편도결석
"오늘의AI위키"의 AI를 통해 더욱 풍부하고 폭넓은 지식 경험을 누리세요.
1. 개요
편도결석은 편도선 표면의 세균, 백혈구, 음식물 찌꺼기 등이 뭉쳐 형성되는 덩어리이다. 구취, 목의 이물감, 인후통 등의 증상을 유발하며, 육안 검사 또는 방사선학 검사로 진단한다. 치료는 가글, 면봉, 구강 세정기 등을 이용하거나, 심한 경우 편도절제술을 시행한다. 예방을 위해서는 가글, 칫솔질 등을 통해 구강 위생을 관리해야 한다.
더 읽어볼만한 페이지
- 편도 - 편도절제술
편도절제술은 편도염이나 수면 무호흡증 등의 치료를 위해 편도를 외과적으로 제거하는 수술로, 출혈, 감염 등의 합병증이 있을 수 있으며 환자 상태에 따라 다양한 방법이 사용된다. - 편도 - 편도염
편도염은 면역 기능을 하는 편도에 바이러스나 세균이 감염되어 염증이 생기는 질환으로, 급성과 만성으로 나뉘며 심할 경우 편도절제술을 시행한다. - 이비인후과 - 구강암
구강암은 구강에 생기는 악성 종양으로, 흡연, 음주, 인유두종 바이러스 감염 등이 주요 원인이며, 수술, 방사선 치료, 항암화학요법 등으로 치료한다. - 이비인후과 - 벨 마비
벨 마비는 얼굴 신경의 기능 장애로 얼굴 한쪽이 처지는 질환으로, 바이러스 감염 등이 원인으로 추정되며, 스테로이드 투여, 눈 보호, 물리치료 등으로 회복을 도울 수 있고 뇌졸중 등 유사 질환과의 감별이 필요하다. - 징후 - 심박수
심박수는 1분 동안 심장이 뛰는 횟수를 나타내는 지표로, 신체의 산소 요구량, 자율신경계, 호르몬 등의 영향을 받아 변하며 건강 상태를 파악하는 데 활용된다. - 징후 - 항응고제
항응고제는 혈액 응고를 억제하여 심혈관 질환과 혈전증을 예방 및 치료하는 약물로, 출혈 위험 증가의 부작용이 있어 출혈 위험 예측 도구를 활용하여 신중히 사용해야 하며, 와파린 외에 다비가트란, 리바록사반, 아픽사반과 같은 직접 경구용 항응고제도 사용된다.
편도결석 | |
---|---|
일반 정보 | |
![]() | |
분야 | 이비인후과 의학 |
증상 | 불편함, 입냄새 |
위험 요인 | 재발성 인후 감염 |
감별 진단 | 석회화된 육아종성 질환, 진균증, 매독 |
치료 | 소금물로 가글하기, 편도 절제술 |
약물 | 클로르헥시딘 또는 세틸피리디늄 클로라이드 |
빈도 | 최대 10% |
한국어 명칭 | |
명칭 | 농. 편도결석, 편도 선종, 취구슬 |
2. 원인
편도결석은 구개 편도에 있는 작은 구멍인 편도와에 음식물 찌꺼기와 세균 등이 뭉쳐서 생긴다. 편도선염을 자주 앓거나 콧물을 자주 흘리는 경우 더 잘 생긴다.
편도결석이 생기는 자세한 과정은 아직 연구 중이지만, 세균, 생물막 등이 원인으로 알려져 있다.[1] 2009년 연구에서는 편도결석에서 생물막이 발견되었는데, 이 생물막은 항생제가 잘 듣지 않게 한다.[13] 또한, 세균 감염, 연쇄상구균, 바이러스 감염도 편도결석의 원인이 될 수 있다.[14]
겨울철에는 공기가 건조하고 미세 먼지가 많아 편도결석이 더 잘 생기는 경향이 있다.
2. 1. 세부 원인
편도선 표면의 편도와나 내부에는 세균, 백혈구, 림프구, 세균의 시체, 지방산, 음식물 찌꺼기 등이 고여 있을 수 있다. 이러한 물질들은 자연스럽게 배설되기도 하지만, 편도선 표면의 출구나 소와 부분이 좁으면 내부에 뭉쳐 큰 덩어리를 이룰 수 있는데, 이것이 편도결석이다.[1]
편도결석이 형성되는 정확한 메커니즘은 아직 논쟁 중이지만,[1] 박테리아와 곰팡이의 성장, 크립트 내 갇힌 물질의 축적, 만성 화농성 편도선염 등이 원인으로 추정된다. 2009년에는 생물막과 편도결석의 연관성이 밝혀졌는데, 생물막은 박테리아가 3차원 구조를 형성하여 항생제 치료에 저항성을 갖는 것을 의미한다. 연구에 따르면 편도결석 내에도 생물막이 존재하며, 외부층에서는 산소 호흡, 중간층에서는 탈질화, 핵에서는 산성화가 일어난다.[13]

편도결석은 세균 감염, 연쇄상구균 박테리아, 바이러스 감염(아데노바이러스, 인플루엔자 바이러스, 엔테로바이러스, 파라인플루엔자 바이러스 등) 등 다양한 요인에 의해 발생할 수 있다.[14]
구개 편도의 틈새에 갇힌 박테리아, 죽은 세포, 점액 등이 흰색 덩어리로 농축되어 편도결석이 형성된다.[15] 연구자들은 편도결석 표면에는 호기성 박테리아, 핵심에는 혐기성 박테리아가 존재하며, 이들이 휘발성 황 화합물 등 불쾌한 냄새를 유발하는 물질을 생성하여 구취를 유발할 수 있다고 밝혔다.[16] 편도결석은 만성 편도선 염증이나 반복적인 편도선염을 겪는 사람, 콧물이 있는 사람에게서 자주 발생한다.[15]
목 안쪽 구개 편도를 포함한 인후 내 편도는 침입하는 세균이나 바이러스를 막는 역할을 한다. 편도 표면의 와(窩)라는 작은 구멍에 탈락 상피, 림프구, 백혈구, 세균 덩어리, 염증성 붕괴 산물, 지방산, 콜레스테롤, 인산 칼슘, 음식 찌꺼기 등이 쌓여 편도결석이 형성된다. 큰 결석은 직경 3~5mm 정도이며, 옅은 노란색, 연두색, 유백색을 띠고 으깨면 하수도 냄새나 분뇨 냄새가 난다.
겨울철에는 건조한 공기, 세균이 부착된 먼지, 미세 먼지 등으로 인해 편도결석이 더 많이 생기거나 커지는 경향이 있다.
3. 증상
치주 질환 등 치과 질환이 없는 상태에서 스스로 구취를 느낄 경우 편도결석일 가능성이 있다. 오랄클로마 등을 이용한 구취 측정기로 휘발성 구취 가스 분석을 시행하는 것도 진단에 도움이 된다. 또한 지속적인 목의 이물감을 호소하는 환자도 많다.
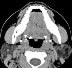
편도결석은 증상이 없을 수도 있고, 구취와 관련될 수도 있다.[2] 실제로 많은 치과 전문의들은 편도결석이 환자들의 구취의 주요 원인이라고 주장한다. 냄새는 썩은 달걀 냄새가 날 수 있다.[11] 때때로 삼킬 때 통증이 있을 수 있다.[12] 편도결석이 크더라도, 일부는 X-ray나 CT 스캔에서 우연히 발견되기도 한다. 다른 증상으로는 금속 맛, 목이 조이거나 꽉 조이는 느낌, 기침 발작, 가려운 목, 질식이 있다.
더 큰 편도결석은 반복적인 구취를 유발할 수 있으며, 이는 종종 편도 감염, 인후통, 흰색 이물질, 목 뒤의 나쁜 맛, 삼키기 어려움, 귀의 통증, 편도 부종을 동반한다.[15] 2007년에 실시된 한 의학 연구에 따르면 특정 유형의 재발성 편도선염 환자에서 편도결석과 구취 사이에 연관성이 있는 것으로 나타났다. 구취가 있는 환자 중 75%가 편도결석을 가지고 있었고, 정상적인 구취 측정값을 가진 환자 중 6%만이 편도결석을 가지고 있었다. 목 뒤에 이물감을 느낄 수도 있다.
치주 질환 등 짐작 가는 원인이 없는데도 입 냄새가 느껴진다면, 편도 결석일 가능성이 있다. 다만 편도 결석 자체가 인체에 악영향을 미치는 것은 아니다. 이것이 구강 내에 있으면, 무언가 달라붙은 듯한 감각을 느낀다.
4. 진단
치주병 등 치과 질환이 없는 상태에서 구취를 스스로 느낄 경우 편도결석일 가능성이 있다. 오랄클로마 등을 이용한 구취 측정기로 휘발성 구취 가스 분석을 시행하는 것도 진단에 도움이 된다. 또한 지속적인 목의 이물감을 호소하는 환자도 많다.
진단은 대개 육안 검사를 통해 이루어진다. 편도결석은 명확한 징후가 없을 경우 의학적 진단이 어려우며, 정기적인 방사선학 검사에서 우연히 발견되는 경우가 많다. 편도 결석의 원인은 세균 감염, 연쇄상구균 박테리아, 바이러스 감염, 아데노바이러스, 인플루엔자 바이러스, 엔테로바이러스 및 파라인플루엔자 바이러스 등 다양한 요인일 수 있다.[14]
영상 진단 기술은 이물질, 전위된 치아 또는 석회화된 혈관으로 오인될 수 있는 방사선 불투과성 덩어리를 식별할 수 있다. CT 스캔은 편도 영역에서 비특이적인 석회화된 이미지를 나타낼 수 있다. 감별 진단은 급성 및 만성 편도선염, 편도선 비대, 편도 주위 농양, 이물질, 정맥석, 이소성 뼈 또는 연골, 림프절, 육아종 병변 또는 이글 증후군 (긴 경상 돌기)의 맥락에서 경돌설골 인대의 석회화와 함께 이루어져야 한다.[18]
편도결석의 감별 진단에는 이물질, 석회화된 육아종, 악성 종양, 비대해진 측두 경상 돌기 또는 드물게 배아 잔존물에서 유래된 고립된 뼈가 포함되며, 이는 일반적으로 새궁에서 기원한다.[19]
5. 치료 및 대책
편도결석의 가장 근본적인 치료법은 편도절제술이다. 하지만 편도결석 치료를 위한 편도선 제거는 수술 후 합병증, 통증, 전신마취 등의 문제로 인해 매우 드물게 시행된다.
일반적으로는 주사기 수압이나 끝이 뭉뚝한 도구를 이용해 제거한다. 이 방법은 눈에 보이는 곳에 있는 결석에 효과적이다. 깊은 곳에 있는 결석은 이비인후과 진료를 받거나, 자주 재발하는 경우 CO2 레이저나 고주파 기기를 사용한 수술을 고려할 수 있다. 다만, 한 번의 수술보다는 결석이 생길 때마다 수술하는 것이 환자에게 부담이 적다.
커다란 편도결석은 큐렛으로 긁어내고, 작은 조각들은 세척하여 제거한다. 더 큰 병변은 국소 절제술이 필요할 수 있지만, 이 방법으로 구취 문제를 완전히 해결하기는 어려울 수 있다. 레이저 음와절제술은 국소 마취 하에 편도 표면적을 줄여 결석 형성을 방지하는 방법이다. 다른 치료법으로 효과가 없을 경우 편도절제술을 고려해 볼 수 있다.[20]
일반적인 편도결석보다 훨씬 드문 거대 편도결석은 편도 주위 농양 및 편도 종양을 포함한 다른 구강 질환으로 오인될 수 있다.[17] CT 스캔은 편도 영역에서 비특이적인 석회화된 이미지를 나타낼 수 있다. 감별 진단은 급성 및 만성 편도선염, 편도선 비대, 편도 주위 농양, 이물질, 정맥석, 이소성 뼈 또는 연골, 림프절, 육아종 병변 또는 이글 증후군의 맥락에서 경돌설골 인대의 석회화와 함께 이루어져야 한다.[18] 편도결석의 감별 진단에는 이물질, 석회화된 육아종, 악성 종양, 비대해진 측두 경상 돌기 또는 드물게 배아 잔존물에서 유래된 고립된 뼈가 포함되며, 이는 일반적으로 새궁에서 기원한다.[19]
5. 1. 자가 치료
편도결석이 사람을 괴롭히지 않는다면 치료가 필요하지 않다.[2] 그렇지 않은 경우 소금물로 가글하거나 수동으로 제거해 볼 수 있다.[2] 클로르헥시딘 또는 세틸피리디늄 클로라이드도 시도해 볼 수 있다.[2]면봉이나 구강 세정기를 사용하여 편도결석을 제거할 수도 있다. 다만, 대부분의 전동 구강 세정기는 압력이 너무 강해 편도에 상처를 입히거나 감염 등의 합병증을 유발할 수 있으므로 주의해야 한다. 수도꼭지에 직접 연결되는 세정기는 낮은 압력으로 물을 분사할 수 있어 편도결석 제거에 더 적합하다.[15] 수동 펌프형 편도결석 제거기 역시 수압 조절이 가능하여 효과적이다.
따뜻한 소금물로 가글하는 것은 편도결석과 동반되는 편도염의 불편함을 완화하는 데 도움이 된다. 매일 아침 꾸준히 가글하면 편도결석을 깨끗하게 유지할 수 있다.[15] 치주 질환 등 다른 원인이 없는데도 입 냄새가 난다면 편도결석을 의심해 볼 수 있다. 편도결석은 인체에 해롭지는 않지만, 입 안에 이물감을 유발할 수 있다.
녹차나 홍차로 10~20초 정도 가글하거나, 꼼꼼히 양치하여 음식물 찌꺼기를 제거하면 편도결석 예방에 도움이 된다. 차에 함유된 카테킨 성분은 세균 증식을 억제하는 효과가 있다.
가글, 기침, 재채기 등으로 편도결석이 저절로 배출되기도 한다. 혀를 이용해 제거하는 것도 가능하지만, 숙련이 필요하다. 무리하게 편도결석을 제거하려다 편도나 점막에 상처를 입힐 수 있으므로, 이비인후과에서 진료를 받는 것이 좋다.
5. 2. 병원 치료
편도결석의 가장 근본적인 치료법은 편도절제술을 통해 편도선 자체를 절제하는 것이다.[2] 하지만 편도결석 치료를 위한 편도선 제거는 수술 합병증, 통증, 전신마취 등의 문제와 이비인후과 전문의의 의학적 판단에 따라 매우 드물게 시행된다.[2]가장 일반적인 방법은 주사기 수압이나 끝이 뭉뚝한 도구를 이용해 제거하는 것이다. 이 방법은 편도결석이 눈에 보이는 곳에 있을 때 효과적이다. 하지만 깊은 곳에 있는 편도결석은 이비인후과 진료를 받거나, 자주 생기는 경우 CO2 레이저나 고주파 기기를 사용한 수술을 할 수 있다. 편도와의 수가 많고 편도 내부에 결석이 고이는 경우가 있어, 한 번의 치료보다는 결석이 생길 때마다 수술하는 것이 환자에게 부담이 적다.[2]
편도결석이 불편하지 않다면 치료가 필요 없다.[2] 그렇지 않은 경우 소금물 가글이나 수동 제거를 시도해 볼 수 있다.[2] 클로르헥시딘이나 세틸피리디늄 클로라이드도 사용할 수 있다.[2] 수술적 치료에는 부분 또는 전체 편도 제거가 포함될 수 있다.[2]
면봉이나 구강 세정기를 사용하기도 한다. 대부분의 전동 구강 세정기는 압력이 너무 강해 편도결석 제거에 부적합하며, 감염 등의 합병증을 유발할 수 있다. 수도꼭지에 직접 연결되는 세정기는 저압으로 조절 가능하여 편도결석 제거 및 세척에 적합하다.[15] 수동 펌프형 제거기는 수압 조절이 가능하여 효과적이다.
따뜻한 소금물 가글은 편도염의 불편함을 완화하고, 매일 아침 격렬한 가글은 편도결석을 깨끗하게 유지하는 데 도움이 된다.[15] 큰 편도결석은 큐렛으로 제거하고, 작은 조각들은 관개로 씻어낸다. 더 큰 병변은 국소 절제술이 필요할 수 있지만, 구취 문제를 완전히 해결하지 못할 수도 있다. 레이저 음와절제술은 국소 마취 하에 편도 표면적을 줄여 결석 형성을 방지하는 방법이다.
편도 절제술은 다른 조치에도 불구하고 편도 결석으로 인한 입 냄새가 지속될 때 고려할 수 있다.[20] 치주 질환 등 원인이 없는데도 입 냄새가 느껴진다면 편도 결석일 가능성이 있다. 편도 결석 자체는 인체에 악영향을 미치지 않지만, 구강 내 이물감을 유발할 수 있다. 예방책으로는 차(녹차, 홍차 등) 가글, 꼼꼼한 양치질 등이 있다.
가글로 쉽게 제거할 수 있으며, 기침, 재채기 등으로 자연스럽게 나오기도 한다. 혀를 사용해 제거할 수도 있지만 연습이 필요하다. 무리한 제거는 편도나 점막에 상처를 입힐 수 있으므로, 이비인후과에서 제거하는 것이 권장된다. 편도 절제술을 받으면 편도 결석이 나오지 않게 되는 경우가 많다.
6. 예방
편도선를 비롯한 인후 내 편도는 침입해 오는 세균이나 바이러스 등을 죽여 체내 침입을 막는 역할을 한다. 치주 질환 등 짐작 가는 원인이 없는데도 입 냄새가 느껴진다면 편도 결석일 가능성이 있다. 다만 편도 결석 자체가 인체에 악영향을 미치는 것은 아니다. 이것이 구강 내에 있으면 무언가 달라붙은 듯한 감각을 느낀다. 예방책으로는 차(녹차나 홍차 등)로 약 10~20초 정도 가글을 하는 방법(구강 내 오염 물질을 제거함과 동시에 차의 카테킨이 세균의 증식을 억제한다), 이를 꼼꼼히 닦아 음식 찌꺼기 등을 제거하는 방법이 있다.
가글을 함으로써 쉽게 제거할 수 있다. 기침이나 재채기, 또는 아무것도 하지 않아도 자연스럽게 나오는 경우가 많다. 자신의 혀를 사용하여 제거하는 것도 가능하지만, 상당한 연습이 필요하다.
7. 역학
편도결석은 전체 인구의 최대 10%에서 발생하며, 편도선염과 자주 관련된다.[21] 작은 편도결석은 흔하지만, 실제로 결석 형태를 띄는 경우는 드물다.[1] 주로 젊은 성인에게 발생하며, 어린이에게는 드물게 나타난다.[1]
참조
[1]
논문
Pseudo bilateral tonsilloliths: a case report and review of the literature
2004-07
[2]
논문
Halitosis and the tonsils: a review of management.
2014-10
[3]
논문
A Case Report of Tonsillolith Treated With Individualized Homoeopathy
https://pubmed.ncbi.[...]
2023-04
[4]
서적
Oral Radiology - E-Book: Principles and Interpretation
https://books.google[...]
Elsevier Health Sciences
2014
[5]
논문
Giant tonsillolith: report of a case
https://pubmed.ncbi.[...]
2005
[6]
논문
Adenoid stones, an unknown culprit in pediatric throat pain
2022-02-02
[7]
논문
Incidental Soft Tissue Calcifications in Cone-Beam Computed Tomography Images
https://www.research[...]
2023-01-17
[8]
논문
TikTok Tonsils
2021-09-26
[9]
서적
Textbook of Oral Radiology
https://books.google[...]
Elsevier India
2009
[10]
논문
Tonsillotomy versus tonsillectomy in adults suffering from tonsil-related afflictions: a systematic review.
2018-05
[11]
서적
Practical Gastroenterology and Hepatology Board Review Toolkit
https://books.google[...]
John Wiley & Sons
2016
[12]
논문
An unusual tonsillolithiasis in a patient with chronic obstructive sialoadenitis
2005-07
[13]
논문
Tonsillolith: not just a stone but a living biofilm.
2009-09
[14]
웹사이트
Should You Worry About Tonsil Stones?: Dr. Raminder Singh: General Dentistry
https://www.eliteden[...]
2023-05-04
[15]
웹사이트
Tonsil Stones (Tonsilloliths)
http://www.webmd.com[...]
2016-03-06
[16]
논문
Tonsillolith: A polymicrobial biofilm
http://dx.doi.org/10[...]
2015-07
[17]
논문
Giant tonsillolith simulating tumour of the tonsil – a case report
1984-05
[18]
논문
Giant tonsillolith: report of a case
http://www.medicinao[...]
[19]
웹사이트
Images
http://www.ijri.org/[...]
2007-11-28
[20]
논문
Indications for tonsillectomy and adenoidectomy
2002-08
[21]
서적
Imaging of the head and neck
https://archive.org/[...]
Thieme
본 사이트는 AI가 위키백과와 뉴스 기사,정부 간행물,학술 논문등을 바탕으로 정보를 가공하여 제공하는 백과사전형 서비스입니다.
모든 문서는 AI에 의해 자동 생성되며, CC BY-SA 4.0 라이선스에 따라 이용할 수 있습니다.
하지만, 위키백과나 뉴스 기사 자체에 오류, 부정확한 정보, 또는 가짜 뉴스가 포함될 수 있으며, AI는 이러한 내용을 완벽하게 걸러내지 못할 수 있습니다.
따라서 제공되는 정보에 일부 오류나 편향이 있을 수 있으므로, 중요한 정보는 반드시 다른 출처를 통해 교차 검증하시기 바랍니다.
문의하기 : help@durumis.com