맨위로가기

치석

"오늘의AI위키"는 AI 기술로 일관성 있고 체계적인 최신 지식을 제공하는 혁신 플랫폼입니다.
"오늘의AI위키"의 AI를 통해 더욱 풍부하고 폭넓은 지식 경험을 누리세요.

1. 개요

치석은 치아 표면에 형성되는 단단한 침착물로, 영어로는 calculus 또는 tartar라고 불린다. 치석은 치은 연상 치석과 치은 연하 치석으로 나뉘며, 타액, 치은구 삼출액, 혈액 등에서 유래하는 무기질과 유기질 성분으로 구성된다. 치석은 치태 축적을 증가시켜 잇몸 염증과 치주염을 유발하며, 칫솔질로는 제거하기 어려워 치과에서 스케일링 등 전문적인 방법으로 제거해야 한다. 치석은 다른 동물에서도 형성되며, 고고학적 표본에서 미세 입자, DNA, 단백질을 포함하여 고고학적 연구에도 활용된다.

더 읽어볼만한 페이지

  • 치주과학 - 잇몸
    잇몸은 입 안 연조직 내벽의 일부로, 치아를 둘러싸고 봉쇄하며 주위잇몸, 부착잇몸, 치간잇몸으로 나뉘고, 건강한 잇몸은 산호 핑크색을 띠며 단단하지만, 구강 위생이 불량하면 잇몸 질환이나 잇몸 퇴축이 발생할 수 있다.
  • 치주과학 - 급성 괴사성 궤양성 치은염
    급성 괴사성 궤양성 치은염은 잇몸에 괴사와 궤양을 일으키는 감염성 질환으로, 피로, 스트레스, 영양 불균형, 면역력 저하 등이 복합적으로 작용하여 발생하며, 치간 유두와 변연 치은에 괴사 및 궤양이 나타나고 회백색 가성막으로 덮이는 특징을 보인다.
  • 구강 질병 - 충치
    충치는 스트렙토코쿠스 뮤탄스, 락토바실러스 등의 원인균과 식이 습관, 구강 위생 등의 복합적인 요인으로 치아 법랑질이 손상되는 질환으로, 올바른 칫솔질과 식습관 조절, 정기적인 치과 검진을 통해 예방 및 치료가 가능하다.
  • 구강 질병 - 부정교합
    부정교합은 위턱과 아래턱의 부조화 및 치아 배열 이상으로 발생하는 치과 질환이며, 유전적, 환경적 요인이 복합적으로 작용하여 다양한 문제를 유발하고 치아 교정, 악교정 수술 등으로 치료한다.
  • 표시 이름과 문서 제목이 같은 위키공용분류 - 라우토카
    라우토카는 피지 비치레부섬 서부에 위치한 피지에서 두 번째로 큰 도시이자 서부 지방의 행정 중심지로, 사탕수수 산업이 발달하여 "설탕 도시"로 알려져 있으며, 인도에서 온 계약 노동자들의 거주와 미 해군 기지 건설의 역사를 가지고 있고, 피지 산업 생산의 상당 부분을 담당하는 주요 기관들이 위치해 있다.
  • 표시 이름과 문서 제목이 같은 위키공용분류 - 코코넛
    코코넛은 코코넛 야자나무의 열매로 식용 및 유지로 사용되며, 조리되지 않은 과육은 100g당 354kcal의 열량을 내는 다양한 영양 성분으로 구성되어 있고, 코코넛 파우더의 식이섬유는 대부분 불용성 식이섬유인 셀룰로오스이며, 태국 일부 지역에서는 코코넛 수확에 훈련된 원숭이를 이용하는 동물 학대 문제가 있다.
치석
개요
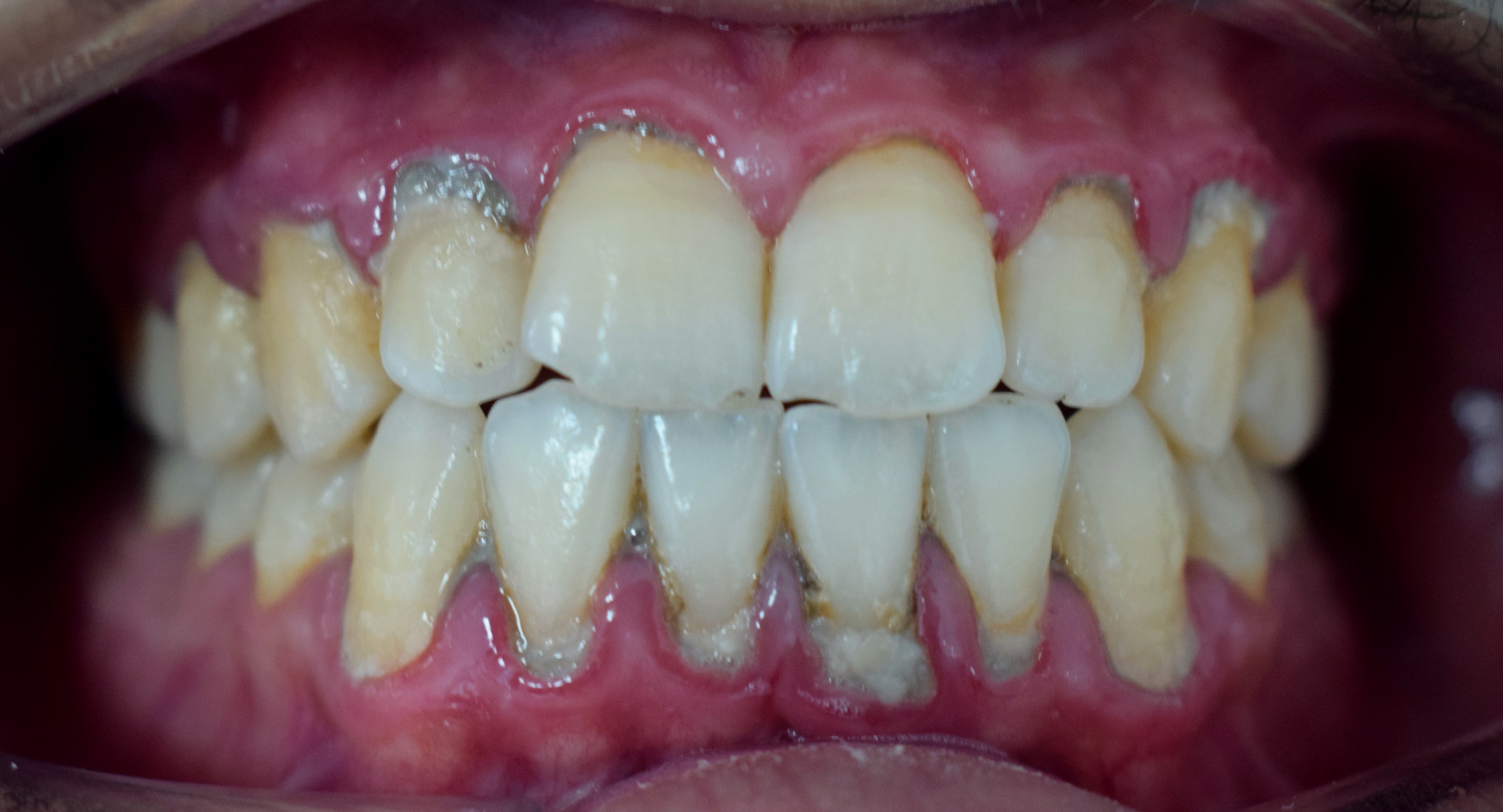
치아 표면에 부착된 치석
치아 표면에 부착된 치석
정의구강 위생 불량으로 인해 치아 표면에 형성되는 단단한 침전물
다른 이름이돌 (문화어)
dental calculus (영어)
tartar (영어)
종류
위치에 따른 분류치은연상 치석 (supragingival calculus): 잇몸 위쪽에 형성됨
치은연하 치석 (subgingival calculus): 잇몸 아래쪽에 형성됨
형성 과정
단계1단계: 치태 (플라크) 형성
2단계: 플라크 석회화 (칼슘 및 인산염 침착)
3단계: 치석 형성 (단단하게 굳어짐)
시간플라크 형성 후 14일 이내에 석회화 시작, 수개월에 걸쳐 치석으로 발전
위치주로 침샘 개구부 근처 (예: 아래 앞니 안쪽, 위 어금니 바깥쪽)
치아의 모든 표면 (특히 칫솔질이 어려운 부위)
구성
무기질 성분인산칼슘 (Ca3(PO4)2)
탄산칼슘 (CaCO3)
인산마그네슘 (Mg3(PO4)2)
유기질 성분세균
상피세포
백혈구
타액 단백질
지질
다당류
영향
구강 건강치주 질환 유발 (잇몸 염증, 치조골 파괴)
구취 유발
치아 변색
심미성 저하
제거 및 예방
제거 방법스케일링 (치과 위생사가 전문 기구로 제거)
치근활택술 (치아 뿌리 표면의 치석 제거)
예방 방법올바른 칫솔질 (매일 2회 이상)
치실 또는 치간 칫솔 사용
정기적인 치과 검진 및 스케일링
항균 구강 세정제 사용

2. 용어

치석의 영어 낱말은 'calculus' 또는 'tartar'이다. 'calculus'는 그리스어 낱말 'calcis'(석회암)에서 기원하는 다양한 종류의 돌을 가리키는 용어이다. 18세기에는 "calculate"(수학적 목적으로 돌을 사용)와 "calculus"가 인체와 동물체의 신장 결석 및 치아의 미네랄 침착물 등을 지칭하는 데 사용되었다.[52] 'tartar' 또한 그리스어 낱말에서 기원했지만, 19세기 초에 치아의 인산 칼슘을 가리키는 용어로 쓰이게 되었다.[53]

'calculus'는 라틴어 calculus|작은 돌la에서 유래했으며, 이는 calx|석회암, 석회la에서 유래했을 가능성이 높고,[1] 아마도 고대 그리스어 χάλιξ|chalix|작은 돌, 조약돌, 쇄석grc과 관련이 있을 것이다.[2] 'Calculus'는 다양한 종류의 돌을 가리키는 용어였다. 이 단어에서 '계산하다'(calculate|수학적 목적으로 돌을 사용하다영어)와 '미적분'과 같은 많은 현대 단어가 파생되었는데, 18세기에 신장 결석이나 치아의 광물질 침착과 같이 인체나 동물 체내에 생기는 광물 침착물을 지칭하는 데 사용되었다.[3]

반면 '치석'은 술통 안의 흰색 결정체(주로 크림 오브 타타르로 알려진 주석산수소칼륨)를 가리키는 그리스어()에서 유래했다. 이 단어는 19세기 초에 치아의 인산 칼슘을 지칭하는 용어로 사용되었다.[4]

3. 종류

치석은 오랫동안 제거되지 않고 남아있는 치태가 타액이나 잇몸 고랑(치은구) 삼출액에서 나오는 칼슘에 의해 단단하게 굳어져 형성된다.[47] 치주 조직의 상태는 치주 조직이 파괴되는 정도와 치석이 쌓이는 양에 크게 관계한다.[47] 치석 자체는 직접적인 병원성이 없지만, 표면이 거칠어 치태가 쉽게 붙고 쌓이게 만드는 원인이 된다.[47] 축적된 치태는 치주 조직에 염증과 파괴를 일으키는 주요 원인이 된다.[47] 잇몸(치은)의 변연을 기준으로 치은 연상에 형성되는 것을 치은 연상 치석, 치은 연하에 형성되는 것을 치은 연하 치석이라고 하며, 그 성질은 크게 다르다.[47]

3. 1. 치은 연상 치석

치은 연상 치석은 잇몸(치은)보다 위에 생기며 타액 성분에 기인하며 회백색을 띤다.[47] 타액선 개구부가 주로 발생하는 부위이다. 형성 속도는 빠르지만 치면에 대한 부착력은 약하여 비교적 쉽게 제거할 수 있다.[47]

3. 2. 치은 연하 치석

치은 연하 치석은 잇몸 아래, 치은구(잇몸 고랑) 또는 치주낭(잇몸 주머니) 내에 형성되는 흑갈색의 치석이다.[47] 치은구 삼출액,[48][49] 감염된 치주 조직의 삼출액,[49] 혈액[48] 등에서 유래한다.[47] 치은 연상 치석에 비해 형성 속도는 느리지만, 밀도가 높고 부착력이 강해 제거하기 어렵다.[47][49]

4. 치석의 성분

치석은 무기질(미네랄) 및 유기질 성분으로 구성된다. 치석은 장기간 제거되지 않고 남아있는 치태가 타액이나 치은구 삼출액에서 유래하는 칼슘에 의해 석회화(광물화)되어 형성된다.[47] 치은(잇몸)연상 치석의 경우 16~51%(최대 80%)가, 치은연하 치석의 경우 32~78%가 무기질이며 나머지는 유기질이다.[48]

치석 자체에는 직접적인 병원성은 없지만, 표면이 거칠기 때문에 치태가 쉽게 부착되어 치태 축적의 악화 요인이 된다.[47] 축적된 치태는 치주 조직에 염증 및 파괴의 자극을 가져오는 주요 원인이 되므로, 치주 조직의 상태는 치주 조직의 파괴 진행 정도와 치석의 침착량에 크게 관계한다.[47]

4. 1. 무기질

치석의 무기질 성분은 치아 위치에 따라 약 40~60%를 차지하며,[54] 주로 4가지 인산 칼슘 결정으로 구성된다. 칼슘 대비 인산염 비율이 높은 순서대로 나열하면 다음과 같다.[5]

  • 하이드록시아파타이트
  • 휘틀로카이트
  • 인산 옥타칼슘
  • 브루사이트


X선 회절을 통해 치석에서 검출되는 미네랄은 다음과 같다.[16]

  • 브러쉬아이트
  • 팔인산칼슘
  • 마그네슘 함유 화이트록카이트
  • 탄산염 함유 수산화인회석


이 외에도 탄산 칼슘이나 인산 마그네슘 등이 존재한다.[48]

4. 2. 유기질

세균체 성분, 박리 상피 세포, 백혈구 등이 존재하며, 치은 연상 치석에는 타액 당단백질도 포함된다.[48] 유기 성분은 세포 성분이 약 85%, 세포외 기질이 15% 정도이다.[5] 치석 내 세포는 주로 세균이지만, 메타노브레비박터 오랄리스와 같은 고세균과 칸디다 알비칸스를 포함한 몇 종의 효모도 포함된다. 유기 세포외 기질은 주로 단백질지질(지방산, 트리글리세리드, 글리콜리피드, 인지질)로 구성되며,[5] 세포 외 DNA도 포함된다.[6][8] 미량의 숙주, 식이성, 환경성 미세 잔해도 치석 내에서 발견되는데, 타액 단백질,[9] 식물 DNA,[10] 우유 단백질,[11] 전분 과립,[12] 섬유,[13] 연기 입자 등이 있다.[14]

5. 치석 형성

치석은 일반적으로 증분층으로 형성되며,[17] 이는 전자 현미경과 광학 현미경을 사용하여 쉽게 관찰할 수 있다.[9] 치석 형성은 개인마다, 그리고 구강 내 위치에 따라 크게 다르다. 치석 형성에 영향을 미치는 요인에는 연령, 성별, 민족적 배경, 식단, 구강 내 위치, 구강 위생, 세균성 치태 구성, 유전학, 치과 치료 접근성, 전신 질환, 흡연, 약물 등이 있다.[18]

치은연상 치석은 상악 어금니의 협측(뺨) 표면과 하악 절치의 설측(혀) 표면에 가장 많이 형성된다.[18] 이 부위는 이하선과 설하선 침샘에 인접해 있어 타액의 흐름이 많다.

치은연하 치석은 잇몸선 아래에 형성되며, 일반적으로 흑색 색소 세균의 존재로 인해 어두워진다.[18] 이 세균은 치은 출혈 동안 혈액에서 얻은 철분 층으로 세포가 코팅되어 있다.[19]

치석은 장기간 제거되지 않고 남아있는 치태가 타액이나 치은구 삼출액에서 유래하는 칼슘에 의해 석회화되어 형성된다.[47] 치석 표면은 거칠기 때문에 치태가 쉽게 부착되어 치태 축적의 악화 요인이 된다.[47]

치은 연상 치석은 잇몸 위에 생기며 타액 성분에 기인하며 회백색을 띤다.[47] 타액선 개구부가 호발 부위이다. 형성 속도는 빠르지만 치면에 대한 부착력은 약하여 비교적 쉽게 제거할 수 있다.[47] 반면, 치은구 내 또는 치주낭 내의 치은구 삼출액[48][49]이나 감염된 치주 조직[49]으로부터의 삼출액, 혈액[48]에서 유래된 흑갈색 치석은[47] 형성 속도는 치은 연상 치석에 비해 느리지만, 밀도가 높고 부착력도 강하기 때문에 제거가 어렵다.[47][49]

6. 임상적 중요성

치석의 유지 표면은 추가적인 치태 축적을 가능하게 한다.


치태 축적은 치은을 자극하고 염증을 유발하며, 이를 치은염이라고 한다. 치은이 너무 자극받아 치아와 치아를 둘러싼 뼈에 잇몸을 부착하는 결합 조직 치은 섬유가 손실되면 치주염이라고 한다. 치주염의 유일한 원인은 치태만이 아니지만, 여러 번 주요 원인으로 언급된다. 구강 내에 충분히 오래 남아 있는 치태는 결국 석회화되어 치석이 된다.[18] 치석은 치은 건강에 해로운데, 치태 형성과 유지를 증가시키는 역할을 하기 때문이다. 따라서 치석은 치태의 국소적 축적을 유발하는 다른 요인들과 함께 치주염의 이차적 원인으로 언급된다.

치태가 치은연상인 경우, 세균 함량은 호기성 세균과 효모의 비율이 높으며,[20] 이는 산소가 포함된 환경에서 생존할 수 있는 세균이다. 치은연하 치태는 혐기성 세균의 비율이 더 높으며, 이는 산소가 포함된 환경에서는 존재할 수 없는 세균이다. ''포르피로모나스 진지발리스''와 같은 여러 혐기성 치태 세균은[21] 치아를 둘러싸고 지지하는 특수 조직인 치주에서 강력한 염증 반응을 유발하는 항원성 단백질을 분비한다. 치주의 장기간 염증은 치아를 잇몸에 부착하는 치은 섬유의 골 소실과 약화를 초래하며, 이는 치주염의 두 가지 주요 특징이다. 치은연상 치석 형성은 인간에게 거의 어디에나 존재하지만,[22][23][24] 정도는 다르다. 치주염이 있는 거의 모든 개인은 상당한 치은연하 치석 침착을 보인다.[18] 치태 세균은 심혈관 질환[25] 및 조산, 저체중아 출산과 관련이 있지만,[26] 치주염이 이 두 가지 질환에 대한 유의미한 위험 요소라는 결정적인 증거는 아직 없다.[27]

치석은 장기간 제거되지 않고 남아있는 치태가 타액이나 치은구 삼출액에서 유래하는 칼슘에 의해 석회화되어 형성된다.[47] 치주 조직의 상태는 치주 조직의 파괴 진행 정도와 치석의 침착량에 크게 관계하고 있다.[47] 치석 자체에는 직접적인 병원성은 없지만, 치석 표면이 거칠기 때문에 치태가 쉽게 부착되어 치태 축적의 악화 요인이 된다.[47] 축적된 치태는 치주 조직에 염증 및 파괴의 자극을 가져오는 주요 원인이 된다.[47]

7. 예방

가장 기본적인 예방은 칫솔질이지만,[49] 칫솔질만으로는 치태를 완벽하게 제거하기 어렵다.[50] 칫솔만으로는 58% 정도, 칫솔과 함께 치실, 치간 칫솔을 사용하면 95%까지 치태 제거가 가능하다는 보고가 있다.[51] 따라서 칫솔, 치실, 치간 칫솔 등을 함께 사용하여 치아 사이의 치태를 제거하는 것이 중요하다.

시트르산아연이나 피로인산염이 함유된 치약은 치태 축적을 통계적으로 유의미하게 감소시키는 것으로 나타났지만, 그 효과는 미미하여 임상적 중요성은 의문시된다.[28][29] 피로인산 및 아세트산아연이 들어간 치약도 효과적이다.[49]

8. 치석 제거

일단 치석이 형성되면 칫솔질로는 제거하기 어렵기 때문에, 치과에서 스케일링 등 전문적인 방법으로 제거해야 한다.[47] 치과위생사는 치아 표면의 치석을 제거하기 위해 특별히 설계된 기구를 사용하며, 이는 치과위생사의 주요 업무 중 하나이다.[39][40] 치은 연하 치석은 제거하기 더 어렵기 때문에, 경우에 따라 치주 수술(치은 박리술)이 필요할 수 있다.[47]

치석 제거에는 수동 기구, 초음파 스케일러, 레이저 등이 사용된다.


  • 수동 기구: 치과위생사가 사용하는 특수 설계된 도구로, 스케일러, 큐렛, 자켓, 호, 파일, 끌 등이 있다.[39][40]
  • 스케일러: 뾰족한 팁으로 주로 치은연상 치석 제거에 사용된다.
  • 큐렛: 치은연하 치석 제거, 치근 표면을 매끄럽게 하는 데 사용된다.
  • 초음파 스케일러: 치석, 착색, 치태 제거에 효과적이며, 치근활택술, 소파술 및 외과적 변연 절제술에도 유용하다.[39]
  • 압전형과 자기변형형이 있으며, 18,000~50,000 Hz의 고속 진동으로 치석을 제거한다.
  • 수동 기구와 함께 사용하면 더 효과적이다.
  • 레이저: Er,Cr:YSGG 레이저와 같은 근자외선 및 근적외선 레이저가 치석 제거에 사용될 수 있다.[44][45]
  • 접근하기 어려운 치주낭에 레이저 에너지를 전달할 수 있다.
  • 치석의 주성분인 물에 잘 흡수되는 파장을 이용하여 효과적으로 치석을 제거한다.

9. 기타

고양이 같은 애완동물은 많은 양의 치석 침착물을 축적하기도 한다.[30] 반추동물이나 말과 동물처럼 마모성이 높은 식단을 가진 동물은 두꺼운 치석 침착물을 거의 형성하지 않고, 금속성 또는 유백색 광택이 나는 얇은 치석 침착물을 형성하는 경향이 있다.[31]

9. 1. 다른 동물에서의 치석

다른 동물에서의 치석 형성은 인간에 비해 덜 연구되었지만, 다양한 종에서 형성되는 것으로 알려져 있다. 고양이와 같은 애완동물은 종종 많은 양의 치석 침착물을 축적한다.[30] 반추동물말과 동물 같이 마모성이 높은 식단을 가진 동물은 두꺼운 치석 침착물을 거의 형성하지 않으며, 대신 금속성 또는 유백색 광택이 나는 얇은 치석 침착물을 형성하는 경향이 있다.[31] 동물에서 치석은 치아의 치은연 아래에 위치한 치아 뿌리를 덮고 있으며 치주 질환을 통해 점차적으로 소실되는 석회화된 치아 조직층인 백악질과 혼동해서는 안 된다.[32]

9. 2. 고고학적 중요성

치석은 고고학적 표본에서 잘 보존된 미세 입자, DNA, 단백질을 포함하는 것으로 나타났다.[33][34] 이러한 분자가 포함하는 정보는 숙주의 구강 미생물군과 병원체의 존재에 대한 정보를 밝힐 수 있다.[35] 또한 치석은 식단 원천을 식별하고,[36] 식단 변화를 연구하며,[37] 때로는 공예 활동의 증거를 확인할 수 있게 한다.[38]

참조

[1] L&S calx2|calx|ref
[2] LSJ xa/lic|χάλιξ|ref
[3] OEtymD calculus
[4] OEtymD tartar
[5] 논문 Supragingival calculus: formation and control http://hub.hku.hk/bi[...]
[6] 논문 Dental biofilms: difficult therapeutic targets
[7] 논문 Periodontal microbial ecology
[8] 논문 A new era in palaeomicrobiology: prospects for ancient dental calculus as a long-term record of the human oral microbiome 2015-01
[9] 논문 Pathogens and host immunity in the ancient human oral cavity 2014-04
[10] 논문 The human oral microbiome 2010-10
[11] 논문 Direct evidence of milk consumption from ancient human dental calculus 2014-11
[12] 논문 Starch granules, dental calculus and new perspectives on ancient diet
[13] 논문 Dirty teeth and ancient trade: evidence of cotton fibres in human dental calculus from Late Woodland, Ohio
[14] 논문 Neanderthal medics? Evidence for food, cooking, and medicinal plants entrapped in dental calculus 2012-08
[15] 서적 Formation and Inhibition of Dental Calculus https://books.google[...] Hans Huber 1969
[16] 간행물 Studies on the composition of human dental calculus. Determination of some major and trace elements by instrumental neutron activation analysis https://doi.org/10.1[...] Journal of Radioanalytical and Nuclear Chemistry 1984-08
[17] 서적 Formation and Inhibition of Dental Calculus Hans Huber Publishers
[18] 논문 Calculus removal and the prevention of its formation 2011-02
[19] 논문 Phototargeting oral black-pigmented bacteria 2005-04
[20] 논문 Investigations into the mycology of dental calculus in town-dwellers, agricultural workers and grazing animals 1973-05
[21] 논문 Complete genome sequence of the oral pathogenic Bacterium porphyromonas gingivalis strain W83 2003-09
[22] 논문 Diet and the aetiology of dental calculus
[23] 논문 Processes contributing to the formation of dental calculus
[24] 논문 Dental calculus: recent insights into occurrence, formation, prevention, removal and oral health effects of supragingival and subgingival deposits 1997-10
[25] 논문 Detection of oral bacteria in cardiovascular specimens 2009-02
[26] 논문 Periodontal disease -- the emergence of a risk for systemic conditions: pre-term low birth weight 2005-01
[27] 논문 Parameter on systemic conditions affected by periodontal diseases. American Academy of Periodontology 2000-05
[28] 웹사이트 Toothpastes https://www.ada.org/[...] 2020-09-27
[29] 논문 Effects of a zinc citrate mouthwash on dental plaque and salivary bacteria 1980-08
[30] 논문 Periodontal disease and diet in domestic pets 1998-12
[31] 서적 Teeth Cambridge University Press
[32] 논문 The developmental biology of cementum 2001-09
[33] 논문 Ancient human oral plaque preserves a wealth of biological data 2014-04
[34] 논문 Dental calculus evidence of Taï Forest Chimpanzee plant consumption and life history transitions 2015-10-19
[35] 논문 Pathogens and host immunity in the ancient human oral cavity 2014-04
[36] 논문 Neanderthal behaviour, diet, and disease inferred from ancient DNA in dental calculus https://radar.brooke[...] 2017-04
[37] 논문 Sequencing ancient calcified dental plaque shows changes in oral microbiota with dietary shifts of the Neolithic and Industrial revolutions 2013-04
[38] 논문 Medieval women's early involvement in manuscript production suggested by lapis lazuli identification in dental calculus 2019-01
[39] 서적 Carranza's Clinical Periodontology Saunders Book Company
[40] 논문 Non-surgical management of periodontal disease 2009-09
[41] 논문 Rationale of mechanical plaque control 1996-03
[42] 웹사이트 Dental Care FAQs https://www.cda-adc.[...] Canadian Dental Association 2016-12-16
[43] 논문 Detection, removal and prevention of calculus: Literature Review 2014-01
[44] 논문 Near-ultraviolet removal rates for subgingival dental calculus at different irradiation angles 2011-07
[45] 논문 Effects of Er,Cr:YSGG laser irradiation on the root surface: morphologic analysis and efficiency of calculus removal 2007-11
[46] 웹사이트 HPA Frequently Asked Questions http://www.crdha.ca/[...] CRDHA 2016-12-16
[47] 서적 臨床歯科エビデンス 歯周病と微生物学のビジュアルラーニング 南山堂
[48] 서적
[49] 서적 唾液 歯と口腔の健康 医歯薬出版 2008-06-10
[50] 논문 Oral hygiene and caries. A review.
[51] 웹사이트 歯と歯の間のお手入れの必要性 https://www.lion-den[...] ライオン歯科衛生研究所 2023-05-18
[52] 웹사이트 http://www.etymonlin[...]
[53] 웹사이트 http://www.etymonlin[...]
[54] 저널 Supragingival calculus: formation and control http://cro.sagepub.c[...]
[55] 저널 Effects of a zinc citrate mouthwash on dental plaque and salivary bacteria 1980-08



본 사이트는 AI가 위키백과와 뉴스 기사,정부 간행물,학술 논문등을 바탕으로 정보를 가공하여 제공하는 백과사전형 서비스입니다.
모든 문서는 AI에 의해 자동 생성되며, CC BY-SA 4.0 라이선스에 따라 이용할 수 있습니다.
하지만, 위키백과나 뉴스 기사 자체에 오류, 부정확한 정보, 또는 가짜 뉴스가 포함될 수 있으며, AI는 이러한 내용을 완벽하게 걸러내지 못할 수 있습니다.
따라서 제공되는 정보에 일부 오류나 편향이 있을 수 있으므로, 중요한 정보는 반드시 다른 출처를 통해 교차 검증하시기 바랍니다.

문의하기 : help@durumis.com