맨위로가기

식도 칸디다증

"오늘의AI위키"는 AI 기술로 일관성 있고 체계적인 최신 지식을 제공하는 혁신 플랫폼입니다.
"오늘의AI위키"의 AI를 통해 더욱 풍부하고 폭넓은 지식 경험을 누리세요.

1. 개요

식도 칸디다증은 식도에 곰팡이의 일종인 칸디다균이 감염되어 발생하는 질환이다. 주로 삼킴 곤란, 삼킴통증을 유발하며, 체중 감소를 동반할 수 있다. 입안의 아구창이 함께 나타나거나 전신 칸디다증의 첫 증상으로 나타나기도 한다. 플루코나졸을 이용한 항진균제 치료 반응을 통해 진단하며, 위내시경을 통해 융기된 플라크를 확인하거나 조직 검사로 칸디다균을 확인하기도 한다. 치료는 경구 플루코나졸이 1차 치료제로 사용되며, 니스타틴, 이트라코나졸, 보리코나졸, 암포테리신 B, 포사코나졸 등이 사용될 수 있다.

더 읽어볼만한 페이지

  • 식도 질환 - 식도정맥류
    식도정맥류는 문맥압 항진으로 인해 식도 점막하층 정맥이 확장되어 점막이 혹처럼 솟아오르는 질환으로, 파열 시 대량 토혈을 유발하며 상부 소화관 내시경으로 진단한다.
  • 식도 질환 - 호산구성 식도염
    호산구성 식도염은 식도에 호산구가 과도하게 축적되어 발생하는 만성 알레르기성 염증 질환으로, 삼킴 곤란, 음식 걸림 등의 증상을 보이며, 식단 조절, 약물 치료, 내시경 치료 등을 통해 치료한다.
  • 진균성 질병 - 히스토플라스마증
    히스토플라스마증은 히스토플라스마 캡슐라툼 곰팡이에 의해 발생하며, 오염된 토양에서 포자를 흡입하여 감염될 수 있고, 무증상부터 호흡기 증상, 심각한 합병증까지 유발하며, 항진균제로 치료하는 감염 질환이다.
  • 진균성 질병 - 진균증
    진균증은 곰팡이로 인해 발생하는 감염 질환으로, 감염 부위와 심각도에 따라 분류되며, 면역력 저하 시 발병 위험이 높고, 다양한 증상을 유발하며, 항진균제를 사용하여 치료한다.
식도 칸디다증
일반 정보
화학요법 후 환자에서 발생한 식도 칸디다증의 내시경 사진. 하얗게 모인 것은 균사가 존재한다는 소견이다.
분야감염병
상세 정보
원인칸디다 알비칸스 감염
투약플루코나졸 등의 항진균제

2. 증상과 징후

식도 칸디다증 환자는 주로 삼킴장애(연하곤란)이나 삼킴통증(연하통)을 호소한다. 식도 칸디다증이 장기간 계속되면 체중 감소를 유발할 수 있다. 입 안에 아구창(구강 칸디다증)이 동반되는 경우가 많다. 전신 칸디다증의 첫 증상으로 식도 칸디다증이 나타나기도 한다.

3. 진단

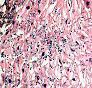
대부분 플루코나졸을 이용한 항진균 치료 반응을 바탕으로 진단한다.[5] 감염이 지속되거나 추가적인 조사가 필요한 경우, 환자가 안전하다면 위내시경을 시행한다. 내시경을 통해 미만성으로 융기된 플라크가 보이기도 하며, 내시경을 통해 점막에서 플라크가 제거되는 것이 특징적이다. 플라크를 생검할 경우 칸디다속 진균들의 특징인 효모와 거짓균사가 조직학적으로 관찰된다.

식도 고유판에서 관찰되는 칸디다속 진균의 균사. H&E 염색.

4. 치료

1차 치료제는 경구 플루코나졸이다. 경구 약제 복용이 어려운 경우, 정맥 주사로 플루코나졸을 투여할 수 있다.[5] 경구 약물을 견딜 수 없는 환자의 경우, 정맥 주사용 플루코나졸을 대안으로 사용할 수 있다.[3] 현재 1차 치료법은 플루코나졸로, 첫날 200mg을 투여하고 그 다음 최소 21일 동안 매일 100mg을 투여하는 것이다. 증상이 완화된 후 14일 동안 치료를 계속해야 한다.

식도 칸디다증이 의심되는 경우에는 단기적인 플루코나졸 항진균제 치료를 받아야 한다. 치료 후 증상이 회복되면 식도 칸디다증으로 진단할 수 있으며, 더 이상의 검사는 필요하지 않다.[3]

다른 치료 옵션은 다음과 같다.


  • 니스타틴은 경증의 식도 칸디다증에 효과적이다.[2][6] 아구창 치료를 위해 가글로도 니스타틴을 사용할 수 있다.[6]
  • 다른 경구 트리아졸 약제인 이트라코나졸, 보리코나졸도 쓰일 수 있다.[3][5]
  • 치료에 잘 반응하지 않는 경우라면 암포테리신 B를 사용할 수도 있으나, 심각한 여러 부작용 때문에 일상적으로 쓰이지는 않는다.[3][5]
  • 포사코나졸은 중증의 난치성 식도 칸디다증 환자에게 효과적이다.[3][5]

참조

[1] 논문 Predisposing factors and clinical symptoms in HIV-negative patients with Candida oesophagitis: are they always present? 2005-02
[2] 서적 Diseases of the Esophagus 2012
[3] 논문 Diagnosis and Treatment of Esophageal Candidiasis: Current Updates 2019
[4] 논문 Predisposing factors and clinical symptoms in HIV-negative patients with Candida oesophagitis: are they always present? 2005-02
[5] 논문 Diagnosis and Treatment of Esophageal Candidiasis: Current Updates https://www.ncbi.nlm[...] 2019
[6] 서적 Diseases of the Esophagus 2012



본 사이트는 AI가 위키백과와 뉴스 기사,정부 간행물,학술 논문등을 바탕으로 정보를 가공하여 제공하는 백과사전형 서비스입니다.
모든 문서는 AI에 의해 자동 생성되며, CC BY-SA 4.0 라이선스에 따라 이용할 수 있습니다.
하지만, 위키백과나 뉴스 기사 자체에 오류, 부정확한 정보, 또는 가짜 뉴스가 포함될 수 있으며, AI는 이러한 내용을 완벽하게 걸러내지 못할 수 있습니다.
따라서 제공되는 정보에 일부 오류나 편향이 있을 수 있으므로, 중요한 정보는 반드시 다른 출처를 통해 교차 검증하시기 바랍니다.

문의하기 : help@durumis.com