다발성 내분비종양증
"오늘의AI위키"의 AI를 통해 더욱 풍부하고 폭넓은 지식 경험을 누리세요.
1. 개요
다발성 내분비종양증(MEN)은 두 가지 이상의 내분비 종양이 한 환자에게서 나타나는 유전 질환을 의미하며, MEN1, MEN2A, MEN2B, FMTC(가족성 수질 갑상선 암) 등의 유형으로 분류된다. MEN1은 베르머 증후군으로도 불리며, 췌장 종양, 뇌하수체 선종, 부갑상선 증식 등이 특징이다. MEN2A는 시플 증후군으로, 수질 갑상선 암, 갈색세포종, 부갑상선 과다형성이 나타난다. MEN2B는 바겐만-프로보에제 증후군으로, 점막 신경종, 마르판 유사 체형, 수질 갑상선 암, 갈색세포종 등이 특징이다. FMTC는 수질 갑상선 암의 한 종류이다. 이 질환들은 뇌하수체, 부갑상선, 췌장 등의 종양을 특징으로 하며, 각 유형별로 관련된 유전자와 증상이 다르다. 1903년부터 관련 사례가 보고되었으며, 1968년 "다발성 내분비 종양증"이라는 용어가 도입되었다.
더 읽어볼만한 페이지
- 내분비 신생물 - 갑상샘암
갑상샘암은 갑상샘에 생기는 악성 종양으로, 방사선 노출, 호르몬, 가족력 등이 발병에 영향을 주며, 초기에는 증상이 없다가 진행되면 목에 혹이 만져지거나 통증, 쉰 목소리, 연하 곤란 등이 나타날 수 있고, 촉진, 초음파, 세포 검사 등으로 진단하여 수술, 방사성 요오드 치료, 호르몬 치료 등 다양한 방법으로 치료하며, 예후가 좋은 편이나 미분화암은 예후가 불량하고, 최근에는 조기 검진으로 발견율이 높아져 과잉 진단 논란이 있다. - 내분비 신생물 - 부신종양
부신종양은 부신에서 발생하는 다양한 종류의 종양을 통칭하며, 부신 피질과 수질에서 각각 다른 종류의 종양이 발생하고, 진단에는 영상 검사 및 호르몬 검사가 사용되며, 치료는 종양의 종류와 상태에 따라 수술, 약물 치료, 방사선 치료 등이 시행된다. - 상염색체 우성 질환 - 헌팅턴병
헌팅턴병은 헌팅턴 유전자 내 CAG 삼염기 반복 서열의 이상으로 인해 발생하는 진행성 신경퇴행성 질환으로, 운동, 인지, 정신 기능에 다양한 증상을 유발하며, 상염색체 우성 유전 방식으로 유전된다. - 상염색체 우성 질환 - 결절성 경화증
결절성 경화증은 뇌, 피부, 신장, 심장, 폐 등 여러 장기에 양성 종양 및 과오종을 유발하며 발작, 지적 장애, 자폐 스펙트럼 장애, 신장 혈관근종, 림프관평활근종증 등의 증상을 보이는 상염색체 우성 유전 질환으로, 임상적 특징과 유전자 검사를 통해 진단하고 증상 완화 및 합병증 관리를 위한 다학제적 치료가 필요하다. - 내분비 질환 - 애디슨병
애디슨병은 부신 기능 저하로 코르티솔이 부족하여 피로, 체중 감소, 저혈압, 피부색소침착 등의 증상을 보이며, 호르몬 대체 요법으로 평생 치료해야 하는 질환이다. - 내분비 질환 - 고알도스테론증
고알도스테론증은 혈액 내 알도스테론 수치가 비정상적으로 높은 상태로, 원발성 고알도스테론증은 부신 문제, 속발성 고알도스테론증은 레닌-안지오텐신-알도스테론계의 과활성화, 가성 고알도스테론증은 감초 섭취 등 다른 원인으로 발생하며, 고혈압, 저칼륨혈증, 근육 약화 등의 증상이 나타날 수 있다.
2. 유형별 비교

FMTC = 가족성 수질 갑상선 암.
MEN 2B는 때때로 MEN 3으로 알려져 있기도 하다.
2. 1. MEN1 (Wermer 증후군)
MEN1 (베르머 증후군)은 1954년에 처음 언급되었다.[33] OMIM은 131100이다. 유병률은 35,000명 중 1명(20,000명 중 1명에서 40,000명 중 1명)이다.[28]
이자 종양으로는 가스트린종(50%[26]), :en:insulinoma(20%[26]), :en:vipoma, :en:glucagonoma, PPoma 등이 있다. 뇌하수체 샘종은 66%[26], 부갑상샘 과다형성은 90%[26]에서 나타난다. 혈관섬유종은 64%[27], 지방종은 17%[27]에서 발생한다. 관련 유전자는 :en:MEN1이다.
2. 2. MEN2A (Sipple 증후군)
MEN2A는 시플 증후군으로도 불린다.[34] 다발성 내분비종양증 2형(MEN2)의 한 종류이다.[29] MEN2A의 유병률은 1/40,000이다. 부갑상샘 과다형성(50%[26]), 갑상선수질암(100%[26]), 크롬친화세포종(>33%[26])과 관련이 있다. MEN2A는 RET 유전자와 관련이 있다.[29]2. 3. MEN2B (Wagenmann-Froboese 증후군)
MEN2B(바겐만-프로보에제 증후군)는 MEN 2형의 한 종류이다.[29] 1965년에 처음 언급되었다. 크롬친화세포종이 50%에서 발생하고,[26] 마르판 체형이 80%에서 나타난다.[26] 점막 신경종은 100% 발견된다.[26] 갑상선수질암은 85%에서 발생한다.[26] 유병률은 1,000,000명 중 1명(600,000명 중 1명[30] ~ 4,000,000명 중 1명[31]) 수준이다.[32] 원인이 되는 유전자는 RET ()이다.2. 4. FMTC (가족성 갑상선 수질암)
FMTC는 갑상선수질암의 한 종류로, MEN 2형의 한 종류이다.[26] 1965년에 처음 언급되었다. RET 유전자 또는 NTRK1 유전자의 변이와 관련이 있다.[34]2. 5. MEN4
MEN4는 매우 드문 형태의 다발성 내분비종양증이다.[32]3. 관련 질환
폰 히펠-린다우병[2]과 카니 복합체[3]는 다발성 내분비 종양증으로 공식 분류되지는 않지만, MEN 증후군의 임상 특징과 중복되는 특징을 가진 두 가지 다른 상염색체 우성 내분비 종양 증후군이다. 배아생식세포를 통해 전파되지는 않지만, 맥쿤-올브라이트 증후군은 MEN1 또는 MEN2와 관련된 내분비선과 관련된 내분비 신생물 특징을 특징으로 하는 유전 질환이다.[4]
4. MEN1
4. 1. *MEN1* 유전자
''MEN1'' 유전자는 10개의 엑손으로 구성되어 있으며, 메닌(menin)이라는 610개의 아미노산 단백질을 암호화한다. 2.8kb의 주요 전사체는 다양한 인간 조직에서 확인되었으며, 약 4kb의 추가적인 전사체는 췌장과 흉선에서 발견되어 조직 특이적 대체 스플라이싱(alternative splicing)을 시사한다.[17]''MEN1'' 유전자 돌연변이는 MEN1 환자의 70~95%와 가족성 고립 부갑상선 기능 항진증 환자의 약 20%에서 확인될 수 있다. 거의 모든 환자는 돌연변이에 대해 이형접합성을 보인다. 동형접합성과 이형접합성을 모두 가진 개인이 있는 한 가족이 확인되었는데, 이 가족에서는 동형접합성 및 이형접합성 돌연변이 보인자 간에 질병 이력의 차이가 없었다.[17]
환자의 50%는 20세까지 징후와 증상을 보이며, 95% 이상이 40세까지 증상을 보인다. 발병 연령, 질병의 심각성 및 종양 유형에서 상당한 개인 내 및 가족 간 변동성이 존재한다. 수많은 연구에도 불구하고 유전자형-표현형 상관관계는 확립되지 않았으며, 이는 MEN1 표현형 발현에 알려지지 않은 유전적 및 환경적 변형자가 관여하고 있음을 시사한다.[18]
4. 2. 병태생리
''MEN1''은 종양 억제 유전자 발암 기전의 Knudson의 "두 번의 타격" 모델을 따른다.[17] 첫 번째 타격은 한쪽 부모로부터 유전되거나(가족성 사례) 초기 배아 단계에서 발생하는 이배체성 MEN1 생식계열 돌연변이이며, 출생 시 모든 세포에 존재한다. 두 번째 타격은 MEN1 체세포 돌연변이로, 일반적으로 큰 결실이며, 남아있는 야생형 대립 유전자의 손실로 미리 정해진 내분비 세포에서 발생하여 종양 발생에 필요한 세포 생존 이점을 제공한다.[17]4. 3. 임상 양상
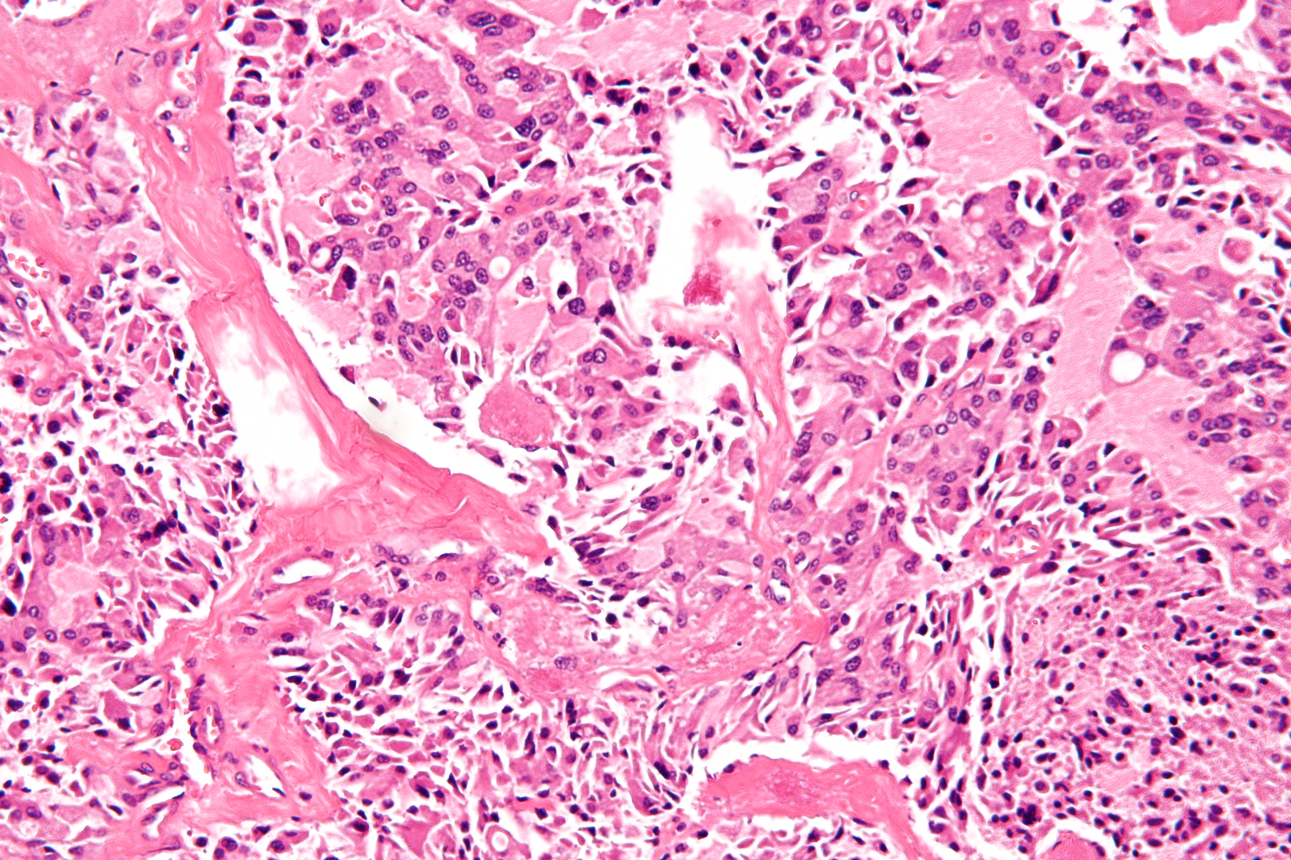
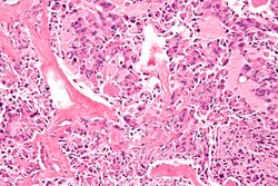
다발성 내분비 종양증 1형(MEN1)은 드문 유전성 내분비 암 증후군으로, 부갑상선 종양(95%), 내분비 위장관 췌장(GEP)관(30–80%), 전뇌하수체(15–90%) 종양이 특징이다.[19] 부신 피질 및 갑상선 종양, 내장 및 피부 지방종, 수막종, 안면 혈관섬유종 및 콜라게노마, 흉선, 위 및 기관지 유암종을 포함한 기타 내분비 및 비내분비 신생물도 발생한다. MEN1의 표현형은 20가지 이상의 다양한 내분비 및 비내분비 증상의 조합이 있을정도로 광범위하다.MEN1 환자는 일반적으로 MEN1의 가족력이 있으며, 상염색체 우성으로 유전되어 부모로부터 자녀에게 질병이 전염될 확률이 50%이다. MEN1 유전자 돌연변이는 환자의 70~95%에서 확인된다.[20]
MEN1 관련 내분비 종양은 다수가 양성이며 호르몬 과다 생성 또는 국소 종괴 효과로 증상을 유발하지만, 일부는 악성 종양 위험 증가와 관련이 있다. MEN1 환자의 약 3분의 1은 관련 암 또는 악성 종양으로 조기에 사망하며, 췌장 내분비 가스트리노마 및 흉선, 기관지 유암종이 주요 원인이다. 결과적으로 MEN1 환자의 평균 사망 연령은 남성 55.4세, 여성 46.8세로 일반 인구보다 현저히 낮다.
4. 4. 유전학
''MEN1'' 유전자 돌연변이는 다발성 내분비종양증 1형(MEN1) 환자의 70~95%에서 확인될 수 있으며, 가족성 고립 부갑상선 기능 항진증 환자의 약 20%에서도 발견된다.[17] 거의 모든 환자는 해당 돌연변이에 대해 이형접합성을 보인다. 한 가족에서는 동형접합성과 이형접합성을 모두 가진 구성원들이 확인되었는데, 이들 간에 질병 이력의 차이는 없었다.[17]환자의 50%는 20세까지, 95% 이상은 40세까지 징후와 증상을 보인다.[18] 발병 연령, 질병의 심각성, 종양 유형에서 개인 간 및 가족 간 상당한 변동성이 존재한다.[18] 여러 연구에도 불구하고 유전자형-표현형 상관관계는 확립되지 않았으며, 이는 MEN1 표현형 발현에 알려지지 않은 유전적 및 환경적 변형자가 관여하고 있음을 시사한다.[18]
4. 5. 권장 암 감시
다발성 내분비종양증 1형에 대한 권장 감시 프로그램은 국제 MEN 증후군 진단 및 치료 지침 그룹에서 제안되었다.[21]5. 역사
1903년, 에르트하임(Erdheim)은 거인증 환자에게서 뇌하수체 선종과 세 개의 비대한 부갑상선이 나타난 사례를 보고했다.
1953년, 언더달(Underdahl) 등은 뇌하수체, 부갑상선, 췌장 섬 세포 선종의 증후군을 가진 환자 8명의 사례를 보고했다.
1954년, 베르머는 이 증후군이 우성 형질로 유전된다는 것을 언급했다.
1959년, 해저드(Hazard) 등은 수질(고형) 갑상선 암종을 기술했다.
1961년, 시플은 갈색세포종, 수질 갑상선 암종, 부갑상선 선종의 조합을 기술했다.
1966년, 윌리엄스(Williams) 등은 점막 신경종, 갈색세포종, 수질 갑상선 암종의 조합을 기술했다.
1968년, 슈타이너(Steiner) 등은 내분비 종양의 조합을 특징으로 하는 질환을 설명하기 위해 "다발성 내분비 종양증(MEN)"이라는 용어를 도입하고, MEN 1에 '베르머 증후군'을, MEN 2에 '시플 증후군'을 제안했다.
1974년, 시즈모어(Sizemore) 등은 MEN 2 범주에 수질 갑상선 암종과 갈색세포종을 가진 두 그룹의 환자가 포함되어 있음을 보여주었다. 하나는 부갑상선 질환과 정상적인 외관을 가진 환자(MEN 2A)이고, 다른 하나는 부갑상선 질환은 없지만 점막 신경종과 중간엽 기형이 있는 환자(MEN 2B)였다.
1988년, MEN1 유전자는 11번 염색체(11q13)에 위치하는 것으로 밝혀졌다.
1993년, 케임브리지의 브루스 폰더(Bruce Ponder) 연구실에서 일하는 로이스 멀리건(Lois Mulligan)은 RET 종양 유전자 돌연변이가 MEN 2A의 원인임을 밝혀냈다.
1998년, MEN1 유전자가 복제되었다.
6. 용어
과거 명칭인 "다발성 내분비 샘종"과 "다발성 내분비 샘종증"(MEA)은 현재의 용어로 대체되었다.
"다발성 내분비 종양증"이라는 용어는 정의된 MEN 증후군의 일부로 발생한다고 알려진 두 가지 이상의 내분비 종양 유형이 단일 환자에게서 발생하고, 원인 돌연변이 또는 유전적 전이에 대한 증거가 있는 경우 사용된다. 단일 환자에게서 두 가지 이상의 종양 유형이 나타난다고 해서 그 개인이 MEN을 앓고 있다고 자동적으로 지정되는 것은 아니다. MEN 증후군 중 하나에서 발생하는 두 개의 "산발적인" 종양이 우연히 발생할 수 있는 작은 통계적 가능성이 있기 때문이다.
"다발성 내분비 종양증"이라는 용어는 1968년에 도입되었지만, 이 질환에 대한 설명은 1903년으로 거슬러 올라간다.[24]
참조
[1]
DorlandsDict
multiple endocrine neoplasia
[2]
논문
Familial multiple endocrine neoplasia syndromes: components, classification, and nomenclature
1998-06
[3]
논문
Multiple endocrine neoplasia syndromes
2008-08
[4]
서적
GeneReviews
https://www.ncbi.nlm[...]
University of Washington, Seattle
1993
[5]
서적
Step-Up to Medicine (Step-Up Series)
https://archive.org/[...]
Lippincott Williams & Wilkins
[6]
논문
Cutaneous tumors in patients with multiple endocrine neoplasm type 1 (MEN1) and gastrinomas: prospective study of frequency and development of criteria with high sensitivity and specificity for MEN1.
2004-11
[7]
간행물
123I labeled metaiodobenzylguanidine for diagnosis of neuroendocrine tumors
http://www.dovepress[...]
2009
[8]
논문
Pancreatitis as the first manifestation of multiple endocrine neoplasia type 2A
2008-11
[9]
서적
Williams Textbook of Endocrinology, 12th ed.
[10]
논문
Multiple endocrine neoplasia type 2: An overview
[11]
서적
Neurocutaneous Disorders : The Phakomatoses
Springer
[12]
논문
Genetic aspects of adenomatosis of endocrine glands
[13]
논문
The association of pheochromocytoma with carcinoma of the thyroid gland
[14]
논문
Syndrome of bilateral pheochromocytoma, medullary thyroid carcinoma and multiple neuromas. A possible regulatory defect in the differentiation of chromaffin tissue
[15]
OMIM
MULTIPLE ENDOCRINE NEOPLASIA, TYPE IV; MEN4
[16]
논문
Germ-line mutations in p27Kip1 cause a multiple endocrine neoplasia syndrome in rats and humans
2006-10
[17]
웹사이트
Multiple Endocrine Neoplasia
https://www.lecturio[...]
2021-07-04
[18]
웹사이트
Multiple Endocrine Neoplasia Type 1: In Familial Cancer Syndromes. DL Riegert-Johnson and others. NCBI 2009
https://www.ncbi.nlm[...]
2009
[19]
웹사이트
Multiple Endocrine Neoplasia Type 1 : In Familial Cancer Syndromes. DL Riegert-Johnson and others. NCBI 2009
https://www.ncbi.nlm[...]
2009
[20]
웹사이트
Multiple Endocrine Neoplasia
https://www.lecturio[...]
2021-08-11
[21]
웹사이트
Multiple Endocrine Neoplasia Type 1: In Familial Cancer Syndromes. DL Riegert-Johnson and others. NCBI 2009
https://www.ncbi.nlm[...]
2009
[22]
논문
Germ-line mutations of the RET proto-oncogene in multiple endocrine neoplasia type 2A
1993-06
[23]
논문
Identification and characterization of the multiple endocrine neoplasia type 1 (MEN1) gene
[24]
논문
Familial multiple endocrine neoplasia: the first 100 years
2005-02
[25]
DorlandsDict
multiple endocrine neoplasia
[26]
서적
Step-Up to Medicine (Step-Up Series)
https://archive.org/[...]
Lippincott Williams & Wilkins
[27]
논문
Cutaneous tumors in patients with multiple endocrine neoplasm type 1 (MEN1) and gastrinomas: prospective study of frequency and development of criteria with high sensitivity and specificity for MEN1.
2004-11
[28]
웨이백
123I labeled metaiodobenzylguanidine for diagnosis of neuroendocrine tumors
http://www.dovepress[...]
20120523034756
[29]
논문
Pancreatitis as the first manifestation of multiple endocrine neoplasia type 2A
2008-11
[30]
서적
Williams Textbook of Endocrinology, 12th ed.
[31]
논문
Multiple endocrine neoplasia type 2: An overview
http://www.nature.co[...]
[32]
서적
Neurocutaneous Disorders : The Phakomatoses
Springer
[33]
논문
Genetic aspects of adenomatosis of endocrine glands
http://linkinghub.el[...]
2017-03-13
[34]
논문
The association of pheochromocytoma with carcinoma of the thyroid gland
https://archive.org/[...]
본 사이트는 AI가 위키백과와 뉴스 기사,정부 간행물,학술 논문등을 바탕으로 정보를 가공하여 제공하는 백과사전형 서비스입니다.
모든 문서는 AI에 의해 자동 생성되며, CC BY-SA 4.0 라이선스에 따라 이용할 수 있습니다.
하지만, 위키백과나 뉴스 기사 자체에 오류, 부정확한 정보, 또는 가짜 뉴스가 포함될 수 있으며, AI는 이러한 내용을 완벽하게 걸러내지 못할 수 있습니다.
따라서 제공되는 정보에 일부 오류나 편향이 있을 수 있으므로, 중요한 정보는 반드시 다른 출처를 통해 교차 검증하시기 바랍니다.
문의하기 : help@durumis.com
