부정교합
"오늘의AI위키"의 AI를 통해 더욱 풍부하고 폭넓은 지식 경험을 누리세요.
1. 개요
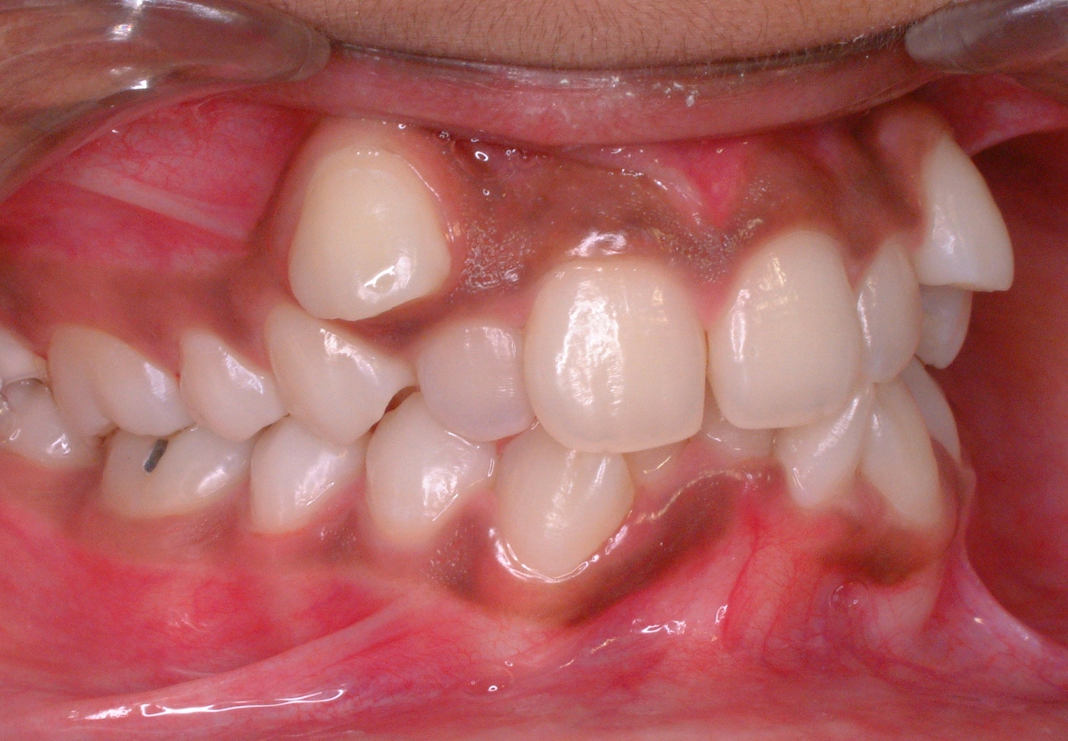
부정교합은 위턱과 아래턱의 부조화, 치아의 배열 이상으로 인해 발생하는 치과 질환이다. 유전적 요인과 환경적 요인이 복합적으로 작용하여 발생하며, 턱뼈의 크기, 모양, 위치, 근육의 형태, 치아의 크기, 맹출 시기 등 다양한 요인이 원인으로 작용한다. 부정교합은 충치, 치주 질환, 턱 기능 이상, 심미성 저하 등 다양한 문제를 유발할 수 있으며, 치아 교정, 악교정 수술, 보철 치료 등의 방법으로 치료한다. 부정교합은 앵글 분류법, 앞니 관계 분류, 덧니 정도, 과개교합 정도에 따라 분류할 수 있으며, 기능적 부정교합은 턱관절 장애와 관련이 있다.
더 읽어볼만한 페이지
- 치과교정학 - 에드워드 앵글
에드워드 앵글은 미국의 치과 의사로서 교정학을 전문 분야로 확립하고 발전시켜 '현대 교정학의 아버지'로 불리며, 앵글 교정학교 설립, 부정교합 용어 창안, 부정교합 분류법 및 치료 장치 개발 등 교정학 발전에 크게 기여했다. - 치과교정학 - 설측교정
설측교정은 치아의 혀가 닿는 면에 브라켓을 부착하여 심미성이 뛰어난 교정 방법으로, 1970년대 후반에 개발되어 기술 발전을 거듭해 왔으며, 혀 자극, 발음 장애 등의 단점에도 불구하고 치아 탈회 발견 및 예방에 유리하고, 다양한 회사에서 관련 장치를 제작하고 있다. - 구강 질병 - 충치
충치는 스트렙토코쿠스 뮤탄스, 락토바실러스 등의 원인균과 식이 습관, 구강 위생 등의 복합적인 요인으로 치아 법랑질이 손상되는 질환으로, 올바른 칫솔질과 식습관 조절, 정기적인 치과 검진을 통해 예방 및 치료가 가능하다. - 구강 질병 - 과잉치
정상적인 치아 수 외에 추가적으로 발생하는 치아인 과잉치는 유전적, 환경적 요인 또는 특정 질환과 관련되어 발생하며, 인접 치아 맹출 방해나 부정교합을 유발하고 심미적 문제나 치과 교정상의 이유로 제거되기도 한다.
| 부정교합 | |
|---|---|
| 개요 | |
| 질병 종류 | 치과 질환 |
| 관련 분야 | 치의학 |
| 증상 | (정보 없음) |
| 합병증 | (정보 없음) |
| 발병 시기 | (정보 없음) |
| 지속 기간 | (정보 없음) |
| 유형 | (정보 없음) |
| 원인 | (정보 없음) |
| 위험 요인 | (정보 없음) |
| 진단 방법 | (정보 없음) |
| 감별 진단 | (정보 없음) |
| 예방 | (정보 없음) |
| 치료 | (정보 없음) |
| 약물 | (정보 없음) |
| 예후 | (정보 없음) |
| 빈도 | (정보 없음) |
| 사망 | (정보 없음) |
| 이미지 | |
![]() | |
| 의학 정보 | |
| 진료과 | 치과 |
| 메쉬 아이디 | 메쉬아이디: D008353 메쉬이름: Malocclusion |
2. 원인
부정교합의 원인은 유전적 요인과 환경적 요인이 복합적으로 작용하는 다인자성 질환이다.[7] 부정교합은 스쿨 및 카프제 호미닌 화석과 다른 선사 시대 인류의 두개골에서도 발견된다.[8][9]
일반적으로 인정되는 부정교합의 원인은 다음과 같다.
- 골격 요인: 위턱과 아래턱의 크기, 모양 및 상대적 위치가 영향을 미친다. 이러한 변이는 저작근, 야간 구강 호흡, 구순열 및 구개열과 같은 환경적 또는 행동적 요인에 의해 발생할 수 있다.
- 근육 요인: 치아를 둘러싼 근육의 형태와 기능이 영향을 준다. 손가락 빨기, 손톱 물어뜯기, 고무 젖꼭지 사용, 혀 내밀기[10]와 같은 습관이 근육 요인에 영향을 줄 수 있다.
- 치아 요인: 턱에 비해 치아의 크기, 치아의 조기 상실로 인한 공간 또는 근심 이동, 비정상적인 맹출 경로 또는 시기, 과잉치, 또는 치아 부족(무치증) 등이 영향을 미친다.
교정 치료를 계획할 때 위에서 언급된 요인들과 이들이 부정교합에 미치는 영향을 고려하는 것이 중요하다. 이러한 요인들은 구강 습관과 압력에 의해서도 영향을 받아 부정교합을 유발할 수 있다.[11][12]
유전적 요인(유전), 과잉치, 치아 손실, 매복치 또는 비정상적인 모양의 치아 등은 총생의 원인으로 꼽힌다. 맞지 않는 치과용 충전재, 크라운, 장치, 유지 장치 또는 브라켓, 심각한 부상 후의 턱 골절의 부정도 총생을 유발한다.[26] 구강 및 턱의 종양, 엄지 손가락 빨기, 혀 내밀기, 3세 이후의 젖꼭지 사용, 장기간의 젖병 사용 등도 원인으로 확인되었다.[26]
발달 과정에서 저작 스트레스가 부족하면 치아의 총생을 유발할 수 있다.[37][38] 딱딱한 수지 껌을 하루 2시간 씹은 어린이는 안면 성장이 증가하는 것으로 나타났다.[37] 동물 실험에서도 유사한 결과가 나타났다. 부드러운 음식을 먹인 바위너구리는 딱딱한 음식을 먹인 경우보다 턱이 좁고 짧았으며, 하악도 더 가늘고 짧았다.[37][39]
2016년 리뷰에 따르면 모유 수유는 발달 중인 유아의 부정교합 발생률을 낮춘다.[40]
농업으로의 전환 과정에서 인간 하악의 형태는 일련의 변화를 겪었다. 하악은 치아와 일치하지 않는 복잡한 형태 변화를 겪어, 치아와 하악 형태 사이의 부조화를 초래했다. 이는 인간이 약 10,000년 전 가공 식품을 씹는 데 필요한 물어뜯는 힘이 감소하면서 촉진되었을 수 있다.[38][41]

다른 종류의 부정교합은 수평, 수직 또는 횡 방향의 골격 부조화, 골격 비대칭을 포함한 요인에 의해 발생할 수 있다.
수직 성장이 증가하면 얼굴 윤곽이 길어지고 일반적으로 개방교합을 유발하는 반면, 수직 얼굴 성장이 감소하면 얼굴 윤곽이 짧아지고 일반적으로 과개교합과 관련이 있다. 그러나 개방교합(혀 내밀기 및 엄지 빨기 등) 및 과개교합의 다른 더 흔한 원인이 많이 있다.[61][62][63]
위턱 또는 아래턱이 과성장(거대악증) 또는 미성장(소악증)일 수 있다.[62][61][63] 소악증 환자는 안면 구조에 비해 하악 또는 상악의 비정상적인 후방 위치인 후퇴성 악하증의 영향을 받는 것으로 보고되었다.[62] 이 환자들은 2급 부정교합에 매우 취약하다. 하악 거대악증은 전악증을 유발하고 환자를 3급 부정교합에 취약하게 만든다.[64]
현재까지의 대부분의 부정교합 연구는 3급 부정교합에 초점을 맞추고 있다. 2급 및 1급 부정교합에 대한 유전적 연구는 더 드물다. 유전성 하악 전악증의 한 예는 심각한 3급 부정교합 환자의 1/3이 유사한 표현형을 가진 부모를 둔 합스부르크 왕가에서 볼 수 있다.[65]
두개안면 선천성 기형 환자에서 치아 부정교합이 자주 나타나는 것은 강력한 유전적 원인을 뒷받침한다. 약 150개의 유전자가 부정교합을 나타내는 두개안면 상태와 관련이 있다.[66] 소악증은 여러 증후군에서 나타나는 흔히 재발하는 두개안면 선천성 기형이다.
심한 부정교합 환자의 경우 전체 치료의 일부로 악교정 수술 또는 양악수술을 수행할 수 있으며, 이는 일반 인구의 약 5%에서 나타난다.[62][61][63]
각각의 증례에서 부정교합의 원인을 밝히는 것은 진단 및 치료를 진행하는 데 필수적이다. 형태적 부정교합의 원인으로는 턱뼈의 발육 이상, 치아 맹출 공간 부족, 과잉치, 치아 위치 이상, 습관 등이 있으며, 그 원인을 밝히는 것은 비교적 용이한 경우가 많다. 반면, 기능적 부정교합의 원인은 구강 내 진찰을 통해 부정교합의 위치와 상태를 확인하고, 추가적으로 문진을 통해 얻어진 발병 시기와 교합 변화 시기(예: 브릿지 장착 등)와의 상관관계 등을 고찰하여 판단하게 되며, 그 특정은 어려운 경우가 많다.
2. 1. 행동 및 치과적 요인
성장기 어린이의 경우, 구호흡, 손가락 빨기, 엄지손가락 빨기, 혀 내밀기, 젖꼭지 사용, 손톱 물어뜯기, 피부 물어뜯기, 펜 물어뜯기, 연필 물어뜯기 등의 습관은 턱뼈와 치열 발달에 부정적인 영향을 미칠 수 있다.[13][14][15][16][17][18] 특히 고무 젖꼭지 빨기 습관은 중이염과 관련이 있는 것으로 알려져 있다.[19][20] 유치열 시기에 치아 우식증(충치)이나 외상으로 인해 유치를 조기에 상실하면, 영구치가 나올 공간이 부족해져 치아 맹출에 문제가 생겨 부정교합이 발생할 수 있다. 치근단 농양또한 영구치의 올바른 치아 맹출을 변경할수 있다.발달 과정에서 저작 스트레스가 부족하면 치아의 총생(crowding)을 유발할 수 있다.[37][38] 하루 2시간씩 딱딱한 수지 껌을 씹은 어린이는 안면 성장이 증가하는 것으로 나타났다.[37] 동물 실험에서도 비슷한 결과가 나왔는데, 부드러운 음식을 먹인 바위너구리는 딱딱한 음식을 먹인 경우보다 턱이 좁고 짧았으며, 하악도 더 가늘고 짧았다.[37][39] 2016년 연구에 따르면 모유 수유는 발달 중인 유아의 부정교합 발생률을 낮춘다고 보고되었다.[40]
농업으로의 전환 과정에서 인간 하악의 형태는 변화를 겪었다. 하악은 치아와 일치하지 않는 복잡한 형태 변화를 겪어 치아와 하악 형태 사이에 부조화가 발생했다. 이러한 변화는 약 10,000년 전 인류가 가공 식품을 섭취하면서 씹는 힘이 감소함에 따라 촉진되었을 수 있다.[38][41]
부정교합의 원인을 밝히는 것은 진단 및 치료에 필수적이다. 형태적 부정교합의 원인으로는 턱뼈 발육 이상, 치아 맹출 공간 부족, 과잉치, 치아 위치 이상, 습관 등이 있으며, 비교적 쉽게 원인을 파악할 수 있다. 반면 기능적 부정교합은 구강 내 진찰, 문진 등을 통해 발병 시기와 교합 변화 시기(예: 브릿지 장착)의 상관관계를 고려하여 판단하며, 원인 특정이 어려운 경우가 많다.
2. 2. 1차 (유치열) vs 2차 (영구치열)
부정교합은 유치열과 영구치열 모두에서 발생할 수 있다.유치열에서 부정교합은 치조골 조직의 발달 부전, 입 주변 뼈의 과도한 발달, 구순구개열과 같은 턱뼈 성장 부조화나 치아의 과밀, 치아의 비정상적인 발달 및 성장등이 원인이 될 수 있다.[21]
영구치열에서 부정교합은 치주 질환, 치아의 과잉 맹출, 조기 치아 상실 및 선천적인 치아 결손 등이 원인이 될 수 있다.[21]
각각의 증례에서 부정교합의 원인을 밝히는 것은 진단 및 치료를 진행하는 데 필수적이다. 형태적 부정교합의 원인으로는 턱뼈의 발육 이상, 치아 맹출 공간 부족, 과잉치, 치아 위치 이상, 습관 등이 있으며, 그 원인을 밝히는 것은 비교적 용이한 경우가 많다. 반면, 기능적 부정교합의 원인은 구강 내 진찰을 통해 부정교합의 위치와 상태를 확인하고, 추가적으로 문진을 통해 얻어진 발병 시기와 교합 변화 시기(예: 브릿지 장착 등)와의 상관관계 등을 고찰하여 판단하게 되며, 그 특정은 어려운 경우가 많다.[21]
3. 증상
부정교합은 흔히 나타나는 소견이지만,[22][23] 대개 치료가 필요할 정도로 심각하지는 않다. 심한 부정교합은 두개안면 기형의 일부로 나타나며, 문제를 해결하기 위해 교정 치료 및 때로는 악교정 수술이 필요할 수 있다.
교정 치료의 목표는 환자의 치아 및 전반적인 건강을 개선하는, 안정적이고 기능적이며 심미적인 치아 배열을 달성하는 것이다.[24] 부정교합의 증상은 이러한 범주 중 하나 이상에서 결함이 발생하여 나타난다.[25]
- 충치(치아 우식): 치아가 제대로 정렬되지 않으면 구강 위생을 유지하기가 더 어려워진다. 구강 위생과 식습관이 좋지 않은 어린이는 위험이 증가한다.
- 치주 질환: 불규칙한 치아는 치아를 깨끗하게 하는 것을 어렵게 하여 치태 조절이 어려워진다. 치아가 겹쳐 있으면 일부 치아가 더 협측 또는 설측으로 위치하게 되어 뼈와 치주 지지력이 감소한다. III급 부정교합의 경우, 하악 전치부가 순측으로 밀려나 잇몸 퇴축을 유발하고 치주 지지력을 약화시킨다.
- 전치 외상: 과개교합이 3mm를 초과하면 외상 위험이 두 배로 증가한다.
- 저작 기능: 전방 개방 교합, 크고 증가된 및 반대 과개교합 및 무치증이 있는 사람들은 음식을 씹는 데 어려움을 겪는다.
- 언어 장애: 혀 짧은 소리는 앞니가 접촉할 수 없을 때 발생하며, 교정 치료로 이를 치료할 수 있다. 그러나 다른 형태의 부정교합은 언어에 미치는 영향이 미미하며, 교정 치료는 문제 해결에 거의 효과가 없다.
- 치아 매복: 인접 치아의 흡수 및 치성낭종 형성과 같은 다른 병리를 유발할 수 있다.
- 심리사회적 웰빙: 심미성이 떨어지는 부정교합은 자존감에 상당한 영향을 미칠 수 있다.
부정교합은 위턱과 아래턱 사이의 관계가 적절하지 않은 얼굴의 골격 부조화와 결합될 수 있다. 이러한 골격 부조화는 환자의 얼굴 모양을 왜곡하고, 얼굴의 심미성에 심각한 영향을 미치며, 저작 또는 언어 문제와 결합될 수 있다. 대부분의 골격 부정교합은 악교정 수술을 통해서만 치료할 수 있다.
4. 분류
에드워드 앵글(Edward Angle)이 1899년에 제시한 부정교합 분류법은 위턱 첫 번째 큰어금니와 아래턱 첫 번째 큰어금니의 위치 관계를 기준으로 한다.[71][72] 앵글에 따르면 위쪽 첫 번째 큰어금니의 앞 중앙쪽 볼 방향(mesiobuccal)이 아래턱뼈 어금니의 볼고랑(협측구)과 나란해야 한다. 모든 치아들은 교합선에 맞아야 하는데, 이때의 교합선은 위턱뼈 중심의 오목한 부분과 송곳니의 치대(齒帶), 아래턱뼈의 협측교두(뺨쪽 치아도드리)와 앞니 끝을 지나는 부드러운 곡선을 말한다.

앵글 분류법은 간단하고 명확하다는 장점이 있지만, 다음과 같은 한계점을 지닌다.
- 3차원적인 문제를 2차원적으로만 평가한다.
- 앵글의 분류는 다른 공간 축의 편차, 비대칭 편차, 기능적 결함 및 기타 치료 관련 특징을 인식하지 못한다.
- 정적 교합만 고려하고, 교합 문제의 발달과 원인(병인)을 고려하지 않으며, 치아와 얼굴의 비율(또는 일반적인 관계)을 무시한다.[34]
이러한 한계로 인해 앵글 분류법을 수정하거나 대체하려는 많은 시도가 있었으며, 마틴 듀이(1915)와 벤노 리셔(1912, 1933)등이 수정한 분류법과, Simon (1930, 최초의 3차원 분류 시스템), 제이콥 A. 살츠만(1950, 골격 구조를 기반으로 한 분류 시스템), 제임스 L. 아커만과 윌리엄 R. 프로핏(1969) 등이 제안한 새로운 시스템들이 존재한다. [36][35]
4. 1. 앵글 분류법 (Angle's classification)
에드워드 앵글(Edward Angle)은 부정교합을 처음으로 분류한 사람으로, 그의 분류는 상악골(위턱뼈) 첫 번째 어금니의 상대적인 위치에 기초한다.[72] 앵글에 의하면 윗쪽 첫 번째 어금니의 앞 중앙쪽 볼 방향(mesiobuccal)이 아래턱뼈 어금니의 볼고랑(협측구)과 나란해야 한다.[72] 모든 치아들은 교합선에 맞아야 하는데, 이때의 교합선은 위턱뼈의 중심의 오목한 부분과 송곳니의 치대(齒帶), 아래턱뼈의 협측교두(뺨쪽 치아도드리)와 앞니 끝을 지나는 부드러운 곡선을 말한다.앵글 분류법에 따르면 부정교합은 다음과 같이 세 가지 유형으로 나눌 수 있다.[71]
- 1급 부정교합(중립 교합): 교합의 대구치 관계는 정상이나, 다른 치아에 공간, 총생, 과잉 또는 과소 맹출과 같은 문제가 있다.
- 2급 부정교합(원심 교합)([하악후퇴증], 과개, 과도한 수직 피개): 상악 제1대구치의 원심협측 교두가 하악 제1대구치의 원심협측구보다 전방에 위치한다. 2개의 아형이 있다.
- 2급 1분: 대구치 관계는 2급이며, 전방 치아가 돌출되어 있다.
- 2급 2분: 대구치 관계는 2급이지만, 중절치가 설측경사되어 있고, 측절치가 중절치를 덮고 있다.
- 3급 부정교합: (근심 교합)([하악전돌증], 전치부 반대교합, 음성 수평 피개, 과소 교합) 상악 대구치가 원심협측구에 위치하지 않고 그 뒤에 위치한다. 즉, 상악 제1대구치의 원심협측 교두는 하악 제1대구치의 원심협측구의 뒤에 위치한다. 이 경우 하악 전치가 상악 전치보다 더 두드러지게 보이는 경우가 많으며, 환자는 큰 하악골 또는 짧은 상악골을 가지고 있을 수 있다.
이러한 앵글 분류법은 부정교합을 이해하는 데 기본적인 틀을 제공하지만, 모든 부정교합이 이 분류에 정확히 들어맞는 것은 아니다. 따라서 앵글의 분류를 수정하거나 대체하려는 많은 시도가 있었고, 다양한 하위 유형과 새로운 시스템이 등장했다.
4. 2. 앞니 관계 (Incisor classification)
영국 표준 협회(BSI)는 앞니 관계를 기준으로 부정교합을 다음과 같이 분류한다.- 1급: 아래 앞니 절단연이 위 앞니의 띠 융기 평원에 닿거나 바로 아래에 위치한다.
- 2급: 아래 앞니 절단연이 위 앞니의 띠 융기 평원 뒤에 위치한다.
- 1 부류: 위 앞니가 전돌되거나 평균적인 경사를 가지며, 수평 피개는 증가한다.
- 2 부류: 위 앞니가 후경되어 있다. 수평 피개는 일반적으로 최소이거나 증가할 수 있다.
- 3급: 아래 앞니 절단연이 위 앞니의 띠 융기 평원 앞에 위치한다. 수평 피개는 감소하거나 반전된다.
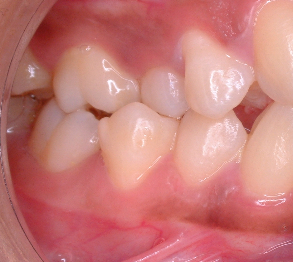
4. 3. 덧니 (Crowding)
치아 덧니는 치아가 올바르게 정렬되는 데 필요한 공간이 부족하여 발생한다. 이는 턱뼈 크기에 비해 치아가 너무 크거나, 치아가 나올 공간이 부족할 때 나타난다. 덧니의 정도는 다음과 같이 분류한다.[25]- 0-4mm = 경미한 덧니
- 4-8mm = 중간 정도의 덧니
- 8mm 초과 = 심한 덧니
덧니는 대개 치아 발치, 투명 교정 장치, 또는 치아 교정기를 사용하여 교정 치료를 받으며, 소아의 경우 성장 조절, 성인의 경우 악교정 수술이 뒤따르기도 한다. 드물게 턱을 늘리거나 줄이기 위한 수술적 재형성(악교정 수술)이 필요할 수 있다. 철사, 판 또는 나사를 사용하여 턱뼈를 고정할 수 있으며, 이는 턱 골절의 수술적 안정화와 유사하다. 대부분의 사람들은 치아 배열이 "완벽"하지 않지만, 대부분의 문제는 매우 경미하여 치료가 필요하지 않다.[39]
4. 4. 과개교합 (Overbite)
과개교합은 위 앞니가 아래 앞니를 수직으로 얼마나 덮는지를 나타낸다. 정상적인 과개교합은 위쪽 앞니가 아래 치아의 1/3을 덮는 경우이다.[25][31][32] 이보다 적게 덮으면 '감소'된 과개교합, 더 많이 덮으면 '증가'된 과개교합이라고 한다.[25][31][32] 겹침이나 접촉이 없는 경우는 '전방 개방 교합'으로 간주된다.[25][31][32]과개교합의 분류는 겹침 정도, 완전 또는 불완전, 접촉의 외상성 여부 등의 특징을 분석한다. 겹침 정도는 절단 대 절단, 감소, 평균, 증가로 나뉜다. 완전 또는 불완전은 아래 치아와 반대 치아/조직(경구개 또는 치은) 사이의 접촉 여부에 따라 결정되며, 접촉이 외상성인지 비외상성인지도 확인한다.
개방교합은 위 치아가 아래 치아를 덮지 못하는 부정교합의 한 종류이다. 앞니에서 발생하면 전방 개방교합이라고 한다.[58] 개방교합은 여러 원인으로 인해 발생하며, 치료가 어렵고 재발이 잦다.[58] 특히 전방 개방교합의 경우 재발 가능성이 더 높다.[58] 따라서 정확한 진단과 적절한 치료 계획 수립이 중요하다.[58] 재발을 막기 위해서는 습관적인 위험 요인을 고려해야 한다. 치료 방법으로는 행동 변화, 장치 사용, 수술 등이 있다. 성인의 경우 발치, 고정식 장치, 상악간 탄성고무, 악교정 수술 등을 병행한다.[30] 소아는 치아교정술을 주로 사용하며, 혼합 치열기 아동은 영구치가 나면서 부정교합이 자연스럽게 해결될 수도 있다. 손가락 빨기 등의 습관으로 인해 부정교합이 생긴 경우, 습관을 고치면 해결될 수 있으며, 습관 억제 장치를 사용하기도 한다. 성장 중인 환자에게는 기능성 장치나 헤드기어 장치를 사용하기도 한다.
5. 치료
부정교합의 치료는 치아 교정, 악교정 수술 (턱 수술), 보철 치료 등 다양한 방법으로 이루어진다. 치료 방법은 부정교합의 종류, 심한 정도, 환자의 나이, 골격 성장 상태 등을 고려하여 결정된다.
치아 교정치아 교정은 가장 일반적인 부정교합 치료 방법이다.[43] 교정 장치(브라켓, 철사)나 투명 교정 장치 등을 이용하여 치아를 서서히 이동시켜 올바른 위치로 배열한다.[44] 성장기 아동, 청소년의 경우 턱 성장을 조절하는 교정 치료를 병행할 수 있으며, 성인의 경우 턱 수술(악교정 수술)이 필요할 수 있다.[44] 수술적 방법은 드물게 사용된다.[37]
악교정 수술 (턱 수술)턱뼈의 위치를 바로잡기 위해 악교정 수술을 시행할 수 있다.[37] 턱뼈의 심한 부조화가 있는 경우가 이에 해당되며, 대개 치아 교정 치료와 함께 진행된다.[43] 턱을 늘리거나 줄이기 위한 수술적 재형성이 이루어지며, 철사, 판 또는 나사를 사용하여 턱뼈를 고정한다.[37]
기타 치료경미한 부정교합은 치료가 필요하지 않을 수 있다.[37] 심한 덧니와 같이 심각한 치아 총생이 있는 경우에는 치아 발치를 통해 부정교합을 교정할 수 있다. 이외에도 치아 교정기, 설측 교정기, 투명 교정 장치, 구개 확장 장치 등이 사용될 수 있으며,[43] 손상된 치아를 수복하는 치료법도 있다.[42] 드물게 턱을 늘리거나 줄이기 위한 악교정 수술이 필요할 수 있으며, 철사, 판, 나사 등을 사용해 턱뼈를 고정한다.
5. 1. 치아 교정
치아 교정은 가장 일반적인 부정교합 치료 방법이다.[43] 교정 장치(브라켓, 철사)나 투명 교정 장치 등을 이용하여 치아를 서서히 이동시켜 올바른 위치로 배열한다.[44] 성장기 아동, 청소년의 경우 턱 성장을 조절하는 교정 치료를 병행할 수 있으며, 성인의 경우 턱 수술(악교정 수술)이 필요할 수 있다.[44] 수술적 방법은 드물게 사용된다.[37]5. 2. 악교정 수술 (턱 수술)
턱뼈의 위치를 바로잡기 위해 악교정 수술을 시행할 수 있다.[37] 턱뼈의 심한 부조화가 있는 경우가 이에 해당되며, 대개 치아 교정 치료와 함께 진행된다.[43] 턱을 늘리거나 줄이기 위한 수술적 재형성이 이루어지며, 철사, 판 또는 나사를 사용하여 턱뼈를 고정한다.[37]5. 3. 기타 치료
경미한 부정교합은 치료가 필요하지 않을 수 있다.[37][39] 심한 덧니와 같이 심각한 치아 총생이 있는 경우에는 치아 발치를 통해 부정교합을 교정할 수 있다.[45][46] 이외에도 치아 교정기, 설측 교정기, 투명 교정 장치, 구개 확장 장치 등이 사용될 수 있으며,[43] 손상된 치아를 수복하는 치료법도 있다.[42] 드물게 턱을 늘리거나 줄이기 위한 악교정 수술이 필요할 수 있으며, 철사, 판, 나사 등을 사용해 턱뼈를 고정한다.[39]6. 기능적 부정교합 (일본어 문서 내용)
기능적 부정교합은 어떠한 기능 이상을 동반하는 부정교합을 의미한다. 형태적 부정교합은 교정치료의 대상이 되지만, 기능적 부정교합은 턱관절 장애의 원인 중 하나로 중요하게 여겨진다. 기능적 부정교합은 "물리는 면이 어긋난다", "앞니로 면류를 끊어 먹을 수 없다", "송곳니로 실을 끊어 먹을 수 없다" 등의 징후로 환자가 인식하는 경우가 많다.
기능적 부정교합의 종류는 다음과 같다.
- 중심위 조기 접촉: 하악이 중심위에 위치할 때, 위아래 치아가 한 곳에서만 접촉하고 다른 치아는 접촉하지 않는 상태이다. 하악이 교두감합위에 위치할 때, 하악두가 하악와의 사면에 위치하여 불안정한 상태가 된다.


- 하악 편심위 운동 시 조기 접촉: 아래턱을 옆으로 움직일 때, 끊으려고 하는 반대쪽 어금니가 강하게 접촉하여 실이나 고기를 끊을 수 없는 경우이다.


- 하악 전방위 운동 시 교합 간섭: 아래턱을 앞으로 내밀어 앞니로 물려고 할 때, 어금니가 강하게 접촉하거나, 사랑니의 교합 평면에서 돌출된 부분이 조기 접촉을 일으켜 앞니가 물리지 않는 경우이다.



기능적 부정교합은 턱관절 질환, 근육 피로, 관절 원판 장애 등을 유발할 수 있다.
- 턱관절 질환: 턱관절의 연골 또는 뼈의 변성 위축으로, 관절에 가해지는 여러 부하와 이를 견디는 관절의 수용력의 불균형에 의해 발생한다.
- 근육 피로: 부정교합이 수면 중의 이갈이 등을 일으켜 바깥쪽 날개근이 기능 장애를 일으킬 정도로 피로하거나 건초염이 된 상태이다.
- 관절 원판 장애: 관절 원판을 후방에서 지지하고 있는 원판 후부 조직이 하악두에 의해 압박을 받아 손상되어 변성되어 그 기능을 상실한 상태이다.

7. 한국인의 부정교합
참조
[1]
OED
malocclusion
[2]
학술지
Paul G. Spencer
1965-09
[3]
학술지
Famous Figures in Dentistry
2010
[4]
학술지
Weedon D. Weedon's Skin Pathology. 3rd ed. London: Churchill Livingstone Elsevier, 2010
2012
[5]
서적
Principles in Contemporary Orthodontics
IntechOpen Limited
2011
[6]
웹사이트
How genetics can affect your teeth
https://orthodontics[...]
2018-11-25
[7]
학술지
Genetic analysis of occlusal variation in twins
1980-08
[8]
학술지
Malocclusion in Early Anatomically Modern Human: A Reflection on the Etiology of Modern Dental Misalignment
2013-11-20
[9]
학술지
Malocclusion from the prehistoric to the medieval times in Serbian population: Dentoalveolar and skeletal relationship comparisons in samples
https://pubmed.ncbi.[...]
2019-08-29
[10]
학술지
Longitudinal study of habits leading to malocclusion development in childhood
2014-08
[11]
학술지
Pressure Habits, Etiological Factors in Malocclusion
[12]
학술지
The "Three m's": Muscles, Malformation and Malocclusion
[13]
학술지
Prediction of the age of maximum puberal growth in body height
http://www.angle.org[...]
1967-04
[14]
학술지
Studies on the Incidence and Cause of Dental Defects in Children: IV. Malocclusion
http://jdr.sagepub.c[...]
[15]
학술지
Correlation between malocclusion, oral habits, and socio-economic level of preschool children
1960
[16]
학술지
Oral habits--studies in form, function, and therapy
1973-10
[17]
학술지
Dental arch diameters and relationships to oral habits
2006-05
[18]
학술지
Malocclusion associated with abnormal posture
2003-05
[19]
학술지
Pacifier as a risk factor for acute otitis media
2002-02
[20]
학술지
Is pacifier use a risk factor for acute otitis media? A dynamic cohort study
2008-08
[21]
서적
Occlusion
Wright
1990
[22]
학술지
Prevalence of malocclusion and orthodontic treatment need in children and adolescents in Bogota, Colombia. An epidemiological study related to different stages of dental development
2001-04
[23]
학술지
Malocclusion and occlusal traits in an urban Iranian population. An epidemiological study of 11- to 14-year-old children
2009-10
[24]
웹사이트
5 reasons you should see an orthodontist
https://orthodontics[...]
2017-09-27
[25]
학술지
An Introduction to Orthodontics, 2nd edn
2001-12
[26]
학술지
Orthodontic treatment for deep bite and retroclined upper front teeth in children
2018-02
[27]
학술지
Prevalence and distribution of selected occlusal characteristics in the US population, 1988-1991
1996-02
[28]
학술지
Factors associated with anterior open bite in children with developmental disabilities
2018-01
[29]
학술지
Effectiveness of the open bite treatment in growing children and adolescents. A systematic review
2016-06
[30]
학술지
Nonsurgical treatment and stability of an adult with a severe anterior open-bite malocclusion
2018
[31]
학술지
Book Reviews
1992-02-01
[32]
학술지
Does overbite reduction affect smile esthetics?
2019-11
[33]
웹사이트
Angle's Classification of Malocclusion
http://www.unc.edu/d[...]
2007-10-31
[34]
서적
Orthodontics
New Delhi
2008
[35]
서적
Orthodontics
New Delhi
2008
[36]
서적
Textbook of Orthodontics
[37]
논문
Effects of food processing on masticatory strain and craniofacial growth in a retrognathic face
2004-05
[38]
논문
A pilot study of the effect of masticatory muscle training on facial growth in long-face children
https://boris.unibe.[...]
1987-02
[39]
웹사이트
Malocclusion of teeth
https://www.nlm.nih.[...]
2010-02-22
[40]
간행물
Breastfeeding in the 21st century: epidemiology, mechanisms, and lifelong effect
2016-01
[41]
논문
Stability and relapse of maxillary anterior crowding treatment in class I and class II Division 1 malocclusions
2011-06
[42]
웹사이트
Malocclusion of teeth: MedlinePlus Medical Encyclopedia
https://medlineplus.[...]
2021-04-07
[43]
웹사이트
Dental Crowding: Causes and Treatment Options
https://orthodontics[...]
2020-06-29
[44]
웹사이트
Can Buck Teeth Be Fixed? Causes & Treatment Options
https://orthodontics[...]
2021-07-01
[45]
논문
Treatment of Angle Class I malocclusion with severe crowding by extraction of four premolars: a case report
2018-10
[46]
논문
Long-term spontaneous changes following removal of all first premolars in Class I cases with crowding
1989-08
[47]
논문
Global human mandibular variation reflects differences in agricultural and hunter-gatherer subsistence strategies
2011-12
[48]
논문
Two-phase treatment of class II malocclusion in young growing patient
2011-10
[49]
웹사이트
Treatment of class ii malocclusions
https://www.slidesha[...]
2013-11-14
[50]
논문
Incongruity between affinity patterns based on mandibular and lower dental dimensions following the transition to agriculture in the Near East, Anatolia and Europe
2015-02-04
[51]
논문
Orthodontic treatment for prominent upper front teeth (Class II malocclusion) in children and adolescents
2018-03
[52]
논문
Classification of Skeletal and Dental Malocclusion: Revisited
2016
[53]
서적
Esthetics and biomechanics in orthodontics
2014-04-10
[54]
논문
Treatment decision in adult patients with class III malocclusion: surgery versus orthodontics
2018-08
[55]
논문
Long-term evaluation after chincap treatment
1995-04
[56]
논문
Orthodontics-surgical combination therapy for Class III skeletal malocclusion
2012-01
[57]
논문
A retrospective investigation of orthognathic patients and functional needs.
2024
[58]
논문
Nonsurgical approach to Class I open-bite malocclusion with extrusion mechanics: a 3-year retention case report
2015-04
[59]
논문
Clinical management of tooth size discrepancies
2012-06
[60]
논문
Association between Bolton discrepancy and Angle malocclusions
2015
[61]
논문
A retrospective analysis of dentofacial deformities and orthognathic surgeries using the index of orthognathic functional treatment need (IOFTN)
2015-07
[62]
서적
Orthognatic Surgery: Principles and Practice
Elsevier
2013-09
[63]
논문
Functional needs of subjects with dentofacial deformities: A study using the index of orthognathic functional treatment need (IOFTN)
2016-06
[64]
서적
Essentials of Oral Pathology 4th Edition
[65]
논문
Skeletal malocclusion: a developmental disorder with a life-long morbidity
2014-12
[66]
논문
Genetics of the dentofacial variation in human malocclusion
2015-04
[67]
서적
咬合学事典
書林
[68]
간행물
The Glossary of Prosthodontic Terms (8 Edition)
2005
[69]
서적
Dorland's Medical Dictionary 28edition
W.B. SUNDERS COMPANY
[70]
서적
Functional Occlusion From TMJ to Smile Design
MOSBY
[71]
간행물
Famous Figures in Dentistry
Mouth – JASDA
2010
[72]
웹인용
Angle's Classification of Malocclusion
http://www.unc.edu/d[...]
2007-10-31
본 사이트는 AI가 위키백과와 뉴스 기사,정부 간행물,학술 논문등을 바탕으로 정보를 가공하여 제공하는 백과사전형 서비스입니다.
모든 문서는 AI에 의해 자동 생성되며, CC BY-SA 4.0 라이선스에 따라 이용할 수 있습니다.
하지만, 위키백과나 뉴스 기사 자체에 오류, 부정확한 정보, 또는 가짜 뉴스가 포함될 수 있으며, AI는 이러한 내용을 완벽하게 걸러내지 못할 수 있습니다.
따라서 제공되는 정보에 일부 오류나 편향이 있을 수 있으므로, 중요한 정보는 반드시 다른 출처를 통해 교차 검증하시기 바랍니다.
문의하기 : help@durumis.com
