족저 근막염
"오늘의AI위키"의 AI를 통해 더욱 풍부하고 폭넓은 지식 경험을 누리세요.
1. 개요
족저 근막염은 발뒤꿈치와 발바닥에 통증을 유발하는 질환으로, 족저 근막에 가해지는 과도한 하중, 외상, 잘못된 신발 착용 등이 원인이 될 수 있다. 아침 기상 후 첫 발을 디딜 때 통증이 심하며, 평발, 비만, 아킬레스건 뻣뻣함 등도 위험 요소로 작용한다. 진단은 환자의 증상과 신체 검사를 통해 이루어지며, 심한 경우 엑스레이나 MRI 등의 영상 검사가 필요할 수 있다. 치료는 휴식, 스트레칭, 신발 교체 등의 보존적 치료가 우선이며, 만성적인 경우 체외 충격파 요법, 보조기, 약물 치료를 시도할 수 있다. 드물게 수술적 치료가 필요하며, 대부분의 환자는 1년 이내에 자연 치유된다.
더 읽어볼만한 페이지
- 발 질환 - 무좀
무좀은 피부사상균이 발의 죽은 세포층에 기생하여 케라틴을 분해하며 발생하는 피부 진균증으로, 발가락 사이나 발바닥 등에 나타나 가려움증과 피부 갈라짐을 유발하고 전염성이 강하다. - 발 질환 - 동창 (질병)
동창은 추위에 노출되어 발가락, 손가락 등에 물집, 가려움, 통증 등의 증상을 유발하는 질환으로, 보온과 혈액 순환 개선을 통해 예방하며, 온찜질, 비타민 E 섭취 등으로 치료한다. - 연조직 질환 - 육종 (종양)
육종은 골육종과 연조직 육종으로 분류되며, 뼈와 연부조직에서 발생하는 악성 종양으로, 방사선 노출, 유전적 요인 등이 위험 요인으로 작용하며, 영상 검사, 생검을 통해 진단하고 수술, 화학요법, 방사선 치료 등을 시행한다. - 연조직 질환 - 류머티즘
류머티즘은 만성적인 통증을 동반하는 난치성 질환을 포괄하는 용어로, 전신 홍반성 루푸스, 류마티스 관절염 등을 포함하며, 혈액 및 소변 검사로 진단하고 진통제, 면역억제제 등으로 치료한다. - 발 - 엄지발가락
엄지발가락은 발의 가장 안쪽에 위치한 첫 번째 발가락으로, 신체 균형 유지와 보행에 중요한 역할을 하며, 현대 사회 활동적인 라이프스타일 유지에 필수적 요소로 다양한 신발 디자인과 과도한 운동으로 관련 질환 발생률이 증가하고, 한국 사회에서는 예로부터 발 건강에 대한 관심이 높아 관련 제품과 서비스 시장이 확대되고 있으며, 미래에는 개인 맞춤형 건강 관리 시스템과 연계되어 더욱 중요성이 부각될 것으로 전망된다. - 발 - 발바닥
발바닥은 발의 아래쪽 면으로, 걷거나 서 있을 때 지면과 접촉하며, 두꺼운 피부층, 고밀도 땀샘, 털과 색소 없음, 체중 지탱, 충격 흡수, 족저근막 지지, 다양한 발 근육, 풍부한 신경 분포 등의 특징을 가진다.
2. 원인
족저근막염의 원인은 아직 명확하게 밝혀지지 않았으며, 여러 요인이 복합적으로 작용하는 것으로 알려져 있다.[16] 학계에서는 족저근막염이 족저 근막의 염증성 질환이 아니라 비염증성 구조적 파괴로 인해 발생한다는 연구 결과에 따라, 이 질환의 이름을 '족저근막증'으로 변경해야 한다는 주장이 제기되기도 한다.[4]
반복적인 미세 외상(작은 찢김)이 족저 근막의 구조적 파괴를 유발하는 것으로 보인다.[36][13] 족저 근막에 대한 현미경 검사에서는 점액 변성, 결합 조직의 칼슘 침착, 무질서한 콜라겐 섬유 등이 관찰되기도 한다.[3]
일부 연구에서는 족저 근막염이 염증이 있는 족저 근막 때문이 아니라, 족저 근막 바로 아래에 위치한 단지 굴근을 포함하는 건병증일 수 있다는 주장도 제기된다.[13]
2. 1. 일반적인 원인
발, 특히 발꿈치 부분에 하중이 가해져서 생기는 질환이므로 다음과 같은 것들이 원인이 되곤 한다.- 과도한 운동 혹은 운동 부족인 사람의 무리한 운동
- 외상 (높은 곳에서 착지)
- 오래 서서 일하는 경우, 혹은 많이 걸었을 경우
- 평발, 발바닥의 아치가 높은 사람
- 불편한 신발 (쿠션 부족, 발굽이 없거나 아치 보조가 없는 경우)
- 팔자걸음으로 걷는 경우
족저 근막염의 확인된 위험 요소에는 과도한 달리기, 딱딱한 표면에서 장시간 서 있기, 요족, 다리 길이 부동의 존재, 평발 등이 있다. 평발은 걷거나 뛸 때 과도하게 발의 회내되는 경향이 있어 족저 근막염에 더 취약하게 만든다.[1][12][13] 비만은 족저 근막염으로 나타나는 개인의 70%에서 보이며 독립적인 위험 요소이다.[9]
족저 근막염은 일반적으로 족저 근막을 따라 장력이 증가하는 생체역학적 불균형의 결과이다.[10]
아킬레스 건의 뻣뻣함과 부적절한 신발 또한 중요한 위험 요소로 확인되었다.[16][11] 발바닥에는 족저 근막이라고 불리는 얇고 넓은 막 모양의 힘줄이 발뒤꿈치 뼈에서 발가락 기저부까지 뻗어 있다. 발 아치의 뼈는 아치형으로 체중을 지탱하는데, 아치를 활시위처럼 팽팽하게 지탱하는 것이 족저 근막이다.[40] 튼튼한 족저 근막도 보행이나 조깅과 같은 달리기, 점프를 과도하게 사용하거나 40대 이후가 되면 낡은 고무관처럼 금이 가서 염증을 일으킨다. 그것이 통증의 원인이 된다.[40] 오래 지속되면, 족저 근막의 기저부에 있는 발뒤꿈치 뼈가 가시처럼 커져 통증이 심해지기도 한다.[41] 달리기와 같은 과도한 사용에 의한 긴장 외에도, 평발, 노화에 따른 아치의 저하 등도 원인이 된다.[42] 장거리 달리기를 포함한 스포츠 외에도, 장시간 서서 일하는 사람도 발병하는 경우가 있다.[41] 굽높은 신발의 사용으로도 발생할 수 있다고 보도되었다.[43] 예방을 위해서는, 필요 이상으로 족저 근막에 부담을 주지 않도록, 쿠션성이 높은 밑창에, 발뒤꿈치가 튼튼하고 발에 잘 맞는 신발을 선택한다.[44]
2. 2. 해부학적/생체역학적 요인

족저 근막은 발꿈치뼈의 앞쪽에서 시작하여 발바닥을 따라 뻗어 나와 발가락 기저부에 부착되며 발의 아치를 지지하는 두꺼운 섬유 띠 형태의 결합 조직이다.[9][12][13] 발바닥에는 족저 근막이라고 불리는 얇고 넓은 막 모양의 힘줄이 발뒤꿈치 뼈에서 발가락 기저부까지 뻗어 있는데, 이 족저근막이 발 아치의 뼈를 활시위처럼 팽팽하게 지탱한다.[40]
족저 근막염의 확인된 위험 요소에는 과도한 달리기, 딱딱한 표면에서 장시간 서 있기, 요족, 다리 길이 부동, 평발 등이 있다.[1][12][13] 평발은 걷거나 뛸 때 과도하게 발의 회내되는 경향이 있어 족저 근막염에 더 취약하게 만든다.[1][12][13] 아킬레스 건의 뻣뻣함과 부적절한 신발 또한 중요한 위험 요소로 확인되었다.[16][11]
족저 근막염은 일반적으로 족저 근막을 따라 장력이 증가하는 생체역학적 불균형의 결과이다.[10] 튼튼한 족저 근막도 보행이나 조깅과 같은 달리기, 점프를 과도하게 하거나 40대 이후가 되면 낡은 고무관처럼 금이 가서 염증을 일으키는데, 이것이 통증의 원인이 된다.[40] 오래 지속되면 족저 근막의 기저부에 있는 발뒤꿈치 뼈가 가시처럼 커져 통증이 심해지기도 한다.[41]
서거나 걸을 때 족저 근막의 정상적인 역학적 움직임(Windlass mechanism으로 알려짐)의 장애는 종골 결절에 과도한 부담을 주며 족저 근막염의 발달에 기여하는 것으로 보인다.[16]
3. 증상
족저 근막염의 대표적인 증상은 발뒤꿈치 안쪽 통증이다.[8] 특히 아침에 잠에서 깨어난 후 첫 발을 내딛을 때 통증이 가장 심하게 나타나며, 잠시 움직인 후에는 통증이 완화되는 것이 특징이다. 이러한 증상은 앉아 있거나 오랜 시간 동안 휴식한 후 첫 걸음에서도 비슷하게 나타날 수 있다.[1][4][8]
사람들은 자각할 정도가 되어도 심해지기 전까지는 무시하는 경향이 있다. 아침에 일어나서 처음 땅에 디딜 때 가장 아프고 이후 익숙해지면 또 통증이 사라지기 때문이다.
그러나 먼 거리를 걷거나 오랜 시간 서 있을 때는 다시 통증이 심해지며, 심한 경우 발뒤꿈치뿐만 아니라 발바닥 전체에 통증이 퍼질 수 있다. 이 상태가 지속되면 만성 족저 근막염으로 발전할 수 있으며, 치료가 더 어려워질 수 있다.
족저 근막염 환자는 종종 잠자리에서 일어나거나 장시간 앉아 있다가 처음 발을 내디딜 때 증상이 가장 심하다고 보고한다.[1] 드물지만 보고된 증상으로는 감각 저하, 이상 감각, 부종, 그리고 방사통이 있다.[36] 일반적으로 발열이나 야간 발한은 없다.[9]
만약 족저 근막이 족저 근막염 상태에서 과도하게 사용되면 족저 근막이 파열될 수 있다. 족저 근막 파열의 일반적인 징후 및 증상으로는 딸깍 소리 또는 찰칵 소리, 상당한 국소 부종 및 발바닥의 급성 통증이 있다.[8]
아침에 일어나서 처음 몇 걸음이 매우 아프지만, 곧 괜찮아지고, 오랫동안 앉아 있다가 갑자기 걷기 시작하면 아프며, 뒤꿈치 뼈의 앞쪽 안쪽을 누르면 매우 아픈 부위가 있는 등의 증상이 족저근막염의 특징이다.[40] X선 촬영에서 뼈의 돌출부(골극)가 확인되는 경우도 있지만, 통증의 원인이라고 단정할 수는 없다.[45]
4. 진단
족저 근막염은 일반적으로 환자의 병력, 위험 요소, 임상 검사 등을 종합하여 의료 제공자가 진단한다.[1][14][15] 발바닥 뒤꿈치 뼈 안쪽을 촉진하면 압통이 느껴질 수 있으며,[1][12] 장딴지 근육이나 아킬레스건이 과도하게 뻣뻣하면 발의 등쪽 굽힘이 제한될 수 있다.[5] 족저 근막이 늘어나면서 발의 등쪽 굽힘이 통증을 유발할 수 있다.[1][36]
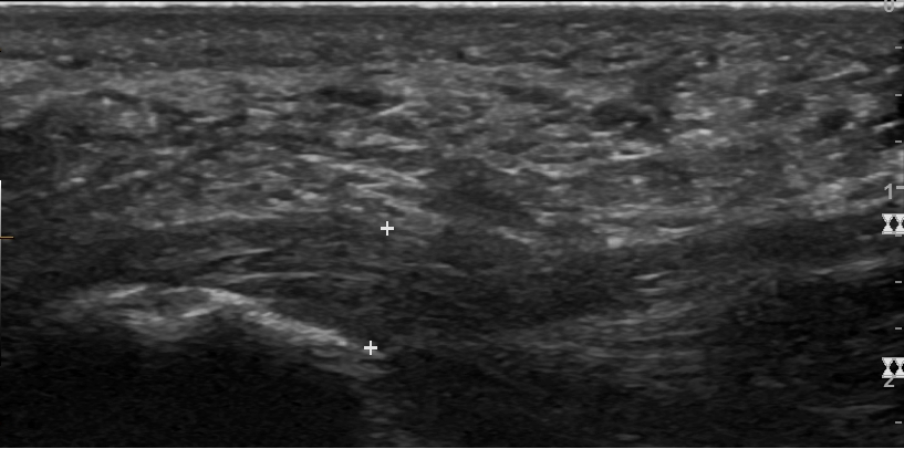
일반적으로 족저 근막염 진단을 위해 진단 영상 검사가 반드시 필요한 것은 아니다.[5] 하지만, 심한 발 통증의 다른 원인을 배제하기 위해 의사는 X-ray, 진단 초음파 또는 MRI 등의 영상 검사가 필요하다고 결정할 수 있다.
족저 근막염 통증이 보존적인 치료에 적절하게 반응하지 않으면 골절, 종양 또는 전신 질환을 고려해 볼 수 있다.[1][12] 양쪽 뒤꿈치 통증이나 전신 질환과 관련된 뒤꿈치 통증은 더 심층적인 진단 조사가 필요할 수 있다.
4. 1. 진단 방법
족저 근막염은 환자의 병력, 위험 요소, 임상 검사를 통해 의료 제공자가 진단한다.[1][14][15] 발바닥의 뒤꿈치 뼈 안쪽을 만져보면 압통이 느껴질 수 있다.[1][12] 장딴지 근육이나 아킬레스건이 뻣뻣하면 발의 등쪽 굽힘이 제한될 수 있다.[5] 발의 등쪽 굽힘은 족저 근막을 늘어나게 하여 통증을 유발할 수 있다.[1][36]일반적으로 족저 근막염 진단을 위해 X-ray, 진단 초음파, MRI 같은 영상 검사는 필요하지 않다.[5] 하지만, 발 통증의 다른 원인을 확인하기 위해 영상 검사가 필요할 수도 있다.
보존적인 치료에도 통증이 계속되면 골절, 종양, 전신 질환 등을 의심해 볼 수 있다.[1][12] 양쪽 뒤꿈치 모두 통증이 있거나 전신 질환이 의심되는 경우에는 CBC, C-반응 단백질, 적혈구 침강 속도, 항핵 항체, 류마티스 인자, HLA-B27, 요산, 라임병 항체 검사 등을 통해 염증, 감염, 자가면역 질환 여부를 확인한다.[6] 신경학적 이상이 있다면 근전도 검사를 통해 신경이나 근육 손상을 확인한다.[36]
뒤꿈치 박차는 족저 근막염 환자의 최대 50%에서 발견되는 종골(뒤꿈치 뼈)의 작은 뼈 석회화이다.[4] 하지만 뒤꿈치 통증의 원인은 뒤꿈치 박차 자체가 아니라 족저 근막염이다.[13]
의료 영상 검사는 대개 필요하지 않으며, 비용이 많이 들고 족저 근막염 치료에 큰 영향을 주지 않는다.[16] 진단이 불확실한 경우, 피로 골절이나 골극 발생 등 다른 원인을 확인하기 위해 발목 측면 X-레이 촬영을 할 수 있다.[5]
족저 근막은 세 개의 다발로 이루어져 있는데, 중앙 다발이 4mm로 가장 두껍고, 가쪽 다발은 2mm, 안쪽 다발은 1mm 미만이다.[17] 족저 근막의 두께가 두꺼워질수록 족저 근막염 발생 가능성이 높아진다. 초음파에서 4.5mm 이상, MRI에서 4mm 이상 두꺼워지면 진단에 도움이 된다.[18] 하지만 족저 근막 비후와 같은 다른 영상 소견은 족저 근막염 진단에 제한적인 유용성을 가진다.[13]
3상 골 스캔은 활동성 족저 근막염을 진단하는 데 유용하며, 치료 반응을 평가하는 데에도 사용될 수 있다.[19]
아침에 첫 걸음을 뗄 때, 오랫동안 앉아 있다가 갑자기 걸을 때 심한 통증이 있고, 뒤꿈치 뼈 앞쪽 안쪽을 누르면 아픈 부위가 있는 등의 증상은 족저 근막염의 특징이며,[40] 비교적 쉽게 진단할 수 있다.[42] X선 촬영에서 뼈 돌출부(골극)가 확인되기도 하지만, 이것이 통증의 원인이라고 단정할 수는 없다.[45] 40세 이전, 뒤꿈치 뼈 앞쪽이 아픈 경우, 아침보다 저녁에 통증이 심하거나, 걸을수록 통증이 심해지면 다른 질병일 수 있다.[40]
4. 2. 감별 진단



족저 근막염은 보통 환자의 병력, 위험 요소, 임상 검사 등을 종합하여 의료 제공자가 진단한다.[1][14][15] 발바닥의 뒤꿈치 뼈 안쪽을 만져보면 신체 검사 중 압통이 느껴질 수 있다.[1][12] 장딴지 근육이나 아킬레스건이 과도하게 뻣뻣하면 발의 등쪽 굽힘이 제한될 수 있다.[5] 이러한 움직임은 족저 근막을 늘어나게 하여 발의 등쪽 굽힘 시 통증을 유발할 수 있다.[1][36] 족저 근막염 진단을 위해 진단 영상 검사가 반드시 필요한 것은 아니다.[5] 하지만, 심한 발 통증의 다른 원인을 확인하기 위해 X-ray, 진단 초음파, MRI 등의 영상 검사가 필요하다고 판단될 수도 있다.
만약 족저 근막염 통증이 보존적인 치료에 잘 반응하지 않으면 골절, 종양, 전신 질환 등을 의심해 볼 수 있다.[1][12] 양쪽 뒤꿈치에 통증이 있거나 전신 질환이 의심되는 경우에는 더 자세한 검사가 필요할 수 있다. 이런 경우 CBC 또는 염증, 감염, 자가면역 질환 여부를 확인하기 위한 혈청학적 검사 (예: C-반응 단백질, 적혈구 침강 속도, 항핵 항체, 류마티스 인자, HLA-B27, 요산, 라임병 항체 검사)를 시행할 수 있다.[6] 신경학적 이상이 있다면 신경이나 근육 손상 여부를 확인하기 위해 근전도 검사를 시행할 수 있다.[36]
뒤꿈치 박차는 족저 근막염 환자의 최대 50%에서 발견될 수 있는 종골 (뒤꿈치 뼈)의 작은 뼈 석회화인데, 이는 질병과 관련된 우연한 발견일 수 있다.[4] 이 경우, 뒤꿈치 통증을 유발하는 것은 뒤꿈치 박차 자체가 아니라 족저 근막염이다.[13] 뒤꿈치 박차는 족저 근막염에 의해 생길 수 있지만, 족저 근막염에서 뒤꿈치 박차의 임상적 중요성은 명확하지 않다.[36]
발 뒤꿈치 통증의 감별 진단은 다양하며, 다음과 같은 질환들을 포함한다.
- 발꿈치 피로 골절
- 패혈성 관절염
- 발꿈치 활액낭염
- 골관절염
- 척추 협착증으로 인한 요추 5번 신경 (L5) 또는 천추 1번 신경 (S1) 신경근 문제
- 발꿈치 지방 패드 증후군
- 전이암
- 갑상선 기능 저하증
- 통풍
- 혈청 음성 척추관절병증 (예: 반응성 관절염, 강직성 척추염, 류마티스 관절염 - 양쪽 발꿈치 통증이 있는 경우 의심)[6]
- 족저 근막 파열
- 압박 신경병증 (예: 족근관 증후군 또는 경골 신경의 내측 발꿈치 신경 압박)[9][6][5]
족저 근막염은 환자의 병력과 신체 검사만으로도 진단할 수 있다.[20] 만약 골절, 감염, 기타 심각한 질환이 의심된다면 X-ray 촬영을 할 수 있다.[20] 다른 이유로 영상 검사가 필요하지 않다면, 직장에서 서 있거나 걷는 시간이 많은 사람의 족저 근막염을 확인하기 위해 X-ray 촬영은 불필요하다.[20]
아침에 일어나 처음 몇 걸음을 걸을 때 매우 아프지만 곧 괜찮아지고, 오랫동안 앉아 있다가 갑자기 걷기 시작하면 아프며, 뒤꿈치 뼈 앞쪽 안쪽을 누르면 매우 아픈 부위가 있는 등의 증상은 족저 근막염의 특징이며,[40] 비교적 쉽게 진단할 수 있다.[42] X선 촬영에서 뼈 돌출부 (골극)가 확인되는 경우도 있지만, 이것이 통증의 원인이라고 단정할 수는 없다.[45] 40세 이전이거나, 뒤꿈치 뼈 앞쪽이 아프거나, 아침보다 저녁에 통증이 심하거나, 걸을수록 통증이 심해지는 사람은 다른 질병일 가능성이 있다.[40]
5. 치료
족저근막염의 치료에는 다양한 방법이 있으며, 크게 수술적 치료와 비수술적 치료로 나눌 수 있다.
통증이 심해 생활에 지장을 줄 정도라면 내시경을 통해 족저근막을 절개하는 외과 수술을 고려할 수 있다. 하지만, 외과 수술은 잠재 환자 약 50만 명 중 1% 정도만이 받는다고 알려져 있으며,[39] 마라톤 선수와 같이 특수한 경우가 아니라면 수술을 권하지 않고,[41][45] 그 효과에 대해서도 논란이 있다.[47]
족저 근막 절개술은 난치성 족저 근막염 통증의 마지막 수단으로 고려되는 수술적 치료법이다. 6개월간 보존적 치료를 받았음에도 족저 근막염이 낫지 않으면 이 시술을 고려해 볼 수 있다.[1][4] 최소 침습적 접근법과 내시경적 접근법이 있지만, 이러한 수술은 특정 장비 사용에 숙련된 전문의가 필요하며, 2012년 기준으로 이러한 수술을 받을 수 있는 곳은 제한적이었다.[6] 2012년 연구에 따르면 내시경 족저 근막 절개술을 받은 환자의 76%가 증상 완화를 경험했고 합병증도 거의 없었다.[3] 한편, 족저 근막 절개술을 할 때 발뒤꿈치 뼈를 제거하는 것은 수술 결과에 별다른 영향을 주지 않는 것으로 보인다.[28]
족저 부위 통증은 다양한 원인으로 발생할 수 있기 때문에, 족저 근막 절개술과 함께 외측 족저 신경 절개술을 시행하는 경우도 있다.[6][28] 족저 근막 절개술의 잠재적 합병증으로는 신경 손상, 발 내측 종아치의 불안정,[29] 종골 골절, 회복 기간 연장, 감염, 족저 근막 파열, 통증 개선 실패 등이 있을 수 있다.[1] 최근에는 코블레이션 수술이 난치성 족저 근막염의 대안적인 수술 치료법으로 제시되기도 한다.[28]
장딴지 근육 절제술은 아킬레스 건과 족저 근막의 긴장을 완화하기 위해 장딴지 근육을 늘여주는 수술이다. 이 수술은 발목 운동 범위를 넓혀주고 통증을 줄여주어 환자가 직장, 스포츠, 체중 부하 활동 등으로 더 편안하게 복귀하도록 돕는다. 특히 꽉 조이는 종아리 근육으로 인해 발목을 위로 굽히는 동작(배굴)이 제한되어 족저 근막염 증상이 심해지는 환자들에게 유익하다.[30]
5. 1. 보존적 치료
초기에는 휴식, 신발 교체, 운동 방법 개선 등으로 호전될 수 있다. 하지만 만성이 되었을 경우 소염제뿐만 아니라 레이저 충격파 등을 써서 지속적인 치료를 하기도 한다. 일반적으로 치료에 도움이 되는 보조법은 얼음찜질, 딱딱한 바닥 피하기, 수면 양말이나 푹신한 깔창 이용, 주기적인 마사지, 스트레칭 등이 있으며, 심하면 입원 치료까지 병행할 수 있다.[7] 족저 근막염 환자의 약 90%가 6개월 이내에 호전되며,[1][5] 치료와 관계없이 1년 이내에 호전된다.권장되는 첫 번째 치료법은 매일 스트레칭, 매일 발 테이핑(아치를 지지하기 위해 발 주변에 특수 테이프 사용), 신발 선택 및 기타 관리 방법에 대한 개별 맞춤 교육을 결합한 4~6주 과정이다.[21][22]
일반적인 신발을 신고 운동하는 것보다 신발을 신지 않고 맨발로 운동하여 아치를 지지하는 발 근육을 강화하면 족저 근막에 가해지는 통증과 스트레스를 줄일 수 있다.[23]
족저 근막염이 최소 3개월 동안 보존적 치료에 반응하지 않으면 체외 충격파 요법(ESWT)을 고려할 수 있다.[21][22] 메타 분석의 증거에 따르면, 시술 후 최대 1년까지 유의미한 통증 완화가 지속된다.[7][24] 그러나 치료법의 효능에 대한 논쟁은 지속되고 있다.[3] ESWT는 마취를 시행하거나 시행하지 않고 수행되지만, 연구에 따르면 마취를 하면 시술의 효과가 감소한다.[25] ESWT로 인한 합병증은 드물며, 발생하더라도 일반적으로 양성이다.[25] ESWT의 알려진 합병증으로는 경미한 혈종 또는 반상출혈, 시술 부위 주변의 홍반, 또는 편두통이 있다.[25]

충격파 요법이 약 8주 후에 효과가 없으면 세 번째 치료법은 맞춤형 발 보조기를 사용하는 것이며, 이는 단기적인 통증 완화를 제공할 수 있다.[21][22]
족저 근막염 환자는 다른 여러 가지 치료법을 사용하지만, 사용을 뒷받침할 증거가 거의 없고 제대로 연구되지 않은 경우가 많다.[1]
다른 보존적 치료법으로는 휴식, 마사지, 온찜질, 냉찜질, 종아리 강화 운동, 과체중 또는 비만인 사람의 체중 감량, 비스테로이드성 소염 진통제(NSAIDs) (예: 아스피린 또는 이부프로펜) 등이 있다.[4][12][26] 족저 근막염 치료에 NSAIDs를 사용하는 것이 일반적이지만, 환자의 20%에서는 통증이 해결되지 않는다.[12]
코르티코스테로이드 주사는 더 보수적인 조치에 저항하는 족저 근막염의 경우에 사용되기도 한다. 주사된 코르티코스테로이드가 최대 1개월까지 단기적인 통증 완화에 효과적이지만, 그 이후에는 효과가 없다는 잠정적인 증거가 있다.[27]
또 다른 치료 기술은 족저 이온삼투 요법으로 알려져 있다. 이 기술은 덱사메타손 또는 아세트산과 같은 항염증 물질을 국소적으로 발에 바르고, 전류를 사용하여 이러한 물질을 피부를 통해 전달하는 것이다.[12] 6개월 동안 지속된 족저 근막염 통증을 완화하기 위해 1~3개월 동안 야간 부목을 사용하는 것을 뒷받침하는 증거도 있다.[5] 야간 부목은 수면 중에 발목을 중립 위치로 유지하도록 설계되어 종아리와 족저 근막을 수동적으로 스트레칭한다.[5]
거의 90%의 사람은 1개월에서 3년 이내에 자연 치유된다.[40] 발의 스트레칭[46]을 하면서 자극을 피하며 자연 치유를 기다리는 것이 기본이다.[40] 스포츠가 원인일 경우 훈련량을 줄인다.[41] 비스테로이드성 소염 진통제의 습포제나 연고, 뒤꿈치 쿠션재, 발 아치를 보조하는 족저판을 사용한다.
5. 2. 비수술적 치료
초기에는 휴식, 신발 교체, 운동 방법 개선 등으로 호전될 수 있다. 하지만 만성일 경우에는 소염제뿐만 아니라 레이저 충격파 등을 이용한 지속적인 치료를 하기도 한다. 일반적인 보조 요법으로는 얼음찜질, 딱딱한 바닥 피하기, 수면 양말이나 푹신한 깔창 사용, 주기적인 마사지, 스트레칭 등이 있으며, 심하면 입원 치료까지 병행할 수 있다.[7] 보존적 치료를 통해 족저 근막염 환자의 약 90%는 6개월 이내에 호전되며,[7] 치료와 관계없이 1년 이내에 호전된다.[1][5]권장되는 첫 번째 치료법은 매일 스트레칭, 매일 발 테이핑(발 아치를 지지하기 위해 발 주변에 특수 테이프 사용), 신발 선택 및 기타 관리 방법에 대한 개별 맞춤 교육을 결합한 4~6주 과정이다.[21][22] 일반적인 신발을 신고 운동하는 것보다 맨발로 운동하여 아치를 지지하는 발 근육을 강화하면 족저 근막에 가해지는 통증과 스트레스를 줄일 수 있다.[23]
최소 3개월 동안 보존적 치료에 반응하지 않으면 체외 충격파 요법(ESWT)을 고려할 수 있다.[21][22] 메타 분석에 따르면, 시술 후 최대 1년까지 유의미한 통증 완화가 지속된다.[7][24] 그러나 이 치료법의 효능에 대한 논쟁은 여전히 존재한다.[3] ESWT는 마취를 하거나 하지 않고 시행할 수 있지만, 연구에 따르면 마취를 하면 시술 효과가 감소한다.[25] ESWT로 인한 합병증은 드물며, 발생하더라도 일반적으로 양성이다.[25] 알려진 합병증으로는 경미한 혈종 또는 반상출혈, 시술 부위 주변의 홍반, 또는 편두통이 있다.[25]
약 8주 후에도 충격파 요법이 효과가 없으면, 세 번째 치료법으로 맞춤형 발 보조기를 사용할 수 있으며, 이는 단기적인 통증 완화에 도움이 될 수 있다.[21][22]
족저 근막염 환자는 다른 여러 치료법을 사용하지만, 사용을 뒷받침할 증거가 거의 없고 제대로 연구되지 않은 경우가 많다.[1] 다른 보존적 치료법으로는 휴식, 마사지, 온찜질, 냉찜질, 종아리 강화 운동, 과체중 또는 비만인 사람의 체중 감량, 비스테로이드성 소염 진통제(NSAIDs) (예: 아스피린 또는 이부프로펜) 등이 있다.[4][12][26] 족저 근막염 치료에 NSAIDs를 사용하는 것이 일반적이지만, 환자의 20%에서는 통증이 해결되지 않는다.[12]
코르티코스테로이드 주사는 더 보수적인 조치에 저항하는 족저 근막염의 경우에 사용되기도 한다. 주사된 코르티코스테로이드가 최대 1개월까지 단기적인 통증 완화에 효과적이지만, 그 이후에는 효과가 없다는 잠정적인 증거가 있다.[27]
또 다른 치료 기술은 족저 이온삼투 요법이다. 이 기술은 덱사메타손 또는 아세트산과 같은 항염증 물질을 국소적으로 발에 바르고, 전류를 사용하여 이러한 물질을 피부를 통해 전달하는 것이다.[12] 6개월 동안 지속된 족저 근막염 통증을 완화하기 위해 1~3개월 동안 야간 부목을 사용하는 것을 뒷받침하는 증거도 있다.[5] 야간 부목은 수면 중에 발목을 중립 위치로 유지하도록 설계되어 종아리와 족저 근막을 수동적으로 스트레칭한다.[5]
보툴리눔 독소 A 주사, 혈소판 풍부 혈장 주사, 프롤로테라피 주사와 같은 유사한 기술은 여전히 논란의 여지가 있다.[5][3][12][31]
건식 침술 또한 족저 근막염 치료를 위해 연구되고 있다.[32] 사용 가능한 연구에 대한 체계적 문헌 고찰에서는 이 기술의 효과에 대한 제한적인 증거가 발견되었다.[33] 연구의 질이 부적절하고 방법론이 너무 다양하여 확정적인 결론을 내릴 수 없다고 보고되었다.[33] 족저 근막염 스트레칭과 보툴리눔 독소를 병행한 결과 환자의 개선과 기능성이 증가하는 것으로 나타났다.[34]
거의 90%의 사람은 1개월에서 3년 이내에 자연 치유된다.[40] 발의 스트레칭[46]을 하면서 자극을 피하며 자연 치유를 기다리는 것이 기본이다.[40] 스포츠가 원인일 경우 훈련량을 줄인다.[41] 비스테로이드성 소염 진통제의 습포제나 연고, 뒤꿈치 쿠션재, 발 아치를 보조하는 족저판을 사용한다. 통증이 심해지면 국소 마취제 주입이나 소염 진통제를 복용한다.
2008년, 후생노동성은 진통제 등으로 보존 요법을 6개월 이상 실시해도 효과가 없는 난치성 족저근막염의 치료 기기로, 독일 "Dornier MedTech Systems"사의 체외 충격파 통증 치료 장치 "Dornier Apos Ultra"를 승인했다.[39][47] 이 장치의 원리는, 해당 회사가 최고의 점유율을 가진 요로 결석을 제거하는 충격파 결석 파쇄 장치와 동일하며, 충격파를 환부에 집중적으로 조사한다. 먼저, 치료 부위에 초음파 젤을 도포하고, 발바닥에 초음파 변환기를 대고, 충격파의 집속점이 치료 부위에 오도록 위치를 정한다. 발생한 충격파를 음향 렌즈로 한 점에 모아, 치료 헤드를 발의 측면에 대고 조사한다. 비뇨기과처럼 돌을 깰 필요가 없으므로, 결석 파쇄 장치보다 저출력이다.[39] 충격파가 통증을 없애는 메커니즘에 대해서는 다양한 설이 있으며, 통증을 느끼는 자유 신경 종말을 변성시키거나, 통증을 전달하는 물질 등을 감소시키거나, 충격파의 조사로 새로운 혈관이 유도됨으로써, 치유가 촉진된다고 생각된다.[47]
치료 초반에는 통증이 있지만 곧 익숙해지므로 마취는 하지 않는다.[47] 치료 효과가 나타나기까지 최소 2, 3일이 걸린다.[47] 한 번으로 좋아지는 경우도 있지만, 여러 번 치료가 필요한 경우도 있다.[47] 스포츠 선수의 경우, 입원·재활 기간이 6개월 걸리는 외과 수술은 한 시즌을 망치는 것뿐만 아니라, 최악의 경우 선수 생명이 끝날 가능성도 있는 반면, 이 장치를 사용하면 힘줄을 절단하지 않고, 외래에서 수십 분의 치료로 끝낼 수 있다.[39] 또한, 충격파에 의한 치료는 약물을 사용하지 않으므로, 스포츠 선수에게는 도핑의 걱정이 없다.[47] 2012년 4월부터 조건부로 건강 보험이 적용되었다.[47]
2010년에 신삿포로 정형외과 병원(홋카이도삿포로시아쓰베쓰구)에[47], 2011년에 미야자키 대학 의학부 부속 병원(미야자키현미야자키시)에[48], 각각 도입되었다. 구미에서는 200대 이상 도입되었으며, 발바닥뿐만 아니라 어깨, 팔꿈치에도 적용되고 있다.[39] 구미의 임상 연구에서는, 난치성 족저근막염을 포함한 전체 환자의 5~8할에서 통증이 없어지거나 완화되는 등의 효과가 보고되었으며, 시간이 지날수록 통증이 완화되는 경향이 나타났다고 한다.[47]
5. 3. 수술적 치료
족저 근막 절개술은 수술적 치료법이며, 난치성 족저 근막염 통증의 마지막 수단이다. 6개월의 보존적 치료 후에도 족저 근막염이 해결되지 않으면 이 시술을 최후의 수단으로 고려한다.[1][4] 최소 침습적 접근법과 내시경적 접근법이 있지만, 특정 장비에 익숙한 전문의가 필요하다. 2012년 현재 이러한 수술 기술의 가용성은 제한적이다.[6] 2012년 연구에 따르면 내시경 족저 근막 절개술을 받은 사람들의 76%가 증상이 완전히 완화되었고 합병증이 거의 없었다.[3] 족저 근막 절개술 중 발뒤꿈치 뼈 제거는 수술 결과 개선에 도움이 되지 않는 것으로 보인다.[28]족저 부의 통증은 여러 가지 이유로 발생할 수 있다. 일부 경우, 외과의는 족저 근막 절개술과 함께 외측 족저 신경을 절개할 수 있다.[6][28] 족저 근막 절개술의 가능한 합병증으로는 신경 손상, 발의 내측 종아치 불안정,[29] 종골 골절, 회복 시간 연장, 감염, 족저 근막 파열, 통증 개선 실패 등이 있다.[1] 최근 코블레이션 수술이 난치성 족저 근막염 치료를 위한 대안적 수술 접근법으로 제안되었다.[28]
장딴지 근육 절제술은 아킬레스 건과 족저 근막의 긴장을 줄이기 위해 장딴지 근육을 늘이는 수술이다. 이 기술은 발목의 운동 범위를 개선하고 통증을 줄이며, 환자가 직장, 스포츠, 체중 부하 활동으로 더 편안하게 복귀하도록 도울 수 있다. 이 시술은 꽉 조이는 종아리 근육으로 인해 발목 배굴(위쪽 굽힘)이 제한되어 족저 근막염 증상을 악화시킬 수 있는 사람들에게 특히 유익하다.[30]
생활에 지장을 줄 정도로 통증이 심해지면 내시경으로 족저 근막을 절개하는 외과 수술을 한다. 외과 수술을 하는 환자는 잠재 환자 약 50만 명의 1%라고 알려져 있지만,[39] 마라톤 선수 등 특수한 조건 외에는 수술을 하지 않으며[41][45] 그 효과에 대해서는 찬반 양론이 있다.[47]
6. 족저근막염을 앓았던 유명인
- 유모리 유코 - 마라톤 선수. 1992년 바르셀로나 올림픽과 1996년 애틀랜타 올림픽 사이인 1994년에 선수 생명을 걸고 수술을 받았고[49], 1995년 홋카이도 마라톤에서 부활 우승을 달성했다[50]。
- 오히라 미키 - 마라톤 선수. 2006년 양쪽 발 족저근막염으로 인해 오사카 국제 여자 마라톤에 불참했다[51]。
- 가노 유리 - 마라톤 선수. 2008년 왼쪽 발 족저근막염을 일으켜 오사카 국제 여자 마라톤을 기권했다[52]。
- 브루노 에벨톤 콰드루스 - 브라질 출신 프로 축구 선수. FC 도쿄의 수비수. 2008년 이상을 느낀 왼쪽 발을 진찰한 결과 족저근막염으로 전치 2~3주 진단을 받았다[53]。
- 권은주 - 한국의 마라톤 선수. 1997년 한국 신기록을 수립했지만, 그 후 혹독한 훈련의 후유증으로 족저근막염 등 잇따른 부상에 시달렸다[54]。
- 곤도 도모히로 - 프로 골퍼. 2008년 양쪽 뒤꿈치에 족저근막염을 앓았고, 통증은 3년 이상 지속되고 있다고 한다[55][56]。
- 시모사토 가즈요시 - 마라톤 선수. 닛산 자동차 입사 2년 차에 전일본 실업단 하프에서 우승했지만, 그 후 스피드 강화를 위해 훈련 내용을 격하게 한 탓에 족저근막염에 시달리게 되었다[57]。
- 조성환 - 한국 출신 프로 축구 선수. 콘사돌레 삿포로의 수비수. 2010년, 왼쪽 발 족저근막염이 재발하여 프리시즌 경기에 출전할 수 있을지가 불투명해졌다[58]。
- 하가 히로노부 - 프로 축구 선수. 콘사돌레 삿포로의 미드필더. 2010년, 왼쪽 발 족저근막염으로 인해 별도 훈련을 받게 되었다[59]。
- 하마구치 쿄코 - 여자 레슬링 선수. 2014년 강도 높은 훈련을 하던 중 오른쪽 발 뒤꿈치 부근에 통증이 발생하여 전일본 선발 선수권 대회를 결장했다.
- 후카보리 게이이치로 - 프로 골퍼. 왼쪽 발 엄지발가락 뿌리 족저근막염이 악화되어 2009년 9월 이후의 모든 경기에 결장하게 되었다[60]。
- 앨버트 푸홀스 - 프로 야구 선수. 로스앤젤레스 에인절스 오브 애너하임으로 이적한 2012년 시즌 이후 하반신 부상이 잇따랐으며, 2013년 시즌 중에 왼쪽 발, 2015~16년에는 오른쪽 발에 3번 족저근막염 수술을 받았다.
- 조던 헨더슨 - 프로 축구 선수. 잉글랜드 대표팀, 리버풀 소속 선수이자, 주장. 지병[61]。
- 마쓰오카 리에 - 마라톤 선수. 2005년 왼쪽 발 족저근막염 때문에 오사카 국제 여자 마라톤을 결장했다[62]。
- 와다 쓰요시 - 프로 야구 선수. 후쿠오카 소프트뱅크 호크스의 투수. 2009년, 혹독한 훈련으로 족저근막염을 앓았다[63]。
- 와타나베 유카리 - 자전거 선수. 전 스피드 스케이팅 선수. 스케이트 시절의 족저근막염은 땅에 발을 디딜 수 없을 정도의 통증이었다고 한다[64]。
참조
[1]
논문
Diagnosis and treatment of plantar fasciitis
https://www.aafp.org[...]
2011-09
[2]
논문
Plantar fasciopathy: revisiting the risk factors
http://nectar.northa[...]
2014-09
[3]
논문
Plantar and medial heel pain: diagnosis and management
2014-06
[4]
논문
Diagnosis of heel pain
https://www.aafp.org[...]
2011-10
[5]
논문
Plantar fasciitis
2012-08
[6]
논문
Plantar fasciitis
2012-11
[7]
논문
Meta-analysis of high-energy extracorporeal shock wave therapy in recalcitrant plantar fasciitis
2013-07
[8]
논문
Getting to the heel of the problem: plantar fascia lesions
2009-09
[9]
논문
Plantar heel pain
2014-03
[10]
논문
Plantar fasciitis and other causes of heel pain
https://www.aafp.org[...]
1999-04
[11]
웹사이트
These Shoes Are Killing Me!
https://freakonomics[...]
2020-06-12
[12]
논문
Managing chronic plantar fasciitis: when conservative strategies fail
2012-11
[13]
논문
Plantar fasciitis
2012-10
[14]
논문
Clinical practice. Plantar fasciitis
2004-05
[15]
논문
Plantar fasciitis: evidence-based review of diagnosis and therapy
https://www.aafp.org[...]
2005-12
[16]
논문
Is extracorporeal shock wave therapy clinical efficacy for relief of chronic, recalcitrant plantar fasciitis? A systematic review and meta-analysis of randomized placebo or active-treatment controlled trials
2014-08
[17]
논문
Calcaneal attachment of the plantar fascia: MR findings in asymptomatic volunteers
2014-09
[18]
논문
Current concepts review: plantar fasciitis
2008-03
[19]
논문
Review of running injuries of the foot and ankle: clinical presentation and SPECT-CT imaging patterns
2015
[20]
간행물
Five Things Physicians and Patients Should Question
http://www.choosingw[...]
American College of Occupational and Environmental Medicine
2014-02
[21]
논문
A best practice guide for managing plantar heel pain
https://evidence.nih[...]
National Institute for Health and Care Research
2022-07-21
[22]
논문
Management of plantar heel pain: a best practice guide informed by a systematic review, expert clinical reasoning and patient values
2021-10
[23]
논문
Efficacy of Bare foot Exercise Versus Common Footwear Exercise in Subjects with Plantar Fasciitis
http://www.indianjou[...]
2019
[24]
논문
Extracorporeal shock wave therapy is effective in treating chronic plantar fasciitis: a meta-analysis of RCTs
2013-11
[25]
논문
Extracorporeal shockwave therapy in musculoskeletal disorders
2012-03
[26]
웹사이트
Plantar Fasciitis and Bone Spurs
http://orthoinfo.aao[...]
American Academy of Orthopaedic Surgeons
2014-06-24
[27]
논문
Injected corticosteroids for treating plantar heel pain in adults
2017-06
[28]
논문
The diagnosis and treatment of heel pain: a clinical practice guideline-revision 2010
2010-05
[29]
논문
Biomechanical consequences of total plantar fasciotomy: a review of the literature
2009-09
[30]
논문
Gastrocnemius Release in the Management of Chronic Plantar Fasciitis: A Systematic Review
2022-04
[31]
논문
Platelet-rich plasma efficacy versus corticosteroid injection treatment for chronic severe plantar fasciitis
2014-04
[32]
논문
Effectiveness of trigger point dry needling for plantar heel pain: study protocol for a randomised controlled trial
2011-01
[33]
논문
Effectiveness of dry needling and injections of myofascial trigger points associated with plantar heel pain: a systematic review
2010-09
[34]
논문
A Comparison of Botulinum Toxin A and Intralesional Steroids for the Treatment of Plantar Fasciitis: A Randomized, Double-Blinded Study
http://journals.sage[...]
2013-01
[35]
서적
Toronto Notes 2017: Comprehensive Medical Reference and Review for the Medical Council of Canada Qualifying Exam Part I and the United States Medical Licensing Exam Step 2
Toronto Notes for Medical Students Incorporated
[36]
논문
Platelet-rich plasma and plantar fasciitis
2013-12
[37]
논문
Long-Term Prognosis of Plantar Fasciitis: A 5- to 15-Year Follow-up Study of 174 Patients With Ultrasound Examination
2018-03
[38]
서적
Plantar Fasciitis
http://www.ncbi.nlm.[...]
StatPearls Publishing
2023-07-15
[39]
뉴스
ドルニエメドテックジャパン、体外衝撃波疼痛治療装置を投入
2008-05-07
[40]
뉴스
[からだの質問箱]朝、かかとが痛む(寄稿)
2003-10-22
[41]
뉴스
丈夫がいいね(1149) 第29部・足から健康を 足底筋膜炎 ストレッチを習慣
2010-09-15
[42]
뉴스
【体の悩み聞いて効く】足底筋膜炎
2006-03-22
[43]
뉴스
厚底靴 [[골절]]、[[ねんざ]]…重傷事故多発 重心高く歩行不安定 20代が全体の4割に
1999-07-31
[44]
뉴스
中高年 運動楽しむには*体のケア心掛け上手に疲労回復*札幌スポーツクリニック理事長 山村俊昭医師に聞く*筋肉の張り*湯、水「交代浴」で血流改善
2011-07-17
[45]
뉴스
【体の悩み聞いて効く】足底腱膜炎 起こり方を理解し再発させない
2007-09-19
[46]
문서
足の指を甲側に反らせる足底腱膜のストレッチングに加え、下肢すべての関節の柔軟性獲得のストレッチング。
[47]
뉴스
衝撃波で足底腱膜炎治療*新札幌整形外科病院で道内初導入*体外から照射、痛みを軽減 患者の肉体的負担少なく
2010-09-15
[48]
뉴스
スポーツ選手足の痛み緩和/宮大病院/九州初の装置導入/キャンプ地新魅力
2011-04-06
[49]
뉴스
ポーツ句読転 桑原智雄 五輪マラソン 連続出場 険しい道
2007-08-04
[50]
뉴스
週刊ランナーズ[トップランナー・レースの記憶]有森裕子さん 五輪連続メダル
2011-07-22
[51]
뉴스
プロコプツカらが欠場 大阪国際女子マラソン
2006-01-28
[52]
뉴스
陸上 大阪国際女子マラソンを途中棄権した加納が名古屋参戦表明
2008-02-06
[53]
뉴스
[Jリーグ短信]4日
2008-07-05
[54]
뉴스
再び走る「マラソンの女王」
2005-09-21
[55]
뉴스
つるやオープンゴルフ 近藤、首位に躍進
2011-04-23
[56]
뉴스
なが〜勝った!近藤、改名後初V/国内男子
2011-04-25
[57]
뉴스
びわ湖毎日マラソン- あす号砲 胸に誇りの「日産」 下里和義が初挑戦
2009-02-28
[58]
뉴스
コンサドーレ札幌 DF趙が28日大分戦出場微妙。開幕にも暗雲
2010-02-23
[59]
뉴스
Jリーグ 札幌 FWキリノとMF芳賀が別メニューで岡山戦出場は微妙に
2010-07-29
[60]
뉴스
ゴルフ フジサンケイC 第1日 深堀、左足負傷で今季欠場
2009-09-04
[61]
웹사이트
https://ameblo.jp/ha[...]
[62]
뉴스
あす大阪国際女子マラソン シモン、弘山に注目
2005-01-29
[63]
뉴스
和田 開幕投手に名乗り 2年連続3度目の大役狙う 福岡ソフトバンク/プロ野球
2009-11-24
[64]
뉴스
自転車- 元スピードスケート・渡辺ゆかりが転向 30歳「落ち着くより戦い」
2011-05-18
[65]
웹사이트
Plantar Fasciitis
http://www.patient.c[...]
2012-07-19
본 사이트는 AI가 위키백과와 뉴스 기사,정부 간행물,학술 논문등을 바탕으로 정보를 가공하여 제공하는 백과사전형 서비스입니다.
모든 문서는 AI에 의해 자동 생성되며, CC BY-SA 4.0 라이선스에 따라 이용할 수 있습니다.
하지만, 위키백과나 뉴스 기사 자체에 오류, 부정확한 정보, 또는 가짜 뉴스가 포함될 수 있으며, AI는 이러한 내용을 완벽하게 걸러내지 못할 수 있습니다.
따라서 제공되는 정보에 일부 오류나 편향이 있을 수 있으므로, 중요한 정보는 반드시 다른 출처를 통해 교차 검증하시기 바랍니다.
문의하기 : help@durumis.com