호산구성 식도염
"오늘의AI위키"의 AI를 통해 더욱 풍부하고 폭넓은 지식 경험을 누리세요.
1. 개요
호산구성 식도염은 식도에 호산구의 비정상적인 축적으로 인해 발생하는 만성 알레르기성 염증 질환이다. 삼킴 곤란, 음식 걸림, 복통, 구토 등의 증상을 보이며, 소아, 청소년, 성인 모두에게 나타날 수 있다. 진단은 증상, 내시경 검사, 조직 검사를 통해 이루어지며, 다른 질환을 배제하는 것이 중요하다. 치료는 식단 조절, 약물 치료(양성자 펌프 억제제, 코르티코스테로이드, 두필루맙), 내시경 치료(식도 확장술) 등을 포함하며, 식도 내 호산구 수를 줄이고 염증을 감소시키는 것을 목표로 한다. 위험 인자로는 알레르기, 자가면역 질환, 환경적 요인 등이 있으며, 유병률은 점차 증가하는 추세이다.
더 읽어볼만한 페이지
- 스테로이드 반응성 염증성 질환 - 천식
천식은 만성적인 기도 염증으로 쌕쌕거림, 호흡곤란, 가슴 답답함, 기침 등의 증상을 유발하며 유전적, 환경적 요인이 복합적으로 작용하여 발생하고, 폐활량 검사로 진단하며, 유발 요인 회피와 약물 요법으로 증상 조절 및 삶의 질 향상이 가능하다. - 스테로이드 반응성 염증성 질환 - 포도막염
포도막염은 눈의 특정 부위에 염증이 생기는 질환으로, 염증 발생 부위와 양상에 따라 분류되며, 충혈, 눈부심, 통증, 시력 저하 등의 증상을 보이고, 스테로이드 치료를 시행한다. - 식도 질환 - 식도정맥류
식도정맥류는 문맥압 항진으로 인해 식도 점막하층 정맥이 확장되어 점막이 혹처럼 솟아오르는 질환으로, 파열 시 대량 토혈을 유발하며 상부 소화관 내시경으로 진단한다. - 식도 질환 - 식도 칸디다증
식도 칸디다증은 칸디다속 진균에 의해 식도에 발생하는 감염 질환으로, 삼킴곤란이나 삼킴통증을 주 증상으로 하며, 체중 감소와 구강 칸디다증을 동반할 수 있고, 플루코나졸 등의 항진균제로 치료한다. - 면역 질환 - 알레르기
알레르기는 면역 체계가 무해한 물질에 과도하게 반응하여 아토피 피부염, 비염, 천식, 두드러기 등 다양한 증상을 일으키는 질환으로, Gell과 Coombs 분류법에 따라 여러 유형으로 나뉘며, 심각한 경우 아나필락시스를 유발할 수 있고, 유전적, 환경적 요인이 복합적으로 작용하여 발생하며, 알레르겐 회피, 약물, 면역요법 등으로 치료한다. - 면역 질환 - 기회감염
기회감염은 면역 체계가 약화된 사람에게 다양한 병원체에 의해 발생하는 감염으로, 면역력 저하, HIV 감염, 치료 등의 원인에 의해 발생하며, 예방을 위해 면역력 회복, 감염원 회피, 예방적 약물 사용 등의 조치를 취하고, 치료는 원인균에 따라 적절한 약제를 사용하는 것이 중요하다.
| 호산구성 식도염 | |
|---|---|
| 일반 정보 | |
![]() | |
| 분야 | 면역학 소화기내과 |
| 원인 | 알레르기 유발 물질 |
| 위험 요인 | 알레르기 질환 병력 가족력 |
| 진단 | 내시경 검사 조직 검사 |
| 감별 진단 | GERD 감염 복강병 과다호산구 증후군 크론병 다발혈관염 동반 호산구성 육아종증 |
| 치료 | 식이 조절 (유발 물질 제거) 약물 치료 (스테로이드, 양성자 펌프 억제제) |
| 예후 | 치료 가능, 재발 가능성 존재 |
2. 증상과 징후
호산구성 식도염(EoE)은 다양한 증상을 유발할 수 있으며, 이는 발병 연령에 따라 다르게 나타나는 경향이 있다.[4][38] 일반적으로 나타나는 증상으로는 삼킴 곤란, 음식이 식도에 걸리는 느낌(음식 끼임), 복통, 역류, 구토, 식욕 부진 등이 있다.[4][38] 호산구성 식도염은 주로 어린이 시기에 진단되지만 모든 연령대에서 발병할 수 있으며, 남성에게 더 흔하게 나타난다.[4][38]
호산구성 식도염의 증상 중 상당수는 위 식도 역류병(GERD)과 유사하여 혼동될 수 있다. 하지만 호산구성 식도염 환자들은 일반적인 위산 억제 치료에 잘 반응하지 않는 경우가 많다는 차이점이 있다.[4][38]
또한, 호산구성 식도염 환자 중에는 천식[2][36], 셀리악병[5][39]과 같은 다른 알레르기 질환이나 자가면역질환을 동반하는 경우가 많다.[4][5] 비만 세포 활성화 증후군이나 비만 세포증과 같은 비만 세포 관련 질환과의 연관성도 보고되고 있다.
2. 1. 영유아 및 어린이
호산구성 식도염은 일반적으로 소아기에 발병하지만, 증상은 발병 연령에 따라 다르게 나타난다.[4][38] 영유아의 경우, 젖이나 음식을 잘 먹지 못하는 수유 곤란이나 체중 증가 부진을 겪을 수 있다.[4]학령기 아동 및 청소년에게서는 음식을 삼키기 어려운 삼킴 곤란, 음식이 식도에 걸리는 증상, 구토, 역류, 복통, 흉통 등이 주로 나타난다.[4][38] 특히 질감이 거친 음식을 먹을 때 구토하거나 질식하는 증상을 보이기도 한다.[4][38] 호산구성 식도염은 남성에게 더 흔하게 발생한다.[4][38]
이러한 증상 중 상당수는 위 식도 역류병(GERD)과 비슷하지만, 호산구성 식도염 환자는 일반적인 위산 억제 치료에 잘 반응하지 않는 경우가 많다.[4][38] 또한, 호산구성 식도염을 앓는 어린이 중에는 천식[2][36], 셀리악병[5][39] 등 다른 자가면역질환이나 알레르기 질환을 함께 가지고 있는 경우가 많다.[4][38]
2. 2. 학동기 아동 및 청소년
학동기 아동과 청소년에서 나타나는 호산구성 식도염의 주된 증상은 삼킴 곤란과 음식으로 인한 식도 막힘(음식 끼임)이다.[38][4] 특히 질감이 거친 음식을 먹을 때 구토나 질식 증상을 보일 수 있다.[38][4] 이 외에도 복통, 흉통, 구토, 역류 등의 증상이 나타날 수 있다.[38][4]2. 3. 성인
성인에서 호산구성 식도염의 가장 흔한 증상은 삼킴장애이다.[38][4] 그러나 잘 조절되지 않는 속쓰림이나 식사 기피, 흉통 등도 나타날 수 있다.[38][4] 이러한 증상 중 상당수는 GERD와 비슷하지만, 호산구성 식도염 환자 대부분은 위산 억제 치료에 잘 반응하지 않는 경향이 있다.[38][4]장기간 염증이 지속되어 식도에 흉터가 남게 되면, 성인 환자는 음식이 식도에 걸리는(음식 끼임) 경험을 더 자주 할 수 있다. 또한 샤츠키고리, 식도막, 드물게는 식도이완불능증과 같은 다른 식도 이상이 발생할 가능성도 높아진다.[38][4]
호산구성 식도염을 앓는 많은 사람들은 천식[36][2]이나 셀리악병[39][5]과 같은 다른 자가면역질환이나 알레르기성 질환을 동반하는 경우가 많다. 비만 세포 활성화 증후군 또는 비만 세포증과 같은 비만 세포 질환과의 연관성도 보고되고 있다.
3. 병태생리학
호산구는 주변 식도 조직에 염증을 일으키는 여러 사이토카인(화학적 신호)을 방출하는 염증 세포이다. 이로 인해 통증, 내시경 검사에서 관찰되는 발적과 같은 증상이 나타나며, 경우에 따라 식도협착으로 이어질 수도 있다.[36][2] 건강한 사람의 경우 호산구는 위장관계의 다른 부분에는 정상적으로 존재하지만, 식도에서는 발견되지 않는다.[36][7] 호산구가 식도로 이동하는 정확한 원인은 아직 완전히 밝혀지지 않았지만, 유전적 요인, 환경적 요인, 그리고 개인의 면역계 특성 등이 복합적으로 작용하는 것으로 여겨진다.[40][7]
조직학적으로 호산구성 식도염은 식도의 편평상피 내부에 호산구(백혈구의 일종)가 비정상적으로 빽빽하게 침투해 있는 것이 특징이다.[40][2] 호산구가 알레르기 반응에서 중요한 역할을 한다는 점을 고려할 때, 이는 섭취한 음식물 항원에 대한 알레르기 반응의 일종으로 생각된다.[40][2]
호산구성 식도염의 발병 과정은 아직 연구가 진행 중이지만, 다음과 같은 기전이 주요한 것으로 받아들여진다. 특정 항원(주로 음식물)에 노출되면, 식도 상피 세포가 염증성 사이토카인인 IL-33과 TSLP를 방출하도록 자극받는다.[6] 이들 사이토카인은 면역 반응을 조절하는 Th2 헬퍼 T 세포를 식도 부위로 유인하고 활성화시킨다.[6]
활성화된 Th2 헬퍼 T 세포는 IL-13, IL-4, IL-5를 포함한 여러 종류의 염증성 사이토카인을 분비한다.[6] 이러한 사이토카인들은 식도에 직접적인 염증을 유발할 뿐만 아니라, 식도 상피의 기저 세포 증식과 세포 사이 공간의 확장을 촉진하여 호산구성 식도염에서 특징적으로 나타나는 조직학적 변화를 일으킨다.[6]
특히, IL-13은 식도 상피 세포를 자극하여 CCL26(에오탁신-3)이라는 화학 주성 인자를 생성하게 만든다.[36][2] 이 CCL26과 Th2 세포에서 분비되는 IL-5는 화학 주성 인자로 작용하여, 호산구를 비롯한 다양한 과립구(예: 호염기구, 비만 세포)를 식도로 이동시킨다.[6]
결과적으로 식도 조직 내에 비정상적으로 많은 수의 호산구가 축적되는 현상(호산구 침윤)이 발생하며, 이는 호산구성 식도염의 가장 특징적인 조직학적 소견이다.[6][2] 이렇게 모인 호산구들은 다양한 화학 물질을 분비하여 식도 염증과 조직 손상을 유발하고 관련 증상을 일으킨다.[36][2]
4. 진단
호산구성 식도염의 진단은 환자가 호소하는 증상과 내시경, 생검 등 진단 검사상의 소견을 종합하여 이루어진다.[36][2] 정확한 진단을 위해서는 다음 세 가지 조건을 모두 만족해야 한다.[14]
- 삼킴곤란과 같은 식도 기능 장애 관련 증상이 있어야 한다.
- 식도 생검 조직 검사에서 호산구가 비정상적으로 많이 관찰되어야 한다. 일반적으로 현미경 고배율 시야(HPF)당 15개 이상의 호산구가 기준이 된다.[36][41][2][8]
- 증상과 식도 호산구 증가를 유발할 수 있는 다른 질환들을 배제해야 한다.
따라서 위식도 역류 질환(GERD), 식도암, 식도이완불능증, 과다호산구 증후군, 감염, 크론병, 약물 알레르기 등 유사한 증상을 나타낼 수 있는 다른 질환과의 감별 진단이 매우 중요하다.[36][2] 과거 호산구성 식도염 진단 패널(EE Diagnostic Panel) 개발 이전에는 위식도 역류 질환을 먼저 배제해야 호산구성 식도염 진단이 가능했다.[41][42][8][9] 이를 위해 고용량의 양성자 펌프 억제제(PPI) 치료에도 증상이 호전되지 않거나, 식도 산도 검사 결과가 정상인 경우 등을 확인하는 과정을 거쳤다.[41][42][8][9]
진단 과정에서는 환자의 병력 청취와 함께 내시경 검사와 조직 검사가 핵심적인 역할을 하며, 필요한 경우 알레르기 관련 평가도 이루어진다. 각 검사 방법, 감별 진단, 알레르기 평가에 대한 자세한 내용은 하위 문단에서 다룬다.
4. 1. 내시경 검사
내시경 검사를 통해 식도벽의 변화를 직접 관찰할 수 있다. 식도벽에 융기(능선)나 홈(고랑), 여러 개의 고리 등이 나타날 수 있다.[44][11] 특히 여러 개의 고리가 보이는 경우, 마치 고양이의 식도와 비슷하다고 하여 '고양이형 식도'(feline esophaguseng)라고 부르거나, 주름진 모양 때문에 '주름진 식도'(corrugated esophaguseng)라고도 한다.[44][11] 식도에 하얀 삼출물(진물이나 고름 같은 분비물)이 관찰되는 것도 호산구성 식도염을 의심할 수 있는 소견이다.[44][11] 바륨 연하 검사 같은 방사선학적 검사에서도 이러한 고리 모양이 관찰될 수 있으며, 이를 '고리 식도'라고 부르기도 한다.[10]내시경 검사 중에는 생검을 함께 시행하여 조직 검사를 하는 것이 일반적이다. 생검 조직의 상피 얕은 층에서 많은 수의 호산구가 관찰되면 진단에 중요한 단서가 된다. 진단을 위해서는 현미경으로 고배율 관찰 시 시야당 최소 15개의 호산구가 보여야 한다.[36][41][2][8] 호산구성 염증은 식도뿐만 아니라 위장관 전체에 걸쳐 나타날 수도 있다. 때로는 호산구가 심하게 탈과립된 상태이거나, 기저층이 두꺼워지고 미세한 농양이 발견되기도 한다.[36][41][2][8]
호산구성 식도염의 진단은 환자의 증상과 여러 검사 결과를 종합적으로 판단하여 내려진다.[2] 위식도 역류 질환(GERD), 식도암, 식도이완불능증, 과호산구 증후군, 감염, 크론병, 약물 알레르기 등 유사한 증상을 보일 수 있는 다른 질환들을 배제하는 과정이 필요하다. 과거에는 양성자 펌프 억제제(PPI)를 고용량으로 6주간 사용해도 위식도 역류 증상이 호전되지 않거나, 24시간 식도 산도 검사에서 위산 역류가 확인되지 않는 경우에 호산구성 식도염을 진단하기도 했다.[8][9] 최근에는 내시경 검사에서 호산구성 식도염이 의심되는 환자에게 경험적으로 8주간 고용량 PPI를 투여한 후 다시 내시경 검사를 하여 GERD를 배제하는 방법을 사용하기도 한다.[38]
하지만 내시경 소견만으로 호산구성 식도염을 확진할 수는 없다. 내시경에서 특징적인 소견이 보이더라도 환자가 관련된 임상 증상을 느끼지 않는다면 진단하기 어렵다.[38][45][4][12]
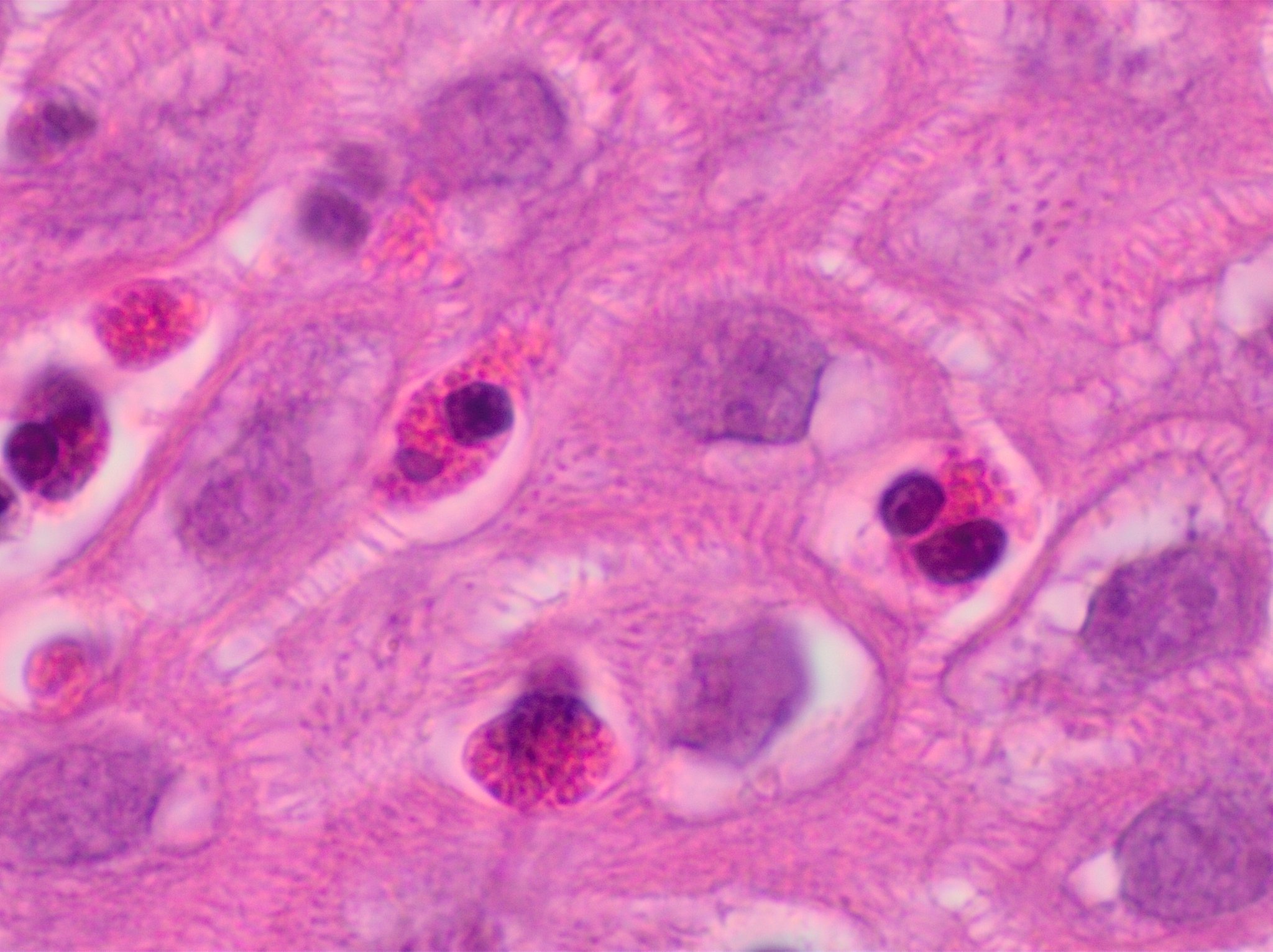
4. 2. 조직 검사
호산구성 식도염(EoE) 진단을 확정하기 위해서는 내시경 검사 중 식도 점막 조직을 떼어내는 생검이 필수적이다.[6] 식도 생검을 동반한 내시경 검사는 호산구성 식도염 진단에 있어 민감도 100%, 특이도 96%로 매우 정확한 검사 방법이다.[6]생검 검체는 점막이 눈으로 보기에 정상이어도 몸쪽(근위부), 중간, 먼쪽(원위부) 식도 모두에서 채취해야 한다. 내시경에서 염증이나 다른 이상 소견이 보이는 부위가 있다면 그곳에서도 추가로 조직을 얻어야 한다.[35][1] 진단의 정확도를 높이기 위해서는 최소 네 개 이상의 생검 검체가 필요하며,[38][46] 일반적으로 근위부와 원위부 식도에서 각각 2~4개의 생검을 채취하는 것이 권장된다.[1]
채취한 조직은 H&E 염색 등을 통해 현미경으로 관찰하여 상피 내 호산구의 수를 확인한다.[36][41]

현미경 고배율 시야(HPF, high-power field)당 최소 15개 이상의 호산구가 관찰되면 호산구성 식도염으로 진단할 수 있는 중요한 기준이 된다.[36][41][2][8] 호산구성 식도염의 확진은 고용량 양성자 펌프 억제제(PPI) 치료를 8주간 시행했음에도 불구하고 식도 생검에서 호산구가 여전히 15개/HPF 이상 존재하는 것을 기반으로 한다.[38][6]
위식도 역류 질환(GERD)에서도 식도, 특히 먼쪽 식도에 호산구 침윤이 증가할 수 있지만, 일반적으로 호산구 수가 15개/HPF 미만으로 호산구성 식도염보다는 그 수가 적다.[38] 따라서 호산구성 식도염을 정확히 진단하기 위해서는 위식도 역류 질환, 식도암, 무이완증, 과호산구 증후군, 감염, 크론병, 약물 알레르기 및 약물 식도염, 이식편대숙주반응 등 식도에 호산구 수를 증가시킬 수 있는 다른 질환들을 반드시 배제해야 한다.[2][6]
조직 검사에서는 다수의 호산구 외에도 심하게 탈과립된 호산구, 기저층의 확장, 미세농양 등이 함께 관찰될 수 있다.[36][41][2][8]
내시경 검사 자체에서 식도벽에 능선, 고랑, 여러 개의 동심원 고리(주름진 식도 또는 고양이 식도와 비슷하여 고양이형 식도라고도 불림), 하얀 삼출물 등이 관찰될 수 있는데, 이는 호산구성 식도염을 시사하는 소견이므로 조직 검사 부위를 결정하는 데 도움이 될 수 있다.[44][11] 하지만 이러한 내시경 소견만으로는 확진할 수 없으며, 임상 증상이 없는 환자에서는 진단적 가치가 떨어진다.[38][45][4][12]
4. 3. 감별 진단
호산구성 식도염을 정확히 진단하기 위해서는 비슷한 증상을 보일 수 있는 다른 여러 질환들을 배제하는 과정이 필요하다.[36][2] 주요 감별 대상 질환은 다음과 같다.과거 호산구성 식도염 진단 패널(EE Diagnostic Panel)이 개발되기 전에는, 위식도 역류 질환 (GERD)을 먼저 배제해야만 호산구성 식도염으로 진단할 수 있었다. 이를 위해 6주 동안 하루 두 번 고용량의 양성자 펌프 억제제 (PPI)를 투여하여 치료 반응이 없는지 확인하거나, 보행성 식도 산도 검사 결과가 음성인지 확인하는 과정을 거쳤다.[41][42][8][9]
방사선학적으로 '고리형 식도'(ringed esophagus)라는 용어는 상부위장관조영술이나 바륨 연하 검사에서 호산구성 식도염의 소견을 나타낼 때 사용되며, 이는 위 식도 역류 시 간혹 보이는 일시적인 가로 주름인 '고양이형 식도'(feline esophagus)와 구분된다.[43][10]
4. 4. 알레르기 평가
모든 호산구성 식도염 환자에게 다른 아토피 질환에 대한 개인 및 가족력을 자세히 확인하는 것이 권장된다.[38][4] 피부단자시험을 이용한 알레르기 감작 검사나 알레르겐 특이 IgE 혈액 검사를 고려해 볼 수 있다. 이는 즉각적인 IgE 매개 음식 알레르기 증상이 있는 호산구성 식도염 환자의 10~20%에게 특히 중요하다.[47][13] 또한, 지연성 비-IgE(세포 매개) 알레르기 반응을 확인하기 위해 아토피 첩포검사가 사용되기도 한다.[4]5. 치료
호산구성 식도염 치료의 목표는 식도의 호산구 수를 줄여 증상을 조절하고, 그에 따라 식도의 염증도 감소시키는 것이다. 주요 관리 방법으로는 식단 조절, 약물 요법, 내시경 치료가 있다.[48][15]
알레르기가 질병 발생에 관여하는 것으로 여겨지기 때문에 식단 조절이 효과적일 수 있으며, 특정 음식을 배제하는 제거 식단이나 아미노산 기반의 성분식사 등이 시도된다. 약물 요법으로는 PPI나 코르티코스테로이드, 두필루맙 등이 사용될 수 있다. 음식으로 인해 식도가 막힌 경우에는 내시경을 통해 제거하며, 식도 협착이 있는 경우 식도확장술을 시행하기도 한다.[48][53][15] 각 치료법에 대한 자세한 내용은 하위 문서를 참고할 수 있다.
5. 1. 식단 조절
호산구성 식도염 발생에는 알레르기가 관여하는 것으로 여겨지므로 식단 조절이 효과적일 수 있다. 그러나 어떤 음식이 질병을 유발하는지 알아내기 위한 알레르기 검사는 효과적이지 않다. 특정 알레르기 유발 음식이나 물질이 확인되지 않은 경우, 우선 여러 종류의 식품 제거 식단을 시도해 볼 수 있다.[48][49]일반적으로 다음과 같은 제거 식단들이 사용되며, 보통 6주 동안 해당 식품군 섭취를 중단한다.[49]
6가지 식품군을 모두 제거하는 것부터 시작하여 반응을 보면서 하나씩 다시 식단에 포함시키는 하향식(top-down) 접근법은 너무 제한적일 수 있다. 반면, 4가지나 2가지 식품군 제거 식단은 실천하기가 훨씬 수월하며, 식단 제한에 좋은 반응을 보일 경우 내시경 검사를 여러 번 시행할 필요성을 줄일 수 있다는 장점이 있다.[49]
식품 제거 식단의 대안으로는 아미노산 기반의 식단인 성분 식사(elemental diet)가 있다.[48][50] 성분 식사는 소아에서 거의 90%, 성인에서 70%에 달하는 높은 반응률을 보이며, 증상이 빠르게 완화되고 조직학적 관해(현미경으로 관찰했을 때 염증이 사라진 상태)를 유도하는 효과가 있다. 이 식이요법은 4주에서 6주 동안 아미노산 기반의 액체 제형만을 섭취한 후, 조직 검사를 통해 반응을 평가한다. 관해가 확인되면 이전에 제한했던 음식들을 천천히 다시 식단에 포함시킨다.[51]
5. 2. 약물 치료
호산구성 식도염으로 진단되면, 첫 단계 치료로 양성자 펌프 억제제(PPI)를 시험적으로 사용해 볼 수 있다. 예를 들어, 에소메프라졸 20~40mg을 하루 1~2회 입으로 복용하는 방식이다. 에소메프라졸 성분의 약 중 '넥시움®'과 같이 물에 녹여 먹을 수 있는 형태는 알약을 삼키기 어려운 환자에게 도움이 될 수 있다.[52] PPI 치료로 증상이 나아진 환자는 다시 내시경 검사와 식도 조직 검사를 받아야 한다. 이때 조직 검사에서 호산구가 발견되지 않으면, 위식도 역류 질환(GERD)에 호산구증가증이 동반되었거나, 원인이 명확하지 않은 PPI 반응성 호산구성 식도염으로 진단될 수 있다. 만약 PPI 치료 후에도 증상이 계속되고 조직 검사에서도 호산구가 여전히 관찰된다면, 면역 반응과 관련된 호산구성 식도염으로 진단할 수 있다.[48][53][15][19]면역 매개 호산구성 식도염의 약물 치료에는 주로 코르티코스테로이드가 사용된다. 경구용 전신 코르티코스테로이드는 호산구성 식도염 치료에 효과가 있는 것으로 알려진 초기 치료법 중 하나였다. 이 약물을 사용한 환자의 약 95%에서 증상이 개선되고 조직 검사 결과도 좋아지는 것으로 보고되었다. 하지만 치료를 중단하면 코르티코스테로이드를 사용했던 환자의 90%에서 증상이 다시 나타나는 한계가 있다.[54][20]
최근에는 새로운 치료 선택지가 등장했다. 2022년 5월, 미국 식품의약국(FDA)은 두필루맙(상품명: 듀피젠트)을 호산구성 식도염 치료제로 처음 승인했다. 이 약은 12세 이상의 성인 및 청소년 환자 중 체중이 최소 40kg 이상인 경우 사용할 수 있다.[55][21]
5. 3. 내시경 치료
음식으로 인해 식도가 막힌 환자의 경우, 상부 유연내시경을 사용하여 걸린 음식을 제거하는 것이 권장된다.[48][15] 식도 협착이 있는 호산구성 식도염 환자에게는 식도확장술을 시행할 수 있다. 다만, 식도확장술은 환자가 식단 조절이나 약물 치료를 충분히 받고 그 효과를 확인한 후에 시행하는 것이 일반적이다. 치료의 목표는 환자의 증상을 개선하고 생검에서 확인되는 호산구 수를 줄이는 것이다.[48][53][15][19] 식도확장술은 시술이 필요한 환자의 약 84%에서 효과가 있는 것으로 보고되었다.[56][22]식도확장술은 식도 협착이나 식도 고리(ring)를 안전하게 넓히는 방법이다. 점진적으로 식도를 넓히기 위해 단계별 풍선 카테터를 사용하는 것이 권장된다. 시술 후에는 흉통을 느낄 수 있으며, 드물게 식도 천공이나 출혈과 같은 합병증의 위험이 있으므로 주의가 필요하다.[48][15]
6. 위험 인자
모든 호산구성 식도염(EoE) 환자에게 다른 아토피 질환의 병력 및 가족력 조사가 권장된다.[38] EoE 발병에는 유전적 요인과 여러 환경 요인이 복합적으로 작용하는 것으로 알려져 있다. EoE의 유병률은 시간이 지남에 따라 증가하는 추세를 보이며, 이러한 증가 원인을 밝히기 위한 연구가 진행 중이다.[57][23]
EoE의 주요 위험 인자는 다음과 같다.
- 자가면역질환: 염증성 장질환이나 류마티스 관절염과 같은 자가면역질환을 가진 경우 EoE 발병 위험이 높아진다.[58][24] 복강병과 같은 다른 자가면역 상태의 환자들도 EoE 발병 위험이 높다.[59][25]
- 환경적 요인: 건조하거나 추운 기후, 또는 인구 밀도가 낮은 지역에 거주하는 경우 EoE 발병률이 더 높은 것으로 알려져 있다.[60][61][26][27]
- 음식 알레르기: 음식 알레르겐은 EoE의 주요 위험 인자이며, 때로는 질병의 직접적인 원인이 되기도 한다. 식단에서 해당 음식 알레르겐을 제거하면 EoE 증상이 호전되는 경우가 많다.[62][28]
7. 역학
호산구성 식도염의 유병률은 시간이 지남에 따라 꾸준히 증가하여 현재 10,000명당 1명에서 6명 수준으로 보고된다.[29] 유병률은 성별과 인종에 따라 차이를 보이는데, 주로 백인 남성에게서 많이 발생하는 경향이 있다.[30]
성별(남성 우세) 및 인종(주로 백인) 외에도 호산구성 식도염의 주요 위험 인자로는 아토피 및 다른 알레르기 질환이 꼽힌다. 이 외에도 유전적, 환경적 요인이 복합적으로 작용하는 것으로 알려져 있다. 구체적인 위험 요인으로는 다음과 같은 것들이 있다.[31][32]
- 위장벽 기능의 변화 (예: GERD)
- 음식 등 입을 통해 들어오는 항원에 노출되는 방식과 시기의 변화
- 어린 시절 미생물에 대한 노출 부족
- 체내 마이크로바이옴(미생물 군집)의 변화
특히 마이크로바이옴 변화와 관련하여, 활동성 호산구성 식도염을 앓는 어린이와 그렇지 않은 어린이를 비교한 연구에서는 헤모필루스 속 세균의 상대적인 양이 질병 활동성과 양의 상관관계를 보인다는 결과가 나왔다. 이는 어린이의 침 속 마이크로바이옴 분석이 호산구성 식도염 진단을 위한 비침습적인 지표로 활용될 수 있음을 시사한다.[31][32]
8. 역사
호산구성 식도염은 1978년에 처음 보고되었으며[67][33], 1990년대 초반에 들어서면서 뚜렷한 질병으로 인식되기 시작했다.[68][34]
참조
[1]
간행물
ACG clinical guideline: Evidenced based approach to the diagnosis and management of esophageal eosinophilia and eosinophilic esophagitis (EoE)
2013-05
[2]
간행물
Eosinophilic esophagitis
http://www.nature.co[...]
[3]
간행물
Basic pathogenesis of eosinophilic esophagitis
2008-01
[4]
간행물
Eosinophilic esophagitis
https://linkinghub.e[...]
2009-02
[5]
간행물
The association between celiac disease and eosinophilic esophagitis in children and adults
2013-05
[6]
간행물
Eosinophilic Esophagitis: A Review
2021-10-05
[7]
간행물
Diagnostic Criteria for Eosinophilic Esophagitis: A 5-year Retrospective Review in a Pediatric Population
2009-07
[8]
간행물
Pathophysiology of Eosinophilic Esophagitis
2018-01
[9]
간행물
Eosinophilic esophagitis
2004-08
[10]
간행물
Eosinophilic esophagitis in children and adults: a systematic review and consensus recommendations for diagnosis and treatment
2007-10
[11]
간행물
Idiopathic eosinophilic esophagitis in adults: the ringed esophagus
2005-07
[12]
간행물
Feline esophagus and gastroesophageal reflux
2010-04
[13]
간행물
An allergist's perspective to the evaluation of Eosinophilic Esophagitis
2015-10
[14]
간행물
Eosinophilic esophagitis: diagnostic tests and criteria
2012-07
[15]
간행물
Eosinophilic Esophagitis
https://www.ncbi.nlm[...]
StatPearls Publishing
2020
[16]
간행물
Update on dietary therapy for eosinophilic esophagitis in children and adults
2017-02
[17]
간행물
The Six-Food Elimination Diet for Eosinophilic Esophagitis Increases Grocery Shopping Cost and Complexity
http://link.springer[...]
2016-12
[18]
간행물
Eosinophilic esophagitis: From pathophysiology to treatment
2015
[19]
간행물
Guidelines on eosinophilic esophagitis: evidence-based statements and recommendations for diagnosis and management in children and adults
2017-04
[20]
간행물
Primary Eosinophilic Esophagitis in Children: Successful Treatment with Oral Corticosteroids
1998-04
[21]
웹사이트
FDA Approves First Treatment for Eosinophilic Esophagitis, a Chronic Immune Disorder
https://www.fda.gov/[...]
2022-05-20
[22]
간행물
Role of endoscopic esophageal dilation in managing eosinophilic esophagitis: A systematic review and meta-analysis
2017-04
[23]
간행물
Epidemiology and Natural History of Eosinophilic Esophagitis
2018-01
[24]
간행물
Risk of Autoimmunity in EoE and Families: A Population-Based Cohort Study
https://pubmed.ncbi.[...]
2016-07
[25]
간행물
Increased Risk of Esophageal Eosinophilia and Eosinophilic Esophagitis in Patients With Active Celiac Disease on Biopsy
2015-08
[26]
간행물
Prevalence of esophageal eosinophilia varies by climate zone in the United States
2012-05
[27]
간행물
Esophageal eosinophilia is increased in rural areas with low population density: results from a national pathology database
2014-05
[28]
간행물
Elemental diet induces histologic response in adult eosinophilic esophagitis
https://pubmed.ncbi.[...]
2013-05
[29]
간행물
Epidemiology of eosinophilic esophagitis over three decades in Olmsted County, Minnesota
2009-10
[30]
간행물
Epidemiology of eosinophilic esophagitis
2014-06
[31]
간행물
Eosinophilic esophagitis
2018-09
[32]
간행물
The Salivary Microbiome Is Altered in Children With Eosinophilic Esophagitis and Correlates With Disease Activity
2019
[33]
간행물
Eosinophilic esophagitis: Current concepts in diagnosis and treatment
2019-08
[34]
간행물
AGA Institute and the Joint Task Force on Allergy-Immunology Practice Parameters Clinical Guidelines for the Management of Eosinophilic Esophagitis
2020-05
[35]
간행물
ACG clinical guideline: Evidenced based approach to the diagnosis and management of esophageal eosinophilia and eosinophilic esophagitis (EoE)
https://dx.doi.org/1[...]
2013-05
[36]
저널
Eosinophilic esophagitis
http://www.nature.co[...]
[37]
저널
Basic pathogenesis of eosinophilic esophagitis
2008-01
[38]
저널
Eosinophilic esophagitis
https://linkinghub.e[...]
2009-02
[39]
저널
The association between celiac disease and eosinophilic esophagitis in children and adults
2013-05
[40]
저널
Pathophysiology of Eosinophilic Esophagitis
2018-01
[41]
저널
Eosinophilic esophagitis
2004-08
[42]
저널
Eosinophilic esophagitis in children and adults: a systematic review and consensus recommendations for diagnosis and treatment
https://archive.org/[...]
2007-10
[43]
저널
Idiopathic eosinophilic esophagitis in adults: the ringed esophagus
https://archive.org/[...]
2005-07
[44]
저널
Feline esophagus and gastroesophageal reflux
2010-04
[45]
저널
Diagnostic Criteria for Eosinophilic Esophagitis: A 5-year Retrospective Review in a Pediatric Population
https://dx.doi.org/1[...]
2009-07
[46]
저널
The Optimal Number of Biopsy Fragments to Establish a Morphologic Diagnosis of Eosinophilic Esophagitis
https://dx.doi.org/1[...]
2014-04
[47]
저널
An allergist's perspective to the evaluation of Eosinophilic Esophagitis
2015-10
[48]
저널
Eosinophilic Esophagitis
https://www.ncbi.nlm[...]
StatPearls Publishing
2020-10-23
[49]
저널
Update on dietary therapy for eosinophilic esophagitis in children and adults
2017-02
[50]
저널
The Six-Food Elimination Diet for Eosinophilic Esophagitis Increases Grocery Shopping Cost and Complexity
http://link.springer[...]
2016-12
[51]
저널
Eosinophilic esophagitis: From pathophysiology to treatment
http://www.wjgnet.co[...]
2015
[52]
웹인용
Drug Product Database Online Query
https://health-produ[...]
2012-04-25
[53]
저널
Guidelines on eosinophilic esophagitis: evidence-based statements and recommendations for diagnosis and management in children and adults
2017-04
[54]
저널
Primary Eosinophilic Esophagitis in Children: Successful Treatment with Oral Corticosteroids
https://dx.doi.org/1[...]
1998-04
[55]
웹인용
FDA Approves First Treatment for Eosinophilic Esophagitis, a Chronic Immune Disorder
https://www.fda.gov/[...]
2022-05-20
[56]
저널
Role of endoscopic esophageal dilation in managing eosinophilic esophagitis: A systematic review and meta-analysis
2017-04
[57]
저널
Epidemiology and Natural History of Eosinophilic Esophagitis
2018-01
[58]
저널
Risk of Autoimmunity in EoE and Families: A Population-Based Cohort Study
https://pubmed.ncbi.[...]
2016-07
[59]
저널
Increased Risk of Esophageal Eosinophilia and Eosinophilic Esophagitis in Patients With Active Celiac Disease on Biopsy
2015-08
[60]
저널
Prevalence of esophageal eosinophilia varies by climate zone in the United States
2012-05
[61]
저널
Esophageal eosinophilia is increased in rural areas with low population density: results from a national pathology database
2014-05
[62]
저널
Elemental diet induces histologic response in adult eosinophilic esophagitis
https://pubmed.ncbi.[...]
2013-05
[63]
저널
Epidemiology of eosinophilic esophagitis over three decades in Olmsted County, Minnesota
2009-10
[64]
저널
Epidemiology of eosinophilic esophagitis
2014-06
[65]
저널
Eosinophilic esophagitis
2018-09
[66]
문서
Hiremath, G., Shilts, M. H., Boone, H. H., Correa, H., Acra, S., Tovchigrechko, A., Rajagopala, S. V., & Das, S. R. (2019). The Salivary Microbiome Is Altered in Children With Eosinophilic Esophagitis and Correlates With Disease Activity. Clinical and translational gastroenterology, 10(6), e00039. https://doi.org/10.14309/ctg.0000000000000039
[67]
저널
Eosinophilic esophagitis: Current concepts in diagnosis and treatment
2019-08
[68]
저널
AGA Institute and the Joint Task Force on Allergy-Immunology Practice Parameters Clinical Guidelines for the Management of Eosinophilic Esophagitis
2020-05
본 사이트는 AI가 위키백과와 뉴스 기사,정부 간행물,학술 논문등을 바탕으로 정보를 가공하여 제공하는 백과사전형 서비스입니다.
모든 문서는 AI에 의해 자동 생성되며, CC BY-SA 4.0 라이선스에 따라 이용할 수 있습니다.
하지만, 위키백과나 뉴스 기사 자체에 오류, 부정확한 정보, 또는 가짜 뉴스가 포함될 수 있으며, AI는 이러한 내용을 완벽하게 걸러내지 못할 수 있습니다.
따라서 제공되는 정보에 일부 오류나 편향이 있을 수 있으므로, 중요한 정보는 반드시 다른 출처를 통해 교차 검증하시기 바랍니다.
문의하기 : help@durumis.com
