자궁근종
"오늘의AI위키"의 AI를 통해 더욱 풍부하고 폭넓은 지식 경험을 누리세요.
1. 개요
자궁근종은 자궁에 생기는 양성 종양으로, 다양한 크기와 위치에서 발생하며, 여성의 약 20%에서 80%가 50세까지 겪는 흔한 질환이다. 정확한 원인은 밝혀지지 않았지만 유전적 요인, 호르몬, 성장 인자, 환경적 요인 등이 복합적으로 작용하는 것으로 알려져 있으며, 아프리카계 여성에게서 더 높은 발생률을 보인다. 자궁근종은 위치에 따라 근층내, 장막하, 점막하 근종 등으로 분류되며, 대부분 무증상이지만 복통, 출혈, 불임 등의 증상을 유발할 수 있다. 진단은 골반 검사, 초음파, MRI 등을 통해 이루어지며, 증상이 없으면 경과를 관찰하고, 증상이 있는 경우 약물, 수술(근종 절제술, 자궁 절제술), 자궁 동맥 색전술 등의 치료법을 고려한다.
더 읽어볼만한 페이지
- 양성 종양 - 혈관종
혈관종은 혈관 내피세포 증식으로 생기는 양성 종양으로, 발생 시기, 형태, 위치에 따라 여러 유형으로 나뉘며, 임상적 진단 후 자연 퇴행을 기다리거나 약물 또는 외과적 치료를 시행한다. - 양성 종양 - 유두종
유두종은 상피에서 기원한 양성 종양으로, 점막 표면에 컬리플라워 모양의 돌기로 나타나며, 흰색 또는 점막 색깔을 띠고, 주로 입천장-구개수 부위에서 발생하며, 외과적 절제술로 치료가 가능하다. - 산부인과 질환 - 무월경
무월경은 가임기 여성에게 정상적인 월경이 없는 상태로, 16세까지 월경이 없거나 14세에 이차 성징이 없는 원발성 무월경과 과거 월경을 경험했던 여성에게 3개월 이상 월경이 없는 속발성 무월경으로 나뉘며, 진단은 임신 여부 확인과 호르몬 수치 측정 등으로, 치료는 원인 질환에 따라 호르몬 요법 등으로 이루어진다. - 산부인과 질환 - 성교통
성교통은 성관계 시 발생하는 지속적 또는 반복적인 생식기 통증으로, 다양한 원인에 따라 진단 및 치료 방법이 달라지며, DSM-5에서는 생식 골반 통증/삽입 장애의 하위 개념으로 분류된다.
| 자궁근종 | |
|---|---|
| 질병 개요 | |
| 다른 이름 | 자궁 평활근종 자궁근종 근종 섬유근종 섬유평활근종 |
| 분야 | 부인과학 |
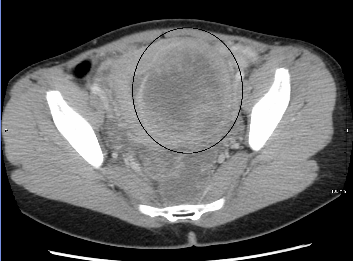
![]() | |
| 증상 및 합병증 | |
| 증상 | 생리통 과다월경 |
| 합병증 | 불임 |
| 발병 시기 및 원인 | |
| 발병 시기 | 가임기, 중년 및 후기 가임기 |
| 원인 | 알려지지 않음 |
| 위험 요인 | 가족력 비만 붉은 고기 섭취 |
| 진단 및 감별 진단 | |
| 진단 | 골반 검사 의료 영상 |
| 감별 진단 | 자궁 평활근육종 임신 난소 낭종 난소암 |
| 예방 및 치료 | |
| 예방 | 해당 사항 없음 |
| 치료 | 약물 치료 수술 자궁 동맥 색전술 |
| 약물 | 이부프로펜 파라세타몰 (아세트아미노펜) 철분 보충제 성선 자극 호르몬 방출 호르몬 작용제 |
| 예후 및 빈도 | |
| 예후 | 폐경 후 개선 |
| 빈도 | 50세 여성의 약 50% |
| 식별 | |
| DiseasesDB | 4806 |
| OMIM | 150699 |
| MeSH | D007889 |
| 자궁근종 발생 부위 | |
![]() | |
2. 원인
자궁근종의 정확한 원인은 아직 명확하게 밝혀지지 않았지만, 여러 요인이 복합적으로 작용하는 것으로 알려져 있다. 현재까지 밝혀진 주요 원인으로는 유전적 요인, 호르몬 요인, 환경적 요인 등이 있다.
자궁근종은 단일 클론 종양이며, 약 40~50%에서 핵형으로 감지 가능한 염색체 이상을 보인다. 다발성 자궁근종이 있는 경우, 서로 관련 없는 유전적 결함을 보이는 경우가 많다. MED12 단백질의 특정 돌연변이가 자궁근종의 70%에서 나타났다.[25]
변형 성장 상호 작용 인자 (TGIF)는 자궁 근육보다 평활근종에서 발현이 증가한다.[28] TGIF는 자궁 근육 세포에서 TGF-β 경로의 잠재적 억제제이다.[28]
자궁근종 내 세포의 작은 집단은 줄기 세포 또는 전구 세포의 특성을 가지며, 난소 스테로이드 의존적 자궁근종 성장에 크게 기여한다. 이 줄기-전구 세포는 에스트로겐 수용체 α 및 프로게스테론 수용체가 결핍되어 있으며, 대신 주변의 분화된 세포에서 이러한 수용체의 실질적으로 더 높은 수준에 의존하여 파라크린 신호 전달을 통해 에스트로겐 및 프로게스테론의 작용을 매개한다.[31]
생식 연령 여성의 20%에서 발생하지만, 악성 종양으로 진행되는 경우는 0.5% 미만이다. 30대 이상에서 자주 발생하며[79] 45세까지 여성의 약 70%에서 발생한다.[81]
알려진 위험 요인으로는 아프리카계 혈통, 비만, 다낭성 난소 증후군, 당뇨병, 고혈압, 그리고 미산부가 있다.[26]
2. 1. 유전적 요인
근종은 부분적으로 유전적인 요인을 가지며, 어머니가 근종을 앓았던 경우 딸의 자궁근종 발병 위험은 평균보다 약 3배 더 높다.[84][11]피부 평활근종, 콩팥세포암종과 더불어 자궁 평활근종을 일으키는 리드 증후군이 보고되었다.[85][86][87][15][16][17] 이는 염색체 1의 장완(1q42.3-43)에 위치한 효소 푸마르산 수화 효소를 생성하는 유전자의 돌연변이와 관련이 있으며, 우성 유전 방식으로 유전된다.
흑인 여성은 백인 여성보다 자궁근종 발생 위험이 3~9배 더 높다.[12] 근종의 80~85%는 중재자 복합체 서브유닛 12 (MED12) 유전자에서 돌연변이를 보인다.[13][14]
2. 2. 호르몬 요인
비만 여성에게 근종이 더 흔하게 나타난다.[83] 근종의 성장은 에스트로겐과 프로게스테론에 의존하므로 생식이 가능한 시기 동안에만 유효하다.자궁근종의 정확한 원인은 명확히 밝혀지지 않았지만, 현재 가설은 유전적 소인, 산전 호르몬 노출, 호르몬, 성장 인자 및 환경 에스트로겐의 영향이 자궁근종의 성장을 유발한다는 것이다. 에스트로겐과 프로게스테론은 평활근종 세포에 유사분열 촉진 효과를 가지며, 많은 수의 성장 인자, 사이토카인 및 세포 사멸 인자뿐만 아니라 다른 호르몬에 (직접적 및 간접적으로) 영향을 미쳐 작용하는 것으로 여겨진다. 또한, 에스트로겐, 프로게스테론 및 프로락틴 신호 전달 사이의 상호 작용에 의해 에스트로겐과 프로게스테론의 작용이 조절되어 각 핵 수용체의 발현을 제어한다.
에스트로겐은 IGF-1, EGFR, TGF-베타1, TGF-베타3 및 PDGF를 상향 조절하여 성장을 촉진하고, p53을 하향 조절하고, 항세포 사멸 인자 PCP4의 발현을 증가시키고, PPAR-감마 신호 전달을 억제함으로써 평활근종 세포의 비정상적인 생존을 촉진하는 것으로 여겨진다. 프로게스테론은 EGF, TGF-베타1 및 TGF-베타3을 상향 조절하여 평활근종의 성장을 촉진하고, Bcl-2 발현을 상향 조절하고 TNF-알파를 하향 조절하여 생존을 촉진하는 것으로 생각된다. 프로게스테론은 IGF-1을 하향 조절하여 성장을 억제하는 것으로 여겨진다.[27]
아로마타제와 17베타-수산화스테로이드 탈수소효소는 자궁근종에서 비정상적으로 발현되어, 자궁근종이 순환하는 안드로스테네디온을 에스트라디올로 전환할 수 있음을 나타낸다.[29] 현재 아로마타제 억제제가 치료제로 고려되고 있으며, 특정 용량에서 자궁근종의 에스트로겐 생산을 완전히 억제하면서 난소의 에스트로겐 생산에는 큰 영향을 미치지 않는다(따라서 전신 수준에).[31]
자궁 근종은 에스트로겐 의존성 양성 질환이므로, 폐경 후에는 축소되므로 외과적인 처치를 하지 않는 경우가 많다. 난소에서 분비되는 여성 호르몬에 의해 근종이 커진다는 것은 알려져 있다.[80]
2. 3. 환경적 요인
비만 여성에게서 자궁근종이 더 흔하게 나타난다.[83] 자궁근종은 에스트로겐과 프로게스테론에 의존하여 성장하며, 따라서 가임기 동안에만 관련이 있다.과일과 채소가 풍부한 식단은 자궁근종 발병 위험을 낮추는 경향이 있다.[78] 섬유질, 비타민 A, 비타민 C, 비타민 E, 식물성 에스트로겐, 카로티노이드, 육류, 생선 및 유제품의 효과는 불분명하다.[78] 정상적인 식이 수준의 비타민 D는 자궁근종 발병 위험을 줄일 수 있다.[78]
2. 4. 기타 요인
근종은 비만 여성에게 더 흔하다.[83] 근종의 성장은 에스트로겐과 프로게스테론에 의존하므로 생식이 가능한 시기에만 유효하다.자궁근종 발달과 관련된 위험 요인 중 일부는 수정 가능하다.[78] 비만은 자궁근종의 위험을 높인다.[72] 자궁근종은 에스트로겐과 프로게스테론에 의존하여 성장하므로 가임기에만 관련이 있다.
과일과 채소가 풍부한 식단은 자궁근종 발병 위험을 낮추는 경향이 있다.[78] 섬유질, 비타민 A, 비타민 C, 비타민 E, 식물성 에스트로겐, 카로티노이드, 육류, 생선 및 유제품의 효과는 불분명하다.[78] 정상적인 식이 수준의 비타민 D는 자궁근종 발병 위험을 줄일 수 있다.[78]
3. 증상
자궁근종이 있어도 증상이 없는 경우가 많다. 하지만 복통, 빈혈, 출혈 증가는 자궁근종을 의심해 볼 수 있는 증상이다.[70] 자궁근종의 위치에 따라 성관계 시 통증이 있을 수 있고, 임신 중에는 유산,[7] 출혈, 조산 등의 원인이 되기도 한다.[8]
자궁근종은 직장을 압박하거나 복부가 커져 임신한 것처럼 보이게 할 수도 있다.[3] 드물게 큰 자궁근종은 자궁경부와 질을 통해 밖으로 나오기도 한다.[70]
자궁근종은 불임의 흔한 원인은 아니지만, 불임 여성의 약 3%에서 발견된다.[9] 자궁근종이 있어도 대부분 정상적인 임신이 가능하다.[10]
3. 1. 월경 관련 증상
자궁근종이 있는 일부 사람들은 증상이 나타나지 않는다. 그러나 복통, 빈혈, 출혈 증가는 자궁근종의 존재를 나타낼 수 있다.[70] 자궁근종의 위치에 따라 성관계(삽입) 중 통증이 있을 수도 있다.점막하 자궁근종은 비정상 자궁 출혈이나 월경 곤란증, 불임의 원인이 될 수 있다.[79] 성기 출혈의 결과, 빈혈이 생기거나 근종이 거대해지면 '''근종 분만'''(자궁 내의 근종이 아래로 처져 자궁 경부에서 질로 탈출한 상태)이 일어나는 경우도 있다.
3. 2. 압박 증상
자궁근종이 거대해지면 요관, 방광, 직장, 요천골 신경총 등 주변 장기를 압박하여 수신증, 배뇨 장애, 변비, 요통 등의 증상이 나타날 수 있다.[79]3. 3. 생식 관련 증상
자궁근종이 있는 일부 사람들은 증상이 나타나지 않는다. 복통, 빈혈 및 출혈 증가는 자궁근종의 존재를 나타낼 수 있다.[70] 자궁근종의 위치에 따라 성관계(삽입) 중 통증이 있을 수도 있다. 임신 중에는 유산,[7] 출혈, 조산 또는 태아의 위치 방해의 원인이 될 수도 있다.[8]자궁근종은 흔하지만, 불임의 전형적인 원인은 아니며, 여성이 아이를 가질 수 없는 이유의 약 3%를 차지한다.[9] 자궁근종이 있는 대부분의 사람들은 정상적인 임신 결과를 보인다.[10] 불임에서 자궁근종이 동반되는 경우, 자궁근종은 일반적으로 점막하 위치에 있으며, 이 위치가 내막의 기능과 배아가 착상할 수 있는 능력에 영향을 미칠 수 있다고 생각된다.[9] 점막하 자궁근종은 비정상 자궁 출혈이나 월경 곤란증, 불임의 원인이 될 수 있다.[79]
3. 4. 기타 증상
자궁근종이 있는 일부 사람들은 증상이 나타나지 않는다. 복통, 빈혈 및 출혈 증가는 자궁근종의 존재를 나타낼 수 있다.[70] 자궁근종의 위치에 따라 성관계(삽입) 중 통증이 있을 수도 있다. 임신 중에는 유산,[7] 출혈, 조산 또는 태아의 위치 방해의 원인이 될 수도 있다.[8] 자궁근종은 직장 압박을 유발할 수 있다. 복부가 커져 임신한 것처럼 보일 수 있다.[3] 일부 큰 자궁근종은 자궁 경부와 질을 통해 밖으로 뻗어 나올 수 있다.[70]자궁근종은 흔하지만, 불임의 전형적인 원인은 아니며, 여성이 아이를 가질 수 없는 이유의 약 3%를 차지한다.[9] 자궁근종이 있는 대부분의 사람들은 정상적인 임신 결과를 보인다.[10] 불임에서 자궁근종이 동반되는 경우, 자궁근종은 일반적으로 점막하 위치에 있으며, 이 위치가 내막의 기능과 배아가 착상할 수 있는 능력에 영향을 미칠 수 있다고 생각된다.[9]
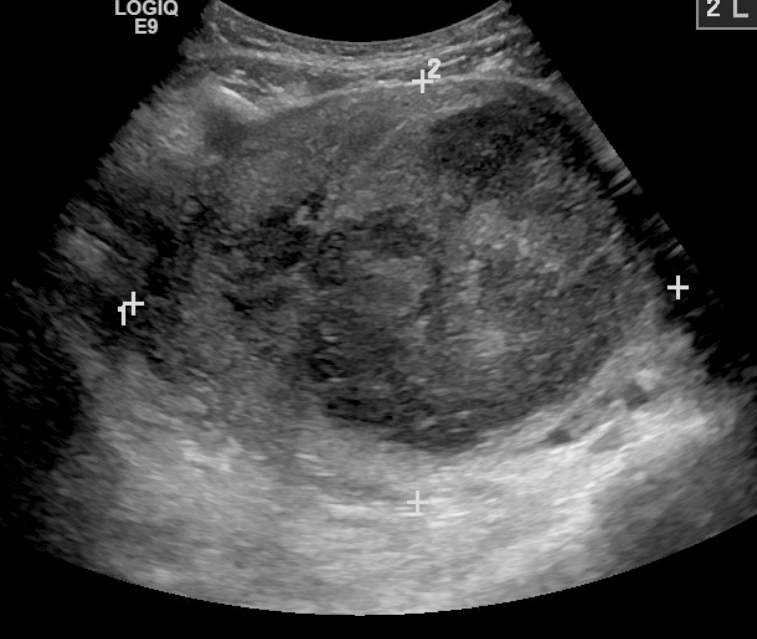
4. 진단
초음파 검사, MRI, 자궁경을 통해 자궁근종을 진단한다. 특히 MRI는 많은 정보를 제공한다. 자궁근종은 T1 강조 영상(T1WI)에서 저신호 또는 등신호, T2 강조 영상(T2WI)에서 저신호를 보이는 것이 일반적이다. 그러나 자궁근종 내 혈액 순환 장애로 인해 충혈, 유리화, 낭포화, 석회화, 지방 변성, 괴사 등 다양한 이차적 변화가 발생하여 다양한 신호 강도를 보일 수 있다. 종양 직경이 8cm를 초과하면 악성 종양일 가능성을 고려해야 한다.
MRI에서 악성 소견이 없고, 종양 직경이 8cm 이하이며, 증상이 없고, 근종이 커지는 경향이 보이지 않으면 6개월마다 정기 검진을 받는 것으로 충분한 경우가 많다.
자궁근종과 자궁선근증은 치료 방법이 다르므로 영상 검사를 통해 구별하는 것이 중요하다. 두 질환 모두 T2WI에서 저신호를 보이지만, 자궁근종은 변성이 발생해도 경계가 명확한 저신호 종괴로 나타나는 반면, 자궁선근증은 근층이 두꺼워지고 전후 비대칭을 보이며, T2WI에서 경계가 불분명한 저신호 영역(오래된 출혈) 안에 고신호 영역(새로운 출혈)이 관찰되는 경우가 많다. 자궁근종은 크기가 커지지 않는 한 자궁 전체의 변형을 동반하지 않고 경계가 명확한 T2WI 저신호 영역으로 나타나는 것이 일반적이다. 자궁내막증(초콜릿 낭종) 동반 여부도 감별에 참고할 수 있다. 초콜릿 낭종은 T1WI에서 고신호, T2WI에서 저신호 또는 T1WI와 T2WI 모두 고신호를 보이는 것이 특징이다. T1WI에서 고신호는 메트헤모글로빈 때문이며, T2WI에서 저신호는 셰이딩(shading)이라고 불린다. 셰이딩은 고신호와 섞여 있거나 전체가 저신호로 나타날 수 있는데, 이는 괴사 물질에 의한 변화이다.
자궁근종의 흔한 변성 패턴은 다음과 같다. T2WI에서 저신호를 보이는 근종으로는 변성이 적은 상태, 유리질 변성, 석회화가 중요하다.
| T1 강조 영상 | 조영 T1 강조 영상 | |
|---|---|---|
| 변성이 적은 상태 | 등신호 | 경도~중등도 |
| 유리질 변성 | 등신호 | 조영 없음 |
| 석회화 | 무신호 | 조영 없음 |
T2WI에서 고신호를 보이는 변성으로는 부종, 점액성 변성, 낭성 변성, 적색 변성, 세포성 평활근종, 지방 평활근종이 있다.
| T1 강조 영상 | 조영 T1 강조 영상 | |
|---|---|---|
| 부종 | 등신호 | 중등도~고도 |
| 점액 변성 | 저신호~등신호 | 조영 없음~경도 |
| 낭성 변성 | 저신호~등신호 | 조영 없음 |
| 적색 변성 | 변연부 고신호 | 조영 없음 |
| 세포성 평활근종 | 등신호 | 고도 |
| 지방 평활근종 | 고신호 | 지방 이외 부분에 중등도 |
그 외 중요한 소견으로 시그널 보이드(signal void) 등이 있다.
4. 1. 골반 내진
골반 검사와 초음파 검사만으로도 대부분의 환자에게서 자궁근종을 진단하기에 충분하다. 초음파 검사 결과가 불분명할 경우, 자기 공명 영상(MRI)을 통해 대부분 자궁근종 진단을 확진할 수 있다. 또한 MRI는 비정형 영상 특징을 보이는 양성 자궁근종과 변이 성장 패턴을 보이는 자궁근종을 식별할 수 있다. MRI는 자궁근종과 유사하게 보이거나 환자의 증상에 기여할 수 있는 다른 자궁 질환(예: 자궁선근증, 자궁내막 용종, 자궁내막암) 및 자궁 외 질환(예: 양성 및 악성 난소 종양, 자궁내막증)도 식별할 수 있다.[33] 그러나 자궁근종의 작은 비율은 사용 가능한 모든 영상 검사(예: 초음파, CT, MRI 및 PET-CT)에서 다른 악성 자궁 종양(예: 평활근육종)과 유사하게 보일 수 있다.[33]자궁벽의 악성 종양(예: 평활근육종)은 매우 드물다. 양성 근종보다 악성 자궁 종양을 시사하는 소견으로는 빠르거나 예상치 못한 성장(특히 폐경기 이후), 자궁내막 줄무늬의 중단/소실, 림프절 비대, 인접 장기 침범 및 원격 장기(예: 폐) 전이 등이 있다. 악성을 시사하는 MRI 소견으로는 결절성/불분명한 종양 경계, 고형 종양 성분의 중간/높은 T2 강조 신호 강도, 아급성 출혈과 일치하는 높은 신호 T1 강조 시퀀스 영역, 종양의 고형 부분의 미세한/흐릿한 조영 증강, 확산 강조 영상(DWI)에서 확산 제한 등이 있다.[33] 생검은 드물게 수행되며, 수행하더라도 진단적이지 않은 경우가 많다. 초음파 및 MRI 영상 검사 후 진단이 불확실한 경우 일반적으로 수술이 권장된다.[34]



세포 핵에서 베타-카테닌에 대한 음성 면역조직화학 염색은 자궁 평활근종에서 일관된 소견이며, 이러한 종양을 베타-카테닌 양성 방추형 세포 종양과 구별하는 데 도움이 된다.[36]
4. 2. 초음파 검사
골반 검사와 초음파 검사만으로도 대부분의 환자에게서 자궁근종을 진단하기에 충분하다. 초음파 검사 결과가 불분명할 경우, 자기 공명 영상(MRI)을 통해 대부분 자궁근종 진단을 확진할 수 있다.[33] 초음파 검사, 자기 공명 영상(MRI), 자궁경을 통해 관찰한다.4. 3. 자기공명영상(MRI)
골반 검사와 초음파 검사만으로도 대부분 자궁근종 진단이 가능하지만, 초음파 검사 결과가 불분명한 경우 자기공명영상(MRI)을 통해 확진할 수 있다.[33] MRI는 비정형적인 양성 자궁근종과 변이 성장 패턴을 보이는 자궁근종을 식별할 수 있다.[33] 또한, 자궁근종과 유사하게 보이거나 증상에 영향을 줄 수 있는 다른 자궁 및 자궁 외 질환(예: 자궁선근증, 자궁내막 용종, 자궁내막암, 양성 및 악성 난소 종양, 자궁내막증)을 식별하는 데에도 도움이 된다.[33]하지만 일부 자궁근종은 사용 가능한 모든 영상 검사(예: 초음파, CT, MRI, PET-CT)에서 다른 악성 자궁 종양(예: 평활근육종)과 유사하게 보일 수 있다.[33] 악성 종양을 시사하는 소견으로는 빠르거나 예상치 못한 성장(특히 폐경기 이후), 자궁내막 줄무늬 중단/소실, 림프절 비대, 인접 장기 침범, 원격 장기(예: 폐) 전이 등이 있다. 악성을 시사하는 MRI 소견으로는 결절성/불분명한 종양 경계, 고형 종양 성분의 중간/높은 T2 강조 신호 강도, 아급성 출혈과 일치하는 높은 신호 T1 강조 시퀀스 영역, 종양 고형 부분의 미세/흐릿한 조영 증강, 확산 강조 영상(DWI)에서 확산 제한 등이 있다.[33]
초음파 검사, MRI, 자궁경을 통해 관찰하며, 특히 MRI를 통한 진단으로 얻을 수 있는 정보가 많다. 자궁근종은 기본적으로 T1WI에서 저~등 신호, T2WI에서 저 신호를 나타낸다. 자궁근종 내에는 혈행 장애가 있기 때문에 근종은 충혈되기 쉽고, 유리화, 낭포화, 석회화, 지방 변성, 괴사 등의 이차성 변화를 일으키므로 다양한 신호가 나타나는 것으로 알려져 있다.
MRI에서 악성 소견이 없고, 종양 직경이 8cm 이하이며, 증상이 없고, 근종 증대 경향이 보이지 않으면 6개월마다 정기 검진을 하는 것으로 충분한 경우가 많다.
자궁근종과 자궁선근증은 치료가 다르므로, 영상 진단을 통한 감별이 중요하다. 자궁근종은 고빈도로 변성을 일으키지만, T2 강조 영상(T2WI)에서는 경계가 명확한 저신호 종괴이다. 둘 다 T2WI에서 저신호이지만, 자궁선근증은 근층이 두껍고 전후 비대칭을 보이는 경우가 많으며, T2WI에서 '''경계가 불분명'''한 저신호 영역(오래된 출혈) 안에 고신호 영역(새로운 출혈)이 보이는 반면, 자궁근종은 거대해지지 않는 한 전체적인 자궁 변형을 동반하지 않고, '''경계가 명확'''한 T2WI에서의 저신호 영역으로 나타나는 것이 전형적이다. 자궁내막증(초콜릿 낭종)의 동반 여부도 참고가 된다.
자궁근종의 흔한 변성 패턴은 다음과 같다. T2WI에서 저신호를 보이는 근종으로는 변성이 적은 상태, 유리질 변성, 석회화가 중요하다.
| T1 강조 영상 | 조영 T1 강조 영상 | |
|---|---|---|
| 변성이 적은 상태 | 등신호 | 경~중등도 |
| 유리질 변성 | 등신호 | 조영 없음 |
| 석회화 | 무신호 | 조영 없음 |
T2WI에서 고신호를 나타내는 변성으로는 부종, 점액성 변성, 낭성 변성, 적색 변성, 세포성 평활근종, 지방 평활근종이 알려져 있다.
| T1 강조 영상 | 조영 T1 강조 영상 | |
|---|---|---|
| 부종 | 등신호 | 중등도~고도 |
| 점액 변성 | 저~등신호 | 조영 없음~경도 |
| 낭성 변성 | 저~등신호 | 조영 없음 |
| 적색 변성 | 변연 고신호 | 조영 없음 |
| 세포성 평활근종 | 등신호 | 고도 |
| 지방 평활근종 | 고신호 | 지방 이외의 부분에 중등도 |
그 외, 중요한 소견으로는 시그널 보이드(signal void) 등이 있다.
4. 4. 자궁경 검사
초음파 검사와 자기 공명 영상(MRI) 등 영상 검사는 자궁근종 진단에 중요한 역할을 한다.- 초음파 검사: 대부분의 환자에서 자궁근종을 진단하기에 충분하다.
- MRI: 초음파 검사 결과가 불분명하거나, 비정형적인 자궁근종, 변이 성장 패턴을 보이는 자궁근종을 식별할 때 사용된다. 또한, 자궁근종과 유사한 다른 질환(예: 자궁선근증, 자궁내막 용종, 자궁내막암, 양성 및 악성 난소 종양, 자궁내막증)을 감별하는 데에도 유용하다.[33]
- CT, PET-CT: 드물게 다른 악성 자궁 종양(평활근육종)과의 감별을 위해 사용될 수 있다.[33]
자궁벽의 악성 종양(예: 평활근육종)은 매우 드물지만, 다음과 같은 소견이 관찰될 경우 악성 종양을 의심할 수 있다.[33]
- 빠르거나 예상치 못한 성장 (특히 폐경기 이후)
- 자궁내막 줄무늬의 중단/소실
- 림프절 비대
- 인접 장기 침범
- 원격 장기(예: 폐) 전이
악성을 시사하는 MRI 소견은 다음과 같다.[33]
- 결절성/불분명한 종양 경계
- 고형 종양 성분의 중간/높은 T2 강조 신호 강도
- 아급성 출혈과 일치하는 높은 신호 T1 강조 시퀀스 영역
- 종양의 고형 부분의 미세한/흐릿한 조영 증강
- 확산 강조 영상(DWI)에서 확산 제한
생검은 진단에 도움이 되지 않는 경우가 많아 드물게 시행되며, 영상 검사 후에도 진단이 불확실한 경우 수술이 권장된다.[34]
베타-카테닌에 대한 음성 면역조직화학 염색은 자궁 평활근종의 일관된 소견이며, 베타-카테닌 양성 방추형 세포 종양과의 감별에 유용하다.[36]
자궁경 검사도 자궁근종 진단에 사용될 수 있다. MRI는 T1WI에서 저~등 신호, T2WI에서 저 신호를 나타내는 자궁근종의 특징적인 소견을 보여주며, 혈행 장애로 인한 다양한 이차성 변화(유리화, 낭포화, 석회화, 지방 변성, 괴사 등)를 관찰할 수 있다. 종양 직경이 8cm를 초과하면 악성 가능성을 고려해야 한다.
MRI에서 악성 소견이 없고, 종양 직경이 8cm 이하이며, 증상이 없고, 근종 증대 경향이 없으면 6개월마다 정기 검진을 하는 것으로 충분할 수 있다.
5. 분류

근종의 성장과 위치는 증상과 문제 발생 여부를 결정하는 주요 요인이다.[6] 작은 병변이라도 자궁강 내에 위치하면 증상을 나타낼 수 있지만, 자궁 외부에 있는 큰 병변은 눈에 띄지 않을 수 있다.
자궁근종은 자궁벽을 구성하는 3개의 층에서의 위치에 따라 다음과 같이 분류된다.
- '''점막하 근종'''(자궁의 안쪽(자궁강)에 가까움)
- '''근층내 근종'''(자궁벽의 근육 안)
- '''장막하 근종'''(자궁의 바깥쪽)
- '''경부 근종'''(자궁경부에 발생)
또한, 드물게 근종은 평활근 조직을 포함하는 자궁의 지지 구조(원인대, 광인대, 자궁천골인대)에서 발견되기도 한다.
2011년 이후 FIGO(국제산부인과학회)는 근종 분류에 대한 합의 논문을 발표했는데, 0부터 8까지 분류한다. 이는 PALM COEIN 분류의 일부이며 임상 실습 및 연구에서 가장 자주 사용된다.[19]
| 유형 | 설명 |
|---|---|
| 0 | 점막하 근종, 유경, 자궁강내 |
| 1 | 점막하 근종, 50% 미만 근층내 |
| 2 | 점막하 근종, 50% 이상 근층내 |
| 3 | 근층내 근종, 자궁 내막에 접촉, 100% 근층내 |
| 4 | 근층내 근종, 자궁 벽 내부에 완전히 위치 |
| 5 | 장막하 근종, 50% 이상 근층내 |
| 6 | 장막하 근종, 50% 미만 근층내 |
| 7 | 장막하 근종, 유경 근종 |
| 8 | 기타 (예: 경부 근종, 기생성) |
2-5형과 같이 장막하와 점막하 모두에 해당하는 하이브리드 평활근종도 있다.
근종은 단일 또는 다발성일 수 있다. 대부분의 근종은 자궁의 근육벽에서 시작된다. 더 성장하면서 일부 병변은 자궁 외부 또는 내부강을 향해 발달할 수 있다. 근종 내에서 발생할 수 있는 이차적인 변화는 출혈, 괴사, 석회화 및 낭성 변화이다. 폐경 이후에는 석회화되는 경향이 있다.[20]
자궁에 너무 많은 근종이 있어 셀 수 없을 경우, 이를 '미만성 자궁 평활근종증'이라고 한다.
5. 1. 점막하 근종 (Submucosal myoma)
점막하 근종은 자궁 내막 아래의 근육에 위치하며 자궁강을 변형시킨다. 이 위치에 있는 작은 병변조차도 출혈 및 불임을 유발할 수 있다.[6] 강 내에 유경 병변은 자궁강내 근종이라고 하며 자궁 경부를 통과할 수 있다.2011년 이후 FIGO는 근종 분류에 대한 합의 논문을 발표했는데, 0부터 8까지 분류한다. 이는 PALM COEIN 분류의 일부이며 임상 실습 및 연구에서 가장 자주 사용된다.[19]
| 유형 | 설명 |
|---|---|
| 유형 0 | 유경 점막하, 자궁강내 (즉, 자궁 내부) |
| 유형 1 | 점막하, <50% 근층내 |
| 유형 2 | 점막하, ≥50% 근층내 |
2-5형과 같이 장막하와 점막하 모두에 해당하는 하이브리드 평활근종도 있다.
자궁벽을 구성하는 3개의 층에서의 위치에 따라, '''점막하 근종'''(자궁의 안쪽(자궁강)에 가까움), '''근층 내 근종'''(자궁벽의 근육 안), '''장막하 근종'''(자궁의 바깥쪽)으로 분류된다.
5. 2. 근층내 근종 (Intramural myoma)
'''근층내 근종'''은 자궁의 근육벽 내에 위치하며 가장 흔한 유형이다.[37] 크기가 크지 않으면 무증상일 수 있다. 근층내 근종은 자궁의 근육벽에서 작은 결절로 시작된다. 시간이 지남에 따라 근층내 근종은 안쪽으로 확장되어 자궁강의 변형과 연장을 유발할 수 있다.FIGO 분류에 따르면, 근층내 근종은 다음과 같이 세분화된다.
| 유형 | 설명 |
|---|---|
| 유형 3 | 자궁 내막에 접촉, 100% 근층내 |
| 유형 4 | 근층내 (자궁 벽 내부에 완전히 위치) |
근종은 단일 또는 다발성일 수 있으며, 대부분 자궁의 근육벽에서 시작된다. 더 성장하면서 일부 병변은 자궁 외부 또는 내부강을 향해 발달할 수 있다.
5. 3. 장막하 근종 (Subserosal myoma)
장막하 근종은 자궁 표면에 위치한다.[3] 이 근종은 표면에서 바깥쪽으로 자라나 작은 조직 조각에 의해 부착된 상태로 유지될 수 있는데, 이를 유경 근종이라고 한다.[3]FIGO 분류에 따르면 장막하 근종은 다음과 같이 세분화된다.
- 유형 5: 장막하, ≥50% 근층내
- 유형 6: 장막하, <50% 근층내
- 유형 7: 유경 장막하
5. 4. 유경 근종 (Pedunculated myoma)
장막하 근종은 자궁 표면에서 바깥쪽으로 자라 작은 조직 조각에 의해 부착된 상태로 유지될 수 있는데, 이를 유경 근종이라고 한다.[3] 자궁강 내에 있는 유경 병변은 자궁강내 근종이라고 하며 자궁 경부를 통과할 수 있다.5. 5. 기타 근종
근종의 성장과 위치는 증상과 문제 발생 여부를 결정하는 주요 요인이다.[6] 작은 병변은 자궁강 내에 위치할 경우 증상을 나타낼 수 있지만, 자궁 외부에 있는 큰 병변은 눈에 띄지 않을 수 있다. 다른 위치는 다음과 같이 분류된다.
- '''근층내 근종'''은 자궁의 근육벽 내에 위치하며 가장 흔한 유형이다.[37] 크기가 크지 않으면 무증상일 수 있다. 근층내 근종은 자궁의 근육벽에서 작은 결절로 시작된다. 시간이 지남에 따라 근층내 근종은 안쪽으로 확장되어 자궁강의 변형과 연장을 유발할 수 있다.
- '''장막하 근종'''은 자궁 표면에 위치한다. 표면에서 바깥쪽으로 자라 작은 조직 조각에 의해 부착된 상태로 유지될 수 있으며, 이를 유경 근종이라고 한다.[3]
- '''점막하 근종'''은 자궁 내막 아래의 근육에 위치하며 자궁강을 변형시킨다. 이 위치에 있는 작은 병변조차도 출혈 및 불임을 유발할 수 있다. 강 내에 유경 병변은 자궁강내 근종이라고 하며 자궁 경부를 통과할 수 있다.
- '''자궁경부 근종'''은 자궁경부(자궁의 목)의 벽에 위치한다. 드물게 근종은 평활근 조직을 포함하는 자궁의 지지 구조(원인대, 광인대, 자궁천골인대)에서 발견된다.
2011년 이후 FIGO는 근종 분류에 대한 합의 논문을 발표했는데, 0부터 8까지 분류한다. 이는 PALM COEIN 분류의 일부이며 임상 실습 및 연구에서 가장 자주 사용된다.[19]
| 유형 | 설명 |
|---|---|
| 0 | 유경 점막하, 자궁강내 (자궁 내부) |
| 1 | 점막하, 50% 미만 근층내 |
| 2 | 점막하, 50% 이상 근층내 |
| 3 | 자궁 내막에 접촉, 100% 근층내 |
| 4 | 근층내 (자궁 벽 내부에 완전히 위치) |
| 5 | 장막하, 50% 이상 근층내 |
| 6 | 장막하, 50% 미만 근층내 |
| 7 | 유경 장막하 |
| 8 | 기타 (예: 자궁경부, 기생성) |
2-5형과 같이 장막하와 점막하 모두에 해당하는 하이브리드 평활근종도 있다.
근종은 단일 또는 다발성일 수 있다. 대부분의 근종은 자궁의 근육벽에서 시작된다. 더 성장하면서 일부 병변은 자궁 외부 또는 내부강을 향해 발달할 수 있다. 근종 내에서 발생할 수 있는 이차적인 변화는 출혈, 괴사, 석회화 및 낭성 변화이다. 폐경기 이후에는 석회화되는 경향이 있다.[20]
자궁에 너무 많은 근종이 있어 셀 수 없을 경우, 이를 ''미만성 자궁 평활근종증''이라고 한다.
6. 치료
대부분의 자궁근종은 증상을 일으키지 않는 한 치료가 필요하지 않다. 폐경기 이후에는 근종이 줄어들며 문제를 일으키는 일은 흔치 않다.
증상이 있는 자궁근종은 다음과 같은 방법으로 치료할 수 있다:[38]
- 증상 조절을 위한 약물 치료
- 종양 축소를 목표로 하는 약물 치료
- 초음파 근종 파괴술
- 근종 절제술 또는 고주파 절제술
- 자궁 절제술
- 자궁 동맥 색전술
자궁 동맥 색전술과 수술적 치료는 만족도 측면에서 유사한 결과를 보인다.[38]
수십 년 동안 증상이 있는 자궁 근종 치료에 대한 일반적인 접근 방식은 "자궁 절제술을 받거나 폐경기가 증상을 줄일 때까지 기다리는 것"이었지만, 최소 침습적 및 비침습적 옵션은 종종 제공되지 않았다.[39] 특히 2010년대 이후, 최소 침습적 및 비침습적 옵션은 새롭고 특이한 기술에서 일반적인 임상 치료로 발전하면서 점점 더 많이 제공되고 있다.[39]
증상이 있는 경우에는 치료가 필요하다.[79] 임신을 희망하는 경우 GnRH유사체 투여로 근종을 축소시킨 후 근종 절제술을 시행하고, 임신을 희망하지 않거나 악성 소견이 보이는 경우에는 단순 자궁 절제술을 시행한다.[82] 근종 절제술에는 복식(개복), 질식, 복강경, 자궁경 하 방식이 있다. 자궁경 하 방식은 장경 3cm 정도의 점막하 근종에 적합하다. 수술 외의 치료법으로는 자궁 동맥 색전술[82]이나 고강도 집속 초음파 치료 등이 알려져 있다.
6. 1. 경과 관찰
대부분의 자궁근종은 증상을 유발하지 않는 한 치료가 필요하지 않다. 폐경 후 자궁근종은 수축하며, 문제를 일으키는 경우는 드물다.초음파 검사, MRI, 자궁경을 통해 관찰한다. 특히 MRI를 통한 진단으로 얻을 수 있는 정보가 많다. 자궁근종은 기본적으로 T1WI에서 저~등 신호, T2WI에서 저 신호를 나타낸다. 자궁근종 내에는 혈행 장애가 있기 때문에 근종은 충혈되기 쉽고, 유리화, 낭포화, 석회화, 지방 변성, 괴사 등의 이차성 변화를 일으키므로 다양한 신호가 나타나는 것으로 알려져 있다. 종양 직경이 8cm를 초과하면 악성일 가능성이 있다.
MRI에서 악성 소견이 없고, 종양 직경이 8cm 이하이며, 증상이 없고, 근종의 증대 경향이 보이지 않으면 6개월마다 정기 검진을 하는 것으로 충분한 경우가 많다.
6. 2. 약물 치료
증상 조절을 위해 여러 약물을 사용할 수 있다. NSAID는 고통스러운 월경 기간을 줄이는 데 사용될 수 있으며, 경구 피임약은 자궁 출혈과 경련을 줄이기 위해 처방될 수 있다.[9] 빈혈은 철분 보충으로 치료할 수 있다.레보노르게스트렐 자궁내 장치는 월경 혈류를 제한하고 다른 증상을 개선하는 데 효과적이다. 레보노르게스트렐(프로게스틴)이 국소적으로 낮은 농도로 방출되므로 부작용은 일반적으로 적다.[40] 대부분의 레보노르게스트렐-IUD 연구는 자궁근종이 없는 여성의 치료에 집중했지만, 자궁근종이 있는 여성을 위해 특히 좋은 결과를 보고했으며 자궁근종의 상당한 퇴행을 포함했다.[41]
카베르골린은 적당하고 내약성이 좋은 용량으로 두 연구에서 자궁근종을 효과적으로 줄이는 것으로 나타났다. 카베르골린이 자궁근종을 줄이는 작용 기전은 불분명하다.[52]
울리프리스탈 아세테이트는 자궁근종의 수술 전 치료에 사용하도록 지원하는 잠정적인 증거가 있는 합성 선택적 프로게스테론 수용체 조절제(SPRM)이며, 부작용이 적다.[42] 장기간 UPA로 치료받은 자궁근종은 약 70%의 부피 감소를 보였다.[43] 어떤 경우에는 수술 없이 UPA 단독으로 증상을 완화하고,[44] 자궁근종이 재성장하지 않고 성공적인 임신을 가능하게 한다.[45] 실제로 종양 세포에서 이 분자는 세포 증식을 차단하고, 세포의 세포자멸사를 유도하며,[46][47] 광범위한 섬유증의 매트릭스 금속단백질분해효소에 의한 리모델링을 자극하여[48] 장기적인 이점을 설명한다.[49] 그러나 UPA 치료 후 일부 드물지만 심각한 간 손상으로 인해 2020년 EU에서 면허가 정지되었고[50] 캐나다에서 자발적으로 제거되었다.[51]
다나졸은 자궁근종을 줄이고 증상을 조절하는 효과적인 치료법이다. 불쾌한 부작용으로 인해 사용이 제한된다. 작용 기전은 항에스트로겐 효과로 생각된다. 최근 경험에 따르면, 보다 신중한 투여로 안전성 및 부작용 프로파일을 개선할 수 있다.[52]
생식샘자극 호르몬 분비 호르몬 유사체는 에스트로겐 수치를 감소시켜 자궁근종의 일시적인 퇴행을 유발한다. 이 약물의 제한 사항 및 부작용으로 인해 수술 전에 자궁근종과 자궁의 크기를 줄이기 위한 수술 전 사용 외에는 거의 권장되지 않는다. 일반적으로 최대 6개월 이하로 사용되는데, 더 오래 사용하면 골다공증 및 기타 전형적인 폐경기 후 합병증을 유발할 수 있기 때문이다. 주요 부작용은 일시적인 폐경기 증상이다. 많은 경우 치료 중단 후 자궁근종이 재성장하지만, 어떤 경우에는 상당한 이점이 훨씬 더 오래 지속될 수 있다. GnRH 작용제와 같은 여러 변형이 가능하며, 에스트로겐 결핍의 부작용을 줄이기 위한 추가 요법이 가능하다. 여러 추가 요법이 가능하며, 티볼론, 랄록시펜, 프로게스토겐 단독, 에스트로겐 단독, 에스트로겐과 프로게스토겐의 조합이 있다.[52]
미페프리스톤과 같은 프로게스테론 길항제가 시험되었으며, 일부 증상을 완화하고 삶의 질을 향상시키는 증거가 있지만, 여러 시험에서 관찰된 유해한 조직학적 변화로 인해 현재 연구 환경 밖에서는 권장될 수 없다.[53] 항프로게스틴 치료를 중단한 후 자궁근종의 성장이 재발했다.[31]
아로마타제 억제제는 실험적으로 자궁근종을 줄이기 위해 사용되었다. 그 효과는 부분적으로 전신 에스트로겐 수치를 낮추고, 부분적으로 자궁근종에서 국소적으로 과발현된 아로마타제를 억제하여 나타나는 것으로 생각된다.[52] 그러나 치료를 중단한 후 자궁근종의 성장이 재발했다.[31] 자궁내막증에 대한 실험적 아로마타제 억제제 치료 경험에 따르면, 아로마타제 억제제는 프로게스테론 작용 배란 억제제와 병용하여 사용할 때 특히 유용할 수 있다.
6. 3. 수술적 치료
증상이 있는 자궁근종은 다음을 통해 치료할 수 있다.- 증상을 통제하기 위한 약물
- 종양을 가라앉히기 위한 약물
- 초음파 근종 파괴
- 근종 절제술 또는 고주파 절제술
- 자궁절제술
- 자궁근종 색전술(자궁동맥 색전술)[38]
자궁 동맥 색전술과 수술적 치료는 만족도 측면에서 유사한 결과를 보인다.[38]
수십 년 동안 증상이 있는 자궁 근종 치료에 대한 일반적인 접근 방식은 "자궁절제술을 받거나 폐경기가 증상을 줄일 때까지 기다리는 것"이었지만, 최소 침습적 및 비침습적 옵션은 종종 제공되지 않았다.[39] 특히 2010년대 이후, 최소 침습적 및 비침습적 옵션은 새롭고 특이한 기술에서 일반적인 임상 치료로 발전하면서 점점 더 많이 제공되고 있다.[39]
자궁동맥 색전술(UAE)은 자궁근종으로의 혈류를 차단하여 자궁근종을 수축시키는 비침습적 시술이다.[54] 이 시술에 대한 환자의 만족도와 관련된 장기적인 결과는 수술과 유사하다.[56] 전통적인 수술이 더 나은 임신 결과를 가져올 수 있다는 잠정적인 증거가 있다.[56] 한 연구에 따르면 UAE는 향후 유산의 위험을 두 배로 증가시킨다.[55] UAE는 또한 초기 수술을 시행한 경우보다 더 많은 재시술을 필요로 하는 것으로 보인다.[56] 시술 후 환자는 보통 며칠 안에 회복된다.
자궁동맥 결찰술(복강경 자궁동맥 폐쇄술)은 질 또는 복강경을 통해 수행할 수 있는 작은 수술로 자궁의 혈액 공급을 제한하는 최소 침습적 방법이다. 작용의 주요 메커니즘은 UAE와 유사할 수 있지만, 수행하기가 더 쉽고 부작용이 더 적을 것으로 예상된다.[57]
2016년 영국 국립보건임상연구원(NICE) 지침은 UAE/UFE를 증상이 있는 자궁근종(일반적으로 크기가 30mm 이상)이 있는 환자에게 제공할 수 있다고 명시하고 있다. 환자는 UAE와 근종 절제술이 잠재적으로 임신 능력을 유지할 수 있게 해줄 수 있다는 점을 알려야 한다.[59]



근종 절제술은 하나 이상의 자궁근종을 제거하는 수술이다. 보존적 치료 옵션이 실패하고, 가임력을 보존하거나 자궁을 유지하려는 환자에게 보통 권장된다.[60]
근종 절제술에는 세 가지 유형이 있다.
- ''자궁경 수술'' 근종 절제술(''경자궁경부 절제술''): 절제경, 질과 자궁경부를 통해 삽입하여 조직을 절단하는 데 고주파 전기에너지를 사용할 수 있는 내시경 도구를 사용하거나 이와 유사한 장치를 사용하여 자궁근종을 제거.
- ''복강경'' 근종 절제술: 배꼽 근처의 작은 절개를 통해 수행. 의사는 복강경과 수술 도구를 사용하여 자궁근종을 제거. 복강경 근종 절제술이 개복 근종 절제술보다 낮은 이환율과 더 빠른 회복을 보인다.[61]
- ''개복'' 근종 절제술(''개복'' 또는 ''복부'' 근종 절제술): 자궁근종을 제거하는 가장 침습적인 수술 절차. 의사는 복벽에 절개를 가하고 자궁에서 자궁근종을 제거.
복강경 근종 절제술은 개복 수술보다 통증이 적고 입원 기간이 짧다.[62] 15,000명의 환자를 분석한 결과, 근종 절제술을 받은 환자는 그 후 5년 동안 자궁근종 관리를 위한 추가 시술(자궁 절제술 포함)이 UAE를 받은 환자보다 적게 필요했다.[63][64]
자궁 절제술은 자궁 근종을 치료하는 전통적인 방법이었으나, 현재는 최후의 선택 사항으로만 권장된다. 그럼에도 불구하고 자궁 근종은 여전히 미국에서 자궁 절제술의 주요 원인이다.
자궁내막 절제술은 자궁근종이 자궁 내에만 있고 자궁벽 내에 있지 않으며 비교적 작은 경우에 사용될 수 있다. 더 크거나 자궁벽 내에 있는 자궁근종이 있는 경우에는 실패율과 재발률이 높을 것으로 예상된다.
증상이 있는 경우에는 치료가 필요하다.[79] 치료법으로는, 임신을 희망하는 경우 GnRH유사체 투여로 근종을 축소시킨 후 근종 절제술을 시행하고, 임신을 희망하지 않거나 악성 소견이 보이는 경우에는 단순 자궁 절제술을 시행한다.[82] 근종 절제술에는 복식(개복), 질식, 복강경, 자궁경 하 방식이 있다. 자궁경 하 방식은 장경 3cm 정도의 점막하 근종에 적합하다. 수술 외의 치료법으로는 자궁 동맥 색전술[82]이나 고강도 집속 초음파 치료 등이 알려져 있다.
6. 4. 비수술적 치료
대부분의 근종은 증상을 일으키지 않는 한 치료가 필요하지 않다. 폐경기 이후에 근종이 줄어들며 문제를 일으키는 일은 흔치 않다.증상이 있는 자궁근종은 다음을 통해 치료할 수 있다.[38]
- 증상을 통제하기 위한 약물
- 종양을 가라앉히기 위한 약물
- 초음파 근종 파괴
- 근종 절제술 또는 고주파 절제술
- 자궁 절제술
- 자궁근종 색전술(자궁동맥 색전술)
증상이 있는 환자에서 자궁 동맥 색전술과 수술적 치료는 만족도 측면에서 유사한 결과를 보인다.[38]
수십 년 동안 증상이 있는 자궁 근종 치료에 대한 일반적인 접근 방식은 "자궁 절제술을 받거나 폐경이 증상을 줄일 때까지 기다리는 것"이었지만, 최소 침습적 및 비침습적 옵션은 종종 제공되지 않았다.[39] 특히 2010년대 이후, 최소 침습적 및 비침습적 옵션은 새롭고 특이한 기술에서 일반적인 임상 치료로 발전하면서 점점 더 많이 제공되고 있다.[39]
자궁동맥 색전술(UAE)은 자궁근종으로의 혈류를 차단하여 자궁근종을 수축시키는 비침습적 시술이다.[54] 이 시술에 대한 환자의 만족도와 관련된 장기적인 결과는 수술과 유사하다.[56] 전통적인 수술이 더 나은 임신 결과를 가져올 수 있다는 잠정적인 증거가 있다.[56] 한 연구에 따르면 UAE는 향후 유산의 위험을 두 배로 증가시킨다.[55] UAE는 또한 초기 수술을 시행한 경우보다 더 많은 재시술을 필요로 하는 것으로 보인다.[56] 시술 후 환자는 보통 며칠 안에 회복된다.
자궁동맥 결찰술(복강경 자궁동맥 폐쇄술)은 질 또는 복강경을 통해 수행할 수 있는 작은 수술로 자궁의 혈액 공급을 제한하는 최소 침습적 방법이다. 작용의 주요 메커니즘은 UAE와 유사할 수 있지만, 수행하기가 더 쉽고 부작용이 더 적을 것으로 예상된다.[57][58]
2016년 영국 국립보건임상연구원(NICE) 지침은 UAE/UFE를 증상이 있는 자궁근종(일반적으로 크기가 30mm 이상)이 있는 환자에게 제공할 수 있다고 명시하고 있다. 환자는 UAE와 근종 절제술(자궁근종의 외과적 제거)이 잠재적으로 임신 능력을 유지할 수 있게 해줄 수 있다는 점을 알려야 한다.[59]
고주파 절제술은 자궁근종에 대한 최소 침습적 치료법이다.[65] 이 기술에서는 복부를 통해 근종에 바늘 모양의 장치를 삽입하고 고주파(RF) 전기 에너지를 가하여 세포의 괴사를 유발하여 근종을 축소시킨다. 이 치료법은 자궁근종이 있고 출산을 완료했으며 자궁 절제술을 피하고 싶은 사람들에게 잠재적인 선택 사항이다.
자기 공명 유도 집중 초음파는 고강도 집중 초음파를 사용하여 조직을 파괴하는 비침습적 시술(절개가 필요 없음)로, 자기 공명 영상(MRI)을 사용하여 치료를 안내하고 모니터링한다. 시술 중에는 MR 열 영상을 사용하여 집중 초음파 에너지의 전달을 안내하고 제어한다.[66] 증상이 있는 자궁근종이 있고, 비침습적 치료 옵션을 원하며 MRI에 대한 금기 사항이 없는 환자는 MRgFUS의 대상이 된다. 약 60%의 환자가 적합하다. 외래 환자 시술이며 자궁근종의 크기에 따라 1~3시간이 소요된다. 안전하며 약 75%의 효과가 있다.[67] 증상 개선은 2년 이상 지속된다.[68] 추가 치료의 필요성은 16~20%로 다양하며 안전하게 절제할 수 있는 근종의 양에 크게 달려 있다. 절제된 부피가 클수록 재치료율은 낮아진다.[69] 현재 MRgFUS와 UAE 간의 무작위 시험은 없다. MRgFUS와 UAE의 효능을 조사하기 위한 다기관 시험이 진행 중이다.
7. 예후
평활근종이 평활근육종으로 발전하는 경우는 1,000개 병변 중 1개 꼴이다.[9] 폐경 후에도 성장하는 병변은 악성 종양일 가능성이 있다.[9] 다만, 병리학자들 사이에서 평활근종이 육종으로 변하는 것에 대한 합의는 이루어지지 않았다.
자궁 근종은 생식 연령 여성의 20%에서 발생하지만, 악성 종양으로 진행되는 경우는 0.5% 미만이다. 30대 이상에서 자주 발생하며,[79] 45세까지 여성의 약 70%에서 발생한다.[81] 에스트로겐 의존성 양성 질환이므로, 폐경 후에는 작아지는 경향이 있어 외과적인 처치를 하지 않는 경우가 많다.
8. 역학
여성의 약 20%에서 80%가 50세까지 자궁근종을 앓게 된다.[78][3] 2013년 전 세계적으로 1억 7100만 명의 여성이 자궁근종의 영향을 받은 것으로 추정된다.[5] 자궁근종은 일반적으로 가임기 중후반에 발견되며,[3] 폐경 후에는 크기가 감소한다.[3] 청소년은 나이든 여성보다 자궁근종이 훨씬 덜 발생하며,[70] 환자의 최대 50%는 증상이 없다. 10대 청소년의 자궁근종 유병률은 0.4%이다.[70]
유럽의 자궁근종 발병률은 미국의 발병률보다 낮은 것으로 여겨진다.[78] 미국 국립 환경 보건 과학원에 따르면 흑인 여성의 80%가 40대 후반까지 양성 자궁 근종을 앓게 된다.[71] 흑인 여성은 백인 여성보다 근종 발생률이 2~3배 더 높다.[78][72][73] 흑인 여성의 경우 근종이 더 어린 나이에 발생하고 더 빠르게 성장하며 증상을 유발할 가능성이 더 높다.[74] 이로 인해 흑인 여성은 근종 절제술과 자궁 절제술 모두 더 높은 수술률을 보인다.[75]
근종이 흑인 여성에게 더 흔한 이유는 불분명하다. 일부 연구에 따르면 비만하고 고혈압이 있는 흑인 여성이 근종이 발생할 가능성이 더 높다고 한다.[75] 다른 제안된 원인으로는 흑인 여성이 비타민 D의 일일 권장량 미만의 음식을 섭취하는 경향이 있다는 점이 있다.[78]
생식 연령 여성의 20%에서 발생하지만, 악성 종양으로 진행되는 경우는 0.5% 미만이다. 30대 이상에서 자주 발생하며[79] 45세까지 여성의 약 70%에서 발생한다.[81]
9. 관련 법규 및 정책 (미국)
2005년 S.1289 법안은 두 번 읽혀 보건, 노동 및 연금 위원회로 회부되었으나, 미국 상원 또는 미국 하원 투표를 통과하지 못했다.[1] 2005년 자궁 근종 연구 및 교육법안은 매년 50억달러가 자궁 절제술에 사용되며, 이는 아프리카계 미국인의 22%와 백인 여성의 7%에게 영향을 미친다고 언급했다.[1] 이 법안은 또한 연구 및 교육 목적을 위한 더 많은 자금 지원을 요구했다.[1] 또한 미국 국립보건원(NIH)에 지급된 280억달러 중 500만달러가 2004년 자궁 근종에 할당되었다고 명시하고 있다.[1]
10. 기타 동물
자궁근종은 기타 포유류에게는 희귀한 질병이지만, 일부 개와 발트해 회색물범에게서 관찰되었다.[88]
참조
[1]
서적
Ferri's differential diagnosis : a practical guide to the differential diagnosis of symptoms, signs, and clinical disorders
Elsevier/Mosby
2010
[2]
뉴스
Uterine Fibroids {{!}} Fibroids {{!}} MedlinePlus
https://medlineplus.[...]
2018-11-07
[3]
웹사이트
Uterine fibroids fact sheet
http://www.womenshea[...]
2015-01-15
[4]
논문
Role of Medical Management for Uterine Leiomyomas
2016-07
[5]
논문
Global, regional, and national incidence, prevalence, and years lived with disability for 301 acute and chronic diseases and injuries in 188 countries, 1990-2013: a systematic analysis for the Global Burden of Disease Study 2013.
2015-06-05
[6]
논문
Uterine myomas: an overview of development, clinical features, and management
2004-08
[7]
서적
Reproductive Surgery in Assisted Conception
https://books.google[...]
Springer
2015
[8]
웹사이트
Uterine Fibroids: Symptoms, Causes, Risk Factors & Treatment
https://my.cleveland[...]
2022-10-08
[9]
간행물
American Society of Reproductive Medicine Patient Booklet: Uterine Fibroids, 2003
http://www.asrm.org/[...]
[10]
논문
Proceedings from the Third National Institutes of Health International Congress on Advances in Uterine Leiomyoma Research: comprehensive review, conference summary and future recommendations
[11]
웹사이트
Uterine fibroids fact sheet
http://www.womenshea[...]
womenshealth.gov
2016-12-15
[12]
논문
A review of evidence-based management of uterine fibroids
2016-01
[13]
논문
Mutations in Exon 1 highlight the role of MED12 in uterine leiomyomas
2014-09
[14]
논문
Multiple clinical characteristics separate MED12-mutation-positive and -negative uterine leiomyomas
[15]
논문
Strong family history of uterine leiomyomatosis warrants fumarate hydratase mutation screening
[16]
논문
Mutations in the fumarate hydratase gene cause hereditary leiomyomatosis and renal cell cancer in families in North America
[17]
웹사이트
Reed syndrome
http://rarediseases.[...]
2012-04-09
[18]
논문
Morphologic Features of Uterine Leiomyomas Associated with Hereditary Leiomyomatosis and Renal Cell Carcinoma Syndrome
[19]
논문
FIGO classification system (PALM-COEIN) for causes of abnormal uterine bleeding in nongravid women of reproductive age
2011-04
[20]
서적
Obstetrics and Gynaecology
https://books.google[...]
John Wiley & Sons
2016
[21]
논문
Parasitic myomas after laparoscopic surgery: An emerging complication in the use of morcellator? Description of four cases
[22]
논문
Iatrogenic Myomas: New Class of Myomas?
[23]
웹사이트
FDA Updated Assessment of The Use of Laparoscopic Power Morcellators to Treat Uterine Fibroids
https://www.fda.gov/[...]
2017-12-23
[24]
서적
Fletcher's Diagnostic Histopathology of Tumors
[25]
논문
MED12, the Mediator Complex Subunit 12 Gene, is Mutated at High Frequency in Uterine Leiomyomas
[26]
논문
Incidence, aetiology and epidemiology of uterine fibroids
[27]
논문
Sex steroidal regulation of uterine leiomyoma growth and apoptosis
[28]
논문
Transforming growth interacting factor expression in leiomyoma compared with myometrium
2009-06
[29]
논문
Aromatase and Leiomyoma of the Uterus
[30]
논문
Role of aromatase in endometrial disease
[31]
논문
Ovarian steroids, stem cells and uterine leiomyoma: therapeutic implications
2015
[32]
논문
Genetic heterogeneity among uterine leiomyomata: insights into malignant progression
[33]
논문
Review of uterine fibroids: imaging of typical and atypical features, variants, and mimics with emphasis on workup and FIGO classification
2022-07
[34]
웹사이트
Uterine fibroids - Diagnosis and treatment - Mayo Clinic
https://www.mayoclin[...]
2022-10-08
[35]
웹사이트
Uterus - Stromal tumors - Leiomyoma
http://www.pathology[...]
[36]
논문
Wnt/β-catenin signaling pathway in uterine leiomyoma: role in tumor biology and targeting opportunities.
https://www.ncbi.nlm[...]
[37]
웹사이트
Fibroids
http://www.nhs.uk/Co[...]
U.K. National Health Service
2017-10-19
[38]
논문
Uterine artery embolization for symptomatic uterine fibroids.
2014-12-26
[39]
뉴스
Fibroids are serious. Surgery isn't the only way to stop them. Many women are not told about noninvasive treatments that don't affect fertility. Experts want to change that.
https://www.washingt[...]
2022-12-11
[40]
논문
Intrauterine device use among women with uterine fibroids: a systematic review☆
[41]
논문
Review of the safety, efficacy and patient acceptability of the levonorgestrel-releasing intrauterine system
[42]
논문
Ulipristal acetate: a novel option for the medical management of symptomatic uterine fibroids
2012-08
[43]
논문
Ulipristal acetate in the management of symptomatic uterine fibroids: facts and pending issues
2015-04
[44]
논문
Ulipristal acetate versus leuprolide acetate for uterine fibroids
2012-02
[45]
논문
First series of 18 pregnancies after ulipristal acetate treatment for uterine fibroids
2014-11
[46]
논문
In vivo mechanisms of uterine myoma volume reduction with ulipristal acetate treatment
2015-08
[47]
논문
Gene expression changes in uterine myomas in response to ulipristal acetate treatment
2018-08
[48]
논문
Matrix Metalloproteinase Activity Correlates With Uterine Myoma Volume Reduction After Ulipristal Acetate Treatment
2018-04
[49]
논문
Long-term medical management of uterine fibroids with ulipristal acetate
2016-01
[50]
웹사이트
European Medicament Agency
https://www.ema.euro[...]
[51]
웹사이트
Allergan Inc. voluntarily withdraws its drug Fibristal, used to treat uterine fibroids, from the Canadian market
https://healthycanad[...]
2020-09-16
[52]
논문
Medical management of fibroids
2008-08
[53]
논문
Mifepristone for uterine fibroids
2012-08
[54]
웹사이트
The Embolisation Process
http://femisa.org.uk[...]
FEmISA: Fibroid Embolisation: Information, Support, Advice
[55]
논문
Uterine artery embolization for fibroids is associated with an increased risk of miscarriage
2010-06
[56]
논문
Uterine artery embolization for symptomatic uterine fibroids
2014-12
[57]
논문
Laparoscopic bipolar coagulation of uterine vessels: a new method for treating symptomatic fibroids
[58]
논문
Uterine artery ligation for management of uterine fibroids
[59]
웹사이트
Uterine Fibroid Embolisation Africa
http://www.fibroidca[...]
2017-02-23
[60]
논문
Surgical treatment of fibroids for subfertility
2020-01
[61]
논문
Endoscopic management of uterine fibroids
2008-08
[62]
논문
Minimally invasive surgical techniques versus open myomectomy for uterine fibroids.
2014-10-21
[63]
논문
Uterine-preserving treatments or hysterectomy reintervention after myomectomy or uterine artery embolisation: A retrospective cohort study of long-term outcomes
2023-06-01
[64]
논문
Surgical removal of fibroids has better long-term outcomes than blocking blood vessels
https://evidence.nih[...]
2023-09-22
[65]
뉴스
A New Treatment to Help Women Avoid Hysterectomy
https://online.wsj.c[...]
2010-01-20
[66]
간행물
FDA Approves New Device to Treat Uterine Fibroids
https://www.fda.gov/[...]
FDA
2004-10-22
[67]
논문
Image-guided thermal therapy of uterine fibroids
2009-04
[68]
논문
Clinical outcomes of focused ultrasound surgery for the treatment of uterine fibroids
2006-01
[69]
논문
Abstracts of the 2nd European symposium on focused ultrasound therapy
2014
[70]
논문
Presentation and treatment of uterine leiomyoma in adolescence: a systematic review
2015-01
[71]
뉴스
Helping Black Women Recognize, Treat Fibroids
https://www.npr.org/[...]
2011-03-30
[72]
서적
Uterine Fibroids
MerckManual
[73]
웹사이트
African American Women and Fibroids
http://www.blackwome[...]
2011-03-30
[74]
웹사이트
Minority Women's Health
http://www.womenshea[...]
Women's Health.gov
[75]
뉴스
Black Women and High Prevalence of Fibroids
http://www.fibroids.[...]
2010-11-29
[76]
PDF
Office of Budget (PDF)
http://officeofbudge[...]
[77]
학술지
Histology of uterine leiomyoma and occurrence in relation to reproductive activity in the Baltic gray seal (Halichoerus grypus)
2003-03
[78]
학술지
Dietary components and uterine leiomyomas: a review of published data
2015
[79]
웹사이트
子宮筋腫
http://www.jsog.or.j[...]
日本産科婦人科学会
[80]
웹사이트
子宮筋腫
https://medicalnote.[...]
2020-06-17
[81]
웹사이트
子宮筋腫
https://www.msdmanua[...]
MSDマニュアル プロフェッショナル版
[82]
웹사이트
子宮筋腫
https://jsgo.or.jp/p[...]
日本婦人科腫瘍学会
[83]
서적
Uterine Fibroids
MerckManual
[84]
웹인용
Uterine fibroids fact sheet
http://www.womenshea[...]
womenshealth.gov
[85]
학술지
Strong family history of uterine leiomyomatosis warrants fumarate hydratase mutation screening
[86]
학술지
Mutations in the fumarate hydratase gene cause hereditary leiomyomatosis and renal cell cancer in families in North America
[87]
웹인용
보관된 사본
http://rarediseases.[...]
2012-04-09
[88]
학술지
Histology of uterine leiomyoma and occurrence in relation to reproductive activity in the Baltic gray seal (Halichoerus grypus)
2003-03
본 사이트는 AI가 위키백과와 뉴스 기사,정부 간행물,학술 논문등을 바탕으로 정보를 가공하여 제공하는 백과사전형 서비스입니다.
모든 문서는 AI에 의해 자동 생성되며, CC BY-SA 4.0 라이선스에 따라 이용할 수 있습니다.
하지만, 위키백과나 뉴스 기사 자체에 오류, 부정확한 정보, 또는 가짜 뉴스가 포함될 수 있으며, AI는 이러한 내용을 완벽하게 걸러내지 못할 수 있습니다.
따라서 제공되는 정보에 일부 오류나 편향이 있을 수 있으므로, 중요한 정보는 반드시 다른 출처를 통해 교차 검증하시기 바랍니다.
문의하기 : help@durumis.com
