동맥류
"오늘의AI위키"의 AI를 통해 더욱 풍부하고 폭넓은 지식 경험을 누리세요.
1. 개요
동맥류는 혈관 벽의 약화로 인해 혈관이 비정상적으로 부풀어 오르는 질환이다. 흡연, 고혈압, 동맥경화 등이 원인이 될 수 있으며, 위치, 형태, 크기에 따라 다양한 종류로 분류된다. 뇌, 대동맥, 심장 등 다양한 부위에서 발생하며, 파열 시 심각한 증상과 합병증을 유발할 수 있다. 진단은 CT, MRA 등의 영상 검사를 통해 이루어지며, 치료는 수술적 개입, 혈관 내 시술, 약물 치료 등을 포함한다.
더 읽어볼만한 페이지
- 혈관 질환 - 동맥경화증
동맥경화증은 동맥 벽이 굳고 두꺼워지는 질환으로, 세동맥경화증, 묀케베르크 경화증, 죽상동맥경화증으로 나뉘며, 특히 죽상동맥경화증은 혈관 내 죽상판 형성으로 심혈관 질환을 유발하는 주요 질환이다. - 혈관 질환 - 기립성 저혈압
기립성 저혈압은 누운 자세에서 일어섰을 때 수축기 혈압 20mmHg 이상 또는 이완기 혈압 10mmHg 이상으로 혈압이 떨어지는 현상으로, 자율신경계 기능 부전, 체액 결핍, 약물 등으로 인해 발생하며 어지럼증, 시야 흐림, 실신 등을 동반하고 낙상 위험 증가 및 심혈관 질환 등의 합병증을 유발할 수 있어, 기립 후 혈압 변화 측정으로 진단하고 원인에 따라 약물 및 생활 습관 개선으로 치료한다. - 심장혈관 질환 - 동맥경화증
동맥경화증은 동맥 벽이 굳고 두꺼워지는 질환으로, 세동맥경화증, 묀케베르크 경화증, 죽상동맥경화증으로 나뉘며, 특히 죽상동맥경화증은 혈관 내 죽상판 형성으로 심혈관 질환을 유발하는 주요 질환이다. - 심장혈관 질환 - 승모판 협착
승모판 협착은 좌심방과 좌심실 사이의 승모판이 좁아져 혈액 흐름을 방해하는 질환으로, 류마티스열이 주요 원인이며, 심해지면 폐 울혈, 호흡 곤란 등의 증상이 나타나 심장 초음파 검사로 진단하고 증상에 따라 치료법을 고려한다. - 빈 문단이 포함된 문서 - 광주고등법원
광주고등법원은 1952년에 설치되어 광주광역시, 전라남도, 전북특별자치도, 제주특별자치도를 관할하며, 제주와 전주에 원외재판부를 두고 있다. - 빈 문단이 포함된 문서 - 1502년
1502년은 율리우스력으로 수요일에 시작하는 평년으로, 이사벨 1세의 이슬람교 금지 칙령 발표, 콜럼버스의 중앙아메리카 해안 탐험, 바스쿠 다 가마의 인도 상관 설립, 크리미아 칸국의 킵차크 칸국 멸망, 비텐베르크 대학교 설립, 최초의 아프리카 노예들의 신대륙 도착 등의 주요 사건이 있었다.
2. 원인
아직까지 동맥류의 원인이 명확하게 밝혀진 것은 없지만, 혈관의 특정 부위에 지속적으로 압력이 가해져 혈관이 약해지면서 발생하는 것으로 보인다. 흡연과 음주 등으로 인한 동맥경화도 뇌동맥류 등의 질환을 유발하는 것으로 보고되었다.[73]
동맥류의 위험 요인에는 당뇨병, 비만, 고혈압, 흡연, 알코올 중독, 고콜레스테롤혈증, 구리 결핍증, 고령, 그리고 3기 매독 감염이 포함된다.[20] 로이스-디츠 증후군, 마르팡 증후군, 그리고 특정 형태의 에흘러스-단로스 증후군과 같은 결합 조직 장애 또한 동맥류와 관련이 있다. 40세 미만 개인에서 발생하는 동맥류, 박리, 파열은 에흘러스-단로스 증후군(vEDS)의 혈관 형태의 주요 진단 기준이다.[22]
동맥류와 관련된 특정 감염 원인은 다음과 같다.
소수의 동맥류는 유전적 요인과 관련이 있는데, 예를 들면 다음과 같다.
동맥류는 혈관벽과 혈관을 통과하는 혈액에 영향을 미치는 요인들을 포함한 여러 가지 상호 작용하는 요인들로 인해 발생한다. 팽창하는 동맥류 내부의 혈압은 동맥 자체에 혈액을 공급하는 혈관을 손상시켜 혈관벽을 더욱 약화시킬 수 있다. 치료 없이는 이러한 동맥류는 결국 진행되어 파열될 것이다.[24]
진균성 동맥류는 동맥벽에 관여하는 감염 과정으로 인해 발생하는 동맥류이다.[25] 진균성 동맥류 환자는 동맥 벽에 세균 감염이 있어 동맥류가 형성된다. 진균성 동맥류의 원인 중 하나는 감염성 심내막염이다.[26] 가장 흔한 위치는 복부, 허벅지, 목 및 팔의 동맥이다. 진균성 동맥류는 동맥류가 파열될 경우 패혈증 또는 생명을 위협하는 출혈을 초래할 수 있다. 복부 대동맥류의 3% 미만이 진균성 동맥류이다.[27]
매독의 3기는 대동맥의 동맥류로도 나타나는데, 이는 외막에서 혈관의 혈관의 손실 때문이다.[28]
소수의 동맥류는 구리 결핍으로 인해 발생하는데, 이는 혈관벽의 주요 구성 요소인 엘라스틴에 영향을 미치는 라이실 옥시다제 효소의 활성 감소를 초래한다.[29][30][31] 구리 결핍은 혈관벽이 얇아지게 하고,[32] 따라서 구리 결핍 인간,[33] 닭 및 칠면조의 사망 원인으로 언급되었다.[34]
동맥류를 가진 혈관은 정상 혈압과 혈류에서도 파열되기 쉽다. 건강한 동맥 혈관은 높은 강도와 높은 인성을 가진 J자형 응력-변형률 곡선을 보인다.[35] 혈관은 파열 전에 낮은 응력 범위에서 큰 변형을 보일 수 있는데, 이는 곡선의 아랫부분에 나타난다. 인성은 재료가 파열되기 전에 흡수할 수 있는 단위 부피당 에너지량으로 정의된다. 방출되는 에너지량은 균열 전파량에 비례하기 때문에 혈관벽은 압력을 견딜 수 있으며 "인성"이 있다. 따라서 J자형 응력-변형률 곡선의 기계적 특성을 가진 건강한 혈관은 선형 탄성을 가진 재료보다 동맥류에 대한 안정성이 더 높다.
반면, 동맥류가 있는 혈관은 S자형 응력-변형률 곡선의 영향을 받는다. 동맥류는 압력을 받는 꽉 찬 풍선처럼, 특정 힘 한계를 넘는 응력이 가해지면 언제든지 터질 수 있다. 마찬가지로, 건강하지 않은 혈관은 파열로 이어지는 탄성 불안정성을 가지고 있다.[35] 초기에는 주어진 반지름과 압력에 대해 재료의 강성이 선형적으로 증가하다가, 특정 지점에서 동맥벽의 강성은 하중이 증가함에 따라 감소하기 시작한다. 더 높은 변형률 값에서 곡선 아래 면적이 증가하여 균열 전파를 촉진하는 재료에 대한 영향이 증가한다.
동맥류 혈관과 건강한 혈관의 기계적 특성 차이는 혈관의 구성 차이에서 비롯된다. 정상 대동맥과 비교하여 동맥류 대동맥은 콜라겐과 기질의 부피 분율이 훨씬 높고(54.8% 대 95.6%), 엘라스틴(22.7% 대 2.4%)과 평활근(22.6% 대 2.2%)의 부피 분율이 훨씬 낮아 초기 강성이 더 높다.[36] 또한 동맥류 혈관벽의 극한 인장 강도는 정상 대동맥보다 50% 낮은 것으로 나타났다.[37] 파열된 동맥류 대동맥벽의 벽 강도는 54.2 N/cm2로 수복된 대동맥벽의 82.3 N/cm2보다 훨씬 낮은 것으로 나타났다.[37] 동맥벽의 구성 변화로 인해 전반적으로 동맥류는 파열에 대한 저항력이 훨씬 낮다. 경화된 혈관이 나타내는 국소적 이방성으로 인해 파열 위험 예측이 어려운데, 이는 응력과 강도 값이 측정되는 혈관의 영역과 방향에 따라 다르다는 것을 의미한다.[38]
3. 종류
동맥류는 위치, 형태, 종류에 따라 분류된다. 뇌동맥류, 대동맥류, 쇄골 동맥류 등 다양한 종류가 있으며, 치료법 또한 종류에 따라 다르다. 뇌혈관에 발생하는 뇌동맥류는 코일 색전술이나 결착술 등으로 치료하며, 파열될 경우 치사율이 약 25%에 달하고 신경계 후유증을 유발할 수 있다.[8]
3. 1. 발생 위치에 따른 분류
동맥류는 발생 위치에 따라 다음과 같이 분류할 수 있다.- 동맥 및 정맥(동맥류가 더 흔함).[8]
- 심장, 여기에는 관상동맥류, 심실류, 발살바동굴류, 및 심장 수술 후 동맥류가 포함된다.
- 대동맥, 즉 대동맥류(여기에는 흉부대동맥류 및 복부대동맥류 포함).[9]
- 뇌, 여기에는 뇌동맥류, 베리동맥류, 및 샤르코-부샤르 동맥류가 포함된다.
- 다리, 여기에는 팝라이트 동맥이 포함된다.[10]
- 신장, 여기에는 신동맥류 및 실질내 동맥류가 포함된다.[11]
- 모세혈관류는 피부색의 단일 병변으로, 진피모반과 유사하며, 갑자기 커지고 어두워지며 혈전증으로 인해 청흑색 또는 흑색이 될 수 있다.[12]
- 외경정맥 및 내경정맥과 같은 큰 혈관[13]
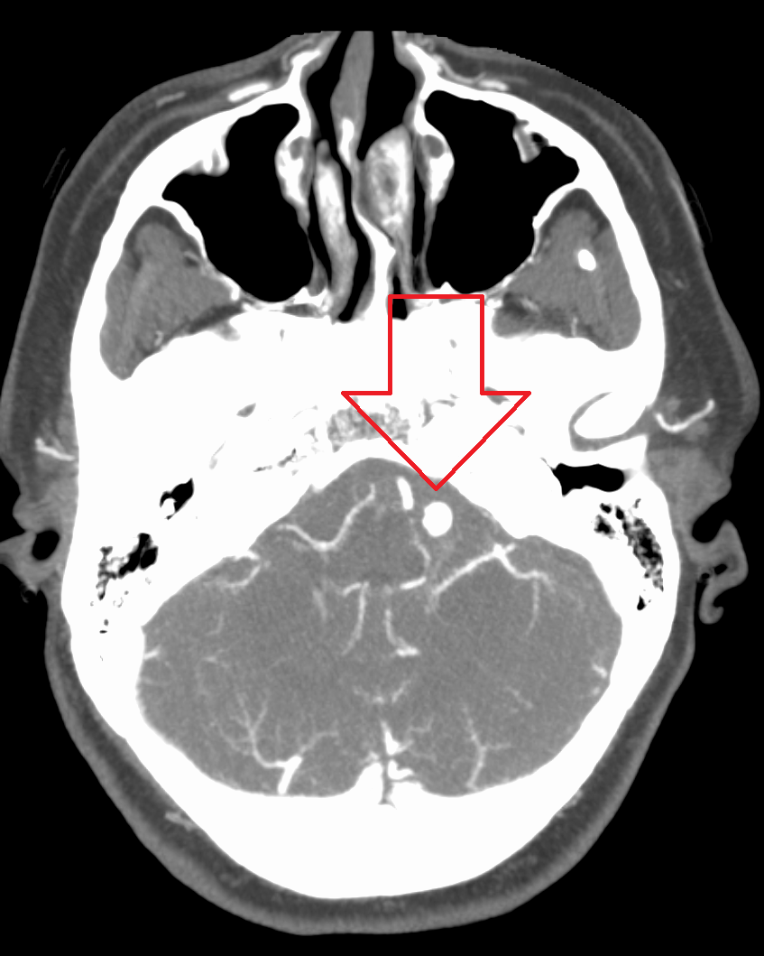
뇌동맥류는 두개내 동맥류 또는 뇌동맥류라고도 하며, 윌리스환의 일부인 전대뇌동맥에서 가장 흔하게 발생한다. 이로 인해 심각한 뇌졸중이 발생하여 사망에 이를 수 있다. 뇌동맥류가 발생하는 다음으로 흔한 부위는 내경동맥이다.[14]

3. 2. 형태에 따른 분류
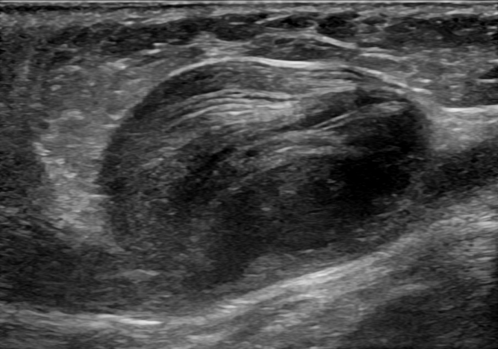
동맥류는 거시적 형태와 크기에 따라 주머니형 또는 방추형으로 분류할 수 있다. 동맥류의 형태는 특정 질병에 특이적이지 않다.[3] 기저부 또는 경부의 크기는 예를 들어 혈관내 코일링의 가능성을 결정하는 데 유용하다.[7]
주머니형 동맥류 또는 "베리" 동맥류는 구형이며 혈관벽의 일부만을 포함한다. 일반적으로 직경이 5cm에서 20cm 범위이며, 부분적으로 또는 완전히 혈전으로 채워져 있는 경우가 많다.[3] 주머니형 동맥류는 동맥류를 주요("모체") 동맥에 연결하는 "목"과 돔이라고 하는 더 크고 둥근 영역을 가지고 있다.
방추형 동맥류("방추형" 동맥류)는 직경과 길이가 모두 다양하며, 직경은 최대 20cm까지 확장될 수 있다. 종종 상행 및 횡행 대동맥궁, 복부 대동맥, 또는 덜 흔하게 장골동맥의 상당 부분을 포함한다.[3]
3. 3. 진성 및 가성 동맥류
진성 동맥류는 동맥벽의 세 층(내막, 중막, 외막) 모두를 포함하는 동맥류이다. 진성 동맥류에는 죽상경화성 동맥류, 매독성 동맥류, 선천성 동맥류뿐만 아니라 관통성 심근 경색 후 발생하는 심실 동맥류도 포함된다(심장벽의 모든 층을 포함하는 동맥류도 진성 동맥류로 간주된다).[3]가성 동맥류(위동맥류)는 동맥 또는 정맥에서 완전히 새어나온 혈액이 주변 조직에 의해 혈관 옆에 국한된 것이다. 이 혈액으로 채워진 공동은 결국 누출을 봉쇄할 만큼 혈전(응고)되거나 주변 조직에서 파열될 것이다.[3]
위동맥류는 칼이나 총상과 같은 동맥에 구멍을 뚫는 외상[4], 관상 동맥 조영술이나 동맥 이식과 같은 경피적 수술 절차[5], 또는 주입을 위한 동맥 사용[6]의 결과로 발생할 수 있다.
4. 증상
동맥류 증상은 생명을 위협하는 저혈량성 쇼크 합병증부터 X선 검사에서 우연히 발견되는 경우까지 다양하다.[20] 증상은 동맥류의 위치에 따라 다를 수 있다.
동맥류가 뇌의 구조물을 압박할 때 증상이 나타날 수 있으며, 동맥류가 파열되었는지 여부에 따라 증상이 다르다. 동맥류가 파열될 때까지 전혀 증상이 나타나지 않을 수도 있다.[21]
파열되지 않은 뇌동맥류의 경우 다음과 같은 증상이 나타날 수 있다.
- 피로
- 감각 상실
- 균형 상실
- 언어 장애
- 복시
파열된 뇌동맥류의 경우, 지주막하 출혈 증상이 나타날 수 있다.
- 심한 두통
- 시력 상실
- 복시
- 목 통증 또는 경직
- 눈 위 또는 뒤쪽 통증

복부 대동맥류는 일반적으로 무증상이지만, 드물게 요통이나 하지 허혈을 유발할 수 있다.
- 옆구리 통증 및 압통
- 고혈압
- 혈뇨
- 저혈량성 쇼크 징후
동맥류 자체를 압박하여 통증을 느끼는 경우도 있지만, 일반적으로는 무증상이다. 하지만 동맥류가 파열되면 의식을 잃을 정도의 격렬한 통증에 시달리며, 사망하는 경우도 많다.
5. 진단

파열된 뇌동맥류는 일반적으로 컴퓨터 단층촬영(CT) 검사에서 지주막하 출혈 징후를 발견하여 진단한다. CT 검사 결과가 음성이지만 임상 소견상 파열된 동맥류가 의심되는 경우, 뇌척수액에서 혈액을 검출하기 위해 요추천자를 시행할 수 있다. 컴퓨터 단층촬영 혈관조영술(CTA)은 기존 혈관조영술의 대안이며, 동맥 카테터 삽입 없이 시행할 수 있다. 이 검사는 정기적인 CT 검사와 정맥에 주입된 조영제를 결합한 것이다. 조영제가 정맥에 주입되면 뇌동맥으로 이동하고, CT 검사를 사용하여 영상을 생성한다. 이러한 영상은 혈액이 뇌 동맥으로 어떻게 흐르는지 정확하게 보여준다.[39] CT 및 MRA도 유용하다.
6. 치료
과거에는 동맥류 치료법이 수술적 개입이나 경과 관찰과 혈압 조절을 병행하는 정도로 제한되었다. 그러나 최근에는 다양한 종류의 동맥류에 대해 경피적 또는 최소 침습적 기술이 개발되었다.[1]
뇌동맥류 치료에는 현재 두 가지 방법이 있다. 수술적 클리핑과 혈관내 코일링이다. 수술적 클리핑은 1937년 존스홉킨스 병원의 월터 댄디가 도입한 방법으로, 개두술을 통해 뇌동맥류를 노출시키고 클립으로 뇌동맥류의 기저부나 경부를 막는 것이다. 혈관내 코일링은 1989년 이탈리아 신경외과 의사 구이도 구글리엘미가 UCLA에서 도입한 방법으로, 사타구니의 대퇴동맥을 통해 카테터를 뇌동맥류까지 통과시켜 백금 코일을 삽입하여 혈전을 형성시켜 뇌동맥류를 채우는 방식이다.[42] 어떤 치료법이 더 적절한지에 대해서는 논쟁이 계속되고 있다.[41]
대동맥, 팔, 다리, 머리의 동맥류는 혈관의 약화된 부분을 우회 접합 이식편으로 대체할 수 있다. 덜 침습적인 혈관내 기술로는 다리의 동맥을 통해 덮개가 있는 금속 스텐트 그래프트를 삽입하여 동맥류 전체에 걸쳐 배치하는 방법이 있다.
신장 동맥류는 매우 드물며(0.1~0.09%),[49] 파열은 더욱 드물다.[49][50] 3cm 미만의 동맥류는 고혈압을 조절하는 보존적 치료가 주된 치료법이다. 증상이 나타나거나 동맥류가 커지면 혈관 내 또는 개복 수술을 고려해야 한다.[51] 임신부의 경우 최대 80%의 파열 위험 때문에 수술적 치료가 필요하다.[52]
7. 역학
뇌동맥류의 발생률은 0.4%에서 3.6%로 추정된다. 위험 요소가 없는 사람들의 유병률은 2~3%로 예상된다.[14] 성인의 경우 여성이 동맥류를 가질 가능성이 더 높다. 주로 35~60세 사이의 사람들에게서 가장 흔하지만 어린이에게서도 발생할 수 있다. 소아 동맥류는 드물며 보고된 유병률은 0.5%~4.6%이다. 가장 흔한 발생 연령은 50세이며, 일반적으로 전조 증상은 없다. 대부분의 동맥류는 40세 이후에 발생한다.
소아 동맥류는 성인 동맥류와 발생률과 특징이 다르다.[53] 소아의 두개내 동맥류는 드물며, 모든 동맥류의 95% 이상이 성인에게서 발생한다.[14] 남성의 발병률은 여성보다 2~3배 높으며, 대동맥류 및 거대 동맥류는 더 많고 다발성 동맥류는 더 적다.[14] 백인의 경우 두개내 출혈은 뇌 동정맥 기형보다 동맥류로 인한 경우가 1.6배 더 많지만, 일부 아시아 인구에서는 4배 더 적다.[14]
대부분의 환자, 특히 유아는 지주막하 출혈과 그에 따른 두통 또는 신경학적 결손 증상을 보인다. 소아 동맥류의 사망률은 성인보다 낮다.[14]
8. 기타 질환
비슷한 질환이 정맥 혈관에 생긴 경우 정맥류라고 한다.
9. 저명한 사례
- 조 바이든 미국 상원의원(후에 미국 대통령)은 1988년 두 차례의 뇌동맥류를 겪었으나, 성공적인 수술을 통해 회복했다.
- 루실 볼은 복부 대동맥 파열로 인해 대동맥박리로 인한 심장 수술을 받은 지 며칠 만에 사망했다.[61][62][63]
- 로라 브래니건은 뇌동맥류로 사망했다.
- 데이비드 콘은 동맥류로 1996년 야구 시즌 대부분을 결장했다.
- 데이비 쿠퍼는 1995년 축구 TV 시리즈 촬영 중 지주막하출혈로 사망했다.
- 존 올러드는 1989년 동맥류를 겪은 후 그 이후로 경기 내내 타격용 헬멧을 착용했다.
- 알베르트 아인슈타인은 수술 후 대동맥류로 사망했다.[64]
- 토마스 미칼 포드는 52세에 복부 동맥류 파열로 사망했다.
- 샤를 드골은 목 부위 동맥류 파열로 사망했다.[65]
- 리처드 홀브룩은 흉부 대동맥류로 사망했다.[66]
- 에디트 피아프는 간부전으로 인한 동맥류로 사망했다.
- 스튜어트 서틀리프는 뇌 우반구 동맥류로 사망했다.[67]
- 레이먼드 F. 보이스는 1974년 동맥류로 사망했다.[68]
- 존 리터는 2003년 잘못 진단된 흉부 대동맥 박리(대동맥류)로 사망했다.[69][70]
- 이사벨 그라나다는 뇌동맥류로 사망했다.[71][72]
- 제프리 톰슨은 자신의 테마파크인 블랙풀 플레저 비치에서 열린 딸의 결혼식에서 뇌동맥류로 사망했다.
- 에드윈 로사리오는 1997년 동맥류로 사망했다.
- 조니 미첼은 2015년 뇌동맥류를 겪었으나 생존했다.
- 그랜트 이마하라는 2020년 7월 뇌동맥류로 사망했다.
- Dr. Dre는 2021년 1월 뇌동맥류를 겪었다.
- 조빗 발디비노는 2022년 12월 뇌동맥류로 사망했다.
- 톰 사이즈모어는 2023년 3월 뇌동맥류로 사망했다.
참조
[1]
웹사이트
Aneurysms
https://www.nhlbi.ni[...]
2018-02-23
[2]
논문
Actuarial analysis of variables associated with rupture of small abdominal aortic aneurysms
1985-09-01
[3]
서적
Robbins basic pathology
Saunders/Elsevier
[4]
논문
The False Aneurysm
1964-08-01
[5]
논문
The changing face of femoral artery false aneurysms
2004-04-01
[6]
논문
Management of femoral artery pseudoaneurysm due to addictive drug injection
2004-08-01
[7]
논문
Endovascular treatment of intracranial aneurysms: review of current practice
2011-01-01
[8]
웹사이트
Venous aneurysms
https://www.phleboly[...]
2010-02-17
[9]
논문
Mechanical and geometrical determinants of wall stress in abdominal aortic aneurysms: A computational study
2018-02-01
[10]
웹사이트
Abdominal Aortic Aneurysms
https://www.lecturio[...]
2020-10-16
[11]
논문
A Cough Deteriorating Gross Hematuria: A Clinical Sign of a Forthcoming Life-Threatening Rupture of an Intraparenchymal Aneurysm of Renal Artery (Wunderlich's Syndrome)
[12]
서적
Andrews' Diseases of the Skin: Clinical Dermatology
Saunders
[13]
논문
Saccular aneurysm of external jugular vein
http://ijomcr.net/sa[...]
[14]
서적
Neurosurgery
https://archive.org/[...]
Springer
[15]
서적
Critical Care Ultrasound E-Book
https://books.google[...]
Elsevier Health Sciences
[16]
논문
Screening for abdominal aortic aneurysms: single centre randomised controlled trial
2005-04-01
[17]
논문
ACC/AHA Guidelines for the Management of Patients with Peripheral Arterial Disease
2006-09-01
[18]
논문
Clinical practice. Abdominal aortic aneurysms
2014-11-01
[19]
웹사이트
Iliac artery aneurysm
https://www.uptodate[...]
2017-03-27
[20]
서적
Davidson's principles and practice of medicine
https://archive.org/[...]
Churchill Livingstone/Elsevier
[21]
서적
Introduction to Neurogenic Communication Disorders
[22]
간행물
Vascular Ehlers-Danlos Syndrome
https://www.ncbi.nlm[...]
2019-02-21
[23]
웹사이트
Berry Aneurysm in the Brain
http://www.freemd.co[...]
freemd
2010-08-18
[24]
논문
Natural history of unruptured intracranial aneurysms: probability of and risk factors for aneurysm rupture
2008-05-01
[25]
웹사이트
Cerebral Aneurysm
http://emedicine.med[...]
2010-09-23
[26]
웹사이트
https://www.uptodate[...]
2021-09-08
[27]
웹사이트
Mycotic Aneurysm
http://www.freemd.co[...]
2011-11-13
[28]
논문
Syphilitic aneurysm of the ascending aorta
2012-02-01
[29]
서적
Lysyl oxidases : cloning and characterization of the fourth and the fifth human lysyl oxidase isoenzymes, and the consequences of a targeted inactivaton of the first described lysyl oxidase isoenzyme in mice
http://herkules.oulu[...]
Oulun yliopisto
[30]
논문
Copper, lysyl oxidase, and extracellular matrix protein cross-linking
1998-05-01
[31]
논문
Lysyl oxidase: properties, regulation and multiple functions in biology
1998-02-01
[32]
논문
Is tissue copper deficiency associated with aortic aneurysms?
1985-05-01
[33]
논문
Decreased hepatic copper levels. A possible chemical marker for the pathogenesis of aortic aneurysms in man
1982-09-01
[34]
논문
Copper salts for growth stimulation and alleviation of aortic rupture losses in turkeys
1978-09-01
[35]
웹사이트
DoITPoMS – TLP Library Elasticity in Biological Materials
https://www.doitpoms[...]
2019-05-24
[36]
논문
The composition and mechanical properties of abdominal aortic aneurysms
1994-07
[37]
논문
Biomechanical Determinants of Abdominal Aortic Aneurysm Rupture
2005-08
[38]
논문
Mechanical properties of abdominal aortic aneurysm wall
2001
[39]
논문
Rupture signs on computed tomography, treatment, and outcome of abdominal aortic aneurysms
[40]
웹사이트
Aneurysm Clip
http://surgicalunits[...]
2016-09-18
[41]
논문
Microsurgical clipping and endovascular coiling of intracranial aneurysms: a critical review of the literature
2008-06
[42]
논문
History of endovascular endosaccular occlusion of brain aneurysms: 1965–1990
2007-09
[43]
논문
Flow-diverter devices in the treatment of intracranial aneurysms: A meta-analysis and systematic review
2016-02
[44]
논문
sp.html
http://www.fondazion[...]
Fondazionecarrel.org
2014-05-30
[45]
논문
Improved device for sutureless aortic anastomosis applied in a case of cancer
[46]
논문
Expandable device type III for easy and reliable approximation of dissection layers in sutureless aortic anastomosis. Ex vivo experimental study
2010-02
[47]
웹사이트
Expandable device type III for easy and reliable approximation of dissection layers in sutureless aortic anastomosis. Ex vivo experimental study
http://icvts.ctsnetj[...]
Icvts.ctsnetjournals.org
2014-05-30
[48]
논문
ndicvts.html
http://www.fondazion[...]
Fondazionecarrel.org
2014-05-30
[49]
논문
Kidney salvage in a case of ruptured renal artery aneurysm: case report and literature review
[50]
논문
Renal artery aneurysms. Natural history and prognosis
1983-03
[51]
서적
Interventional management of visceral artery aneurysms
Churchill Livingstone
[52]
논문
Renal artery an?eurysm: a report of 28 cases
[53]
웹사이트
Brain Aneurysm Basics | The Brain Aneurysm Foundation
http://www.bafound.o[...]
Bafound.org
2014-05-30
[54]
논문
Finite element model of size, shape and blood pressure on rupture of intracranial saccular aneurysms
2017-10
[55]
논문
Three-dimensional finite volume modelling of blood flow in simulated angular neck abdominal aortic aneurysm
2017-09
[56]
논문
A computational model for prediction of clot platelet content in flow-diverted intracranial aneurysms
2019-06-25
[57]
논문
Application of Patient-Specific Computational Fluid Dynamics in Coronary and Intra-Cardiac Flow Simulations: Challenges and Opportunities
2018-06-26
[58]
논문
An impact of non-Newtonian blood viscosity on hemodynamics in a patient-specific model of a cerebral aneurysm
2018-08
[59]
논문
Hemodynamic Changes in the Treatment of Multiple Intracranial Aneurysms: A Computational Fluid Dynamics Study
2018-10-01
[60]
논문
Computational fluid dynamics in brain aneurysms
2012-06
[61]
뉴스
Lucy dies
https://www.chicagot[...]
1989-04-27
[62]
웹사이트
Article: Lucille Ball, Pioneer of Television Comedy, Dies at 77
http://www.highbeam.[...]
[63]
뉴스
Ball dies of ruptured aorta
https://www.latimes.[...]
1989-04-27
[64]
웹사이트
Dr. Albert Einstein Dies in Sleep at 76; World Mourns Loss of Great Scientist
https://www.nytimes.[...]
1955-04-19
[65]
뉴스
World Leaders to Gather in Paris to Honour General de Gaulle
1970-11-11
[66]
웹사이트
US Diplomat Holbrooke dies after tearing arota
https://www.nbcnews.[...]
2010-12-14
[67]
웹사이트
Stuart Sutcliffe: Legacy of the fifth Beatle 50 years after his death
http://www.liverpool[...]
2012-04-09
[68]
인터뷰
Chamberlin, Donald oral history
https://archive.comp[...]
Computer History Museum
2009-07-21
[69]
웹사이트
John Ritter's widow talks about wrongful death suit
http://www.today.com[...]
today.com
2008-02-04
[70]
웹사이트
John Ritter: 1948–2003
http://www.people.co[...]
People
2003-09-18
[71]
뉴스
Report: Isabel Granada in coma in Qatar hospital
http://entertainment[...]
2017-10-25
[72]
뉴스
Isabel Granada passes away in Qatar
http://www.gmanetwor[...]
2017-11-05
[73]
웹인용
뇌동맥류
http://www.samsungho[...]
2021-01-14
본 사이트는 AI가 위키백과와 뉴스 기사,정부 간행물,학술 논문등을 바탕으로 정보를 가공하여 제공하는 백과사전형 서비스입니다.
모든 문서는 AI에 의해 자동 생성되며, CC BY-SA 4.0 라이선스에 따라 이용할 수 있습니다.
하지만, 위키백과나 뉴스 기사 자체에 오류, 부정확한 정보, 또는 가짜 뉴스가 포함될 수 있으며, AI는 이러한 내용을 완벽하게 걸러내지 못할 수 있습니다.
따라서 제공되는 정보에 일부 오류나 편향이 있을 수 있으므로, 중요한 정보는 반드시 다른 출처를 통해 교차 검증하시기 바랍니다.
문의하기 : help@durumis.com
