맨위로가기

자궁경부 폴립

"오늘의AI위키"는 AI 기술로 일관성 있고 체계적인 최신 지식을 제공하는 혁신 플랫폼입니다.
"오늘의AI위키"의 AI를 통해 더욱 풍부하고 폭넓은 지식 경험을 누리세요.

1. 개요

자궁경부 폴립은 자궁경관에 생기는 양성 종양이다. 정확한 원인은 밝혀지지 않았지만, 자궁경관의 염증, 에스트로겐 수치 상승, 자궁 혈관 폐색 등이 원인으로 여겨진다. 대부분 증상이 없으나, 비정상적인 질 출혈, 과다 월경, 질 분비물 증가 등의 증상이 나타날 수 있다. 골반 내진으로 진단하며, 필요시 생검을 시행한다. 치료는 폴립 제거이며, 드물게 악성 변화를 보이기도 한다. 출산 경험이 있는 여성과 폐경기 전 여성에게서 흔하게 발생한다. 폴립은 손가락 모양으로, 일반적으로 1cm 미만의 크기를 가지며, 자궁경부에 줄기로 부착된다.

더 읽어볼만한 페이지

  • 산부인과 질환 - 무월경
    무월경은 가임기 여성에게 정상적인 월경이 없는 상태로, 16세까지 월경이 없거나 14세에 이차 성징이 없는 원발성 무월경과 과거 월경을 경험했던 여성에게 3개월 이상 월경이 없는 속발성 무월경으로 나뉘며, 진단은 임신 여부 확인과 호르몬 수치 측정 등으로, 치료는 원인 질환에 따라 호르몬 요법 등으로 이루어진다.
  • 산부인과 질환 - 성교통
    성교통은 성관계 시 발생하는 지속적 또는 반복적인 생식기 통증으로, 다양한 원인에 따라 진단 및 치료 방법이 달라지며, DSM-5에서는 생식 골반 통증/삽입 장애의 하위 개념으로 분류된다.
자궁경부 폴립
일반 정보
분야부인과학
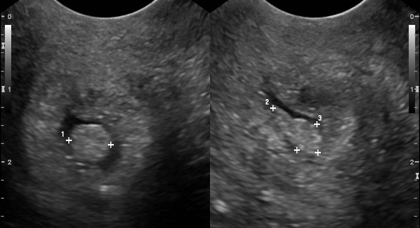
초음파 영상의 자궁경부 폴립
상세 정보
기타
영어 이름cervical polyp

2. 원인

자궁경부 폴립의 정확한 원인은 밝혀지지 않았지만, 자궁경관의 염증과 관련된 경우가 많다.[12][6] 에스트로겐 수치가 급격히 상승하거나 자궁 혈관이 막혀서 발생할 수도 있다.[13][7]

3. 증상

자궁경부 폴립은 보통 증상이 없는 편이다.[14][3] 증상이 나타나는 경우에는 월경 기간이 아닌 때의 출혈, 비정상적으로 심한 월경 출혈(과다월경), 폐경기 이후 여성의 내 출혈, 성관계 후 출혈, 진하고 흰색 또는 노란 빛깔의 질 액체 방출(대하) 등이 있을 수 있다.[13][15][16][19][7][4][5][10]

4. 진단

초음파를 통해 보이는 자궁경부 폴립


자궁경부 폴립은 골반 내진을 통해 자궁경관에서 빨갛거나 보랏빛을 띄는 돌출부를 관찰하여 진단할 수 있다.[13][7] 생검을 통해 세포가 확연히 들어나면 진단이 확정된다.[13]

5. 치료

자궁경부 폴립은 링 겸자를 사용하여 제거할 수 있다.[17][8] 외과용 스트링을 폴립에 묶은 다음 절제시켜 제거할 수도 있다.[13][7] 그 뒤 폴립의 나머지 기반 부위는 레이저를 사용하거나 전기소작기를 통해 제거할 수 있다.[13][7] 폴립이 감염이 되면, 항생제를 처방받을 수 있다.[13][7]

6. 예후

자궁경부 폴립의 99%는 양성으로 유지되며, 1% 정도는 신생물적 변화를 보인다.[18][9] 자궁경부 폴립이 다시 성장할 가능성은 낮다.[13][7]

7. 역학

자궁경부 폴립은 출산 경험이 있는 여성과 폐경기 전 여성에게서 가장 흔하게 나타나는 질환이다.[3][14] 생리 전 소녀에게는 드물고, 폐경기 후 여성에게서는 흔하지 않다.[10][19]

8. 구조

자궁경부 폴립은 손가락과 비슷한 모양으로 성장하며, 일반적으로 길이는 1cm가 안 된다.[13][15] 일반적으로 밝은 빛의 빨간색이며, 스펀지와 같은 질감을 지닌다.[14] 자궁경부에 줄기(유경성)로 부착될 수 있으며, 때때로 탈출하여 로 들어가 자궁내막 폴립이나 점막하 자궁근종으로 오인될 수 있다.[4]

참조

[1] 간행물 Cervical Ectropion
[2] 서적 The Pap Smear https://books.google[...] Taylor & Francis 1996
[3] 서적 Atlas of Primary Care Procedures https://books.google[...] Lippincott Williams & Wilkins 2004
[4] 서적 Practical Gynaecological Ultrasound https://books.google[...] Cambridge University Press 1997
[5] 서적 Current Consult Medicine 2006 https://books.google[...] McGraw-Hill Professional 2005
[6] 웹사이트 Cervical Polyps http://www.dbh.nhs.u[...] Doncaster and Bassetlaw Hospitals (National Health Service) 2007-10-21
[7] 웹사이트 Cervical polyps https://www.nlm.nih.[...] MEDLINE 2006-05-10
[8] 웹사이트 How Should I Treat Postcoital Bleeding in a Premenopausal Patient? http://www.medscape.[...] Medscape.com 2001-09-20
[9] 웹사이트 Short Instructor Materials https://www.cdc.gov/[...] Centers for Disease Control and Prevention 2007-10-21
[10] 서적 Eagc Course Book on Colposcopy https://books.google[...] Informa Health Care 2004
[11] 서적 The Pap Smear https://books.google[...] Taylor & Francis 1996
[12] 웹인용 Cervical Polyps http://www.dbh.nhs.u[...] Doncaster and Bassetlaw Hospitals (National Health Service) 2007-10-21
[13] 웹인용 Cervical polyps http://www.nlm.nih.g[...] MEDLINE 2006-05-10
[14] 서적 Atlas of Primary Care Procedures https://books.google[...] Lippincott Williams & Wilkins 2004
[15] 서적 Practical Gynaecological Ultrasound https://books.google[...] Cambridge University Press 1997
[16] 서적 Current Consult Medicine 2006 https://books.google[...] McGraw-Hill Professional 2005
[17] 웹인용 How Should I Treat Postcoital Bleeding in a Premenopausal Patient? http://www.medscape.[...] Medscape.com 2001-09-20
[18] 웹인용 Short Instructor Materials https://www.cdc.gov/[...] 미국 질병통제예방센터 2007-10-21
[19] 서적 Eagc Course Book on Colposcopy https://books.google[...] Informa Health Care 2004



본 사이트는 AI가 위키백과와 뉴스 기사,정부 간행물,학술 논문등을 바탕으로 정보를 가공하여 제공하는 백과사전형 서비스입니다.
모든 문서는 AI에 의해 자동 생성되며, CC BY-SA 4.0 라이선스에 따라 이용할 수 있습니다.
하지만, 위키백과나 뉴스 기사 자체에 오류, 부정확한 정보, 또는 가짜 뉴스가 포함될 수 있으며, AI는 이러한 내용을 완벽하게 걸러내지 못할 수 있습니다.
따라서 제공되는 정보에 일부 오류나 편향이 있을 수 있으므로, 중요한 정보는 반드시 다른 출처를 통해 교차 검증하시기 바랍니다.

문의하기 : help@durumis.com