맨위로가기

디피실리균 감염증

"오늘의AI위키"는 AI 기술로 일관성 있고 체계적인 최신 지식을 제공하는 혁신 플랫폼입니다.
"오늘의AI위키"의 AI를 통해 더욱 풍부하고 폭넓은 지식 경험을 누리세요.

1. 개요

디피실리균 감염증은 세균인 클로스트리디오이데스 디피실(C. difficile) 감염으로 발생하는 질환이다. 이 균은 혐기성 세균으로, 장독소와 세포 독소를 생성하여 설사를 유발하며, 항생제 사용, 위산 억제 약물, 장기간 입원 등이 위험 요인으로 작용한다. 진단은 대변 검사, 세포독성 분석, PCR 등을 통해 이루어지며, 격리, 항생제 제한, 프로바이오틱스, 감염 관리 등이 예방에 중요하다. 치료는 경구 수분 보충, 항생제, 프로바이오틱스, 분변 미생물 이식 등이 사용되며, 재발률이 높고, 심각한 경우 수술이 필요할 수 있다. 1935년에 처음 발견되었으며, 가성 막성 대장염은 C. difficile 감염의 합병증으로 1978년에 처음 보고되었다.

더 읽어볼만한 페이지

  • 설사 - 이질
    이질은 세균이나 기생충 감염으로 발병하는 감염성 질환으로, 혈액이 섞인 설사, 복통, 발열 등의 증상을 보이며, 세균성과 아메바성으로 나뉘고 위생 환경 개선으로 발생 빈도는 감소했으나 개발도상국에서는 여전히 주요한 건강 문제이다.
  • 설사 - 장염
    장염은 바이러스나 세균 감염으로 인한 위장관 염증 질환으로, 구토, 설사, 복통 등의 증상이 나타나며, 개인위생 관리와 안전한 음식 섭취를 통해 예방할 수 있다.
  • 장내 세균 - 연쇄상구균
    연쇄상구균은 규칙적으로 배열되는 그람 양성 구균으로, 젖산 발효를 통해 에너지를 얻고 용혈 패턴에 따라 분류되며, 인후염, 폐렴 등 다양한 질병을 유발하는 주요 병원균이면서 일부는 식품 산업에 활용되기도 한다.
  • 장내 세균 - 클로스트리디움속
    클로스트리디움속은 절대 혐기성 세균으로 내생포자를 생성하며, 당분해를 통해 부티르산 등을 생성하고, 보툴리즘 등 질병을 유발하며, 산업적으로 아세톤 등을 생산하는 데 활용된다.
  • 감염병 - 바이러스
    바이러스는 DNA 또는 RNA를 유전 물질로 사용하고 단백질 껍질로 둘러싸인 비세포성 감염체이며, 숙주 세포 내에서만 증식하고 다양한 분야에서 활용된다.
  • 감염병 - 결핵
    결핵은 결핵균에 의해 발생하는 감염성 질환으로, 주로 폐에 영향을 미치며 기침, 객혈 등의 증상을 보이지만 무증상일 수도 있고, 호흡기 비말 전파를 통해 감염되며, 항생제 치료를 하지만 약물 내성 문제로 인해 공중 보건 문제로 남아있다.
디피실리균 감염증
질병 개요
이름클로스트리디오이데스 디피실 감염
다른 이름C. 디피실 연관 설사 (CDAD)
클로스트리듐 디피실 감염
C. 디피실 대장염
진료과감염병
증상설사
발열
구역질
복통
합병증가막성 대장염
독성 거대결장
대장 천공
패혈증
원인클로스트리디오이데스 디피실에 의한 감염, 분변-경구 경로를 통해 전파됨
위험 요인항생제
양성자 펌프 억제제
입원
다른 건강 문제
고령
진단대변 배양
세균 DNA 검사
독소 검사
예방손 씻기
병원 내 말기 청소
치료메트로니다졸
반코마이신
피다속마이신
분변 미생물군 이식
통계
빈도 (미국, 2011년)453,000건
사망자 수 (미국)29,000명
추가 정보
MeSHD004761

2. 원인

클로스트리디오이데스 디피실 (세균) 감염은 ''C. difficile'' 설사의 원인이다.[148]

== 클로스트리디오이데스 디피실 (''C. difficile'') ==

클로스트리디오이데스 디피실(''C. difficile'')은 혐기성 운동성 세균으로, 자연계, 특히 토양에 많이 분포한다.[45] 현미경으로 보면 길고 불규칙하며 괭이밥 모양 또는 방추형의 세포로 나타난다. 그람 염색을 하면 ''C. difficile'' 세포는 그람 양성 세균이며, 산소가 없는 상태에서 인체 온도와 유사한 혈액 한천에서 최적의 성장을 보인다.[45] 스트레스를 받으면 활성 세균이 견딜 수 없는 극한 조건을 견딜 수 있는 포자를 생성한다.[45]

''C. difficile''은 증상 없이 인간의 대장에 정착할 수 있으며, 성인 인구의 약 2~5%가 보균자이다.[45] 병원성 ''C. difficile'' 균주는 여러 독소를 생성하는데, 가장 잘 알려진 것은 장독소(독소 A)와 세포 독소(독소 B)이다.[45] 독소 A와 B는 Rho GTPase 패밀리를 표적으로 하고 비활성화시키는 글루코실트랜스퍼라제이다.[45] 독소 B는 액틴 탈중합을 유도한다.[21] 이진 독소도 설명되었지만, 질병에서의 역할은 완전히 이해되지 않았다.[22]

항생제 내성, 포자 형성, 가막의 보호 효과 등으로 인해 CDI 치료가 어려울 수 있다.[45] 퀴놀론 항생제 (시프로플록사신, 레보플록사신 등)에 내성을 보이는 새롭고 독성이 강한 ''C. difficile'' 균주의 출현이 보고되었으며,[23] 이는 북미 지역에서 지리적으로 분산된 유행을 일으키는 것으로 알려졌다.[23] 질병통제예방센터(CDC)는 독성 증가, 항생제 내성 또는 둘 다를 특징으로 하는 유행성 균주의 출현에 대해 경고했다.[24] 2005년에는 분자 분석을 통해 제한 효소 분석으로 그룹 BI, 펄스 필드 젤 전기 영동으로 북미 펄스 필드 유형 NAP1, 리보타이핑으로 리보타입 027로 특징지어지는 ''C. difficile'' 균주 유형(BI/NAP1/027)이 확인되었다.[26]

''C. difficile''은 분변-구강 경로를 통해 사람 간에 전파된다.[45] 이 유기체는 알코올 기반 손 소독제나 일상적인 표면 청소로 제거되지 않는 내열성 포자를 형성한다.[45] 포자는 임상 환경에서 오랫동안 생존할 수 있으며, 섭취되면 산 내성으로 인해 위를 손상 없이 통과할 수 있다.[45] 담즙산에 노출되면 대장에서 발아하여 영양 세포로 증식한다.[45] 장 환경에서 담즙산 데옥시콜산의 존재는 ''C. difficle'' 생물막 형성을 촉진할 수 있다.[25]

클로스트리디움 디피실이 어떻게 확산되는지를 설명한 그림.


== 위험 요인 ==

클로스트리디움 디피실 세균에 의한 감염은 클로스트리디움 디피실 설사병을 일으킨다. ''클로스트리디오이데스 디피실레'' 대장염은 플루오로퀴놀론, 세팔로스포린, 클린다마이신 등의 항생제 사용과 가장 강하게 연관되어 있다.[27][166]

일부 연구에서는 가축 사육 시 항생제 사용이 ''클로스트리디오이데스 디피실레''와 같은 세균 감염 발생에 기여하고 있다고 제시한다.[28][167]

사람들은 가장 흔하게 병원이나 요양원[29] 또는 기타 의료 기관에서 감염되지만, 의료 환경 밖에서의 감염도 증가하고 있다. ''클로스트리디오이데스 디피실''의 감염률은 병원 입원 기간이 2주 이내인 환자에서 13%, 4주 이상인 환자에서 50%로 추정된다.[31][168] 장기간의 입원이나 지난 1년 이내의 요양원 거주는 집락화 증가의 독립적인 위험 요소이다.[32][169]

지역사회 획득 클로스트리디오이데스 디피실 감염증(CDI) 발병률 증가는 위산 생성 억제 약물 사용과 관련이 있다. H2 수용체 길항제는 위험을 1.5배 증가시켰고, 프로톤 펌 억제제는 1일 1회 사용 시 1.7배, 1일 2회 이상 사용 시 2.4배 증가시켰다.[33][34] 재발성 CDI의 위험 증가는 관찰 연구에서도 위산 억제제 사용과 관련이 있으며, 위산 억제제를 사용한 환자의 재발성 CDI 발생률은 22.1%인 반면, 위산 억제제를 사용하지 않은 환자는 17.3%였다.[35]

최근 설사 질환을 겪은 사람은 포자에 노출될 경우, 특히 완하제 남용 및 위장관 병원체에 의해, ''클로스트리디움 디피실레''에 의해 집락화될 위험이 증가한다.[15] 장 운동성을 증가시키는 교란은 일시적으로 이용 가능한 식이성 당의 농도를 높여 ''클로스트리디움 디피실레''가 장에서 증식하고 자리를 잡을 수 있게 한다고 여겨진다.[36]

건강한 세균의 억제 결과로, 세균의 영양원 손실을 통해, 장기간의 원소 영양 사용은 ''클로스트리디오이데스 디피실'' 감염 발병 위험을 증가시킨다.[37] 낮은 혈청 알부민 수치는 ''클로스트리디오이데스 디피실'' 감염 발병과 감염 시 중증 질환의 위험 요소이다.[38][39] 혈청 알부민의 보호 효과는 이 단백질이 ''클로스트리디오이데스 디피실'' 독소 A와 독소 B에 결합하여 장세포로의 진입을 방해하는 능력과 관련이 있을 수 있다.[39]

만성 신장 질환(CKD)은 ''클로스트리디오이데스 디피실'' 감염 발병의 위험 요소로 확인되었다.[40][41] 만성 신장 질환 환자는 만성 신장 질환이 없는 환자에 비해 초기 및 재발 감염 위험이 높고, 중증 감염 발생 가능성도 높다.[42] 염증성 장 질환 환자 또한 감염 위험이 더 높으며, 최근 연구에 따르면 염증성 장 질환 증상에 가려져 간헐적인 ''클로스트리디오이데스 디피실'' 감염이 있을 수 있으므로, 질병 활성도 변화가 있는 환자에게 검사를 고려해야 한다.[43]

2. 1. 클로스트리디오이데스 디피실 (''C. difficile'')

클로스트리디오이데스 디피실(''C. difficile'')은 혐기성 운동성 세균으로, 자연계, 특히 토양에 많이 분포한다.[45] 현미경으로 보면 길고 불규칙하며 괭이밥 모양 또는 방추형의 세포로 나타난다. 그람 염색을 하면 ''C. difficile'' 세포는 그람 양성 세균이며, 산소가 없는 상태에서 인체 온도와 유사한 혈액 한천에서 최적의 성장을 보인다.[45] 스트레스를 받으면 활성 세균이 견딜 수 없는 극한 조건을 견딜 수 있는 포자를 생성한다.[45]

''C. difficile''은 증상 없이 인간의 대장에 정착할 수 있으며, 성인 인구의 약 2~5%가 보균자이다.[45] 병원성 ''C. difficile'' 균주는 여러 독소를 생성하는데, 가장 잘 알려진 것은 장독소(독소 A)와 세포 독소(독소 B)이다.[45] 독소 A와 B는 Rho GTPase 패밀리를 표적으로 하고 비활성화시키는 글루코실트랜스퍼라제이다.[45] 독소 B는 액틴 탈중합을 유도한다.[21] 이진 독소도 설명되었지만, 질병에서의 역할은 완전히 이해되지 않았다.[22]

항생제 내성, 포자 형성, 가막의 보호 효과 등으로 인해 CDI 치료가 어려울 수 있다.[45] 퀴놀론 항생제 (시프로플록사신, 레보플록사신 등)에 내성을 보이는 새롭고 독성이 강한 ''C. difficile'' 균주의 출현이 보고되었으며,[23] 이는 북미 지역에서 지리적으로 분산된 유행을 일으키는 것으로 알려졌다.[23] 질병통제예방센터(CDC)는 독성 증가, 항생제 내성 또는 둘 다를 특징으로 하는 유행성 균주의 출현에 대해 경고했다.[24] 2005년에는 분자 분석을 통해 제한 효소 분석으로 그룹 BI, 펄스 필드 젤 전기 영동으로 북미 펄스 필드 유형 NAP1, 리보타이핑으로 리보타입 027로 특징지어지는 ''C. difficile'' 균주 유형(BI/NAP1/027)이 확인되었다.[26]

''C. difficile''은 분변-구강 경로를 통해 사람 간에 전파된다.[45] 이 유기체는 알코올 기반 손 소독제나 일상적인 표면 청소로 제거되지 않는 내열성 포자를 형성한다.[45] 포자는 임상 환경에서 오랫동안 생존할 수 있으며, 섭취되면 산 내성으로 인해 위를 손상 없이 통과할 수 있다.[45] 담즙산에 노출되면 대장에서 발아하여 영양 세포로 증식한다.[45] 장 환경에서 담즙산 데옥시콜산의 존재는 ''C. difficle'' 생물막 형성을 촉진할 수 있다.[25]

2. 2. 위험 요인

클로스트리디움 디피실 세균에 의한 감염은 클로스트리디움 디피실 설사병을 일으킨다. ''클로스트리디오이데스 디피실레'' 대장염은 플루오로퀴놀론, 세팔로스포린, 클린다마이신 등의 항생제 사용과 가장 강하게 연관되어 있다.[27][166]

일부 연구에서는 가축 사육 시 항생제 사용이 ''클로스트리디오이데스 디피실레''와 같은 세균 감염 발생에 기여하고 있다고 제시한다.[28][167]

사람들은 가장 흔하게 병원이나 요양원[29] 또는 기타 의료 기관에서 감염되지만, 의료 환경 밖에서의 감염도 증가하고 있다. ''클로스트리디오이데스 디피실''의 감염률은 병원 입원 기간이 2주 이내인 환자에서 13%, 4주 이상인 환자에서 50%로 추정된다.[31][168] 장기간의 입원이나 지난 1년 이내의 요양원 거주는 집락화 증가의 독립적인 위험 요소이다.[32][169]

지역사회 획득 클로스트리디오이데스 디피실 감염증(CDI) 발병률 증가는 위산 생성 억제 약물 사용과 관련이 있다. H2 수용체 길항제는 위험을 1.5배 증가시켰고, 프로톤 펌 억제제는 1일 1회 사용 시 1.7배, 1일 2회 이상 사용 시 2.4배 증가시켰다.[33][34] 재발성 CDI의 위험 증가는 관찰 연구에서도 위산 억제제 사용과 관련이 있으며, 위산 억제제를 사용한 환자의 재발성 CDI 발생률은 22.1%인 반면, 위산 억제제를 사용하지 않은 환자는 17.3%였다.[35]

최근 설사 질환을 겪은 사람은 포자에 노출될 경우, 특히 완하제 남용 및 위장관 병원체에 의해, ''클로스트리디움 디피실레''에 의해 집락화될 위험이 증가한다.[15] 장 운동성을 증가시키는 교란은 일시적으로 이용 가능한 식이성 당의 농도를 높여 ''클로스트리디움 디피실레''가 장에서 증식하고 자리를 잡을 수 있게 한다고 여겨진다.[36]

건강한 세균의 억제 결과로, 세균의 영양원 손실을 통해, 장기간의 원소 영양 사용은 ''클로스트리디오이데스 디피실'' 감염 발병 위험을 증가시킨다.[37] 낮은 혈청 알부민 수치는 ''클로스트리디오이데스 디피실'' 감염 발병과 감염 시 중증 질환의 위험 요소이다.[38][39] 혈청 알부민의 보호 효과는 이 단백질이 ''클로스트리디오이데스 디피실'' 독소 A와 독소 B에 결합하여 장세포로의 진입을 방해하는 능력과 관련이 있을 수 있다.[39]

만성 신장 질환(CKD)은 ''클로스트리디오이데스 디피실'' 감염 발병의 위험 요소로 확인되었다.[40][41] 만성 신장 질환 환자는 만성 신장 질환이 없는 환자에 비해 초기 및 재발 감염 위험이 높고, 중증 감염 발생 가능성도 높다.[42] 염증성 장 질환 환자 또한 감염 위험이 더 높으며, 최근 연구에 따르면 염증성 장 질환 증상에 가려져 간헐적인 ''클로스트리디오이데스 디피실'' 감염이 있을 수 있으므로, 질병 활성도 변화가 있는 환자에게 검사를 고려해야 한다.[43]

3. 병태 생리

전신 항생제, 특히 광범위 항생제 (페니실린/세팔로스포린, 플루오로퀴놀론, 클린다마이신) 사용은 장의 정상적인 미생물총을 변화시킨다.[44] 항생제가 장내의 다른 경쟁 세균을 죽이면, 살아남은 세균은 공간과 영양분을 놓고 덜 경쟁하게 된다. ''클로스트리디움 디피실''은 이러한 세균 중 하나로, 장에서 증식하는 것 외에도 독소를 생성한다. 독소 A 또는 독소 B가 없으면, ''C. difficile''은 장에 집락할 수 있지만 위막성 대장염을 일으킬 가능성은 낮다.[44] 심각한 감염과 관련된 대장염은 염증 반응의 일부이며, "위막"은 염증 세포, 피브린, 괴사 세포의 점성 집합체에 의해 형성된다.[45]

4. 진단

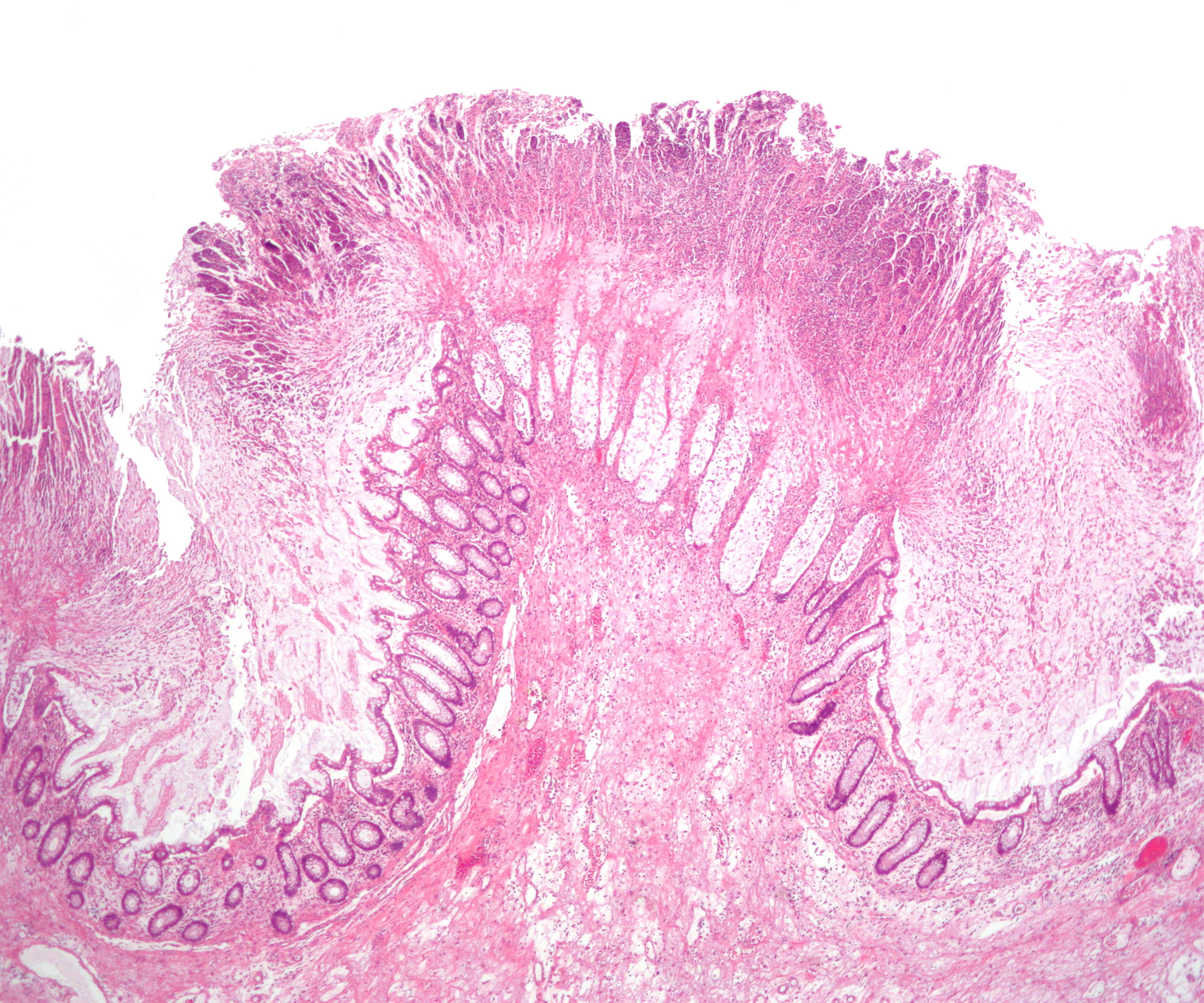
''C. difficile'' 대장염의 가성 막의 현미경 사진, 가성 막 대장염의 한 종류, H&E 염색


내시경 사진, S상 결장 벽에서 노란색 가성 막이 보이는 가성 막 대장염


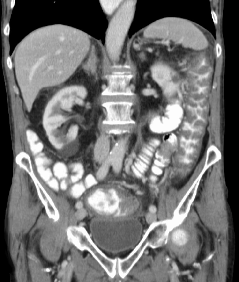
컴퓨터 단층 촬영에서 가성 막 대장염


''C. difficile'' 독소를 검출하는 검사가 나오기 전에는, 결장경 검사나 S상 결장경 검사를 통해 진단하는 경우가 많았다. 결장 또는 직장 점막에서 "가성 막"의 출현은 이 질환을 시사하지만, 진단적인 것은 아니다.[46] 가성 막은 염증성 잔해물과 백혈구로 구성된 삼출물로 이루어져 있다. 현재도 결장경 검사 및 S상 결장경 검사가 사용되기는 하지만, 현재는 ''C. difficile'' 독소 존재 여부를 검사하는 대변 검사가 진단의 첫 번째 단계로 자주 사용된다. 일반적으로 독소 A와 독소 B 두 가지만 검사하지만, 이 균은 다른 독소도 여러 개 생성한다. 이 검사는 100% 정확하지 않으며, 반복 검사에도 위음성률이 상당하다.[47]

4. 1. 분류

클로스트리디오이데스 디피실 감염증(CDI)은 크레아티닌 및 백혈구 수치를 기준으로 비중증, 중증, 전격성 CDI로 분류될 수 있다.[81]

4. 2. 세포독성 분석

''클로스트리디오이데스 디피실''(Clostridioides difficile영어) 독소는 세포 배양에서 세포병변 효과를 나타내며, 특정 항혈청으로 관찰된 모든 효과를 중화시키는 것은 새로운 CDI 진단 기술을 연구하는 데 있어 실질적인 표준 검사이다.[45] 독소 생성 배양법은 선택 배지에서 미생물을 배양하고 독소 생성을 검사하는 방법으로, 속도가 느리고 노동 집약적이지만 여전히 표준 검사이며 가장 민감하고 특이적인 검사법이다.[48][174]

4. 3. 독소 ELISA

효소 면역 측정법(ELISA)을 이용한 A 및 B 독소 평가는 독소 A 또는 B(또는 둘 다)에 대해 63~99%의 민감도와 93~100%의 특이도를 가지며, 검사 방법에 따라 차이가 있다.[47] 과거 전문가들은 초기 검사에서 음성이 나오면 질병을 배제하기 위해 최대 3개의 대변 검체를 보내도록 권장했지만, 설사 에피소드 동안 반복적인 검사는 가치가 제한적이며 권장하지 않는다는 증거가 있다.[49] ''클로스트리디오이데스 디피실'' 독소는 치료가 유효하면 제거된다.[175] 많은 병원에서는 주로 독소 A만 검사한다. 그러나 B 독소만 발현하는 균주가 현재 많은 병원에 존재하므로 두 가지 독소에 대한 검사가 모두 수행되어야 한다.[50][51][176][177] 두 가지 모두 검사하지 않으면 실험실 결과 획득이 지연될 수 있으며, 이는 종종 질병의 장기화 및 불량한 결과의 원인이 된다.

4. 4. 기타 대변 검사

변 검사에서 백혈구 측정과 락토페린 수치 측정 역시 진단 검사로 제안되었지만, 진단 정확도는 제한적일 수 있다.[52][178]

4. 5. 중합효소 연쇄 반응 (PCR)

실시간 중합효소 연쇄 반응을 이용한 대변 검사는 약 93%의 확률로 ''C. 디피실''을 검출할 수 있으며, 양성일 경우 약 3%의 확률로 잘못된 양성 결과를 나타낸다.[53] 이는 세포독성 배양 또는 세포 독성 분석보다 더 정확하다.[53] 결과를 3시간 이내에 얻을 수 있다는 장점이 있다.[53] 비용이 더 높고, 검사가 독소 자체가 아닌 독소 유전자만을 검사한다는 단점이 있다.[53] 확인 없이 검사를 사용할 경우 과잉 진단이 발생할 수 있다.[53] 반복 검사는 오해를 불러일으킬 수 있으며, 새로운 증상 없이 7일 이상 간격으로 검체를 검사하는 것은 유용한 정보를 얻을 가능성이 매우 낮다.[54] 무증상 감염으로 인한 위양성 사례가 많아 검사 특이도는 비교적 낮다.[47] 분변 검체를 실시간 PCR로 분석하면, 검출률 90% 정도, 위양성 4% 정도로 검사할 수 있다.[179] 다단계 PCR 검사 알고리즘을 사용하면 전반적인 성능을 개선할 수 있다.

5. 예방

개인실에 환자를 격리하는 것은 ''클로스트리디움 디피실 감염증''의 확산을 막는 데 중요하다.[55] 접촉 주의는 C. difficile의 확산을 막는 중요한 부분이다. C. difficile는 항생제를 복용하지 않는 사람에게는 흔히 발생하지 않으므로 항생제 사용을 제한하면 위험을 줄일 수 있다.[56]

5. 1. 항생제

CDI를 예방하는 가장 효과적인 방법은 적절한 항생제 처방이다.[57][180] 병원, 진료소, 지역 사회 또는 학술 환경에서 항생제 처방의 약 50%는 부적절한 것으로 간주된다.[57] 항생제를 제한하거나 불필요한 처방을 전반적으로 제한함으로써 CDI 감소 효과가 입증되었다.[57] 2011년 미국 병원에서 발생한 약물 부작용 중 CDI 감염이 가장 흔한 원인이었다.[57][180] 영국 일부 지역에서는 플루오로퀴놀론 항생제 사용 감소가 CDI 발병률 감소로 이어진 것으로 보인다.[58]

5. 2. 프로바이오틱스

일부 증거에 따르면 프로바이오틱스는 감염 및 재발을 예방하는 데 유용할 수 있다.[59][60][181][182] 면역 저하가 없는 ''C. difficile'' 감염 환자에게 사카로마이세스 보울라르디를 이용한 치료 또한 유용할 수 있다.[61][62][183][184] 2010년 초, 미국 감염병 학회는 합병증 위험 때문에 프로바이오틱스 사용을 권장하지 않았다.[59][61][181][183] 하지만 이후의 검토에서는 치료와 관련된 부작용 증가를 발견하지 못했고,[60][182] 전반적으로 치료는 안전하며 C. difficile 관련 설사 예방에 적당히 효과적인 것으로 보인다.[63][185]

5. 3. 감염 관리

엄격한 감염 예방 수칙은 디피실리균 감염증(CDI) 전파 위험을 최소화하는 데 필요하다.[65][186] 장갑 착용 및 CDI 환자 1명에게만 사용되는 비치명적 의료 기기와 같은 감염 관리 조치는 예방에 효과적이다.[66][187] 비누와 물로 씻으면 오염된 손에서 포자가 씻겨 나가지만, 알코올 기반 손 소독제는 효과가 없다.[67][188] 0.55% 차아염소산 나트륨을 함유한 표백제 물티슈는 포자를 죽이고 전파를 예방하는 것으로 나타났다.[69][189] 뚜껑이 있는 변기를 설치하고 물을 내리기 전에 뚜껑을 닫는 것 또한 오염 위험을 줄여준다.[70][190]

CDI 환자는 병원에 입원했을 때 다른 CDI 환자와 같은 병실을 사용하거나, 단독 병실을 사용해야 한다.[66][187] 일반적인 병원 소독제는 ''클로스트리디움 디피실'' 포자에 효과가 없으며, 포자 형성을 촉진할 수 있지만, 다양한 산화제(예: 1% 차아염소산 차아염소산 나트륨 용액)는 포자를 빠르게 파괴한다.[71][191] 과산화 수소 증기 (HPV) 시스템은 감염률을 감소시키고 다른 사람에 대한 감염 위험을 줄이는 것으로 나타났다. HPV를 사용하면 CDI 발생률이 53%[72][192] 또는 42%[73][193] 감소했다. 자외선 세척 장치와 퇴원 후 ''클로스트리디움 디피실'' 환자의 병실 소독에 전념하는 청소 직원은 효과적일 수 있다.[74][194]

6. 치료

무증상 상태로 ''C. difficile''을 보유하는 것은 흔하며, 증상이 없는 환자에 대한 치료는 논란의 여지가 있다.[229] 일반적으로 경증의 사례는 특별한 치료를 필요로 하지 않는다.[229][7][45][152][198] 경구 수분 보충 요법은 설사와 관련된 탈수증을 치료하는 데 유용하다.[230] 또한, 장내 세균총을 정상화시키는 프로바이오틱스의 이용은 유효하다고 생각된다.[196]

6. 1. 약물 치료

여러 가지 다른 항생제가 ''클로스트리디오이데스 디피실(Clostridioides difficile)''에 사용되며, 사용 가능한 약제들은 거의 비슷한 효과를 나타낸다.[75] 반코마이신 또는 피닥소마이신을 경구 투여하는 것이 경증, 중등도 및 중증 감염에 일반적으로 권장된다.[76] 또한 메트로니다졸이 선천적 결손을 유발할 수 있으므로 임산부에게는 이 약제들이 1차 치료제로 사용된다.[77] 일반적인 반코마이신 125mg은 하루 4번 10일 동안 경구 투여한다.[77][81] 피닥소마이신은 200mg을 하루 2번 10일 동안 투여한다.[81] 장폐색이 발생하면 직장 투여할 수도 있다.[76]

피닥소마이신은 반코마이신만큼 잘 견딜 수 있으며,[78] 재발 위험이 낮을 수 있다.[75] 피닥소마이신은 경증에서 중등도의 질병을 가진 환자에게 반코마이신만큼 효과적인 것으로 밝혀졌으며, 중증 질환 환자에게는 반코마이신보다 더 나을 수 있다.[7][79] 메트로니다졸 (500mg을 하루 3번 10일 동안 투여[81])은 환자가 1차 치료제에 알레르기가 있거나, 이를 견딜 수 없거나, 접근을 막는 재정적 어려움이 있을 때만 ''클로스트리디오이데스 디피실(C. difficile)'' 감염에 대한 대체 치료제로 권장된다.[76][80] 전격성 질환의 경우 반코마이신 경구 투여와 정맥 내 메트로니다졸을 함께 사용하는 것이 일반적이다.[76]

로페라미드와 같이 설사를 늦추거나 멈추는 데 사용되는 약물은 치료를 시작한 후에만 사용할 수 있다.[81]

콜레스티라민, 즉 이온 교환 수지는 독소 A와 B를 모두 결합하고, 장 운동성을 늦추며, 탈수를 예방하는 데 효과적이다.[82] 콜레스티라민은 반코마이신과 함께 권장된다. 면역억제 환자에게 마지막 수단으로 사용되는 치료법은 정맥 면역 글로불린이다.[82] ''C. difficile'' 독소 A 및 ''C. difficile'' 독소 B에 대한 단클론 항체는 베즐로톡수맙(상품명 진플라바)을 포함하여 ''클로스트리디오이데스 디피실(C. difficile)'' 감염의 재발을 예방하는 데 승인되었다.[83]

6. 2. 프로바이오틱스

활성 질환 치료에 프로바이오틱스 사용을 뒷받침할 증거는 불충분하다.[61][84][85][86] 따라서 표준 치료법에 추가하거나 단독으로 사용해서는 안 된다.[205] 7α-탈수산화효소 활성을 가진 특정 미생물이 1차 담즙산을 2차 담즙산으로 대사하여 클로스트리디오이데스 디피실을 억제한다고 알려져 있다. 이러한 미생물을 프로바이오틱스와 같은 치료 제품에 통합하는 것이 보호 효과를 가질 수 있지만, 더 많은 전임상 연구가 필요하다.[87] 클로스트리디움 부티리쿰(미야이리균)의 유용성은 고병원성균의 증식과 길항함으로써 클로스트리디오이데스 디피실 장염의 원인균인 고병원성 클로스트리디오이데스 디피실의 증식을 방해하는 능력에 주로 기인한다.[206]

6. 3. 분변 미생물 이식

분변 미생물 이식은 변 이식이라고도 하며, 항생제가 효과가 없는 환자에게 약 85%에서 90%의 효과를 보인다.[88][89][90] 건강한 기증자의 분변에서 얻은 미생물을 주입하여 감염의 재발을 유발하는 세균 불균형을 되돌리는 과정이다.[91] 이 절차는 항생제에 의해 제거된 정상적인 결장 미생물을 보충하고, ''클로스트리디오이데스 디피실''의 집락 형성에 대한 저항성을 재확립한다.[92] 적어도 초기에는 부작용이 거의 없다.[90]

생균 분변 미생물 (레비오타)은 2022년 11월 미국에서 의학적 사용이 승인되었다.[93] 생균 분변 미생물 포자 (보우스트)는 2023년 4월 미국에서 의학적 사용이 승인되었으며,[94][95] 이는 경구 투여하는 최초의 분변 미생물 제품이다.[94] 2023년 검토 기사에서는 재발성 ''클로스트리디오이데스 디피실'' 감염에 대한 분변 미생물 이식의 유익한 효과를 논의한다.[96]

6. 4. 수술

심각한 ''클로스트리디오이데스 디피실'' 대장염 환자의 경우, 결장 절제술이 결과를 개선할 수 있다.[97] 수술로 가장 큰 이점을 얻을 수 있는 대상을 결정하기 위해 특정 기준이 사용될 수 있다.[98]

7. 재발성 감염

재발성 디피실리균 감염증(CDI)은 환자의 20~30%에서 발생하며, 에피소드가 반복될수록 재발률이 증가한다.[99] 임상 환경에서는 동일한 ''C. difficile'' 균주의 재발과 새로운 균주 감염으로 인한 재감염을 구별하는 것이 사실상 불가능하다. 그러나 실험실 환경에서는 전체 유전체 시퀀싱 또는 다중 유전자좌 VNTR 분석을 사용하여 쌍을 이룬 분리주를 구별할 수 있다.[100]

재발성 ''C. difficile'' 감염에 대한 여러 치료 옵션이 존재한다. 2017년 IDSA 지침은 초기 에피소드에 메트로니다졸을 사용한 경우 125mg의 경구용 반코마이신을 하루 4번 10일 동안 투여할 것을 권장한다. 초기 에피소드에 경구용 반코마이신을 사용한 경우, 경구용 반코마이신 펄스 용량을 투여 후 감량하거나, 피닥소마이신을 투여한다. 두 번째 재발성 에피소드의 경우 경구용 반코마이신 펄스 용량과 점진적 감량, 경구용 반코마이신 투여 후 리팍시민 투여, 피닥소마이신 투여, 또는 대변 미생물 이식을 포함한 옵션을 권장한다.[80]

전통적인 항생제 요법으로 해결되지 않는 C. diff 감염 환자의 경우, 대변 미생물 이식은 평균 90% 이상의 완치율을 보인다.[101] 317명의 환자를 대상으로 한 연구에서, 지속적이거나 재발하는 질병의 92%에서 완화가 나타났다.[102] 장내 미생물총의 회복이 재발성 CDI와의 싸움에서 가장 중요하며, 효과적인 항생제 치료를 통해 C. difficile을 줄일 수 있다.[103] 자연 미생물 군집이 회복되면서 시간이 지남에 따라 자연적인 군집 저항력이 발달할 수 있지만, 이 과정이 완료되기 전에 재감염 또는 재발이 발생할 수 있다. 대변 미생물 이식은 부족한 미생물 군집 구성원을 직접 대체하여 이러한 회복을 가속화할 수 있다.[103] 그러나 사람에게서 유래한 대변 물질은 표준화하기 어렵고, 여러 잠재적 위험이 있어, 장기적인 효과에 대한 연구가 더 필요하다.

8. 예후

메트로니다졸 또는 반코마이신으로 처음 치료한 후, 약 20%의 환자에서 ''클로스트리디오이데스 디피실'' 감염이 재발한다.[104] 이후 재발 시 이 수치는 40%와 60%로 증가한다.[104]

9. 역학

클로스트리디오이데스 디피실레 설사 발생률은 매년 인구 10만 명당 8명으로 추정된다.[105] 입원 환자 중에서는 1,000명당 4명에서 8명 사이에서 발생한다.[105] 2011년 미국에서 약 50만 건의 감염과 29,000명의 사망자가 발생했다.[10]

일부 플루오로퀴놀론 내성 균주의 출현으로 인해, 미국에서는 2000년과 2007년 사이에 클로스트리디오이데스 디피실레 관련 사망자가 400% 증가했다.[106] 질병통제예방센터(CDC)에 따르면, "클로스트리디오이데스 디피실레는 미국 병원에서 의료 관련 감염의 가장 흔한 미생물 원인이 되었으며, 급성 치료 시설에서만 연간 최대 48억 달러의 초과 의료 비용이 발생한다."[107]

10. 역사

1935년, 이반 C. 홀(Ivan C. Hall)과 엘리자베스 오툴(Elizabeth O'Toole)은 이 박테리아의 종명을 분리하려는 초기 시도에 저항하고 배양 시 매우 느리게 성장한다는 특성을 고려하여 처음으로 ''Bacillus difficilis''라고 명명했다.[104][108] 이후 앙드레 로맹 프레보는 이를 ''Clostridium''으로 옮겨 이명 ''Clostridium difficile''로 변경했다.[109][110] 이 결합은 나중에 새로운 속인 ''Clostridioides''로 옮겨지면서 ''Clostridioides difficile''로 변경되었다.[111]

가성 막성 대장염은 1978년, ''C. difficile'' 감염의 합병증으로 처음 기술되었으며, 가성 막성 대장염 환자로부터 독소가 분리되고 코흐의 가설이 충족되었다.[220]

참조

[1] 웹사이트 Taxonomy browser (Clostridioides difficile) https://www.ncbi.nlm[...] 2024-09-08
[2] 논문 Clostridioides difficile infection: history, epidemiology, risk factors, prevention, clinical manifestations, treatment, and future options https://journals.asm[...] 2024-02-29
[3] 논문 "''Clostridium difficile'' infection and antibiotic-associated diarrhoea" 2018-06
[4] 논문 Human Serum Albumin Is an Essential Component of the Host Defense Mechanism Against Clostridium difficile Intoxication 2018-09
[5] 웹사이트 Frequently Asked Questions about Clostridium difficile for Healthcare Providers https://www.cdc.gov/[...] 2012-03-06
[6] 논문 Early Diagnosis, Prevention, and Treatment of Clostridium difficile: Update 2016-03
[7] 논문 Antibiotic treatment for Clostridium difficile-associated diarrhoea in adults 2017-03
[8] 서적 Principles and Practice of Pediatric Infectious Diseases https://books.google[...] Elsevier Health Sciences 2012
[9] 서적 Eat To Beat Disease GrandCentral
[10] 논문 Burden of Clostridium difficile infection in the United States 2015-02
[11] 논문 Current status of Clostridium difficile infection epidemiology 2012-08
[12] 논문 The impact of Clostridium difficile infection on resource use and costs in hospitals in Spain and Italy: a matched cohort study 2015-07
[13] 논문 Clostridium difficile infection 2015-04
[14] 논문 Diverse sources of C. difficile infection identified on whole-genome sequencing 2013-09
[15] 논문 Diarrhoeal events can trigger long-term Clostridium difficile colonization with recurrent blooms 2020-04
[16] 논문 Inpatient diarrhoea and Clostridium difficile infection 2012-12
[17] 논문 Rapid, accurate, and on-site detection of C. difficile in stool samples 2015-04
[18] 논문 Clinical prediction rules to optimize cytotoxin testing for Clostridium difficile in hospitalized patients with diarrhea 1996-05
[19] 논문 Clostridium difficile: a cause of diarrhea in children 2013-06
[20] 논문 Clostridium difficile Toxins A and B: Insights into Pathogenic Properties and Extraintestinal Effects 2016-05
[21] 논문 The low molecular mass GTP-binding protein Rho is affected by toxin A from Clostridium difficile 1995-03
[22] 논문 Binary bacterial toxins: biochemistry, biology, and applications of common Clostridium and Bacillus proteins 2004-09
[23] 논문 A predominantly clonal multi-institutional outbreak of Clostridium difficile-associated diarrhea with high morbidity and mortality 2005-12
[24] 논문 Clostridium difficile: responding to a new threat from an old enemy https://www.cdc.gov/[...] 2005-08
[25] 논문 Novel insights into phage biology of the pathogen Clostridioides difficile based on the active virome 2024
[26] 논문 Clostridium difficile infection: new developments in epidemiology and pathogenesis 2009-07
[27] 논문 Clostridium difficile infection: prevention, treatment, and surgical management 2014-12
[28] 뉴스 Scientists probe whether ''C. difficile'' is linked to eating meat https://www.cbc.ca/n[...] CBC News 2006-10-04
[29] 논문 Challenges and Strategies for Prevention of Multidrug-Resistant Organism Transmission in Nursing Homes 2017-04
[30] 웹사이트 Clostridium difficile Infection Information for Patients https://www.cdc.gov/[...] 2017-04-19
[31] 논문 Acquisition of Clostridium difficile by hospitalized patients: evidence for colonized new admissions as a source of infection 1992-09
[32] 논문 Current and future treatment modalities for Clostridium difficile-associated disease 2008-04
[33] 논문 Iatrogenic gastric acid suppression and the risk of nosocomial Clostridium difficile infection 2010-05
[34] 논문 Association between proton pump inhibitor therapy and Clostridium difficile infection in a meta-analysis 2012-03
[35] 논문 Association of Gastric Acid Suppression With Recurrent Clostridium difficile Infection: A Systematic Review and Meta-analysis 2017-06
[36] 논문 Gut microbiota-produced succinate promotes C. difficile infection after antibiotic treatment or motility disturbance 2014-12
[37] 논문 Tube feeding, the microbiota, and Clostridium difficile infection 2010-01
[38] 논문 Fidaxomicin versus vancomycin for Clostridium difficile infection: meta-analysis of pivotal randomized controlled trials 2012-08
[39] 논문 difficile infection in surgical patients 2019
[40] 웹사이트 C. difficile-Symptoms and causes https://www.mayoclin[...] 2021-08-27
[41] 논문 Advanced chronic kidney disease: a strong risk factor for Clostridium difficile infection 2016-01
[42] 논문 Clostridioides difficile Infection in Chronic Kidney Disease/End-Stage Renal Disease 2019-01
[43] 논문 Dysregulated Immunity to Clostridioides difficile in IBD Patients Without a History of Recognized Infection 2023-10
[44] 논문 The role of toxin A and toxin B in Clostridium difficile infection http://spiral.imperi[...] 2010-10
[45] 서적 Sherris Medical Microbiology McGraw Hill
[46] 웹사이트 Surgical Pathology Criteria: Pseudomembranous Colitis http://surgpathcrite[...]
[47] 논문 Overview of current detection methods and microRNA potential in ''Clostridioides difficile'' infection screening 2023-06
[48] 서적 Manual of Clinical Microbiology ASM Press
[49] 논문 Repeat stool testing to diagnose Clostridium difficile infection using enzyme immunoassay does not increase diagnostic yield 2011-08
[50] 웹사이트 Researchers knock down gastro bug myths http://www.abc.net.a[...] ABC Science Online 2009-03-02
[51] 논문 Toxin B is essential for virulence of Clostridium difficile 2009-04
[52] 논문 Clostridium difficile toxin and faecal lactoferrin assays in adult patients 2000-12
[53] 논문 Rapid detection of Clostridium difficile toxins and laboratory diagnosis of Clostridium difficile infections 2017-06
[54] 간행물 JOURNAL OF CLINICAL MICROBIOLOGY, October 2010, p. 3738–3741
[55] 웹사이트 FAQs (frequently asked questions) "Clostridium Difficile" https://www.cdc.gov/[...]
[56] 웹사이트 Clostridium difficile Infection Information for Patients {{pipe}} HAI {{pipe}} CDC https://www.cdc.gov/[...]
[57] 웹사이트 Origin of Adverse Drug Events in U.S. Hospitals, 2011 - Statistical Brief #158 Agency for Healthcare Research and Quality, Rockville, MD
[58] 웹사이트 PRIME® Continuing Medical Education
[59] 논문 Fighting fire with fire: is it time to use probiotics to manage pathogenic bacterial diseases? 2012-08
[60] 논문 Probiotics for the prevention of Clostridium difficile-associated diarrhea: a systematic review and meta-analysis 2012-12
[61] 논문 Probiotics in clostridium difficile Infection 2011-11
[62] 논문 Meta-analysis of probiotics for the prevention of antibiotic associated diarrhea and the treatment of Clostridium difficile disease https://zenodo.org/r[...] 2006-04
[63] 논문 Probiotics for the prevention of Clostridium difficile-associated diarrhea in adults and children 2017-12
[64] 논문 Probiotics for the Prevention of Antibiotic-Associated Diarrhea in Outpatients-A Systematic Review and Meta-Analysis 2017-10
[65] 웹사이트 C. difficile infection - Symptoms and causes
[66] 논문 Strategies to prevent Clostridium difficile infections in acute care hospitals: 2014 Update https://digitalcommo[...] 2014-06
[67] 웹사이트 Alcohol Rub, Antiseptic Wipes Inferior at Removing ''Clostridium difficile'' http://www.medscape.[...] Medscape 2007-09-21
[68] 논문 Duration of Contact Precautions for Acute-Care Settings 2018-02
[69] 논문 Host S-nitrosylation inhibits clostridial small molecule-activated glucosylating toxins 2011-08
[70] 웹사이트 Flush With Germs: Lidless Toilets Spread ''C. difficile'' http://www.medscape.[...] Medscape 2011-12-29
[71] 뉴스 Cleaning agents 'make bug strong' http://news.bbc.co.u[...] BBC News Online 2006-04-03
[72] 논문 Impact of hydrogen peroxide vapor room decontamination on Clostridium difficile environmental contamination and transmission in a healthcare setting 2008-08
[73] 논문 Implementation of hospital-wide enhanced terminal cleaning of targeted patient rooms and its impact on endemic Clostridium difficile infection rates 2013-06
[74] 웹사이트 Performance Feedback, Ultraviolet Cleaning Device, and Dedicated Housekeeping Team Significantly Improve Room Cleaning, Reduce Potential for Spread of Common, Dangerous Infection https://innovations.[...] Agency for Healthcare Research and Quality 2014-01-15
[75] 논문 Comparative effectiveness of Clostridium difficile treatments: a systematic review 2011-12
[76] 논문 Clinical Practice Guidelines for Clostridium difficile Infection in Adults and Children: 2017 Update by the Infectious Diseases Society of America (IDSA) and Society for Healthcare Epidemiology of America (SHEA) 2018-03
[77] 논문 Guidelines for diagnosis, treatment, and prevention of Clostridium difficile infections 2013-04
[78] 논문 Current and emerging management options for Clostridium difficile infection: what is the role of fidaxomicin? 2012-12
[79] 논문 Fidaxomicin: a novel macrocyclic antibiotic for the treatment of Clostridium difficile infection 2012-06
[80] 논문 Diagnosis and Treatment of Clostridioides (Clostridium) difficile Infection in Adults in 2020 2020-03
[81] 논문 ACG Clinical Guidelines: Prevention, Diagnosis, and Treatment of Clostridioides difficile Infections Ovid Technologies (Wolters Kluwer Health) 2021-06
[82] 논문 Treatment of Clostridium difficile Infection 2004-06
[83] 웹사이트 Merck Newsroom Home http://www.mercknews[...]
[84] 논문 Clostridium difficile: controversies and approaches to management 2009-12
[85] 논문 Probiotics for treatment of Clostridium difficile-associated colitis in adults 2008-01
[86] 논문 Probiotics for Gastrointestinal Conditions: A Summary of the Evidence 2017-08
[87] 논문 Capsules for Fecal Microbiota Transplantation in Recurrent Clostridium difficile Infection: The New Way Forward or a Tough Pill to Swallow? 2017-11
[88] 논문 Faecal microbiota transplantation for recurrent ''Clostridioides difficile'' infection: An updated systematic review and meta-analysis 2020-12
[89] 논문 Fecal transplantation for recurrent Clostridium difficile infection in older adults: a review 2013-08
[90] 논문 Fecal Microbiota Transplantation for Clostridium difficile Infection: A Systematic Review 2015-05
[91] 논문 Duodenal infusion of donor feces for recurrent Clostridium difficile 2013-01
[92] 논문 Medical research. The promise of poop 2013-08
[93] 뉴스 Ferring Receives U.S. FDA Approval for Rebyota (fecal microbiota, live-jslm) – A Novel First-in-Class Microbiota-Based Live Biotherapeutic https://ferringusa.c[...] 2022-12-01
[94] 간행물 FDA Approves First Orally Administered Fecal Microbiota Product for the Prevention of Recurrence of Clostridioides difficile Infection https://www.fda.gov/[...] 2023-04-26
[95] 간행물 Seres Therapeutics and Nestlé Health Science Announce FDA Approval of Vowst (fecal microbiota spores, live-brpk) for Prevention of Recurrence of C. difficile Infection in Adults Following Antibacterial Treatment for Recurrent CDI https://www.business[...] Seres Therapeutics 2023-04-26
[96] 논문 Beneficial effects of fecal microbiota transplantation in recurrent Clostridioides difficile infection 2023-05
[97] 논문 Systematic review and meta-analysis of outcomes following emergency surgery for Clostridium difficile colitis 2012-11
[98] 논문 Emergency colectomy for fulminant Clostridium difficile colitis: Striking the right balance 2011-10
[99] 논문 Clostridium difficile--more difficult than ever 2008-10
[100] 논문 Comparison of multilocus variable-number tandem-repeat analysis and whole-genome sequencing for investigation of Clostridium difficile transmission 2013-12
[101] 논문 Fecal microbiota transplantation in relapsing Clostridium difficile infection 2012-11
[102] 논문 Persistent and Recurrent Clostridium difficile Colitis 2015-06
[103] 논문 Novel therapies and preventative strategies for primary and recurrent Clostridium difficile infections 2019-01
[104] 논문 Clostridium difficile--more difficult than ever 2008-10
[105] 서적 The 5-minute clinical consult 2014 https://books.google[...] Wolters Kluwer Health/Lippincott Williams & Wilkins 2014
[106] 웹사이트 Antibiotic resistance threats in the United States, 2013 https://www.cdc.gov/[...] US Centers for Disease Control and Prevention 2013
[107] 웹사이트 Hospital Acquired Infections Are a Serious Risk - Consumer Reports http://www.consumerr[...] 2016-12-18
[108] 논문 Intestinal flora in newborn infants with a description of a new pathogenic anaerobe, ''Bacillus difficilis''
[109] 논문 Études de systématique bactérienne. IV. Critique de la conception actuelle du genre ''Clostridium'' https://gallica.bnf.[...] 1938
[110] 서적 The ''Firmicutes'' Springer 2009
[111] 논문 Reclassification of Clostridium difficile as Clostridioides difficile (Hall and O'Toole 1935) Prévot 1938 2016-08
[112] 논문 Clostridium difficile and the aetiology of pseudomembranous colitis 1978-05
[113] 뉴스 Trust confirms 49 superbug deaths http://news.bbc.co.u[...] BBC News Online 2006-10-01
[114] 뉴스 Leaked memo reveals that targets to beat MRSA will not be met http://www.thetimes.[...] 2007-01-11
[115] 웹사이트 "C. difficile" blamed for 9 death in hospital near Montreal http://cnews.canoe.c[...] Canoe.ca 2006-10-27
[116] 뉴스 12th person dies of ''C. difficile'' at Quebec hospital https://www.cbc.ca/n[...] CBC News 2006-11-18
[117] 뉴스 Hospitals struck by new killer bug http://www.metro.co.[...] Metro 2008-05-07
[118] 웹사이트 C. difficile outbreak linked to fatal strain https://toronto.ctvn[...] 2007-02-28
[119] 뉴스 Superbug in hospitals linked to four deaths http://www.independe[...] 2007-10-10
[120] 웹사이트 "Welcome to the Public Inquiry into the Outbreak of ''Clostridium difficile'' in Northern Trust Hospitals" http://www.cdiffinqu[...]
[121] 간행물 Healthcare watchdog finds significant failings in infection control at Maidstone and Tunbridge Wells NHS Trust http://www.healthcar[...] Healthcare Commission 2007-10-11
[122] 뉴스 Health Secretary intervenes in superbug row https://www.telegrap[...] 2007-10-11
[123] 웹사이트 Ärhäkkä suolistobakteeri on tappanut jo kymmenen potilasta – HS.fi – Kotimaa http://www.hs.fi/kot[...]
[124] 뉴스 Possible C Diff link to Drogheda deaths http://www.rte.ie/ne[...] RTÉ News 2009-11-10
[125] 웹사이트 199 ramt af dræber-diarre på Herlev Sygehus https://www.bt.dk/sy[...] 2010-03-03
[126] 문서 (Herlev, Amager, Gentofte and Hvidovre)
[127] 뉴스 Four hospitals affected by the dangerous bacterium http://nyhederne.tv2[...] TV2 News 2010-05-07
[128] 뉴스 Deadly superbug reaches NZ http://3news.co.nz/D[...] 3 News NZ 2012-10-30
[129] 뉴스 C. difficile linked to 26th death in Ontario https://www.cbc.ca/n[...] CBC News 2011-07-25
[130] 웹사이트 10 punkter för att förhindra smittspridning i Region Skåne http://www.skane.se/[...]
[131] 논문 κλωστήρ
[132] 논문 Difficilis http://www.archives.[...]
[133] 웹사이트 Stedman's Medical Dictionary https://stedmansonli[...] Wolters-Kluwer
[134] 논문 Clostridioides difficile Infections 2019-12
[135] 웹사이트 Clostridium Difficile Vaccine Efficacy Trial (Clover) https://www.clinical[...] 2020-02-21
[136] 웹사이트 Study of GlaxoSmithKline's (GSK) Clostridium Difficile Vaccine to Investigate the Safety and Ability to Provoke an Immune Response in the Body When Administered in Healthy Adults Aged 18-45 Years and 50-70 Years https://clinicaltria[...] 2020-04-13
[137] 웹사이트 op-line data from randomized, double-blind, placebo controlled Phase 2 clinical trial indicate statistically significant reduction in recurrences of CDAD http://www.umassmed.[...]
[138] 웹사이트 "Clostridium Difficile"-Associated Diarrhea http://www.centerwat[...]
[139] 웹사이트 MDX 066, MDX 1388 Medarex, University of Massachusetts Medical School clinical data (phase II)(diarrhea) http://business.high[...] Highbeam
[140] 논문 Clostridium difficile infection: update on emerging antibiotic treatment options and antibiotic resistance 2010-05
[141] 논문 Treatment of Clostridium difficile infection using SQ641, a capuramycin analogue, increases post-treatment survival and improves clinical measures of disease in a murine model 2016-05
[142] 논문 The vermiform appendix: a review 2013-10
[143] 논문 Administration of spores of nontoxigenic Clostridium difficile strain M3 for prevention of recurrent C. difficile infection: a randomized clinical trial 2015-05
[144] 논문 Dietary trehalose enhances virulence of epidemic Clostridium difficile 2018-01
[145] 논문 "Clostridium difficile: A Cause of Diarrhea in Children" http://archpedi.jama[...] 2013-06
[146] 논문 "Clostridium difficile腸炎とプロバイオティクス" https://doi.org/10.1[...] 2015
[147] 논문 "Clostridium difficile and IBD" http://www.remedicaj[...]
[148] 논문 Reclassification of Clostridium difficile as Clostridioides difficile (Hall and O'Toole 1935) Prévot 1938 https://www.ncbi.nlm[...] 2016-08
[149] 간행물 話題の感染症 ディフィシル菌感染症の基礎と臨床 https://www.eiken.co[...] 2010-10
[150] 웹사이트 Pseudomembranous Colitis http://www.emedicine[...] WebMD 2007-07-20
[151] 논문 抗生物質起因性腸炎の診療 https://doi.org/10.1[...] 2010
[152] 서적 Sherris Medical Microbiology McGraw Hill
[153] 논문 κλωστήρ Oxford
[154] 논문 Difficilis http://www.archives.[...] University of Notre Dame 2013-03-16
[155] 논문 Clostridium difficile http://medicalfinder[...] 2016-07-07
[156] 논문 Inpatient diarrhoea and Clostridium difficile infection
[157] 논문 Rapid, Accurate, and On-Site Detection of C. difficile in Stool Samples 2015-04
[158] 논문 Clinical prediction rules to optimize cytotoxin testing for Clostridium difficile in hospitalized patients with diarrhea 1996-05
[159] 논문 Clostridium difficile Toxins A and B: Insights into Pathogenic Properties and Extraintestinal Effects http://www.ncbi.nlm.[...] 2016-01-01
[160] 논문 The low molecular mass GTP-binding protein Rh is affected by toxin a from Clostridium difficile
[161] 논문 Binary Bacterial Toxins: Biochemistry, Biology, and Applications of Common Clostridium and Bacillus Proteins
[162] 논문 A predominantly clonal multi-institutional outbreak of Clostridium difficile-associated diarrhea with high morbidity and mortality 2005-12
[163] 논문 "Clostridium difficile: responding to a new threat from an old enemy" http://www.cdc.gov/n[...] 2005-08
[164] 논문 「グラム陰性球菌、グラム陽性桿菌 病院感染を起こす代表的な微生物(感染経路と病原性)」 https://doi.org/10.1[...] 2000
[165] 논문 "Clostridium difficile infection: New developments in epidemiology and pathogenesis" 2009-07
[166] 논문 "Clostridium difficile infection: prevention, treatment, and surgical management" 2014-12
[167] 뉴스 Scientists probe whether C. difficile is linked to eating meat http://www.cbc.ca/he[...] CBC News 2006-10-04
[168] 논문 Acquisition of Clostridium difficile by hospitalized patients: evidence for colonized new admissions as a source of infection 1992-09
[169] 논문 Current and future treatment modalities for Clostridium difficile-associated disease
[170] 논문 Iatrogenic gastric acid suppression and the risk of nosocomial Clostridium difficile infection 2010-05
[171] 논문 Association between proton pump inhibitor therapy and Clostridium difficile infection in a meta-analysis 2012-03
[172] 논문 The role of toxin A and toxin B in Clostridium difficile infection
[173] 웹사이트 Surgical Pathology Criteria: Pseudomembranous Colitis http://surgpathcrite[...] 2016-07-07
[174] 서적 Manual of Clinical Microbiology ASM Press
[175] 논문 Repeat Stool Testing to Diagnose Clostridium difficile Infection Using Enzyme Immunoassay Does Not Increase Diagnostic Yield
[176] 웹사이트 Researchers knock down gastro bug myths http://www.abc.net.a[...] ABC Science Online 2009-03-02
[177] 논문 Toxin B is essential for virulence of ''Clostridium difficile''
[178] 논문 ''Clostridium difficile'' toxin and faecal lactoferrin assays in adult patients
[179] 논문 Diagnostic accuracy of real-time polymerase chain reaction in detection of ''Clostridium difficile'' in the stool samples of patients with suspected ''Clostridium difficile'' Infection: a meta-analysis. 2011-10
[180] 간행물 Origin of Adverse Drug Events in U.S. Hospitals, 2011. HCUP Statistical Brief #158. http://hcup-us.ahrq.[...] Agency for Healthcare Research and Quality, Rockville, MD 2013-07
[181] 논문 Fighting fire with fire: is it time to use probiotics to manage pathogenic bacterial diseases? http://www.springerl[...] 2012-08
[182] 논문 Probiotics for the prevention of ''Clostridium difficile''-associated diarrhea: a systematic review and meta-analysis. 2012-12-18
[183] 논문 Probiotics in ''Clostridium difficile'' Infection 2011-11
[184] 논문 Meta-analysis of probiotics for the prevention of antibiotic associated diarrhea and the treatment of ''Clostridium difficile'' disease 2006-04
[185] 논문 Probiotics for the prevention of ''Clostridium difficile''-associated diarrhea in adults and children. 2013-05-31
[186] 웹사이트 Mayo Clinic ''C. diff'' prevention http://www.mayoclini[...]
[187] 논문 Strategies to Prevent ''Clostridium difficile'' Infections in Acute Care Hospitals: 2014 Update. 2014-06
[188] 웹사이트 Alcohol Rub, Antiseptic Wipes Inferior at Removing ''Clostridium difficile'' http://www.medscape.[...] Medscape 2016-07-07
[189] 논문 Host S-nitrosylation inhibits clostridial small molecule–activated glucosylating toxins
[190] 웹사이트 Flush With Germs: Lidless Toilets Spread ''C. difficile'' http://www.medscape.[...] Medscape 2016-07-07
[191] 뉴스 Cleaning agents 'make bug strong' http://news.bbc.co.u[...] BBC News Online 2008-11-17
[192] 문서 Boyce ''et al.'' 2008
[193] 문서 Manian ''et al.'' 2010
[194] 웹사이트 Performance Feedback, Ultraviolet Cleaning Device, and Dedicated Housekeeping Team Significantly Improve Room Cleaning, Reduce Potential for Spread of Common, Dangerous Infection https://innovations.[...] Agency for Healthcare Research and Quality 2014-01-20
[195] 논문 Comparative effectiveness of ''Clostridium difficile'' treatments: a systematic review 2011-12-20
[196] 논문 ''Clostridium difficile''腸炎とプロバイオティクス https://doi.org/10.1[...]
[197] 논문 Guidelines for Diagnosis, Treatment, and Prevention of Clostridium difficile Infections 2013-02-26
[198] 논문 Antibiotic treatment for ''Clostridium difficile''-associated diarrhea in adults. 2011-09-07
[199] 논문 Fidaxomicin: a novel macrocyclic antibiotic for the treatment of ''Clostridium difficile'' infection. 2012-06-01
[200] 논문 Current and emerging management options for ''Clostridium difficile'' infection: what is the role of fidaxomicin? 2012-12
[201] 서적 Antibiotic Essentials 2013 https://books.google[...]
[202] 논문 Treatment of ''Clostridium difficile'' Infection
[203] 뉴스 MSD、クロストリジウム・ディフィシル感染症の再発抑制薬「ジーンプラバ 点滴静注625mg」を発売 2017-12-08
[204] 논문 ''Clostridium difficile'': controversies and approaches to management 2009-12
[205] 논문 Probiotics for treatment of ''Clostridium difficile''-associated colitis in adults 2008-01-23
[206] 논문 Inhibition of the cytotoxic effect of ''Clostridium difficile'' in vitro by ''Clostridium butyricum'' MIYAIRI 588 strain 2011-11
[207] 논문 Fecal Transplantation for Recurrent ''Clostridium difficile'' Infection in Older Adults: A Review. 2013-08
[208] 논문 Fecal Microbiota Transplantation for ''Clostridium difficile'' Infection: A Systematic Review 2015-05-05
[209] 논문 Duodenal Infusion of Donor Feces for Recurrent ''Clostridium difficile'' 2013-01
[210] 논문 The Promise of Poop 2011-08-30
[211] 논문 Treatment of recurrent and severe ''Clostridium difficile'' infection 2015
[212] 뉴스 Fecal Transplants Made (Somewhat) More Palatable http://www.nytimes.c[...] 2015-11-13
[213] 논문 Systematic review and meta-analysis of outcomes following emergency surgery for ''Clostridium difficile'' colitis 2012-11
[214] 논문 Emergency colectomy for fulminant ''Clostridium difficile'' colitis: Striking the right balance 2011-10
[215] 논문 ''Clostridium difficile''—more difficult than ever null 2008-10
[216] 서적 The 5-minute clinical consult 2014 https://books.google[...] Wolters Kluwer Health/Lippincott Williams & Wilkins 2014
[217] 논문 Burden of Infection in the United States 2015-02-26
[218] 웹사이트 Antibiotic resistance threats in the United States, 2013 http://www.cdc.gov/d[...] US Centers for Disease Control and Prevention 2014-11-03
[219] 논문 Intestinal flora in newborn infants with a description of a new pathogenic anaerobe, ''Bacillus difficilis'' http://archpedi.ama-[...]
[220] 논문 ''Clostridium difficile'' and the aetiology of pseudomembranous colitis 1978-05
[221] 웹사이트 op-line data from randomized, double-blind, placebo controlled Phase 2 clinical trial indicate statistically significant reduction in recurrences of CDAD http://www.umassmed.[...] 2011-08-16
[222] 웹사이트 ''Clostridium Difficile''-Associated Diarrhea http://www.centerwat[...] 2011-08-16
[223] 웹사이트 MDX 066, MDX 1388 Medarex, University of Massachusetts Medical School clinical data (phase II)(diarrhea) http://business.high[...] 2011-08-16
[224] 논문 ''Clostridium difficile'' infection: update on emerging antibiotic treatment options and antibiotic resistance 2010-05
[225] 논문 The Vermiform Appendix: A Review http://onlinelibrary[...] 2013
[226] 논문 Administration of Spores of Nontoxigenic Strain M3 for Prevention of Recurrent Infection 2015-05-05
[227] 저널 인용 Early Diagnosis, Prevention, and Treatment of Clostridium difficile: Update 2016-03
[228] 웹인용 Frequently Asked Questions about Clostridium difficile for Healthcare Providers http://www.cdc.gov/H[...] 2012-03-06
[229] 서적 Sherris Medical Microbiology https://archive.org/[...] McGraw Hill
[230] 저널 인용 Antibiotic treatment for ''Clostridium difficile''-associated diarrhea in adults. 2011-09-07



본 사이트는 AI가 위키백과와 뉴스 기사,정부 간행물,학술 논문등을 바탕으로 정보를 가공하여 제공하는 백과사전형 서비스입니다.
모든 문서는 AI에 의해 자동 생성되며, CC BY-SA 4.0 라이선스에 따라 이용할 수 있습니다.
하지만, 위키백과나 뉴스 기사 자체에 오류, 부정확한 정보, 또는 가짜 뉴스가 포함될 수 있으며, AI는 이러한 내용을 완벽하게 걸러내지 못할 수 있습니다.
따라서 제공되는 정보에 일부 오류나 편향이 있을 수 있으므로, 중요한 정보는 반드시 다른 출처를 통해 교차 검증하시기 바랍니다.

문의하기 : help@durumis.com