병리학
"오늘의AI위키"의 AI를 통해 더욱 풍부하고 폭넓은 지식 경험을 누리세요.
1. 개요
병리학은 질병의 원인, 발병 기전, 구조적, 기능적 변화를 연구하는 의학 분야이다. 고대부터 해부학적 검사를 통해 질병을 연구했으며, 현미경의 발달과 함께 세포 수준에서의 연구가 이루어졌다. 병리 진단은 세포, 조직, 수술 표본, 부검 등을 통해 질병을 진단하며, 세포진, 생검, 수술 표본 병리 진단, 부검 등이 포함된다. 병리학은 일반 병리학, 외과 병리학, 분자 병리학, 임상 병리학 등 다양한 세부 분야로 나뉘며, 정신병리학, 수의 병리학, 식물 병리학 등 인간 외의 질병 연구도 포함한다.
더 읽어볼만한 페이지
- 병리학 - 림프병
림프병은 림프계에 발생하는 다양한 질환을 포괄하는 용어로, 림프종, 림프절염, 림프관염, 림프부종, 림프구증가증 등을 포함하며 림프계 기능 이상을 초래한다. - 병리학 - 염증
염증은 손상이나 감염에 대한 신체의 방어 반응으로, 급성 또는 만성으로 나타나며 발적, 부종, 통증 등의 국소적 증상과 피로, 발열 등의 전신적 증상을 동반하고, 물리적, 화학적, 생물학적, 심리적 요인 등 다양한 원인에 의해 발생하며, 비만, 노화, 다양한 질병과 관련이 있다. - 농학 - 광합성
광합성은 생물이 빛에너지를 이용하여 이산화탄소와 물로부터 유기물을 합성하고 산소를 방출하는 과정으로, 엽록체 내 틸라코이드 막에서 일어나는 명반응과 스트로마에서 일어나는 암반응으로 구성되며, 환경에 따라 탄소 농축 메커니즘을 통해 효율을 높이기도 하고, 지구 대기의 산소를 생성하는 주요 원천이다. - 농학 - 한국농촌경제연구원
한국농촌경제연구원은 농업 및 농촌 경제 발전을 위한 정책 연구, 계획 수립, 정책 분석 등을 수행하고 정부기관에 정책 자료를 제공하는 농업 정책 연구 기관이다. - 생물학에 관한 - 해부학
해부학은 생물체의 구조와 구성 요소를 연구하는 학문으로, 육안 해부학과 현미경 해부학으로 나뉘며, 인체 해부학 외에도 동물, 식물, 미술 해부학 등 다양한 분야가 존재한다. - 생물학에 관한 - 죽음
죽음은 생명 활동의 영구적 종식으로 의학, 법, 사회, 종교, 심리, 생물학 등 다양한 관점에서 해석되며, 전통적인 심폐사 외에 뇌사도 죽음으로 인정되고, 개발도상국은 전염병, 선진국은 노화 관련 질병이 주요 사망 원인이며, 문화와 종교에 따라 다양한 이해와 관습이 존재하고, 수명 연장, 냉동 보존술, 존엄사, 안락사 등에 대한 논의가 이루어지고 있다.
병리학 | |
---|---|
개요 | |
![]() | |
집중 분야 | 질병 |
하위 분야 | 해부 병리학 임상 병리학 피부 병리학 법의 병리학 혈액 병리학 조직 병리학 분자 병리학 외과 병리학 |
질병 | 모든 감염성 및 기질적 질병 및 생리적 장애 |
검사 | 모든 의학 진단 검사, 특히 생검, 혈액 분석, 해부, 기타 의학 현미경 적용 |
전문가 | 병리학자 |
용어집 | 의학 용어집 |
병리학자 | |
직업 유형 | 전문 분야 |
활동 분야 | 의학, 외과 |
교육 | 의학 박사 (M.D.) 정골 의학 박사 (D.O.) 수의학 박사 (D.V.M) 의학 학사, 외과 학사 (M.B.B.S./M.B.Ch.B.) |
고용 분야 | 병원, 클리닉 |
일반 정보 |
2. 역사
병리학 연구는 해부학을 포함한 신체의 상세한 검사와 특정 질병에 대한 탐구를 통해 고대 시대부터 시작되었다.[6] 고대 그리스의 헬레니즘 시대에는 질병에 대한 체계적인 인과 관계 연구가 진행되었으며, 히포크라테스를 비롯한 많은 초기 의사들이 여러 질병에 대한 진단 및 예후 방법을 개발했다.[6] 로마인과 비잔틴인은 이러한 그리스 의학을 계승하였으나, 고전 시대 이후 의학의 발전은 다소 정체되었다. 하지만, 중세 이슬람 시대(중세 이슬람 의학 참조)에는 그리스 전통을 바탕으로 복잡한 병리학에 대한 많은 텍스트가 개발되면서 발전이 이루어졌다.[7]
르네상스, 계몽 시대, 바로크 시대를 거치면서 지식과 실험이 다시 확산되기 시작하였고, 17세기에는 기본적인 현미경 연구가 진행되었다. 영국 왕립 학회 회원인 로버트 훅은 조직 검사를 통해 세포라는 단어를 만들었고, 이는 이후 세균설의 토대가 되었다.
19세기에는 의사들이 질병을 일으키는 병원체, 즉 "세균"(세균, 바이러스, 곰팡이, 아메바, 곰팡이, 원생생물, 프리온과 같은 질병을 일으키는 미생물)이 존재하고 증식할 수 있다는 것을 이해하기 시작했다.[8][9] 이는 이전 1,500년 동안 유럽 의학을 지배했던 체액설을 대체했다. 현대 의학은 조직 분석을 위한 현미경의 추가적인 발전을 통해 특히 발전했으며, 루돌프 피르호가 이에 크게 기여하여 일련의 연구 개발을 이끌었다. 1920년대 후반에서 1930년대 초반에 병리학은 의료 전문 분야로 간주되었다.[10]
20세기 초, 일반적인 생리학에 대한 이해가 발달하면서 병리학 연구는 여러 개의 독립적인 분야로 분리되기 시작했다.[11] 20세기 후반부터는 분자생물학의 발전과 함께 유전자 수준에서 질병을 연구하고 진단하는 분자병리학이 등장하였다.
현대에는 디지털 병리학, 원격 병리학 등 정보 기술을 활용한 병리학 분야가 발전하고 있다.
미라나 유적에서 출토된 인골이나 분석, 기생충 알 등을 분석하여 고대인의 질병이나 부상에 대해 연구하는 학문을 "고병리학(Paleopathology)"이라고 부른다[35]。
2. 1. 고병리학
3. 병리 진단
병리 진단은 병원에서 기초 (연구)와 임상 (치료)을 연결하는 부서이다. 채취한 세포·조직의 검사를 실시하는 세포진·생검 조직진, 수술 중에 양성, 악성 등의 진단이 필요한 경우에 검사를 실시하는 술중 병리 진단, 수술로 적출된 표본을 이용하는 수술 표본 병리 진단, 사망한 환자의 사인이나 병인을 조사하기 위한 병리 부검 등을 실시하고 있다. 표본을 HE (헤마톡실린-에오신) 염색이나 특수 염색, 면역 염색 등으로 염색한 후에 광학 현미경으로 조사하는 수법이 주류이다. 병리 검사라고도 불리지만, 병변의 진단이며, 또한 의사가 실시하는 의료 행위임을 강조하는 의미에서 병리 진단이라는 호칭이 사용된다.
병리학은 급속히 진화를 거듭해 왔으며, 연구에서 얻어진 성과가 질병의 진단과 치료에도 크게 반영되고 있다. 병리의사의 대부분은 병리 전문의로서 병리 진단에 종사하고 있으며, 환자의 병변 진단 및 치료 방침 결정에 기여하고 있다. 일본에서는 의료법 개정이 있었고, 2008년 4월부터 병리 진단과가 표방 진료과가 되었다. 또한 2008년 4월의 진료 보수 개정에 따라 의료비 영수증에 병리 진단의 항목이 추가되었다. 이러한 개혁은 병리학의 진화를 반영한 것이며, 병리 진단의 의료 행위로서의 역할을 기대하고 있다고 생각할 수 있다.
3. 1. 세포 진단
세포 진단은 객담, 요, 분비물 등에 포함된 세포를 검사하여 질병을 진단하는 방법이다.[12] 환자의 부담이 비교적 적고, 질병의 선별 검사에 사용된다. 가는 바늘로 천자하여 주사기로 검체를 흡인하거나 내시경을 사용하여 병변 부위를 채취하기도 한다. 파파니콜라우 분류나 음성/양성으로 판정되며, 병변의 존재를 추정하는 보조 진단이 가능하다.[12]
3. 2. 생체 조직 진단 (생검)
생체 조직 진단(생검)은 병변 검출을 위한 선별 검사나 병변 부위의 질적 진단을 목적으로 신체 조직의 일부를 채취하여 병리 진단을 하는 것이다. 바이오프시(biopsy)라고도 불린다. 절제된 장기의 검사의 경우에는 수술 조직 병리 진단이라고 부르며, 생검과는 구별된다. 병변 부위가 작은 경우에는 생검으로 병변 전체가 채취되는 경우도 있다. 세포 진단과 달리, 생검에서는 조직 구축도 더 자세히 관찰할 수 있으므로, 세포진 검사 결과를 보완하기 위해 생검이 시행되는 경우가 있다.예를 들어 내시경 검사에서 위에 질병이 발견된 경우에는 내시경 하에서 그 부분의 조직을 일부 채취해 온다. 그 후, 병리 부서에서 병리 표본을 제작하여 현미경으로 관찰하고, 병리 진단을 시행한다. 채취하는 장기 명칭을 붙여 위 생검이라고 불린다. 암의 진단에 있어서는 생검이 최종 진단이 되는 경우가 많다.
기존의 방법으로는 표본 제작 등에 시간이 걸려 병리 검사 결과가 나오기까지 수일에서 수주가 필요했지만, 생검 당일 또는 다음 날까지 결과를 내기 위한 새로운 방법이 모색되고 있다.
3. 3. 술중 병리 진단

술중 병리 진단(신속 병리 진단)은 수술 도중에 병리 진단이 필요한 경우, 조직을 채취하여 검사하는 방법이다. 수술 중 종양의 조직형, 진행 정도, 절제 범위의 적절성, 양성/악성 여부 등 수술 방법 결정에 필요한 정보를 제공한다.
일반적인 병리 검사는 포르말린을 이용한 고정과 파라핀을 이용한 조직 처리가 필요하여 시간이 오래 걸리지만, 술중 병리 진단은 액체 질소 등을 이용해 검체를 동결시켜 얇게 절단하여 표본을 만들기 때문에 빠른 시간 안에 결과를 얻을 수 있다. 하지만 동결 과정에서 세포가 파괴될 수 있어, 통상적인 조직 진단에 비해 현미경 표본의 완성도는 떨어진다.
3. 4. 수술 표본 병리 진단 (육안 진단 포함)
수술 병리학은 대부분의 해부 병리학자들이 주로 활동하는 분야이다. 외과 의사 및 내과 의사, 내과, 의학 세부 전문의, 피부과 의사, 중재적 방사선과 의사 등 외과 의사가 아닌 의사들이 제출한 생검 및 수술 표본의 육안 및 현미경 검사를 포함한다. 종종 절제된 조직 샘플은 조직이 환자로부터 외과적으로 제거된 경우 질병의 가장 확실하고 결정적인 증거가 된다(또는 질병이 없는 경우). 이러한 결정은 일반적으로 조직의 육안(즉, 거시적) 및 조직학적(즉, 현미경적) 검사를 조합하여 수행하며, 면역조직화학 또는 기타 실험실 검사를 통해 조직의 분자적 특성을 평가할 수 있다.수술 병리 분석을 위해 제출되는 표본에는 생검과 수술 절제의 두 가지 주요 유형이 있다. 생검은 수술 병리 분석을 위해 제거된 작은 조직 조각으로, 대부분 결정적인 진단을 내리기 위해 사용된다. 생검의 종류에는 초음파, CT 스캔, 자기 공명 영상과 같은 방사선 기술의 지침에 따라 대구경 바늘을 사용하여 얻는 코어 생검이 있다. 절개 생검은 의심스러운 병변의 일부를 제거하는 진단 수술 절차를 통해 얻는 반면, 절제 생검은 전체 병변을 제거하며 치료적 수술 절제와 유사하다. 피부 병변 및 위장관계 폴립의 절제 생검은 매우 흔하다. 생검에 대한 병리과 의사의 해석은 양성 또는 악성 종양의 진단을 확립하는 데 매우 중요하며, 서로 다른 유형 및 등급의 암을 구별할 수 있을 뿐만 아니라 종양의 특정 분자 경로의 활성을 결정할 수 있다.
수술 절제 표본은 질병의 전체 부위 또는 기관(때로는 여러 기관)을 치료적으로 외과적으로 제거하여 얻는다. 이러한 절차는 종종 진단이 이미 알려져 있거나 강하게 의심되는 질병에 대한 결정적인 외과적 치료를 목적으로 하지만, 이러한 표본의 병리학적 분석은 이전 진단을 확인하는 데 여전히 중요하다. 수술로 적출한 장기나 조직에서 표본을 제작하여 치료 방침을 결정하기 위해, 질병의 진단을 확정하고 진행 정도 등을 조사한다.
3. 5. 병리 부검
병리 부검은 사망한 환자의 장기를 해부하여 관찰하는 것으로, 사망 시 시행되는 병리학적 검사이다. 부검의 일종이다. 필요에 따라 여러 장기에서 조직을 채취하여 제작한 표본을 현미경으로 관찰한다. 병리 부검은 시행된 치료의 유효성을 확인하거나, 임상 경과 중에 생긴 의문을 해명할 목적으로 유족의 동의를 얻어 시행된다. 해부이므로 얻을 수 있는 것은 형태학적인 정보뿐이며, 반드시 병인이 밝혀지는 것은 아니지만, 생전에는 알 수 없었던 정보(예: 잠재 암생전에는 존재를 인지하지 못하다가, 사후 부검 등으로 밝혀진 암/occult cancer영어)를 얻거나, 임상상의 의문점이 해명되는 경우도 많다.4. 병리학의 분류
병리학은 연구 대상, 방법, 목적 등에 따라 다양하게 분류된다.
- 일반병리학 (general pathology): 병리학 총론.
- 외과병리학 (surgical pathology): 진단이나 치료를 위하여 질환의 과정을 연구, 인체의 각 장기별, 연구분야별로 세분화됨 (신경계병리, 부인과병리, 혈액병리, 소화기병리, 신장병리, 유방병리, 내분비병리, 피부병리, 면역병리 등)
- 비교병리학 (comparative pathology): 인체의 질환을 다른 동물의 질환과 비교 연구
- 실험병리학 (experimental pathology): 인위적으로 일으킨 질병의 과정을 연구
- 기능병리학 (functional pathology): 질환에 의한 기능의 변화에 관한 연구
- 임상병리학 (clinical pathology)
- 구강병리학 (oral pathology)
- 지역병리학 (geographic pathology): 지역과 기후를 연관시켜 연구
- 정신병리학 (mental pathology, psychopathology)
- 언어병리학 (speech pathology)
- 세포병리학 (celluar pathology): 세포를 모든 질환현상의 기본점으로 간주
- 체액병리학 (humoral pathology): 질병이 체액의 비정상적 상태에 의하여 일어난다는 설
- 식물병리학 (plant pathology)
4. 1. 연구 대상 및 방법에 따른 분류
병리학의 연구 대상 및 방법에 따른 분류는 다음과 같다.- 일반병리학 (general pathology): 병리학 총론으로, 병리학의 기본 원리와 개념을 다룬다.
- 외과병리학 (surgical pathology): 진단이나 치료를 위하여 질환의 과정을 연구하며, 인체의 각 장기별, 연구분야별로 세분화된다. (신경계병리, 부인과병리, 혈액병리, 소화기병리, 신장병리, 유방병리, 내분비병리, 피부병리, 면역병리 등)
- 비교병리학 (comparative pathology): 인체의 질환을 다른 동물의 질환과 비교 연구한다.
- 실험병리학 (experimental pathology): 인위적으로 일으킨 질병의 과정을 연구한다.
- 기능병리학 (functional pathology): 질환에 의한 기능의 변화에 관한 연구를 진행한다.
- 세포병리학 (celluar pathology): 세포를 모든 질환 현상의 기본점으로 간주한다.
- 체액병리학 (humoral pathology): 질병이 체액의 비정상적 상태에 의하여 일어난다는 설에 기반한다.
이 외에도 임상병리학, 구강병리학, 지역병리학, 정신병리학, 언어병리학, 식물병리학 등이 있다.
4. 2. 임상 분야에 따른 분류
임상 병리학은 혈액, 소변과 같은 체액과 조직에 대한 실험실 분석을 기반으로 질병을 진단하는 의학 전문 분야이다.[19] 임상 화학, 임상 미생물학, 혈액학 및 분자 병리학의 도구를 사용하며, 때로는 면역 병리학도 임상 병리학의 영역에 속하는 것으로 간주된다.[20] 임상 병리학자는 의료 기술 기사, 병원 행정 및 의뢰 의사와 긴밀히 협력한다.
구강악안면병리학은 미국 치과 협회에서 인정하는 9개의 치과 전문 분야 중 하나이며, 치의학 및 병리학의 전문 분야로 간주되기도 한다.[26] 치아 발생, 감염성, 상피, 침샘, 뼈 및 연조직 병리를 포함하여 구강 및 주변 악안면 구조에 영향을 미치는 질병의 진단, 임상 관리 및 연구에 중점을 둔다.
정신병리학은 특히 심각한 장애를 연구하는 정신 질환 분야이다.[30][31][32] 심리학과 신경학의 영향을 많이 받으며, 정신 질환을 분류하고, 근본적인 원인을 밝히며, 이에 따라 임상적인 정신과 치료를 안내하는 것을 목적으로 한다.
언어 병리학은 언어 장애를 연구한다.
4. 3. 기타 분류
지역병리학은 지역과 기후를 연관시켜 질병을 연구한다. 식물병리학은 식물의 질병을 연구하며, 곰팡이, 난균, 세균, 바이러스 등 다양한 요인에 의해 발생하는 질병을 다룬다.5. 세부 분야
5. 1. 해부 병리학
해부 병리학(영연방) 또는 해부 병리(미국)는 장기, 조직 및 전신(일반 검사 또는 부검)의 육안 검사, 조직 병리학, 화학적, 면역학적 및 분자 병리학 검사를 기반으로 질병을 진단하는 데 관련된 의학 전문 분야이다. 해부 병리학 자체는 하위 분야로 나뉘며, 주요 구분은 수술 병리학, 세포 병리학, 법의 병리학이다. 해부 병리학은 병리학 의학 실습의 두 가지 주요 구분 중 하나이며, 다른 하나는 체액 및 조직의 의학 실험실 분석을 통한 질병 진단인 임상 병리학이다. 때때로 병리학자들은 해부 병리학과 임상 병리학을 모두 실천하며, 이를 일반 병리학이라고 한다.5. 1. 1. 수술 병리학
수술 병리학은 대부분의 해부 병리학자들이 주로 활동하는 분야 중 하나이다. 수술 병리학은 외과 의사 및 내과 의사, 내과, 의학 세부 전문의, 피부과 의사, 중재적 방사선과 의사 등 외과 의사가 아닌 의사들이 제출한 생검 및 수술 표본의 육안 및 현미경 검사를 포함한다. 종종 절제된 조직 샘플은 조직이 환자로부터 외과적으로 제거된 경우 질병의 가장 확실하고 결정적인 증거가 된다(또는 질병이 없는 경우). 이러한 결정은 일반적으로 조직의 육안(즉, 거시적) 및 조직학적(즉, 현미경적) 검사를 조합하여 수행하며, 면역 조직 화학 또는 기타 실험실 검사를 통해 조직의 분자적 특성을 평가할 수 있다.
수술 병리 분석을 위해 제출되는 표본에는 생검과 수술 절제의 두 가지 주요 유형이 있다. 생검은 수술 병리 분석을 위해 제거된 작은 조직 조각으로, 대부분 결정적인 진단을 내리기 위해 사용된다. 생검의 종류에는 초음파, CT 스캔, 자기 공명 영상과 같은 방사선 기술의 지침에 따라 대구경 바늘을 사용하여 얻는 코어 생검이 있다. 절개 생검은 의심스러운 병변의 일부를 제거하는 진단 수술 절차를 통해 얻는 반면, 절제 생검은 전체 병변을 제거하며 치료적 수술 절제와 유사하다. 피부 병변 및 위장관계 폴립의 절제 생검은 매우 흔하다. 생검에 대한 병리과 의사의 해석은 양성 또는 악성 종양의 진단을 확립하는 데 매우 중요하며, 서로 다른 유형 및 등급의 암을 구별할 수 있을 뿐만 아니라 종양의 특정 분자 경로의 활성을 결정할 수 있다. 수술 절제 표본은 질병의 전체 부위 또는 기관(때로는 여러 기관)을 치료적으로 외과적으로 제거하여 얻는다. 이러한 절차는 종종 진단이 이미 알려져 있거나 강하게 의심되는 질병에 대한 결정적인 외과적 치료를 목적으로 하지만, 이러한 표본의 병리학적 분석은 이전 진단을 확인하는 데 여전히 중요하다.
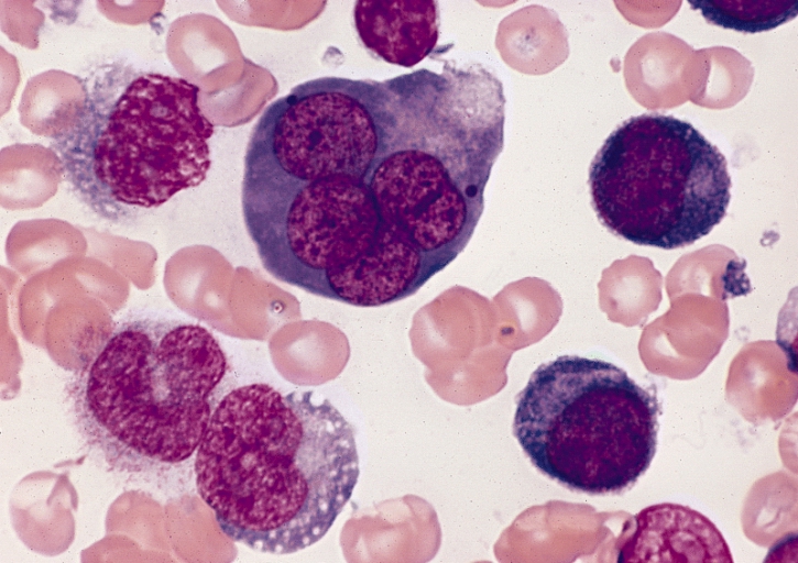
5. 1. 2. 세포 병리학
세포병리학(때로는 "세포학"이라고도 함)은 세포 수준에서 질병을 연구하고 진단하는 병리학의 한 분야이다. 일반적으로 암 진단을 돕기 위해 사용되지만, 특정 감염성 질환 및 기타 염증성 질환, 갑상선 병변, 무균 체강(복막, 흉막 및 뇌척수액)을 포함하는 질병 및 광범위한 기타 신체 부위의 진단에도 도움이 된다. 세포병리학은 일반적으로 자유 세포 또는 조직 조각의 샘플에 사용되며(전체 조직을 연구하는 조직병리학과 대조적으로), 세포병리학적 검사는 샘플을 유리 현미경 슬라이드에 도말하여 염색 및 현미경 검사를 수행하므로 때때로 도말 검사라고도 불린다. 그러나 세포학적 샘플은 세포원심분리를 포함한 다른 방법으로 준비될 수 있다.[12]
5. 1. 3. 법의 병리학

법의병리학은 시체 또는 부분 시체의 사후 검사를 통해 사망 원인을 규명하는 데 중점을 둔다. 부검은 일반적으로 검시관 또는 검시의가 수행하며, 종종 형사 수사 중에 이루어진다. 이러한 역할에서 검시관과 검시의는 시체의 신원을 확인하는 요청을 자주 받는다. 법의병리학 면허 취득 요건은 국가별(그리고 특정 국가 내에서도)로 다르지만, 일반적으로 최소 요건은 일반 또는 해부 병리학 전문 분야의 의학 박사 학위와 법의학 관련 추가 연구를 수료하는 것이다. 법의학자들이 사망을 판별하기 위해 사용하는 방법에는 조직 표본 검사를 통해 자연 질병의 존재 유무 및 기타 현미경적 소견을 확인하고, 과다 복용, 중독 또는 독성 물질과 관련된 기타 사건의 화학적 원인을 규명하기 위해 신체 조직 및 체액에 대한 독물학적 해석을 수행하며, 신체적 외상에 대한 검사를 실시하는 것 등이 있다. 법의병리학은 법과학의 학제간 분야에서 중요한 구성 요소이다.
5. 1. 4. 피부 병리학

피부병리학은 해부 병리학의 하위 전문 분야로, 피부와 나머지 피부계를 기관으로 하여 연구한다. 이 분야는 의사가 전문 분야를 습득하기 위해 두 가지 경로를 거칠 수 있다는 점에서 독특하다. 모든 일반 병리학자와 일반 피부과 전문의는 피부 병리에 대한 교육을 받으므로, 피부병리학자라는 용어는 일정 수준의 인증과 경험을 얻은 이들을 모두 지칭한다.[13] 피부과 전문의는 피부 질환의 외관, 해부학적 분포 및 양상을 바탕으로 대부분의 피부 질환을 인식할 수 있다. 그러나 이러한 기준만으로는 확정적인 진단을 내릴 수 없는 경우도 있으며, 일반적인 조직 검사를 사용하여 현미경으로 검사하기 위해 피부 생검을 시행한다.[14]
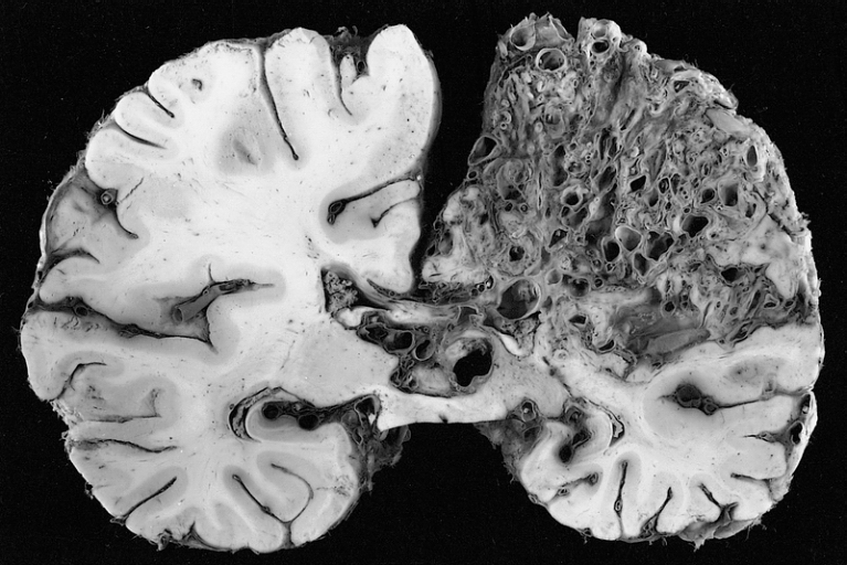
5. 1. 5. 신경 병리학

신경병리학은 신경계 조직의 질병에 대한 연구이며, 일반적으로 수술 생검이나 부검의 경우 전체 뇌의 형태로 이루어진다. 신경병리학은 해부 병리학, 신경학, 그리고 신경외과의 하위 전문 분야이다.
일상적인 임상 실무에서 신경병리학자는 환자를 위한 진단을 내린다. 신경계 질환이 의심되고 덜 침습적인 방법으로 진단을 내릴 수 없는 경우, 진단을 돕기 위해 뇌나 척수에서 신경 조직 생검을 시행한다. 생검은 일반적으로 의료 영상으로 종괴가 감지된 후에 요청된다. 부검 시, 신경병리학자의 주요 업무는 중추 신경계에 영향을 미치는 다양한 상태의 사후 진단을 돕는 것이다.
생검은 피부로 구성될 수도 있다. 표피 신경 섬유 밀도 검사(ENFD)는 보다 최근에 개발된 신경병리학 검사로, 작은 섬유 신경병증을 식별하기 위해 펀치 피부 생검을 채취하여 피부의 신경 섬유를 분석한다. 이 검사는 일부 연구소 및 많은 대학에서 이용 가능해지고 있으며, 덜 침습적인 전통적인 신경 생검 검사를 대체한다.
5. 1. 6. 폐 병리학

폐 병리학은 폐(lung)와 흉부(thorax) 흉막의 신생물성 및 비신생물성 질환의 진단 및 특성 규명을 다루는 해부 병리학(특히 외과 병리학)의 하위 전문 분야이다. 진단 표본은 종종 기관지경을 이용한 경기관지 생검, CT 유도 경피적 생검 또는 비디오 흉강경 수술을 통해 얻는다. 이러한 검사는 감염, 염증, 또는 섬유증 상태를 감별 진단하는 데 필요할 수 있다.
5. 1. 7. 신장 병리학

신장 병리학은 신장 질환의 진단 및 특성 규명을 다루는 해부 병리학의 하위 전문 분야이다. 의료 환경에서 신장 병리학자는 일반적으로 경피적 신장 생검을 통해 진단 검체를 얻는 신장내과 전문의 및 장기 이식 외과 의사와 긴밀히 협력한다. 신장 병리학자는 전통적인 현미경 조직학, 전자 현미경 및 면역 형광 검사 결과를 종합하여 최종 진단을 내려야 한다. 의학적 신장 질환은 사구체, 세뇨관 및 간질, 혈관 또는 이러한 구획의 조합에 영향을 미칠 수 있다.
5. 2. 임상 병리학
임상 병리학은 혈액 및 소변과 같은 체액과 조직에 대한 실험실 분석을 기반으로 질병을 진단하는 의학 전문 분야로, 임상 화학, 임상 미생물학, 혈액학 및 분자 병리학의 도구를 사용한다.[19] 임상 병리학자는 의료 기술 기사, 병원 행정 및 의뢰 의사와 긴밀히 협력한다. 임상 병리학자는 시각 및 현미경 검사, 특히 자동 분석기 및 미생물 배양을 포함하는 조직 샘플의 생물물리학적 특성에 대한 매우 다양한 검사를 수행하는 방법을 배운다. 때로는 "실험실 의학 전문가"라는 일반적인 용어가 임상 병리학 분야에서 일하는 사람들, 즉 의사, 이학 박사 및 약학 박사를 지칭하는 데 사용된다. 감염에 대한 유기체의 면역 반응을 연구하는 면역 병리학은 때때로 임상 병리학의 영역에 속하는 것으로 간주된다.[20]
혈액병리학은 혈액 세포(백혈구, 적혈구, 혈소판과 같은 구성 요소를 포함) 및 조혈 시스템을 구성하는 조직 및 기관의 질병에 대한 연구이다. 조혈 시스템이라는 용어는 조혈 세포를 생산 및/또는 주로 호스팅하는 조직과 기관을 의미하며, 여기에는 골수, 림프절, 흉선, 비장 및 기타 림프 조직이 포함된다. 미국에서 혈액병리학은 일반 병리학 레지던시(해부학적, 임상적 또는 결합)를 완료하고 혈액학 분야에서 추가로 1년의 펠로우십 훈련을 받은 의사들이 수행하는 미국 병리학 위원회(American Board of Pathology)에 따라 면허를 받은 보드 인증 하위 전문 분야이다. 혈액병리학자는 림프절, 골수 및 조혈 시스템의 세포 침윤과 관련된 기타 조직의 생검을 검토한다. 또한 혈액병리학자는 유세포 분석 및/또는 분자 혈액병리학 연구를 담당할 수 있다.
5. 2. 1. 혈액 병리학
혈액병리학은 혈액 세포(백혈구, 적혈구, 혈소판과 같은 구성 요소를 포함) 및 조혈 시스템을 구성하는 조직 및 기관의 질병에 대한 연구이다. 조혈 시스템이라는 용어는 조혈 세포를 생산 및/또는 주로 호스팅하는 조직과 기관을 의미하며, 여기에는 골수, 림프절, 흉선, 비장 및 기타 림프 조직이 포함된다. 미국에서 혈액병리학은 일반 병리학 레지던시(해부학적, 임상적 또는 결합)를 완료하고 혈액학 분야에서 추가로 1년의 펠로우십 훈련을 받은 의사들이 수행하는 미국 병리학 위원회(American Board of Pathology)에 따라 면허를 받은 보드 인증 하위 전문 분야이다. 혈액병리학자는 림프절, 골수 및 조혈 시스템의 세포 침윤과 관련된 기타 조직의 생검을 검토한다. 또한 혈액병리학자는 유세포 분석 및/또는 분자 혈액병리학 연구를 담당할 수 있다.
5. 3. 분자 병리학
분자 병리학은 기관, 조직 또는 체액 내의 분자를 검사하여 질병을 연구하고 진단하는 학문이다.[21] 해부 병리학, 임상 병리학, 분자 생물학, 생화학, 단백질체학, 유전학 등 다양한 학문 분야와 연관되어 있다.[21]분자 병리학은 주로 암이나 감염성 질환 진단에 활용되며,[23] 정량적 중합 효소 연쇄 반응(qPCR), DNA 마이크로어레이, DNA 염기서열 분석 등 다양한 기술을 사용한다.[24] 이러한 기술들은 DNA 및 RNA 샘플 분석을 기반으로 하며,[25] 흑색종, 뇌간 신경교종, 뇌종양을 비롯한 여러 암과 감염성 질환을 진단하는 데 사용된다.[23]
분자 병리학은 역학과 융합하여 분자 병리학적 역학이라는 분야를 형성하기도 한다.[22]
5. 4. 구강악안면 병리학
구강악안면병리학은 미국 치과 협회에서 인정하는 9개의 치과 전문 분야 중 하나이며, 치의학 및 병리학의 전문 분야로 간주되기도 한다.[26] 구강 및 주변 악안면 구조에 영향을 미치는 질병의 진단, 임상 관리 및 연구에 중점을 둔다.[26] 치아 발생, 감염성, 상피, 침샘, 뼈 및 연조직 병리 등을 다룬다.[26] 치과 병리학 분야와도 상당 부분 겹친다.구강 질환은 종류가 매우 다양하며, 이비인후과 전문의, 그리고 신경근육 상태를 진단하는 데 도움이 되는 언어 병리학자와는 다른 역할을 한다. 구강은 비침습적으로 검사할 수 있기 때문에, 많은 구강 질환은 육안 검사로 진단하거나 의심할 수 있다. 하지만, 생검, 세포 도말 검사 및 기타 조직 분석은 구강 병리학에서 여전히 중요한 진단 도구이다.
6. 병리학과 다른 진단 의학과의 관계
병리학은 종양학, 감염병, 의학 영상 등 다양한 의학 분야와 밀접하게 연관되어 있다. 암 진단과 병기 설정에 병리학적 검사가 필수적이며, 생검, 절제, 혈액 검사 등이 그 예시이다.[29] 심각한 감염병 연구에 있어서도 일반 병리학의 조직 및 혈액 분석 기술은 역학, 병인론, 면역학, 기생충학 분야에 중요한 정보를 제공한다.
의학 영상은 신체 내부를 시각적으로 표현하여 임상 분석 및 의료 개입을 가능하게 한다. 이는 내부 생리학의 세부 사항을 보여주어 의료 전문가가 조직 감염 및 외상에 대한 적절한 치료를 계획하는 데 도움을 준다. 또한 해부학 및 생리학의 기준 특징을 설정하는 데 필요한 생체 측정 데이터를 제공하여 초기 또는 미세한 이상을 감지하는 정확성을 높인다. 의학 영상 기술은 종종 일반 병리학 절차와 함께 수행되며, 질병의 발병 기전에 대한 이해를 높이고 질병의 진행을 추적하는 데 필수적이다. 주요 의학 영상 하위 분야로는 X선 방사선 촬영을 사용하는 방사선학, 자기 공명 영상, 의료 초음파 촬영, 내시경 검사, 탄성 영상법, 촉각 영상법, 열화상 촬영법, 의료 사진술, 핵의학, 양전자 방출 단층 촬영술 등이 있다. 뇌파 검사, 뇌자도 검사, 심전도 검사와 같은 진단 검사도 뇌와 심장 조직의 상태와 기능에 대한 정보를 제공한다.
7. 병리학 정보학
병리학 정보학은 보건 정보학의 하위 분야로, 병리학에 정보 기술을 사용하는 것을 의미한다. 병리학 실험실 운영, 데이터 분석 및 병리학 관련 정보의 해석을 포함한다.
주요 분야는 다음과 같다.
- 실험실 정보 관리 시스템 (LIMS): 병리학 부서를 위해 특별히 설계된 컴퓨터 시스템을 구현하고 관리한다. 이러한 시스템은 환자 검체, 결과 및 기타 병리학 데이터를 추적하고 관리하는 데 도움이 된다.
- 디지털 병리학: 디지털 기술을 사용하여 병리학 이미지를 생성, 관리 및 분석한다. 슬라이드 스캔 및 자동 이미지 분석을 포함한다.
- 원격 병리학: 기술을 사용하여 원격 병리학 컨설팅 및 협업을 가능하게 한다.
- 품질 보증 및 보고: 병리학 프로세스의 품질과 정확성을 보장하기 위해 정보학 솔루션을 구현한다.
8. 정신 병리학
정신병리학은 특히 심각한 장애를 연구하는 정신 질환 분야이다.[30][31][32] 심리학과 신경학의 영향을 많이 받으며, 정신 질환을 분류하고, 근본적인 원인을 밝히며, 이에 따라 임상적인 정신과 치료를 안내하는 것을 목적으로 한다. 정신 규범 및 장애의 진단과 분류는 주로 정신과에서 담당하며, 그 결과는 행동적 증거에 따라 정신 질환을 분류하려는 시도인 정신 질환 진단 및 통계 편람과 같은 지침으로 나타난다. 이 분야는 신경과학 및 다른 생물학적 인지 과학의 영향을 많이 받고 있으며, 그 영향력은 점점 커지고 있다. 개인에게 해를 끼치거나 생활 방식에 심각한 지장을 초래할 정도로, 일반적으로 건강하지 않거나 과도하다고 여겨지는 정신 또는 사회적 장애나 행동은 종종 "병리적"이라고 불린다(예: 병적 도박 또는 병적 거짓말쟁이).
9. 비인간 병리학
병리학 분야의 대다수 실험실 작업과 연구는 인간의 질병 발달에 관한 것이지만, 병리학은 생물학 전반에 걸쳐 중요성을 갖는다. 병원체나 다른 형태의 질병에 대한 숙주 역할을 할 수 있는 대부분의 복잡한 유기체를 나타내기 위해 두 가지 주요 포괄적인 분야가 존재한다. 동물계의 모든 비인간 종과 관련된 수의 병리학과 식물에서 질병을 연구하는 식물 병리학이 그것이다.
9. 1. 수의 병리학
수의 병리학은 광범위한 종을 다루지만, 실무자 수가 적어 비인간 동물의 질병, 특히 수의 진료 관련 부분은 종에 따라 이해도가 크게 다르다.[33] 그럼에도 불구하고 동물에 대한 상당한 양의 병리학 연구가 수행되는데, 1) 질병의 기원은 일반적으로 인수공통감염병의 성격을 띠며, 많은 감염성 병원체는 동물 매개체를 가지므로, 비인간 숙주에서 이러한 병원체의 작용 기전을 이해하는 것은 역학의 이해와 적용에 필수적이다. 2) 인간과 생리학적 및 유전적 특성을 공유하는 동물은 질병과 잠재적 치료법 연구 및 다양한 합성 제품의 효과를 연구하는 데 대리물로 사용될 수 있다.[33] 가축 및 애완동물로서의 역할 때문에, 일반적으로 포유류가 수의 병리학에서 가장 많은 연구 자료를 가지고 있다. 동물 실험은 인간 질병 치료 연구에 사용되는 경우에도 논란의 여지가 있는 관행이다.[34] 인간 의학 병리학과 마찬가지로, 수의 병리학은 일반적으로 해부 병리학과 임상 병리학의 두 가지 주요 분야로 나뉜다.
9. 2. 식물 병리학
식물은 곰팡이, 난균, 세균, 바이러스, 바이로이드, 바이러스 유사 생물, 파이토플라스마, 원생동물, 선충, 기생 식물 등 다양한 질병에 걸리기 쉽다. 하지만, 병원체와 그 메커니즘은 동물과 크게 다르다. 곤충, 진드기, 척추동물 및 기타 작은 초식동물에 의한 피해는 식물 병리학의 영역으로 간주되지 않는다. 이 분야는 식물 질병 역학과 연결되어 있으며, 특히 인간의 식단 또는 기타 인간의 유용성에 중요한 종의 원예와 관련이 있다.참조
[1]
서적
Underwood's pathology : a clinical approach
http://worldcat.org/[...]
Elsevier – Health Sciences Division
2018-04-30
[2]
웹사이트
-pathy, comb. form
https://oed.com/view[...]
Oxford University Press
2005-03-23
[3]
서적
Robbins and Cotran Pathologic Basis of Disease
Saunders/Elsevier
2010
[4]
웹사이트
Pathology Specialty Description
https://www.ama-assn[...]
American Medical Association
2020-10-05
[5]
논문
From Pathognomicha and Passiologia to Pathologia: concise history of a neologism (1486-1598)
https://www.patholog[...]
2022-04
[6]
서적
History of Pathology
Dover
1965
[7]
웹사이트
Commentary on the Ninth Book of Medicine Dedicated to Mansur — Commentaria in nonum librum Rasis ad regem Almansorem
http://www.wdl.org/e[...]
2014-03-02
[8]
서적
Transformations in American Medicine: From Benjamin Rush to William Osler
Johns Hopkins UP
1991
[9]
논문
Evidence-based Medicine, Medical Decision Analysis, and Pathology
2004
[10]
논문
Pathology: The Evolution of a Specialty in American Medicine
1979
[11]
논문
A history of pathology and laboratory medicine at Baylor University Medical Center
2004-01
[12]
서적
Robbins Basic Pathology
Philadelphia: Saunders.
[13]
웹사이트
Dermatopathology
http://www.abderm.or[...]
[14]
웹사이트
Special stains and tests – DermNet New Zealand
http://www.dermnetnz[...]
2008
[15]
웹사이트
Dermatopathology
http://booksfriend.b[...]
[16]
논문
National standards for forensic pathology training slow to develop
2007-07
[17]
서적
Histotechnology: A Self-Instructional Text
American Society for Clinical Pathology Press
2009
[18]
논문
A method for the rapid preparation of fresh tissues for the microscope
https://zenodo.org/r[...]
1905
[19]
뉴스
Our profession now has a European name: Specialist in Laboratory Medicine
https://www.eflm.eu/[...]
European Federation of Clinical Chemistry and Laboratory Medicine
2011-05
[20]
웹사이트
Bulletin officiel du n°32 du 4 septembre 2003 – MENS0301444A
http://www.education[...]
Ministère de l'Éducation nationale, de l'Enseignement supérieur et de la Recherche
2003-09-04
[21]
논문
The molecular pathology of cancer
2010
[22]
논문
Molecular pathological epidemiology of colorectal neoplasia: an emerging transdisciplinary and interdisciplinary field
[23]
논문
The historical change of brainstem glioma diagnosis and treatment: from imaging to molecular pathology and then molecular imaging
2015-12
[24]
논문
Nonculture Molecular Techniques for Diagnosis of Bacterial Disease in Animals: A Diagnostic Laboratory Perspective
2014-03
[25]
논문
Diagnostic molecular pathology: current techniques and clinical applications, part I.
2003-10
[26]
서적
Oral & maxillofacial pathology
W.B. Saunders
2002
[27]
웹사이트
Homepage of the American Board of Pathology
http://www.abpath.or[...]
[28]
웹사이트
''Reglementation'' for French Residency in Clinical Pathology (Biologie médicale)
http://www.sante.gou[...]
[29]
웹사이트
Types of Oncologists
http://www.cancer.ne[...]
Cancer.Net : American Society of Clinical Oncology (ASCO)
2011-05-09
[30]
웹사이트
The New Crisis in Confidence in Psychiatric Diagnosis
http://annals.org/ar[...]
2013-05-17
[31]
논문
Moving towards ICD-11 and DSM-5: Concept and evolution of psychiatric classification
http://www.indianjps[...]
2009
[32]
논문
Distinguishing Between the Validity and Utility of Psychiatric Diagnoses
2003-01
[33]
웹사이트
American College of Veterinary Pathologists | for the Public
http://www.acvp.org/[...]
2013-10-03
[34]
논문
The Regulation of Animal Research and the Emergence of Animal Ethics: A Conceptual History
https://org.uib.no/d[...]
2019-12-17
[35]
서적
病が語る日本史
講談社学術文庫
2008
[36]
서적
의학대사전
아카데미서적
관련 사건 타임라인
( 최근 20개의 뉴스만 표기 됩니다. )
LG AI연구원, AWS 기반 암 진단 AI 모델 개발 – 바이라인네트워크
본 사이트는 AI가 위키백과와 뉴스 기사,정부 간행물,학술 논문등을 바탕으로 정보를 가공하여 제공하는 백과사전형 서비스입니다.
모든 문서는 AI에 의해 자동 생성되며, CC BY-SA 4.0 라이선스에 따라 이용할 수 있습니다.
하지만, 위키백과나 뉴스 기사 자체에 오류, 부정확한 정보, 또는 가짜 뉴스가 포함될 수 있으며, AI는 이러한 내용을 완벽하게 걸러내지 못할 수 있습니다.
따라서 제공되는 정보에 일부 오류나 편향이 있을 수 있으므로, 중요한 정보는 반드시 다른 출처를 통해 교차 검증하시기 바랍니다.
문의하기 : help@durumis.com