결절성 경화증
"오늘의AI위키"의 AI를 통해 더욱 풍부하고 폭넓은 지식 경험을 누리세요.
1. 개요
결절성 경화증은 뇌, 피부, 신장, 심장 등 여러 장기에 양성 종양을 유발하는 유전 질환이다. 1880년 결절성 경화증이라는 용어가 처음 사용되었으며, TSC1 또는 TSC2 유전자의 돌연변이로 발생한다. 증상으로는 피부 병변(안면 혈관섬유종, 백반 등), 뇌 종양, 뇌전증, 지적 장애, 심장 횡문근종, 신장 혈관근지방종, 폐 림프관평활근종증 등이 나타날 수 있다. 진단은 임상적 특징과 유전자 검사를 통해 이루어지며, 다학제적 치료 접근이 필요하다. 치료에는 약물 치료(mTOR 억제제), 수술, 식이요법 등이 사용되며, 예후는 증상의 심각도에 따라 다르다.
더 읽어볼만한 페이지
- 지적 장애 - 경계선 지적 지능
경계선 지적 지능은 지능 지수 70~85 사이로, 지적 장애보다는 높지만 평균 지능에는 미치지 못하는 상태를 의미하며, 학습 부진, 판단력 저하 등의 특징을 보이고 사회생활과 학업에 어려움을 겪을 수 있다. - 지적 장애 - 로사의 법
- 상염색체 우성 질환 - 헌팅턴병
헌팅턴병은 헌팅턴 유전자 내 CAG 삼염기 반복 서열의 이상으로 인해 발생하는 진행성 신경퇴행성 질환으로, 운동, 인지, 정신 기능에 다양한 증상을 유발하며, 상염색체 우성 유전 방식으로 유전된다. - 상염색체 우성 질환 - 디조지 증후군
디조지 증후군은 22번 염색체 장완 특정 부위 결실로 발생하는 유전 질환으로, 선천성 심장 질환, 구개 결손, 학습 장애, 특징적인 얼굴 외형, 면역 결핍 등 다양한 증상을 보이며 유전자 분석으로 진단하고 맞춤형 치료와 다중 시스템 관리가 필요하며, "22q11.2 결실 증후군"으로 불리기도 한다. - 유전성 피부 질환 - 색소성 건피증
색소성 건피증은 자외선에 손상된 DNA 복구 기능 저하로 발생하는 유전 질환으로, 햇빛 과민반응, 피부암, 신경계 이상을 유발하며, 자외선 차단과 피부암 예방을 주요 치료 목표로 하는 '어둠의 아이들'이라고도 불리는 질환이다. - 유전성 피부 질환 - 어린선
어린선은 피부가 건조해지고 비늘처럼 변하는 유전적 또는 후천적 질환을 통칭하며, 다양한 종류와 증상이 나타나고 국소 연화제로 치료한다.
결절성 경화증 | |
---|---|
일반 정보 | |
![]() | |
동의어 | 결절경화증 Bourneville 병 Bourneville-Pringle 병 |
분야 | 신경학 의학 유전학 |
증상 | 정신 지체 경련 흰색 반점 결절 |
원인 | 유전 |
발병 | 알 수 없음 |
지속 기간 | 알 수 없음 |
유형 | 알 수 없음 |
위험 요소 | 알 수 없음 |
진단 | 알 수 없음 |
감별 진단 | 알 수 없음 |
예방 | 알 수 없음 |
치료 | 알 수 없음 |
약물 | 알 수 없음 |
예후 | 정상적인 기대 수명 |
빈도 | 10만 명당 7~12명 |
사망 | 알 수 없음 |
질병 데이터베이스 | |
질병 데이터베이스 | 13433 |
국제종양질병분류 (ICDO) | 알 수 없음 |
온라인 멘델 유전형질 백과사전 (OMIM) | 191100 |
메들라인플러스 | 000787 |
이메디신 주제 | 신경 |
이메디신 항목 | 386 |
이메디신 멀티 | |
의학 주제 표제 (MeSH) | D014402 |
2. 역사
결절성 경화증(TSC)은 상염색체 우성 유전 질환이지만, 환자의 약 2/3는 유전이 아닌 산발적인 유전자 돌연변이로 인해 발생한다. 유전자 검사로도 돌연변이를 확인하기 어려운 경우가 있다.[14]
결절성 경화증(TSC)은 1835년과 1850년에 피부과 의사들이 특징적인 안면 발진을 처음으로 기술하면서 의학계의 주목을 받았다. 1862년 프리드리히 다니엘 폰 레클링하우젠은 잠시 동안만 생존한 신생아에게서 심장 및 뇌 종양을 확인했다.[40] 1880년 데지레-말로아르 본빌은 이 질환을 처음으로 특징지어 "결절성 경화증"이라는 용어를 붙였고, 이 질환은 그의 이름을 딴 본빌병으로 명명되었다. 1908년 신경과 전문의 포크트는 뇌전증, 정신 지체, 피지선종(안면 혈관섬유종의 구식 용어)의 세 가지 주요 증상을 확립했다.[40]
1979년 마누엘 로드리게스 고메즈는 현재 이해되는 바와 같은 결절성 경화증을 처음으로 완전히 기술하였다.[40] 의료 초음파 검사, CT, MRI의 발전으로 의사들은 생존 환자의 내부 장기를 검사할 수 있게 되었고, 이는 진단 능력을 크게 향상시켰다.
2002년 라파마이신 치료가 동물 종양을 축소하는 데 효과가 있는 것으로 밝혀졌다. 이는 TSC와 관련된 여러 종양을 치료하기 위한 약물로서 라파마이신에 대한 인간 대상 임상 시험으로 이어졌다.[41]
3. 원인
결절성 경화증은 ''TSC1''과 ''TSC2'' 두 유전자의 돌연변이와 관련이 있다. ''TSC1'' 유전자는 9번 염색체 q34에 위치하며 하마틴(hamartin) 단백질을, ''TSC2'' 유전자는 16번 염색체 p13.3에 위치하며 튜베린(tuberin) 단백질을 암호화한다.[15][16] ''TSC2'' 유전자는 다낭성 신장 질환과 관련된 ''PKD1'' 유전자와 인접해 있으며, 두 유전자 모두에 문제가 생기면 어린 나이에 다낭성 신장 질환이 발생할 수 있다.[17]
''TSC1''과 ''TSC2''는 모두 종양 억제 유전자로, Knudson의 "두 번의 타격" 가설에 따라 기능한다. 즉, 종양이 발생하려면 두 유전자에 모두 무작위적인 돌연변이가 발생해야 한다.
3. 1. 유전학
결절성 경화증(TSC)은 상염색체 우성 유전 질환으로, 유전자의 침투율은 높지만 발현되는 정도는 다양하다.[9][13] 환자의 3분의 2는 부모에게서 유전되지 않은 산발적인 유전자 돌연변이로 인해 발생하지만, 이들의 자손은 해당 돌연변이를 유전받을 수 있다. 현재의 유전자 검사로는 질병으로 진단받은 개인의 약 20%에서 돌연변이를 발견하기 어렵다. 지금까지 두 개의 유전자, ''TSC1''과 ''TSC2''가 원인으로 밝혀졌다.[14]
''TSC1''은 9번 염색체 q34에 위치하며, 하마틴(hamartin) 단백질을 암호화한다. 1997년에 발견되었다.[15] ''TSC2''는 16번 염색체 p13.3에 위치하며, 튜베린(tuberin) 단백질을 암호화한다. 1993년에 발견되었다.[16] ''TSC2''는 다낭성 신장 질환(PKD)과 관련된 유전자 ''PKD1''과 인접해 있다. 두 유전자 모두에 영향을 미치는 큰 유전자 결손은 어린 시절에 다낭성 신장 질환을 앓는 TSC 환자 중 2%에서 나타날 수 있다.[17] ''TSC2'' 돌연변이가 ''TSC1'' 돌연변이보다 더 심각한 증상을 유발하는 경향이 있다.[18] 그러나 그 차이가 미미하여 임상적으로 돌연변이를 구별하기는 어렵다. ''TSC2''로 인한 TSC의 비율은 55%에서 90% 사이로 추정된다.[19]
''TSC1''과 ''TSC2''는 모두 종양 억제 유전자이며, Knudson의 "두 번의 타격" 가설에 따라 기능한다. 즉, 종양이 발생하려면 유전자의 두 복사본 모두에 돌연변이가 발생해야 한다. 첫 번째 돌연변이는 유전되거나 산발적으로 발생할 수 있지만, 두 번째 돌연변이는 무작위적으로 발생해야 한다. 이는 높은 침투율에도 불구하고 TSC가 다양한 발현율을 갖는 이유를 설명한다.
하마틴과 튜베린은 복합체를 형성하여 세포 성장과 세포 분열을 조절한다. 이 복합체는 RHEB GTPase와 상호 작용하여, 성장 인자(인슐린) 신호 전달 경로의 일부인 mTOR 신호 전달을 억제한다. 따라서 ''TSC1'' 및 ''TSC2'' 유전자의 돌연변이는 세포 성장 및 세포 분열의 조절 상실을 초래하여 종양 형성을 유발한다.
분자 유전학 연구를 통해 ''TSC1''의 이상은 9q34 염색체에, ''TSC2''의 유전자 이상은 16p13 염색체에 위치한다는 것이 밝혀졌다. ''TSC1''에서는 미스센스 돌연변이가 발생하지 않는다. ''TSC2''에서는 모든 유형의 돌연변이가 보고되었으며, 새로운 돌연변이가 자주 발생한다.
TSC2 유전자의 병원성 돌연변이를 가진 개인의 세포는 글리코겐의 비정상적인 축적을 보인다. 이는 리소좀의 고갈 및 자가포식 손상과 관련이 있다. 자가포식-리소좀 경로에 의한 글리코겐의 결함 있는 분해는 mTORC1의 손상된 조절과는 부분적으로 독립적이며, 배양된 세포에서 PKB/Akt 및 mTORC1 약리학적 억제제를 함께 사용하면 회복된다.[20]
3. 2. 병태생리
TSC1 또는 TSC2 유전자 돌연변이는 세포 성장 및 분열 조절 기능 상실을 유발하여, 다양한 배엽에서 유래된 조직에 과오종을 형성한다. TSC2 유전자 돌연변이를 가진 세포는 글리코겐의 비정상적인 축적을 보이는데, 이는 리소좀 고갈 및 자가포식 손상과 관련이 있다.[20] 자가포식-리소좀 경로에 의한 글리코겐 분해 결함은 mTORC1의 손상된 조절과는 독립적으로 발생하며, PKB/Akt 및 mTORC1 억제제를 함께 사용하여 회복할 수 있다.[20]
하마르틴과 투베린은 세포 성장과 세포 분열 조절에 관여하는 복합체로 기능한다. 이 복합체는 RHEB GTPase와 상호 작용하여, 성장 인자(인슐린) 신호 전달 경로의 일부인 mTOR 신호 전달을 활성화하지 못하도록 격리하는 것으로 보인다. 따라서 ''TSC1'' 및 ''TSC2'' 유전자좌의 돌연변이는 세포 성장 및 세포 분열의 조절 상실을 초래하며, 이는 종양 형성의 소인을 야기한다.
4. 증상
결절성 경화증(TSC)은 과오종(피질 결절 등), 양성 종양(안면 혈관섬유종, 상의하 결절 등), 드물게 암성 과오모세포종으로 인해 다양한 신체적 증상이 나타난다.
결절성 경화증은 뇌, 신장, 심장, 폐, 피부 등 여러 장기에 영향을 미치는 질환이다. 주요 증상은 다음과 같다.
- '''신경학적 증상:''' 발작, 지적 장애, 발달 지연, 행동 문제 등이 나타날 수 있다.
- '''신장 증상:''' 혈관근지방종이라는 양성 종양이 발생할 수 있으며, 혈뇨가 나타나기도 한다.
- '''심장 증상:''' 심장 횡문근종이 발생할 수 있으며, 드물지만 심부전이나 심장 부정맥을 일으킬 수 있다.
- '''폐 증상:''' 림프관평활근종증(LAM)이 발생하여 낭종 형성, 폐포 파괴, 평활근 증식 등이 나타날 수 있으며, 기흉이나 호흡 곤란을 유발할 수 있다.
- '''피부 증상:''' 저색소 반점, 안면 혈관섬유종, 손발톱 섬유종, 샤그린 반점 등 다양한 피부 병변이 나타날 수 있다.


- '''기타 증상:''' 망막의 성상세포 과오종, 콜로보마, 눈꺼풀의 혈관 섬유종, 유두 부종, 췌장 신경내분비 종양[11] 등이 나타날 수 있다.
4. 1. 신경학적 증상
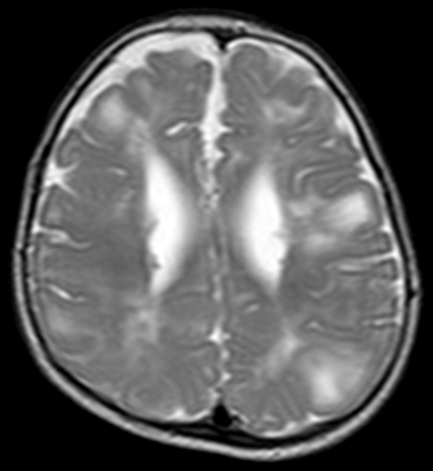
결절성 경화증(TSC)이 뇌에 영향을 미쳐 나타나는 신경학적 증상으로는 발작, 지적 장애, 발달 지연, 행동 문제 등이 있다.[4]결절성 경화증과 관련된 뇌 종양은 세 가지 유형이 있다.[4]
- 거대 세포 별아교세포종: 성장하여 뇌척수액 흐름을 막아 뇌실 확장을 일으켜 두통과 구토를 유발한다.
- 피질 결절: 질병의 이름이 여기서 유래되었다.
- 뇌실하 결절: 뇌실 벽에서 형성된다.
결절은 전형적으로 삼각형 모양이며, 꼭짓점이 뇌실을 향하고 있다. 자기 공명 영상(MRI)에서 TSC 환자는 비정상적인 뉴런 이동과 일치하는 다른 징후를 보일 수 있다. 뇌실하 결절은 시간이 지나면서 석회화되는 경향이 있다. 시간이 지남에 따라 현저하게 조영 증강되고 커지는 결절은 뇌실하 거대 세포 별아교세포종으로의 변형을 의심해야 하며, 이는 전형적으로 몬로공 부위에서 발생하여 폐쇄성 수두증이 발생할 위험이 있다.[4]
결절성 경화증 환자의 약 90%는 다양한 신경 발달, 행동, 정신과적, 심리사회적 어려움을 겪는다. 이러한 어려움은 "결절성 경화증 관련 신경정신 질환"(TAND)으로 불린다. TAND는 행동, 정신과적, 지적, 학업, 신경심리학적, 심리사회적 6가지 수준에서 문제를 일으킨다.[5]
가장 흔한 행동 문제는 과잉 행동, 충동성 및 수면 문제 등이다. 또한 불안, 기분 변화, 심한 공격성도 흔하게 나타난다. 우울한 기분, 자해, 강박적 행동은 덜 흔하게 나타난다.[5]
결절성 경화증 환자는 종종 자폐 스펙트럼 장애(ASD), 주의력 결핍 과잉 행동 장애(ADHD), 불안 장애, 우울 장애와 같은 정신과적 장애로 진단받는다. 결절성 경화증은 자폐 스펙트럼 장애의 가장 흔한 유전적 원인 중 하나이며, 결절성 경화증 환자의 거의 절반에게 영향을 미친다. ADHD는 ASD와 거의 같은 빈도로 결절성 경화증에서 나타난다.[5]
결절성 경화증 환자의 지적 능력은 매우 다양하다. 약 40~50%는 정상적인 IQ를 가지고 있다. 학업 문제는 정상적인 지적 능력을 가진 결절성 경화증 환자에게서도 발생한다. 이는 종종 계산 장애와 같은 특정 학습 장애이지만, 불안, 사회적 기술 부족 또는 낮은 자존감과 같은 학교 생활에 영향을 미치는 다른 측면도 포함한다.[5]
신경심리학적 기술 평가에서 결절성 경화증 환자의 약 절반은 주의력 문제, 기억력 문제, 집행 기능 문제 등 일부 영역에서 심각한 장애를 보인다.[5]
4. 2. 신경정신과적 증상 (TAND)
결절성 경화증 환자의 약 90%는 다양한 신경 발달, 행동, 정신과적, 심리사회적 어려움을 겪는다. 이러한 "결절성 경화증 관련 신경정신 질환"은 TAND로 축약된다. 이러한 어려움은 신경학적 증상에 비해 덜 자주 확인되고 따라서 적절하게 치료되지 않는 경향이 있다.[5] TAND는 행동, 정신과적, 지적, 학업, 신경심리학적, 심리사회적의 6가지 수준에서 조사하고 고려할 수 있다.[5]가장 흔하게 나타나는 행동 문제는 과잉 행동, 충동성 및 수면 문제 등이다. 또한 불안, 기분 변화, 심한 공격성도 흔하게 나타난다. 우울한 기분, 자해, 강박적 행동은 덜 흔하게 나타난다.[5]
결절성 경화증 환자는 종종 자폐 스펙트럼 장애(ASD), 주의력 결핍 과잉 행동 장애(ADHD), 불안 장애 및 우울 장애와 같은 정신과적 장애로 진단받는다. 결절성 경화증은 자폐 스펙트럼 장애의 가장 흔한 유전적 원인 중 하나이며, 이는 결절성 경화증 환자의 거의 절반에게 영향을 미친다. ASD는 TSC1보다 TSC2에서 더 흔하게 나타나며, 더 일찍 시작되고 더 심각한 뇌전증, 그리고 낮은 지적 능력과 더 관련이 있다. ADHD는 ASD와 거의 같은 빈도로 결절성 경화증에서 나타난다(결절성 경화증 환자의 최대 절반). 불안 및 우울 장애는 발생하는 경우 일반적으로 성인 초기에 진단되며 자신의 기분을 표현할 수 있는 지적 능력을 가진 사람들 사이에서 나타난다.[5]
결절성 경화증 환자의 지적 능력은 매우 다양하다. 약 40~50%는 정상적인 IQ를 가지고 있다. 정상 IQ는 TSC2보다 TSC1에서 훨씬 더 흔하게 나타나며, 한 연구에서 심각한 지적 장애는 TSC2의 34%에서 나타난 반면 TSC1에서는 10%에서 나타났다. 학업 문제는 정상적인 지적 능력을 가진 결절성 경화증 환자에게서도 발생한다. 이는 종종 계산 장애(수학 이해)와 같은 특정 학습 장애이지만, 불안, 사회적 기술 부족 또는 낮은 자존감과 같은 학교 생활에 영향을 미치는 다른 측면도 포함한다.[5]
신경심리학적 기술에 대해 평가를 받은 결절성 경화증 환자의 약 절반은 일부 영역에서 하위 5번째 백분위수에 속하며, 이는 심각한 장애를 나타낸다. 여기에는 주의력 문제(예: 보고 듣기와 같이 두 가지 별도의 일에 집중할 수 있는 능력), 기억력(특히 회상, 언어 및 공간 작업 기억력) 및 집행 기능(예: 계획, 자기 모니터링, 인지적 유연성) 문제가 포함된다.[5]
결절성 경화증의 심리사회적 영향에는 개인의 낮은 자존감 및 자기 효능감, 그리고 복잡하고 예측 불가능한 장애에 대처하는 간병인 부담이 포함된다.[5]
4. 3. 신장 증상
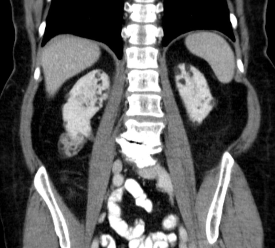
결절성 경화증 환자의 26%에서 80%는 혈관근지방종이라고 불리는 신장의 양성 종양을 가지고 있으며, 혈뇨가 가장 흔한 증상이다.[6] 결절성 경화증 혈관근지방종은 발병 연령(31.5세 vs 53.6세), 평균 종양 크기(8.2cm vs 4.5cm), 수술적 중재가 필요한 사례의 비율(50% vs 28%)에서 결절성 경화증이 아닌 혈관근지방종과 다르다.[6] 양성 종양이지만 4cm보다 큰 혈관근지방종은 자연적으로 또는 경미한 외상으로 잠재적으로 치명적인 출혈의 위험이 있다.
4. 4. 폐 증상
결절성 경화증 환자는 여러 낭종으로 폐 실질이 점진적으로 대체되는 림프관평활근종증(LAM)이 발생할 수 있다.[7] 최근 유전자 분석에 따르면 결절성 경화증 관련 림프관평활근종증에서 증식하는 세기관지 평활근은 공존하는 신장 혈관근종에서 유래한 단클론 전이이다. 폐 이식 후 재발하는 결절성 경화증 관련 림프관평활근종증 사례가 보고되었다.[7]폐 림프관 근종증(LAM, 과오종성 폐 림프관 근종증)은 젊은 여성에게서 나타나는 드문 질환이다. 병리학적으로는 혈관근지방종의 폐 병변과 구별할 수 없으며, LAM을 폐 국한형 결절성 경화증으로 보는 사람도 있다. CT에서는 광범위한 낭포 형성이 나타나며, 병리학적으로는 폐포 파괴와 평활근 증식이 관찰된다. 폐쇄성 환기 장애를 일으키며, 기흉의 원인이 되기도 한다. 진행된 사례에서는 폐 이식이 필요하다.
4. 5. 심장 증상
심장 근육의 작은 종양인 심장 횡문근종은 일반 인구에서는 드물지만(어린이의 약 0.2%) 결절성 경화증(TSC) 환자에게는 매우 흔하다. TSC가 있는 2세 미만의 어린이 중 약 80%가 최소 하나의 횡문근종을 가지고 있으며, 그중 약 90%는 여러 개의 횡문근종을 가지고 있다. 횡문근종이 하나 이상 있는 어린이 대부분과 여러 개의 횡문근종이 있는 거의 모든 어린이에게서 TSC가 발견된다. 심장 전문의인 산부인과 초음파 검사사가 수행하는 산전 초음파 검사로 20주 후에 횡문근종을 감지할 수 있다. 횡문근종은 크기가 몇 밀리미터에서 몇 센티미터까지 다양하며, 보통 하부 심실(심실)에서 발견되고 상부 심방(심방)에서는 덜 발견된다. 임신 후반기에 크기가 커지지만 출생 후에는 퇴행하며, 2세 이상의 어린이에게는 약 20%에서만 나타난다.[8]대부분의 횡문근종은 문제를 일으키지 않지만, 일부는 태아 또는 생후 1년 동안 심부전을 일으킬 수 있다. 횡문근종은 TSC에서 비교적 흔한 심장 부정맥의 발달과 관련이 있는 것으로 여겨진다. 부정맥은 정기적인 심전도 검사를 하는 것 외에는 TSC 환자에게서 발견하기 어려울 수 있다. 예를 들어, 부정맥은 실신을 유발하여 무긴장 발작과 혼동될 수 있으며, 심계항진과 같은 부정맥 증상은 발달 지연이 있는 개인에게서 보고되지 않을 수 있다.[8]
4. 6. 피부 증상
결절성 경화증 환자의 96%에서 피부과적 징후가 나타난다. 대부분은 문제를 일으키지 않지만 진단에 도움이 된다. 일부 사례는 기형을 유발하여 치료가 필요할 수 있다. 가장 흔한 피부 이상은 다음과 같다.- 저색소 반점 ("잿잎 반점")은 결절성 경화증 환자의 약 90%에서 나타난다.[21] 이 작고 흰색 또는 더 밝은 피부 반점은 신체의 어느 곳에서나 나타날 수 있으며, 멜라닌 부족으로 인해 발생한다. 일반적으로 출생 시 결절성 경화증의 유일한 가시적인 징후이다. 피부가 흰 개인의 경우, 이를 확인하기 위해 우드 등 (자외선)이 필요할 수 있다. 두피에서는 흰색 머리카락 반점 (백모증)이 나타날 수 있다. 3mm 미만의 반점은 "색종이 조각" 피부 병변으로 알려져 있다.[21]
- 안면 혈관섬유종은 결절성 경화증 환자의 약 75%에서 나타난다.[21] 이것은 코와 뺨에 나타나는 붉은 반점이나 융기된 부위의 발진으로, 나비 분포를 보이며 혈관과 섬유 조직으로 구성된다. 이 잠재적으로 사회적으로 당황스러운 발진은 어린 시절에 나타나기 시작한다.
- 손발톱 섬유종: 코넨 종양이라고도 하며, 발톱이나 손톱 주변과 아래에서 자라는 작고 살이 많은 종양이다. 어린 시절에는 드물지만 중년이 되면 흔하다.[9] 일반적으로 손가락보다 발가락에 더 흔하며, 15~29세에 발병하고, 남성보다 여성에게 더 흔하다.
- 섬유성 두부 판은 결절성 경화증 환자의 약 25%에서 나타난다.[21] 이것은 일반적으로 이마에서 발견되지만, 때로는 얼굴이나 두피의 다른 부위에서도 발견되는 융기되고 변색된 부위이다.
- 샤그린 반점은 결절성 경화증 환자의 약 절반에서 나타나며, 어린 시절에 나타난다.[21] 이것은 오렌지 껍질처럼 움푹 들어간 두껍고 가죽 같은 피부 부위로, 색소가 침착되어 있으며, 일반적으로 허리 아래쪽이나 목덜미에서 발견되거나 몸통이나 허벅지에 흩어져 있다. 이러한 병변의 빈도는 나이가 들어감에 따라 증가한다.
- 치아 에나멜 반점은 결절성 경화증이 있는 거의 모든 성인에서 발견된다.[21]
- 구강 내 섬유종은 잇몸, 뺨 안쪽 또는 혀에서 발견되는 작은 표면 종양이다. 잇몸 (치은) 섬유종은 결절성 경화증 환자의 약 20-50%에서 발견되며, 성인에게서 더 흔하다.[21]
4. 7. 기타 증상
망막 병변은 성상 세포 과오종(또는 "파코마")이라고 불리며, 안과 검사에서 눈 뒤쪽에 회색 또는 황백색 병변으로 나타난다. 성상 세포 과오종은 석회화될 수 있으며, CT 스캔에서 석회화된 안구 종괴의 감별 진단에 포함된다.[10]결절성 경화증과 관련된 비망막 병변은 다음과 같다.
췌장 신경내분비 종양은 드문 결절성 경화증(TSC) 사례에서 보고되었다.[11]
5. 진단
결절성 경화증(TSC)은 임상적 검사와 유전자 검사를 통해 진단한다. TSC1 및 TSC2 유전자에서 다양한 돌연변이가 확인되었는데, 이러한 유전자에서 병원성 돌연변이가 발생하면 단백질이 생성되지 않거나 비활성화된다.[21]
TSC는 삶의 어느 단계에서든 처음 진단될 수 있다. 정기적인 초음파 검사 중에 심장 종양이 발견되면 우연히 산전 진단이 가능하다. 영아기에는 뇌전증, 특히 영아 연축 또는 발달 지연이 신경 검사로 이어질 수 있다. 피부의 흰색 반점이 처음으로 발견될 수도 있다. 아동기에는 행동 문제 및 자폐 스펙트럼 장애가 진단을 유발할 수 있다. 청소년기에는 피부 문제가 나타난다. 성인기에는 신장 및 폐 문제가 발생할 수 있다. 다른 환자의 가족 구성원에 대한 유전자 검사 결과에 따라 언제든지 진단받을 수도 있다.[23]
5. 1. 임상적 진단 기준
결절성 경화증은 임상적 검사와 유전자 검사를 통해 진단된다. 결절성 경화증에 고유한(특징적인) 징후는 없으며, 모든 징후가 모든 개인에게서 나타나는 것도 아니다. 따라서 여러 징후를 함께 고려하며, 주요 특징 또는 부 특징으로 분류한다. 주요 특징 2개 또는 주요 특징 1개와 부 특징 2개 이상이 있는 개인에게는 결절성 경화증 확정 진단을 내릴 수 있다. 주요 특징 1개 또는 부 특징 2개 이상만 있는 경우, 결절성 경화증일 가능성이 있다고 간주한다.[21]주요 특징 | ||||
---|---|---|---|---|
위치 | 징후 | 발병[22] | 비고 | |
1 | 피부 | 저색소 반점 | 영아 – 아동 | 직경 5mm 이상, 3개 이상 |
2 | 머리 | 안면 혈관섬유종 또는 섬유성 두부 플라크 | 영아 – 성인 | 혈관섬유종 3개 이상 |
3 | 손가락과 발가락 | 손발톱 섬유종 | 청소년 – 성인 | 2개 이상 |
4 | 피부 | 샤그린 반점(결합 조직 모반) | 아동 | |
5 | 눈 | 다발성 망막 결절 과오종 | 영아 | |
6 | 뇌 | 피질 이형성 | 태아 | (결절 및 대뇌 백색질 방사형 이동선 포함) |
7 | 뇌 | 실방막하 결절 | 아동 – 청소년 | |
8 | 뇌 | 실방막하 거대 세포 성상 세포종 | 아동 – 청소년 | |
9 | 심장 | 심장 횡문근종 | 태아 | |
10 | 폐 | 림프관평활근종증 | 청소년 – 성인 | |
11 | 신장 | 신장 혈관근지방종 | 아동 – 성인 | 2개 이상. 10과 11을 합쳐 주요 특징 1개로 간주한다. |
부 특징 | ||||
위치 | 징후 | 비고 | ||
1 | 피부 | "색종이" 피부 병변 | ||
2 | 치아 | 치아 에나멜 구멍 | 3개 이상 | |
3 | 잇몸 | 구강내 섬유종 | 2개 이상 | |
4 | 눈 | 망막 무색 반점 | ||
5 | 신장 | 다발성 신장 낭종 | ||
6 | 간, 비장 및 기타 장기 | 신장 외 과오종 |
5. 2. 유전자 검사
TSC1 또는 TSC2 유전자에 병원성 변이(pathogenic variant)가 확인되면 결절성 경화증(TSC)을 확진할 수 있다.[21] 그러나 유전자 검사에서 이러한 변이가 발견되지 않는 경우도 있는데, TSC 환자의 약 10~25%에서 돌연변이가 확인되지 않는다.[21] TSC 환자에게서 특정 돌연변이가 확인되면, 이 돌연변이를 사용하여 다른 가족 구성원에게서 확실한 진단을 내릴 수 있다.[21]6. 검사
뇌 MRI를 통해 뇌 결절, 뇌실막하 결절, 뇌실막하 거대세포 별아교세포종 등을 확인할 수 있다.[21] 뇌파 검사(EEG)를 통해서는 뇌전증 여부를 확인하고, 발작 유형을 평가한다.[21] 복부 CT 또는 MRI를 통해 신장 혈관근지방종, 신장 낭종 등을 확인할 수 있다.[6] 고해상도 흉부 CT (HRCT)를 통해 폐 림프관평활근종증 여부를 확인할 수 있는데, 이는 주로 성인 여성에게서 나타난다.[7] 심장 초음파 검사를 통해서는 심장 횡문근종 여부를 확인할 수 있으며, 주로 영유아에게서 발견된다.[8] 안과 검진을 통해서는 망막 과오종 등을 확인할 수 있고[10], 피부과 진찰을 통해서는 피부 병변을 확인한다.[21]
7. 치료
결절성 경화증은 현재까지 근본적인 치료법이 알려져 있지 않다. 따라서 나타나는 주요 증상을 완화하는 대증 요법이 치료의 중심이 된다.
- '''영아 연축''': ACTH 요법이나 비가바트린영어(상품명 사브릴)을 사용한다.
- '''양성 신장 종양(AML), 양성 뇌종양(SEGA)''': 외과적 절제를 하거나 에베로리무스(상품명 아피니토르)를 사용한다.
- '''안면 혈관섬유종, 종양''': 외과적 절제, Nd:YAG 레이저 조사, 탄산 가스 레이저 조사 등을 시행하며, 라파마이신은 임상 시험 단계에 있다.
- '''림프관 평활근종증(LAM)''': 시롤리무스(상품명: 라파뮤)를 사용한다.
7. 1. 뇌전증
결절성 경화증 환자의 약 90%는 다양한 신경 발달, 행동, 정신과적, 심리사회적 어려움을 겪는다. 이러한 어려움은 "결절성 경화증 관련 신경정신 질환"으로 불리며, TAND로 축약된다.[5]영아 연축과 같은 뇌전증 증상은 결절성 경화증의 주요 증상 중 하나이며, 이에 대한 치료법은 다음과 같다.
- 항경련제: 발작 조절을 위해 사용된다.
- 영아 연축: 비가바트린 또는 ACTH 요법이 효과적이다.
- 난치성 뇌전증: 케톤 생성 식이 요법, 뇌 수술 등이 고려될 수 있다.
7. 2. 종양

결절성 경화증(TSC)과 관련된 뇌 종양은 세 가지 유형이 있다.[4]
- 거대 세포 별아교세포종: 뇌척수액의 흐름을 막아 뇌실 확장을 일으키고, 이로 인해 두통과 구토를 유발한다.
- 피질 결절: 결절성 경화증이라는 질병의 이름은 여기서 유래되었다.
- 뇌실하 결절: 뇌실 벽에서 형성된다.
자기 공명 영상(MRI)에서 TSC 환자는 T2WI에서 고신호 강도를 보이는 방사형 백질 경로 및 이소성 회백질과 같은 비정상적인 뉴런 이동과 일치하는 다른 징후를 보일 수 있다. 뇌실하 결절은 비정상적이고 부어오른 신경교 세포와 신경교 또는 뉴런 기원이 불확실한 기괴한 다핵 세포로 구성되며, 신경 조직은 존재하지 않는다. 이 결절은 환자가 나이가 들면서 석회화되는 경향이 있다. 시간이 지남에 따라 현저하게 조영 증강되고 커지는 결절은 뇌실하 거대 세포 별아교세포종으로의 변형을 의심해야 하며, 이는 전형적으로 몬로공 부위에서 발생하여 폐쇄성 수두증이 발생할 위험이 있다.
결절성 경화증 환자의 26%에서 80%는 혈관근종이라고 불리는 신장의 양성 종양을 가지고 있으며, 혈뇨가 가장 흔한 증상이다.[6] 4cm보다 큰 혈관근종은 자연적으로 또는 경미한 외상으로 잠재적으로 치명적인 출혈의 위험이 있다.
결절성 경화증 환자는 여러 낭종으로 폐 실질이 점진적으로 대체되는 림프관평활근종증(LAM)이 발생할 수 있다.
근본적인 치료법은 존재하지 않지만, 주요 증상에 대한 치료는 다음과 같다.
7. 3. 피부 병변
결절성 경화증 환자의 96%에서 피부과적 징후가 나타난다. 대부분은 문제를 일으키지 않지만 진단에 도움이 된다. 일부 사례는 기형을 유발하여 치료가 필요할 수 있다. 가장 흔한 피부 이상은 다음과 같다.[21]
- 저색소 반점 ("잿잎 반점"): 결절성 경화증 환자의 약 90%에서 나타난다. 이 작고 흰색 또는 더 밝은 피부 반점은 신체의 어느 곳에서나 나타날 수 있으며, 멜라닌 부족으로 인해 발생한다. 일반적으로 출생 시 결절성 경화증의 유일한 가시적인 징후이다. 피부가 흰 개인의 경우, 이를 확인하기 위해 우드 등 (자외선 빛)이 필요할 수 있다. 두피에서는 흰색 머리카락 반점 (백모증)이 나타날 수 있다. 3mm 미만의 반점은 "색종이 조각" 피부 병변으로 알려져 있다.
- 안면 혈관섬유종: 결절성 경화증 환자의 약 75%에서 나타난다. 이것은 코와 뺨에 나타나는 붉은 반점이나 융기된 부위의 발진으로, 나비 분포를 보이며 혈관과 섬유 조직으로 구성된다. 이 잠재적으로 사회적으로 당황스러운 발진은 어린 시절에 나타나기 시작한다.
- 손발톱 섬유종: 코넨 종양이라고도 하며, 발톱이나 손톱 주변과 아래에서 자라는 작고 살이 많은 종양이다. 어린 시절에는 드물지만 중년이 되면 흔하다.[9] 일반적으로 손가락보다 발가락에 더 흔하며, 15~29세에 발병하고, 남성보다 여성에게 더 흔하다.
- 섬유성 두부 판: 결절성 경화증 환자의 약 25%에서 나타난다. 이것은 일반적으로 이마에서 발견되지만, 때로는 얼굴이나 두피의 다른 부위에서도 발견되는 융기되고 변색된 부위이다.
- 샤그린 반점: 결절성 경화증 환자의 약 절반에서 나타나며, 어린 시절에 나타난다. 이것은 오렌지 껍질처럼 움푹 들어간 두껍고 가죽 같은 피부 부위로, 색소가 침착되어 있으며, 일반적으로 허리 아래쪽이나 목덜미에서 발견되거나 몸통이나 허벅지에 흩어져 있다. 이러한 병변의 빈도는 나이가 들어감에 따라 증가한다.
- 치아 에나멜 반점: 결절성 경화증이 있는 거의 모든 성인에서 발견된다.
- 구강 내 섬유종: 잇몸, 뺨 안쪽 또는 혀에서 발견되는 작은 표면 종양이다. 잇몸(치은) 섬유종은 결절성 경화증 환자의 약 20~50%에서 발견되며, 성인에게서 더 흔하다.
안면 혈관섬유종, 종양의 경우 외과적 절제, Nd:YAG 레이저 조사, 탄산 가스 레이저 조사, 라파마이신 (임상 시험 단계)을 통해 치료할 수 있다.
7. 4. 신장 혈관근지방종
결절성 경화증 환자의 26%에서 80%는 혈관근종이라고 불리는 신장의 양성 종양을 가지고 있으며, 혈뇨가 가장 흔한 증상이다.[6] 결절성 경화증 혈관근종은 발병 연령(31.5세 vs 53.6세), 평균 종양 크기(8.2cm vs 4.5cm), 수술적 중재가 필요한 사례의 비율(50% vs 28%)에서 결절성 경화증이 아닌 혈관근종과 다르다.[6] 양성 종양이지만 4cm보다 큰 혈관근종은 자연적으로 또는 경미한 외상으로 잠재적으로 치명적인 출혈의 위험이 있다.
mTOR 억제제는 종양 크기를 줄이고 출혈 위험을 감소시킨다. 출혈이 있는 경우, 색전술을 통해 혈관을 막아 지혈한다. 신장 절제술은 가급적 피해야 한다. 양성 신장 종양(AML)에는 외과적 절제나 에베로리무스(상품명 아피니토르)를 사용한다.
7. 5. 폐 림프관평활근종증
결절성 경화증 환자는 여러 낭종으로 폐 실질이 점진적으로 대체되는 림프관평활근종증(LAM)이 발생할 수 있다. 최근 유전자 분석에 따르면 결절성 경화증 관련 림프관평활근종증에서 증식하는 세기관지 평활근은 공존하는 신장 혈관근종에서 유래한 단클론 전이이다. 폐 이식 후 재발하는 결절성 경화증 관련 림프관평활근종증 사례가 보고되었다.[7]폐 림프관평활근종증(LAM)은 젊은 여성에게서 나타나는 드문 질환이다. 병리학적으로는 혈관근지방종의 폐 병변과 구별할 수 없으며, LAM을 폐 국한형 결절성 경화증으로 보는 사람도 있다. CT에서는 광범위한 낭포 형성이 나타나며, 병리학적으로는 폐포 파괴와 평활근 증식이 관찰된다. 폐쇄성 환기 장애를 일으키며, 기흉의 원인이 되기도 한다. 진행된 사례에서는 폐 이식이 필요하다.
시롤리무스(상품명: 라파뮤-®, 노벨 파마 제조 판매)가 림프관평활근종증 (LAM)에 사용된다.
7. 6. 기타
결절성 경화증은 여러 장기를 침범하는 질환이므로, 신경과, 신장내과, 호흡기내과, 피부과, 유전학 등 다양한 분야의 전문가 협진이 필요하다.질병 진행 상황을 지속적으로 관찰하고 합병증을 조기에 발견하기 위해 정기적인 검진이 필수적이다. 가족 계획 단계에 있다면 유전 상담을 통해 질병의 유전 가능성과 관련된 정보를 얻는 것이 좋다.
2012년 국제 결절성 경화증 합의 회의에서는 TSC가 의심되거나 새로 진단된 경우 다음과 같은 검사 및 절차를 권장했다.[24]
- 3대에 걸친 개인 및 가족력을 조사한다. 유전 상담 및 검사를 통해 다른 가족 구성원의 위험 여부를 판단한다.
- 뇌 MRI를 촬영하여 결절, 상의하 결절(SEN) 및 상의하 거대 세포 성상 세포종(SEGA)을 확인한다.
- 소아는 기저 뇌파 검사(EEG)를 받고, 가족은 발작 발생 시 대처법을 교육받는다.
- 소아의 행동 문제, 자폐 스펙트럼 장애, 정신 질환, 발달 지연 및 신경 심리적 문제를 평가한다.
- 복부 MRI를 통해 다양한 장기의 종양, 특히 신장의 혈관근종을 검사한다. 혈압을 측정하고 신장 기능을 검사한다.
- 성인 여성의 경우, 폐 기능을 검사하고 흉부의 고해상도 컴퓨터 단층 촬영(HRCT)을 수행한다.
- 우드 램프(저색소 반점), 손가락과 발가락(손발톱 섬유종), 얼굴(혈관 섬유종), 입(치아 함몰 및 잇몸 섬유종) 아래의 피부를 검사한다.
- 3세 미만의 영아는 심장 초음파 검사를 통해 횡문근종을, 심전도(ECG)를 통해 부정맥을 확인한다.
- 안저검사를 통해 망막 과오종 또는 무색 반점을 확인한다.
TSC로 인한 다양한 증상과 합병증은 평생에 걸쳐 나타날 수 있으므로, 지속적인 감시와 치료 조정이 필요하다. 2012년 국제 결절성 경화증 합의 회의에서는 다음과 같은 지속적인 검사 및 절차를 권장했다.[24]
- 25세 미만의 소아 및 성인의 경우, SEGA를 모니터링하기 위해 1~3년마다 뇌 MRI를 수행한다. SEGA가 크거나, 성장하거나, 뇌실을 침범하는 경우, MRI를 더 자주 수행한다. 25세 이후에는 SEGA가 없으면 정기적인 스캔이 더 이상 필요하지 않을 수 있다. 급성 증상을 유발하는 SEGA는 수술로 제거하거나, mTOR 억제제를 사용한 약물 치료를 할 수 있다.
- TSC 관련 신경 정신과 장애(TAND)에 대한 선별 검사를 최소 연 1회 실시한다. 갑작스러운 행동 변화는 새로운 신체적 문제(예: 신장, 간질 또는 SEGA)를 나타낼 수 있다.
- 임상적 필요에 따라 정기적인 EEG를 실시한다.
- 영아 연축은 비가바트린으로 가장 잘 치료하며, 부신피질 자극 호르몬은 2차 치료제로 사용된다. 다른 발작 유형에 대한 TSC 특이적 권장 사항은 없지만, TSC의 간질은 일반적으로 치료하기 어렵다(의학적으로 난치성).
- 평생 동안 1~3년마다 복부 MRI를 반복한다. 매년 신장 기능을 확인한다. 혈관근종 출혈이 있는 경우, 색전술과 코르티코스테로이드로 가장 잘 치료된다. 신장 제거(신절제술)는 피해야 한다. 3cm보다 크게 성장하는 무증상 혈관근종은 mTOR 억제제 약물로 가장 잘 치료된다. 영상 검사에서 발견된 기타 신장 합병증에는 다낭성 신장 질환 및 신세포암이 있다.
- 성인 여성의 경우 5~10년마다 흉부 HRCT를 반복한다. 림프관평활근종증(LAM)의 증거는 더 자주 검사해야 함을 나타낸다. mTOR 억제제 약물이 도움이 될 수 있지만, 폐 이식이 필요할 수 있다.
- 12유도 심전도는 3~5년마다 수행해야 한다.
mTOR 억제제 에베롤리무스는 뇌(상의하 거대 세포 성상 세포종) 및 신장(신장 혈관근종)의 TSC 관련 종양 치료에 사용된다.[25][26] 경구 에베롤리무스(라파로그)는 종양 크기를 줄이고, 피부 병변에 효과적이며, 부작용의 위험을 증가시키지 않는다.[27] 에베롤리무스는 TSC가 있는 일부 환자의 간질 치료에도 효과를 보였다.[28][29] 2017년, 유럽 위원회는 TSC와 관련된 난치성 부분 발작 치료를 위해 에베롤리무스를 승인했다.[30]
신경외과적 중재는 TSC 환자의 발작의 심각성과 빈도를 줄일 수 있다.[31][32] 색전술 및 기타 외과적 중재는 급성 출혈이 있는 신장 혈관근종을 치료하는 데 사용될 수 있다. 성인 TSC 환자의 림프관평활근종증(LAM) 증상에 대한 외과적 치료에는 기흉을 예방하기 위한 흉막 유착술과 가역적 폐 부전의 경우 폐 이식이 포함된다.[24]
TSC의 증상과 징후를 치료하는 데 사용된 다른 치료법에는 난치성 간질에 대한 케톤 식이요법과 LAM에 대한 폐 재활이 있다.[33] 얼굴 혈관 섬유종은 레이저 치료로 줄일 수 있으며, mTOR 억제제 국소 치료의 효과가 조사되고 있다. 레이저 치료는 고통스럽고, 마취가 필요하며, 흉터 및 색소 침착 이상과 같은 위험이 있다.[34]
8. 예후
결절성 경화증 환자의 예후는 증상의 심각성에 따라 다르다. 경미한 피부 이상에서부터 다양한 정도의 학습 장애 및 간질, 심한 지적 장애, 조절되지 않는 발작 및 신부전에 이르기까지 다양하다. 경미한 증상이 있는 환자는 일반적으로 잘 지내며 오래, 생산적인 삶을 살 수 있지만, 더 심한 형태의 환자는 심각한 장애를 가질 수 있다. 그러나 적절한 의료 관리를 받으면, 이 질환을 가진 대부분의 환자는 정상적인 기대 수명을 기대할 수 있다.[2]
이집트의 30명의 결절성 경화증 환자를 대상으로 한 연구에서는 다음과 같은 사실이 밝혀졌다.[35]
- 발작 개시 연령이 빠를수록(6개월 미만) 발작 결과와 낮은 지적 능력이 관련이 있다.
- 영아 연축과 심하게 뇌전증성인 뇌파 패턴은 발작 결과, 낮은 지적 능력 및 자폐 행동과 관련이 있다.
- 결절의 수가 많을수록 발작 결과와 자폐 행동이 관련이 있다.
- 좌측 결절 부담은 낮은 지능과 관련이 있으며, 전두엽 위치는 자폐 스펙트럼 장애에서 더 많이 나타난다.
따라서, 나쁜 결과의 위험 요인을 줄이기 위해 정신 발달에 대한 면밀한 추적 관찰과 발작의 조기 조절이 권장된다. 또한 자폐증의 조기 진단은 조기 치료와 결절성 경화증을 앓는 어린이의 더 나은 결과를 위한 잠재력을 가능하게 할 것이다.[35]
주요 사망 원인으로는 신장 질환, 뇌 종양, 폐의 림프관근종증, 심한 지적 장애가 있는 환자의 간질 중첩증 또는 기관지 폐렴이 있다.[36] 횡문근종으로 인한 심부전은 태아 또는 신생아에게 위험하지만 그 이후에는 거의 문제가 되지 않는다. 혈관근종 및 낭종과 같은 신장 합병증은 흔하며, 남성보다 여성, 그리고 ''TSC1''보다 ''TSC2''에서 더 자주 발생한다. 신세포암은 흔하지 않다. 림프관근종증은 혈관근종이 있는 여성에게만 위험하다.[37] 뇌에서는 상의하 결절이 가끔 상의하 거대 세포 성상 세포종으로 변성된다. 이것들은 뇌 주위의 뇌척수액 순환을 막아 수두증을 유발할 수 있다.
이 질환의 발견 후에는 유전 상담이 이루어져야 한다. 또한 이 질환에는 완치가 없지만 증상을 대증적으로 치료할 수 있다는 것을 인식하는 것이 중요하다. 따라서 결절성 경화증의 다양한 장기 증상에 대한 인식이 중요하다.[38]
참조
[1]
서적
Neurocutaneous Syndromes
2015
[2]
웹사이트
Tuberous Sclerosis Fact Sheet
https://www.ninds.ni[...]
National Institute of Neurological Disorders and Stroke
2018-07-06
[3]
간행물
First descriptions of tuberous sclerosis by Désiré-Magloire Bourneville (1840-1909)
2018-12
[4]
간행물
Standardized whole brain mapping of tubers and subependymal nodules in tuberous sclerosis complex
2004-09
[5]
간행물
A clinical update on tuberous sclerosis complex-associated neuropsychiatric disorders (TAND)
2018-09
[6]
간행물
The Tuberous Sclerosis Complex and its Highly Variable Manifestations
http://www.jurology.[...]
2003-05
[7]
간행물
Metastasis of benign tumor cells in tuberous sclerosis complex
2003-12
[8]
간행물
Cardiovascular manifestations of tuberous sclerosis complex and summary of the revised diagnostic criteria and surveillance and management recommendations from the International Tuberous Sclerosis Consensus Group
2014-11
[9]
서적
GeneReviews
University of Washington
[10]
간행물
Tuberous Sclerosis Complex: A Review
2017-04
[11]
간행물
Well-differentiated pancreatic neuroendocrine carcinoma in tuberous sclerosis--case report and review of the literature
2012-01
[12]
서적
Tuberous Sclerosis Complex: From Basic Science to Clinical Phenotypes
Mac Keith Press
[13]
간행물
Reduced penetrance in tuberous sclerosis
1985-02
[14]
간행물
The genetic basis of tuberous sclerosis
1998-07
[15]
간행물
Identification of the tuberous sclerosis gene TSC1 on chromosome 9q34
1997-08
[16]
간행물
Identification and characterization of the tuberous sclerosis gene on chromosome 16
1993-12
[17]
간행물
Deletion of the TSC2 and PKD1 genes associated with severe infantile polycystic kidney disease--a contiguous gene syndrome
1994-12
[18]
간행물
Mutational analysis in a cohort of 224 tuberous sclerosis patients indicates increased severity of TSC2, compared with TSC1, disease in multiple organs
2001-01
[19]
간행물
Analysis of 65 tuberous sclerosis complex (TSC) patients by TSC2 DGGE, TSC1/TSC2 MLPA, and TSC1 long-range PCR sequencing, and report of 28 novel mutations
2005-10
[20]
간행물
Abnormal glycogen storage in tuberous sclerosis complex caused by impairment of mTORC1-dependent and -independent signaling pathways.
2019-02
[21]
간행물
Tuberous sclerosis complex diagnostic criteria update: recommendations of the 2012 International Tuberous Sclerosis Complex Consensus Conference
2013-10
[22]
간행물
The tuberous sclerosis complex
2006-09
[23]
웹사이트
Tuberous Sclerosis Complex
https://www.uhb.nhs.[...]
University Hospitals Birmingham NHS Foundation Trust
[24]
간행물
Tuberous sclerosis complex surveillance and management: recommendations of the 2012 International Tuberous Sclerosis Complex Consensus Conference
2013-10
[25]
웹사이트
Press Announcements - FDA approves Afinitor for non-cancerous kidney tumors caused by rare genetic disease
https://www.fda.gov/[...]
2017-02-08
[26]
웹사이트
FDA Approval for Everolimus
https://www.cancer.g[...]
2009-04-21
[27]
간행물
Rapamycin and rapalogs for tuberous sclerosis complex
2023-07
[28]
간행물
Adjunctive everolimus therapy for treatment-resistant focal-onset seizures associated with tuberous sclerosis (EXIST-3): a phase 3, randomised, double-blind, placebo-controlled study
2016-10
[29]
간행물
Profile of everolimus in the treatment of tuberous sclerosis complex: an evidence-based review of its place in therapy
2016
[30]
뉴스
Novartis drug Votubia® receives EU approval to treat refractory partial-onset seizures in patients with TSC
https://globenewswir[...]
GlobeNewswire News Room
2017-02-08
[31]
간행물
Origin and propagation of epileptic spasms delineated on electrocorticography
2005-07
[32]
간행물
α-[11C]-Methyl-L-tryptophan--PET in 191 patients with tuberous sclerosis complex
2013-08
[33]
간행물
Infantile spasms treated with the ketogenic diet: prospective single-center experience in 104 consecutive infants
2010-08
[34]
간행물
Tuberous Sclerosis Complex: An Update for Dermatologists
2015-09
[35]
간행물
Seizures and intellectual outcome: clinico-radiological study of 30 Egyptian cases of tuberous sclerosis complex
2011-03
[36]
논문
Causes of death in patients with tuberous sclerosis
1991-08
[37]
논문
Renal manifestations of tuberous sclerosis complex: Incidence, prognosis, and predictive factors
2006-11
[38]
논문
The UK guidelines for management and surveillance of Tuberous Sclerosis Complex
https://academic.oup[...]
2019
[39]
논문
Prevalence of tuberous sclerosis estimated by capture-recapture analysis
1998-05
[40]
서적
Tuberous Sclerosis Complex: From Basic Science to Clinical Phenotypes
Mac Keith Press
[41]
웹사이트
Zur Geschichte der Tuberösen Sklerose (The History of Tuberous Sclerosis)
http://www.tsdev.de/[...]
Tuberöse Sklerose Deutschland e.V
2007-01-08
[42]
뉴스
【新薬】ビガバトリン(サブリル)GABA分解酵素を阻害する点頭てんかん治療薬
https://medical.nikk[...]
日経メディカル
2016-06-03
[43]
뉴스
「アフィニトール®」、結節性硬化症に伴う腎血管筋脂肪腫および上衣下巨細胞性星細胞腫の治療薬として効能効果追加承認を取得
http://www.novartis.[...]
ノバルティスファーマ株式会社 プレスリリース
[44]
연구
神経皮膚症候群に関する調査研究・結節性硬化症の顔面血管線維腫に対するラパマイシン軟膏外用療法に関する研究
https://jglobal.jst.[...]
片山一朗、金田眞理、田中まり(大阪大大学院医学系研究科)
본 사이트는 AI가 위키백과와 뉴스 기사,정부 간행물,학술 논문등을 바탕으로 정보를 가공하여 제공하는 백과사전형 서비스입니다.
모든 문서는 AI에 의해 자동 생성되며, CC BY-SA 4.0 라이선스에 따라 이용할 수 있습니다.
하지만, 위키백과나 뉴스 기사 자체에 오류, 부정확한 정보, 또는 가짜 뉴스가 포함될 수 있으며, AI는 이러한 내용을 완벽하게 걸러내지 못할 수 있습니다.
따라서 제공되는 정보에 일부 오류나 편향이 있을 수 있으므로, 중요한 정보는 반드시 다른 출처를 통해 교차 검증하시기 바랍니다.
문의하기 : help@durumis.com