맨위로가기

식도폐쇄증

"오늘의AI위키"는 AI 기술로 일관성 있고 체계적인 최신 지식을 제공하는 혁신 플랫폼입니다.
"오늘의AI위키"의 AI를 통해 더욱 풍부하고 폭넓은 지식 경험을 누리세요.

1. 개요

식도폐쇄증은 식도가 제대로 발달하지 못해 막히는 선천적 기형으로, 태아 발생 4주에 기관과 식도가 분리되는 과정에서 발생한다. 유전적 요인과 기관식도 중격의 장애가 원인일 수 있으며, SOX2, MYCN 등의 유전자가 관련되어 있다. 주요 증상으로는 출생 후 침을 삼키지 못하고 액체를 섭취하지 못하는 것이 있으며, 흡인성 폐렴, 심장 기형, VACTERL 증후군, 양수과다증 등의 합병증 및 관련 기형이 나타날 수 있다. 진단은 초음파, X선 촬영을 통해 이루어지며, 수술, 자석 압박법 등의 치료법이 사용된다. 약 3,000명 중 1명의 출생에서 발생하며, 수술 후 합병증으로 식도 협착, 기관 연화증, 폐렴 등이 나타날 수 있다.

더 읽어볼만한 페이지

  • 선천성 소화기 질환 - 샤츠키고리
    샤츠키 링은 식도 하부에 생기는 링 모양의 좁아짐으로, 음식 삼킴 곤란을 유발하며, 내시경 검사나 바륨 연하 검사로 진단하고, 증상이 있는 경우 식도 확장술로 치료한다.
  • 선천성 소화기 질환 - 기관식도샛길
    기관식도샛길은 식도와 기관 사이에 비정상적인 연결이 생기는 질환으로, 선천적 기형이나 후천적 요인으로 발생하며, 신생아에게서는 식도 폐쇄와 기관-위 누공 형태가 흔하고, 기침, 질식, 청색증, 폐렴 등의 증상을 유발하며, 진단은 X-ray, 식도 조영술, 기관지 내시경 등으로 하고, 치료는 수술 또는 내시경적 방법으로 샛길을 봉합한다.
  • 표시 이름과 문서 제목이 같은 위키공용분류 - 라우토카
    라우토카는 피지 비치레부섬 서부에 위치한 피지에서 두 번째로 큰 도시이자 서부 지방의 행정 중심지로, 사탕수수 산업이 발달하여 "설탕 도시"로 알려져 있으며, 인도에서 온 계약 노동자들의 거주와 미 해군 기지 건설의 역사를 가지고 있고, 피지 산업 생산의 상당 부분을 담당하는 주요 기관들이 위치해 있다.
  • 표시 이름과 문서 제목이 같은 위키공용분류 - 코코넛
    코코넛은 코코넛 야자나무의 열매로 식용 및 유지로 사용되며, 조리되지 않은 과육은 100g당 354kcal의 열량을 내는 다양한 영양 성분으로 구성되어 있고, 코코넛 파우더의 식이섬유는 대부분 불용성 식이섬유인 셀룰로오스이며, 태국 일부 지역에서는 코코넛 수확에 훈련된 원숭이를 이용하는 동물 학대 문제가 있다.
  • 한국어 위키백과의 링크가 위키데이터와 같은 위키공용분류 - 라우토카
    라우토카는 피지 비치레부섬 서부에 위치한 피지에서 두 번째로 큰 도시이자 서부 지방의 행정 중심지로, 사탕수수 산업이 발달하여 "설탕 도시"로 알려져 있으며, 인도에서 온 계약 노동자들의 거주와 미 해군 기지 건설의 역사를 가지고 있고, 피지 산업 생산의 상당 부분을 담당하는 주요 기관들이 위치해 있다.
  • 한국어 위키백과의 링크가 위키데이터와 같은 위키공용분류 - 코코넛
    코코넛은 코코넛 야자나무의 열매로 식용 및 유지로 사용되며, 조리되지 않은 과육은 100g당 354kcal의 열량을 내는 다양한 영양 성분으로 구성되어 있고, 코코넛 파우더의 식이섬유는 대부분 불용성 식이섬유인 셀룰로오스이며, 태국 일부 지역에서는 코코넛 수확에 훈련된 원숭이를 이용하는 동물 학대 문제가 있다.
식도폐쇄증
질병 정보
질병 이름식도 폐쇄증
다른 이름식도 폐쇄
분야소아과
식도 폐쇄증의 종류
식도 폐쇄증의 일반적인 해부학적 유형
일반 사항
증상(정보 없음)
합병증(정보 없음)
발병 시기(정보 없음)
지속 기간(정보 없음)
유형(정보 없음)
원인(정보 없음)
위험 요인(정보 없음)
진단(정보 없음)
감별 진단(정보 없음)
예방(정보 없음)
치료(정보 없음)
약물(정보 없음)
예후(정보 없음)
빈도(정보 없음)
사망률(정보 없음)
ICD
메쉬 아이디 (MeSH ID)D004933
추가 정보
관련 연구https://doi.org/10.1016/j.ydbio.2021.05.015

2. 병태생리

식도폐쇄증(EA) 및 식도기관루(TEF)의 유전적 원인에는 발달 과정에 관련된 유전자에서 염색체 이상 또는 변이가 포함된다. EA/TEF 위험 유전자로는 전사 조절 인자인 SOX2, MYCN, CHD7, FANCB, FOX 전사 인자군 구성원 등이 발견되었다.[3]

EA/TEF의 병인에서 가능한 다른 후보 유전자로는 APC2, AMER3, PCDH1, GTF3C1, POLR2B, RAB3GAP2, ITSN1 등이 확인되었다.[4]

3. 증상 및 징후

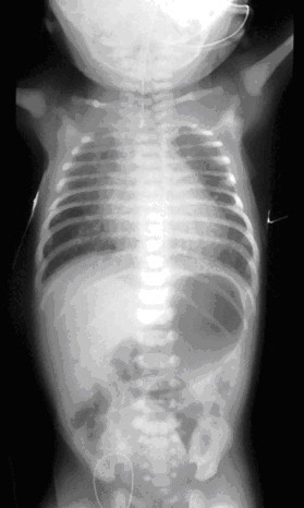
흉부와 복부의 단순 X선 영상. 영양관이 폐쇄된 식도를 지나가지 못하고 있다


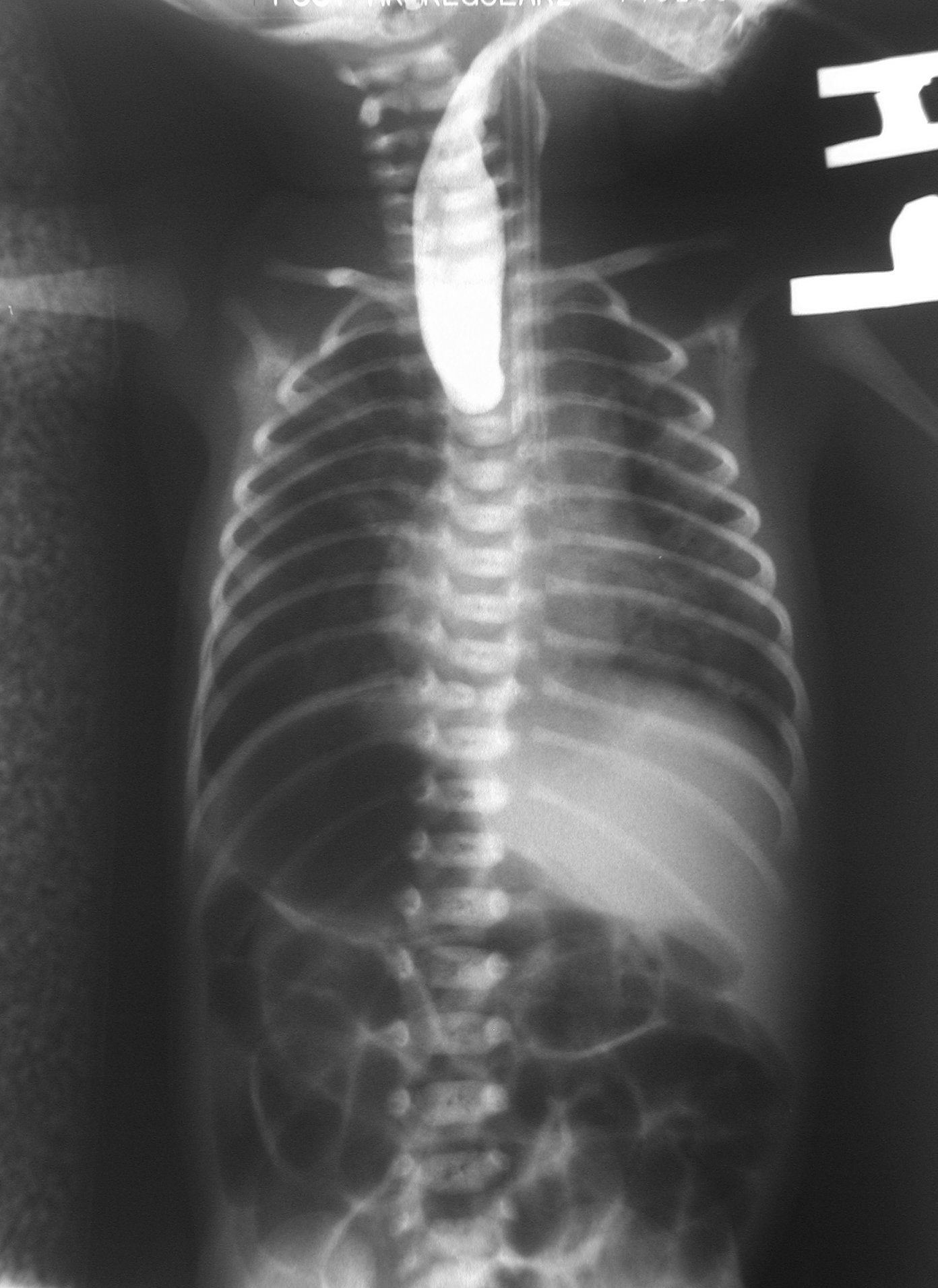
폐쇄가 일어난 부분 위쪽의 상부 식도에 조영제가 들어간 것을 보여주는 단순 X선 촬영 영상.


식도폐쇄증은 태아 발생 4주에, 기관과 식도가 서로 분리되기 시작할 때 발생한다.[33] 출생 직후에 침을 삼키지 못하여 흘리며, 액체도 제대로 넘기지 못하는 모습을 보인다.[34]

기관식도사이막의 장애들과 관련이 있다.[35]

이 선천적 결함은 기관과 식도가 서로 분리되기 시작해야 하는 임신 4주에 발생한다.[5]

이는 기관식도 중격의 장애와 관련될 수 있다.[6]

'''합병증'''

우유와 같은 음식을 먹으려 하는 경우, 먹은 우유 등이 폐쇄된 식도에 고이면서 기관과 폐로 역류하고 흡인성 폐렴을 일으킬 수 있다.[36] 또한 하부 식도와 기관 사이에 난 샛길(누공)을 통해 위액이 폐로 흘러가 폐에 손상을 일으킬 수 있다.[36] 흡인성 폐렴이 있는 경우 질식, 기침, 청색증 등의 증상이 나타날 수 있다.[34] 이러한 흡인의 위험으로 인해 식도폐쇄증은 출생 직후 최대한 빨리 치료하여야 한다.[36]

'''관련 기형'''

식도폐쇄증은 다른 선천성 기형과 함께 나타날 수 있는데, 특히 심장 기형이 자주 동반된다.[37][9] 그 외에도 항문, 척주, 콩팥 등에 기형이 나타날 수 있다.[37] 이러한 기형들은 척주(Vertebral column), 항문(Anorectal), 심장(Cardiac), 기관(Tracheal), 식도(Esophageal), 콩팥(Renal), 팔다리(Limbs)에 자주 발생하여 VACTERL 증후군이라고 불린다.[37][9] 식도폐쇄증은 임신 후기(마지막 3분기)의 양수과다증과도 관련이 있다.[37][9]

3. 1. 합병증

우유와 같은 음식을 먹으려 하는 경우, 먹은 우유 등이 폐쇄된 식도에 고이면서 기관과 폐로 역류하고 흡인성 폐렴을 일으킬 수 있다.[36] 또한 하부 식도와 기관 사이에 난 샛길(누공)을 통해 위액이 폐로 흘러가 폐에 손상을 일으킬 수 있다.[36] 흡인성 폐렴이 있는 경우 질식, 기침, 청색증 등의 증상이 나타날 수 있다.[34] 이러한 흡인의 위험으로 인해 식도폐쇄증은 출생 직후 최대한 빨리 치료하여야 한다.[36]

3. 2. 관련 기형

식도폐쇄증은 다른 선천성 기형과 함께 나타날 수 있는데, 특히 심장 기형이 자주 동반된다.[37][9] 그 외에도 항문, 척주, 콩팥 등에 기형이 나타날 수 있다.[37] 이러한 기형들은 척주(Vertebral column), 항문(Anorectal), 심장(Cardiac), 기관(Tracheal), 식도(Esophageal), 콩팥(Renal), 팔다리(Limbs)에 자주 발생하여 VACTERL 증후군이라고 불린다.[37][9] 식도폐쇄증은 임신 후기(마지막 3분기)의 양수과다증과도 관련이 있다.[37][9]

4. 진단

발생 26주 이후의 태아를 초음파 촬영 시에 식도폐쇄증이 보일 수 있다. 산전 초음파에서 양수과다증이 있으면서 가 없거나 크기가 작은 경우 식도폐쇄증의 잠재적인 증상으로 생각되기도 하였다.[38] 그러나 이 소견의 양성 예측치는 낮다. 목 위쪽에 생긴 주머니 소견은 식도폐쇄증의 산전 진단에 도움이 되는 또 다른 소견이다. 한편 출생 직후 식도폐쇄증이 있는 아이는 을 삼킬 수 없다는 것을 이용하여 진단할 수도 있다.[38][10]

단순 X선 영상에서는 영양관이 식도를 통과하지 못하고, 상부 식도에 꼬인 채로 남아 있게 되는 모습을 발견할 수 있다.[39][11]

4. 1. 분류

식도폐쇄증은 다양한 양상으로 나타날 수 있으며, 기관식도샛길을 동반하는 경우가 많다.[40][41][42][31][12][13][14][1]

그로스보그트(Vogt)라드(Ladd)이름설명빈도
-1형-식도의 무발생식도가 아예 존재하지 않는 아주 드문 기형. 그로스나 라드의 분류법에는 포함되지 않는다.N/A
A형2형I"Long Gap", "Pure", "Isolated" 식도폐쇄증 (식도폐쇄증만 발생한 경우)샛길이 없으며, 식도 상부와 하부가 끊긴 채 둘 사이에 빈 구간이 존재한다.7%
B형3A형II몸쪽기관식도샛길(proximal TEF)을 동반한 식도폐쇄증식도 상부가 기관으로 비정상적으로 연결되어 있다. 하부 식도는 끊겨 있다.2-3%
C형3B형III, IV먼쪽기관식도샛길(distal TEF)을 동반한 식도폐쇄증식도 하부가 기관으로 비정상적으로 연결되어 있다. 상부 식도는 끊겨 있다.86%
D형3C형V몸쪽과 먼쪽에 모두 기관식도샛길이 존재하는 식도폐쇄증상부 식도와 하부 식도가 모두 기관과 비정상적으로 연결되어 있다. 연결되는 지점은 서로 다르다.<1%
E형4형-식도폐쇄증 없이 기관식도샛길만 존재하는 경우. H 모양.식도는 온전한 상태이며 정상적인 기능을 수행할 수 있다. 그러나 식도와 기관 사이에 비정상적인 연결부가 존재한다. 라드 분류에는 포함되지 않는다.4%


5. 치료

식도폐쇄증의 치료는 그 중증도에 따라 달라진다. 가장 효과적인 치료법은 수술이며, 수술을 통해 기관식도샛길을 막고 식도의 양 끝을 연결한다.[43][15] 이는 환자의 오른쪽 가슴에서 갈비뼈 사이에 절개창을 내서 시행하는 게 일반적이지만, 흉강경을 이용한 최소 침습 수술도 이루어지고 있다.[43]

식도폐쇄증의 수술적 치료


모식도


드물게 식도 상부와 하부 간 간격이 너무 넓어 연결하기 어려운 경우가 있는데, 이때는 위창냄술을 실시하여 배벽을 통해 위로 경관영양을 공급하거나, 빈창자나 잘록창자를 이용하기도 한다.[44][16] 위를 이용하는 방식이 여러 전문 센터에서 선호된다.[45][17] 식도창냄술을 시행하여 삼킨 침을 목의 구멍으로 배출하기도 한다.[46][18] 수 개월 또는 수 년 후에는 가슴으로 올라온 창자의 일부를 식도 상부와 하부 사이에 삽입하여 식도를 복구하기도 한다.[46]

식도 상부와 하부 사이가 긴 경우를 치료하기 위해 존 포커(John Foker) 박사가 개발한 수술 치료법을 사용하기도하는데, 이방법은 짧은 식도 세그먼트를 늘인 다음 연결할 수 있다. 이 수술법은 작은 식도 끝에 견인 봉합사를 배치하고 이 봉합사에 대한 장력을 매일 증가시켜 끝이 함께 봉합될 만큼 충분히 가까워지도록 한다. 하지만, 여러 번의 수술이 필요하다는 점 때문에 이 접근 방식에 대한 열정이 누그러졌다.

자석 압박법(magnetic compression method)은 식도의 빈 공간을 창자나 다른 신체 부위로 대체하지 않고, 전자기력을 이용하여 식도 상부와 하부를 끌어당기는 방법이다.[47][21] 1970년대 처음 시도되었으며, 2000년대 마리오 사리트스키(Mario Zaritzky) 팀이 수술법을 더 보완하고 발달시켰다.[47]

새로운 자석 압박법은 영구자석과 풍선을 이용한다. 자석을 식도 상부와 하부에 각각 투입하고, 식도 상부 풍선으로 자석 간 거리를 조절하며, 풍선은 자석 간 힘이 너무 강해지지 않도록 조절한다. 식도 양 끝이 충분히 늘어나면 풍선이 없는 자석으로 교체하여 더 강한 자기력으로 식도 양 끝을 문합시킨다.[51][48][49][50][25][22][23][24] 2015년 4월 미국에서 자석을 이용한 식도폐쇄증 교정 첫 사례가 나왔다.[51][52][25][26]

6. 합병증

우유와 같은 음식을 먹으려 하는 경우, 먹은 우유 등이 폐쇄된 식도에 고이면서 기관과 폐로 역류하고 흡인성 폐렴을 일으킬 수 있다. 또한 하부 식도와 기관 사이에 난 샛길(누공)을 통해 위액이 폐로 흘러가 폐에 손상을 일으킬 수 있다. 이러한 흡인의 위험으로 인해 식도폐쇄증은 출생 직후 최대한 빨리 치료하여야 한다.[36] 흡인성 폐렴이 있는 경우 질식, 기침, 청색증 등의 증상이 나타날 수 있다.[34]

수술 후 합병증으로는 식도 봉합 부위 누출이 발생할 수 있다. 때때로 식도에 협착, 즉 좁아지는 부위가 생겨 삼키기 어려워질 수 있는데, 이는 대개 의료 기기를 사용하여 확장할 수 있다. 나중에, 이 질환을 가진 대부분의 어린이는 삼키는 것 또는 속 쓰림, 또는 둘 다에 약간의 어려움을 겪을 것이다. 식도 운동 장애는 환자의 75-100%에서 발생한다. 식도 재건술 (문합술) 후, 이전 근위 낭(맹낭, 위쪽)의 상대적인 이완과 식도 운동 장애로 인해 수유 중 체액이 축적될 수 있다. 근접성으로 인해, 낭 풍선화는 기관 폐쇄를 유발할 수 있으며, 심각한 저산소증("사망 발작")이 뒤따르며 종종 의료 개입이 필요할 수 있다.

기관 연화증은 기관의 연화 현상으로, 대개 기관 융기 (기관 융기) 위에서 발생하지만, 때로는 하부 기관지에서도 광범위하게 나타나는 심각한 합병증이다. 심각하지 않은 경우, 유아의 나이가 한 살이 되면서 기관이 굳어지므로 경과를 관찰하며 관리할 수 있다. 기관 융기 위쪽의 기관만 손상된 경우, 대동맥 고정술을 시행하여 대동맥 고리를 흉골 뒤쪽에 부착하여 연화된 기관의 압력을 기계적으로 완화한다. 더 간단한 개입은 스텐트 삽입이나, 상피 세포 증식과 스텐트가 기관에 통합될 가능성으로 인해 이후 제거가 위험할 수 있다.

청소년 및 성인 식도 폐쇄증 생존자의 천식, 기관지염, 기관지 과민 반응 및 재발성 감염 발생률은 건강한 동료보다 훨씬 높다.[27] 식도 폐쇄증 수술 후 첫 10년 동안 환자의 20%가 폐렴으로 사망했다. 그 이후로, 폐렴은 주요 폐 합병증으로 남아 있으며 식도 폐쇄증 재건술 후 재입원의 이유가 되었다.[27][28] 생후 5년 이내 폐렴의 위험 요소에는 기타 급성 호흡기 감염 및 많은 수의 식도 확장술이 포함된다.[29]

7. 역학

식도폐쇄증은 약 3,000명 중 1명의 출생에서 발생한다.[1]

8. 각주

참조

[1] 학술지 Oesophageal atresia 2007-05
[2] 학술지 Developmental basis of trachea-esophageal birth defects 2021
[3] 학술지 Identification and validation of candidate risk genes in endocytic vesicular trafficking associated with esophageal atresia and tracheoesophageal fistulas 2022
[4] 학술지 Novel candidate genes in esophageal atresia/tracheoesophageal fistula identified by exome sequencing 2021
[5] 웹사이트 Facts about Esophageal Atresia {{!}} CDC https://www.cdc.gov/[...] 2019-12-04
[6] 학술지 Esophageal atresia and tracheoesophageal fistula http://www.aafp.org/[...] 1999-02
[7] 학술지 Thoracoscopy vs. thoracotomy for the repair of esophageal atresia and tracheoesophageal fistula: a systematic review and meta-analysis https://doi.org/10.1[...] 2019-11-01
[8] 웹사이트 default - Stanford Medicine Children's Health https://www.stanford[...]
[9] 학술지 VACTERL association complicated with multiple airway abnormalities 2019-10-18
[10] 학술지 Case report: Upper neck pouch sign in the antenatal diagnosis of esophageal atresia 2009
[11] 학술지 Pre- and post-operative visualization of neonatal esophageal atresia/tracheoesophageal fistula via magnetic resonance imaging 2018-02
[12] 서적 The Surgery of Infancy and Childhood. WB Saunders 1953
[13] 학술지 Congenital esophageal atresia 1929-11
[14] 학술지 The surgical treatment of esophageal atresia and tracheoesophageal fistulas
[15] 학술지 The treatment strategy for tracheoesophageal fistula 2015
[16] 웹사이트 Esophageal Atresia Treatment Program http://www.childrens[...] Children's Hospital Boston
[17] 학술지 Gastric transposition for esophageal replacement in children: experience with 41 consecutive cases with special emphasis on esophageal atresia 2002-10
[18] 학술지 Management of Esophageal Perforation in Adults 2010
[19] 웹사이트 Esophageal atresia - symptoms, tests, Foker treatment http://www.childrens[...] Children's Hospital Boston
[20] 학술지 Surgical advances in the fetus and neonate: esophageal atresia 2012-06
[21] 웹사이트 "{{!}} Department of Radiology {{!}} The University of Chicago" https://radiology.uc[...]
[22] 웹사이트 Dr Zaritzky Pioneers Non-surgical Option for Babies with Esophageal Atresia http://radiology.uch[...] University of Chicago 2015-04-13
[23] 학술지 A hydraulically controlled nonoperative magnetic treatment for long gap esophageal atresia. http://web.mit.edu/2[...] 2011-06
[24] 학술지 Staged repair of esophageal atresia: Pouch approximation and catheter-based magnetic anastomosis
[25] 웹사이트 Pioneering WakeMed procedure corrects infant's rare disorder http://www.wral.com/[...] Capitol Broadcasting 2015-04-10
[26] 웹사이트 New, non-invasive procedure for infant at WakeMed is first of its kind in U.S. http://abc11.com/hea[...] 2015-04-10
[27] 학술지 Repaired oesophageal atresia: respiratory morbidity and pulmonary function in adults 2010-11
[28] 학술지 Esophageal atresia: primary results of 500 consecutively treated patients
[29] 학술지 Pneumonia after Repair of Esophageal Atresia-Incidence and Main Risk Factors 2019-12
[30] 서적 Sabiston textbook of surgery: the biological basis of modern surgical practice Elsevier 2022
[31] 학술지 Oesophageal atresia May 2007
[32] 학술지 Developmental basis of trachea-esophageal birth defects 2021
[33] 웹인용 Facts about Esophageal Atresia {{!}} CDC https://www.cdc.gov/[...] 2019-12-04
[34] 웹인용 "[신생아과] 식도폐쇄증" https://www.amc.seou[...] 2023-03-13
[35] 학술지 Esophageal atresia and tracheoesophageal fistula http://www.aafp.org/[...] 2023-03-13
[36] 웹인용 default - Stanford Medicine Children's Health https://www.stanford[...] 2022-10-18
[37] 저널 VACTERL association complicated with multiple airway abnormalities 2019-10-18
[38] 저널 Case report: Upper neck pouch sign in the antenatal diagnosis of esophageal atresia 2009
[39] 저널 Pre- and post-operative visualization of neonatal esophageal atresia/tracheoesophageal fistula via magnetic resonance imaging 2018-02
[40] 서적 The Surgery of Infancy and Childhood. WB Saunders 1953
[41] 저널 Congenital esophageal atresia 1929-11
[42] 저널 The surgical treatment of esophageal atresia and tracheoesophageal fistulas
[43] 저널 The treatment strategy for tracheoesophageal fistula 2015
[44] 웹인용 Esophageal Atresia Treatment Program http://www.childrens[...] Children's Hospital Boston 2012-06-01
[45] 저널 Gastric transposition for esophageal replacement in children: experience with 41 consecutive cases with special emphasis on esophageal atresia 2002-10
[46] 저널 Management of Esophageal Perforation in Adults 2010
[47] 웹인용 "{{!}} Department of Radiology {{!}} The University of Chicago" https://radiology.uc[...] 2022-10-18
[48] 웹인용 Dr Zaritzky Pioneers Non-surgical Option for Babies with Esophageal Atresia http://radiology.uch[...] University of Chicago 2015-04-13
[49] 저널 A hydraulically controlled nonoperative magnetic treatment for long gap esophageal atresia. http://web.mit.edu/2[...] 2011-06
[50] 저널 Staged repair of esophageal atresia: Pouch approximation and catheter-based magnetic anastomosis
[51] 웹인용 Pioneering WakeMed procedure corrects infant's rare disorder http://www.wral.com/[...] Capitol Broadcasting 2015-04-10
[52] 웹인용 New, non-invasive procedure for infant at WakeMed is first of its kind in U.S. http://abc11.com/hea[...] 2015-04-10



본 사이트는 AI가 위키백과와 뉴스 기사,정부 간행물,학술 논문등을 바탕으로 정보를 가공하여 제공하는 백과사전형 서비스입니다.
모든 문서는 AI에 의해 자동 생성되며, CC BY-SA 4.0 라이선스에 따라 이용할 수 있습니다.
하지만, 위키백과나 뉴스 기사 자체에 오류, 부정확한 정보, 또는 가짜 뉴스가 포함될 수 있으며, AI는 이러한 내용을 완벽하게 걸러내지 못할 수 있습니다.
따라서 제공되는 정보에 일부 오류나 편향이 있을 수 있으므로, 중요한 정보는 반드시 다른 출처를 통해 교차 검증하시기 바랍니다.

문의하기 : help@durumis.com