태양에 노출되지 않은 어머니에게서 모유 수유하는 유아
- 태양에 노출되지 않거나, 거의 노출되지 않은 모유 수유 유아
- 사춘기 성장 급증을 겪는 청소년[26]
- 비타민 D 또는 칼슘이 부족한 식단을 하는 어린이
2. 1. 비타민 D 부족
비타민 D 결핍의 주된 원인은 음식 섭취 부족과 햇빛(자외선) 노출 부족이다. 최근에는 단순 섭취 부족보다는 선천성 대사 장애가 원인인 경우가 많다.[20][21]모체의 비타민 D 결핍은 태아에게 골 질환을 일으키고, 출생 후에도 골 품질 저하를 유발할 수 있다.[20][21] 비타민 D는 혈청 인산염과 칼슘 수치를 조절하여 뼈의 광물화를 돕는다.[22] 모유 수유만 하는 유아는 비타민 D 보충제나 햇빛 노출을 통해 구루병을 예방해야 한다.[24]
일조량이 많은 국가에서도 곡물 위주의 식단으로 칼슘 섭취가 부족하면 구루병이 발생할 수 있다.[25]
구루병 발생 위험이 높은 경우는 다음과 같다.
- 태양에 노출되지 않은 어머니에게서 모유 수유하는 유아
- 태양에 노출되지 않은 모유 수유 유아
- 태양에 거의 노출되지 않는 아기
- 사춘기 성장 급증을 겪는 청소년[26]
- 비타민 D 또는 칼슘이 부족한 식단을 하는 어린이
저인산염증이나 저인산혈증과 같이 뼈를 약하게 만드는 질병도 구루병의 원인이 될 수 있다.[27] 스트론튬 과다 섭취도 구루병을 유발할 수 있다.[28]
햇빛, 특히 자외선은 피부 세포가 비타민 D를 활성 상태로 전환하도록 돕는다. 비타민 D 부족은 저칼슘혈증을 유발하여 골격 및 치아 기형, 신경근 증상을 일으킨다. 비타민 D 함유 음식에는 버터, 계란, 어류 간유, 마가린, 비타민 D 강화 우유 및 주스, 양송이버섯, 표고버섯, 기름진 생선(참치, 청어, 연어 등)이 있다. 드물게 X-연관 우성 유전 형태인 비타민 D 저항성 구루병도 존재한다.[29]
자외선 차단제 사용, 햇빛 노출 부족 등으로 인해 다양한 사회적 배경을 가진 어린이들에게서 구루병 발생 사례가 보고되고 있다. 피부색이 어두운 사람들은 비타민 D 합성을 위해 더 많은 햇빛이 필요하다.[31][32]
산업혁명 기간 동안 런던에서는 짙은 안개와 산업 매연으로 햇빛이 차단되어 많은 어린이들이 구루병을 앓았다.[33]
피부색과 위도의 상관관계는 태양 자외선에 대한 적응적 선택의 결과로 여겨진다. 고위도 지역에서는 밝은 피부가, 적도 근처 저위도 지역에서는 어두운 피부가 유리하다.[35] 이누이트족은 비타민 D가 풍부한 식단을 섭취하여 햇빛 합성 필요성이 낮다.[36]
비타민 D 결핍은 개인의 이전 환경과 현재 환경 간의 불일치로 인해 발생할 수 있다.[37] 종교적 이유로 햇빛을 차단하는 옷을 입는 경우에도 구루병이 발생할 수 있다.[38][39]
여러 국가의 비타민 D 부족 현황(25-하이드록시비타민 D 수치 기준)은 다음과 같다.[40]
- 유럽 거주 아시아 이민자: 비타민 D 결핍 위험 증가. 네덜란드 비서구권 이민자 40%, 터키/모로코 이민자 80% 이상.
- 중동: 높은 일조량에도 불구, 구루병 발생률 높음.[42] 문화적 관습, 모유 수유 여성 비타민 D 보충 부족, 사회경제적 요인 등이 원인. 이란/사우디아라비아 청소년 소녀 70~80% 비타민 D 부족.
- 미국: 민족에 따라 차이. 70세 이상 여성 중 비히스패닉 백인 28.5%, 멕시코계 미국인 55%, 비히스패닉 흑인 68% 낮은 혈청 25(OH)D 수치. 남성은 각각 23%, 45%, 58%.
코크란 라이브러리의 체계적 검토에 따르면, 터키와 중국의 3세 미만 어린이를 대상으로 한 연구에서 비타민 D 섭취가 구루병 발생 감소와 관련이 있었다.[43]
흑인이 고위도 지역으로 이주한 경우, 식품 섭취만으로는 비타민 D가 부족하여 구루병이 발생할 수 있다.[73] 미용 목적 자외선 회피 임산부, 산모, 모유 수유 유아, 유색인종에게서도 발생하기 쉽다.[74][75]
구루병의 원인은 다양하며, 비타민 D 결핍[77][78], 신장/간 장애[79], 소화관 절제[80], 신장 질환[81] 등이 있다.
구루병의 후천적 요인으로는 부적절한 식습관(비타민 D, 칼슘 섭취 부족)이 대표적이다. 피부가 자외선을 받으면 비타민 D가 생성되지만[85], 간/신장 기능 이상 시에는 효과가 없다.
구루병의 기타 원인:
- 식습관(영양형): 칼슘, 비타민 D 섭취 부족 (자외선 노출 부족 동반)
- 흡수 장애: 소화관 장애로 칼슘 흡수 불가[86]
- 대사 이상[87]: 흡수 저하, 인산 배설 과다, 비타민 D 저항성, 신세뇨관 질환, 저인산혈증[88], 만성 대사성 산증, 부갑상선 기능 항진증[89], 판코니 증후군
- 임신: 태아에게 골염분 공급[90]
- 저체중아: 1000g 이하 저체중아, 1500g 이하 극소 미숙아[91]
- 약제성: 항경련제[92][93][94], 항B형 간염 바이러스제[95], 빈혈 치료 철제[96] 등
2. 2. 칼슘 부족
모체의 결핍은 출생 전부터 골 질환을 일으키고 출생 후 골 품질 저하를 유발할 수 있다.[20][21] 선천성 구루병의 주요 원인은 어머니 혈액 내 비타민 D 결핍이다.[21] 비타민 D는 혈청 인산염과 칼슘 수치가 뼈의 광물화를 촉진하기에 충분하도록 한다.[22]나이지리아, 남아프리카 공화국, 방글라데시와 같은 일조량이 많은 국가에서는 태양 노출로 인해 내인성 비타민 D가 충분하지만, 이러한 국가에서는 나이가 많은 유아와 어린이에게서 이 질환이 발생하는데, 이는 주로 곡물 기반 식단으로 인한 낮은 식이 칼슘 섭취량 때문이다.[25]
구루병 발생 위험이 높은 대상은 다음과 같다.
- 태양에 노출되지 않은 어머니에게서 모유 수유하는 유아
- 태양에 노출되지 않은 모유 수유 유아
- 태양에 거의 노출되지 않은 모유 수유 아기
- 특히 사춘기 성장 급증을 겪는 청소년[26]
- 비타민 D 또는 칼슘이 충분하지 않은 식단을 하는 모든 어린이
스트론튬은 칼슘의 뼈 흡수와 관련이 있으며, 과도한 식이 스트론튬은 구루병을 유발하는 작용(rachitogenic)을 한다.[28]
후천적인 요인의 전형적인 원인은 부적절한 식습관으로, 칼슘 섭취 부족이 발생하는 경우이다.
2. 3. 인 부족
모체의 인 결핍은 출생 전부터 골 질환을 일으키고 출생 후 골 품질 저하를 유발할 수 있다.[20][21] 선천성 구루병의 주요 원인은 어머니 혈액 내 비타민 D 결핍이다.[21] 비타민 D는 혈청 인산염과 칼슘 수치가 뼈의 광물화를 촉진하기에 충분하도록 한다.[22] 선천성 구루병은 심한 골연화증, 치료받지 않은 셀리악병, 흡수장애, 자간전증, 그리고 조산을 포함한 다른 모체 질환으로 인해 발생할 수도 있다.[20]모유 수유만 하는 유아는 비타민 D 보충제 또는 증가된 일광 노출을 통해 구루병 예방이 필요할 수 있다.[24]
나이지리아, 남아프리카 공화국, 방글라데시와 같은 일조량이 많은 국가에서는 태양 노출로 인해 내인성 비타민 D가 충분하다. 그러나 이러한 국가에서는 나이가 많은 유아와 어린이에게서 구루병이 발생하는데, 이는 주로 곡물 기반 식단으로 인한 낮은 식이 칼슘 섭취량 때문이다.[25]
구루병 발생 위험이 높은 대상은 다음과 같다.
- 태양에 노출되지 않은 어머니에게서 모유 수유하는 유아
- 태양에 노출되지 않은 모유 수유 유아
- 태양에 거의 노출되지 않은 모유 수유 아기
- 특히 사춘기 성장 급증을 겪는 청소년[26]
- 비타민 D 또는 칼슘이 충분하지 않은 식단을 하는 모든 어린이
저인산염증이나 저인산혈증과 같이 유아의 뼈를 약하게 만드는 질병도 구루병으로 이어질 수 있다.[27]
스트론튬은 칼슘의 뼈 흡수와 관련이 있다. 과도한 식이 스트론튬은 구루병을 유발하는 작용을 한다.[28]
2. 4. 유전적 요인
최근에는 단순한 비타민 D 섭취 부족보다는 선천적인 대사 장애로 인해 구루병이 발생하는 경우가 많다. 저인산혈증성 구루병이 대표적인 예이다.[20][21]비타민 D 의존성 구루병(VDDR)은 활성화 부전(1형)과 칼시트리올 저항성(2형)으로 나뉜다.[52]
- VDDR1A: 25-하이드록시비타민 D3 1-알파-하이드록실라제 결핍
- VDDR1B: CYP2R1 결핍
- VDDR2A: 칼시트리올 수용체 돌연변이
- VDDR2B: 신호 전달을 방해하는 알려지지 않은 핵 리보핵단백질
저인산혈증 관련 구루병에는 다음과 같은 선천성 질환이 있다.[51][53]
- 비타민 D 저항성 구루병
- 상염색체 우성 저인산혈증성 구루병 (ADHR)
- 상염색체 열성 저인산혈증성 구루병 (ARHR)
팬코니 증후군 또한 유전적 요인으로 인해 발생하는 구루병의 일종이다.
비타민 D 의존성 구루병 I형·II형은 상염색체 열성 유전 방식을 따르며, 저인산혈증성 구루병은 X 염색체 우성 유전 방식을 따른다.[82] X 염색체 이상에 의한 저인산혈증성 골연화증이 가장 흔하며, 유전성 판코니 증후군이라고도 불린다.[83][84]
2. 5. 기타 요인
비타민 D 결핍의 주요 원인은 음식 섭취 부족과 햇빛(자외선) 노출 부족이다. 최근에는 단순 섭취 부족보다는 저인혈성 구루병과 같은 선천적 대사 장애가 원인인 경우가 많다.[20][21]모체의 비타민 D 결핍은 출생 전부터 아이에게 골 질환을 일으키고, 출생 후에도 뼈 품질 저하를 유발할 수 있다.[20][21] 비타민 D는 혈청 인산염과 칼슘 수치를 조절하여 뼈의 광물화를 돕는다.[22] 선천성 구루병은 심한 골연화증, 치료받지 않은 셀리악병, 흡수장애, 자간전증, 조산 등 산모의 질환으로 인해 발생할 수 있다.[20] 산전 관리 시 비타민 수치를 확인하고 부족하면 보충해야 한다.[23]
모유 수유만 하는 유아는 비타민 D 보충제나 햇빛 노출을 늘려 구루병을 예방해야 한다.[24] 나이지리아, 남아프리카 공화국, 방글라데시처럼 햇빛이 충분한 나라에서도 곡물 위주의 식단으로 인해 칼슘 섭취가 부족하면 구루병이 발생할 수 있다.[25]
구루병 발생 위험이 높은 대상
- 태양에 노출되지 않은 어머니에게서 모유 수유하는 유아
- 태양에 노출되지 않거나, 거의 노출되지 않은 모유 수유 유아
- 사춘기 성장 급증을 겪는 청소년[26]
- 비타민 D 또는 칼슘이 부족한 식단을 하는 어린이
저인산염증이나 저인산혈증처럼 유아의 뼈를 약하게 만드는 질병도 구루병의 원인이 될 수 있다.[27] 스트론튬 과다 섭취는 칼슘의 뼈 흡수를 방해하여 구루병을 유발할 수 있다.[28]
피부색과 위도의 관계는 태양 자외선에 대한 적응 결과로 설명된다. 고위도 지역에서는 7-데히드로콜레스테롤로부터 비타민 D를 생성하기 위해 자외선을 잘 통과시키는 밝은 피부가 유리하다. 반면, 적도 근처 저위도 지역에서는 독성 수준의 비타민 D와 피부암을 막기 위해 자외선을 차단하는 어두운 피부가 유리하다.[35] 이누이트족처럼 피부색이 어두운 북극 지역 주민들은 비타민 D가 풍부한 식단을 통해 비타민 D를 섭취하므로 햇빛을 통한 비타민 D 합성에 대한 선택압이 낮다.[36]
환경 불일치: 교통 수단의 발달과 도시 인구 증가로 인해 이전 환경과 현재 환경 간의 불일치가 발생하여 비타민 D 결핍이 나타날 수 있다.[37] 어두운 피부색을 가진 사람이 고위도 지역에 거주하거나, 종교적 이유로 햇빛을 차단하는 옷을 입는 경우에도 구루병이 발생할 수 있다.[38][39]
여러 국가의 비타민 D 부족 현황을 측정한 연구에 따르면, 유럽에 거주하는 아시아 이민자들은 비타민 D 결핍 위험이 높다. 네덜란드의 비서구권 이민자 중 40%, 터키와 모로코 이민자 중 80% 이상이 비타민 D 부족을 겪고 있다. 중동은 일조량이 높음에도 불구하고 전 세계적으로 구루병 발생률이 가장 높다.[42] 이는 문화적 관습으로 인한 햇빛 노출 제한과 모유 수유 여성의 비타민 D 보충 부족 때문으로 설명된다. 이란과 사우디아라비아 청소년 소녀의 최대 70%와 80%가 비타민 D 부족을 경험한다. 사회경제적 요인도 영향을 미친다.
미국에서는 비타민 D 부족이 민족에 따라 다르다. 70세 이상 여성의 경우, 비히스패닉 백인 28.5%, 멕시코계 미국인 55%, 비히스패닉 흑인 68%가 낮은 혈청 25(OH)D 수치를 보였다. 남성의 경우 각각 23%, 45%, 58%였다.
코크란 라이브러리의 체계적 검토에 따르면, 터키와 중국의 3세 미만 어린이를 대상으로 한 연구에서 비타민 D 섭취가 구루병 발생 감소와 관련이 있었다. 터키에서는 비타민 D를 섭취한 어린이가 그렇지 않은 어린이에 비해 구루병 발생 가능성이 4%에 불과했다. 중국에서는 비타민 D, 칼슘, 영양 상담을 병행하면 구루병 위험이 감소했다.[43] 부모는 자녀의 비타민 D 결핍 위험이 우려되면 비타민 D 강화 음료로 영양 섭취를 보충할 수 있다.[44] 최근 연구에서는 네오케이트 분유의 배타적 섭취가 구루병과 관련이 있다고 보고되었다.[45]
흑인이 고위도 지역으로 이주하면 식품을 통한 비타민 D 섭취량이 충분하지 않을 경우, 자외선 부족으로 인해 유아에게 구루병이 발생할 수 있다.[73] 미용 목적으로 자외선을 피하는 임산부, 산모, 모유 수유 유아에게서도 발생하기 쉽다.[74][75] 개, 고양이, 쥐, 도마뱀 등 어린 척추동물에게서도 발생할 수 있다.
구루병은 17세기 영국에서 처음 보고되었다. 제2차 세계 대전 이전 일본에서는 '''구루병'''(背虫, 僂)이라고도 불렸지만, 현대에는 차별적 표현으로 인식된다.[76]
구루병에 걸린 소아는 골단부 성장판 연골의 골화 장애로 척추 및 사지골의 만곡이나 변형이 나타난다. 뼈 성장이 끝난 후 발생하는 유사한 병태는 골연화증이라고 한다. 골연화증은 골다공증을 동반할 수 있다.
인간의 구루병과 골연화증의 원인은 다양하다. 비타민 D 결핍[77][78], 신장 장애나 간 장애 등에 의한 비타민 D 활성화 장애[79] 등 비타민 D 관련 원인이 있으며, 이 경우 활성화된 비타민 D 부족으로 장관에서 칼슘 흡수 장애가 발생한다. 소화관 대규모 절제 수술 후에도 칼슘 흡수 장애로 구루병이나 골연화증이 발생할 수 있다.[80] 신장 질환으로 인한 칼슘 재흡수 장애도 원인이 될 수 있다.[81] 원인에 따라 적절한 치료를 선택해야 한다.
구루병은 유전적, 후천적, 약물성으로 나눌 수 있다. 후천적 요인의 대표적인 예는 비타민 D나 칼슘 섭취 부족과 같은 부적절한 식습관이다. 골염분 섭취 부족은 보충하기 어렵지만, 비타민 D는 피부가 자외선을 받으면 보충할 수 있다. 인간은 프로비타민 D₃ (7-''dehydrocholesterol'')와 290 nm~315 nm의 자외선을 통해 피부에서 비타민 D를 생성한다.[85] 그러나 피부에서 비타민 D가 생성되어도 간이나 신장에서 비타민 D 활성화가 충분하지 않으면 보충할 수 없다.
기타 요인:
- 식습관(영양형): 칼슘, 비타민 D 섭취 부족.
- 자외선(햇빛) 노출 및 비타민 D 섭취 부족이 동시에 발생하면 임상 증상이 나타날 수 있다.
- 흡수 장애: 체내 활성 비타민 D 부족 외에, 소화관 장애로 칼슘 등을 충분히 흡수하지 못하는 경우도 있다.[86]
- 대사 이상[87]: 흡수 저하, 인산 배설량 과다, 비타민 D 효과 저항성.
- 신세뇨관 질환, 저인산혈증[88], 만성 대사성 산증, 부갑상선 기능 항진증[89], 판코니 증후군
- 임신: 임산부는 태아에게 골염분을 공급하기 위해 골연화증이 발생할 수 있다.[90]
- 저체중아: 1000g 이하 저체중아나 1500g 이하 극소 미숙아에게서 빈발한다.[91]
- 약제성: 항경련제 부작용[92][93][94], 항B형 간염 바이러스제[95], 빈혈에 대한 철제[96] 등에서 보고된다.
3. 증상
영양 결핍성 구루병의 징후 및 증상으로는 뼈의 압통과 골절, 특히 녹색골절에 대한 취약성이 포함될 수 있다.[14] 영아에게는 두개연화증(부드럽고 얇아진 두개골 뼈)이 나타날 수 있는데,[15][16] 이는 구루병의 첫 번째 징후이다. 두개골 돌출이 나타날 수 있으며 천문의 폐쇄가 지연될 수 있다.
어린아이는 O다리와 두꺼워진 발목과 손목이 있을 수 있으며,[17] 나이가 많은 아이는 안짱다리가 있을 수 있다.[14] 척추 측만증 또는 요추 척추전만증의 척추 만곡이 나타날 수 있다. 골반뼈가 변형될 수 있다. 구루병 염주는 늑골연골관절에 형성되는 결절로 인한 두꺼워짐으로 인해 발생할 수 있다. 이는 몸의 양쪽에 선을 따라 각 늑골의 중앙에 보이는 혹으로 나타나며, 묵주와 비슷하여 그 이름이 붙었다. 비둘기 가슴[14]의 변형으로 해리슨의 홈이 나타날 수 있다.
혈중 칼슘 수치가 낮은 저칼슘혈증은 테타니(조절되지 않는 근육 경련)를 유발할 수 있다. 치아 문제도 발생할 수 있다.[14]
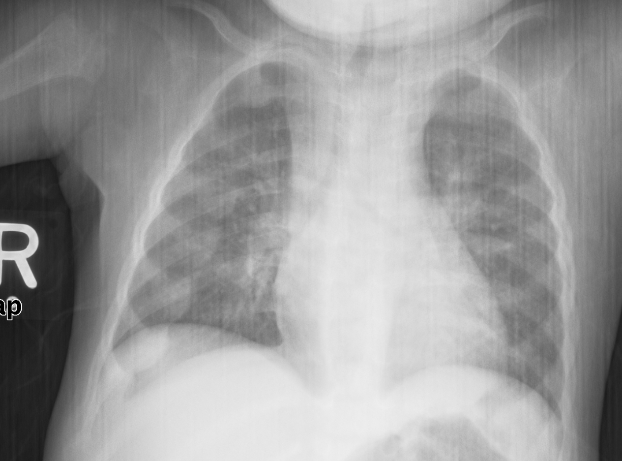
X선 또는 방사선 사진은 구루병의 고전적인 양상(O다리, 변형된 가슴)을 보여준다. 두개골의 변화도 발생하여 "사각형 머리" 모양인 "사각두"가 나타난다.[18] 이러한 변형은 치료하지 않으면 성인기에도 지속된다. 장기적인 결과로는 장골의 영구적인 만곡 또는 변형과 굽은 등이 있다.[19]
모든 연령대에서 근육통, 근력 저하, 골통 등이 발생할 수 있다. 구체적인 골 변형은 다음과 같다.
| 부위 | 증상 |
|---|---|
| 두부 | 두개골의 연화 (두개연화증), 대천문 이개·폐쇄불능 |
| 흉부 | 구루병 염주 (늑골의 골연골 결합부의 확대), 깔때기가슴, 새가슴 |
| 사지 | O다리, X다리 |
| 척주 | 척추측만증, 척추전만증, 척추후만증 |
| 치아 | 법랑질 형성불량 |
저칼슘혈증으로 인해 다음과 같은 증상이 나타날 수 있다.
- 부갑상선 기능항진증: 저칼슘혈증을 개선하기 위해 부갑상선이 활성화되어 뼈에서의 칼슘 동원을 활발하게 한다. 방치하면 골연화증은 악화된다.
- 테타니: 저칼슘혈증을 동반하는 경련.
- 근긴장 저하: 근육의 수축에는 칼슘 이온이 필수적이다.
그 외에, 저신장, 개구리 배, 불안 등의 증상을 일으키는 경우도 있다.
4. 진단



구루병은 다음과 같은 방법으로 진단할 수 있다.
- 혈액 검사:[46]
- 혈청 칼슘 수치가 낮을 수 있으며, 혈청 인 수치도 낮을 수 있다. 뼈 모양이나 구조의 변화로 인해 혈청 알칼리성 인산가수분해효소 수치가 높을 수 있으며, 이는 사지와 관절의 비대로 나타날 수 있다.
- 골밀도 검사를 실시할 수 있다.[46]
- 방사선 사진에서는 일반적으로 석회화되지 않은 골기질로 인해 일시적 석회화 영역이 넓어지는 것을 보여준다. 컵 모양 변형, 섬유화, 골단의 벌어짐은 성장과 지속적인 체중 부하와 함께 나타난다.[47] 이러한 변화는 상완골 근위부, 요골 원위부, 대퇴골 원위부, 경골 근위부와 원위부를 포함한 빠른 성장 부위에서 주로 관찰된다. 따라서 구루병에 대한 골격 전반 검사는 무릎, 손목 및 발목의 전후 방사선 사진으로 수행할 수 있다.[47]
- 수의학 분야에서는 M.M. Orlov와 A.V. Savinkov가 고안한 초음파 에코스테오미터를 사용하여 구루병, 골이영양증 및 무기질 대사 장애를 진단한다.[48][49][50]
- 촉진 - 영아의 경우 두개골 전체가 연화(두개연화증)되므로, 후두부와 두정골 후방이 부드럽게 느껴진다.
- 혈청 내 25-히드록시비타민 D 농도 측정.[97] 25OHD 등으로 줄여 쓰기도 한다. 검사법에 따른 차이도 지적되고 있지만, 일본소아내분비학회의 『비타민 D 결핍성 구루병·저칼슘혈증의 진단의 지침』에서는 25OHD가 20ng/mL (50 nmol/L) 이하인 경우를 혈청 25OHD 저농도로 하고 있다.[98]
골연골이형성증은 유전성 골 질환으로 알려져 있으며, 골 변형이라는 측면에서 구루병의 임상 양상을 모방할 수 있다.[54] X선 사진 및 혈청 칼슘, 인, 알칼리성 인산가수분해효소의 혈액 검사 결과는 중요한 감별 요소이다. 블런트병은 무릎 변형을 구루병과 유사하게(즉, O자형 다리 또는 내반슬) 유발하기 때문에 중요한 감별 진단이다. 구루병을 앓는 영아는 골절이 발생할 수 있으며, 이는 때때로 아동 학대 의혹으로 이어지기도 한다. 이 문제는 온대 기후에서 겨울철, 영양 상태가 불량하고 비타민 D 보충제를 복용하지 않는 흑인 어머니의 모유 수유만 하는 영아에게서 더 흔하게 나타나는 것으로 보인다.[55] 같은 양의 햇빛을 받더라도 피부색이 어두운 사람은 피부색이 밝은 사람보다 비타민 D를 덜 생산한다.[56]
5. 예방 및 치료
구루병 치료에는 칼슘, 인산염, 비타민 D 섭취를 늘리는 것이 포함된다. 자외선 B 광선(태양이 하늘 높이 떠 있을 때 가장 쉽게 얻을 수 있음), 코드 간유, 넙치 간유 및 비오스테롤은 모두 비타민 D의 공급원이다.[57]
매일 충분한 양의 자외선 B 광선을 햇볕으로 쬐고 식단에 충분한 칼슘과 인을 섭취하면 구루병을 예방할 수 있다. 피부가 어두운 사람은 자외선에 더 오래 노출되어야 한다. 자외선 요법과 약물을 사용하여 비타민 D를 보충하면 구루병을 치료할 수 있다.[11]
영아와 어린이의 경우 하루에 400국제단위(IU)의 비타민 D를 섭취하는 것이 권장된다. 비타민 D는 신체가 칼슘을 흡수하여 적절한 골화 및 유지를 위해 사용할 수 있도록 하는 데 필수적이다.[58] 충분한 비타민 D 수치는 식이 보충제 섭취 및/또는 햇빛 노출을 통해서도 달성할 수 있다. 비타민 D₃(콜레칼시페롤)는 비타민 D₂보다 흡수가 더 용이하기 때문에 선호되는 형태이다. 대부분의 피부과 전문의들은 햇빛 노출과 관련된 피부암 위험 증가 때문에 비타민 D 보충제를 권장한다. 전신이 햇빛에 노출되었을 때 내생적으로 생성되는 양은 하루 약 250 μg(10,000 IU)이다.[59]
미국소아과학회(AAP)에 따르면, 모유 수유만 하는 영아를 포함한 모든 영아는 하루 최소 17USfloz의 비타민 D 강화 우유 또는 분유를 마시기 시작할 때까지 비타민 D 보충제가 필요할 수 있다.[60]
최근 코크란의 체계적 문헌 고찰은 영양성 구루병 어린이의 치유에 비타민 D와 칼슘 또는 칼슘 단독이 비타민 D와 비교하여 효과가 있다는 제한적인 증거를 발견했다.[61]
기본적으로는 식사 지도 등을 병행하여 비타민 D 제제와 칼슘 함유 제제를 투여한다. 다만, 유아의 경우 22,000 IU/일을 초과하는 비타민 D 투여는 위험성이 있다고 지적되고 있다.[87] 또한, 비타민 D 활성화 장애가 원인인 경우에는 체내에서의 활성화가 필요 없는 활성형 비타민 D를 투여해야 하는 등, 원인에 따라 치료법이 다를 수 있다.
심한 경우에는 수술이 필요할 수 있다. 구루병으로 인한 변형의 수술적 교정은 골절골술 또는 유도 성장 수술을 통해 이루어질 수 있다. 유도 성장 수술은 교정적 골절골술의 사용을 거의 대체하였다. 골절골술은 사지 변형을 급성/즉각적으로 교정하는 반면, 유도 성장은 점진적인 교정을 통해 작용한다.
5. 1. 예방
구루병은 충분한 햇빛을 쬐고, 균형 잡힌 영양을 섭취하면 예방할 수 있다. 열대 지방에서는 햇빛을 통해 피부에서 비타민 D가 합성되므로 구루병이 드물다. 북극 지방에서도 생선을 통해 비타민 D를 섭취하므로 구루병이 적다. 비타민 D가 풍부한 계란, 우유를 주식으로 하는 유럽에서도 드물다. 식이성 칼슘 결핍, 만성 설사, 만성 신장염 등도 비슷한 발육 장애를 유발할 수 있다.[20][21]산모의 비타민 D 결핍은 태아의 골 질환과 출생 후 골 품질 저하를 유발할 수 있다.[20][21] 비타민 D는 혈청 인산염과 칼슘 수치를 조절하여 뼈의 광물화를 돕는다.[22] 산전 관리에는 비타민 수치 확인 및 결핍 시 보충이 포함된다.[23]
모유 수유만 하는 유아는 비타민 D 보충제나 햇빛 노출을 늘려 구루병을 예방할 수 있다.[24] 나이지리아, 남아프리카 공화국, 방글라데시 등 햇빛이 풍부한 국가에서는 비타민 D가 충분하지만, 곡물 위주의 식단으로 칼슘 섭취가 부족한 유아와 어린이에게서 구루병이 발생하기도 한다.[25]
구루병 발생 위험이 높은 경우는 다음과 같다.
- 햇빛을 충분히 쬐지 못한 산모에게서 모유 수유를 받는 유아
- 햇빛을 충분히 쬐지 못하는 모유 수유 유아
- 사춘기 성장 급증을 겪는 청소년[26]
- 비타민 D 또는 칼슘이 부족한 식단을 섭취하는 어린이
저인산염증, 저인산혈증 등 유아의 뼈를 약하게 만드는 질병도 구루병을 유발할 수 있다.[27]
스트론튬 과다 섭취는 구루병을 유발할 수 있다.[28] 햇빛, 특히 자외선은 피부 세포가 비타민 D를 활성 상태로 전환하도록 돕는다. 비타민 D 부족은 칼슘 흡수를 방해하여 저칼슘혈증, 골격 및 치아 기형, 신경근 증상을 유발한다. 비타민 D 함유 음식은 버터, 계란, 생선 간유, 마가린, 비타민 D 강화 우유 및 주스, 양송이버섯, 표고버섯, 기름진 생선(참치, 청어, 연어 등)이 있다. 비타민 D 저항성 구루병(X-연관 저인산혈증)이라는 희귀한 X-연관 우성 질환도 있다.[29]
최근 영국에서는[30] 자외선 차단제 사용, 과도한 옷 착용, 실내 활동 증가 등으로 인해 다양한 계층의 어린이들에게서 구루병이 발생하고 있다. 종교적/문화적 이유로 햇빛 노출을 피하거나 피부색이 어두운 경우에도 발생한다.[31][32]
구루병은 산업혁명 시기 런던에서 심각한 문제였다. 짙은 안개와 매연으로 햇빛이 차단되어 어린이의 최대 80%가 구루병을 앓았다.[33] 일부 외국어에서는 "영국병"으로 불린다.[34]
피부색과 위도의 상관관계는 태양 자외선에 대한 적응 결과로 여겨진다. 고위도에서는 밝은 피부가, 적도 부근에서는 어두운 피부가 유리하다.[35] 이누이트족은 비타민 D가 풍부한 식단을 섭취하여 햇빛을 통한 비타민 D 합성 필요성이 적다.[36]
교통 발달과 도시화로 인해 이전 환경과 현재 환경 간 불일치로 비타민 D 결핍이 발생할 수 있다.[37] 종교적 이유로 햇빛을 가리는 옷을 입는 경우에도 구루병이 발생할 수 있다.[38][39]
Mithal 등의 연구[40]에서 25-하이드록시비타민 D 수치를 기준으로 여러 국가의 비타민 D 부족 현황을 측정하였다. 유럽 거주 아시아 이민자들은 비타민 D 결핍 위험이 높다. 네덜란드 비서구권 이민자의 40%, 터키와 모로코 이민자의 80% 이상이 비타민 D 부족을 겪는다. 중동은 일조량이 많음에도 구루병 발생률이 높다.[42] 이는 햇빛 노출 제한, 모유 수유 여성의 비타민 D 보충 부족, 사회경제적 요인 등으로 설명된다. 이란과 사우디아라비아 청소년 소녀의 최대 70~80%가 비타민 D 부족을 겪는다.
코크란 라이브러리 연구에 따르면, 터키와 중국의 3세 미만 어린이를 대상으로 비타민 D와 구루병 사이의 연관성을 확인했다. 터키에서 비타민 D를 섭취한 어린이는 구루병 발생률이 4%였다. 중국에서는 비타민 D, 칼슘, 영양 상담을 병행하면 구루병 위험이 감소했다.[43]
자녀의 비타민 D 결핍이 우려되면 비타민 D 강화 음료로 보충할 수 있다.[44]
치료를 위해서는 칼슘, 인산염, 비타민 D 섭취를 늘려야 한다. 자외선 B 광선, 코드 간유, 넙치 간유, 비오스테롤은 비타민 D 공급원이다.[57]
충분한 자외선 B 광선을 쬐고 칼슘과 인을 충분히 섭취하면 구루병을 예방할 수 있다. 피부가 어두운 사람은 더 오래 햇빛을 쬐어야 한다. 자외선 요법과 약물로 비타민 D를 보충하면 구루병을 치료할 수 있다.[11]
영아와 어린이는 하루 400IU의 비타민 D 섭취가 권장된다. 비타민 D는 칼슘 흡수에 필수적이다.[58] 충분한 비타민 D는 보충제나 햇빛 노출로 얻을 수 있다. 비타민 D₃(콜레칼시페롤)는 흡수가 용이하여 선호된다. 대부분의 피부과 전문의는 피부암 위험 때문에 비타민 D 보충제를 권장한다. 햇빛에 전신 노출 시 하루 약 250μg(10,000IU)의 비타민 D가 생성된다.[59]
미국소아과학회(AAP)에 따르면, 모든 영아는 하루 최소 의 비타민 D 강화 우유 또는 분유를 마실 때까지 비타민 D 보충제가 필요할 수 있다.[60]
5. 2. 치료
구루병의 예방 및 치료에는 대기 · 일광 흡수, 적절한 영양 보급이 이상적이다. 열대 지방에서는 연중 햇볕을 많이 쬐어 피부 속에서 비타민 D가 합성되므로 구루병을 보기 드물다. 북극 지방에서도 생선을 많이 먹어 비타민 D가 풍부하기 때문에 드물다. 비타민 D가 많은 계란이나 우유를 어린이들이 주로 먹는 유럽에서도 구루병은 흔하지 않다. 그 밖에 식이성 칼슘 결핍, 만성 설사, 만성 신장염 등에서도 비슷한 발육 장애를 볼 수 있다.[20][21]모체의 비타민 D 결핍은 출생 전부터 골 질환을 일으키고 출생 후 골 품질 저하를 유발할 수 있다.[20][21] 선천성 구루병의 주요 원인은 어머니 혈액 내 비타민 D 결핍이다.[21] 비타민 D는 혈청 인산염과 칼슘 수치가 뼈의 광물화를 촉진하기에 충분하도록 한다.[22]
모유 수유만 하는 유아는 비타민 D 보충제 또는 증가된 일광 노출을 통해 구루병을 예방할 수 있다.[24] 나이지리아, 남아프리카 공화국, 방글라데시와 같은 일조량이 많은 국가에서는 태양 노출로 인해 내인성 비타민 D가 충분하다. 그러나 이러한 국가에서는 나이가 많은 유아와 어린이에게서 구루병이 발생하는데, 이는 주로 곡물 기반 식단으로 인한 낮은 식이 칼슘 섭취량 때문이다.[25]
저인산염증이나 저인산혈증과 같이 유아의 뼈를 약하게 만드는 질병도 구루병으로 이어질 수 있다.[27]
스트론튬 과다 섭취는 구루병을 유발할 수 있다.[28] 햇빛, 특히 자외선은 피부 세포가 비활성 상태의 비타민 D를 활성 상태로 전환하도록 돕는다. 비타민 D가 부족하면 식이성 칼슘이 제대로 흡수되지 않아 저칼슘혈증을 유발하고, 골격 및 치아 기형과 신경근 증상으로 이어진다. 비타민 D가 함유된 음식으로는 버터, 계란, 어류 간유, 마가린, 비타민 D 강화 우유 및 주스, 양송이버섯, 표고버섯 및 기름진 생선(참치, 청어, 연어 등) 등이 있다. 비타민 D 저항성 구루병 또는 X-연관 저인산혈증이라고 하는 희귀한 X-연관 우성 형태도 존재한다.[29]
최근 영국에서는[30] 강한 자외선 차단제 사용, 햇빛 아래에서의 과도한 "옷 착용", 또는 햇볕에 나가지 않는 것으로 인해 신체 내 비타민 D 생성이 부족하여 다양한 사회적 배경을 가진 어린이들에게 구루병이 발생한 사례가 보고되었다. 다른 사례는 어머니가 종교적 또는 문화적 이유로 햇빛 노출을 피함으로써 모체의 비타민 D 부족으로 이어지는 경우와 피부색이 어두운 사람들은 비타민 D 수치를 유지하기 위해 더 많은 햇빛이 필요하다는 점에서 보고되었다.[31][32]
치료에는 칼슘, 인산염 및 비타민 D 섭취량을 늘리는 것이 포함된다. 자외선 B 광선(태양이 하늘에서 가장 높이 떠 있을 때 가장 쉽게 얻을 수 있음), 코드 간유, 넙치 간유 및 비오스테롤은 모두 비타민 D의 공급원이다.[57]
매일 충분한 양의 자외선 B 광선을 햇볕으로 쬐고 식단에 충분한 칼슘과 인을 섭취하면 구루병을 예방할 수 있다. 피부가 어두운 사람은 자외선에 더 오래 노출되어야 한다. 자외선 요법과 약물을 사용하여 비타민 D를 보충하면 구루병을 치료할 수 있다.[11]
영아와 어린이의 경우 하루에 400국제단위(IU)의 비타민 D 섭취가 권장된다. 비타민 D는 신체가 칼슘을 흡수하여 적절한 골화 및 유지를 위해 사용할 수 있도록 하는 데 필수적이다.[58] 충분한 비타민 D 수치는 식이 보충제 섭취 및/또는 햇빛 노출을 통해서도 달성할 수 있다. 비타민 D₃(콜레칼시페롤(cholecalciferol))는 비타민 D₂보다 흡수가 더 용이하기 때문에 선호되는 형태이다. 대부분의 피부과 전문의들은 햇빛 노출과 관련된 피부암 위험 증가 때문에 비타민 D 보충제를 권장한다. 전신이 햇빛에 노출되었을 때 내생적으로 생성되는 양은 하루 약 250 μg(10,000 IU)이다.[59]
최근 코크란의 체계적 문헌 고찰(systematic review)은 영양성 구루병 어린이의 치유에 비타민 D와 칼슘 또는 칼슘 단독이 비타민 D와 비교하여 효과가 있다는 제한적인 증거를 발견했다.[61] 심한 경우에는 수술이 필요할 수 있다. 구루병으로 인한 변형의 수술적 교정은 골절골술 또는 유도 성장 수술을 통해 이루어질 수 있다. 유도 성장 수술은 교정적 골절골술의 사용을 거의 대체하였다. 골절골술은 사지 변형을 급성/즉각적으로 교정하는 반면, 유도 성장은 점진적인 교정을 통해 작용한다.
기본적으로는 식사 지도 등을 병행하여 비타민 D 제제와 칼슘 함유 제제를 투여한다. 다만, 유아의 경우 22,000 IU/일을 초과하는 비타민 D 투여는 위험성이 있다고 지적되고 있다.[87] 또한, 비타민 D 활성화 장애가 원인인 경우에는 활성형 비타민 D를 투여해야 하는 등, 원인에 따라 치료법이 다를 수 있다.
6. 합병증
심한 구루병으로 뼈 변형, 특히 무릎 주변의 내반슬과 외반슬이 지속될 경우 이를 교정하기 위한 수술이 필요할 수 있다. 구루병으로 인한 변형 교정 수술은 골절골술 또는 유도 성장 수술로 이루어진다. 유도 성장 수술은 교정적 골절골술을 거의 대체했으며, 구루병 어린이 환자에게 시행한 유도 성장 수술의 결과는 만족스럽다. 골절골술은 사지 변형을 즉각 교정하지만, 유도 성장은 점진적으로 교정한다.
이 외에도 다음과 같은 합병증이 나타날 수 있다.
7. 역사

에페소스의 소라누스(Soranus of Ephesus)는 기원후 1세기와 2세기 초에 이미 유아의 뼈 변형을 보고했다. 1645년 영국의사 다니엘 위슬러(Daniel Whistler)가 이 질병에 대한 최초의 묘사를 하기 전까지 구루병은 특정 질환으로 정의되지 않았다.
1650년 프랜시스 글리슨(Francis Glisson)은 구루병에 관한 논문을 출판했는데,[65] 그는 구루병이 약 30년 전에 도싯(Dorset)과 서머싯(Somerset) 주에서 처음 나타났다고 말했다.[66]
1857년, 존 스노는 당시 영국에 널리 퍼져 있던 구루병이 제빵사의 빵에 명반(alum)을 첨가하여 변질시킨 것 때문에 발생한다고 제안했다.[67]
1890년(1892년) 세오보드 팜(Theobald Palm)은 에든버러 대학교에서 북유럽 도시 지역, 일본 및 기타 열대 국가 등의 구루병 지역 분포와 일조량을 비교 분석하여 햇빛을 쬐는 것이 구루병 예방에 효과적이라는 보고를 했다.[99][100]
1913년 위스콘신 대학교의 해리 스틴복(Harry Steenbock)과 에드윈 B. 하트(Edwin B. Hart)는 젖소, 염소를 대상으로 실외와 실내에서의 비교 연구를 통해 일조량과 구루병의 관련성을 확인했다.[100][101]
1918년, 의사 에드워드 멜란비(Edward Mellanby)는 실내에서 사육한 개가 구루병에 걸리는 것을 발견하고, 대구 간유를 투여하여 증상이 호전되는 것을 확인하여 식품과 관련된 질병임을 보고했다.[102][100]
1919년, 독일 연구자 쿠르트 훌드친스키(Kurt Huldschinsky)는 인공 자외선을 이용한 구루병 치료를 시행했다.[100]
1918년에서 1920년 사이에 에드워드 멜런비(Edward Mellanby)에 의해 구루병 발생에 있어 식단의 역할이 밝혀졌다.[68][69][11]
1923년, 미국의사 해리 스틴복(Harry Steenbock)은 자외선 조사가 식품 및 기타 유기물의 비타민 D 함량을 증가시킨다는 것을 증명했다.
1824년, D. 슈테(D. Scheutte)가 구루병 치료에 대구 간유를 사용하여 치료했다.[102]
1922년에 엘머 매컬럼(Elmer McCollum)과 마거릿 데이비스(Marguerite Davis)는 대구 간유에 포함된 비타민 A가 아니라, 증상 개선에 효과가 있는 영양소에 비타민 D라는 이름을 붙이고, 비타민 D가 구루병에 효과가 있다고 보고했다.[100][102]
1945년까지 미국에서는 구루병이 거의 사라졌다.[70]
제2차 세계 대전 이전 일본에서는 '''구루병'''(背虫, 僂)이라고도 불렸지만, 현대에는 차별적 표현으로 인식되고 있다.[76]
8. 한국의 특수 상황
구루병은 비타민 D3 결핍으로 인해 나타나는 경우가 많다. 피부색과 위도의 상관관계는 태양 자외선 노출 정도에 따른 적응적 선택의 결과로, 고위도 지역에서는 밝은 피부가, 적도 근처 저위도 지역에서는 어두운 피부가 유리하다.[35]
교통 수단의 발달과 고위도 지역 도시 인구 증가는 이전 환경과 현재 환경 간의 불일치를 야기하여 비타민 D 결핍 위험을 높인다.[37] 종교적 이유로 후드와 베일을 착용하는 경우에도 햇빛 차단으로 인해 비타민 D 합성이 저해될 수 있다.[38][39]
2010년대 들어 한국에서는 영아와 임산부에게 비타민 D 결핍으로 인한 구루병 발생이 증가했다. 이는 자외선에 의한 피부암 발병 위험을 줄이고 미용을 위해 과도하게 자외선을 피하는 생활 습관이 널리 퍼졌기 때문이다.[106] 임산부가 비타민 D 결핍증이면 태아에게도 결핍증이 발생한다.[103]
또한, 비타민 D가 부족한 어머니의 모유만으로 수유하거나(완전 모유 영양),[104][106] 알레르기 질환을 막기 위해 특정 음식을 제한하는 식단은[105] 비타민 D 섭취량이 부족해지게 할 수 있다.[106] 미숙아를 모유만으로 키울 경우에도 구루병이 발생하기 쉽다.[91]
9. 관련 질환
VDDR1A: 25-하이드록시비타민 D3 1-알파-하이드록실라제 결핍
VDDR1B: CYP2R1 결핍
- ** 2형: 칼시트리올 저항성
VDDR2A: 칼시트리올 수용체 돌연변이
VDDR2B: 신호 전달을 방해하는 알려지지 않은 핵 리보핵단백질
- ** 3형: 과도한 불활성화 (CYP3A4 돌연변이, 우성)
- 저칼슘혈증 관련 구루병
- * 저칼슘혈증
- * 만성 신부전 (CKD-BMD)
- 저인산혈증 관련 구루병
- * 선천성
- ** 비타민 D 저항성 구루병[51]
- ** 상염색체 우성 저인산혈증성 구루병 (ADHR)
- ** 상염색체 열성 저인산혈증성 구루병 (ARHR)[53]
- * 저인산혈증 (일반적으로 흡수불량으로 인한 이차적 질환)
- * 팬코니 증후군
- 다른 질병으로 인한 이차적 질환
- * 종양 유발성 골연화증
- * 맥쿤-올브라이트 증후군
- * 표피 모반 증후군
- * 덴트병
골연골이형성증(Osteochondrodysplasias)은 유전성 골 질환으로 알려져 있으며, 골 변형이라는 측면에서 구루병의 임상 양상을 모방할 수 있다.[54] X선 사진 및 혈청 칼슘, 인, 알칼리성 인산가수분해효소의 혈액 검사 결과는 중요한 감별 요소이다. 블런트병(Blount's disease)은 무릎 변형을 구루병과 유사하게(O자형 다리 또는 내반슬) 유발하기 때문에 중요한 감별 진단이다.
10. 관련 인물
에페소스의 소라누스(Soranus of Ephesus)는 기원후 1세기와 2세기 초에 이미 유아의 뼈 변형을 보고했다.[65]
다니엘 위슬러(Daniel Whistler)는 1645년에 이 질병에 대한 최초의 알려진 묘사를 했다.[65]
프랜시스 글리슨(Francis Glisson)은 1650년에 구루병에 관한 논문을 출판했다.[65] 그는 구루병이 약 30년 전에 도싯(Dorset)과 서머싯(Somerset) 주에서 처음 나타났다고 말했다.[66]
존 스노는 1857년에 당시 영국에 널리 퍼져 있던 구루병이 제빵사의 빵에 명반(alum)을 첨가하여 변질시킨 것 때문에 발생한다고 제안했다.[67]
독일 소아과 의사 쿠르트 훌드친스키(Kurt Huldschinsky)는 1918년에서 1919년 겨울에 자외선 램프를 이용하여 구루병을 치료할 수 있다는 것을 성공적으로 증명했다.
에드워드 멜런비(Edward Mellanby)는 1918년에서 1920년 사이에 구루병의 발생에 있어 식단의 역할이 밝혀졌다.[68][69][11]
미국의사 해리 스틴복(Harry Steenbock)은 1923년에 자외선 조사가 식품 및 기타 유기물의 비타민 D 함량을 증가시킨다는 것을 증명했다.
11. 작품 속 구루병
참조
[1]
논문
Rickets
2014-05-01
[2]
웹사이트
Rickets, Vitamin D Deficiency
https://rarediseases[...]
NORD (National Organization for Rare Disorders)
2017-12-19
[3]
웹사이트
ῥαχίτης
https://www.perseus.[...]
[4]
웹사이트
Rickets
https://rarediseases[...]
2017-12-19
[5]
논문
Nutritional rickets around the world: an update
2017-05-01
[6]
웹사이트
Rickets - OrthoInfo - AAOS
https://orthoinfo.aa[...]
2017-12-19
[7]
서적
Netter's Pediatrics E-Book
https://books.google[...]
Elsevier Health Sciences
2011
[8]
논문
Growth Modulation for Knee Coronal Plane Deformities in Children With Nutritional Rickets: A Prospective Series With Treatment Algorithm
2020-01-01
[9]
웹사이트
Rickets, Vitamin D Deficiency
https://rarediseases[...]
NORD (National Organization for Rare Disorders)
2017-12-19
[10]
웹사이트
Evidence in the bones reveals rickets in Roman times
https://www.theguard[...]
2018-08-19
[11]
논문
Vitamin D, cod-liver oil, sunlight, and rickets: a historical perspective
2003-08-01
[12]
웹사이트
Cod Liver Oil: History
https://www.rositaus[...]
[13]
논문
Vitamin D: part II; cod liver oil, ultraviolet radiation, and eradication of rickets
2019-03-01
[14]
웹사이트
Medical News – Symptoms of Rickets
http://www.news-medi[...]
2010-03-01
[15]
논문
Vitamin D supplementation in pregnancy: a systematic review
2014-07-01
[16]
논문
Nutritional rickets around the world
2013-07-01
[17]
웹사이트
Signs and Symptoms of Rickets
http://www.mayoclini[...]
[18]
웹사이트
caput quadratum
http://medical-dicti[...]
[19]
논문
Rickets before the discovery of vitamin D
2014-01-01
[20]
Review
The Return of Congenital Rickets, Are We Missing Occult Cases?
2016-09-01
[21]
Review
Congenital rickets due to vitamin D deficiency in the mothers
2015-10-01
[22]
웹사이트
Office of Dietary Supplements - Vitamin D
https://ods.od.nih.g[...]
[23]
웹사이트
Pregnancy and prenatal vitamins
http://www.webmd.com[...]
[24]
Review
Vitamin D deficiency in exclusively breast-fed infants
2008-03-01
[25]
Review
Nutritional rickets: deficiency of vitamin D, calcium, or both?
2004-12-01
[26]
Review
Vitamin D/dietary calcium deficiency rickets and pseudo-vitamin D deficiency rickets
[27]
웹사이트
Hypophosphatasia: Signs and Symptoms
http://hypophosphata[...]
[28]
논문
The biological role of strontium
2004-09-01
[29]
논문
Sunlight and Vitamin D: A global perspective for health
2013-01-01
[30]
뉴스
Daily Telegraph
2011-01-19
[31]
웹사이트
Rise in rickets linked to ethnic groups that shun the sun
https://www.independ[...]
2011-07-25
[32]
웹사이트
Doctors fear rickets resurgence
http://news.bbc.co.u[...]
2007-12-28
[33]
논문
Resurrection of vitamin D deficiency and rickets
2006-08-01
[34]
논문
"The English disease" or "Asian rickets"? Medical responses to postcolonial immigration
2007
[35]
논문
Skin-pigment regulation of vitamin-D biosynthesis in man
1967-08-01
[36]
논문
Vitamin D deficiency and disease risk among aboriginal Arctic populations
2011-08-01
[37]
논문
Does the High Prevalence of Vitamin D Deficiency in African Americans Contribute to Health Disparities?
2021-02-03
[38]
논문
An outbreak of vitamin D deficiency rickets in a susceptible population
1979-12-01
[39]
웹사이트
RISE IN RICKETS LINKED TO ETHNIC GROUPS THAT SHUN THE SUN
https://www.independ[...]
2011-07-24
[40]
논문
Global vitamin D status and determinants of hypovitaminosis D
https://pubmed.ncbi.[...]
2009-11-01
[41]
논문
Global differences in vitamin D status and dietary intake: a review of the data
2022-01-11
[42]
웹사이트
THE MIDDLE EAST & AFRICA REGIONAL AUDIT, Executive Summary, Epidemiology, costs & burden of osteoporosis in 2011
http://www.iofbonehe[...]
The International Osteoporosis Foundation
2017-04-06
[43]
논문
Interventions for the prevention of nutritional rickets in term born children
2007-10-01
[44]
논문
Nutritional rickets among children in the United States: review of cases reported between 1986 and 2003
2004-12-01
[45]
논문
Nutritional hypophosphatemic rickets secondary to Neocate® use
2019-09-01
[46]
웹사이트
NHS Choice - Rickets Diagnoses
http://www.nhs.uk/Co[...]
2018-06-06
[47]
논문
Radiographic characteristics of lower-extremity bowing in children
[48]
웹사이트
Ветеринарный ультразвуковой эхоостеометр для оценки физических характеристик костей скелета животных при их функциональных и патологических изменениях
https://patents.goog[...]
[49]
웹사이트
Ветеринарный ультразвуковой эхоостеометр для оценки физических характеристик костей скелета животных при их функциональных и патологических изменениях
https://patenton.ru/[...]
[50]
웹사이트
ПОРТАТИВНЫЙ ВЕТЕРИНАРНЫЙ УЛЬТРАЗВУКОВОЙ ЭХООСТЕОМЕТР ДЛЯ ОЦЕНКИ ФИЗИЧЕСКИХ ХАРАКТЕРИСТИК КОСТЕЙ СКЕЛЕТА ЖИВОТНЫХ ПРИ ИХ ФУНКЦИОНАЛЬНЫХ И ПАТОЛОГИЧЕСКИХ ИЗМЕНЕНИЯХ
https://projects.203[...]
[51]
논문
Rickets: not a disease of the past
http://www.aafp.org/[...]
2006-08-01
[52]
논문
Diagnosis and Management of Vitamin D Dependent Rickets
2020-01-01
[53]
논문
Autosomal-recessive hypophosphatemic rickets is associated with an inactivation mutation in the ENPP1 gene
2010-02-01
[54]
논문
A systematized approach to radiographic assessment of commonly seen genetic bone diseases in children: A pictorial review.
2017-11-15
[55]
논문
Rickets vs. abuse: a national and international epidemic
2008-11-01
[56]
웹사이트
CDark Skin Color & Vitamin D
http://www.livestron[...]
2011-07-08
[57]
논문
Vitamin D in foods and as supplements
2006-09-01
[58]
웹사이트
Rickets -- Symptoms and Causes
https://www.mayoclin[...]
Mayo Clinic
[59]
논문
Vitamin D supplementation, 25-hydroxyvitamin D concentrations, and safety
1999-05-01
[60]
논문
Prevention of rickets and vitamin D deficiency: new guidelines for vitamin D intake
2003-04-01
[61]
논문
Vitamin D, calcium or a combination of vitamin D and calcium for the treatment of nutritional rickets in children
2020-04-01
[62]
웹사이트
Rickets
http://www.nhs.uk/co[...]
2010-01-28
[63]
웹사이트
Rickets and osteomalacia
https://www.nhs.uk/c[...]
2014-10-20
[64]
뉴스
How going hungry affects children for their whole lives
https://www.independ[...]
2019-05-17
[65]
웹사이트
The History of Rickets, Scurvy and Other Nutritional Deficiencies
http://www.livinghea[...]
Yahoo! Voices
2008-02-06
[66]
논문
Rickets and the crippled child: an historical perspective
1994-12-01
[67]
논문
Commentary: John Snow and alum-induced rickets from adulterated London bread: an overlooked contribution to metabolic bone disease
2003-06-01
[68]
논문
The role of vitamin D and intestinal phytase in the prevention of rickets in rats on cereal diets
1955-09-01
[69]
논문
Biochemical response of late rickets and osteomalacia to a chupatty-free diet
1972-08-01
[70]
논문
Nutritional rickets: Historic overview and plan for worldwide eradication
https://doi.org/10.1[...]
2020-01-01
[71]
논문
Reemerging Nutritional Rickets: A Historical Perspective
http://archpedi.jama[...]
2005-04-01
[72]
웹사이트
https://pmc.ncbi.nlm[...]
[73]
문서
피츠파트릭의 스킨 타입
[74]
웹사이트
일본인 정상 신생아에게는 비타민 D 결핍증이 고빈도로 보이며, 모유 영양아에서 특히 개선이 늦어진다
https://www.kyoto-u.[...]
2024-02-27
[75]
논문
쿠루병에 관한 연구
http://www.jstage.js[...]
1961
[76]
논문
일본산 어류에 기생하는 에라지라미과 카이아시류의 목록 (1936-2019년)
https://doi.org/10.1[...]
히로시마 대학 종합 박물관
[77]
서적
병태생리·생화학·영양 <보급판> 도설·병의 성립과 몸 I
의치약출판
2001-09-01
[78]
서적
병리학 총론
의치약출판
1983-07-01
[79]
서적
병태생리·생화학·영양 <보급판> 도설·병의 성립과 몸 I
의치약출판
2001-09-01
[80]
서적
병리학 총론
의치약출판
1983-07-01
[81]
서적
병리학 총론
의치약출판
1983-07-01
[82]
논문
장기 치과적 관리를 실시한 X연쇄성 저인혈증성 구루병의 1례
일본소아치과학회
[83]
논문
2. X염색체성 저인혈증성 골연화증
https://doi.org/10.2[...]
일본내과학회
[84]
논문
비타민 D 의존성 구루병의 분자유전학
[85]
문서
비타민 D#생합성
[86]
서적
병리학 총론
의치약출판
1983-07-01
[87]
논문
4.비타민 D 대사 이상
https://doi.org/10.2[...]
일본내과학회
[88]
논문
중성 인의 대량 투여가 현저히 효과가 있었던 성인 발병형 저인혈증성 골연화증의 1례
서일본 정형·재해외과학회
[89]
논문
부갑상선·Ca 대사
[90]
문서
일본에서 임산부의 골연화증에 대해서는, 염화칼슘 제제, 유산칼슘 제제 등이 사용되는 경우가 있다.
[91]
논문
미숙아 구루병에 관하여
[92]
논문
항경련제 장기 복용에 있어서 구루병 발병 요인과 치료에 관한 연구
[93]
논문
항경련제 장기 복약아에 있어서 구루병에 관하여
[94]
간행물
의약품 인터뷰 폼
https://ds-pharma.jp[...]
다이니혼 스미토모 제약
[95]
논문
항 B형 간염 바이러스 약에 의한 골연화증의 1례
[96]
논문
빈혈에 대한 철제제의 정주에 의해 발생한 것으로 생각되는 골연화증의 3례
서일본 정형·재해외과학회
[97]
웹사이트
신규 수탁 항목 25-히드록시비타민 D
http://uwb01.bml.co.[...]
2020-10-28
[98]
웹사이트
비타민 D 결핍성 구루병·저칼슘혈증의 진단의 안내
http://jspe.umin.jp/[...]
2020-10-28
[99]
논문
Theobald Palm and His Remarkable Observation: How the Sunshine Vitamin Came to Be Recognized
http://www.mdpi.com/[...]
2012-01-17
[100]
웹사이트
Beyond Discovery
https://www.nikkei-s[...]
2024-02-27
[101]
웹사이트
Steenbock, Harry : professor of biochemistry - Full view - UWDC - UW-Madison Libraries
https://search.libra[...]
2024-02-27
[102]
논문
The Discovery of Vitamin D: The Contribution of Adolf Windaus
https://www.scienced[...]
2004-06-01
[103]
논문
비타민 D 섭취 부족이나 일광욕 부족에 의해, 유아의 비타민 D 결핍이 발생한다
[104]
논문
신생아 의료의 변천과 향후 전망
[105]
논문
아토피성 피부염에 합병한 비타민 D 결핍성 구루병
1998-02-01
[106]
뉴스
乳幼児のくる病が増えた理由 摂取栄養の偏りや日光浴不足でビタミンDが欠乏
https://medical.nikk[...]
日経メディカルオンライン
2012-01-12
[107]
웹인용
Rickets
https://rarediseases[...]
2013
[108]
웹인용
Rickets, Vitamin D Deficiency
https://rarediseases[...]
2005
[109]
저널
Nutritional rickets around the world: an update.
2017-05
[110]
웹인용
Rickets - OrthoInfo - AAOS
https://orthoinfo.aa[...]
2010-09
본 사이트는 AI가 위키백과와 뉴스 기사,정부 간행물,학술 논문등을 바탕으로 정보를 가공하여 제공하는 백과사전형 서비스입니다.
모든 문서는 AI에 의해 자동 생성되며, CC BY-SA 4.0 라이선스에 따라 이용할 수 있습니다.
하지만, 위키백과나 뉴스 기사 자체에 오류, 부정확한 정보, 또는 가짜 뉴스가 포함될 수 있으며, AI는 이러한 내용을 완벽하게 걸러내지 못할 수 있습니다.
따라서 제공되는 정보에 일부 오류나 편향이 있을 수 있으므로, 중요한 정보는 반드시 다른 출처를 통해 교차 검증하시기 바랍니다.
문의하기 : help@durumis.com
