근육포자충속
"오늘의AI위키"의 AI를 통해 더욱 풍부하고 폭넓은 지식 경험을 누리세요.
1. 개요
근육포자충속은 정단복합체충문에 속하는 기생충 속으로, 1843년 생쥐에서 처음 발견되었다. 이 속은 다양한 종을 포함하며, 생활사는 종숙주와 중간 숙주의 포식-피식 관계를 갖는다. 인간은 덜 익힌 육류 섭취를 통해 감염될 수 있으며, 장 감염과 근육 감염을 일으킬 수 있다. 소, 돼지, 양, 말 등 가축에서도 감염이 발생하며, 식욕 부진, 발열, 설사 등의 증상을 유발할 수 있다. 예방을 위해서는 육류를 충분히 익혀 먹고, 위생적인 사육 환경을 조성해야 한다. 진단은 근육 생검이나 분변 검사를 통해 이루어지며, 치료는 주로 대증 요법을 시행한다. 근육포자충 감염은 전 세계적으로 나타나며, 숙주-기생충 관계 및 역학 연구가 활발히 진행되고 있다.
더 읽어볼만한 페이지
- 설치류 매개 질병 - 페스트
페스트는 쥐벼룩을 통해 전파되는 예르시니아 페스티스균에 의한 감염병으로, 림프절 부종, 전신 출혈, 폐렴 등 다양한 증상을 보이며, 항생제로 치료 가능하지만 조기 진단과 치료가 중요하고, 역사적으로 대규모 범유행을 일으켰으며 현재도 일부 지역에서 발생하고 생물무기로 사용될 가능성도 있다. - 설치류 매개 질병 - 살모넬라
살모넬라는 장내세균과에 속하는 그람음성 간균 속으로, 두 종과 2,500개 이상의 혈청형이 존재하며, 오염된 식품 섭취를 통해 식중독 및 다양한 질병을 유발하고, 식품 가열 조리 및 위생 관리, 장티푸스 백신 접종으로 예방이 가능하며, 항생제 내성 문제도 존재한다. - 정단복합체충류 - 톡소포자충
톡소포자충은 고양이과 동물을 종숙주로, 사람을 포함한 다양한 동물들을 중간숙주로 삼는 세포 내 기생 원생생물로, 덜 익힌 고기 섭취나 고양이 분변 등을 통해 사람에게 감염될 수 있으며, 면역력이 약한 사람에게는 심각한 질병을 일으킬 수 있고 숙주의 행동 변화와도 관련이 있다는 연구가 진행 중이다. - 정단복합체충류 - 말라리아원충
말라리아원충은 아피콤플렉사문에 속하는 진핵생물로서, 적혈구 내 무성 생식, 헤모조인 생성, 곤충과 척추 숙주를 오가는 복잡한 생활사, 다양한 종과 아속을 가지며, 인간에게 말라리아를 유발하는 병원체이다.
근육포자충속 - [생물]에 관한 문서 | |
---|---|
기본 정보 | |
![]() | |
학명 | Sarcocystis |
명명자 | Lankester, 1882 |
하위 분류 | |
속 | 종 섹션 참조. |
동의어 |
2. 역사
1843년 바젤 대학교의 미셸(Miescher)이 생쥐에서 근육포자충을 처음으로 발견하였다.[1] 미셸의 아들 요한 프리드리히 미셰르는 DNA를 발견했다. 초기에 이 생물은 곰팡이인지 원생동물인지 불분명했다. 1967년 전자 현미경 연구를 통해 톡소플라스마(톡소포자충) 및 아이메리아와 관련된 원생동물임이 밝혀졌다.[2]
근육포자충은 일반적으로 종숙주와 중간 숙주의 두 숙주를 거치는 이종숙주 생활사를 가진다.[3] 중간 숙주(초식동물, 잡식동물)가 포자낭(sporocyst)을 섭취하면, 포자소체(sporozoite)가 방출되어 혈관을 통해 여러 조직으로 이동하고, 분열체(meront)를 형성하여 무성생식(분열생식, schizogony)을 한다. 근육 세포 내에서 분열소체(merozoite)는 모세포(metrocyte)를 형성하고, 육포자(sarcocyst)를 형성한다. 육포자 내에서는 서서분열체(bradyzoite)가 형성된다.[4] 종숙주(육식동물)가 중간 숙주의 근육 조직을 섭취하면, 서서분열체가 장 내에서 유성생식을 하여 대배우자모세포(macrogametocyte)와 소배우자모세포(microgametocyte)를 형성한다. 배우자(gamete)의 수정으로 접합자(zygote)가 형성되고, 난포자(oocyst)로 발달한다. 난포자는 분변을 통해 배출되며, 난포자 내에서 포자생식(sporogony)을 통해 두 개의 포자낭이 생성된다. 각 포자낭에는 4개의 포자소체가 들어있다.
근육포자충속은 정단복합체충문 근육포자충과에 속하는 가장 큰 속이다. 1843년 생쥐에서 처음 발견되었으며,[1] 초기에는 원생생물과의 관련성이 명확하지 않아 "미셰르의 소관"으로 불렸다. 1967년 전자 현미경 연구를 통해 톡소플라스마 및 아이메리아와 관련된 원생동물임이 밝혀졌다.
1970년대에 근육포자충의 생활사가 밝혀졌는데, 조류 근육의 근육포자낭에서 유래한 서맥원충(bradyzoite)이 배양된 포유류 세포에 접종되어 성적 단계와 오시스트(Oocyst)로 발달하는 것이 관찰되었다. 개, 고양이, 사람에서 소의 근육포자충(당시에는 단일 종으로 간주되었던 ''Sarcocystis fusiformis'')을 이용한 전염 연구 결과, 형태학적으로 뚜렷한 세 종(''S. bovicanis'', ''S. bovifelis'', ''S. bovihominis'')이 밝혀졌다.[2]
1868년에 인간 감염에 대한 첫 보고가 있었고, 이후 몇 건의 추가 보고가 발표되었지만, 결정적인 것으로 간주되지는 않았다. 1894년 Baraban과 Saint-Remy에 의해 발표된 설명이 일반적으로 인정되는 최초의 결정적인 설명이다.[12]
3. 생활사
종숙주와 중간 숙주의 두 숙주를 왕복하는 생활환을 가지며, 종숙주가 포식자, 중간 숙주가 피식자의 관계인 경우가 많다. 중간 숙주가 환경 중의 포자낭을 경구 섭취하면 포자낭에서 방출된 포자충이 혈관에 침입하여 무성 생식을 시작하고, 최종적으로 근육 조직 등에 도달하여 사르코시스트를 형성한다. 처음에는 단일의 메트로사이트가 무수히 증식하고, 그 후 감염 능력이 있는 브라디조이트가 생성된다. 종숙주가 중간 숙주를 포식할 때 조직 중의 사르코시스트를 섭취하면, 브라디조이트가 소장에 도달하여 유성 생식을 수행하고, 생성된 오오시스트가 분변과 함께 배출된다. 오오시스트는 성숙하면 벽이 파열되어 포자낭이 방출되고, 이것이 경구적으로 중간 숙주로 감염된다.
어떤 경우에는 단일 종이 종숙주와 중간 숙주 역할을 모두 할 수 있다. 조류의 근육포자충 생활사는 1977년에 처음 기술되었으며,[5] 1986년에는 최종 숙주와 중간 숙주 모두 조류인 생활사가 보고되었다.[6]
4. 분류
근육포자충속은 베스노이티아, 낭포포자충속, 프렌켈리아, 이소포자충속, 해먼디아, 네오스포라, 톡소포자충속 등과 관련이 있다.[26][27] 분자 계통 연구에 따르면, 프렌켈리아는 근육포자충속에 포함될 수 있다. 근육포자충속 내에는 ''S. dispersa'', ''S. lacertae'', ''S. mucosa'', ''S. muris'', ''S. neurona'', ''S. rodentifelis''와 프렌켈리아를 포함하는 분지군 등 여러 분지군이 확인되었다.
4. 1. 하위 종
근육포자충속에는 다양한 종이 있으며, 그 중 의학 및 수의학적으로 중요한 종은 다음과 같다.[28]
종 | 중간 숙주 | 최종 숙주 |
---|---|---|
Sarcocystis bertrami (말육포자충) | 말 | 개 |
Sarcocystis cruzi (크루지육포자충) | 소 | 개과 동물 |
Sarcocystis fayeri (페이어육포자충) | 말 | 개 |
Sarcocystis hirsuta | 소 | 고양이 |
Sarcocystis hominis (사람육포자충) | 소 | 협비원류 |
Sarcocystis miescheriana | 돼지 | 개과 동물 |
Sarcocystis neurona | (불명) | 주머니쥐 |
Sarcocystis porcifelis | 돼지 | 고양이 |
Sarcocystis suihominis (돼지육포자충) | 돼지 | 협비원류 |
Sarcocystis tenella (양육포자충) | 양 | 개과 동물 |
Frenkelia영어속은 설치류를 중간 숙주로 하고 맹금류를 최종 숙주로 하는 매우 유사한 생물이다. 최종 숙주가 조류라는 점과 근육보다 뇌에 낭포를 만들기 쉽다는 점에서 구별되어 왔지만, 분자 계통 분석에 따르면 근육포자충속 내부에 포함되는 것으로 나타났다.
그 외 근육포자충속에는 다음과 같은 종들이 있다.
- ''Sarcocystis accipitris''
- ''Sarcocystis alces''
- ''Sarcocystis alceslatrans''
- ''Sarcocystis ameivamastigodryasi''
- ''Sarcocystis americana''
- ''Sarcocystis arieticanis''
- ''Sarcocystis asinus''
- ''Sarcocystis atheridis''
- ''Sarcocystis aucheniae''
- ''Sarcocystis bertrami''
- ''Sarcocystis bigemina''
- ''Sarcocystis booliati''
- ''Sarcocystis bovicanis''
- ''Sarcocystis bovifelis''
- ''Sarcocystis bovihominis''
- ''Sarcocystis buffalonis''
- ''Sarcocystis calchasi''
- ''Sarcocystis cameli''
- ''Sarcocystis camelopardalis''
- ''Sarcocystis campestris''
- ''Sarcocystis chamaleonis''
- ''Sarcocystis cernae''
- ''Sarcocystis cervi''
- ''Sarcocystis cervicanis''
- ''Sarcocystis canis''
- ''Sarcocystis capracanis''
- ''Sarcocystis cornixi''
- ''Sarcocystis crotali''
- ''Sarcocystis cruzi''
- ''Sarcocystis cuniculi''
- ''Sarcocystis cymruensis''
- ''Sarcocystis danzani''
- ''Sarcocystis dasypi''
- ''Sarcocystis debonei''
- ''Sarcocystis diminuta''
- ''Sarcocystis dirumpens''
- ''Sarcocystis dispersa''
- ''Sarcocystis dubeyella''
- ''Sarcocystis dubeyi''
- ''Sarcocystis equicanis''
- ''Sarcocystis falcatula''
- ''Sarcocystis fayeri''
- ''Sarcocystis felis''
- ''Sarcocystis fulicae''
- ''Sarcocystis fusiformis''
- ''Sarcocystis gallotiae''
- ''Sarcocystis garnhami''
- ''Sarcocystis gracilis''
- ''Sarcocystis grueneri''
- ''Sarcocystis halieti''
- ''Sarcocystis hoarensis''
- ''Sarcocystis gerbilliechis''
- ''Sarcocystis gigantea''
- ''Sarcocystis giraffae''
- ''Sarcocystis gongyli''
- ''Sarcocystis greineri''
- ''Sarcocystis hardangeri''
- ''Sarcocystis hemioni''
- ''Sarcocystis hemionilatrantis''
- ''Sarcocystis hericanis''
- ''Sarcocystis hircicanis''
- ''Sarcocystis hirsuta''
- ''Sarcocystis hjorti''
- ''Sarcocystis hofmanni''
- ''Sarcocystis hominis''
- ''Sarcocystis horvathi''
- ''Sarcocystis iberica''
- ''Sarcocystis idahoensis''
- ''Sarcocystis inghami''
- ''Sarcocystis jamaicensis''
- ''Sarcocystis jorrini''
- ''Sarcocystis kinosterni''
- ''Sarcocystis kirkpatricki''
- ''Sarcocystis kirmsei''
- ''Sarcocystis klaseriensis''
- ''Sarcocystis kortei''
- ''Sarcocystis lacertae''
- ''Sarcocystis lamacanis''
- ''Sarcocystis leporum''
- ''Sarcocystis levinei''
- ''Sarcocystis lindemanni''
- ''Sarcocystis lindsayi''
- ''Sarcocystis linearis''
- Sarcocystis markusila
- ''Sarcocystis medusiformis''
- ''Sarcocystis melis''
- ''Sarcocystis mephitisi''
- ''Sarcocystis miescheriana''
- ''Sarcocystis mihoensis''
- ''Sarcocystis mitrani''
- ''Sarcocystis mongolica''
- ''Sarcocystis montanaensis''
- ''Sarcocystis morae''
- ''Sarcocystis mucosa''
- ''Sarcocystis moulei''
- ''Sarcocystis murinotechis''
- ''Sarcocystis muris''
- ''Sarcocystis muriviperae''
- ''Sarcocystis neotomafelis''
- ''Sarcocystis nesbitti''
- ''Sarcocystis neurona''
- ''Sarcocystis odoi''
- ''Sarcocystis odocoileocanis''
- ''Sarcocystis ovicanis''
- ''Sarcocystis ovifelis''
- ''Sarcocystis oviformis''
- ''Sarcocystis ovalis''
- ''Sarcocystis phacochoeri''
- ''Sarcocystis phoeniconaii''
- ''Sarcocystis pilosa''
- ''Sarcocystis podarcicolubris''
- ''Sarcocystis poephagi''
- ''Sarcocystis poephagicanis''
- ''Sarcocystis porcifelis''
- ''Sarcocystis porcihominis''
- ''Sarcocystis rangi''
- ''Sarcocystis rangiferi''
- ''Sarcocystis rauschorum''
- ''Sarcocystis rileyi''
- ''Sarcocystis rodentifelis''
- ''Sarcocystis roudabushi''
- ''Sarcocystis scandinavica''
- ''Sarcocystis sebeki''
- ''Sarcocystis sibirica''
- ''Sarcocystis sigmodontis''
- ''Sarcocystis silva''
- ''Sarcocystis singaporensis''
- ''Sarcocystis speeri''
- ''Sarcocystis stehlinii''
- ''Sarcocystis stenodactylicolubris''
- ''Sarcocystis strixi''
- ''Sarcocystis suicanis''
- ''Sarcocystis suihominis''
- ''Sarcocystis sulawesiensis''
- ''Sarcocystis sybillensis''
- ''Sarcocystis tarandi''
- ''Sarcocystis tarandivulpes''
- ''Sarcocystis tenella''
- ''Sarcocystis tilopodi''
- ''Sarcocystis turcicii''
- ''Sarcocystis turdi''
- ''Sarcocystis ursusi''
- ''Sarcocystis venatoria''
- ''Sarcocystis villivilliso''
- ''Sarcocystis wapiti''
- ''Sarcocystis zamani''
5. 임상 증상
근육포자충속의 임상 증상은 인간과 동물에서 다르게 나타난다.
인간:인간의 장 감염은 흔하지만, 장 외의 근육포자충증은 드물다.[9] 감염 사례는 아프리카, 유럽(독일, 스페인, 폴란드), 미국(캘리포니아), 중앙 및 남아메리카, 중국, 인도, 티베트, 말레이시아, 동남아시아 등지에서 보고되었다. 1868년에 최초로 인간 감염이 보고되었고, 1894년 Baraban과 Saint-Remy가 더 자세히 설명했다.[12]
- 병리 형태:
- 장관 형태: 메스꺼움, 복통, 설사를 동반하며, 대개 48시간 이내로 가볍게 지나가지만, 드물게 심각하거나 생명을 위협할 수 있다.
- 침투성 형태: 혈관염과 근육염을 동반하며, 림프절, 근육, 후두 등 다양한 조직을 침범하는 드문 경우이다.
생고기나 덜 익힌 고기를 먹으면 내장 감염이 발생할 수 있다. 오염된 물은 매우 드물게 내장 외 감염을 일으킬 수 있지만, 이론적인 가능성일 뿐이다. 감염되어도 증상이 없는 경우가 많아 치료가 필요 없을 때가 많다. 근육염에는 알벤다졸, 메트로니다졸, 코트리목사졸 등의 약물을 사용하고, 증상 완화를 위해 코르티코스테로이드를 쓰기도 한다.
동물:
- 소: ''S. bovifelis'', ''S. bovihominis'' (''S. hominis''), ''S. cruzi'' (''S. bovicanis''), ''S. hirsuta''의 4종이 감염될 수 있다. 이 중 ''S. cruzi''만이 소에게 병을 일으키며, 호산구성 근염, 유산, 사산, 임신한 소의 사망 등을 유발할 수 있다. 급성 감염 시 식욕 부진, 고열 (42°C 이상), 빈혈, 악액질, 림프절 비대 및 촉진, 침 흘림, 꼬리 끝 털 손실 등의 증상이 나타난다.[13]


5. 1. 인간
인간의 장 감염은 흔하지만, 장 외의 근육포자충증은 드문 것으로 알려져 있다.[9] 감염 사례는 아프리카, 유럽(독일, 스페인, 폴란드), 미국(캘리포니아), 중앙 및 남아메리카, 중국, 인도, 티베트, 말레이시아, 그리고 동남아시아에서 보고되었다.태국 노동자들의 분변 검사 결과, ''근육포자충'' 감염률이 약 23%로 높았는데, 이는 생고기나 덜 익힌 고기 섭취를 반영한 결과이다. 거의 모든 사례가 무증상이었다.[10] 말라야에서 사후에 얻은 100개의 인간 혀를 연구한 결과, 감염률은 21%였다. 성별 차이는 없었으며, 연령대는 16세에서 57세(평균 37.7세)였다.[10] 2012년 말레이시아에서는 93명에게 영향을 미치는 비장성 발병이 보고되기도 했다.[11]
인간 감염에 대한 최초의 보고는 1868년에 이루어졌다. 일반적으로 인정되는 결정적인 설명은 1894년 Baraban과 Saint-Remy에 의해 발표되었다.[12]
인간 근육의 낭종은 단일 종인 ''S. lindemanni''에 속하는 것으로 여겨졌으나, 이 종 설명은 불만족스러운 것으로 간주되어 ''nomen nudum''(설명이 없는 이름)으로 선언되었다. 현재 인간 장 감염을 일으킬 수 있는 종은 ''S. bovihominis'' (''S. hominis'')와 ''S. suihominis'' 두 종으로 간주된다. ''S. nesbitti''를 포함한 다른 종들은 때때로 인간의 장 외 감염으로 보고되었다.
내장 감염은 생고기나 덜 익힌 고기를 섭취했을 때 발생한다. 오염된 물은 매우 드문 인간의 내장 외 감염의 원인이 될 수 있지만, 이는 이론적인 가능성으로 남아 있다. 병리학은 혈관염과 근육염을 동반하는 드문 침투성 형태와, 메스꺼움, 복통, 설사를 동반하는 장관 형태 두 가지로 나뉜다. 장관 형태는 일반적으로 가볍고 48시간 이내로 지속되지만, 때로는 심각하거나 생명을 위협할 수도 있다. 침투성 형태는 림프절, 근육, 후두를 포함한 광범위한 조직을 침범할 수 있다.
감염된 소고기를 이용한 자원자 연구에서 증상은 섭취 후 3~6시간 후에 나타났다. 여기에는 식욕 부진, 메스꺼움, 복통, 복부 팽만, 설사, 구토, 호흡 곤란 및 빈맥이 포함되었다. 모든 증상은 일시적이었으며 약 36시간 동안 지속되었다. 두 번째 사례에서는 복통, 복부 팽만, 수양성 설사 및 호산구 증가증과 같은 증상이 1주 후에 나타나 3주 후에 해결되었다.
임상 사례는 급성 발열, 근육통, 기관지 경련, 가려움증을 동반한 발진, 림프절병증, 호산구 증가증과 관련된 피하 결절, 적혈구 침강 속도 증가, 크레아틴 키나아제 수치 증가와 관련이 있다. 증상은 최대 5년까지 지속될 수 있다. 분절 괴사성 장염이 한 번 보고되었다.
감염은 증상이 나타나는 경우가 드물기 때문에 치료가 거의 필요하지 않다. 근육염에 사용되는 약제로는 알벤다졸, 메트로니다졸, 코트리목사졸 등이 있다. 증상 완화를 위해 코르티코스테로이드가 사용되기도 한다.
암프로리움과 살리노마이신은 실험적으로 감염된 송아지와 양에서 심각한 질병과 사망을 예방하는 데 효과적이었지만, 인간에게 시도된 적은 없다.
5. 2. 동물
소에게 감염되는 근육포자충에는 ''S. bovifelis'', ''S. bovihominis'' (''S. hominis''), ''S. cruzi'' (''S. bovicanis''), ''S. hirsuta''의 4종이 알려져 있다. 이 중 ''S. cruzi''는 소에게 병원성이 있는 유일한 종으로 알려져 있으며, 호산구성 근염, 유산, 사산, 임신한 암소의 사망 등을 유발할 수 있다. 급성 소 근육포자충증의 전형적인 임상 증상으로는 식욕 부진, 고열 (42°C 이상), 빈혈, 악액질, 림프절 비대 및 촉진, 과도한 침 흘림, 꼬리 끝 털 손실 등이 있다.[13]양은 ''S. arieticanis'', ''S. tenella'' (''S. ovicanis''), ''S. gigantea'' (''S. ovifelis''), ''S. medusiformis''의 4종에 감염될 수 있다. 이 중 ''S. arieticanis''와 ''S. tenella''는 병원성이 있으며, 빈혈, 식욕 부진, 운동실조, 유산 등의 임상 증상을 일으킨다. 이 감염으로 인해 이완성 마비를 동반한 근염이 보고되기도 한다. 양 원생동물 수뇌척수염이 발생할 수도 있는데, 이 경우 다발성 척수 백질 부종 및 괴사, 교세포 결절, 뇌척수염 등의 병리학적 소견이 나타난다.[14]
돼지에게는 ''S. medusiformis'', ''S. meischeriana'' (''S. suicanis''), ''S. porcifelis'', ''S. suihominis''의 4종이 감염될 수 있다. ''S. porcifelis''는 돼지에게 병원성이 있어 설사, 근염, 파행 등을 유발한다.
말에게는 ''S. asinus'', ''S. bertrami'', ''S. equicanis'', ''S. fayeri'', ''S. neurona'' (''S. falcatula'')의 5종이 감염될 수 있다. 이들은 모두 개과 동물을 최종 숙주로 사용하며, 경태반 감염도 보고되었다. 특히 ''S. neurona''는 말 원충성 수뇌척수염을 유발하는데, 미국 중서부 말의 50-60%가 이 기생충에 노출된 적이 있을 정도로 흔하다. 임상 증상으로는 운동실조, 관절 굴곡, 엇갈림 등의 보행 이상, 근육 위축, 우울증, 쇠약, 머리 기울기, 연하 곤란 등이 나타날 수 있다.[13] ''S. fayeri''는 말에게 근염을 유발할 수 있다.
알파카(''Lama pacos'')에서 이름이 알려지지 않은 종에 의한 치명적인 감염 사례가 보고되었는데, 파종성 호산구성 근염, 유산, 혈복강 등의 소견이 나타났다.[15] 과나코의 근육 조직에서는 ''S. tilopodi''에 의한 감염이 보고되었다.[16]
노새사슴은 ''S. hemionilatrantis''에 감염되며, 실험적 접종으로 인한 사망이 보고되었다.
근육포자충은 조류에게도 감염될 수 있으며, 급성 폐 질환, 근육 질환, 신경 질환의 세 가지 임상 형태를 유발한다. 증상으로는 무기력, 호흡 곤란, 꼬리 흔들림, 노란색 변, 갑작스러운 죽음 등이 있다. 야생 조류 근육의 낭포는 "쌀 가슴"으로 알려져 있다.
6. 예방
육류를 충분히 익혀 먹거나 -5°C에서 수일간 냉동하여 포자낭을 사멸시켜 감염을 예방할 수 있다.[1] 현재 상용화된 백신은 없지만, 실험적으로 돼지에게 접종했을 때 지속적인 면역력을 보인 것으로 보아 백신 개발 가능성이 있다.[2]
7. 진단
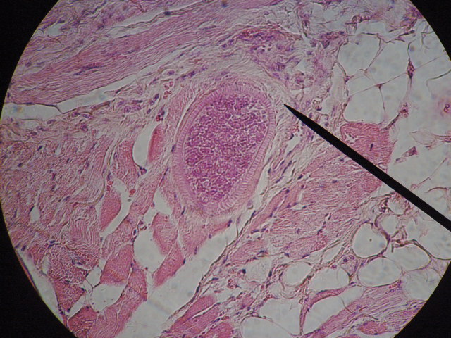
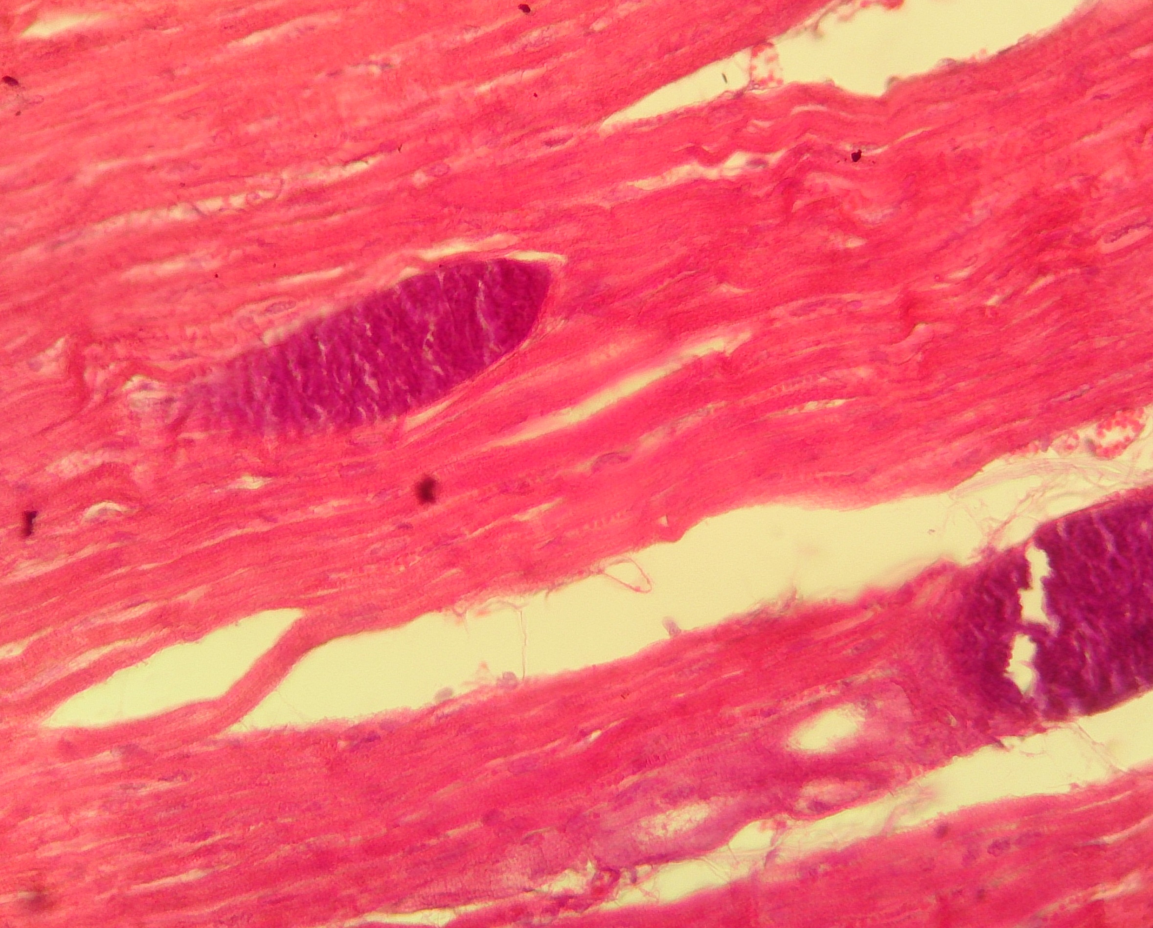
근육포자충속의 진단은 주로 감염된 근육 조직의 생검 또는 사후 검사를 통해 이루어진다. 헤마톡실린과 에오신으로 근육포자충을 식별할 수 있으며, 주기산-쉬프(PAS) 염색이 도움이 될 수 있지만 염색 흡수가 다양하게 나타날 수 있다. 근육포자충과 함께 염증 세포, 근염, 근괴사, 혈관 주위 및 간질 염증, 혈관염, 호산구성 근염 등이 발견될 수 있다.
일부 종에서는 낭종이 육안으로 확인 가능하지만(오리, 생쥐, 토끼, 양), 대부분 현미경 검사가 필요하다.
생체 진단은 피부 감수성 검사 또는 보체 결합 반응 검사로 가능하다. 근육 생검도 사용되지만 덜 일반적이다.
사람의 분변에서 두 개의 포자낭을 가진 오시스트 또는 개별 포자낭은 장 감염 진단에 사용된다. 소고기(''S. hominis'') 섭취 후 14~18일, 돼지고기(''S. suihominis'') 섭취 후 11~13일 후에 처음 나타난다. 염화나트륨, 염화세슘, 황산아연, 수크로스, Percoll, Ficoll-Hypaque 등을 이용한 부유 방법이 포르말린-에틸 아세테이트 침강 방법보다 선호된다. ''S. hominis''의 포자낭은 평균 9.3um x 14.7um이고, ''S. suihominis''의 포자낭은 평균 10.5um x 13.5um이다. 크기만으로는 종을 구분하기 어렵다. 주기산-쉬프(PAS) 염색으로 확인 가능하며, 벽이 양성으로 염색된다. 가열된 사프라닌 + 메틸렌 블루 염색도 사용된다.[25] PCR rRNA 증폭도 사용 가능하다.
육포자충 벽의 형태는 종 진단에 도움이 되는데, 62종에서 24가지 벽 유형이 확인되었다. ''S. hominis''와 ''S. suihominis''는 모두 10형 벽을 가진다. ''S. hominis''의 벽은 최대 6um 두께이며, 최대 7um 길이의 융털 돌기에서 방사상 줄무늬가 나타난다. 이 종의 서맥원충은 7um~9um 길이이다. ''S. suihominis''의 벽은 4um~9um 두께이며, 융털 돌기는 최대 13um 길이이다. 이 종의 서맥원충은 15um 길이이다.
베스노이티아, 낭포포자충, 프렌켈리아, 해몬디아, 네오스포라, 톡소포자충 등도 낭포 형성 콕시디아에 속한다.[26][27] 아이소포라는 단숙주 포자 형성 속이다. 진단 시 면역화학 염색 없이는 이러한 속들을 근육포자충속과 구별하기 어려울 수 있다.
8. 숙주-기생충 관계
근육포자충의 생활사는 전형적으로 포식자와 먹이 동물 관계를 포함한다. 최소 56종에서 최종 숙주와 중간 숙주가 밝혀져 있다.[2]
알려진 숙주-기생충 관계 목록
일반적으로 종숙주와 중간 숙주의 두 숙주를 왕복하는 생활환을 가지며, 종숙주가 포식자, 중간 숙주가 피식자의 관계인 경우가 많다. 중간 숙주가 환경 중의 포자낭을 경구 섭취하면, 포자낭에서 방출된 포자충이 혈관에 침입하여 무성 생식을 시작하고, 최종적으로 근육 조직 등에 도달하여 사르코시스트를 형성한다. 처음에는 단일 모세포가 무수히 증식하고, 그 후 감염 능력이 있는 서서분열체( "서서분열성 분열소체"라고도 함[4])가 생성된다. 종숙주가 중간 숙주를 포식할 때 조직 중의 사르코시스트를 섭취하면, 서서분열체가 소장에 도달하여 유성 생식을 수행하고, 생성된 오오시스트가 분변과 함께 배출된다. 오오시스트는 성숙하면 벽이 파열되어 포자낭이 방출되고, 이것이 경구적으로 중간 숙주로 감염된다.[28]
1970년경에 생활환이 밝혀지면서 콕시디움류와 근연 관계에 있는 생물임이 밝혀졌다.[28]
종 | 중간 숙주 | 최종 숙주 |
---|---|---|
Sarcocystis bertrami|말육포자충la | 말 | 개 |
Sarcocystis cruzi|크루지육포자충la | 소 | 개과 동물 |
Sarcocystis fayeri|페이어육포자충la | 말 | 개 |
Sarcocystis hirsutala | 소 | 고양이 |
Sarcocystis hominis|사람육포자충la | 소 | 협비원류 |
Sarcocystis miescherianala | 돼지 | 개과 동물 |
Sarcocystis neuronala | (불명) | 주머니쥐 |
Sarcocystis porcifelisla | 돼지 | 고양이 |
Sarcocystis suihominis|돼지육포자충la | 돼지 | 협비원류 |
Sarcocystis tenella|양육포자충la | 양 | 개과 동물 |
Frenkeliala속은 설치류를 중간 숙주로 하고 맹금류를 최종 숙주로 하는 매우 유사한 생물이다. 최종 숙주가 조류라는 점과, 근육보다 뇌에 낭포를 만들기 쉽다는 점에서 구별되어 왔지만, 분자 계통 분석에 따르면 근육포자충 속에 포함되는 것으로 나타났다.
9. 역학
인간 근육포자충증 감염 사례는 아프리카, 유럽(독일, 스페인, 폴란드), 미국(캘리포니아주), 중앙 및 남아메리카, 중국, 인도, 티베트, 말레이시아, 동남아시아 등 세계 여러 지역에서 보고되었다.[9]
태국에서는 노동자들의 분변 검사 결과 약 23%의 감염률을 보였는데, 이는 생고기나 덜 익힌 고기 섭취와 관련이 있는 것으로 나타났다. 거의 모든 사례가 증상이 없었다.[10] 말라야에서 사후 채취한 100개의 인간 혀를 연구한 결과, 감염률은 21%였다. 성별 차이는 없었으며, 연령대는 16세에서 57세(평균 37.7세)였다.[10] 2012년 말레이시아에서는 93명에게 영향을 미치는 비장성 발병이 보고되었으며, 일부 사례에서 ''Sarcocystis nesbitti''가 원인으로 확인되었다.[11]
''근육포자충'' 감염은 동물에게서 흔하게 나타난다.
동물 | 감염률 |
---|---|
돼지 | 아이오와주 18%,[17] 필리핀 27%,[18] 스페인 43%,[19] 우루과이 57%,[20] 인도 68%[21] |
양 | 일반적으로 90% 이상[19][22][23][24] |
낙타 | 90% 이상 (양과 비슷)[22][24] |
소, 염소 | 80% 이상[22][23] |
물소, 야크, 하이낙 | 80% 초과[22][24] |
말, 당나귀, 닭 | 비교적 낮음[23][24] |
참조
[1]
논문
Ueber eigenthiimliche Schlauche in den Muskeln einer Hausmaus. Ber. u.d
[2]
논문
Sarcocystis and sarcocystosis in domestic animals and man
https://www.research[...]
2022-08-15
[3]
논문
The coccidial nature and life cycle of Sarcocystis
https://www.research[...]
1974
[4]
논문
Terms for coccidian merozoites
1987
[5]
논문
Pathology produced by, prevalence, of, and probable lifecycle of a species of ''Sarcocystis'' in the domestic fowl
[6]
논문
Life cycle involving bird-bird relation in sarcocystis coccidia with the description of ''Sarcocystis accipitris'' sp.n
https://folia.paru.c[...]
[7]
논문
Phylogenetic relationships of ''Sarcocystis neurona'' of horses and opossums to other cyst-forming coccidia deduced from SSU rRNA gene sequences
[8]
논문
A new species of ''Sarcocystis'' in the brain of two exotic birds
[9]
논문
Current status of epidemiology and diagnosis of human sarcocystosis
2014
[10]
논문
High prevalence of human skeletal muscle sarcocystosis in south-east Asia
[11]
논문
Outbreak of human infection with ''Sarcocystis nesbitti'', Malaysia, 2012
[12]
문서
Baraban M. Le and Saint-Remy M. G.(1894) Sur un cas de tubes psorospermiques observés chez l'homme. Compt. Rend. Soc. Biol. 46: 231–203
[13]
서적
"Sarcocystosis. Chapter 20 in:'' Infectious Diseases of Livestock ''(eds JAW Coetzer & RC Tustin), Volume 1''"
Oxford University Press
2004
[14]
논문
''Sarcocystis arieticanis'' and other ''Sarcocystis'' species in sheep in the United States
[15]
논문
Dalmeny disease in an alpaca (''Lama pacos''): sarcocystosis, eosinophilic myositis and abortion
[16]
웹사이트
"Guanaco: Lama guanicoe', GlobalTwitcher.com, ed. N. Strömberg"
http://globaltwitche[...]
2011-03-04
[17]
논문
Prevalence of ''Sarcocystis'' in sows from Iowa
[18]
논문
''Sarcocystis miescherianm epma'' infection in domestic pigs (''Sus scrofa'') in the Philippines
[19]
논문
Prevalence of ''Sarcocystis'' cysts in pigs and sheep in Spain
[20]
논문
Sarcosporidian infection in pigs in Uruguay
[21]
논문
Prevalence of ''Sarcocystis'' in domestic pigs in India
[22]
논문
Prevalence of ''Sarcocystis'' spp. in meat-producing animals in Iraq
[23]
논문
Prevalence of sarcocysts in livestock of northwest Ethiopia
[24]
논문
Prevalence of ''Sarcocystis'' infection in meat-producing animals in Mongolia
[25]
논문
Staining of coccidial oocysts
1987
[26]
웹사이트
Coccidia Parasite Life Cycle
http://coccidiaindog[...]
2014-05-12
[27]
서적
Gregarines, Haemogregarines, Coccidia, Plasmodia, and Haemoproteids
https://books.google[...]
Elsevier
[28]
논문
Current research on ''Sarcocystis'' species of domestic animals.
[29]
논문
Über eigentümliche Schläuche in den Muskeln einer Hausmaus.
본 사이트는 AI가 위키백과와 뉴스 기사,정부 간행물,학술 논문등을 바탕으로 정보를 가공하여 제공하는 백과사전형 서비스입니다.
모든 문서는 AI에 의해 자동 생성되며, CC BY-SA 4.0 라이선스에 따라 이용할 수 있습니다.
하지만, 위키백과나 뉴스 기사 자체에 오류, 부정확한 정보, 또는 가짜 뉴스가 포함될 수 있으며, AI는 이러한 내용을 완벽하게 걸러내지 못할 수 있습니다.
따라서 제공되는 정보에 일부 오류나 편향이 있을 수 있으므로, 중요한 정보는 반드시 다른 출처를 통해 교차 검증하시기 바랍니다.
문의하기 : help@durumis.com