샤츠키고리
"오늘의AI위키"의 AI를 통해 더욱 풍부하고 폭넓은 지식 경험을 누리세요.
1. 개요
샤츠키 링은 식도 하부에 생기는 링 모양의 좁아짐으로, 음식 삼킴 곤란을 유발할 수 있다. 증상이 없는 경우도 있으며, 고형 음식 삼킴 곤란, 음식 걸림, 흉통 등의 증상이 나타날 수 있다. 샤츠키 링의 원인은 불확실하며, 내시경 검사나 바륨 연하 검사로 진단한다. 무증상인 경우 치료가 필요하지 않지만, 증상이 있는 경우 식도 확장술로 치료할 수 있다. 일상적인 바륨 연하 검사 환자의 약 6~14%에서 발견된다.
더 읽어볼만한 페이지
- 선천성 소화기 질환 - 기관식도샛길
기관식도샛길은 식도와 기관 사이에 비정상적인 연결이 생기는 질환으로, 선천적 기형이나 후천적 요인으로 발생하며, 신생아에게서는 식도 폐쇄와 기관-위 누공 형태가 흔하고, 기침, 질식, 청색증, 폐렴 등의 증상을 유발하며, 진단은 X-ray, 식도 조영술, 기관지 내시경 등으로 하고, 치료는 수술 또는 내시경적 방법으로 샛길을 봉합한다. - 선천성 소화기 질환 - 메켈 곁주머니
메켈 곁주머니는 인구의 약 2%에서 발생하는 소화관 기형으로, 회맹판에서 60cm 이내 위치하며 무증상인 경우가 많지만 출혈, 장폐색, 곁주머니염 등의 합병증을 유발하여 수술적 치료가 필요할 수 있다. - 식도 질환 - 식도정맥류
식도정맥류는 문맥압 항진으로 인해 식도 점막하층 정맥이 확장되어 점막이 혹처럼 솟아오르는 질환으로, 파열 시 대량 토혈을 유발하며 상부 소화관 내시경으로 진단한다. - 식도 질환 - 호산구성 식도염
호산구성 식도염은 식도에 호산구가 과도하게 축적되어 발생하는 만성 알레르기성 염증 질환으로, 삼킴 곤란, 음식 걸림 등의 증상을 보이며, 식단 조절, 약물 치료, 내시경 치료 등을 통해 치료한다.
| 샤츠키고리 | |
|---|---|
| 개요 | |
| 질병 부위 | 식도 |
| 설명 | 점막 또는 근육 조직으로 인한 하부 식도의 좁아짐 |
| 증상 및 합병증 | |
| 증상 | 삼킴곤란 |
| 합병증 | 식도 폐색 |
| 원인 및 진단 | |
| 원인 | 불명 |
| 진단 | 상부위장관내시경 |
| 치료 및 예후 | |
| 치료 | 식도 확장술 |
| 예후 | 양호 |
| 의학 정보 | |
| 분야 | 소화기내과 |
2. 증상
샤츠키고리가 있는 모든 환자에게 증상이 나타나는 것은 아니며, 때로는 바륨 삼킴 검사를 통해 삼킴 곤란이 없는 환자에게서 샤츠키고리가 발견되기도 한다. 샤츠키고리가 증상을 유발하는 경우에는 고형 음식 연하곤란(삼킴 곤란)이 간헐적으로 발생하거나, 음식을 제대로 씹지 않고 삼킬 때 음식이 "걸리는" 느낌이 들 수 있다.
환자는 일반적으로 음식물을 구토하거나 억지로 넘겨서 다시 식사를 할 수 있다. 그러나 음식 덩어리(볼루스)에 의해 식도가 완전히 막히는 경우(스테이크하우스 증후군)가 발생할 수 있으며, 이는 극심한 흉통을 유발할 수 있다. 막힌 음식을 제거하기 위해 특수 광섬유 카메라를 사용하는 내시경 검사를 통한 즉각적인 치료가 필요할 수 있다.[4] 폐쇄 부위가 확인되면, 올가미나 겸자를 삽입하여 식도에서 음식을 빼내거나 위로 밀어 넣는데, 후자의 경우 폐쇄 부위 주변 구조의 해부학적 구조가 이미 알려진 경우에 주의하여 수행한다.
2. 1. 연하곤란
샤츠키 링이 있는 모든 환자에게 증상이 나타나는 것은 아니며, 때로는 바륨 삼킴 검사를 통해 삼킴 곤란이 없는 환자에게서 샤츠키 링이 발견되기도 한다.샤츠키 링이 증상을 유발하는 경우, 일반적으로 고형 음식 삼킴 곤란(연하 곤란)이 간헐적으로 발생하거나, 음식을 제대로 씹지 않을 경우 삼킬 때 음식이 "걸리는" 느낌이 든다. 환자는 일반적으로 음식물을 구토하거나 억지로 넘겨서 다시 식사를 할 수 있다. 그러나 음식 덩어리(볼루스)에 의해 식도가 완전히 막히는 경우(흔히 스테이크하우스 증후군)가 발생할 수 있다. 이는 극심한 흉통을 유발할 수 있으며, 막힌 음식을 제거하기 위해 특수 광섬유 카메라를 사용하는 내시경 검사를 통한 즉각적인 치료가 필요할 수 있다.[4] 폐쇄 부위가 확인되면, 올가미나 겸자를 삽입하여 식도에서 음식을 빼내거나 위로 밀어 넣는다. 후자의 경우, 폐쇄 부위 주변 구조의 해부학적 구조가 이미 알려진 경우에 주의하여 수행한다.
2. 2. 식도 폐쇄
샤츠키 링이 있는 모든 환자에게 증상이 나타나는 것은 아니며, 때로는 바륨 삼킴 검사를 통해 삼킴 곤란이 없는 환자에게서 샤츠키 링이 발견되기도 한다.샤츠키 링이 증상을 유발하는 경우, 일반적으로 고형 음식 삼킴 곤란(연하 곤란)이 간헐적으로 발생하거나, 음식을 제대로 씹지 않을 경우 삼킬 때 음식이 "걸리는" 느낌이 든다. 환자는 일반적으로 음식물을 구토하거나 억지로 넘겨서 다시 식사를 할 수 있다. 그러나 음식 덩어리(볼루스)에 의해 식도가 완전히 막히는 경우(스테이크하우스 증후군)가 발생할 수 있다. 이는 극심한 흉통을 유발할 수 있으며, 막힌 음식을 제거하기 위해 특수 광섬유 카메라를 사용하는 내시경 검사를 통한 즉각적인 치료가 필요할 수 있다.[4] 폐쇄 부위가 확인되면, 올가미나 겸자를 삽입하여 식도에서 음식을 빼내거나 위로 밀어 넣는다. 후자의 경우, 폐쇄 부위 주변 구조의 해부학적 구조가 이미 알려진 경우에 주의하여 수행한다.
2. 3. 기타 증상
샤츠키고리가 있는 모든 환자에게 증상이 나타나는 것은 아니며, 때로는 바륨 삼킴 검사를 통해 삼킴 곤란이 없는 환자에게서 샤츠키고리가 발견되기도 한다.샤츠키고리가 증상을 유발하는 경우, 일반적으로 고형 음식 삼킴 곤란(연하 곤란)이 간헐적으로 발생하거나, 음식을 제대로 씹지 않을 경우 삼킬 때 음식이 "걸리는" 느낌이 든다. 환자는 일반적으로 음식물을 구토하거나 억지로 넘겨서 다시 식사를 할 수 있다. 그러나 음식 덩어리(볼루스)에 의해 식도가 완전히 막히는 경우(스테이크하우스 증후군)가 발생할 수 있다. 이는 극심한 흉통을 유발할 수 있으며, 막힌 음식을 제거하기 위해 특수 광섬유 카메라를 사용하는 내시경 검사를 통한 즉각적인 치료가 필요할 수 있다.[4] 폐쇄 부위가 확인되면, 올가미나 겸자를 삽입하여 식도에서 음식을 빼내거나 위로 밀어 넣는다.
3. 원인
샤츠키 링의 원인에 대해서는 많은 가설이 제시되었지만, 아직 불확실하며, 선천적 요인과 후천적 요인이 모두 관련될 수 있다.
4. 진단

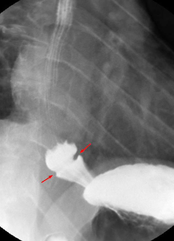
샤츠키고리는 보통 식도위십이지장 내시경 검사 또는 바륨 연하 검사로 진단한다. 내시경 검사에서는 식도의 내강 내에 다양한 크기의 링이 나타나는데, 이는 일반적으로 식도가 위와 연결되는 위식도 접합부에서 몇 센티미터 위에 위치한다. 샤츠키고리는 식도 웹과 유사하게 보일 수 있으나, 식도 웹은 추가적인 점막 조직을 포함하지만 식도를 완전히 둘러싸지는 않는다는 차이점이 있다.
다른 이유로 시행된 내시경 검사 및 바륨 연하 검사에서 예상치 못한 샤츠키고리가 발견되기도 하는데,[7] 이는 많은 샤츠키고리가 무증상임을 의미한다.
샤츠키고리에는 두 가지 종류가 있다. 샤츠키와 게리가 처음 기술한 것은 부검에서 발견된 섬유 조직의 링으로, 덜 흔한 유형이다.[1] 더 흔한 유형은 링이 전체 식도를 덮는 동일한 점막 조직으로 구성된다.
4. 1. 식도위십이지장 내시경 검사
샤츠키고리는 보통 식도위십이지장 내시경 검사 또는 바륨 연하 검사로 진단한다. 내시경 검사에서는 일반적으로 식도의 내강 내에 다양한 크기의 링이 나타난다. 이 링은 일반적으로 식도가 위와 연결되는 위식도 접합부에서 몇 센티미터 위에 위치한다. 샤츠키고리는 식도 웹과 유사하게 보일 수 있다. 식도 웹 역시 추가적인 점막 조직을 포함하지만 식도를 완전히 둘러싸지는 않는다.다른 이유로 시행된 내시경 검사 및 바륨 연하 검사에서 종종 예상치 못한 샤츠키고리가 발견되기도 하는데,[7] 이는 많은 샤츠키고리가 증상이 없음을 의미한다.
샤츠키고리에는 두 가지 종류가 있다. 샤츠키와 게리가 처음 기술한 것은 부검에서 발견된 섬유 조직의 링으로, 이는 덜 흔한 유형이다.[1] 더 흔한 유형은 링이 전체 식도를 덮는 동일한 점막 조직으로 구성된다.
4. 2. 바륨 삼킴 검사
샤츠키고리는 보통 식도위십이지장 내시경 검사 또는 바륨 연하 검사로 진단한다. 내시경 검사에서는 일반적으로 식도의 내강 내에 다양한 크기의 링이 나타난다. 이 링은 일반적으로 식도가 위와 연결되는 위식도 접합부에서 몇 센티미터 위에 위치한다. 샤츠키고리는 종종 식도 웹이라는 관련 질환과 유사하게 보일 수 있다. 식도 웹 역시 추가적인 점막 조직을 포함하지만 식도를 완전히 둘러싸지는 않는다.
다른 이유로 시행된 내시경 검사 및 바륨 연하 검사에서 종종 예상치 못한 샤츠키고리가 발견되기도 하는데,[7] 이는 많은 샤츠키고리가 증상이 없음을 의미한다.
5. 치료
샤츠키고리의 치료는 증상 유무에 따라 달라진다. 무증상 샤츠키고리는 시간이 지나도 악화되는 경우가 드물어 치료가 필요하지 않다. 증상이 있는 경우에는 식도 확장술 등의 치료법을 사용할 수 있다. 위식도 역류로 인한 식도 위산 역류 악화를 줄이기 위해 프로톤 펌프 억제제 치료를 단기간 시행할 수 있다. 확장술의 효과는 수개월에서 수년까지 지속될 수 있으며, 협착이 재발하면 반복할 수 있다.[8]
5. 1. 식도 확장술
무증상 샤츠키 링은 시간이 지남에 따라 악화되는 경우가 드물어 치료가 필요하지 않다.증상이 있는 샤츠키 링은 부지 또는 풍선 팽창기를 사용하여 식도 확장술로 치료할 수 있으며, 이는 동일한 효과를 보이는 것으로 밝혀졌다.[8] 부지 확장술은 내시경으로 위장에 삽입된 가이드 와이어를 통해(Savary-Gillard 시스템) 또는 수은 가중 확장기(Maloney 시스템)를 사용하여 식도 협착 부위를 늘리기 위해 크기가 증가하는 긴 확장 튜브를 통과시키는 것을 포함한다. 일반적으로 불편함을 줄이기 위해 정맥 주사 진정제를 사용한다. 확장술은 일시적인 자극을 유발할 수 있다. 짧은 기간의 프로톤 펌프 억제제 치료는 위식도 역류로 인한 식도 위산 역류에 의한 악화를 감소시킬 수 있다. 확장술의 효과 지속 기간은 다르지만 수개월에서 수년까지 가능하다. 협착이 재발하면 확장을 반복할 수 있다.
5. 2. 약물 치료
증상이 있는 샤츠키고리는 부지 또는 풍선 팽창기를 사용하여 식도 확장술로 치료할 수 있으며, 이는 동일한 효과를 보이는 것으로 밝혀졌다.[8] 부지 확장술은 내시경으로 위장에 삽입된 가이드 와이어를 통해(''Savary-Gillard'' 시스템) 또는 수은 가중 확장기(''Maloney'' 시스템)를 사용하여 식도 협착 부위를 늘리기 위해 크기가 증가하는 긴 확장 튜브를 통과시키는 것을 포함한다. 일반적으로 불편함을 줄이기 위해 정맥 주사 진정제를 사용한다. 확장술은 일시적인 자극을 유발할 수 있다. 짧은 기간의 프로톤 펌프 억제제 치료는 위식도 역류로 인한 식도 위산 역류에 의한 악화를 감소시킬 수 있다. 확장술의 효과 지속 기간은 다르지만 수개월에서 수년까지 가능하다. 협착이 재발하면 확장을 반복할 수 있다.6. 역학
참조
[1]
논문
Dysphagia due to a diaphragm-like localized narrowing in the lower esophagus (lower esophageal ring)
1953-12
[2]
서적
Robbins and Cotran Pathologic Basis of Disease
Elsevier Saunders
2015
[3]
웹사이트
Obstruction: Esophageal Disorders: Merck Manual Home Health Handbook
http://www.merckmanu[...]
[4]
논문
The "steakhouse syndrome". Primary and definitive diagnosis and therapy
1989-12
[5]
논문
Swallow syncope in association with Schatzki ring and hypertensive esophageal peristalsis: report of three cases and review of the literature
2005-10
[6]
논문
Schatzki ring and Barrett's esophagus: do they occur together?
2004-05
[7]
논문
Schatzki ring, statistically reexamined
http://radiology.rsn[...]
2006-07-20
[8]
논문
A randomized prospective study comparing rigid to balloon dilators for benign esophageal strictures and rings
1999-07
[9]
논문
The lower esophagus.
1960-12
[10]
논문
Dysphagia due to a diaphragm-like localized narrowing in the lower esophagus (lower esophageal ring)
1953-12
[11]
서적
Robbins and Cotran Pathologic Basis of Disease
Elsevier Saunders
2015
[12]
웹인용
Obstruction: Esophageal Disorders: Merck Manual Home Health Handbook
http://www.merckmanu[...]
2022-12-30
본 사이트는 AI가 위키백과와 뉴스 기사,정부 간행물,학술 논문등을 바탕으로 정보를 가공하여 제공하는 백과사전형 서비스입니다.
모든 문서는 AI에 의해 자동 생성되며, CC BY-SA 4.0 라이선스에 따라 이용할 수 있습니다.
하지만, 위키백과나 뉴스 기사 자체에 오류, 부정확한 정보, 또는 가짜 뉴스가 포함될 수 있으며, AI는 이러한 내용을 완벽하게 걸러내지 못할 수 있습니다.
따라서 제공되는 정보에 일부 오류나 편향이 있을 수 있으므로, 중요한 정보는 반드시 다른 출처를 통해 교차 검증하시기 바랍니다.
문의하기 : help@durumis.com