혈관외과
"오늘의AI위키"의 AI를 통해 더욱 풍부하고 폭넓은 지식 경험을 누리세요.
1. 개요
혈관외과는 혈관 질환을 다루는 외과 분야로, 1970년대에 전문 분야로 인정받기 시작했다. 혈관외과는 동맥, 정맥, 림프관과 관련된 질환을 진단하고 치료하며, 수술, 혈관 내 치료, 약물 치료 등 다양한 방법을 사용한다. 초기에는 동맥 및 정맥 수술에 중점을 두었으나, 현재는 최소 침습적 기술이 강조되고 있다. 혈관외과는 대동맥류, 동맥 박리, 말초 동맥 질환, 정맥류, 심부 정맥 혈전증 등 다양한 혈관 질환을 관리하며, 혈액 투석 접근 관리 및 혈관 외상 관리에도 관여한다. 미국, 호주, 뉴질랜드 등 여러 국가에서 혈관외과는 독립적인 전문 분야로 인정받고 있으며, 관련 학회와 수련 과정을 통해 전문 인력을 양성하고 있다.
혈관 조영술, 스텐트 삽입술, 비수술적 정맥류 치료인 경화 요법, 정맥 내 레이저 치료를 통한 동맥 및 정맥 질환 치료는 많은 제1세계 국가에서 대수술을 대체하고 있다. 이러한 시술은 수술에 필적하는 합리적인 결과를 내며, 입원 기간이 짧고(대부분의 경우 당일 또는 하룻밤) 이환율과 사망률이 낮다는 장점이 있다.[49] 혈관 내 동맥 시술의 내구성은 일반적으로 양호하며, 특히 노인 환자에서 발생하는 동맥 질환과 일반적으로 허혈성 심장 질환과 같은 환자의 심각한 동반 질환이 동시에 발생하는 일반적인 임상 사용의 맥락에서 볼 때 더욱 그렇다. 입원 기간 단축과 이환율 감소로 인한 비용 절감 효과는 상당하지만, 영상 장비, 전용 시술실 구축 및 인력, 임플란트 기기 자체의 높은 비용으로 인해 어느 정도 균형을 이루고 있다.[5] 젊은 환자와 정맥 질환에 대한 이점은 아직 근거가 다소 부족하지만 환자 선호도, 의료 보험 회사 비용, 적어도 중기적으로 비슷한 효능을 입증한 임상시험에 의해 비수술 치료 선택지로 나아가는 추세가 점점 강해지고 있다.
2. 역사

초기 수술 기법 개발로 유명한 러시아 외과의 니콜라이 코로트코프, 최소 침습 혈관 성형술(1964년)을 발명한 미국의 중재 방사선 전문의 찰스 시어도어 도터, 혈관외과가 전문 분야로 인정받는 데 기여한 호주 의사 로버트 패튼 등이 초기 혈관외과를 이끈 선구자로 꼽힌다. 샌프란시스코의 에드윈 와일리는 혈관 수술에 대한 고급 교육을 개발하고 육성하여 1970년대 미국에서 혈관 수술이 전문 분야로 인정받도록 추진한 미국의 초기 개척자 중 한 명이다. 혈관외과 분야에서 가장 유명한 역사적 인물은 혈관 봉합 기술로 1912년 노벨상을 수상한 외과의사 알렉시 캐럴이다.
2. 1. 초기 선구자
초기 수술 기법 개발로 유명한 러시아 외과의 니콜라이 코로트코프, 최소 침습 혈관 성형술(1964년)을 발명한 미국의 중재 방사선 전문의 찰스 시어도어 도터, 혈관외과가 전문 분야로 인정받는 데 기여한 호주 의사 로버트 패튼 등이 초기 혈관외과를 이끈 선구자로 꼽힌다. 샌프란시스코의 에드윈 와일리는 혈관 수술에 대한 고급 교육을 개발하고 육성하여 1970년대 미국에서 혈관 수술이 전문 분야로 인정받도록 추진한 미국의 초기 개척자 중 한 명이다. 혈관외과 분야에서 가장 유명한 역사적 인물은 혈관 봉합 기술로 1912년 노벨상을 수상한 외과의사 알렉시 캐럴이다.
2. 2. 발전
혈관외과는 1990년대 초부터 크게 발전하였으나, 당시까지는 여전히 동맥 및 정맥 수술에 기반을 두고 있었다. 현재는 수술 대신 최소 침습적 대안이 상당히 강조되고 있다.[47] 연속적 혈관확장을 이용한 혈관 성형술을 개발한 중재적 방사선과 의사 찰스 도터와 같은 사람들이 혈관외과를 초기에 개척했다.
토마스 J. 포가티는 막힌 혈관에서 혈전을 제거하기 위한 풍선 카테터를 발명했으며, 이는 혈관 내 혈관 성형술의 최종 모델로 사용되었다. 이 기술은 중재영상의학, 혈관 수술, 중재심장학 등 다양한 분과간의 협력을 통해 이후로도 발전을 거듭했다. 이러한 혈관 수술 분야를 혈관 내 수술 또는 중재적 혈관 영상의학이라고 하며, 일부 전문의는 혈관외과 의사라는 기본 자격에 이 분야를 추가하기도 한다. 혈관 내 및 정맥 내 시술(예: EVAR)은 이제 혈관외과 진료의 대부분을 차지하기도 한다.
인체에서 가장 큰 동맥인 대동맥의 치료는 기원후 2세기에 다양한 동맥류 수술을 처음 시행한 그리스 외과의사 안틸루스로 거슬러 올라간다. 현대의 대동맥 질환 치료는 마이클 드바키와 덴튼 쿨리가 처음 개발하고 발전시켰다. 1955년 드바키와 쿨리는 최초로 흉부대동맥류를 동종 이식편으로 대체하는 수술을 시행했다. 1958년, 그들은 대동맥류 수술에 혁명을 일으킨 다크론 이식편을 사용하기 시작했다. 또한 이들은 팔머리동맥의 제방향(antegrade) 관류를 사용하여 오름대동맥을 재건하기 위한 심폐우회술을 최초로 시행했다.
드바키 박사의 동료 중 한 명인 에드워드 디트리히는 나중에 혈관 내 수술의 특징이 된 최소 침습 기법을 개척했다.[2] 디트리히는 이후 1998년 아브라조 애리조나 심장 병원을 설립하고 1998년부터 2010년까지 의료 책임자로 재직했다. 2000년에 디에트리히는 파열된 복부 대동맥류에 대한 최초의 혈관 내 동맥류 치료(EVAR)를 시행했다. 디트리히는 애리조나 심장병원에서 벤카테쉬 라마이아를 포함한 혈관 내 수술 분야의 미래 리더를 양성했다,[3] 그는 2010년 이 병원의 의료 이사로 그의 뒤를 이었다.[4]
혈관 내 수술은 일반 외과에서 시작되었으나, 이후 특수 분과로 점차 분리되었다. 대부분의 혈관외과 전문의는 이제 혈관 수술만 전문적으로 진료하며, 마찬가지로 일반 외과의사는 더 큰 혈관 수술이나 대부분의 혈관 내 시술에 대한 교육을 더 이상 받거나 시행하지 않는다. 최근 미국에서는 전문 혈관외과 학회와 수련 프로그램에서 혈관외과를 별도의 전문 분야로 분리하여 자체 수련 프로그램, 회의 및 인증을 시행하고 있다. 주목할 만한 학회로는 미국 혈관외과 학회(SVS), 호주 및 뉴질랜드 혈관외과학회(ANZSVS) 등이 있다. 지역 학회도 존재한다(예: 뉴사우스웨일스 혈관 및 멜버른 혈관외과학회(MVSA)). 더 큰 규모의 외과 학회에서는 산하에 전문 외과 학회를 적극적으로 분리하고 장려한다(예: 왕립 호주 외과의사 대학(RACS)).
2. 3. 한국의 혈관외과
3. 현재
미국의 최근 추세는 개인 혈관 수술 클리닉과 연계한 독립형 당일 혈관 조영술 시설로, 대부분의 동맥 혈관 내 사례를 편리하게 치료하고 전체 지역 사회 비용을 줄일 수 있다. 비수술 정맥 치료를 위한 유사한 비병원 치료 시설은 몇 년 동안 존재했으며 현재 많은 국가로 널리 보급되고 있다.
영국 국민 건강 서비스(NHS) 잉글랜드는 2018 년 영국 전역의 70 개 혈관 수술 부위를 모두 검토하여 처음으로 제대로 받기 프로그램의 일환으로 수행했다. 이 검토에서는 혈관 허브가 연간 최소 60건의 복부 대동맥류 시술과 40건의 경동맥 내막 절제술을 수행해야 한다고 명시했다. 12개 병원이 두 가지 목표를 모두 달성하지 못했고, 더 많은 병원이 목표 중 하나를 달성하지 못했다. 소수의 센터에 혈관 수술을 집중하는 프로그램이 진행 중이다.[6]
혈관외과가 다루는 수술에는 대동맥, 경동맥, 장골, 대퇴부, 혈관 외상, 정강동맥을 포함한 하지의 동맥 수술이 있다. 메이-터너 증후군이나 정맥류와 같은 질환을 대상으로 한 정맥 수술도 혈관외과에서 다룬다. 일부 지역에서는 혈관외과가 투석 접근 수술과 이식 수술까지 포괄하기도 한다.
4. 혈관 질환 관리

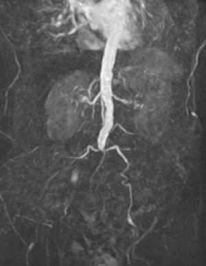
혈관외과는 관상동맥 및 두개 내 질환을 제외한 동맥 질환을 담당한다.[7] 질병은 주로 협착 (동맥계 좁아짐)이나 동맥류 (비정상적 팽창)으로 인해 발생한다. 죽상동맥경화증은 동맥 내강 협착의 가장 흔한 원인이다.[7] 증상이 있는 협착은 동맥 박리의 합병증으로 발생할 수 있으며, 섬유근형성이상, 방사선 유도 섬유증, 모험성 낭성 질환 등도 덜 흔한 원인이다.[7]
동맥류는 조직학적 층을 유지하는 동맥의 팽창이며, 방추형, 낭상형 또는 이 둘의 조합일 수 있다. 세 개의 조직학적 층을 포함하지 않는 동맥 팽창은 가성 동맥류로 간주된다. 이소성 쇄골하 동맥, 슬와 동맥 포착 증후군, 지속성 좌골 동맥 등은 혈관 외과 의사가 관리하는 증상성 질환을 유발하는 선천성 혈관 이상이다.[8]
혈관 외과 의사는 생활 방식 개선, 약물, 혈관 내 치료 및 수술 등 다양한 방법으로 동맥 질환을 치료한다.
;복부
복부 대동맥류(AAA)는 복강에 국한된 대동맥의 동맥류성 확장이다. 동맥류는 주로 무증상이며 신장 아래에 위치한다. 흡연 경력과 같은 위험 요인이 있는 환자에게 우연히 발견되거나 선별 검사에서 발견된다. 직경 5cm 미만인 동맥류는 연간 파열 위험이 1% 미만이다. 크기 기준을 충족하면 대동맥 치환술 또는 EVAR로 치료할 수 있다.
;흉부
흉부 대동맥류는 흉부에 위치한다. 내림대동맥의 동맥류는 흉부 혈관 내 대동맥 복구술 또는 TEVAR로 치료할 수 있다. 오름대동맥 관련 동맥류 치료는 일반적으로 심장 외과 의사의 영역이지만, 곧 출시될 혈관 내 기술은 일부 환자에게 더 최소 침습적인 접근 방식을 제공할 수 있다.
;흉복부
흉복부 동맥류는 흉부와 복강을 모두 포함하는 동맥류이다. '''크로포드 분류'''는 흉복부 동맥류의 다섯 가지 유형을 설명한다.[9]
대동맥 외 다른 부위 동맥류도 혈관 외과 의사가 치료한다.
;내장 동맥
내장 동맥 동맥류에는 신동맥, 비장 동맥, 복강 동맥, 간 동맥에 국한된 동맥류가 포함된다. 비장 동맥 동맥류가 가장 흔하다.[10]
수술 적응증은 동맥에 따라 다르다. 신동맥 및 비장 동맥 동맥류는 3cm 이상이거나 가임기 여성의 경우 크기에 관계없이 수술을 권장한다. 복강 동맥 및 간 동맥 동맥류는 2cm 이상일 때 수술이 필요하다. 상장간막 동맥 동맥류는 발견 즉시 크기에 관계없이 수술해야 한다.[11]
;슬와 동맥
슬와 동맥 동맥류는 무릎 뒤 슬와 동맥의 동맥류이다. 복부 동맥류와 달리 파열보다는 혈전 색전증으로 인한 급성 사지 허혈 증상으로 나타나는 경우가 많다. 2cm 이상 무증상 슬와 동맥 동맥류 환자는 여러 요인에 따라 혈관 우회술 또는 혈관 내 폐쇄술을 받을 수 있다.[12]
동맥 박리는 동맥벽의 가장 안쪽 층에 파열이 발생하여 혈액이 층 사이로 흐르는 현상이다. 대동맥 박리, 관상 동맥 박리, 경동맥 박리, 추골 동맥 박리, 만성 폐 고혈압의 합병증인 폐동맥 박리 등이 있다.[13]
A형 박리는 심장 외과 의사가, B형 박리는 혈관 외과 의사가 주로 관리한다. B형 대동맥 박리의 가장 흔한 위험 인자는 고혈압이며, 1차 치료는 심박수와 혈압을 낮추는 항충격 요법이다.
초기 내과적 관리에 실패하거나 대동맥 주요 분지가 연루된 경우, B형 박리에 대해 혈관 수술이 필요할 수 있다. 치료에는 경동맥-경동맥 우회술, 경동맥-쇄골하 동맥 우회술 또는 쇄골하 동맥-경동맥 전위술 등 체외 우회술을 동반하거나 동반하지 않는 흉부 혈관 내 대동맥 수술(TEVAR)이 포함될 수 있다.[14]
내장 동맥 박리는 상장간막 동맥, 복강 동맥, 신 동맥, 간 동맥 등을 포함한다. 대동맥 박리의 연장선상에 있으면 대동맥 치료와 동시에 관리된다. 고립된 경우, 내장 동맥 박리는 환자의 최대 3분의 1에서 우연히 발견되며, 내과적으로 관리될 수 있다. 장기 손상이 발생하면 외과적 치료가 필요하며, 치료 전략은 합병증, 수술 능력, 환자 선호도에 따라 달라진다.
장간막 허혈은 상장간막동맥(SMA)의 급성 또는 만성 폐쇄로 발생한다. 상장간막동맥은 복부 대동맥에서 기원하며, 원위 십이지장에서 횡행 결장의 2/3와 췌장까지 혈액을 공급한다.
만성 장간막 허혈의 증상은 복부 협심증[17]으로, 식후 일정 시간 후 발생하는 복통이다. 이로 인해 식사를 피하고 의도하지 않은 체중 감소가 나타날 수 있다. 최초 외과적 치료는 R.S. 쇼가 1958년 뉴잉글랜드 의학 저널에 게재한 장간막 내막 절제술이다.[18] 이후 혈관 내 혈관 성형술 및 스텐트 삽입 등 최소 침습적 기술 발전이 이루어졌다.
급성 장간막 허혈(AMI)은 상장간막동맥의 갑작스러운 폐쇄로 발생한다.
신장 동맥은 신장에 산소화된 혈액을 공급하고, 신장은 혈액을 여과하며 레닌-안지오텐신 시스템을 통해 혈압을 조절한다. 난치성 고혈압의 원인 중 하나는 신장 동맥의 동맥경화증 (신혈관성 고혈압)이다. 신혈관성 고혈압 진단 후 최대 약물 치료에도 혈압 조절이 안 되면, 혈관외과 의사는 혈관 내 수술 또는 개복 수술 재건술을 제안할 수 있다.

혈관외과 의사는 경동맥 초음파 및 경두개 도플러 등 두개외 및 두개내 순환 관련 비침습적 혈관 영상 판독, 두개외 뇌혈관 질환 치료를 담당한다. 가장 흔한 뇌혈관 질환은 경동맥 협착증으로, 경동맥 좁아짐을 의미하며 증상이 있거나 무증상일 수 있다. 경동맥 협착증은 동맥 내 죽상 경화반 축적으로 인한 죽상 경화증으로 발생한다.
경동맥 협착증의 증상은 일과성 허혈 발작 또는 뇌졸중이다. 경동맥 이중 초음파 검사로 진단하며, 좁아짐 정도와 플라크 특징을 알 수 있다. 치료법은 약물 치료, 경동맥 내막 절제술, 경동맥 스텐트 삽입술이다.
혈관외과학회는 두개외 뇌혈관 질환 관리 임상 진료 지침을 발표한다.[19] 덜 흔한 뇌 순환 관련 질병으로는 추골 기저 동맥 부전, 쇄골하 동맥 도절 증후군, 경동맥 박리, 추골 동맥 박리, 경동맥 소체 종양, 경동맥 동맥류 등이 있다.
말초 동맥 질환 (PAD)는 사지 혈액 공급 동맥의 비정상적 협착이다. 주로 걷는 동안 종아리와 허벅지에 통증이 나타나는 간헐성 파행을 보일 수 있다. 질병 진행 시 휴식 시 통증, 치유되지 않는 상처 등 만성 사지 위협 허혈이 나타날 수 있다. 혈관외과 의사는 PAD 진단, 내과적 관리, 혈관 내 치료, 개방형 수술 치료 전문가이다.[20]
PAD 진단은 병력, 신체 검사, 의학 영상 ( 발목-상완 지수, 도플러 초음파, 컴퓨터 단층 촬영 혈관 조영술 등)을 종합하여 이루어진다. 치료는 개별화되며, 혈관 성형술, 스텐트 삽입, 죽상 동맥 절제술, 내막 절제술, 혈관 우회술 등 내과적 치료, 혈관 내 중재술, 개방형 수술 옵션을 포함한다.
만성 정맥 부전은 하지 정맥계에 혈액이 비정상적으로 고이는 현상으로, 망상 정맥, 정맥류, 만성 부종 및 염증 등을 유발할 수 있다. 여성의 최대 40%, 남성의 17%에 영향을 미친다.[21] 만성 부전이 통증, 부종 및 피부 변화로 이어질 때 이를 '''만성 정맥 질환'''이라고 한다. 만성 정맥 부전(CVI)은 주로 표재 정맥 또는 심부 정맥의 판막 부전 문제인 반면, 혈전 후 증후군(PTS)은 심부 정맥 혈전증의 장기적인 합병증으로 발생할 수 있다는 점에서 구별된다.[22]
혈관외과 의사는 약물 치료, 중재적 시술 및 수술을 포함하여 하지 정맥 질환을 치료할 수 있다. 정맥 궤양은 우나 부츠로 치료할 수 있으며, 표재성 정맥 역류는 고주파 절제술, 레이저 절제술 또는 정맥 박리술로 치료할 수 있다. 심부 정맥의 부전은 내·외부 판막 성형술을 통해 정맥 판막을 재건하여 치료할 수 있다.[23]
정맥류는 표재 정맥이 똑바로 선 자세에서 3mm 이상으로 꼬이고 확장된 상태를 말한다.[24] 이중 초음파 검사 결과, 이러한 정맥에는 부전하거나 고장난 판막이 종종 존재한다. 혈관 치료에는 압박 스타킹, 정맥 절제술 또는 정맥 박리술 등이 포함될 수 있다.
비혈전성 장골 정맥 병변(NIVL)에는 메이-턴너 증후군 (MTS)이 포함되며, 이는 대개 우측 장골 동맥에 의해 좌측 장골 정맥 유출이 압박되어 좌측 다리 불편감, 통증, 부종 및 정맥류를 유발한다. NIVL은 우측 또는 좌측의 장골 정맥 압박을 포함한다.[25] 혈관외과 의사는 환자의 증상에 따라 혈관내 초음파, 정맥 조영술 및 장골 정맥 스텐트 삽입술을 포함한 최소 침습적 진단 및 치료를 하거나, 난치성 사례의 경우 십자 치골 정맥 우회술(Palma 시술)과 같이 영향을 받는 부위의 재건 또는 우회 수술을 할 수 있다.[26][27][28]
심부 정맥 혈전증(DVT)은 심부 정맥 내에 혈전이 형성되는 것이다. DVT는 상지 또는 목정맥보다 하지에서 발생할 가능성이 더 높다. 장골 대퇴 DVT에 대해 특정 시술을 받는 환자에서 혈전 후 증후군 발생률이 감소할 수 있지만, 위험이 없는 것은 아니다.[29][30] 혈관 외과 의사는 정맥 조영술, 혈관 내 흡인 또는 기계적 혈전 제거술, 경우에 따라 약물 기계적 혈전 제거술을 제공할 수 있다. 일부 하지 DVT는 푸른 통증성 혈전증 또는 백색 통증성 혈전증이라고 하는 상태를 유발할 정도로 심각할 수 있으며, 사지 생명을 위협하는 사건이 될 수 있다. 푸른 통증성 혈전증이 나타나면 정맥 혈전 제거술을 포함한 개입이 종종 필요하다.
혈전후 증후군 (PTS)은 심부 정맥 혈전증(DVT)의 장기적인 합병증으로 나타나며, DVT 이후 장기간의 부종과 피부 변화를 특징으로 하는 의학적 상태이다. 가려움증, 통증, 경련, 감각 이상 등의 증상이 나타난다. 환자의 20%에서 50% 사이가 PTS를 경험한다.[31] PTS의 치료 전략에는 압박 스타킹 사용이 포함될 수 있다.
급성 폐색전증(폐 혈전 제거술)의 외과적 관리는 흔하지 않으며, 장기적인 결과가 좋지 않아 대부분 중단되었다. 그러나 최근 수술 기법의 개선으로 인해 부활하고 있으며, 특정 환자에게는 도움이 되는 것으로 여겨진다.[32] 폐고혈압으로 이어지는 만성 폐색전증(‘만성 혈전색전성 고혈압’이라고 알려짐)은 폐 혈전 내막 절제술이라는 수술로 치료한다.[33]
인접 구조물이나 덩어리에 의한 대정맥 압박은 메이-턴너 증후군, 호두까기 증후군, 상대정맥 증후군을 포함한 뚜렷한 증후군을 유발할 수 있다. 치료 방법에는 정맥 조영술, 혈관 내 초음파, 정맥 스텐트 삽입술뿐만 아니라 더 침습적인 개방 정맥 재건술 및 우회술이 있다.
4. 1. 동맥 질환
혈관외과는 관상동맥 및 두개 내 질환을 제외한 동맥 질환을 담당한다.[7] 질병은 주로 협착 (동맥계 좁아짐)이나 동맥류 (비정상적 팽창)으로 인해 발생한다. 죽상동맥경화증은 동맥 내강 협착의 가장 흔한 원인이다.[7] 증상이 있는 협착은 동맥 박리의 합병증으로 발생할 수 있으며, 섬유근형성이상, 방사선 유도 섬유증, 모험성 낭성 질환 등도 덜 흔한 원인이다.[7]
동맥류는 조직학적 층을 유지하는 동맥의 팽창이며, 방추형, 낭상형 또는 이 둘의 조합일 수 있다. 세 개의 조직학적 층을 포함하지 않는 동맥 팽창은 가성 동맥류로 간주된다. 이소성 쇄골하 동맥, 슬와 동맥 포착 증후군, 지속성 좌골 동맥 등은 혈관 외과 의사가 관리하는 증상성 질환을 유발하는 선천성 혈관 이상이다.[8]
혈관 외과 의사는 생활 방식 개선, 약물, 혈관 내 치료 및 수술 등 다양한 방법으로 동맥 질환을 치료한다.
;복부
복부 대동맥류(AAA)는 복강에 국한된 대동맥의 동맥류성 확장이다. 동맥류는 주로 무증상이며 신장 아래에 위치한다. 흡연 경력과 같은 위험 요인이 있는 환자에게 우연히 발견되거나 선별 검사에서 발견된다. 직경 5cm 미만인 동맥류는 연간 파열 위험이 1% 미만이다. 크기 기준을 충족하면 대동맥 치환술 또는 EVAR로 치료할 수 있다.
;흉부
흉부 대동맥류는 흉부에 위치한다. 내림대동맥의 동맥류는 흉부 혈관 내 대동맥 복구술 또는 TEVAR로 치료할 수 있다. 오름대동맥 관련 동맥류 치료는 일반적으로 심장 외과 의사의 영역이지만, 곧 출시될 혈관 내 기술은 일부 환자에게 더 최소 침습적인 접근 방식을 제공할 수 있다.
;흉복부
흉복부 동맥류는 흉부와 복강을 모두 포함하는 동맥류이다. '''크로포드 분류'''는 흉복부 동맥류의 다섯 가지 유형을 설명한다.[9]
대동맥 외 다른 부위 동맥류도 혈관 외과 의사가 치료한다.
;내장 동맥
내장 동맥 동맥류에는 신동맥, 비장 동맥, 복강 동맥, 간 동맥에 국한된 동맥류가 포함된다. 비장 동맥 동맥류가 가장 흔하다.[10]
수술 적응증은 동맥에 따라 다르다. 신동맥 및 비장 동맥 동맥류는 3cm 이상이거나 가임기 여성의 경우 크기에 관계없이 수술을 권장한다. 복강 동맥 및 간 동맥 동맥류는 2cm 이상일 때 수술이 필요하다. 상장간막 동맥 동맥류는 발견 즉시 크기에 관계없이 수술해야 한다.[11]
;슬와 동맥
슬와 동맥 동맥류는 무릎 뒤 슬와 동맥의 동맥류이다. 복부 동맥류와 달리 파열보다는 혈전 색전증으로 인한 급성 사지 허혈 증상으로 나타나는 경우가 많다. 2cm 이상 무증상 슬와 동맥 동맥류 환자는 여러 요인에 따라 혈관 우회술 또는 혈관 내 폐쇄술을 받을 수 있다.[12]
동맥 박리는 동맥벽의 가장 안쪽 층에 파열이 발생하여 혈액이 층 사이로 흐르는 현상이다. 대동맥 박리, 관상 동맥 박리, 경동맥 박리, 추골 동맥 박리, 만성 폐 고혈압의 합병증인 폐동맥 박리 등이 있다.[13]
A형 박리는 심장 외과 의사가, B형 박리는 혈관 외과 의사가 주로 관리한다. B형 대동맥 박리의 가장 흔한 위험 인자는 고혈압이며, 1차 치료는 심박수와 혈압을 낮추는 항충격 요법이다.
| 흉부 대동맥 스텐트 이식편, TEVAR 시술 중에 배치된 흉부 X-선에서 볼 수 있음.|섬네일| 오른쪽]]
초기 내과적 관리에 실패하거나 대동맥 주요 분지가 연루된 경우, B형 박리에 대해 혈관 수술이 필요할 수 있다. 치료에는 경동맥-경동맥 우회술, 경동맥-쇄골하 동맥 우회술 또는 쇄골하 동맥-경동맥 전위술 등 체외 우회술을 동반하거나 동반하지 않는 흉부 혈관 내 대동맥 수술(TEVAR)이 포함될 수 있다.[14]
내장 동맥 박리는 상장간막 동맥, 복강 동맥, 신 동맥, 간 동맥 등을 포함한다. 대동맥 박리의 연장선상에 있으면 대동맥 치료와 동시에 관리된다. 고립된 경우, 내장 동맥 박리는 환자의 최대 3분의 1에서 우연히 발견되며, 내과적으로 관리될 수 있다. 장기 손상이 발생하면 외과적 치료가 필요하며, 치료 전략은 합병증, 수술 능력, 환자 선호도에 따라 달라진다.
장간막 허혈은 상장간막동맥(SMA)의 급성 또는 만성 폐쇄로 발생한다. 상장간막동맥은 복부 대동맥에서 기원하며, 원위 십이지장에서 횡행 결장의 2/3와 췌장까지 혈액을 공급한다.
만성 장간막 허혈의 증상은 복부 협심증[17]으로, 식후 일정 시간 후 발생하는 복통이다. 이로 인해 식사를 피하고 의도하지 않은 체중 감소가 나타날 수 있다. 최초 외과적 치료는 R.S. 쇼가 1958년 뉴잉글랜드 의학 저널에 게재한 장간막 내막 절제술이다.[18] 이후 혈관 내 혈관 성형술 및 스텐트 삽입 등 최소 침습적 기술 발전이 이루어졌다.
급성 장간막 허혈(AMI)은 상장간막동맥의 갑작스러운 폐쇄로 발생한다.
신장 동맥은 신장에 산소화된 혈액을 공급하고, 신장은 혈액을 여과하며 레닌-안지오텐신 시스템을 통해 혈압을 조절한다. 난치성 고혈압의 원인 중 하나는 신장 동맥의 동맥경화증 (신혈관성 고혈압)이다. 신혈관성 고혈압 진단 후 최대 약물 치료에도 혈압 조절이 안 되면, 혈관외과 의사는 혈관 내 수술 또는 개복 수술 재건술을 제안할 수 있다.
|thumb|left|경동맥 초음파.]]
|thumb|right|경동맥 내막 절제술.]]
혈관외과 의사는 경동맥 초음파 및 경두개 도플러 등 두개외 및 두개내 순환 관련 비침습적 혈관 영상 판독, 두개외 뇌혈관 질환 치료를 담당한다. 가장 흔한 뇌혈관 질환은 경동맥 협착증으로, 경동맥 좁아짐을 의미하며 증상이 있거나 무증상일 수 있다. 경동맥 협착증은 동맥 내 죽상 경화반 축적으로 인한 죽상 경화증으로 발생한다.
경동맥 협착증의 증상은 일과성 허혈 발작 또는 뇌졸중이다. 경동맥 이중 초음파 검사로 진단하며, 좁아짐 정도와 플라크 특징을 알 수 있다. 치료법은 약물 치료, 경동맥 내막 절제술, 경동맥 스텐트 삽입술이다.
혈관외과학회는 두개외 뇌혈관 질환 관리 임상 진료 지침을 발표한다.[19] 덜 흔한 뇌 순환 관련 질병으로는 추골 기저 동맥 부전, 쇄골하 동맥 도절 증후군, 경동맥 박리, 추골 동맥 박리, 경동맥 소체 종양, 경동맥 동맥류 등이 있다.
말초 동맥 질환 (PAD)는 사지 혈액 공급 동맥의 비정상적 협착이다. 주로 걷는 동안 종아리와 허벅지에 통증이 나타나는 간헐성 파행을 보일 수 있다. 질병 진행 시 휴식 시 통증, 치유되지 않는 상처 등 만성 사지 위협 허혈이 나타날 수 있다. 혈관외과 의사는 PAD 진단, 내과적 관리, 혈관 내 치료, 개방형 수술 치료 전문가이다.[20]
PAD 진단은 병력, 신체 검사, 의학 영상 ( 발목-상완 지수, 도플러 초음파, 컴퓨터 단층 촬영 혈관 조영술 등)을 종합하여 이루어진다. 치료는 개별화되며, 혈관 성형술, 스텐트 삽입, 죽상 동맥 절제술, 내막 절제술, 혈관 우회술 등 내과적 치료, 혈관 내 중재술, 개방형 수술 옵션을 포함한다.
4. 2. 정맥 질환
만성 정맥 부전은 하지 정맥계에 혈액이 비정상적으로 고이는 현상으로, 망상 정맥, 정맥류, 만성 부종 및 염증 등을 유발할 수 있다. 여성의 최대 40%, 남성의 17%에 영향을 미친다.[21] 만성 부전이 통증, 부종 및 피부 변화로 이어질 때 이를 '''만성 정맥 질환'''이라고 한다. 만성 정맥 부전(CVI)은 주로 표재 정맥 또는 심부 정맥의 판막 부전 문제인 반면, 혈전 후 증후군(PTS)은 심부 정맥 혈전증의 장기적인 합병증으로 발생할 수 있다는 점에서 구별된다.[22]
혈관외과 의사는 약물 치료, 중재적 시술 및 수술을 포함하여 하지 정맥 질환을 치료할 수 있다. 정맥 궤양은 우나 부츠로 치료할 수 있으며, 표재성 정맥 역류는 고주파 절제술, 레이저 절제술 또는 정맥 박리술로 치료할 수 있다. 심부 정맥의 부전은 내·외부 판막 성형술을 통해 정맥 판막을 재건하여 치료할 수 있다.[23]
하지 정맥류는 표재 정맥이 똑바로 선 자세에서 3mm 이상으로 꼬이고 확장된 상태를 말한다.[24] 이중 초음파 검사 결과, 이러한 정맥에는 부전하거나 고장난 판막이 종종 존재한다. 혈관 치료에는 압박 스타킹, 정맥 절제술 또는 정맥 박리술 등이 포함될 수 있다.
비혈전성 장골 정맥 병변(NIVL)에는 메이-턴너 증후군 (MTS)이 포함되며, 이는 대개 우측 장골 동맥에 의해 좌측 장골 정맥 유출이 압박되어 좌측 다리 불편감, 통증, 부종 및 정맥류를 유발한다. NIVL은 우측 또는 좌측의 장골 정맥 압박을 포함한다.[25] 혈관외과 의사는 환자의 증상에 따라 혈관내 초음파, 정맥 조영술 및 장골 정맥 스텐트 삽입술을 포함한 최소 침습적 진단 및 치료를 하거나, 난치성 사례의 경우 십자 치골 정맥 우회술(Palma 시술)과 같이 영향을 받는 부위의 재건 또는 우회 수술을 할 수 있다.[26][27][28]
심부 정맥 혈전증(DVT)은 심부 정맥 내에 혈전이 형성되는 것이다. DVT는 상지 또는 목정맥보다 하지에서 발생할 가능성이 더 높다. 장골 대퇴 DVT에 대해 특정 시술을 받는 환자에서 혈전 후 증후군 발생률이 감소할 수 있지만, 위험이 없는 것은 아니다.[29][30] 혈관 외과 의사는 정맥 조영술, 혈관 내 흡인 또는 기계적 혈전 제거술, 경우에 따라 약물 기계적 혈전 제거술을 제공할 수 있다. 일부 하지 DVT는 푸른 통증성 혈전증 또는 백색 통증성 혈전증이라고 하는 상태를 유발할 정도로 심각할 수 있으며, 사지 생명을 위협하는 사건이 될 수 있다. 푸른 통증성 혈전증이 나타나면 정맥 혈전 제거술을 포함한 개입이 종종 필요하다.
혈전후 증후군 (PTS)은 심부 정맥 혈전증(DVT)의 장기적인 합병증으로 나타나며, DVT 이후 장기간의 부종과 피부 변화를 특징으로 하는 의학적 상태이다. 가려움증, 통증, 경련, 감각 이상 등의 증상이 나타난다. 환자의 20%에서 50% 사이가 PTS를 경험한다.[31] PTS의 치료 전략에는 압박 스타킹 사용이 포함될 수 있다.
급성 폐색전증(폐 혈전 제거술)의 외과적 관리는 흔하지 않으며, 장기적인 결과가 좋지 않아 대부분 중단되었다. 그러나 최근 수술 기법의 개선으로 인해 부활하고 있으며, 특정 환자에게는 도움이 되는 것으로 여겨진다.[32] 폐고혈압으로 이어지는 만성 폐색전증(‘만성 혈전색전성 고혈압’이라고 알려짐)은 폐 혈전 내막 절제술이라는 수술로 치료한다.[33]
인접 구조물이나 덩어리에 의한 대정맥 압박은 메이-턴너 증후군, 호두까기 증후군, 상대정맥 증후군을 포함한 뚜렷한 증후군을 유발할 수 있다. 치료 방법에는 정맥 조영술, 혈관 내 초음파, 정맥 스텐트 삽입술뿐만 아니라 더 침습적인 개방 정맥 재건술 및 우회술이 있다.
5. 혈액 투석 접근 관리
만성 신장 질환 환자는 질병이 진행되어 혈액을 여과하기 위한 신장 대체 요법이 필요할 수 있다. 이 요법의 한 가지 전략은 혈액 투석인데, 이는 환자의 혈액을 여과하여 노폐물을 제거하고 다시 환자에게 돌려보내는 절차이다. 반복적인 동맥 손상을 피하는 한 가지 방법은 동정맥루(AVF)를 만드는 것이다. 이 목적으로 처음 설명된 시술은 이를 처음 성공시킨 외과 의사 중 한 명의 이름을 따서 치미노루라고 명명되었다. 혈관 외과 의사는 환자를 위해 AVF를 만들 수 있으며, 최소 침습 시술을 수행하여 누공이 개통 상태를 유지하도록 할 수 있다.
6. 혈관 외상 관리
혈관 외상은 손상 기전, 해부학적 부위, 상황적 환경의 세 가지 기준으로 분류하여 이해할 수 있다. 손상 기전은 의인성, 둔기 손상, 관통 외상, 폭발 부상 등을 의미한다.[34] 해부학적 부위는 기능적으로 압박 가능한 출혈 대 압박 불가능한 출혈 여부를 나타낸다. 상황적 환경은 민간 또는 군사 영역에서 발생한 부상을 의미하며, 군사는 전투원 대 비전투원, 민간은 도시 대 농촌 외상으로 나뉜다.[34]
현재 군사 전투원의 동맥 손상은 주로 20대 남성에게서 발생하며, 즉석 폭발 장치나 총상에 노출된 경우이다. 반면, 미국에서 수행된 한 연구에 따르면 민간 영역에서 가장 흔한 손상 기전은 자동차 사고, 총기 부상, 자상 및 높은 곳에서의 추락을 포함하는 것으로 나타났다.[35]
혈관외과, 특히 혈관 내 기술의 발전은 둔부 흉부 대동맥 손상(BTAI)에 대한 수술적 접근 방식에 변화를 가져왔다. BTAI는 차량 충돌 사고나 높은 곳에서의 추락과 같은 흉부에 가해지는 고속 외상으로 인해 발생한다.[36] 1등급 BTAI는 대동맥 내막을 찢는 경우이며, 2등급 손상은 혈관벽 내 혈종, 3등급 손상은 가성 동맥류, 4등급은 흉부와 주변 조직으로의 자유로운 파열을 의미한다.[36] 컴퓨터 단층 촬영 혈관 조영술 또는 혈관 내 초음파로 확인된 대동맥의 해부학적 층에 대한 손상 정도에 기반한 분류 체계가 사용된다. 적응증이 있을 경우, 1차 중재는 TEVAR을 포함한다.
7. 관련 학회
wikitext
- 대한혈관외과학회([https://www.ksvs.org www.ksvs.org])
- 미국혈관외과학회/Society for Vascular Surgery ([https://www.vascularweb.org www.vascularweb.org])
- 유럽혈관외과학회/European Society for Vascular Surgery ([https://www.esvs.org www.esvs.org])
8. 수련 과정
과거에는 일반외과의 한 분야로 여겨졌지만, 현재는 독립적인 전문 분야로 간주된다.[46] 미국에서는 두 가지 훈련 경로가 있는데, 전통적으로 5년의 일반외과 레지던트를 마치고 1~2년(일반적으로 2년)의 혈관외과 펠로우십을 받는 방법과 5년 또는 6년의 혈관외과 레지던트를 수행하는 방법이 있다.[46] 많은 국가에서 혈관외과 의사는 레지던트 수료 후 심장외과에서 추가적인 훈련을 받을 수도 있다.
훈련 프로그램은 세계의 여러 지역에서 약간씩 다르다.
참조
[1]
논문
Intraoperative consultation of vascular surgeons is increasing at a major American trauma center
[2]
논문
In Memoriam: Edward B. Diethrich, MD (1935–2017)
2017-06-01
[3]
기타
Dr. Venkatesh Ramaiah: "Dr. Ted Diethrich lessons carried forward" - The Antegrade Flow Show
https://www.buzzspro[...]
2021-10-28
[4]
웹사이트
Dr. Ted Diethrich, founder of Arizona Heart Institute, dies at 81
https://www.beckersh[...]
2021-10-28
[5]
논문
National Trends in Open Surgical, Endovascular and Branched/Fenestrated Endovascular Aortic Aneurysm Repair in Medicare Patients
https://www.jvascsur[...]
2020-09-23
[6]
뉴스
Trusts reveal plans to centralise services after GIRFT review
https://www.hsj.co.u[...]
Health Service Journal
2018-03-19
[7]
서적
Rutherford's Vascular Surgery and Endovascular Therapy
Elsevier Health
2023
[8]
논문
The persistent sciatic artery
[9]
웹사이트
Crawford classification
https://radiopaedia.[...]
2023-02-13
[10]
웹사이트
Splenic Artery Aneurysm
https://www.ncbi.nlm[...]
StatPearls
[11]
논문
The Society for Vascular Surgery clinical practice guidelines on the management of visceral aneurysms
https://www.jvascsur[...]
[12]
논문
The Society for Vascular Surgery clinical practice guidelines on popliteal artery aneurysms
https://www.jvascsur[...]
[13]
논문
Pulmonary artery dissection: an emerging cardiovascular complication in surviving patients with chronic pulmonary hypertension
https://heart.bmj.co[...]
2005-02-01
[14]
논문
Society for Vascular Surgery (SVS) and Society of Thoracic Surgeons (STS) reporting standards for type B aortic dissections
https://www.jvascsur[...]
[15]
논문
Management of Spontaneous Isolated Mesenteric Artery Dissection: A Systematic Review
[16]
논문
Endovascular treatment of spontaneous dissections of the superior mesenteric artery
https://www.jvascsur[...]
[17]
논문
Angina Abdominus
1918
[18]
논문
Acute and chronic thrombosis of the mesenteric arteries associated with malabsorption; a report of two cases successfully treated by thromboendarterectomy
https://pubmed.ncbi.[...]
[19]
논문
Society for Vascular Surgery clinical practice guidelines for management of extracranial cerebrovascular disease
https://www.jvascsur[...]
[20]
웹사이트
Specialty at a Glance | Society for Vascular Surgery
https://vascular.org[...]
[21]
웹사이트
Venous Insufficiency
https://www.ncbi.nlm[...]
StatPearls
[22]
웹사이트
Deep Vein Thrombosis
https://www.ncbi.nlm[...]
StatPearls
[23]
서적
Rutherford's Vascular Surgery and Endovascular Therapy
Elsevier Health
2023
[24]
서적
Handbook of Venous Disorders: Guidelines of the American Venous Forum Third Edition
CRC Press
2008-12-26
[25]
논문
Treatment of Nonthrombotic Iliac Vein Lesions
[26]
서적
Rutherford's Vascular Surgery and Endovascular Therapy
Elsevier Health
2023
[27]
서적
Rutherford's Vascular Surgery and Endovascular Therapy
Elsevier Health
2023
[28]
논문
Left iliac vein occlusion treated with a Palma procedure
https://www.jvsvenou[...]
[29]
논문
Executive Summary: Antithrombotic Therapy for VTE Disease: Second Update of the Chest Guideline and Expert Panel Report
https://journal.ches[...]
[30]
논문
Thrombolytic strategies versus standard anticoagulation for acute deep vein thrombosis of the lower limb
[31]
논문
Compression therapy for treating post-thrombotic syndrome
[32]
논문
Invasive approaches to treatment of venous thromboembolism
2004-08
[33]
서적
Pulmonary Circulation: Diseases and Their Treatment, Fourth Edition
CRC Press
[34]
서적
Rich's Vascular Trauma
Elsevier Medical
2021
[35]
논문
Pediatric vs adult vascular trauma: A National Trauma Databank review
https://pubmed.ncbi.[...]
[36]
서적
Rutherford's Vascular Surgery and Endovascular Therapy
Elsevier Medical
2023
[37]
논문
Incidence of and risk factors for asymptomatic peripheral arterial occlusive disease: a longitudinal study
2001-04
[38]
논문
The Multicentre Aneurysm Screening Study (MASS) into the effect of abdominal aortic aneurysm screening on mortality in men: a randomised controlled trial
2002-11
[39]
논문
Mortality results for randomised controlled trial of early elective surgery or ultrasonographic surveillance for small abdominal aortic aneurysms. The UK Small Aneurysm Trial Participants
1998-11
[40]
논문
Design of the abdominal aortic Aneurysm Detection and Management Study. ADAM VA Cooperative Study Group
1994-08
[41]
논문
Intraoperative heparinisation, blood loss and myocardial infarction during aortic aneurysm surgery: a Joint Vascular Research Group study
1996-07
[42]
논문
Benefit of Carotid Endarterectomy in Patients with Symptomatic Moderate or Severe Stenosis
http://www.nejm.org/[...]
1998-11-12
[43]
웹사이트
NASCET - Wiki Journal Club
https://www.wikijour[...]
2021-02-11
[44]
논문
Table 1: The Single Nucleotide Polymorphisms in cathepsin B protein mined from literature (PMID: 16492714).
[45]
웹사이트
ACAS - Wiki Journal Club
https://www.wikijour[...]
2021-02-11
[46]
웹사이트
VascularWeb: New Vascular Surgery Training Paradigms
http://www.vascularw[...]
[47]
간행물
In Memoriam: Edward B. Diethrich, MD (1935–2017)
2017-06-01
[48]
웹인용
Dr. Ted Diethrich, founder of Arizona Heart Institute, dies at 81
https://www.beckersh[...]
2021-10-28
[49]
간행물
National Trends in Open Surgical, Endovascular and Branched/Fenestrated Endovascular Aortic Aneurysm Repair in Medicare Patients
https://www.jvascsur[...]
2020-09-23
[50]
뉴스
Trusts reveal plans to centralise services after GIRFT review
https://www.hsj.co.u[...]
Health Service Journal
2018-05-13
본 사이트는 AI가 위키백과와 뉴스 기사,정부 간행물,학술 논문등을 바탕으로 정보를 가공하여 제공하는 백과사전형 서비스입니다.
모든 문서는 AI에 의해 자동 생성되며, CC BY-SA 4.0 라이선스에 따라 이용할 수 있습니다.
하지만, 위키백과나 뉴스 기사 자체에 오류, 부정확한 정보, 또는 가짜 뉴스가 포함될 수 있으며, AI는 이러한 내용을 완벽하게 걸러내지 못할 수 있습니다.
따라서 제공되는 정보에 일부 오류나 편향이 있을 수 있으므로, 중요한 정보는 반드시 다른 출처를 통해 교차 검증하시기 바랍니다.
문의하기 : help@durumis.com