반달뼈
"오늘의AI위키"의 AI를 통해 더욱 풍부하고 폭넓은 지식 경험을 누리세요.
1. 개요
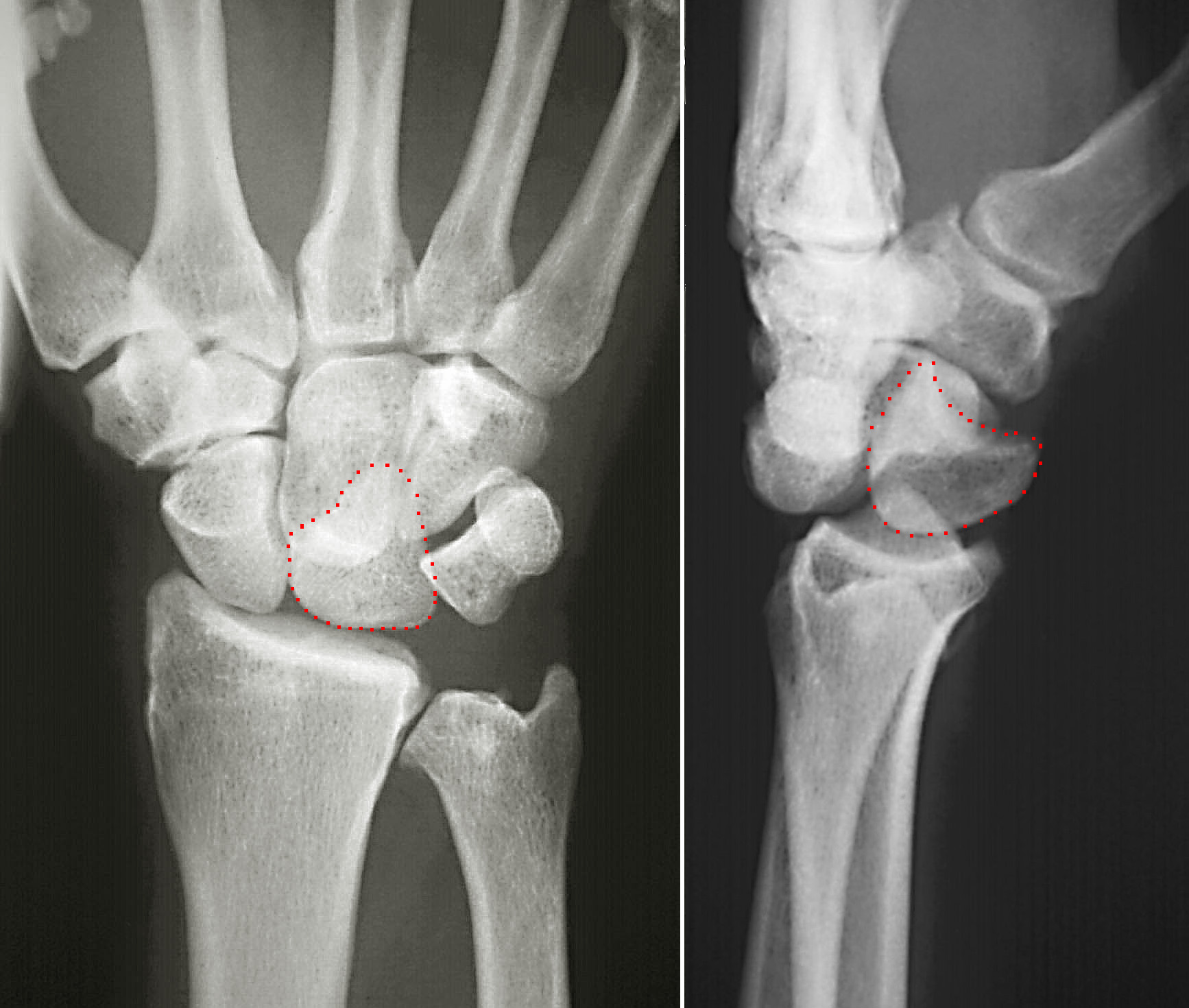
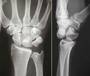
반달뼈는 손 안쪽에 위치한 초승달 모양의 손목뼈이다. 손목뼈의 몸쪽 열에 위치하며, 요골, 손배뼈, 세모뼈, 큰 뼈, 갈고리뼈와 연결된다. 손배뼈와 세모뼈에 부착된 인대, 요골의 반달뼈 오목 내 위치를 통해 안정화된다. 근위면은 요골과, 가쪽 면은 손배뼈와, 안쪽 면은 세모뼈와 관절을 이루며, 혈액 공급은 등쪽 및 손바닥쪽 가지에서 받는다. 모양과 혈액 공급 방식에 변이가 있으며, 뼈되기는 18개월에서 4년 3개월 사이에 시작된다. 손목의 움직임에 관여하며, 손목뼈 중 가장 흔하게 탈구된다. "초승달 모양"을 뜻하는 라틴어에서 유래되었으며, 양서류와 파충류에서는 중간골이라고 불린다. 유두골, 유구골, 요골, 주상골, 삼각골과 관절을 이룬다.
더 읽어볼만한 페이지
- 상지해부학 - 쇄골
쇄골은 어깨뼈와 위팔을 연결하는 뼈로, 어깨 구조를 지지하고 충격을 흡수하며, 견쇄관절을 형성하고, 골절이 흔하게 발생하여 골절 유형에 따라 치료 방법이 달라진다. - 상지해부학 - 손목
손목은 팔과 손을 연결하는 부위로, 요골과 척골, 손목뼈, 중수골 등으로 구성되며 다양한 움직임을 가능하게 하고, 손목 통증 등 여러 질환이 발생할 수 있다. - 골학 - 복사뼈
복사뼈는 발목의 뼈 돌출 부위로, 안쪽 복사뼈는 경골, 가쪽 복사뼈는 종아리뼈에서 발견되며 골절이 발생할 수 있다. - 골학 - 복장뼈
복장뼈는 흉부에 위치하며 빗장뼈와 갈비뼈에 연결되어 흉곽을 구성하는 길쭉한 편평골로, 흉골자루, 몸통, 칼돌기로 이루어져 있으며, 골수 검사, 심장 수술 등에 사용된다.
| 반달뼈 | |
|---|---|
| 일반 정보 | |
![]() | |
| 라틴어 | os lunatum |
| 회색 해부학 | '222' |
| TH 용어 | lunate |
| 세부 정보 | |
| 기원 | 해당 사항 없음 |
| 삽입 | 해당 사항 없음 |
| 관절 | 근위: 요골 먼쪽: 알머리뼈, 갈고리뼈 가쪽: 손배뼈 안쪽: 세모뼈 삼각 섬유 연골 |
| 식별 | |
| TA98 | A02.4.08.013 |
| TA2 | '1765' |
| FMA | '24897' |
| 연골 | 반달뼈 |
| 뼈대 | 손 |
| 이름 | |
| 다른 이름 | 반월골 |
2. 구조
반달뼈는 안쪽 인대와 세모뼈에 부착된 가쪽 인대에 의해 안정화된다. 요골과 손목뼈 사이의 인대와 요골의 반달뼈 오목 내 위치 또한 반달뼈의 위치를 안정시키는 역할을 한다.[5]
2. 1. 뼈
반달뼈는 손 안쪽에 위치한 초승달 모양의 손목뼈이다. 반달뼈는 손목뼈의 몸쪽 열에 위치한다. 몸쪽으로는 요골에 닿아있고, 가쪽으로는 손배뼈, 안쪽으로는 세모뼈, 먼쪽으로는 큰 뼈와 연결된다. 반달뼈는 또한 먼쪽과 안쪽 표면에서 갈고리뼈와도 연결된다.[2][5]반달뼈는 손배뼈에 부착된 안쪽 인대와 세모뼈에 부착된 가쪽 인대에 의해 안정화된다. 요골과 손목뼈 사이의 인대와 요골의 반달뼈 오목 내 위치 또한 반달뼈의 위치를 안정시키는 역할을 한다.[5]
반달뼈의 근위면은 매끄럽고 볼록하며, 요골과 관절을 이룬다. 가쪽 면은 평평하고 좁으며, 손배뼈와 관절을 이루는 초승달 모양의 면을 가지고 있다. 안쪽 면은 세모뼈와 관절을 이루는 매끄럽고 사각형의 면을 가지고 있다. 손바닥 면과 등쪽 면은 거칠다. 등쪽 면은 넓고 둥글다. 반달뼈의 원위면은 깊고 오목하다.[3]
2. 2. 혈액 공급
반달뼈는 등쪽 및 손바닥쪽 가지에서 혈액 공급을 받는다.[5] 반달뼈는 모양이 다양한데, 약 3분의 1은 안쪽 면이 없어 갈고리뼈와 연결되지 않는다. 또한, 사람의 약 20%는 혈액 공급이 손바닥쪽 혈관에서만 발생할 수 있다.[5]2. 3. 뼈되기
뼈되기는 18개월에서 4년 3개월 사이에 시작된다.[4]3. 기능
손목뼈는 손의 골격 구조를 제공하는 단위로 기능한다.[2] 근위 손목뼈로서 반달뼈는 손목의 움직임에도 관여한다.[5]
4. 임상적 의의
반달뼈는 손목뼈 중에서 가장 흔하게 탈구되는 뼈이다.
- 손목 융합증
- 킨벡병
- 타이센 분류
5. 명칭
반달뼈의 이름은 "초승달 모양"(lunatusla)에서 유래되었으며,[6] 이는 라틴어 ''luna''("달")에서 유래되었고, 뼈의 모양이 초승달과 닮았기 때문이다. 양서류와 파충류에서는 이 뼈를 대신 '''''중간골'''''(intermedium영어)이라고 부르는데, 이는 다른 두 개의 근위 손목뼈 사이에 위치하기 때문이다.
6. 반달뼈와 관절하는 뼈
반달뼈는 몸쪽으로는 요골에 닿아있고, 가쪽으로는 손배뼈, 안쪽으로는 세모뼈, 먼쪽으로는 큰 뼈와 연결된다. 반달뼈는 또한 먼쪽과 안쪽 표면에서 갈고리뼈와도 연결된다.[2]
반달뼈의 근위면은 매끄럽고 볼록하며, 요골과 관절을 이룬다. 가쪽 면은 평평하고 좁으며, 손배뼈와 관절을 이루는 초승달 모양의 면을 가지고 있다. 안쪽 면은 세모뼈와 관절을 이루는 매끄럽고 사각형의 면을 가지고 있다. 반달뼈의 원위면은 깊고 오목하다.[3]
반달뼈와 관절하는 뼈는 다음과 같다.[8][9][10]
참조
[1]
서적
Imaging Anatomy: Musculoskeletal E-Book
Elsevier Health Sciences
[2]
서적
Gray's anatomy for students
Elsevier/Churchill Livingstone
[3]
서적
Anatomy of the Human Body
http://www.bartleby.[...]
2014-01-05
[4]
논문
A Study of Ossification of Capitate, Hamate, Triquetral & Lunate in Forensic Age Estimation
http://www.indianjou[...]
2014
[5]
논문
The wrist: clinical anatomy and physical examination--an update.
2005-03
[6]
웹사이트
Lunate
http://www.etymonlin[...]
2014-01-05
[7]
문서
"#森骨学|森ら"
[8]
문서
"#森靭帯学|森ら"
[9]
문서
"#森靭帯学|森ら"
[10]
문서
"#森靭帯学|森ら"
본 사이트는 AI가 위키백과와 뉴스 기사,정부 간행물,학술 논문등을 바탕으로 정보를 가공하여 제공하는 백과사전형 서비스입니다.
모든 문서는 AI에 의해 자동 생성되며, CC BY-SA 4.0 라이선스에 따라 이용할 수 있습니다.
하지만, 위키백과나 뉴스 기사 자체에 오류, 부정확한 정보, 또는 가짜 뉴스가 포함될 수 있으며, AI는 이러한 내용을 완벽하게 걸러내지 못할 수 있습니다.
따라서 제공되는 정보에 일부 오류나 편향이 있을 수 있으므로, 중요한 정보는 반드시 다른 출처를 통해 교차 검증하시기 바랍니다.
문의하기 : help@durumis.com
