맨위로가기

경색증

"오늘의AI위키"는 AI 기술로 일관성 있고 체계적인 최신 지식을 제공하는 혁신 플랫폼입니다.
"오늘의AI위키"의 AI를 통해 더욱 풍부하고 폭넓은 지식 경험을 누리세요.

1. 개요

경색증은 혈액 공급 중단으로 인해 조직에 산소와 영양 공급이 부족하여 발생하는 질환이다. 혈관 폐색, 외부 압박, 외상, 혈관 수축 등이 원인이 될 수 있으며, 빈혈성 경색증(백색 경색증), 출혈성 경색증(적색 경색증) 등으로 분류된다. 경색증은 심장, 뇌, 폐, 비장, 사지 등 다양한 부위에서 발생하며, 심근 경색, 뇌경색, 폐색전증 등과 연관된다. 응급 처치로는 심장 경색증의 경우 심근 경색증에 대한 응급 처치가, 뇌 경색증의 경우 뇌졸중 응급 처치가 필요하다.

더 읽어볼만한 페이지

  • 사인별 죽음 - 뇌졸중
    뇌졸중은 뇌로 가는 혈액 공급이 막혀 뇌세포가 손상되는 질환으로, 허혈성 뇌졸중과 출혈성 뇌졸중으로 나뉘며, 조기 진단과 치료, 그리고 위험 요인 관리를 통한 예방이 중요하다.
  • 사인별 죽음 - 감전
    감전은 전류가 인체를 통과하며 발생하는 전기적 충격으로, 다양한 요인에 따라 위험성이 달라지며 심각한 경우 사망에 이를 수 있고, 예방을 위해 안전 수칙 준수가 필수적이지만, 의료적 목적으로 활용되기도 하며 윤리적 논란의 여지도 있다.
경색증
질병 정보
분야병리학
폐경색
미세 현미경 사진. 비교적 정상적인 폐 옆에 폐경색이 보인다. H&E 염색.
정의
정의혈액 공급 부족으로 인한 조직 괴사
영어Infarction
어원라틴어 "infarcire" (채우다)

2. 원인

경색증은 혈액 공급이 중단되어 조직 부위에 산소와 영양 공급이 부족해지는 허혈이 장기간 지속되면서 발생하는 질환이다. 혈액을 공급하는 혈관이 혈관 내의 폐색(예: 동맥 색전증, 혈전, 죽상 경화반)으로 막히거나, 혈관 외부 압박(예: 종양, 장염전, 탈장)으로 좁아지거나, 외상으로 파열되어 하류 혈압이 감소하거나, 혈관 수축(예: 심근 경색을 유발하는 코카인 혈관 수축)으로 인해 발생할 수 있다.[5]

경색증은 손상된 콜레스테롤 플라크로 인해 발생할 수 있다.


고혈압과 죽상 경화증은 죽상 경화반과 혈전 색전증의 위험 요인이다. 죽상경화성 병변에서는 섬유성 캡 아래에 플라크가 형성된다. 섬유성 캡이 대식세포에서 방출된 금속 단백질 분해 효소나 혈류의 혈관 내 전단력에 의해 분해되면, 혈관 내피하 혈전 유발 물질(세포외 기질)이 혈액 순환 혈소판에 노출되고 혈관벽에서 혈전이 형성되어 혈류를 폐쇄한다. 때로는 플라크가 파열되어 색전을 형성, 혈류와 함께 하류로 이동하여 혈관이 좁아지고 결국 혈관 내강을 막을 수 있다.

혈전이나 색전에 의한 혈관 폐색이 주된 원인이며, 동맥경화증 등의 혈관 병변에 의한 경우도 많다. 혈전이나 색전에 의한 폐색은 급격하게 발병하며, 거의 완전하고 영구적인 경색인 경우가 많다.

3. 분류

경색은 크게 빈혈성 경색증(백색 경색증)과 출혈성 경색증(적색 경색증)으로 나눌 수 있다.

폐색전증으로 인한 폐 경색

  • 빈혈성 경색증(백색 경색증): 주로 뇌경색, 심근 경색, 비장, 신장 등에서 나타난다. 뇌경색에서는 괴사로 함몰된 뇌 조직이 융해 괴사(뇌연화증)를 일으킨다. 모양은 쐐기 모양이지만, 입체적으로는 원뿔형으로 보인다.[1]
  • 출혈성 경색증(적색 경색증): 정맥 폐쇄나 동맥 폐쇄, 또는 동맥 폐쇄에 정맥 폐쇄가 더해지는 경우에 발생한다. 주로 혈관의 이중 지배를 받는 폐(폐동맥, 기관지 동맥), (간동맥, 문맥), 소장이나 대장 등의 장관(많은 장간막 동맥 가지가 문합한다), 생식기(고환, 난소)에서 나타난다. 모양은 쐐기 모양이 아니라, 지도 모양으로 보이며 출혈로 인해 암적색을 띤다. 소장은 교액성 장폐색, 난소는 난소 낭종의 염전, 정맥성 혈전증에서는 비장이나 신장, 뇌에 출혈성 경색이 생길 수 있다.[1]


시간 경과에 따라서 다음과 같이 분류할 수 있다.

  • 신선 경색증: 울혈, 부종 및 출혈로 인해 해당 장기가 붓고 커진다. 점차 경색 부위는 창백에서 회백색으로 변하므로 경색의 경계는 명확하다.[1]
  • 만성 경색증: 경색 부위에 육아 조직이 나타나고, 섬유화되어 콜라겐 섬유의 증식으로 반흔 수축한다. 육안으로는 회백색이며, 표면은 함몰이나 요철이 심해지고, 경색 반흔이 생긴다. 경색 부위가 크거나 회복이 불충분한 경우 경색 부위가 완전히 응고 괴사하지 않고 중심부가 액화 연화 상태(융해 괴사)로 남을 수 있다. 후에 낭포, 석회화가 일어난다. 뇌에서는 응고 괴사가 일어나지 않고, 연화 융해된다. 뇌경색에서 연화가 일어나는 것은 뇌 조직의 지질이 단백 응고를 억제하기 때문이다.[1]

3. 1. 조직병리학적 분류

경색은 존재하는 혈액의 양에 따라 백색 경색(빈혈성 경색)과 적색 경색(출혈성 경색) 두 가지 유형으로 나뉜다.

혈전은 혈관벽에 응고된 혈전증일 수 있다.

  • 백색 경색(빈혈성 경색)은 비장, 심장, 신장과 같은 고형 장기에 영향을 미치며, 여기서 조직의 고체성은 허혈성 괴사 영역으로 흐를 수 있는 영양분(혈액/산소/포도당/연료)의 양을 실질적으로 제한한다. 심한 레이노 현상에서와 같이 심한 혈관 수축의 결과로 혈류에 대한 유사한 혈관 폐쇄 및 그에 따른 괴사가 발생하여 영구적인 괴저로 이어질 수 있다.
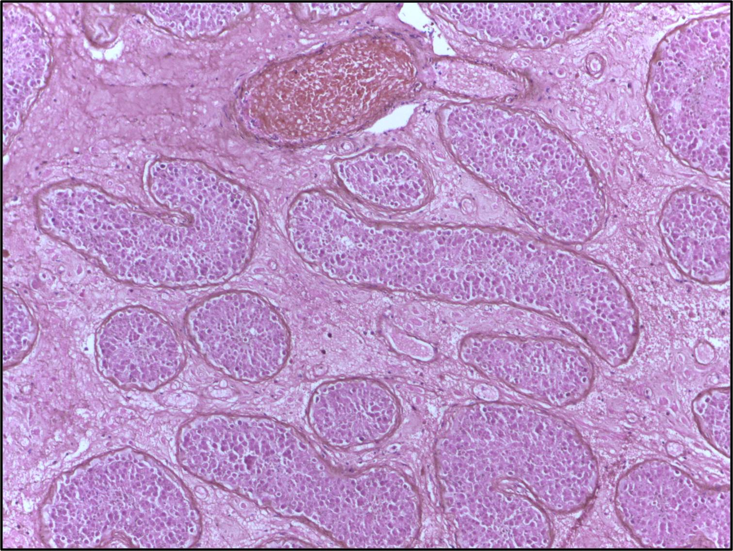
  • 적색 경색(출혈성 경색)은 일반적으로 폐 또는 기타 느슨한 장기(고환, 난소, 소장)에 영향을 미친다. 혈관 폐쇄는 더 많은 적혈구피브린 가닥으로 구성된다.


출혈성 경색을 보여주는 고환의 현미경 사진. H&E 염색.


적색 경색의 특징은 다음과 같다.

특징
정맥의 폐쇄
혈액이 경색된 구역에 모이는 것을 허용하는 느슨한 조직
이중 순환계를 가진 조직(폐, 소장)
이전에 정맥 유출의 둔화로 인해 울혈이 발생한 조직
이전에 허혈성 조직의 재관류 손상(손상)[6]



재관류 손상은 심근 경색, 뇌졸중(뇌 경색), 쇼크-소생술, 재접합 수술, 동상, 화상장기 이식과 같은 질환과 관련이 있다.[7]

; 빈혈성 경색증(백색 경색증)

: 주로 뇌경색, 심근 경색, 비장, 신장 등에서 나타난다. 뇌경색에서는 괴사로 함몰된 뇌 조직이 융해 괴사한다. (뇌연화증). 모양은 쐐기 모양이지만, 입체적으로는 원뿔형으로 보인다.

; 출혈성 경색증(적색 경색증)

: 정맥 폐쇄에만 발생하는 경우, 정맥 폐쇄나 동맥 폐쇄가 속발하는 경우, 동맥 폐쇄에 정맥 폐쇄가 더해지는 경우에 발생한다. 주로 혈관의 이중 지배를 받는 장기에서 일어나기 쉽다. 예시로 폐(폐동맥, 기관지 동맥), (간동맥, 문맥), 소장이나 대장 등의 장관(많은 장간막 동맥 가지가 문합한다), 생식기(고환, 난소)에서 나타난다. 모양은 쐐기 모양이 아니라, 지도 모양으로 보인다. 출혈로 인해 암적색을 띤다. 소장은 교액성 장폐색, 난소는 난소 낭종의 염전, 정맥성 혈전증에서는 비장이나 신장, 뇌에 출혈성 경색이 생길 수 있다.

; 신선 경색증

: 울혈, 부종 및 출혈로 인해 해당 장기는 종창, 팽륭한다. 점차 경색 부위는 창백에서 회백색으로 변하므로 경색의 경계는 명확하다.

; 만성 경색증

: 경색 부위에는 육아 조직이 나타나고, 나중에 섬유화되어 콜라겐 섬유의 증식으로 반흔 수축한다. 육안으로는 회백색이며, 표면은 함몰이나 요철이 심해지고, 경색 반흔이 생긴다. 다만, 경색 부위가 크거나 불충분한 회복의 경우 경색 부위가 완전히 응고 괴사하지 않고 중심부가 잔존하여 액화 연화 상태(융해 괴사)에 있다. 후에 낭포, 석회화가 일어난다. 뇌에서는 응고 괴사가 일어나지 않고, 연화 융해된다. 뇌경색에서 연화가 일어나는 것은 뇌 조직의 지질이 단백 응고를 억제하기 때문이다.

3. 2. 발생 부위별 분류


  • '''심장''': 심근 경색은 흔히 '심장 마비'로 알려져 있으며, 관상 동맥 폐색(막힘)으로 인해 심장 세포 일부가 죽는 현상이다. 취약 죽상 경화 반 파열로 발생하며, 이는 지질백혈구(특히 대식세포)가 동맥 벽에 불안정하게 모여 있는 것이다. 이로 인한 허혈과 산소 부족이 지속되면 심장 근육 조직(심근)이 손상되거나 죽게 된다.[8]
  • '''뇌''': 뇌 경색은 뇌에 혈액을 공급하는 혈관 장애로 인한 허혈뇌졸중의 일종이다. 동맥경화성 혈전성 또는 색전성일 수 있으며, 뇌출혈 및 지주막하 출혈과는 구별된다. 뇌 경색은 심각도에 따라 다르며, 사례의 3분의 1이 사망으로 이어진다. 허혈에 반응하여 뇌는 액화 괴사 과정을 통해 변성된다.[9]
  • '''폐''': 폐 경색
  • '''비장''': 비장 경색은 비장 동맥 또는 그 분지 중 하나가 폐색될 때 발생하며, 혈전 등에 의해 발생한다. 무증상으로 발생할 수 있지만, 일반적인 증상은 복통의 심한 복부 왼쪽 위 사분면 통증이며, 때로는 왼쪽 어깨로 방사되기도 한다. 발열과 오한이 일부 경우에 발생한다.[10] 급성 복부의 다른 원인과 구별되어야 한다.
  • '''사지''': 사지 경색은 또는 다리의 경색이다. 원인으로는 동맥 색전증과 오랫동안 관리되지 않은 당뇨병의 드문 합병증인 ''골격근 경색''이 있다.[11] 주요 증상은 고통스러운 허벅지 또는 다리 부종이다.[11]
  • '''뼈''': 의 경색은 무혈관성 괴사를 유발한다. 혈액이 없으면 뼈 조직이 죽고 뼈가 붕괴된다.[12] 무혈관성 괴사가 관절의 뼈를 포함하는 경우, 종종 관절 연골 표면의 파괴로 이어진다 (박리성 골연골염 참조).
  • '''고환''': 고환의 경색은 일반적으로 고환 꼬임에 의해 발생하며, 수술로 충분히 빠르게 해결되지 않으면 고환 절제술이 필요할 수 있다.[13]
  • '''눈''': 중심 망막 동맥 경색은 망막에 혈액을 공급하여 갑작스러운 시력 상실을 유발할 수 있다.
  • '''창자''': 창자 경색은 일반적으로 창자에 혈액을 공급하는 동맥 또는 정맥의 막힘으로 인한 장간막 허혈에 의해 발생한다.
  • '''빈혈성 경색증 (백색 경색증)''': 주로 뇌경색, 심근 경색, 비장, 신장 등에서 나타난다. 뇌경색에서는 괴사로 함몰된 뇌 조직이 융해 괴사한다. (뇌연화증). 모양은 쐐기 모양이지만, 입체적으로는 원뿔형으로 보인다.
  • '''출혈성 경색증 (적색 경색증)''': 정맥 폐쇄, 정맥 폐쇄나 동맥 폐쇄가 속발하는 경우, 동맥 폐쇄에 정맥 폐쇄가 더해지는 경우에 발생한다. 주로 혈관의 이중 지배를 받는 장기에서 일어나기 쉽다. 폐 (폐동맥, 기관지 동맥), (간동맥, 문맥), 소장이나 대장 등의 장관 (많은 장간막 동맥 가지가 문합한다), 생식기 (고환, 난소)에서 나타난다. 모양은 쐐기 모양이 아니라, 지도 모양으로 보인다. 출혈로 인해 암적색을 띤다. 소장은 교액성 장폐색, 난소는 난소 낭종의 염전, 정맥성 혈전증에서는 비장이나 신장, 뇌에 출혈성 경색이 생길 수 있다.
  • '''신선 경색증''': 울혈, 부종 및 출혈로 인해 해당 장기는 종창, 팽륭한다. 점차 경색 부위는 창백에서 회백색으로 변하므로 경색의 경계는 명확하다.
  • '''만성 경색증''': 경색 부위에는 육아 조직이 나타나고, 나중에 섬유화되어 콜라겐 섬유의 증식으로 반흔 수축한다. 육안으로는 회백색이며, 표면은 함몰이나 요철이 심해지고, 경색 반흔이 생긴다. 다만, 경색 부위가 크거나 불충분한 회복의 경우 경색 부위가 완전히 응고 괴사하지 않고 중심부가 잔존하여 액화 연화 상태 (융해 괴사)에 있다. 후에 낭포, 석회화가 일어난다. 뇌에서는 응고 괴사가 일어나지 않고, 연화 융해된다. 뇌경색에서 연화가 일어나는 것은 뇌 조직의 지질이 단백 응고를 억제하기 때문이다.

3. 3. 경과에 따른 분류

; 빈혈성 경색증(백색 경색증)

: 주로 뇌경색, 심근 경색, 비장, 신장 등에서 나타난다. 뇌경색에서는 괴사로 함몰된 뇌 조직이 융해 괴사(뇌연화증)한다. 모양은 쐐기 모양이지만, 입체적으로는 원뿔형으로 보인다.[1]

; 출혈성 경색증(적색 경색증)

: 정맥 폐쇄에만 발생하는 경우, 정맥 폐쇄나 동맥 폐쇄가 속발하는 경우, 동맥 폐쇄에 정맥 폐쇄가 더해지는 경우에 발생한다. 주로 혈관의 이중 지배를 받는 장기에서 일어나기 쉽다. 폐(폐동맥, 기관지 동맥), (간동맥, 문맥), 소장이나 대장 등의 장관(많은 장간막 동맥 가지가 문합한다), 생식기(고환, 난소)에서 나타난다. 모양은 쐐기 모양이 아니라, 지도 모양으로 보인다. 출혈로 인해 암적색을 띤다. 소장은 교액성 장폐색, 난소는 난소 낭종의 염전, 정맥성 혈전증에서는 비장이나 신장, 뇌에 출혈성 경색이 생길 수 있다.[1]

; 신선 경색증

: 울혈, 부종 및 출혈로 인해 해당 장기는 종창, 팽륭한다. 점차 경색 부위는 창백에서 회백색으로 변하므로 경색의 경계는 명확하다.[1]

; 만성 경색증

: 경색 부위에는 육아 조직이 나타나고, 나중에 섬유화되어 콜라겐 섬유의 증식으로 반흔 수축한다. 육안으로는 회백색이며, 표면은 함몰이나 요철이 심해지고, 경색 반흔이 생긴다. 다만, 경색 부위가 크거나 불충분한 회복의 경우 경색 부위가 완전히 응고 괴사하지 않고 중심부가 잔존하여 액화 연화 상태(융해 괴사)에 있다. 후에 낭포, 석회화가 일어난다. 뇌에서는 응고 괴사가 일어나지 않고, 연화 융해된다. 뇌경색에서 연화가 일어나는 것은 뇌 조직의 지질이 단백 응고를 억제하기 때문이다.[1]

4. 연관 질병

경색증과 관련된 질병은 다음과 같다.

5. 응급 처치

각 유형의 경색증은 자체적인 관리가 필요하다.

심장 경색증은 심근 경색증(급성 관상 동맥 증후군으로 인한)에 대한 응급 처치가 필요하다.

뇌 경색증은 뇌졸중 응급 처치 (F.A.S.T.라고 명명된 프로토콜 사용)가 필요하다.

참조

[1] 웹사이트 Definition of Infarction http://www.medterms.[...] WebMD 2011-04-27
[2] 웹사이트 infarct http://www.thefreedi[...] TheFreeDictionary.com
[3] 웹사이트 infract http://www.collinsdi[...] CollinsDictionary.com 2012-11-22
[4] 웹사이트 Infarct | Origin and meaning of infarct by Online Etymology Dictionary http://www.etymonlin[...]
[5] 웹사이트 Infarction - an overview {{!}} ScienceDirect Topics https://www.scienced[...] 2023-04-01
[6] 논문 Prevention of lung reperfusion injury in rabbits by a monoclonal antibody against interleukin-8
[7] 논문 LEX 032: a novel recombinant human protein for the treatment of ischaemic reperfusion injury
[8] 서적 Adams and Victor's principles of neurology McGraw-Hill Medical Pub. Division
[9] 서적 Robbins and Cotran pathologic basis of disease https://www.worldcat[...] 2015
[10] 논문 The clinical spectrum of splenic infarction
[11] 논문 Skeletal muscle infarction in diabetes mellitus
[12] 논문 Osteonecrosis in the foot
[13] 웹사이트 Testicular torsion - Symptoms and causes https://www.mayoclin[...] 2021-08-10
[14] 웹인용 Definition of Infarction http://www.medterms.[...] WebMD 2011-04-27
[15] 웹인용 infarct http://www.thefreedi[...] TheFreeDictionary.com
[16] 웹사이트 infract http://www.collinsdi[...] CollinsDictionary.com 2012-11-22
[17] URL http://www.etymonlin[...]



본 사이트는 AI가 위키백과와 뉴스 기사,정부 간행물,학술 논문등을 바탕으로 정보를 가공하여 제공하는 백과사전형 서비스입니다.
모든 문서는 AI에 의해 자동 생성되며, CC BY-SA 4.0 라이선스에 따라 이용할 수 있습니다.
하지만, 위키백과나 뉴스 기사 자체에 오류, 부정확한 정보, 또는 가짜 뉴스가 포함될 수 있으며, AI는 이러한 내용을 완벽하게 걸러내지 못할 수 있습니다.
따라서 제공되는 정보에 일부 오류나 편향이 있을 수 있으므로, 중요한 정보는 반드시 다른 출처를 통해 교차 검증하시기 바랍니다.

문의하기 : help@durumis.com