뇌졸중
"오늘의AI위키"의 AI를 통해 더욱 풍부하고 폭넓은 지식 경험을 누리세요.
1. 개요
뇌졸중은 뇌 혈관이 막히거나 터져 뇌 손상을 유발하는 질환이다. 뇌졸중은 뇌경색(허혈성 뇌졸중)과 뇌출혈(출혈성 뇌졸중)으로 나뉘며, 뇌경색이 뇌졸중의 약 87%를 차지한다. 뇌졸중은 갑작스러운 마비, 언어 장애, 시야 장애, 두통 등의 증상을 동반하며, 뇌졸중의 유형, 증상 발생 시점, 기저 질환에 따라 치료법이 다르다. 뇌졸중은 사망, 장애, 재발의 위험이 높아 예방이 중요하며, 고혈압, 당뇨병, 흡연, 심장 질환 등 위험 인자를 관리하고, 건강한 생활 습관을 유지하는 것이 중요하다.
더 읽어볼만한 페이지
- 뇌졸중 - 운동실조
운동실조는 근력 저하 없이 사지와 몸통의 수의 운동 조절에 장애가 생기는 신경계 질환으로, 감각성, 전정성, 소뇌성 등 다양한 유형이 있으며, 원인 질환에 따라 약물 치료, 물리 치료 등으로 증상 완화 및 기능 개선을 목표로 치료한다. - 뇌졸중 - 모야모야병
모야모야병은 뇌 속 특정 혈관이 좁아지거나 막혀 뇌혈류가 감소하고 비정상적인 혈관이 생성되는 진행성 뇌혈관 질환으로, 뇌허혈증, 뇌졸중, 뇌전증 발작 등을 유발하며 유전적 요인과 관련 있고 동아시아인에게 발병률이 높으며 뇌혈류 재건술 등의 치료를 시행하고 대한민국에서는 난치병으로 분류된다. - 사인별 죽음 - 감전
감전은 전류가 인체를 통과하며 발생하는 전기적 충격으로, 다양한 요인에 따라 위험성이 달라지며 심각한 경우 사망에 이를 수 있고, 예방을 위해 안전 수칙 준수가 필수적이지만, 의료적 목적으로 활용되기도 하며 윤리적 논란의 여지도 있다. - 사인별 죽음 - 조로증
조로증은 DNA 복구 과정 결함으로 아동기 또는 청소년기에 노화 징후를 보이는 희귀 유전 질환으로, RecQ 헬리카제, NER 단백질, 라민 등 DNA 복구 단백질 유전자 돌연변이가 주요 원인이며, 베르너 증후군, 블룸 증후군, 로스문드-톰슨 증후군, 콕케인 증후군, 색소피부건조증, 허친슨-길포드 프로제리아 증후군 등이 대표적이다.
2. 역사
뇌졸중은 기원전 2천년부터 메소포타미아와 페르시아에서 그 사례가 보고되었다.[248] 서양 의학의 아버지 히포크라테스(Hippocrates)는 기원전 460년에서 370년 사이에 허혈과 관련된 돌연한 마비 현상을 최초로 기술했다.[249][250] '뇌졸중(Apoplexy)'이라는 용어는 '갑자기 쓰러지다'라는 뜻의 그리스어(Greek language)에서 유래했으며, 히포크라테스 저술에 처음 등장한다.[249][250]
1599년경부터 '뇌졸중(stroke)'이라는 단어가 뇌졸중 발작의 동의어로 사용되기 시작했다.[251] 1658년, 요한 야코프 웨퍼(Johann Jakob Wepfer)는 뇌졸중으로 사망한 사람들의 뇌에서 출혈을 발견하고, 척추 동맥과 경동맥 등 뇌에 혈액을 공급하는 주요 동맥의 혈관 폐색이 뇌졸중을 유발할 수 있음을 제시했다.[246][249] 루돌프 피르호(Rudolf Virchow)는 혈전색전증 기전을 주요 요인으로 설명했다.[254]
1927년에 '뇌혈관 질환(cerebrovascular accident)'이라는 용어가 도입되었으나,[255] '사고(accident)'라는 단어가 갖는 우연성 때문에 최근에는 사용되지 않는 추세다.[256][257][258]
2. 1. 한국에서의 역사
한국 전통 의학에서는 뇌졸중을 '중풍(中風)'이라고 불렀는데, 이는 '풍(風)'이 원인이라고 생각했기 때문이다.[274] '졸중(卒中)'이라는 용어는 '갑자기 사기(邪氣)나 사풍(邪風)에 맞다'라는 의미에서 유래했다.[273]3. 종류
뇌졸중은 크게 뇌혈관이 막히는 뇌경색과 뇌혈관이 터지는 뇌출혈로 나뉜다.[267] 두 질환은 발생하는 현상은 다르지만, 뇌세포가 손상되어 반신마비, 언어장애, 의식장애 등을 유발한다는 공통점을 가진다.[267]
뇌출혈은 출혈 위치에 따라 다음과 같이 분류된다.
- 뇌내출혈: 뇌 안에서 혈관이 터져 출혈이 발생하는 경우이다. 뇌실질내 출혈(뇌 조직 내 출혈)과 뇌실내 출혈(뇌의 뇌실계 내 출혈)이 여기에 해당한다.[30][31]
- 지주막하출혈: 뇌를 둘러싸고 있는 막 중 거미막과 연막 사이에서 출혈이 발생하는 경우이다. 뇌 조직 외부에 출혈이 발생하지만, 두개골 내부에서 발생한다.[31] 뇌동맥류가 파열되는 경우가 많으며, 이 역시 뇌졸중에 포함된다.[272]
뇌 아밀로이드 혈관병증, 뇌 동정맥 기형과 같은 뇌혈관 질환이 뇌출혈의 배경 요인이 될 수 있다.[33]
심한 경우 뇌졸중은 발작과 함께 갑작스럽게 쓰러지는 증상을 보이지만, 그 이전에 말이 어눌해지는 등의 초기 증상이 나타나는 경우가 있다.[271] 뇌졸중 발생 며칠 전, 일부 환자에게는 '전조 두통'이라고 불리는 심한 두통이 나타나기도 한다.[46] 이러한 전조 두통은 뇌졸중의 위험 신호일 수 있으므로, 의학적 진료를 받고 예방 조치를 취하는 것이 중요하다.
이 외에도 겉으로 드러나는 증상이 없는 '침묵성 뇌졸중'도 있다.[61]
3. 1. 뇌경색
뇌경색(cerebral infarction)은 뇌혈관이 혈전(피떡)이나 색전(혈관을 막는 물질) 등으로 막혀 뇌세포에 산소와 영양 공급이 중단되어 발생하는 질환이다. 뇌경색은 임상적 특징과 여러 진단적 자료에 근거한 TOAST 분류법[293]에 따라 큰 동맥 죽상경화, 심장]-대동맥 색전, 작은 동맥 폐쇄, 기타 원인, 원인 불명으로 분류된다.허혈성 뇌졸중은 혈액 공급 감소로 인해 뇌 조직 기능 장애를 일으킨다. 원인은 다음과 같다.[14][23][24]
# 혈전증(국소적으로 혈전이 생성되어 혈관을 막는 것)
# 색전증(신체 다른 부위에서 온 색전으로 인한 폐색)
# 전신적 저관류(예: 쇼크에서와 같이 혈액 공급의 전반적인 감소)
# 대뇌 정맥동 혈전증
원인이 명확하지 않은 뇌졸중은 '''특발성 뇌졸중'''(특발성)이라고 하며, 허혈성 뇌졸중의 30~40%를 차지한다.[14][25]
급성 허혈성 뇌졸중은 초기 증상에 의존하는 옥스퍼드 지역 사회 뇌졸중 프로젝트 분류(OCSP, 밤포드 또는 옥스퍼드 분류)에 따라 전대뇌 순환 뇌경색(TACI), 부분 전대뇌 순환 뇌경색(PACI), 소뇌경색(LACI), 후대뇌 순환 뇌경색(POCI)으로 분류된다. 이는 뇌졸중의 정도, 영향을 받는 뇌 영역, 근본 원인 및 예후를 예측한다.[26][27]
사용자는 각성제인 코카인과 메탐페타민에 의한 허혈성 뇌졸중 위험이 높다.[29]
3. 1. 1. 혈전성 뇌졸중

혈전성 뇌졸중은 죽상경화성 플라크 주변에 혈전[47](혈액 응고)이 형성되어 발생하는 뇌졸중이다. 동맥 폐쇄가 점진적으로 진행되기 때문에 증상이 나타나는 혈전성 뇌졸중의 발병은 출혈성 뇌졸중에 비해 느리다. 혈전(혈관을 완전히 막지 않더라도)은 떨어져 나가 혈류를 따라 이동하면서 색전성 뇌졸중을 유발할 수 있으며, 이 경우 해당 혈전을 색전이라고 한다.
혈전성 뇌졸중은 크게 대혈관 질환과 소혈관 질환으로 나눌 수 있다.
동맥 박리로 인한 뇌졸중은 '정의된 질병 상태'가 아닌 경우가 많으며, 매우 젊은 사람에게서 발생할 수 있고 목 부위의 과신전 등의 신체적 손상이나 외상으로 인해 발생할 수 있다.[49]
- '''소혈관 질환'''은 뇌 내부의 작은 동맥, 즉 윌리스환, 중뇌 동맥, 줄기 및 원위 척추 동맥과 뇌저 동맥에서 발생하는 동맥의 가지에 발생한다.[50] 소혈관에 혈전을 형성할 수 있는 질환은 다음과 같다.(발생률 감소 순서)
빈혈은 혈액 순환계의 혈류량을 증가시켜 혈관 내피 세포가 접착 인자를 발현하게 하고, 이는 혈액 응고와 혈전 형성을 촉진한다.[52] 겸상 적혈구 빈혈의 경우 혈구가 응집되어 혈관을 막아 뇌졸중을 유발할 수 있다. 20세 미만의 겸상 적혈구 빈혈 환자에게 뇌졸중은 사망 원인 2위이다.[246] 대기오염 또한 뇌졸중 위험을 증가시키는 요인 중 하나이다.[53]
3. 1. 2. 색전성 뇌졸중
색전성 뇌졸중은 동맥 내를 이동하는 입자나 잔해인 색전(embolus)에 의한 동맥색전증(동맥의 폐색)을 말한다. 색전은 다른 곳에서 기원하여 동맥 혈류를 따라 이동한다.[54] 색전은 가장 흔하게 혈전이지만, 지방(예: 골절된 뼈의 골수에서), 공기, 암 세포 또는 세균 덩어리(보통 감염성 심내막염에서)를 포함한 다른 여러 물질일 수도 있다.[54]
색전은 다른 곳에서 발생하기 때문에 국소 치료는 문제를 일시적으로만 해결한다. 따라서 색전의 원인을 확인해야 한다. 색전성 폐색은 발병이 갑작스럽기 때문에 증상은 일반적으로 시작 시 최대치에 달한다. 또한, 색전이 부분적으로 흡수되고 다른 위치로 이동하거나 완전히 소멸됨에 따라 증상이 일시적일 수 있다.
색전은 가장 흔하게 심장(특히 심방세동에서)에서 발생하지만, 동맥계의 다른 곳에서 기원할 수도 있다. 역설적 색전증에서 심정맥혈전증은 심장의 심방 또는 심실중격결손을 통해 뇌로 색전된다.[54]
심장과 관련된 뇌졸중의 원인은 고위험군과 저위험군으로 구분할 수 있다.[55]
경동맥 중 하나가 완전히 막힌 사람들의 경우, 그쪽 측면에서 뇌졸중이 발생할 위험은 연간 약 1%이다.[56]
색전성 뇌졸중의 특별한 형태는 원인불명 색전성 뇌졸중(ESUS)이다. 이 암호성 뇌졸중의 하위 집단은 근위 동맥 협착이나 심장색전성 원인이 없는 비소뇌 뇌경색으로 정의된다. 허혈성 뇌졸중 환자의 약 6명 중 1명이 ESUS로 분류될 수 있다.[57]
3. 2. 뇌출혈
출혈성 뇌졸중은 뇌내출혈과 지주막하출혈 두 가지 주요 유형으로 나뉜다.[30][31] 뇌내출혈은 뇌 자체 내에서 발생하는 출혈이며, 지주막하출혈은 뇌 조직 외부이지만 두개골 내부, 즉 거미막과 연막 사이에서 발생하는 출혈이다. 이 둘은 두개강내 출혈의 한 형태이지만, 경막외혈종(두개골과 경막 사이 출혈) 및 경막하혈종(경막하강에서의 출혈)은 출혈성 뇌졸중으로 보지 않는다.[32]출혈성 뇌졸중은 뇌 아밀로이드 혈관병증, 뇌 동정맥 기형, 뇌동맥류와 같은 뇌 혈관 변화를 배경으로 발생할 수 있다.[33] 신경 손상 외에도 특정 증상을 유발하거나 이전 두부 손상의 증거를 보일 수 있으며, 뇌 손상 부위에 따라 다음과 같은 증상들이 나타날 수 있다.
대부분 증상은 신체 한쪽(일측성)에만 나타나며, 뇌 손상은 일반적으로 신체 반대쪽에 있다. 뇌졸중 발생 며칠 전, 상당수 환자에게 "전조 두통"이 나타나기도 하는데, 이는 심하고 특이한 두통이다.[46] 전조 두통이 나타나면 의학적 검진과 뇌졸중 예방을 고려하는 것이 좋다.
뇌졸중에는 뇌경색, 뇌출혈 등 여러 종류가 있으며,[267] 현상은 다르지만 뇌세포 손상으로 인해 반신마비, 언어장애, 의식장애 등이 발생할 수 있다는 공통점이 있다.[267] 중증일 경우 발작으로 갑자기 쓰러지지만, 말이 어눌해지는 등의 초기 증상이 나타나는 경우도 있다.[271]
3. 2. 1. 뇌내출혈

뇌내출혈은 뇌 자체 내에서 발생하는 출혈로, 뇌실질내 출혈(뇌 조직 내 출혈) 또는 뇌실내 출혈(뇌의 뇌실계 내 출혈)이 이에 해당한다.[30][31] 뇌내출혈은 뇌 동맥이 파열되어 주변 조직으로 피가 넘쳐흘러 발생한다.
뇌내출혈은 주로 소동맥 또는 소동맥에서 발생하며, 주요 원인은 다음과 같다.[58][14]
- 고혈압
- 뇌혈관 기형 (해면상 혈관종 또는 동정맥 기형 포함)
- 뇌 아밀로이드 혈관병증
- 속발성 출혈이 발생한 뇌경색
이 외에도 외상, 출혈 질환(혈우병 등), 아밀로이드 혈관병증, 약물 남용(예: 암페타민 또는 코카인) 등이 뇌내출혈의 잠재적 원인이 될 수 있다.
혈종은 주변 조직의 압력으로 인해 성장이 제한되거나, 뇌실계, 뇌척수액 또는 연막 표면으로 배출되어 압력이 감소할 때까지 커진다. 뇌내출혈의 3분의 1은 뇌실로 발생한다. 뇌내출혈은 30일 후 사망률이 44%로, 허혈성 뇌졸중이나 지주막하출혈보다 높다.[14]
3. 2. 2. 지주막하출혈
거미막과 연막(뇌를 둘러싸는 뇌막의 세 층 중 가장 안쪽의 섬세한 막) 사이에서 발생하는 출혈로, 뇌 조직 외부이지만 두개골 내부에서 발생한다.[31] 뇌 아밀로이드 혈관병증, 뇌 동정맥 기형, 뇌동맥류와 같이 뇌의 혈관 변화를 배경으로 발생할 수 있다.[33]지주막하출혈은 신경 손상 외에도 고전적으로 뇌진탕성 두통으로 알려진 심한 두통을 유발할 수 있다.[33] 뇌동맥류가 파열되는 지주막하출혈도 뇌졸중에 포함된다.[272]
3. 3. 기타
침묵성 뇌졸중은 겉으로 드러나는 증상이 없는 뇌졸중으로, 자신이 뇌졸중을 경험했는지 모르는 경우가 일반적이다.[61] 뚜렷한 증상을 유발하지 않지만, 침묵성 뇌졸중은 여전히 뇌 손상을 일으키며, 향후 일과성 허혈 발작 및 주요 뇌졸중의 위험을 증가시킨다. 반대로, 주요 뇌졸중을 경험한 사람들도 침묵성 뇌졸중의 위험이 있다.[61] 1998년의 광범위한 연구에 따르면, 미국에서 1,100만 명 이상이 뇌졸중을 경험한 것으로 추산된다. 이 중 약 77만 명은 증상이 있었고, 1,100만 명은 최초의 침묵성 MRI 뇌경색 또는 출혈이었다. 침묵성 뇌졸중은 일반적으로 MRI와 같은 신경영상 기법을 통해 발견되는 병변을 유발한다. 침묵성 뇌졸중은 증상이 있는 뇌졸중보다 5배 더 높은 비율로 발생하는 것으로 추산된다.[62][63] 침묵성 뇌졸중의 위험은 나이가 들면서 증가하지만, 특히 급성 빈혈이 있는 젊은 성인과 어린이에게도 영향을 미칠 수 있다.[62][64]4. 원인 및 기전
뇌졸중은 뇌혈류 차단으로 인해 뇌세포가 손상되는 질환이다. 뇌혈류가 차단되면 뇌세포는 에너지를 공급받지 못해 손상된다.
색전성 뇌졸중은 동맥 내를 이동하는 입자나 잔해인 색전(embolus)에 의한 동맥색전증(동맥의 폐색)을 말한다. 색전은 가장 흔하게 혈전이지만, 지방(예: 골절된 뼈의 골수에서), 공기, 암 세포 또는 세균 덩어리(보통 감염성 심내막염에서)등의 여러 물질일 수도 있다.[54]
색전은 다른 곳에서 발생하기 때문에 국소 치료는 문제를 일시적으로만 해결한다. 색전성 폐색은 발병이 갑작스럽기 때문에 증상은 일반적으로 시작 시 최대치에 달한다. 또한, 색전이 부분적으로 흡수되고 다른 위치로 이동하거나 완전히 소멸됨에 따라 증상이 일시적일 수 있다.
색전은 가장 흔하게 심장(특히 심방세동에서)에서 발생하지만, 동맥계의 다른 곳에서 기원할 수도 있다. 역설적 색전증에서 심정맥혈전증은 심장의 심방 또는 심실중격결손을 통해 뇌로 색전된다.[54]
심장과 관련된 뇌졸중의 원인은 고위험군과 저위험군으로 구분할 수 있다.[55]
경동맥 중 하나가 완전히 막힌 사람들의 경우, 그쪽 측면에서 뇌졸중이 발생할 위험은 연간 약 1%이다.[56]
원인불명 색전성 뇌졸중(ESUS)은 근위 동맥 협착이나 심장색전성 원인이 없는 비소뇌 뇌경색으로 정의된다. 허혈성 뇌졸중 환자의 약 6명 중 1명이 ESUS로 분류될 수 있다.[57]
대뇌 정맥동 혈전증은 국소적으로 증가된 정맥압이 동맥압을 초과하여 뇌졸중을 유발한다. 이로 인한 뇌경색은 다른 유형의 허혈성 뇌졸중보다 출혈성 변환(손상된 부위로의 출혈)이 발생할 가능성이 더 높다.[24]
동맥 경련 또한 뇌졸중의 원인이 될 수 있는데, 이는 코카인 사용으로 인해 발생할 수 있다.[59] 암 역시 뇌졸중의 잘 알려진 잠재적 원인 중 하나이다. 악성 종양은 일반적으로 뇌졸중 위험을 증가시킬 수 있지만, 특히 췌장암, 폐암, 위암과 같은 특정 유형의 암은 더 높은 혈전색전증 위험과 관련이 있다. 암이 뇌졸중 위험을 증가시키는 기전은 고혈전증 상태와 관련이 있는 것으로 생각된다.[60]
4. 1. 허혈성 뇌졸중의 기전
뇌혈류가 차단되면 뇌세포 활동에 필요한 에너지가 부족해진다. 이로 인해 뇌세포에서는 이온 펌프가 중단되어 뇌세포막의 탈분극이 발생하고, 무기 대사가 촉진된다. 뇌세포막 탈분극은 다량의 신경전달물질을 방출하고, 이들이 산화되면서 독성을 가진 자유 라디칼이 생성된다. 또한 뇌세포막이 탈분극되면 세포 내로 칼슘 이온이 대량 유입되어 지질 분해, 산화 질소 형성, 단백질 분해가 촉진되어 세포 손상이 일어난다.[65]뇌세포에 무기 대사가 촉진되면, 대사 산물인 젖산이 세포 내에 축적된다. 이로 인해 세포질이 산성화되면 철 이온이 유리되어 산화 라디칼 형성이 촉진되고 독성이 유발된다. 결국 이러한 기전들로 인해 뇌세포가 손상되어 대량 괴사가 일어난다.[65]
정상적인 뇌 혈류량은 100그램당 55밀리리터 정도이다. 뇌혈류량이 30ml/100g 이하로 떨어지면 뇌조직이 손상되기 시작한다. 25ml/100g 이하가 되면 뇌세포 기능 장애가 본격적으로 일어나 뇌파 상에서 뇌세포의 전기적 활성이 사라진다. 15ml/100g 이하가 되면 뇌세포막 손상이 유발된다. 뇌혈류량이 감소할수록 뇌조직 손상 속도는 증가한다.
허혈성 뇌졸중은 뇌의 일부로 가는 혈액 공급이 감소하여 해당 부위의 뇌 조직 기능 장애가 발생하는 현상이다. 이러한 현상이 발생하는 네 가지 이유는 다음과 같다.[65]
# 혈전증(국소적으로 혈전이 생성되어 혈관을 막는 것)
# 색전증(신체 다른 부위에서 온 색전으로 인한 폐색)[14]
# 전신적 저관류(예: 쇼크에서와 같이 혈액 공급의 전반적인 감소)[23]
# 대뇌 정맥동 혈전증.[24]
허혈성 뇌 조직에서 산소 또는 포도당이 고갈되면 아데노신 삼인산(ATP) 같은 고에너지 인산 화합물 생산이 실패한다. 이는 조직 세포 생존에 필요한 에너지 의존적 과정(예: 이온 펌핑) 실패로 이어진다. 신경세포 손상의 주요 원인은 흥분성 신경전달물질인 글루탐산 방출이다. 뇌졸중은 이온 펌프 작동을 방해하여 막을 가로지르는 이온 기울기를 감소시킨다. 글루탐산 수송체는 방향을 반대로 하여 세포외 공간으로 글루탐산을 방출한다. 글루탐산은 신경 세포 수용체(특히 NMDA 수용체)에 작용하여 칼슘 유입을 생성하고, 이는 세포의 단백질, 지질 및 핵 물질을 분해하는 효소를 활성화한다. 칼슘 유입은 미토콘드리아 기능 장애로 이어질 수 있으며, 이는 에너지 고갈로 더욱 진행되어 프로그램된 세포 사멸로 이어질 수 있다.[69]
허혈은 또한 활성산소 및 기타 활성산소종 생성을 유도한다. 이들은 다수의 세포 및 세포외 요소와 반응하여 손상을 입힌다. 혈관 내피 또는 내피 세포 손상이 발생할 수 있다. 이러한 과정은 모든 유형의 허혈성 조직에서 동일하며 집합적으로 ''허혈 연쇄 반응''이라고 한다. 그러나 뇌 조직은 호흡 예비량이 거의 없고 다른 대부분의 장기와 달리 호기성 대사에 완전히 의존하기 때문에 허혈에 특히 취약하다.[69]
뇌는 담보 순환계를 통해 단일 동맥의 불충분한 혈류를 보상할 수 있다. 이 시스템은 경동맥과 척추동맥 사이의 효율적인 연결(주로 윌리스환을 통해, 그리고 다소 적은 정도로 대뇌반구에 혈액을 공급하는 주요 동맥을 통해)에 의존한다. 그러나 윌리스 환의 변이, 담보 혈관의 구경 및 죽상경화증과 같은 후천성 동맥 병변은 이러한 보상 메커니즘을 방해하여 동맥 폐쇄로 인한 뇌 허혈 위험을 증가시킬 수 있다.[70]
손상 정도는 허혈 지속 시간과 심각도에 따라 달라진다. 정상의 5% 미만으로 관류가 5분 이상 지속되면 일부 뉴런이 죽게 된다. 그러나 허혈이 경미한 경우 손상은 천천히 발생하며 뇌 조직을 완전히 파괴하는 데 최대 6시간이 걸릴 수 있다. 15~30분 이상 지속되는 심한 허혈의 경우, 영향을 받은 조직 전체가 죽어 뇌경색으로 이어진다. 손상 속도는 온도의 영향을 받는데, 고열은 손상을 가속화하고 저체온증은 손상 속도를 늦춘다. 허혈 조직에 대한 혈류의 신속한 회복은 특히 조직이 아직 돌이킬 수 없이 손상되지 않은 경우 손상을 줄이거나 되돌릴 수 있다. 이는 심한 허혈 부위 주변의 중등도 허혈 부위(반암영역)에 특히 중요한데, 이 부위는 담보 혈류 때문에 여전히 회복될 가능성이 있기 때문이다.[70][71][72]
4. 2. 출혈성 뇌졸중의 기전
출혈성 뇌졸중은 혈관 파열로 발생한 출혈이 뇌 조직을 압박하고, 혈액 성분이 뇌세포에 독성 작용을 일으켜 발생한다.[246][73] 뇌출혈로 방출된 혈액은 뇌 조직과 혈관에 직접적인 독성 효과를 나타내며,[246][73] 염증은 출혈 후 이차적인 뇌 손상을 유발한다.[73] 또한, 압력으로 인해 해당 부위의 혈액 공급이 차단되어 허혈성 손상이 발생할 수도 있다.[246]4. 3. 정맥 혈전증
대뇌 정맥동 혈전증은 국소적으로 증가된 정맥압이 동맥압을 초과하여 뇌졸중을 유발한다. 이로 인한 뇌경색은 다른 유형의 허혈성 뇌졸중보다 출혈성 변환(손상된 부위로의 출혈)이 발생할 가능성이 더 높다.[24]동맥 경련 또한 뇌졸중의 원인이 될 수 있는데, 이는 코카인 사용으로 인해 발생할 수 있다.[59] 암 역시 뇌졸중의 잘 알려진 잠재적 원인 중 하나이다. 악성 종양은 일반적으로 뇌졸중 위험을 증가시킬 수 있지만, 특히 췌장암, 폐암, 위암과 같은 특정 유형의 암은 더 높은 혈전색전증 위험과 관련이 있다. 암이 뇌졸중 위험을 증가시키는 기전은 고혈전증 상태와 관련이 있는 것으로 생각된다.[60]
5. 위험 인자
뇌졸중의 위험 인자는 다양하며, 크게 불변성 인자와 가변성 인자로 나눌 수 있다.
불변성 인자는 바꿀 수 없는 위험 요인으로, #불변성 위험 인자 섹션에서 자세히 다룬다. 가변성 인자는 생활 습관 개선이나 치료를 통해 조절 가능한 위험 요인으로, #가변성 위험 인자 섹션에서 자세히 설명한다.
일과성 허혈 발작(TIA)이나 뇌졸중 병력, 관상동맥 협착, 좌심실 부전, 과도한 알코올 섭취, 혈액학적 이상, 혈액응고질환, 클라미디아 및 치은염 감염 등이 가변성 위험 인자에 포함된다.[7]
편두통이 전조를 동반하는 경우 허혈성 뇌졸중 위험이 두 배로 증가하며,[102][103] 치료받지 않은 셀리악병도 뇌졸중의 원인이 될 수 있다.[104] 2021년 WHO 연구에 따르면 주당 55시간 이상 근무는 뇌졸중 위험을 35% 증가시킨다.[105]
높은 수준의 신체 활동은 뇌졸중 위험을 약 26% 감소시키지만,[106] 생활 습관 개선 홍보 노력에 대한 연구는 부족하다.[107] 뇌졸중 예방을 위한 최상의 의학적 관리에는 식단, 운동, 흡연 및 알코올 사용에 대한 조언이 포함된다.[108] 경동맥 내막 절제술은 뇌졸중 예방에 유용한 외과적 방법이 될 수 있다.
하버드 대학교 의과대학에 따르면, 뇌졸중은 인생을 송두리째 바꿔놓을 수 있으며,[269] 미니 스트로크도 응급 상황으로 간주되어 즉시 병원에 가는 것이 권장된다.[270]
5. 1. 불변성 위험 인자
- 고령
- 남성
- 뇌졸중 가족력
- 아프리카, 아시아계 인종
- AB형 혈액형[1]
5. 2. 가변성 위험 인자
뇌졸중의 가변성 위험 인자에는 여러 가지가 있다. 고혈압은 뇌졸중 위험의 35~50%를 차지하며, 수축기 혈압을 10mmHg, 이완기 혈압을 5mmHg 감소시키면 뇌졸중 위험을 약 40% 줄일 수 있다.[109][110] 혈압을 낮추는 것은 허혈성 뇌졸중과 출혈성 뇌졸중 모두를 예방하는 데 효과적이며, 2차 예방에도 중요하다.[111][112][113]당뇨병은 뇌졸중 위험을 2~3배 증가시킨다. 혈당 관리를 철저히 하면 신장 손상이나 눈의 망막 손상과 같은 소혈관 합병증을 줄일 수 있지만, 뇌졸중과 같은 대혈관 합병증을 줄이는 것으로는 나타나지 않았다.[123][124]
흡연은 뇌졸중의 주요 위험 인자 중 하나이며, 하루에 담배 한 개비만 피워도 위험이 30% 이상 증가한다.[98] 과도한 알코올 섭취 또한 뇌졸중 위험을 증가시킬 수 있다.[94] 알코올은 고혈압, 심방세동, 혈소판 증가증, 혈소판 응집 및 응고 장애 등 여러 기전을 통해 허혈성 뇌졸중뿐만 아니라 뇌내출혈과 지주막하출혈의 위험을 높인다.[99]
심근 경색, 심방 세동, 울혈성 심부전과 같은 심장 질환도 뇌졸중 위험을 높인다. 특히 심방세동은 색전성 뇌경색의 주요 원인 중 하나이다.
그 외에도 혈액학적 이상, 혈액응고질환, 클라미디아 및 치은염 감염 등도 뇌졸중의 가변성 위험 인자에 해당한다.
6. 증상
뇌졸중의 증상은 뇌 손상 부위에 따라 다양하게 나타난다. 1970년대 세계보건기구는 뇌졸중을 "24시간 이상 지속되거나 24시간 이내에 사망으로 이어지는 뇌혈관 질환으로 인한 신경학적 결손"으로 정의했다.[21] 그러나 초기 치료를 통해 뇌졸중의 중증도를 줄일 수 있게 되면서, "뇌 공격"이나 "급성 허혈성 뇌혈관 증후군"과 같은 용어가 뇌졸중 증상의 긴급성과 신속한 조치의 필요성을 강조하기 위해 사용되기도 한다.[22]
겉으로 드러나는 증상이 없는 침묵성 뇌졸중도 뇌 손상을 일으키며, 향후 일과성 허혈 발작 및 주요 뇌졸중의 위험을 높인다.[61] 주요 뇌졸중을 경험한 사람도 침묵성 뇌졸중의 위험이 있다.[61] 침묵성 뇌졸중은 주로 MRI와 같은 신경영상 기법을 통해 발견되며, 증상이 있는 뇌졸중보다 5배 더 높은 비율로 발생하는 것으로 추산된다.[62][63]
허혈성 뇌졸중은 뇌의 일부로 가는 혈액 공급이 차단되어 발생하며, 허혈 연쇄 반응을 일으킨다.[65] 동맥경화증은 혈관 내강을 좁히거나 혈전을 형성하고, 작은 색전을 방출하여 혈액 공급을 방해한다.[66] 색전성 뇌경색은 심장이나 경동맥에서 형성된 색전이 뇌혈관을 막아 발생한다. 뇌혈관이 막히면 뇌는 에너지가 부족해져 혐기성 대사를 이용하게 되는데, 이는 아데노신 삼인산(ATP)을 적게 생성하고 젖산을 생성한다. 젖산은 뇌의 산-염기 균형을 방해하고 세포를 파괴할 수 있다. 허혈 영역은 "허혈성 반그늘"이라고 불린다.[67]
산소나 포도당이 고갈된 허혈성 뇌 조직에서는 ATP와 같은 고에너지 인산 화합물 생산이 실패하고, 이는 세포 손상과 사망으로 이어진다. 신경세포 손상의 주요 원인은 흥분성 신경전달물질인 글루탐산의 방출이다. 글루탐산은 신경 세포의 수용체에 작용하여 칼슘 유입을 유발하고, 이는 세포 내 단백질, 지질 및 핵 물질을 분해하는 효소를 활성화한다. 칼슘 유입은 미토콘드리아의 기능 장애로 이어져 프로그램된 세포 사멸을 유발할 수 있다.[69]
허혈은 활성산소 및 기타 활성산소종의 생성을 유도하여 세포 및 세포외 요소에 손상을 입힌다. 뇌는 담보 순환계를 통해 단일 동맥의 불충분한 혈류를 보상할 수 있지만, 윌리스환의 변이, 담보 혈관의 구경 및 동맥 병변은 이러한 보상 메커니즘을 방해할 수 있다.[70]
손상의 정도는 허혈의 지속 시간과 심각도에 따라 달라진다. 정상의 5% 미만으로 관류가 5분 이상 지속되면 일부 뉴런이 죽게 되지만, 허혈이 경미한 경우 손상은 천천히 발생하여 최대 6시간이 걸릴 수 있다. 15~30분 이상 지속되는 심한 허혈의 경우, 영향을 받은 조직 전체가 죽어 뇌경색으로 이어진다. 허혈 조직에 대한 혈류의 신속한 회복은 손상을 줄이거나 되돌릴 수 있다.[70][71][72]

6. 1. 일반적인 증상
뇌졸중의 일반적인 증상은 다음과 같다.- 편마비(hemiplegia): 몸의 한쪽이 마비되는 증상.[45]
- 안면 근육 약화: 얼굴 근육이 약해지는 증상.[45]
- 감각 저하(numbness): 몸의 한쪽 감각이 둔해지거나 없는 증상.[45]
- 감각 또는 진동 감각 감소[45]
- 초기에는 이완증(flaccidity) (근육 긴장도 감소)이 나타나지만, 이후 긴장 과항진(spasticity) (근육 긴장도 증가), 과반사(hyperreflexia) (반사가 정상보다 강하게 나타나는 현상) 및 강제적 시너지로 대체됨.[45]
- 실어증(aphasia): 언어 표현, 이해, 읽기, 쓰기에 어려움을 겪는 증상.[45]
- 구어 장애(dysarthria): 신경 손상으로 인해 말을 정확하게 발음하기 어려운 증상.[45]
- 시야(visual field) 결손: 시야의 일부가 보이지 않는 증상.[45]
- 보행 장애: 걷는 것이 어려워지는 증상.[45]
- 갑작스러운 두통(Headache)[275]
- 의식장애: 의식이 흐려지거나 없는 증상.[267]
이러한 증상들은 뇌 손상 부위에 따라 다르게 나타날 수 있으며, 주로 몸의 한쪽에만 나타난다.[45] 뇌졸중은 뇌경색과 뇌출혈 등으로 나뉘지만, 공통적으로 뇌세포 손상으로 인해 반신 마비, 언어장애, 의식장애 등이 발생할 수 있다.[267]
6. 2. 초기 증상
뇌졸중은 인생을 송두리째 바꿔놓을 수 있으며, 자신감은 순식간에 사라지고 모든 것이 변한다고 알려져 있다.[269] 미니 스트로크도 응급 상황이며, 이후 본격적인 뇌졸중으로 이어질 가능성이 매우 높다.[270] 일과성 허혈 발작이 발생하면 즉시 병원에 가는 것이 권장된다.[270] 뇌졸중은 여성에게도 발생하기 쉽다.[269]6. 3. 뇌 부위별 증상
뇌졸중은 혈관이 막히는 뇌경색과 혈관이 터지는 뇌출혈로 나뉜다. 이들은 뇌세포를 손상시켜[267] 다음과 같은 증상을 유발할 수 있다.[267]7. 진단
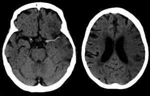
뇌졸중은 신경학적 검사(예: NIHSS) , CT 스캔(대부분 조영제 증강 없이), MRI 스캔, 도플러 초음파, 혈관조영술 등 여러 가지 방법으로 진단한다. 뇌졸중 자체의 진단은 영상 기술의 도움을 받아 임상적으로 이루어지며, 영상 기술은 뇌졸중의 아형과 원인을 결정하는 데에도 도움이 된다.[74] 뇌졸중 진단을 위한 혈액 검사는 아직 일반적이지 않지만, 혈액 검사는 뇌졸중의 원인을 파악하는 데 도움이 될 수 있다.[74] 사망한 사람의 경우 뇌졸중 부검을 통해 뇌졸중 발생 시점과 사망 시점 사이의 시간을 확인할 수 있다.
안정적인 뇌졸중 평가를 위해서는 단일광자 방출 컴퓨터 단층촬영(SPECT) 및 양전자 방출 단층촬영-컴퓨터 단층촬영(PET/CT)과 같은 핵의학 검사가 유용할 수 있다. SPECT는 대뇌 혈류를 기록하는 반면, FDG 동위원소를 사용한 PET는 대뇌 포도당 대사를 보여준다.
뇌에서 연막 측부 순환이 있는 경우 재관류 치료 후 임상 결과가 더 좋다.[78] 뇌혈관 저장 용량은 뇌졸중 결과에 영향을 미치는 또 다른 요인이다. 이는 의사가 이산화탄소 흡입 또는 정맥 아세타졸아마이드와 같이 혈류를 의도적으로 자극하여 혈류 증가량을 측정하는 것이다. 혈류 증가는 PET 스캔 또는 경두개 도플러 초음파로 측정할 수 있다.[79] 그러나 한쪽 내경동맥이 막힌 사람의 경우 연막 측부 순환이 있으면 대뇌 저장 용량이 감소한다.[80]
7. 1. 신체 검사
증상에 대한 병력 청취와 신경학적 상태를 포함한 신체 검사를 통해 뇌졸중의 위치와 중증도를 평가한다. NIH 뇌졸중 척도에서 표준 점수를 얻을 수 있다.[74]7. 2. 영상 검사


뇌졸중은 신경학적 검사(예: NIHSS) , 컴퓨터 단층촬영(CT) (대부분 조영제 증강 없이), 자기공명영상(MRI) 스캔, 도플러 초음파, 및 혈관조영술 등 여러 가지 방법으로 진단됩니다. 뇌졸중 자체의 진단은 영상 기술의 도움을 받아 임상적으로 이루어집니다. 영상 기술은 뇌졸중의 아형과 원인을 결정하는 데에도 도움이 됩니다.[74]
응급 상황에서 허혈성 뇌졸중(혈관이 막혀서 발생)과 출혈성 뇌졸중(혈관이 터져서 발생)을 진단하기 위해 CT와 MRI가 사용됩니다.
MRI는 만성 출혈을 감지하는 데 더 민감합니다.[76] CT는 특히 뇌졸중이 작거나, 최근에 발생했거나,[12] 뇌간이나 소뇌 부위(후순환 뇌경색)에 있는 경우 허혈성 뇌졸중을 감지하지 못할 수 있습니다. MRI는 확산 강조 영상을 사용하여 후순환 뇌경색을 감지하는 데 더 효과적입니다.[77] CT는 특정 뇌졸중 모방 질환을 배제하고 출혈을 감지하는 데 더 많이 사용됩니다.[12]
7. 3. 원인 감별 검사
뇌졸중 진단이 내려지면, 기저 원인을 확인하기 위해 추가 검사를 시행할 수 있다. 현재 이용 가능한 치료 및 진단 옵션을 고려할 때, 색전의 말초적 원인이 있는지 확인하는 것이 특히 중요하다. 뇌졸중의 원인은 연령, 동반 질환 및 임상 양상에 따라 다르기 때문에 검사 선택은 다양할 수 있다.[74]일반적으로 사용되는 검사는 다음과 같다.[74]
- 경동맥 초음파/도플러 검사: 경동맥 협착 또는 뇌혈관 전의 동맥 박리를 검출한다.[74]
- 심전도(ECG) 및 심초음파: 심장 내의 부정맥 및 그로 인한 혈전을 확인한다. 이는 혈류를 통해 뇌혈관으로 퍼질 수 있다.[74]
- 홀터 모니터 검사: 간헐적 비정상적인 심장 박동을 확인한다.[74]
- 뇌혈관 혈관조영술: 동맥류 또는 동정맥 기형으로부터 출혈이 발생했다고 생각되는 경우 시행한다.[74]
- 혈액 검사: 혈중 콜레스테롤 수치가 높은지, 비정상적인 출혈 경향이 있는지, 호모시스테인뇨증과 같은 드문 질환이 관련되어 있는지 확인한다.[74]
출혈성 뇌졸중의 경우, CT 또는 혈관 내 조영제를 사용한 MRI 스캔을 통해 뇌동맥(예: 동맥류) 또는 기타 출혈 원인의 이상을 확인할 수 있다. 이러한 원인이 나타나지 않으면 구조적 MRI를 시행할 수 있다.[81] 만약 구조적 MRI로도 출혈의 기저 원인을 확인할 수 없다면, 침습적인 뇌 혈관 조영술을 시행할 수 있다. 하지만 뇌 혈관 조영술은 혈관 내 카테터를 이용한 혈류 접근이 필요하며 추가적인 뇌졸중과 삽입 부위 합병증을 유발할 수 있으므로 특정 상황에만 국한하여 시행된다.[81] 출혈이 정맥 혈전증으로 인해 발생했을 가능성을 시사하는 증상이 있는 경우, CT 또는 MRI 정맥조영술을 사용하여 뇌정맥을 검사할 수 있다.[81]
8. 예방
뇌졸중은 사망률이 높고 치료에 많은 비용과 시간이 소요되며, 치료 후에도 장애를 남기거나 재발할 가능성이 높아 무엇보다 예방이 중요하다.[84] 뇌졸중 예방은 공중보건 측면에서도 중요한 문제이다.
뇌졸중의 위험 요인으로는 고혈압, 심방세동, 고콜레스테롤혈증, 당뇨병, 흡연, 과도한 음주, 약물 사용, 운동 부족, 비만, 가공된 붉은 고기 섭취, 건강하지 못한 식단 등이 있다. 특히, 치료받지 않은 셀리악병은 어린이와 성인 모두에게서 뇌졸중의 원인이 될 수 있으며,[104] 편두통이 전조를 동반하면 허혈성 뇌졸중 위험이 두 배로 증가한다.[102][103]
미국 예방 서비스 태스크포스(USPSTF)는 증상이 없는 사람들에게 경동맥 협착증에 대한 검진을 권장하지 않는다.[89]
미니 스트로크도 응급 상황이며, 이후 본격적인 뇌졸중으로 이어질 가능성이 매우 높으므로, 일과성 뇌허혈 발작이 발생하면 즉시 병원에 가는 것이 권장된다.[270]
8. 1. 생활 습관 개선
뇌졸중은 예방이 매우 중요하다. 뇌졸중 위험을 줄이기 위한 생활 습관 개선 방법은 다음과 같다.
이 외에도 심혈관계 질환을 미리 인지하고 치료하며, 혈중 콜레스테롤 농도를 낮추는 것도 뇌졸중 예방에 도움이 된다.
8. 2. 위험 인자 관리
고혈압과 심방세동은 뇌졸중의 가장 중요한 개선 가능한 위험 요인이지만, 1년 동안 833명을 치료해야 뇌졸중 1건을 예방할 수 있을 정도로 효과의 크기는 작다.[90][91] 이외에도 고콜레스테롤혈증, 당뇨병, 말기 신부전[7], 흡연[92][93](직접흡연 및 간접흡연), 과도한 알코올 섭취,[94] 약물 사용,[95] 신체 활동 부족, 비만, 가공된 붉은 고기 섭취,[96] 건강에 좋지 않은 식단,[97] 만성적인 수면 부족이나 낮은 수면의 질[294] 등이 뇌졸중의 위험 인자로 작용할 수 있다.뇌졸중을 예방하기 위해서는 이러한 위험 인자들을 관리하는 것이 중요하다. 고혈압 치료는 뇌졸중 발생 가능성을 40%까지 줄일 수 있다.[278] 당뇨병 환자는 뇌졸중 위험이 높기 때문에, 당뇨병을 예방하고 적극적으로 치료하는 것이 뇌졸중 예방에 도움이 된다.[279] 고지혈증(고콜레스테롤혈증)의 경우, 스타틴(Statins)은 뇌졸중 위험을 약 15% 감소시키는 것으로 나타났다.[121]
생활 습관 개선도 뇌졸중 예방에 중요한 역할을 한다. 하루에 담배 한 개비만 피워도 뇌졸중 위험이 30% 이상 증가하며,[98] 높은 수준의 신체 활동은 뇌졸중 위험을 약 26% 줄인다.[106] 특히, 운동은 뇌졸중 위험을 30%나 낮춘다.[281]
8. 3. 약물 치료
뇌졸중은 치료 후에도 재발하는 경우가 많아 예방이 매우 중요하다. 뇌졸중 예방을 위해 항혈소판제나 항응고제 등을 사용하는 약물 치료를 할 수 있다.[87]아스피린은 뇌졸중 예방에 효과가 있는 약물 중 하나이다. 뇌졸중을 경험한 사람의 경우, 아스피린, 클로피도그렐, 디피리다몰과 같은 약물 치료가 유익할 수 있다.[87] 저용량 아스피린(75~150mg)은 고용량 아스피린과 효과가 비슷하지만 부작용이 적다.[125] 티에노피리딘계 약물(클로피도그렐, 티클로피딘)은 아스피린보다 약간 더 효과적일 수 있으며 위장관 출혈 위험이 감소하지만 비용이 더 많이 든다.[126] 경미한 뇌졸중 또는 고위험 TIA(일과성 허혈 발작) 후 첫 몇 주 동안은 아스피린과 클로피도그렐을 함께 사용하는 것이 유용할 수 있다.[127]
심방세동이 있는 경우 뇌졸중 위험이 높아지므로, 와파린 또는 아스피린과 같은 항응고제를 사용하여 예방할 수 있다.[129][130] 경구 항응고제인 Xa 억제제 (아픽사반) 및 트롬빈 억제제 (다비가트란)는 심방세동 환자의 뇌졸중 감소에 와파린보다 우수하며 출혈 위험이 낮거나 유사하다.[131] 그러나 심방세동 환자를 제외하고는 뇌졸중 예방을 위해 경구 항응고제를 권장하지 않는데, 이는 출혈 위험이 있기 때문이다.[132]
1차 예방에서 항혈소판제는 허혈성 뇌졸중 위험을 줄이지 못하고 오히려 중대한 출혈 위험을 증가시켰다는 연구 결과도 있으므로,[133][134] 약물 사용에 신중해야 한다.
8. 4. 수술적 치료
경동맥 협착이 심하면 경동맥 내막 절제술을 시행하여 뇌졸중을 예방할 수 있다.[108] 경동맥 내막 절제술은 경동맥의 죽상 경화성 협착을 제거하는 수술이다. 이 시술은 환자의 상태에 따라 선택적으로 시행한다.[108] 뇌졸중을 이미 경험한 환자에게는 경동맥 내막 절제술이 추가적인 뇌졸중 예방에 효과적이다.[137]수술 대상자는 나이, 성별, 협착 정도, 증상 발생 시점, 환자의 선호도 등을 고려하여 결정한다.[108] 수술은 빠를수록 효과가 좋다. 50% 이상 협착이 있는 환자는 5년 내 뇌졸중 재발 위험이 최대 20%이지만, 경동맥 내막 절제술을 받으면 이 위험을 약 5%로 줄일 수 있다.[140][141]
9. 치료
뇌졸중은 응급 질환으로, 빠른 진단과 치료가 매우 중요하다.[4][154] 뇌졸중 치료는 유형, 증상 발생 후 경과 시간, 기저 질환 유무에 따라 달라진다.[154]
아스피린은 재발 위험을 13% 감소시키며, 특히 초기 치료 효과가 크다.[155] 초기 몇 시간 이내에는 혈전을 용해하거나(혈전용해술), 기계적으로 제거하는(혈전제거술) 치료를 목표로 한다.[156] 1990년대 초 "시간이 곧 뇌다!(Time is Brain!)"라는 말이 생겨났으며,[156] 신속한 뇌혈류 회복이 뇌세포 사멸을 줄인다는 개념이 증명되고 정량화되었다.[157]
초기 혈당 조절이나 고혈압 조절은 큰 도움이 되지 않는 것으로 알려져 있다.[158][159][160] 중국, 동유럽 등에서 사용되는 세레브롤리신은 효과가 없고, 심각한 부작용 위험을 증가시킬 수 있다.[161]
미니 스트로크도 응급 상황이며, 이후 본격적인 뇌졸중으로 이어질 가능성이 매우 높으므로 즉시 병원에 가는 것이 권장된다.[270]
9. 1. 급성기 치료
뇌졸중은 즉각적인 의료 처치가 필요한 응급 상황이다.[4] 뇌졸중 치료는 뇌졸중 유형, 증상 발현 후 경과 시간, 기저 질환 유무에 따라 달라진다.[154]급성기 뇌졸중 치료는 '6D'로 요약된다. 6D는 뇌졸중 증상 조기 발견(detection), 환자 병원 신속 이송(dispatch), 응급실 도착 즉시 응급 치료 시행(door), 환자 중증도 선별(data), 처치 방법 결정(decision), 필요한 경우 적절한 약물 치료(drug)를 의미한다. 이를 통해 환자의 미세 순환을 개선하고, 2차적 손상을 최소화하며, 혈전 확장을 예방하고 혈전 용해 치료를 하며, 합병증을 예방한다.
초기 몇 시간 이내의 치료는 혈전을 용해하거나(혈전용해술), 기계적으로 제거하는(혈전제거술) 것을 목표로 한다.[156] 신속한 뇌졸중 중재는 "시간이 곧 뇌다!(Time is Brain!)"라는 말로 요약된다.[157]
- '''2차적 손상 최소화''': 뇌경색에 의한 2차적 손상을 막기 위해 NMDA 수용체 봉쇄제, 자유 라디칼 포착제, 세포막안정제, 유전자 조절 요법 등을 사용한다.
- '''응급 지지 요법''': 심기능, 혈압, 체액량, 산소, 체온, 혈당 등을 잘 관리한다.
- '''혈압 조절''': 급성 출혈성 변화, 좌심실 부전, 심근경색, 신부전, 동맥 박리가 있을 경우 혈압 조절이 필요하다.
- '''뇌부종 치료''': 뇌압 상승은 뇌에 치명적 손상을 가할 수 있으므로, 수분 섭취 제한, 과호흡 유도, 삼투성 이뇨제 투여, 침대 머리 부분 상승 등을 통해 뇌부종을 억제한다.
급성 허혈성 뇌졸중에서 혈전용해술은 증상 발현 후 3시간 이내에 재조합 조직 플라스미노겐 활성제(rtPA)를 투여할 경우, 장애 없이 생존하는 비율을 전반적으로 10% 향상시킨다.[162][163] 하지만 생존율을 높이는 데는 효과가 없다.[162] 3시간에서 4시간 30분 사이에는 효과가 불분명하다.[164][165][166] 미국 심장협회(AHA)/미국뇌졸중협회(ASA)는 특정 환자에게 이 기간 내에 혈전용해술을 권장한다.[167]
9. 1. 1. 항혈전 요법
항혈전 요법에는 항혈소판제 투여, 항응고제 투여, 혈전용해제 투여 세 가지 방법이 있다. 항혈소판제와 항응고제는 혈전 생성을 억제하여 뇌졸중 악화를 막고, 혈전용해제는 혈전을 녹여 응급 환자의 뇌혈관 재개통을 유도하여 뇌세포 회복을 돕는다.- 항혈소판제: 주로 혈전성 뇌졸중에 사용되며, 아스피린, 트리플루살, 티클로피딘, 클로피도그렐, 디피리다몰 등의 약물이 있다.
- 항응고제: 주로 색전성 뇌졸중에 사용되며, 헤파린, 저분자량 헤파린, 와파린 등의 약물이 있다.
- 혈전용해제: 허혈성 뇌졸중 발생 후 3시간 이내에 정맥 주사(IV)로 조직 타입 플라스미노겐 활성화제(rt-PA)를 투여하여 혈관을 막는 혈전을 용해하고, 재관류율은 25~70% 정도로 평가된다. 제한적인 경우에 한해 동맥내 주사(IA)로 유로키나제를 투여하는 방법이 6시간까지 효과가 있다고 알려져 있다. 혈전 용해제는 출혈 위험을 높이므로 초선택적 혈관조영술로 출혈 위험을 검사해야 하며, 부적절하게 사용 시 출혈성 변환을 유발할 수 있다.[34]
9. 2. 만성기 치료
뇌졸중 만성기에는 재활 치료를 통해 뇌졸중 후유증을 최소화하고 기능을 회복하는 것이 중요하다.[14] 뇌졸중 환자는 뇌졸중 전담 병동에서 치료받는 것이 좋으며, 이곳에서는 뇌졸중 치료 경험이 있는 의료진이 피부 관리, 영양, 수분 공급, 체위 조절 등 환자 관리에 중요한 역할을 한다.[189][190]뇌졸중 재활은 환자가 일상생활 기술을 회복하고 다시 학습하여 가능한 한 정상적인 생활로 돌아갈 수 있도록 돕는 과정이다. 재활팀은 재활의학 전문의, 신경과 전문의, 물리치료사, 작업치료사, 언어치료사 등 다양한 전문가로 구성되어 다학제적 접근을 한다. 뇌졸중 환자 중 상당수는 우울증을 겪으므로, 심리학자나 사회복지사가 팀에 포함되기도 한다.[191]
재활 치료는 가능한 한 빨리 시작해야 하며, 기능 회복은 초기 몇 달 동안 가장 활발하게 이루어진다. 완전한 회복은 드물지만, 꾸준한 재활 운동과 적절한 식단 및 운동을 통해 뇌 회복을 도울 수 있다.
9. 2. 1. 재활 치료
이상적으로 뇌졸중 환자는 뇌졸중 전담 병동(stroke unit)에 입원하는 것이 좋다. 뇌졸중 전담 병동은 뇌졸중 치료 경험이 있는 간호사와 치료사들이 근무하는 병원 내 병동 또는 특정 구역이다. 뇌졸중 전담 병동에 입원한 환자들은 병원의 다른 곳에 입원한 환자들보다 생존율이 더 높다는 것이 밝혀졌다. 뇌졸중 치료 경험이 없는 의사에게 진료를 받는 경우에도 마찬가지이다.[14][189] 간호는 피부 관리, 영양 공급, 수분 공급, 체위 조절, 체온, 맥박, 혈압과 같은 활력 징후 모니터링을 유지하는 데 매우 중요하다.[190]뇌졸중 재활은 뇌졸중으로 인해 장애를 갖게 된 환자가 일상생활 기술을 회복하고 재학습하여 가능한 한 정상적인 생활로 돌아갈 수 있도록 돕는 치료 과정이다. 또한 생존자들이 어려움을 이해하고 적응하며, 이차적 합병증을 예방하고, 가족 구성원들이 지원 역할을 할 수 있도록 교육하는 것을 목표로 한다. 뇌졸중 재활은 다학제적 접근 방식으로 거의 즉시 시작되어야 한다. 재활팀에는 재활의학 전문의, 신경과 전문의, 임상 약사, 간호 직원, 물리치료사, 작업치료사, 언어치료사 및 보조기 전문가가 포함될 수 있다. 뇌졸중 환자 중 최소 3분의 1이 뇌졸중 후 우울증을 겪으므로, 일부 팀에는 심리학자와 사회복지사가 포함될 수도 있다. 바르텔 지수와 같은 검증된 도구를 사용하여 뇌졸중을 경험한 사람이 병원에서 퇴원한 후 지원을 받거나 받지 않고 가정에서 생활할 수 있는 가능성을 평가할 수 있다.[191]
뇌졸중 재활은 가능한 한 빨리 시작해야 하며 며칠에서 1년 이상 지속될 수 있다. 기능 회복의 대부분은 처음 몇 달 동안 나타나고, 그 후 개선 속도는 떨어진다. 미국 주 재활 센터 등에서는 6개월 후에는 개선 가능성이 거의 없다고 공식적으로 판단한다. 그러나 일부 사람들은 수년 동안 계속해서 글쓰기, 걷기, 달리기, 말하기와 같은 능력을 회복하고 강화한다고 보고했다. 뇌졸중을 경험한 사람들은 매일 재활 운동을 일상생활의 일부로 계속해야 한다. 완전한 회복은 드물지만 불가능한 것은 아니며 대부분의 사람들은 어느 정도 개선될 것이다. 적절한 식단과 운동은 뇌 회복에 도움이 되는 것으로 알려져 있다.
10. 역학
2011년 전 세계 사망 원인 중 뇌졸중은 심장병 다음으로 두 번째로 흔한 원인이었으며, 620만 명(전체의 약 11%)의 사망을 초래했다.[241] 2010년에는 약 1700만 명이 뇌졸중을 경험했고, 3300만 명이 이전에 뇌졸중을 경험하고 여전히 생존해 있었다.[19] 1990년부터 2010년까지 선진국에서는 뇌졸중 발생률이 약 10% 감소했고, 개발도상국에서는 10% 증가했다.[19] 전반적으로 뇌졸중의 3분의 2는 65세 이상에서 발생했으며,[19] 남아시아인은 뇌졸중 위험이 특히 높아 전 세계 뇌졸중 사망자의 40%를 차지한다.[242]
뇌졸중은 심장병 다음, 암보다 앞서 순위를 차지한다.[14] 미국에서는 뇌졸중이 주요 장애 원인이며, 최근에는 사망 원인 3위에서 4위로 하락했다.[244] 미국 남동부의 "뇌졸중 벨트"의 존재를 포함하여 뇌졸중 발생률의 지리적 불균형이 관찰되었지만, 이러한 불균형의 원인은 설명되지 않았다.
뇌졸중의 위험은 30세부터 기하급수적으로 증가하며, 그 원인은 연령에 따라 다르다.[245] 고령은 가장 중요한 뇌졸중 위험 요인 중 하나이다. 뇌졸중의 95%는 45세 이상에서 발생하며, 3분의 2는 65세 이상에서 발생한다.[246][229] 뇌졸중이 발생했을 때 사망 위험도 나이가 들수록 증가한다. 그러나 뇌졸중은 어린 시절을 포함하여 어떤 연령에서도 발생할 수 있다.
가족 구성원은 뇌졸중에 대한 유전적 경향이 있거나 뇌졸중에 기여하는 생활 방식을 공유할 수 있다. 처음으로 허혈성 뇌졸중을 경험한 사람들 사이에서 더 높은 수준의 폰 빌레브란트 인자가 더 흔하다.[247] 이 연구 결과에 따르면 유일하게 중요한 유전적 요인은 사람의 혈액형이었다. 과거에 뇌졸중을 경험한 것은 미래 뇌졸중의 위험을 크게 증가시킨다.
남성은 여성보다 뇌졸중이 발생할 가능성이 25% 더 높지만,[246] 뇌졸중으로 인한 사망의 60%는 여성에게서 발생한다.[232] 여성은 수명이 더 길기 때문에 평균적으로 뇌졸중이 발생할 때 더 나이가 많고 따라서 더 자주 사망한다.[246] 일부 뇌졸중 위험 요인은 여성에게만 적용된다. 이 중 가장 중요한 것은 임신, 출산, 폐경 및 그 치료(HRT)이다.
11. 후유증 및 예후
뇌졸중은 종종 심각한 후유증을 남긴다.[277] 신체적, 정신적, 정서적 후유증은 환자의 삶의 질을 크게 떨어뜨린다. 뇌졸중 생존자의 75%는 작업 능력 저하를 경험하며, 마비, 언어 장애, 인지 장애, 우울증 등이 발생할 수 있다.
하버드 대학교 의과대학에 따르면, 뇌졸중은 인생을 송두리째 바꿔놓는다고 한다. 자신감은 순식간에 사라지고 모든 것이 변한다.[269] 미니 스트로크도 응급 상황이며, 이후 본격적인 뇌졸중으로 이어질 가능성이 매우 높다고 알려져 있다. 일과성 뇌허혈 발작이 발생하면 즉시 병원에 가는 것이 권장된다.[270] 뇌졸중은 여성에게도 발생하기 쉽다.[269]
뇌졸중은 매초가 중요하며, 혈액을 통해 공급되는 산소와 영양소의 공급이 없으면 뇌세포는 매분 190만 개라는 놀라운 속도로 죽는다. 이 때문에 뇌졸중은 미국에서 다섯 번째로 흔한 사망 원인이며, 장애의 주요 원인이기도 하다.[276]
12. 연구 동향
아스피린은 뇌졸중 재발 위험을 13% 감소시키며, 특히 초기 치료 효과가 더 크다.[155] 초기 몇 시간 이내의 확정적 치료는 혈전을 용해(혈전용해술)하거나, 기계적으로 제거(혈전절제술)하는 것을 목표로 한다. "시간이 곧 뇌다! (Time is Brain!)"라는 말은 1990년대 초 신속한 뇌졸중 중재의 중요성을 뒷받침하는 철학적 전제가 되었다.[156] 수년 후, 신속한 뇌혈류 회복이 뇌세포 사멸 감소로 이어진다는 개념이 증명되고 정량화되었다.[157]
초기 몇 시간 동안의 혈당 조절은 결과를 개선하지 않으며, 오히려 해를 끼칠 수 있다.[158] 고혈압 또한 도움이 되지 않는 것으로 밝혀졌기 때문에 일반적으로 낮추지 않는다.[159][160] 중국, 동유럽, 러시아, 옛 소련 국가들 및 기타 아시아 국가에서 급성 허혈성 뇌졸중 치료에 널리 사용되는 돼지 뇌 유래 신경영양인자 혼합물인 세레브롤리신은 결과를 개선하거나 사망을 예방하지 않으며, 심각한 유해 사건의 위험을 증가시킬 수 있다.[161] 소 뇌에서 추출한 세레브롤리신과 유사한 펩타이드 혼합물이 급성 허혈성 뇌졸중 치료에 도움이 된다는 증거도 없다.[161]
혈전 제거술이라고 불리는 혈전의 기계적 제거는 중대뇌동맥과 같이 큰 동맥의 폐색에 대한 잠재적인 치료법이다. 2015년 한 검토 논문은 증상 발현 후 12시간 이내에 시술을 수행할 경우 이 시술의 안전성과 효능을 입증하였다.[180][181] 이는 사망 위험을 변화시키지는 않았지만, 일반적으로 기계적 혈전 제거술을 받는 사람들에게 사용되는 정맥 내 혈전 용해술과 비교하여 장애를 감소시켰다.[182][183] 증상 발현 후 최대 24시간까지 혈전 제거술의 이점을 얻을 수 있는 경우도 있다.[184]
참조
[1]
웹사이트
Ischaemic stroke
https://radiopaedia.[...]
2018-06-03
[2]
서적
Palliative Care Nursing: Quality Care to the End of Life, Third Edition
https://books.google[...]
Springer Publishing Company
2009
[3]
웹사이트
Stroke - Causes
https://www.nhs.uk/c[...]
2017-10-24
[4]
웹사이트
What Is a Stroke?
http://www.nhlbi.nih[...]
2014-03-26
[5]
웹사이트
What Are the Signs and Symptoms of a Stroke?
http://www.nhlbi.nih[...]
2014-03-26
[6]
웹사이트
Who Is at Risk for a Stroke?
http://www.nhlbi.nih[...]
2014-03-26
[7]
논문
Oral Anticoagulation in Patients With End-Stage Kidney Disease on Dialysis and Atrial Fibrillation
2018-11
[8]
서적
Emergency Neurology
https://books.google[...]
Springer Science & Business Media
2012
[9]
서적
Stroke
https://books.google[...]
ACP Press
2007
[10]
웹사이트
Types of Stroke
http://www.nhlbi.nih[...]
2014-03-26
[11]
논문
Risk factors for subarachnoid hemorrhage: an updated systematic review of epidemiological studies
2005-12
[12]
논문
Acute stroke diagnosis
2009-07
[13]
웹사이트
How Is a Stroke Diagnosed?
http://www.nhlbi.nih[...]
2014-03-26
[14]
논문
Stroke
2008-05
[15]
웹사이트
Stroke, cerebrovascular accident
https://www.emro.who[...]
World Health Organization
2024
[16]
웹사이트
The top 10 causes of death
https://www.who.int/[...]
[17]
논문
Global, regional, and national incidence, prevalence, and years lived with disability for 310 diseases and injuries, 1990-2015: a systematic analysis for the Global Burden of Disease Study 2015
2016-10
[18]
논문
Global, regional, and national life expectancy, all-cause mortality, and cause-specific mortality for 249 causes of death, 1980-2015: a systematic analysis for the Global Burden of Disease Study 2015
2016-10
[19]
논문
Global and regional burden of stroke during 1990-2010: findings from the Global Burden of Disease Study 2010
2014-01
[20]
웹사이트
Brain Basics: Preventing Stroke
http://www.ninds.nih[...]
National Institute of Neurological Disorders and Stroke
[21]
서적
Cerebrovascular Disorders (Offset Publications)
World Health Organization
[22]
논문
Acute ischemic cerebrovascular syndrome: diagnostic criteria
2003-12
[23]
논문
Mechanisms and management of stroke in the elderly
1991-09
[24]
논문
Thrombosis of the cerebral veins and sinuses
https://pure.uva.nl/[...]
2005-04
[25]
논문
Cryptogenic stroke: time to determine aetiology
2008-04
[26]
논문
Classification and natural history of clinically identifiable subtypes of cerebral infarction
1991-06
[27]
논문
The role of the clinical examination in the subclassification of stroke
[28]
논문
Classification of subtype of acute ischemic stroke. Definitions for use in a multicenter clinical trial. TOAST. Trial of Org 10172 in Acute Stroke Treatment
1993-01
[29]
뉴스
Methamphetamine May Trigger Ischemic Stroke
https://www.medpaget[...]
2006-12-26
[30]
웹사이트
Hemorrhagic stroke
http://www.stroke.or[...]
National Stroke Association
2014-07-29
[31]
웹사이트
Types of Stroke
https://www.cdc.gov/[...]
Centers of Disease Control and Prevention
2013-12-06
[32]
논문
Spontaneous intracerebral haemorrhage
2009-07
[33]
웹사이트
Articles
https://www.cedars-s[...]
[34]
서적
Warlow's Stroke: Practical Management
https://books.google[...]
Blackwell Publishing
2019
[35]
논문
Is this patient having a stroke?
2005-05
[36]
논문
Rapid ambulance protocol for acute stroke
1999-06-01
[37]
논문
Posterior circulation ischaemic stroke
http://www.bmj.com/c[...]
2014-05-01
[38]
논문
BE-FAST (Balance, Eyes, Face, Arm, Speech, Time): Reducing the Proportion of Strokes Missed Using the FAST Mnemonic
2017-02-01
[39]
논문
A Systematic Review and Meta-Analysis Comparing FAST and BEFAST in Acute Stroke Patients
2021-01-01
[40]
논문
Design and retrospective analysis of the Los Angeles Prehospital Stroke Screen (LAPSS)
[41]
논문
Cincinnati Prehospital Stroke Scale: reproducibility and validity
1999-04-01
[42]
논문
Diagnostic accuracy of stroke referrals from primary care, emergency room physicians, and ambulance staff using the face arm speech test
2003-01-01
[43]
간행물
Stroke
NICE
[44]
논문
The Recognition of Stroke in the Emergency Room (ROSIER) scale: development and validation of a stroke recognition instrument
2005-11-01
[45]
서적
Physical Rehabilitation
F.A. Davis Company
[46]
논문
Diagnostic criteria for acute headache attributed to ischemic stroke and for sentinel headache before ischemic stroke
2022-01-01
[47]
MedlinePlusEncyclopedia
Thrombus
[48]
웹사이트
Circle of Willis
http://www.strokecen[...]
The Internet Stroke Center
[49]
논문
Beauty parlor stroke revisited: An 11-year single-center consecutive series
2016-04-01
[50]
웹사이트
Brain anaurysm – Introduction
http://www.nhs.uk/co[...]
NHS Choices
2017-10-19
[51]
논문
The arterial lesions underlying lacunes
1968-12-01
[52]
논문
Anemia Is a Risk Factor for the Development of Ischemic Stroke and Post-Stroke Mortality
2021-06-01
[53]
논문
Short term exposure to air pollution and stroke: systematic review and meta-analysis
2015-03-01
[54]
서적
Robbins and Cotran Pathologic Basis of Disease, Professional Edition.
Elsevier
[55]
논문
An evidence-based causative classification system for acute ischemic stroke
2005-11-01
[56]
논문
Prognosis of Asymptomatic Carotid Artery Occlusion: Systematic Review and Meta-Analysis
2016-05-01
[57]
논문
Embolic Stroke of Undetermined Source: A Systematic Review and Clinical Update
2017-04-01
[58]
논문
Hypertension and stroke
1996-10-01
[59]
서적
Handbook of Cerebrovascular Disease and Neurointerventional Technique
https://books.google[...]
Springer Science & Business Media
2012
[60]
논문
Ischemic stroke in cancer patients: A review of an underappreciated pathology
2018-05-01
[61]
논문
Silent cerebral infarction is associated with incident stroke and TIA independent of carotid intima-media thickness
[62]
논문
Silent stroke in patients with transient ischemic attack or minor ischemic stroke. The Dutch TIA Trial Study Group
1992-09-01
[63]
논문
Annual incidence of first silent stroke in the United States: a preliminary estimate
[64]
논문
Prevalence and risk factors of silent brain infarcts in the population-based Rotterdam Scan Study
2002-01-01
[65]
논문
Pathophysiologic mechanisms of acute ischemic stroke: An overview with emphasis on therapeutic significance beyond thrombolysis
2010-06-01
[66]
서적
Clinical neuroanatomy, 6. ed
Lippincott Williams & Wilkins, Philadelphia
[67]
서적
Brunner and Suddarth's Textbook on Medical-Surgical Nursing, 11th Edition
[68]
논문
A new penumbra: transitioning from injury into repair after stroke
[69]
논문
Calcium-related damage in ischemia
1996-01-01
[70]
웹사이트
Ischemic Stroke - Neurologic Disorders
https://www.msdmanua[...]
2023-02-14
[71]
논문
Acute development of collateral circulation and therapeutic prospects in ischemic stroke
2016-03-01
[72]
논문
Guidelines for evaluation and management of cerebral collateral circulation in ischaemic stroke 2017
2018-09-01
[73]
논문
Preclinical and clinical research on inflammation after intracerebral hemorrhage
2010-12-01
[74]
논문
Diagnostic biomarkers for stroke: a stroke neurologist's perspective
2005-11-01
[75]
논문
Magnetic resonance imaging and computed tomography in emergency assessment of patients with suspected acute stroke: a prospective comparison
2007-01-01
[76]
논문
Comparison of MRI and CT for detection of acute intracerebral hemorrhage
2004-10-01
[77]
논문
Ischemic posterior circulation stroke: a review of anatomy, clinical presentations, diagnosis, and current management
2014-01-01
[78]
논문
Time-resolved CT assessment of collaterals as imaging biomarkers to predict clinical outcomes in acute ischemic stroke
2017-11-01
[79]
논문
Cerebrovascular reserve capacity
2002-08-01
[80]
논문
Leptomeningeal collateral activation indicates severely impaired cerebrovascular reserve capacity in patients with symptomatic unilateral carotid artery occlusion
2021-11-01
[81]
논문
Investigating intracerebral haemorrhage
2015-05-01
[82]
논문
Diagnostic Error in Stroke-Reasons and Proposed Solutions
2018-02-01
[83]
논문
Stroke chameleons
2014-02-01
[84]
논문
New evidence for stroke prevention: scientific review
2002-09-01
[85]
논문
Primary prevention of ischemic stroke: a guideline from the American Heart Association/American Stroke Association Stroke Council: cosponsored by the Atherosclerotic Peripheral Vascular Disease Interdisciplinary Working Group; Cardiovascular Nursing Council; Clinical Cardiology Council; Nutrition, Physical Activity, and Metabolism Council; and the Quality of Care and Outcomes Research Interdisciplinary Working Group: the American Academy of Neurology affirms the value of this guideline
2006-06-01
[86]
웹사이트
Information for Consumers (Drugs) - Use of Aspirin for Primary Prevention of Heart Attack and Stroke
https://www.fda.gov/[...]
2015-11-16
[87]
웹사이트
Stroke prevention - Antiplatelets and anticoagulants: NPS - Better choices, Better health
https://www.nps.org.[...]
2024-01-29
[88]
논문
Collaborative meta-analysis of randomised trials of antiplatelet therapy for prevention of death, myocardial infarction, and stroke in high risk patients
2002-01-01
[89]
논문
Screening for asymptomatic carotid artery stenosis: a systematic review and meta-analysis for the U.S. Preventive Services Task Force
2014-09-01
[90]
논문
MRC trial of treatment of mild hypertension: principal results. Medical Research Council Working Party
1985-07-01
[91]
논문
Evidence based implementation of complex interventions
2009-08-01
[92]
논문
Smoking and risk of stroke
1999-08-01
[93]
논문
Smoking cessation and the risk of stroke in middle-aged men
1995-07-01
[94]
논문
Alcohol consumption and risk of stroke: a meta-analysis
2003-02-01
[95]
논문
Occurrence of stroke associated with use/abuse of drugs
1991-09-01
[96]
논문
Red meat consumption and risk of stroke in Swedish men
2011-08-01
[97]
웹사이트
Stroke Risk Factors
http://www.AmericanH[...]
American Heart Association
2007-01-22
[98]
논문
Low cigarette consumption and risk of coronary heart disease and stroke: meta-analysis of 141 cohort studies in 55 study reports
2018-01-01
[99]
논문
Alcohol and stroke
[100]
서적
Harrison's principles of internal medicine.
McGraw-Hill
[101]
논문
Stroke in young adults who abuse amphetamines or cocaine: a population-based study of hospitalized patients
2007-04-01
[102]
논문
Migraine and cardiovascular disease: systematic review and meta-analysis
2009-10-01
[103]
논문
Migraine and stroke: a complex association with clinical implications
2012-01-01
[104]
Review
Cardiovascular involvement in celiac disease
2017-08-01
[105]
논문
Global, regional, and national burdens of ischemic heart disease and stroke attributable to exposure to long working hours for 194 countries, 2000-2016: A systematic analysis from the WHO/ILO Joint Estimates of the Work-related Burden of Disease and Injury
2021-09-01
[106]
논문
Physical activity and risk of breast cancer, colon cancer, diabetes, ischemic heart disease, and ischemic stroke events: systematic review and dose-response meta-analysis for the Global Burden of Disease Study 2013
2016-08-00
[107]
논문
Stroke: strategies for primary prevention
2003-12-00
[108]
논문
The evidence for medicine versus surgery for carotid stenosis
2006-10-00
[109]
논문
Effectiveness versus efficacy of treatment of hypertension for stroke prevention
1996-02-00
[110]
논문
Use of blood pressure lowering drugs in the prevention of cardiovascular disease: meta-analysis of 147 randomised trials in the context of expectations from prospective epidemiological studies
2009-05-00
[111]
논문
Health outcomes associated with various antihypertensive therapies used as first-line agents: a network meta-analysis
2003-05-00
[112]
논문
Cholesterol, diastolic blood pressure, and stroke: 13,000 strokes in 450,000 people in 45 prospective cohorts. Prospective studies collaboration
[113]
논문
Effect of antihypertensive treatment in patients having already suffered from stroke. Gathering the evidence. The INDANA (INdividual Data ANalysis of Antihypertensive intervention trials) Project Collaborators
1997-12-00
[114]
논문
Antihypertensive drugs in very old people: a subgroup meta-analysis of randomised controlled trials. INDANA Group
https://zenodo.org/r[...]
1999-03-00
[115]
논문
Risks of untreated and treated isolated systolic hypertension in the elderly: meta-analysis of outcome trials
2000-03-00
[116]
논문
Treatment of hypertension in patients 80 years of age or older
http://researchonlin[...]
2008-05-00
[117]
논문
Effects of ACE inhibitors, calcium antagonists, and other blood-pressure-lowering drugs: results of prospectively designed overviews of randomised trials. Blood Pressure Lowering Treatment Trialists' Collaboration
2000-12-00
[118]
논문
Major outcomes in high-risk hypertensive patients randomized to angiotensin-converting enzyme inhibitor or calcium channel blocker vs diuretic: The Antihypertensive and Lipid-Lowering Treatment to Prevent Heart Attack Trial (ALLHAT)
2002-12-00
[119]
논문
Beta-blockers for preventing stroke recurrence
2014-10-00
[120]
논문
Serum cholesterol levels and six-year mortality from stroke in 350,977 men screened for the multiple risk factor intervention trial
1989-04-00
[121]
논문
Statin therapy in stroke prevention: a meta-analysis involving 121,000 patients
2008-01-00
[122]
논문
An overview of trials of cholesterol lowering and risk of stroke
1995-01-00
[123]
논문
Intensive blood-glucose control with sulphonylureas or insulin compared with conventional treatment and risk of complications in patients with type 2 diabetes (UKPDS 33). UK Prospective Diabetes Study (UKPDS) Group
1998-09-00
[124]
논문
Secondary prevention of macrovascular events in patients with type 2 diabetes in the PROactive Study (PROspective pioglitAzone Clinical Trial In macroVascular Events): a randomised controlled trial
http://orbi.ulg.ac.b[...]
2005-10-00
[125]
논문
A metaregression analysis of the dose-response effect of aspirin on stroke
1999-06-00
[126]
논문
Thienopyridine derivatives versus aspirin for preventing stroke and other serious vascular events in high vascular risk patients
2009-10-00
[127]
논문
Clopidogrel plus aspirin versus aspirin alone for acute minor ischaemic stroke or high risk transient ischaemic attack: systematic review and meta-analysis
2018-12-00
[128]
논문
Aspirin plus dipyridamole versus aspirin alone after cerebral ischaemia of arterial origin (ESPRIT): randomised controlled trial
2006-05-00
[129]
논문
Atrial fibrillation: a major contributor to stroke in the elderly. The Framingham Study
1987-09-00
[130]
논문
ACC/AHA/ESC 2006 Guidelines for the Management of Patients with Atrial Fibrillation: a report of the American College of Cardiology/American Heart Association Task Force on Practice Guidelines and the European Society of Cardiology Committee for Practice Guidelines (Writing Committee to Revise the 2001 Guidelines for the Management of Patients With Atrial Fibrillation): developed in collaboration with the European Heart Rhythm Association and the Heart Rhythm Society
2006-08-00
[131]
보고서
Stroke Prevention in Patients With Atrial Fibrillation: A Systematic Review Update
https://effectivehea[...]
Agency for Healthcare Research and Quality (AHRQ)
2023-08-20
[132]
논문
Medium intensity oral anticoagulants versus aspirin after cerebral ischaemia of arterial origin (ESPRIT): a randomised controlled trial
2007-02-00
[133]
논문
Aspirin for the primary prevention of stroke and other major vascular events: meta-analysis and hypotheses
2000-03-00
[134]
논문
Meta-analysis of data from the six primary prevention trials of cardiovascular events using aspirin
http://www.ajconline[...]
2006-09-00
[135]
논문
Aspirin for the primary prevention of cardiovascular events in women and men: a sex-specific meta-analysis of randomized controlled trials
2006-01-00
[136]
논문
The influence of gender on the effects of aspirin in preventing myocardial infarction
2007-10-00
[137]
논문
Analysis of pooled data from the randomised controlled trials of endarterectomy for symptomatic carotid stenosis
2003-01-00
[138]
논문
Safety of endovascular treatment of carotid artery stenosis compared with surgical treatment: a meta-analysis
2008-02-00
[139]
논문
Carotid artery stenting versus endarterectomy for treatment of carotid artery stenosis
2020-02-00
[140]
논문
Endarterectomy for symptomatic carotid stenosis in relation to clinical subgroups and timing of surgery
2004-03-00
[141]
논문
Population-based study of delays in carotid imaging and surgery and the risk of recurrent stroke
2005-08-01
[142]
논문
Screening for carotid artery stenosis: U.S. Preventive Services Task Force recommendation statement
2007-12-01
[143]
논문
Prevention of disabling and fatal strokes by successful carotid endarterectomy in patients without recent neurological symptoms: randomised controlled trial
2004-05-01
[144]
논문
Carotid endarterectomy for asymptomatic carotid stenosis
2005-10-01
[145]
논문
Nutrition and stroke prevention
2006-09-01
[146]
논문
Effect of folic acid supplementation on cardiovascular outcomes: a systematic review and meta-analysis
[147]
논문
Effects of lowering homocysteine levels with B vitamins on cardiovascular disease, cancer, and cause-specific mortality: Meta-analysis of 8 randomized trials involving 37 485 individuals
2010-10-01
[148]
논문
Guidelines for the prevention of stroke in women: a statement for healthcare professionals from the American Heart Association/American Stroke Association
2014-05-01
[149]
논문
Guidelines for the prevention of stroke in patients with stroke and transient ischemic attack: a guideline for healthcare professionals from the American Heart Association/American Stroke Association
2014-07-01
[150]
논문
Meta-analysis: antithrombotic therapy to prevent stroke in patients who have nonvalvular atrial fibrillation
2007-06-01
[151]
논문
Efficacy and safety of anticoagulant treatment in acute cardioembolic stroke: a meta-analysis of randomized controlled trials
2007-02-01
[152]
논문
Review: anticoagulants increase intracerebral bleeding and do not reduce death or disability in acute cardioembolic stroke
2007-07-01
[153]
논문
Summary of evidence-based guideline: periprocedural management of antithrombotic medications in patients with ischemic cerebrovascular disease: report of the Guideline Development Subcommittee of the American Academy of Neurology
2013-05-01
[154]
웹사이트
Stroke Treatment
https://www.nhlbi.ni[...]
2023-05-26
[155]
논문
Effects of aspirin on risk and severity of early recurrent stroke after transient ischaemic attack and ischaemic stroke: time-course analysis of randomised trials
2016-07-01
[156]
논문
Editorial: Time is brain!
1993-01-01
[157]
논문
Time is brain--quantified
2006-01-01
[158]
논문
Insulin for glycaemic control in acute ischaemic stroke
2014-01-01
[159]
논문
Interventions for deliberately altering blood pressure in acute stroke
2014-10-01
[160]
논문
Effect of Blood Pressure Lowering in Early Ischemic Stroke: Meta-Analysis
2015-07-01
[161]
논문
Cerebrolysin for acute ischaemic stroke
2023-10-01
[162]
논문
Thrombolysis for acute ischaemic stroke
2014-07-01
[163]
논문
Effect of treatment delay, age, and stroke severity on the effects of intravenous thrombolysis with alteplase for acute ischaemic stroke: a meta-analysis of individual patient data from randomised trials
2014-11-01
[164]
논문
Thrombolytics for acute stroke
2014-09-15
[165]
논문
Thrombolysis in acute ischaemic stroke: time for a rethink?
2015-03-01
[166]
웹사이트
Canadian Association of Emergency Physicians Position Statement on Acute Ischemic Stroke
http://caep.ca/sites[...]
2015-03-01
[167]
웹사이트
10 points to remember
https://www.acc.org/[...]
2018-01-01
[168]
논문
Recombinant tissue plasminogen activator for acute ischaemic stroke: an updated systematic review and meta-analysis
2012-06-01
[169]
논문
Risk factors for intracranial hemorrhage in acute ischemic stroke patients treated with recombinant tissue plasminogen activator: a systematic review and meta-analysis of 55 studies
2012-11-01
[170]
논문
Extending thrombolysis to 4·5-9 h and wake-up stroke using perfusion imaging: a systematic review and meta-analysis of individual patient data
2019-07-01
[171]
논문
Tissue plasminogen activator for acute ischemic stroke
1995-12-01
[172]
논문
Thrombolysis for acute ischaemic stroke
2014-07-01
[173]
논문
Mortality of stroke patients treated with thrombolysis: analysis of nationwide inpatient sample
2006-06-01
[174]
웹사이트
Position Statement on the Use of Intravenous Thrombolytic Therapy in the Treatment of Stroke
http://www.aaem.org/[...]
American Academy of Emergency Medicine
[175]
논문
Current perspectives on the use of intravenous recombinant tissue plasminogen activator (tPA) for treatment of acute ischemic stroke
2014-02-24
[176]
논문
Clinical Policy: Use of intravenous tPA for the management of acute ischemic stroke in the emergency department
2013-02-01
[177]
뉴스
For Many Strokes, There's an Effective Treatment. Why Aren't Some Doctors Offering It?
https://www.nytimes.[...]
2018-03-26
[178]
뉴스
The Case Against Thrombolytic Therapy in Stroke
https://www.medscape[...]
2018-04-13
[179]
논문
Efficacy of intra-arterial fibrinolysis for acute ischemic stroke: meta-analysis of randomized controlled trials
2010-05-01
[180]
논문
Endovascular therapy for acute ischaemic stroke: a systematic review and meta-analysis of randomized trials
2015-09-01
[181]
논문
Time to Treatment With Endovascular Thrombectomy and Outcomes From Ischemic Stroke: A Meta-analysis
2016-09-01
[182]
논문
Endovascular thrombectomy after large-vessel ischaemic stroke: a meta-analysis of individual patient data from five randomised trials
2016-04-01
[183]
논문
Mechanical Thrombectomy Outcomes With and Without Intravenous Thrombolysis in Stroke Patients: A Meta-Analysis
2017-09-01
[184]
논문
2018 Guidelines for the Early Management of Patients With Acute Ischemic Stroke: A Guideline for Healthcare Professionals From the American Heart Association/American Stroke Association
2018-03-01
[185]
논문
Managing malignant cerebral infarction
2011-04-01
[186]
논문
Hemicraniectomy in older patients with extensive middle-cerebral-artery stroke
2014-03-01
[187]
논문
Surgical trials in intracerebral hemorrhage
2013-06-01
[188]
논문
European Stroke Organization guidelines for the management of intracranial aneurysms and subarachnoid haemorrhage
http://archiv.ub.uni[...]
2013-01-01
[189]
논문
Organised inpatient (stroke unit) care for stroke: network meta-analysis
2020-04-01
[190]
논문
Nursing practice in stroke rehabilitation: systematic review and meta-ethnography
2014-05-01
[191]
논문
Reliability (inter-rater agreement) of the Barthel Index for assessment of stroke survivors: systematic review and meta-analysis
2013-02-01
[192]
논문
Non-pharmacological interventions for spatial neglect or inattention following stroke and other non-progressive brain injury
2021-07-01
[193]
논문
Rehabilitation for improving automobile driving after stroke
2014-02-01
[194]
논문
Yoga for stroke rehabilitation
2017-12-01
[195]
논문
Action observation for upper limb rehabilitation after stroke
2022-08-01
[196]
논문
Cognitive rehabilitation for attention deficits following stroke
2019-11-01
[197]
논문
Motor imagery for gait rehabilitation after stroke
2020-09-01
[198]
서적
2007
[199]
논문
Physical rehabilitation approaches for the recovery of function and mobility following stroke
2014-04-01
[200]
논문
Interventions for treating urinary incontinence after stroke in adults
2019-02-01
[201]
논문
Interventions for sexual dysfunction following stroke
2020-05-01
[202]
논문
Interventions for age-related visual problems in patients with stroke
2012-03-01
[203]
논문
Dysarthria in stroke: a narrative review of its description and the outcome of intervention
https://strathprints[...]
2011-04-01
[204]
논문
Interventions for apraxia of speech following stroke
2005-10-01
[205]
논문
Speech and language therapy for aphasia following stroke
2016-06-01
[206]
논문
Complex speech-language therapy interventions for stroke-related aphasia: the RELEASE study incorporating a systematic review and individual participant data network meta-analysis
2022-10-01
[207]
Plain English summary
Speech and language therapy for aphasia after a stroke
https://evidence.nih[...]
National Institute for Health and Care Research
2023-09-08
[208]
논문
Swallowing therapy for dysphagia in acute and subacute stroke
2018-10-01
[209]
웹사이트
NHS Scotland – SHOW
http://www.stroke.sc[...]
2012-11-09
[210]
논문
Physical fitness training for stroke patients
2020-03-01
[211]
웹사이트
After a stroke: Does fitness training improve overall health and mobility?
https://www.ncbi.nlm[...]
Institute for Quality and Efficiency in Health Care (IQWiG)
2013-06-20
[212]
논문
Interventions for improving community ambulation in individuals with stroke
2015-03-01
[213]
논문
Initial usability assessment of off-the-shelf video game consoles for clinical game-based motor rehabilitation
[214]
논문
Virtual reality for stroke rehabilitation
2017-11-01
[215]
논문
Mirror therapy for improving motor function after stroke
2013-01-01
[216]
논문
Technology insight: noninvasive brain stimulation in neurology-perspectives on the therapeutic potential of rTMS and tDCS
2007-07-01
[217]
논문
Robot-assisted rehabilitation of hand function
2010-12-01
[218]
논문
Interventions for improving upper limb function after stroke
2014-11-01
[219]
논문
How does a Personalized Rehabilitative Model influence the Functional Response of Different Ankle Foot Orthoses in a Cohort of Patients Affected by Neurological Gait Pattern?
2017-01-01
[220]
서적
Report of a Consensus Conference on the Orthotic Management of Stroke Patients, Non-Articulated Ankle-Foot Ortheses
https://pure.strath.[...]
International Society for Prosthetics and Orthotics
2004-01-01
[221]
서적
Lower limb orthoses for persons who have had a stroke
https://musculoskele[...]
Elsevier Health Sciences
[222]
논문
Self management programmes for quality of life in people with stroke
2016-08-01
[223]
서적
Stroke – the American Psychiatric Press Textbook of Geriatric Neuropsychiatry
https://archive.org/[...]
American Psychiatric Press
[224]
웹사이트
Cardiovascular Diseases: Effects of Stroke
http://www.stanfordh[...]
[225]
논문
Seizures in acute stroke: predictors and prognostic significance. The Copenhagen Stroke Study
1997-08-01
[226]
논문
Epileptic seizures after a first stroke: the Oxfordshire Community Stroke Project
1997-12-01
[227]
서적
The Behavioral Consequences of Stroke
Springer
2014-01-01
[228]
서적
Nursing diagnosis handbook: an evidence-based guide to planning care
Mosby
2010-01-01
[229]
서적
Living with Stroke: A Guide for Families
https://archive.org/[...]
Contemporary Books, Chicago
[230]
서적
Adams and Victor's principles of neurology
McGraw Hill
2023-01-01
[231]
논문
Pharmacological, non-invasive brain stimulation and psychological interventions, and their combination, for treating depression after stroke
2023-07-01
[232]
서적
The Black health library guide to stroke
https://archive.org/[...]
Henry Holt and Co
[233]
논문
Acute lesions that impair affective empathy
2013-08-01
[234]
논문
Mechanisms of aphasia recovery after stroke and the role of noninvasive brain stimulation
2011-07-01
[235]
논문
Poststroke dementia
2005-11-01
[236]
논문
Stroke and dementia risk: A systematic review and meta-analysis
2018-11-01
[237]
논문
Treatment of attention deficits in neurological disorders
2006-12-01
[238]
논문
Stroke and episodic memory disorders
2009-12-01
[239]
서적
Bradley's neurology in clinical practice.
Elsevier/Saunders
[240]
웹사이트
WHO Disease and injury country estimates
https://www.who.int/[...]
2009-11-11
[241]
웹사이트
The top 10 causes of death
http://who.int/media[...]
WHO
[242]
웹사이트
Why South Asians Facts
http://indianheartas[...]
2015-05-08
[243]
논문
Hemorrhagic and ischemic strokes compared: stroke severity, mortality, and risk factors
2009-06-01
[244]
논문
Stroke declines from third to fourth leading cause of death in the United States: historical perspective and challenges ahead
2011-08-01
[245]
논문
Epidemiology of stroke in Innherred, Norway, 1994 to 1996. Incidence and 30-day case-fatality rate
1997-11-01
[246]
웹사이트
Stroke: Hope Through Research
http://www.ninds.nih[...]
National Institutes of Health
[247]
논문
High von Willebrand factor levels increase the risk of first ischemic stroke: influence of ADAMTS13, inflammation, and genetic variability
2006-11-00
[248]
논문
Familial stroke 2700 years ago
2010-04-00
[249]
논문
The evolution of surgery for the treatment and prevention of stroke. The Willis Lecture
1996-08-00
[250]
논문
A Stroke in Time
http://www.webasx.co[...]
2001-09-00
[251]
서적
The Barnhart Concise Dictionary of Etymology
HarperCollins Publishers
1995-00-00
[252]
웹사이트
Apoplectic Stroke
https://medical-dict[...]
2020-12-13
[253]
서적
Martin Luther: The Preservation of the Church, 1532-1546
Fortress Press
1999-00-00
[254]
논문
Concepts of stroke before and after Virchow
1970-04-00
[255]
서적
Handbook of Clinical Neurology
https://books.google[...]
North-Holland Publishing Company
[256]
서적
Clinical Neurology
https://books.google[...]
CRC Press
2011-00-00
[257]
서적
Clinical Neurology of the Older Adult
https://books.google[...]
Lippincott Williams & Wilkins
[258]
서적
Kaufman's Clinical Neurology for Psychiatrists
https://books.google[...]
Elsevier Health Sciences
2012-12-05
[259]
서적
Mosby's Medical Dictionary, 8th edition
Elsevier
[260]
웹사이트
What is a Stroke/Brain Attack?
http://www.stroke.or[...]
[261]
서적
Segen's Medical Dictionary.
Farlex, Inc
[262]
논문
Evidence-Based Carotid Interventions for Stroke Prevention: State-of-the-art Review
2017-04-00
[263]
보고서
Global health estimates: Leading causes of DALYs
https://www.who.int/[...]
세계보건기구
2020-12-00
[264]
웹사이트
脳卒中の種類は?|大塚製薬
https://www.otsuka.c[...]
大塚製薬
[265]
웹사이트
脳卒中ってどんな病気?
https://www.otsuka.c[...]
大塚製薬
2024-02-02
[266]
웹사이트
脳卒中|病気について|循環器病について知る|患者の皆様へ|国立循環器病研究センター 病院
https://www.ncvc.go.[...]
[267]
웹사이트
19 脳卒中にもいろいろあります {{!}} 脳 {{!}} 循環器病あれこれ {{!}} 国立循環器病研究センター 循環器病情報サービス
http://www.jcvrf.jp/[...]
財団法人循環器病研究振興財団
[268]
논문
脳卒中の自然史 東北地方における脳卒中・高血圧の疫学的研究から
https://doi.org/10.3[...]
1981-00-00
[269]
웹사이트
Harvard Health
https://www.health.h[...]
[270]
웹사이트
Treat
https://www.health.h[...]
2010-04-06
[271]
웹사이트
2 脳卒中が起こったら {{!}} 脳 {{!}} 循環器病あれこれ {{!}} 国立循環器病研究センター 循環器病情報サービス
http://www.jcvrf.jp/[...]
財団法人循環器病研究振興財団
[272]
간행물
事業場における治療と職業生活の両立支援のためのガイドライン 参考資料脳卒中に関する留意事項
https://jsite.mhlw.g[...]
厚生労働省
[273]
웹사이트
脳卒中センター {{!}} 星ヶ丘医療センター {{!}} 地域医療機能推進機構
https://hoshigaoka.j[...]
[274]
웹사이트
脳卒中の基礎知識と予防のコツ|今月のトピックス|日本心臓財団
https://www.jhf.or.j[...]
日本心臓財団
[275]
웹사이트
脳卒中によくある5つの症状
https://www.nhk.or.j[...]
NHK
[276]
웹사이트
Harvard Health
https://www.health.h[...]
[277]
웹사이트
脳卒中|病気について|循環器病について知る|患者の皆様へ|国立循環器病研究センター 病院
https://www.ncvc.go.[...]
[278]
웹사이트
Harvard Health
https://www.health.h[...]
[279]
웹사이트
Harvard Health
https://www.health.h[...]
[280]
웹사이트
Harvard Health
https://www.health.h[...]
[281]
웹사이트
Harvard Health
https://www.health.h[...]
2022-01-11
[282]
논문
Stroke
2008-05-01
[283]
웹인용
What Are the Signs and Symptoms of a Stroke?
http://www.nhlbi.nih[...]
2014-03-26
[284]
서적
Palliative Care Nursing: Quality Care to the End of Life, Third Edition
https://books.google[...]
Springer Publishing Company
2009-01-01
[285]
웹인용
What Is a Stroke?
http://www.nhlbi.nih[...]
2014-03-26
[286]
웹인용
Who Is at Risk for a Stroke?
http://www.nhlbi.nih[...]
2014-03-26
[287]
웹인용
How Is a Stroke Diagnosed?
http://www.nhlbi.nih[...]
2014-03-26
[288]
논문
Global, regional, and national incidence, prevalence, and years lived with disability for 310 diseases and injuries, 1990-2015: a systematic analysis for the Global Burden of Disease Study 2015.
2016-10-08
[289]
논문
Global, regional, and national life expectancy, all-cause mortality, and cause-specific mortality for 249 causes of death, 1980-2015: a systematic analysis for the Global Burden of Disease Study 2015.
2016-10-08
[290]
웹사이트
Stroke
https://www.kmle.co.[...]
[291]
웹사이트
cerebrovascular accident
https://www.kmle.co.[...]
[292]
뉴스
뇌졸증환자 절반이상이 편측마비로 병원 찾아
http://www.wownet.co[...]
한국경제TV
2009-10-30
[293]
논문
Classification of subtype of acute ischemic stroke. Definitions for use in a multicenter clinical trial. TOAST. Trial of Org 10172 in Acute Stroke Treatment
1993-01-01
[294]
서적
매일 숙면 (못 자는 이유부터 잘 자는 방법까지)
유노라이프
2024-02-21
본 사이트는 AI가 위키백과와 뉴스 기사,정부 간행물,학술 논문등을 바탕으로 정보를 가공하여 제공하는 백과사전형 서비스입니다.
모든 문서는 AI에 의해 자동 생성되며, CC BY-SA 4.0 라이선스에 따라 이용할 수 있습니다.
하지만, 위키백과나 뉴스 기사 자체에 오류, 부정확한 정보, 또는 가짜 뉴스가 포함될 수 있으며, AI는 이러한 내용을 완벽하게 걸러내지 못할 수 있습니다.
따라서 제공되는 정보에 일부 오류나 편향이 있을 수 있으므로, 중요한 정보는 반드시 다른 출처를 통해 교차 검증하시기 바랍니다.
문의하기 : help@durumis.com
