심방
"오늘의AI위키"의 AI를 통해 더욱 풍부하고 폭넓은 지식 경험을 누리세요.
1. 개요
심방은 심장의 상부에 위치한 두 개의 방으로, 혈액을 하부의 심실로 펌프질하는 역할을 한다. 인간의 심장은 우심방, 좌심방, 우심실, 좌심실로 구성되어 있으며, 우심방은 상대정맥, 하대정맥 등에서 산소가 제거된 혈액을 받아 우심실로 보내고, 좌심방은 폐정맥에서 산소화된 혈액을 받아 좌심실로 보낸다. 심방은 심장 전도계의 일부이며, 혈액 공급을 받는다. 심방은 발생 과정에서 형성되며, 개존 난원공과 같은 선천적인 이상이 나타날 수 있다. 심방은 순환을 촉진하고 심박출량을 증가시키는 기능을 하며, 좌심방 이개에 혈전이 형성되어 뇌졸중을 유발할 수 있다.
더 읽어볼만한 페이지
| 심방 | |
|---|---|
| 심장의 방 | |
| 라틴어 | atrium |
| 해부학적 구조 | |
| 위치 | 심장 |
| 계통 | 순환계 |
2. 구조

인간의 심장은 우심방, 좌심방, 우심실, 좌심실의 네 개의 방으로 구성되어 있다. 심방은 위쪽에 있는 두 개의 방으로, 혈액을 아래쪽 두 개의 심실로 보낸다.
우심방과 우심실을 합쳐 우심장이라 부르고, 좌심방과 좌심실을 합쳐 좌심장이라고 부른다. 심방에는 입구에 판막이 없기 때문에,[2] 정맥 박동이 정상적으로 나타나며, 경정맥에서 경정맥압으로 확인할 수 있다.[3][4]
내부에는 거친 빗살근과 히스의 결절능선이 있는데, 이는 심방 내부와 우심방의 매끄러운 부분인 ''정맥동''의 경계 역할을 한다. 정맥동은 대정맥과 관상정맥동의 개구부를 둘러싸고 있는 성인의 잔재이다.[5] 각 심방에는 심방 부속지가 붙어 있다.
2. 1. 우심방
우심방은 상대정맥, 하대정맥, 전심장정맥, 최소심장정맥, 관상정맥동에서 산소가 제거된 혈액을 받아 삼첨판을 통해 우심실로 보낸다. 우심실은 이를 다시 폐동맥으로 보내 폐순환을 하도록 한다.2. 1. 1. 우심방 부속지
'''우심방 부속지'''는 우심방의 앞쪽 윗부분에 위치하며, 앞에서 보면 쐐기 모양 또는 삼각형 모양으로 보인다. 기저부는 상대정맥을 둘러싸고 있다.[6] 우심방 부속지는 우심방의 주머니 모양 연장부이며 빗살근의 섬유망으로 덮여 있다. 심방 중격은 우심방과 좌심방을 분리하며, 이는 우심방의 함몰 부위인 난원와로 표시된다. 심방은 탈분극에 의해 칼슘이온이 관여한다.2. 2. 좌심방
좌심방은 좌우 폐정맥에서 산소화된 혈액을 받아 승모판 (좌심실판막)을 통해 좌심실로 보내 대동맥을 거쳐 전신 순환으로 펌프질한다.[7][8]2. 2. 1. 좌심방 부속지

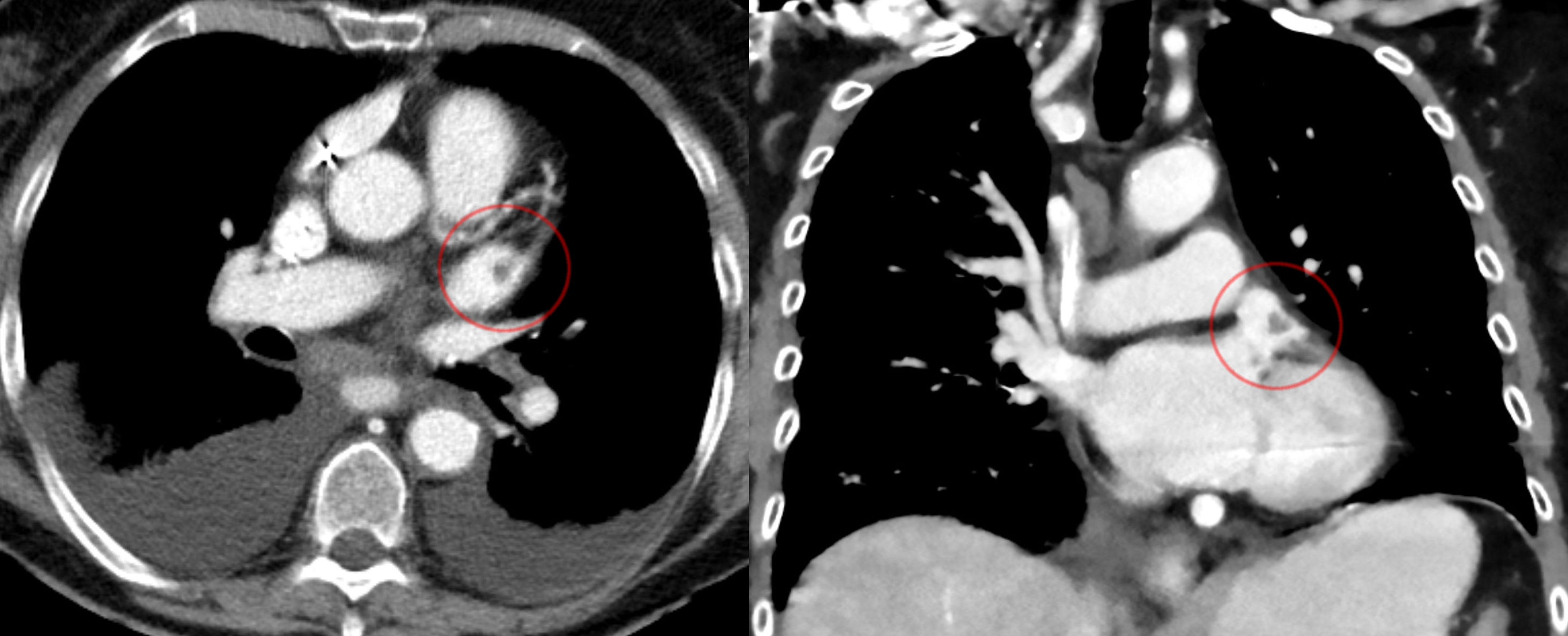
좌심방의 윗부분에는 근육질의 귀 모양 주머니, 즉 '''좌심방이'''('''LAA''', auricula atrii sinistra|아우리쿨라 아트리 시니스트라la)가 있는데, 이는 튜브 모양의 소주 구조를 가지고 있다.[9] CT 스캔으로 본 좌심방이(LAA) 해부학적 구조는 닭 날개형(48%), 선인장형(30%), 풍선형(19%), 콜리플라워형(3%)의 4가지 그룹 중 하나로 특징지어진다.[10][11] 콜리플라워형은 색전증과 가장 자주 연관되는 형태이다.[11] 좌심방이는 "좌심실 수축기 및 좌심방 압력이 높을 때 감압 챔버 역할을 한다"고 여겨진다.[12] 또한 나트륨 이뇨 펩타이드인 심방 나트륨 이뇨 펩타이드(ANP)와 뇌 나트륨 이뇨 펩타이드(BNP)를 관상 정맥동으로 분비하여 혈관 내 용적을 조절하며, 여기서 혈액 순환으로 들어간다.[13]
좌심방이는 표준 후전방 X-레이에서 좌측 폐문 하단이 오목하게 나타나는 것을 통해 확인할 수 있다.[14] 또한 경식도 심장 초음파 검사를 사용하여 명확하게 볼 수 있다.[15] 좌심방이는 승모판 수술에 접근하는 통로로 사용될 수 있다.[16]
좌심방이의 몸체는 좌심방 앞쪽에 위치하며 좌측 폐정맥과 평행하다. 좌측 폐동맥은 후상방으로 지나가며, 가로동에 의해 심방이와 분리된다.[17] 심방 세동에서[13] 좌심방이는 수축하는 대신 세동하여 혈액 정체를 유발하고, 이는 혈전의 형성을 촉진한다.[9] 그로 인한 뇌졸중 위험 때문에 외과 의사는 개심 수술 중에 좌심방이 폐쇄 시술을 사용하여 좌심방이를 폐쇄할 수 있다.[18]

심방 세동, 승모판 질환 및 기타 질환이 있는 환자의 경우, 좌심방 이개에 혈전이 형성되는 경향이 있다.[12] 혈전이 떨어져 나가(색전) 전신 순환에 의해 공급되는 뇌, 신장 또는 기타 장기에 허혈성 손상을 일으킬 수 있다.[29]
조절되지 않는 심방 세동이 있는 환자의 경우, 이개 내 향후 혈전 형성을 방지하기 위해 모든 개심 수술 시 좌심방 이개 폐쇄술을 시행할 수 있다.[30]
3. 심장 전도계
동방 결절(SA node)은 상대 정맥 옆, 우심방 뒤쪽에 위치해 있다. 이곳은 자발적으로 탈분극하여 활동 전위를 생성하는 심장 박동 조율 세포의 집합체이다. 심장 활동 전위는 양쪽 심방 전체로 퍼져나가 수축을 일으키고, 심방이 보유한 혈액을 해당 심실로 밀어 넣는다.
방실 결절(AV node)은 심장 전도계의 또 다른 결절이다. 이곳은 심방과 심실 사이에 위치해 있다.
4. 혈액 공급
좌심방은 주로 좌회선 관상 동맥과 그 작은 가지에 의해 혈액을 공급받는다.[19]
좌심방 사정맥은 정맥 배출의 일부를 담당하며, 배아 좌상대정맥에서 유래한다.
5. 발생
배아 발생 동안 약 2주가 되면 하나의 방으로 원시 심방이 형성되기 시작하며, 이후 2주에 걸쳐 제1심방 중격에 의해 좌심방과 우심방으로 나뉜다. 심방 중격에는 우심방에 난원공이라는 구멍이 있어 좌심방으로 접근할 수 있게 해주며, 이는 두 방을 연결하여 태아의 혈액 순환에 필수적이다. 출생 시 첫 호흡을 하면 태아의 혈류가 반전되어 폐를 통과하게 된다. 난원공은 더 이상 필요하지 않게 되어 닫히면서 심방 벽에 함몰된 부분(난원와)을 남긴다.[20]
어떤 경우에는 난원공이 닫히지 않는다. 이러한 이상은 일반 인구의 약 25%에서 나타난다.[20] 이는 ''개존 난원공''으로 알려져 있으며, 심방 중격 결손의 한 형태이다. 이는 대부분 문제가 없지만, 역설적 색전증 및 뇌졸중과 관련될 수 있다.[20]
태아 우심방 내에서 하대정맥과 상대정맥에서 나오는 혈액은 심장의 다른 위치로 별도의 흐름으로 흐른다. 이는 코안다 효과를 통해 일어나는 것으로 보고되었다.[21]
6. 기능
심방은 심실 수축기 동안 심장으로의 끊임없는 정맥 흐름을 허용하여 순환을 촉진하며, 심방이 기능하지 않으면 순환 속도가 현저히 감소한다.[24][25] 심방은 각 심실 수축기마다 발생하는 정맥 흐름 중단의 관성을 방지하여 심박출량이 약 75% 더 많아지도록 한다.[23][27]
또한 혈류 유지에 중요한 심방 용적 수용체는 심방의 저압 압력 수용체로, 심방 압력 감소가 감지되면 시상하부로 신호를 보내 바소프레신 방출을 유발한다.[28]
6. 1. 순환 촉진
인간 생리학에서 심방은 주로 심실 수축기 동안 심장으로의 끊임없는 정맥 흐름을 허용함으로써 순환을 촉진한다.[22][23] 심방은 부분적으로 비어 있고 팽창 가능하여 정맥이 심장의 입구 밸브에서 끝나는 경우 심실 수축기 동안 발생하는 심장으로의 정맥 흐름 중단을 방지한다. 정상적인 생리 상태에서 심장의 출력은 맥동적이고 심장으로의 정맥 유입은 지속적이며 비맥동적이다. 그러나 심방이 기능하지 않으면 정맥 흐름이 맥동적이 되고 전반적인 순환 속도가 현저히 감소한다.[24][25]심방은 지속적인 정맥 흐름을 촉진하는 네 가지 필수적인 특성을 가지고 있다.
- 심방 수축기 동안 혈류를 방해하는 심방 입구 밸브가 없다.
- 심방 수축은 불완전하므로 정맥에서 심방을 거쳐 심실로의 흐름을 차단할 정도로 수축하지 않는다. 심방 수축기 동안 혈액은 심방에서 심실로 비워질 뿐만 아니라 정맥에서 심방을 거쳐 심실로 끊임없이 흐른다.
- 심방 수축은 수축력이 정맥 흐름을 방해할 정도로 상당한 역압을 가하지 않을 정도로 충분히 부드러워야 한다.
- 심방의 "방출"은 심실 수축이 시작되기 전에 심방이 이완되어 끊김 없이 정맥 흐름을 받아들일 수 있도록 시기를 맞춰야 한다.[23][26]
각 심실 수축기마다 발생하는 중단된 정맥 흐름의 관성을 방지함으로써 심방은 그렇지 않은 경우보다 약 75% 더 많은 심박출량을 허용한다. 심방 수축이 이어지는 심실 사출의 15%라는 사실은 심실을 펌핑하는 역할 (소위 "심방 킥")에 대한 잘못된 강조를 이끌었지만, 심방의 주요 이점은 순환 관성을 방지하고 심장으로의 끊김 없는 정맥 흐름을 허용하는 것이다.[23][27]
또한 혈류 유지에 중요한 것은 심방 용적 수용체의 존재이다. 이들은 심방의 저압 압력 수용체로, 심방 압력의 감소(혈액량 감소를 나타냄)가 감지되면 시상하부로 신호를 보낸다. 이는 바소프레신의 방출을 유발한다.[28]
6. 2. 심방 킥
인간 생리학에서 심방은 주로 심실 수축기 동안 심장으로의 끊임없는 정맥 흐름을 허용함으로써 순환을 촉진한다.[22][23] 심방은 부분적으로 비어 있고 팽창 가능하여 정맥이 심장의 입구 밸브에서 끝나는 경우 심실 수축기 동안 발생하는 심장으로의 정맥 흐름 중단을 방지한다. 정상적인 생리 상태에서 심장의 출력은 맥동적이고 심장으로의 정맥 유입은 지속적이며 비맥동적이다. 그러나 심방이 기능하지 않으면 정맥 흐름이 맥동적이 되고 전반적인 순환 속도가 현저히 감소한다.[24][25]심방은 지속적인 정맥 흐름을 촉진하는 네 가지 필수적인 특성을 가지고 있다. (1) 심방 수축기 동안 혈류를 방해하는 심방 입구 밸브가 없다. (2) 심방 수축은 불완전하므로 정맥에서 심방을 거쳐 심실로의 흐름을 차단할 정도로 수축하지 않는다. 심방 수축기 동안 혈액은 심방에서 심실로 비워질 뿐만 아니라 정맥에서 심방을 거쳐 심실로 끊임없이 흐른다. (3) 심방 수축은 수축력이 정맥 흐름을 방해할 정도로 상당한 역압을 가하지 않을 정도로 충분히 부드러워야 한다. (4) 심방의 "방출"은 심실 수축이 시작되기 전에 심방이 이완되어 끊김 없이 정맥 흐름을 받아들일 수 있도록 시기를 맞춰야 한다.[23][26]
각 심실 수축기마다 발생하는 중단된 정맥 흐름의 관성을 방지함으로써 심방은 그렇지 않은 경우보다 약 75% 더 많은 심박출량을 허용한다. 심방 수축이 이어지는 심실 사출의 15%라는 사실은 심실을 펌핑하는 역할 (소위 "심방 킥")에 대한 잘못된 강조를 이끌었지만, 심방의 주요 이점은 순환 관성을 방지하고 심장으로의 끊김 없는 정맥 흐름을 허용하는 것이다.[23][27]
6. 3. 호르몬 분비
인간 생리학에서 심방은 주로 심실 수축기 동안 심장으로의 끊임없는 정맥 흐름을 허용함으로써 순환을 촉진한다.[22][23] 심방은 부분적으로 비어 있고 팽창 가능하여 정맥이 심장의 입구 밸브에서 끝나는 경우 심실 수축기 동안 발생하는 심장으로의 정맥 흐름 중단을 방지한다. 정상적인 생리 상태에서 심장의 출력은 맥동적이고 심장으로의 정맥 유입은 지속적이며 비맥동적이다. 그러나 심방이 기능하지 않으면 정맥 흐름이 맥동적이 되고 전반적인 순환 속도가 현저히 감소한다.[24][25]심방은 지속적인 정맥 흐름을 촉진하는 네 가지 필수적인 특성을 가지고 있다. (1) 심방 수축기 동안 혈류를 방해하는 심방 입구 밸브가 없다. (2) 심방 수축은 불완전하므로 정맥에서 심방을 거쳐 심실로의 흐름을 차단할 정도로 수축하지 않는다. 심방 수축기 동안 혈액은 심방에서 심실로 비워질 뿐만 아니라 정맥에서 심방을 거쳐 심실로 끊임없이 흐른다. (3) 심방 수축은 수축력이 정맥 흐름을 방해할 정도로 상당한 역압을 가하지 않을 정도로 충분히 부드러워야 한다. (4) 심방의 "방출"은 심실 수축이 시작되기 전에 심방이 이완되어 끊김 없이 정맥 흐름을 받아들일 수 있도록 시기를 맞춰야 한다.[23][26]
각 심실 수축기마다 발생하는 중단된 정맥 흐름의 관성을 방지함으로써 심방은 그렇지 않은 경우보다 약 75% 더 많은 심박출량을 허용한다. 심방 수축이 이어지는 심실 사출의 15%라는 사실은 심실을 펌핑하는 역할 (소위 "심방 킥")에 대한 잘못된 강조를 이끌었지만, 심방의 주요 이점은 순환 관성을 방지하고 심장으로의 끊김 없는 정맥 흐름을 허용하는 것이다.[23][27]
또한 혈류 유지에 중요한 것은 심방 용적 수용체의 존재이다. 이들은 심방의 저압 압력 수용체로, 심방 압력의 감소(혈액량 감소를 나타냄)가 감지되면 시상하부로 신호를 보낸다. 이는 바소프레신의 방출을 유발한다.[28]
7. 관련 질환
좌심방의 윗부분에는 근육질의 귀 모양 주머니, 즉 '''좌심방이'''('''LAA''')가 있는데, 이는 튜브 모양의 소주 구조를 가지고 있다.[9] CT 스캔으로 본 LAA 해부학적 구조는 닭 날개형(48%), 선인장형(30%), 풍선형(19%), 콜리플라워형(3%)의 4가지로 분류할 수 있다.[10][11] 이 중 콜리플라워형은 색전증과 가장 자주 연관된다.[11] LAA는 좌심실 수축기 및 좌심방 압력이 높을 때 감압 챔버 역할을 하며, 심방 나트륨 이뇨 펩타이드(ANP)와 뇌 나트륨 이뇨 펩타이드(BNP)를 관상 정맥동으로 분비하여 혈관 내 용적을 조절한다.[12][13]
좌심방이는 표준 후전방 X-레이에서 좌측 폐문 하단이 오목하게 나타나는 것이나 경식도 심장 초음파 검사를 통해 확인할 수 있다.[14][15] 좌심방이는 승모판 수술에 접근하는 통로로 사용될 수 있다.[16] 좌심방이의 몸체는 좌심방 앞쪽에 위치하며 좌측 폐정맥과 평행하고, 좌측 폐동맥은 후상방으로 지나가며, 가로동에 의해 심방이와 분리된다.[17]
심방 세동에서[13] 좌심방이는 수축하는 대신 세동하여 혈액 정체를 유발하고, 이는 혈전의 형성을 촉진한다.[9] 뇌졸중 위험 때문에 외과 의사는 개심 수술 중에 좌심방이 폐쇄 시술을 사용하여 좌심방이를 폐쇄할 수 있다.[18] 성인에서 심방 중격 결손은 혈액이 좌심방에서 우심방으로 흐르게 하여 심박출량을 감소시키고, 잠재적으로 심부전을 일으키며, 심각하거나 치료하지 않은 경우에는 심정지 및 급성 심장사를 유발할 수 있다.
심방 세동, 승모판 질환 및 기타 질환이 있는 환자의 경우, 좌심방 이개에 혈전이 형성되는 경향이 있다.[12] 혈전이 떨어져 나가(색전) 전신 순환에 의해 공급되는 뇌, 신장 또는 기타 장기에 허혈성 손상을 일으킬 수 있다.[29] 조절되지 않는 심방 세동이 있는 환자의 경우, 이개 내 향후 혈전 형성을 방지하기 위해 모든 개심 수술 시 좌심방 이개 폐쇄술을 시행할 수 있다.[30]
- Wolff-Parkinson-White 증후군
- 심방 조동
- 심방 빈맥
- 동성 빈맥
- 다초점 심방 빈맥 - 여러 유형
- 조기 심방 수축
8. 다른 동물
물고기와 양서류도 참고
포유류를 포함한 많은 다른 동물들도 유사한 기능을 하는 4개의 심방을 가지고 있다. 일부 동물(양서류와 파충류)은 3개의 심방을 가지고 있는데, 각 심방에서 나온 혈액은 대동맥으로 펌프질되기 전에 단일 심실에서 섞인다. 이러한 동물에서 좌심방은 여전히 폐정맥에서 혈액을 모으는 역할을 한다.
대부분의 물고기에서 순환계는 매우 단순하다. 즉, 하나의 심방과 하나의 심실을 포함하는 2개의 심방을 가지고 있다. 상어의 경우 심장은 일련으로 배열된 네 부분으로 구성된다. 혈액은 가장 뒤쪽 부분인 정맥동으로 흐른 다음 심방으로 이동하여 세 번째 부분인 심실로 이동한 후 복부 대동맥에 연결된 원추동맥으로 이동한다. 이는 원시적인 배열로 간주되며, 많은 척추동물은 심방을 정맥동과 심실을 원추동맥과 응축시켰다.[31]
폐의 출현으로 심방이 중격에 의해 두 부분으로 분할되었다. 개구리의 경우, 산소화된 혈액과 산소가 제거된 혈액이 심실에서 섞인 후 신체 기관으로 펌프질된다. 거북이의 경우, 심실은 거의 완전히 중격에 의해 분리되지만 혈액이 약간 섞이는 구멍을 유지한다. 조류, 포유류 및 기타 일부 파충류(특히 악어)에서는 두 심방의 분할이 완료된다.[31]
참조
[1]
논문
Recording of blood pressure from the left auricle and the pulmonary veins in human subjects with interauricular septal defect
https://journals.phy[...]
American Journal of Physiology
2022-03-20
[2]
웹사이트
Roles of Your Four Heart Valves
https://www.heart.or[...]
American Heart Association
2020-05-08
[3]
웹사이트
Jugular Venous Pressure: Causes and Prognosis
https://patient.info[...]
2021-12-20
[4]
서적
Clinical Methods: The History, Physical, and Laboratory Examinations
Butterworths
[5]
웹사이트
Embryo Images Online
http://www.med.unc.e[...]
[6]
논문
A comprehensive review of the anatomical variations in the right atrium and their clinical significance
2019-11
[7]
웹사이트
Structure of the Heart
http://www.ivy-rose.[...]
[8]
웹사이트
Human heart anatomy diagram
http://www.nhlbi.nih[...]
2010-07-02
[9]
논문
A review of the LARIAT device: insights from the cumulative clinical experience
[10]
논문
Current State of Surgical Left Atrial Appendage Exclusion: How and When
[11]
논문
The left atrial appendage: anatomy, function, and noninvasive evaluation
[12]
논문
Left atrial appendage: structure, function, and role in thromboembolism: Review
[13]
간행물
Anatomy, Thorax, Heart Left Atrial Appendage
http://www.ncbi.nlm.[...]
StatPearls Publishing
2023-10-24
[14]
서적
Chest X-Ray Made Easy
Churchill Livingstone
[15]
논문
The completeness of the left atrial appendage amputation during routine cardiac surgery
2023-06
[16]
논문
Mitral valve reoperation through the left atrial appendage in a patient with mesocardia
[17]
논문
Left Atrial Appendage
2016-08
[18]
논문
Left Atrial Appendage Occlusion during Cardiac Surgery to Prevent Stroke
[19]
서적
Clinically oriented anatomy
Wolters Kluwer Health/Lippincott Williams & Wilkins
[20]
논문
Patent Foramen Ovale and Stroke
[21]
논문
The Coanda effect and preferential right atrial streaming
2006-07
[22]
서적
The Gross Physiology of the Cardiovascular System
https://books.google[...]
[23]
논문
The Mechanical Nature of the Heart as a Pump
http://cardiac-outpu[...]
[24]
웹사이트
The Determinants of Cardiac Output
http://cardiac-outpu[...]
[25]
웹사이트
Discussion of atrial effect in text Chapter 1
http://cardiac-outpu[...]
[26]
서적
The Gross Physiology of the Cardiovascular System (2nd ed.)
https://books.google[...]
[27]
웹사이트
The Gross Physiology of the Cardiovascular System
https://books.google[...]
Robert M. Anderson
[28]
서적
Human physiology: From cells to systems
https://books.google[...]
Cengage Learning
[29]
논문
Images in cardiovascular medicine. The case of a disappearing left atrial appendage thrombus: direct visualization of left atrial thrombus migration, captured by echocardiography, in a patient with atrial fibrillation, resulting in a stroke
http://circ.ahajourn[...]
2006-09
[30]
논문
Left Atrial Appendage Occlusion during Cardiac Surgery to Prevent Stroke
[31]
서적
Biology in the Laboratory: With BioBytes 3.1 CD-ROM
https://books.google[...]
W. H. Freeman
[32]
웹인용
Auricles (of atria) definition
https://www.drugs.co[...]
Drugs.com
2019-02-24
본 사이트는 AI가 위키백과와 뉴스 기사,정부 간행물,학술 논문등을 바탕으로 정보를 가공하여 제공하는 백과사전형 서비스입니다.
모든 문서는 AI에 의해 자동 생성되며, CC BY-SA 4.0 라이선스에 따라 이용할 수 있습니다.
하지만, 위키백과나 뉴스 기사 자체에 오류, 부정확한 정보, 또는 가짜 뉴스가 포함될 수 있으며, AI는 이러한 내용을 완벽하게 걸러내지 못할 수 있습니다.
따라서 제공되는 정보에 일부 오류나 편향이 있을 수 있으므로, 중요한 정보는 반드시 다른 출처를 통해 교차 검증하시기 바랍니다.
문의하기 : help@durumis.com