팔뚝
"오늘의AI위키"의 AI를 통해 더욱 풍부하고 폭넓은 지식 경험을 누리세요.
1. 개요
팔뚝은 위팔과 손목 사이에 위치하며, 요골과 척골 두 개의 뼈로 구성된다. 팔뚝은 팔꿈치 관절과 원위 요척 관절의 움직임에 따라 굽힘, 폄, 엎침, 뒤침 등의 운동을 수행한다. 팔뚝의 근육은 앞쪽과 뒤쪽 구획으로 나뉘며, 각각 손목과 손의 움직임을 제어하는 근육과 신경, 혈관이 분포한다. 팔뚝 골절은 척골, 요골 또는 둘 다에 발생할 수 있으며, 유전적 질환으로 인해 팔의 기형이 나타날 수도 있다.
더 읽어볼만한 페이지
| 팔뚝 | |
|---|---|
| 개요 | |
![]() | |
| 세부 정보 | |
| 라틴어 | antebrachium |
| 전구체 | 해당 없음 |
| 시스템 | 해당 없음 |
| 동맥 | 해당 없음 |
| 정맥 | 해당 없음 |
| 신경 | 해당 없음 |
| 림프 | 해당 없음 |
2. 구조
요골과 척골은 팔뚝을 구성하는 뼈이다. 요골은 가쪽에, 척골은 안쪽에 위치한다. 팔꿈치에서 요골과 척골 사이의 관절은 근위 요척 관절이라고 하며, 손목 관절에서는 원위 요척 관절에서 다시 척골과 연결된다.
| 구획 | 층 | 근육 | E/I[1] | 신경 |
|---|---|---|---|---|
| 앞쪽 | 얕은 층 | 요측수근굴곡근 | 외재성 | 정중신경 |
| 앞쪽 | 얕은 층 | 장장근 | 외재성 | 정중신경 |
| 앞쪽 | 얕은 층 | 척측수근굴곡근 | 외재성 | 척골신경 |
| 앞쪽 | 얕은 층 | 원회내근 | 내재성 | 정중신경 |
| 앞쪽 | 얕은 층 (또는 중간 층) | 천지굴근 | 외재성 | 정중신경 |
| 앞쪽 | 깊은 층 | 심지굴근 | 외재성 | 척골신경 + 정중신경 |
| 앞쪽 | 깊은 층 | 장무지굴근 | 외재성 | 정중신경 |
| 앞쪽 | 깊은 층 | 사각회내근 | 내재성 | 정중신경 |
| 뒤쪽 | (아래 참조) | 상완요골근 | 내재성 | 요골신경 |
| 뒤쪽 | 얕은 층 | 장요측수근신근 | 외재성 | 요골신경 |
| 뒤쪽 | 얕은 층 | 단요측수근신근 | 외재성 | 요골신경 |
| 뒤쪽 | 중간 층 | 총지신근 | 외재성 | 요골신경 |
| 뒤쪽 | 중간 층 | 소지신근 | 외재성 | 요골신경 |
| 뒤쪽 | 얕은 층 | 척측수근신근 | 외재성 | 요골신경 |
| 뒤쪽 | 깊은 층 | 장무지외전근 | 외재성 | 요골신경 |
| 뒤쪽 | 깊은 층 | 단무지신근 | 외재성 | 요골신경 |
| 뒤쪽 | 깊은 층 | 장무지신근 | 외재성 | 요골신경 |
| 뒤쪽 | 깊은 층 | 지시신근 | 외재성 | 요골신경 |
| 뒤쪽 | 깊은 층 | 회외근 | 내재성 | 요골신경 |
| 뒤쪽 | 깊은 층 | 주근 | 내재성 | 요골신경 |
- "E/I"는 "외재성(Extrinsic)" 또는 "내재성(Intrinsic)"을 나타낸다. 팔뚝의 내재성 근육은 팔뚝에 작용하며, 팔꿈치 관절과 근위 요척 관절 및 원위 요척 관절에 걸쳐 작용하여 회내 또는 회외를 일으킨다. 반면 외재성 근육은 손과 손목에 작용한다. 대부분의 경우, 외재성 전방 근육은 굴근이고, 외재성 후방 근육은 신근이다.
- 팔뚝의 굴근인 상완요골근은 상완 후방 구획에 위치하지만 실제로는 팔뚝의 전방 부분에 있다는 점에서 특이하다.
- 주근은 일부 사람들에 의해 상완 후방 구획의 일부로 간주된다.
팔뚝에는 정중 신경, 요골 신경, 척골 신경이 지나간다.
- 정중 신경 – 전방 구획의 내부 신경 (원회내근, 요측 수근 굴근, 장장근, 천지굴근).
- * 전골간 신경 (장무지굴근, 심지굴근의 외측 1/2, 방형 회내근에 공급).
- 요골 신경 – 후방 구획의 근육에 공급 (장요측 수근 신근, 단요측 수근 신근).
- * 요골 신경의 천지 분지
- * 요골 신경의 심부 분지, 후골간 신경이 되어 후방 구획의 근육에 공급 (총지 신근, 소지 신근, 척측 수근 신근, 장무지 외전근, 단무지 신근, 장무지 신근, 지시 신근).
- 척골 신경 – 일부 내측 근육에 공급 (척측 수근 굴근, 심지굴근의 내측 1/2).

팔뚝의 주요 혈관은 상완동맥에서 갈라져 나온 요골동맥과 척골동맥이다.
- 상완동맥
- * 요골동맥
- ** 요골 되돌이 동맥
- ** 손등 중수골 동맥
엄지손가락 동맥
- * 척골동맥
- ** 전 척골 되돌이 동맥 및 후 척골 되돌이 동맥
- ** 총 골간 동맥
후 골간 동맥
전 골간 동맥
그 외에 자뼈사이막, 고리인대 등의 구조물이 있다.
2. 1. 뼈와 관절
요골과 척골은 팔뚝을 구성하는 뼈이다. 요골은 가쪽에, 척골은 안쪽에 위치한다.2. 1. 1. 요골 (Radius)
요골은 전완의 가쪽에 위치하는 뼈이다. 근위부에서 요골 머리는 위팔뼈의 작은 머리 및 팔꿈치 척골의 요골 절흔과 연결된다. 팔꿈치에서 요골과 척골 사이의 관절은 근위 요척 관절이라고 한다.
원위부에서는 원위 요척 관절에서 다시 척골과 연결된다. 가쪽 면에서는 손배뼈와, 안쪽 면에서는 반달뼈와 연결되어 손목 관절의 일부를 형성한다.
2. 1. 2. 척골 (Ulna)
요골과 함께 전완을 구성하는 뼈로, 전완의 안쪽에 위치한다. 위쪽에서는 도르래 패임이 위팔뼈의 위팔뼈 도르래와 연결되며, 노뼈 패임은 팔꿉에서 요골 머리와 연결된다.[4]아래쪽에서는 아래노자관절의 일부를 형성하며 손목과도 연결된다.[5]
2. 2. 근육
| 구획 | 층 | 근육 | E/I[1] | 신경 |
|---|---|---|---|---|
| 앞쪽 | 얕은 층 | 요측수근굴곡근 | 외재성 | 정중신경 |
| 앞쪽 | 얕은 층 | 장장근 | 외재성 | 정중신경 |
| 앞쪽 | 얕은 층 | 척측수근굴곡근 | 외재성 | 척골신경 |
| 앞쪽 | 얕은 층 | 원회내근 | 내재성 | 정중신경 |
| 앞쪽 | 얕은 층 (또는 중간 층) | 천지굴근 | 외재성 | 정중신경 |
| 앞쪽 | 깊은 층 | 심지굴근 | 외재성 | 척골신경 + 정중신경 |
| 앞쪽 | 깊은 층 | 장무지굴근 | 외재성 | 정중신경 |
| 앞쪽 | 깊은 층 | 사각회내근 | 내재성 | 정중신경 |
| 뒤쪽 | (아래 참조) | 상완요골근 | 내재성 | 요골신경 |
| 뒤쪽 | 얕은 층 | 장요측수근신근 | 외재성 | 요골신경 |
| 뒤쪽 | 얕은 층 | 단요측수근신근 | 외재성 | 요골신경 |
| 뒤쪽 | 중간 층 | 총지신근 | 외재성 | 요골신경 |
| 뒤쪽 | 중간 층 | 소지신근 | 외재성 | 요골신경 |
| 뒤쪽 | 얕은 층 | 척측수근신근 | 외재성 | 요골신경 |
| 뒤쪽 | 깊은 층 | 장무지외전근 | 외재성 | 요골신경 |
| 뒤쪽 | 깊은 층 | 단무지신근 | 외재성 | 요골신경 |
| 뒤쪽 | 깊은 층 | 장무지신근 | 외재성 | 요골신경 |
| 뒤쪽 | 깊은 층 | 지시신근 | 외재성 | 요골신경 |
| 뒤쪽 | 깊은 층 | 회외근 | 내재성 | 요골신경 |
| 뒤쪽 | 깊은 층 | 주근 | 내재성 | 요골신경 |
- "E/I"는 "외재성(Extrinsic)" 또는 "내재성(Intrinsic)"을 나타낸다. 팔뚝의 내재성 근육은 팔뚝에 작용하며, 팔꿈치 관절과 근위 요척 관절 및 원위 요척 관절에 걸쳐 작용하여 회내 또는 회외를 일으킨다. 반면 외재성 근육은 손과 손목에 작용한다. 대부분의 경우, 외재성 전방 근육은 굴근이고, 외재성 후방 근육은 신근이다.
- 팔뚝의 굴근인 상완요골근은 상완 후방 구획에 위치하지만 실제로는 팔뚝의 전방 부분에 있다는 점에서 특이하다.
- 주근은 일부 사람들에 의해 상완 후방 구획의 일부로 간주된다.
2. 3. 신경
팔꿈치에 근접한 분할과 손목에 먼 분할에 대한 자세한 내용은 별도의 신경 기사를 참조하라. 정중 신경, 요골 신경 및 척골 신경의 기원에 대해서는 상완 신경총을 참조하라.- 정중 신경 – 전방 구획의 내부 신경 (원회내근, 요측 수근 굴근, 장장근, 천지굴근).
- * 전골간 신경 (장무지굴근, 심지굴근의 외측 1/2, 방형 회내근에 공급).
- 요골 신경 – 후방 구획의 근육에 공급 (장요측 수근 신근, 단요측 수근 신근).
- * 요골 신경의 천지 분지
- * 요골 신경의 심부 분지, 후골간 신경이 되어 후방 구획의 근육에 공급 (총지 신근, 소지 신근, 척측 수근 신근, 장무지 외전근, 단무지 신근, 장무지 신근, 지시 신근).
- 척골 신경 – 일부 내측 근육에 공급 (척측 수근 굴근, 심지굴근의 내측 1/2).
2. 4. 혈관
팔뚝의 주요 혈관은 다음과 같다.
- 상완동맥
- * 요골동맥
- ** 요골 되돌이 동맥
- ** 손등 중수골 동맥
엄지손가락 동맥
- * 척골동맥
- ** 전 척골 되돌이 동맥 및 후 척골 되돌이 동맥
- ** 총 골간 동맥
후 골간 동맥
전 골간 동맥
2. 5. 기타 구조물
- 자뼈사이막
- 고리인대
3. 기능
팔뚝은 팔꿈치 관절의 움직임에 의해 위팔에 가까워지거나(굽힘) 멀어질 수 있다(폄). 또한 팔꿈치와 원위 요척 관절의 움직임에 의해 손바닥이 안쪽으로 회전하는 엎침과 손바닥이 바깥쪽으로 회전하는 뒤침이 가능하다.
4. 임상적 의의

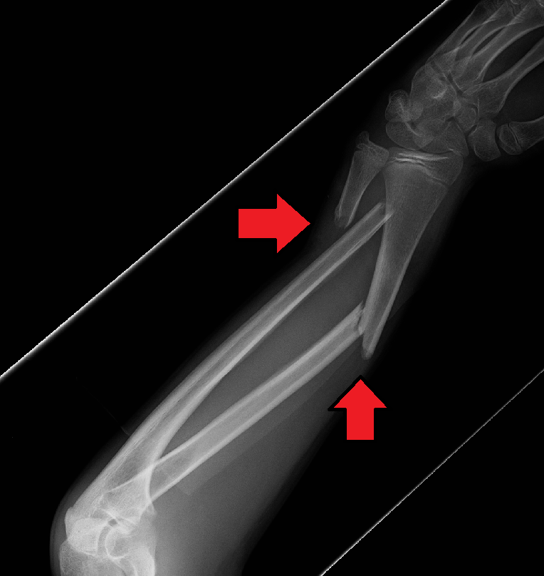
팔의 골절은 척골만 포함하는지(척골 골절), 요골만 포함하는지(요골 골절), 아니면 요골과 척골 둘 다 포함하는지(요척골 골절)에 따라 분류할 수 있다.
어린이의 토리 골절 치료에는 석고 붕대보다 부목이 더 효과적인 것으로 보인다.[7] 유전성 다발성 외골증과 같은 유전적으로 결정된 질환은 손과 팔의 기형을 유발할 수 있다. 유전성 다발성 외골증은 팔의 두 뼈인 요골과 척골의 골단 성장 장애로 인해 발생한다.[8]
참조
[1]
서적
Webster's New World Medical Dictionary
Houghton Mifflin Harcourt
[2]
웹사이트
Forearm
https://www.lecturio[...]
2021-06-22
[3]
웹사이트
Anatomy, Shoulder and Upper Limb, Forearm Muscles
https://www.ncbi.nlm[...]
StatPearls Publishing LLC.
2020-08-15
[4]
웹사이트
Structure of The Forearm
https://www.lecturio[...]
2021-06-22
[5]
서적
Gray's anatomy : the anatomical basis of clinical practice
[6]
웹사이트
"Dissector Answers\xA0— Axilla & Arm"
http://anatomy.med.u[...]
The University of Michigan
2008-01-17
[7]
논문
Management of Pediatric Forearm Torus Fractures: A Systematic Review and Meta-Analysis
2016-11
[8]
논문
Current paediatric orthopaedic practice in hereditary multiple osteochondromas of the forearm: a systematic review
2018
본 사이트는 AI가 위키백과와 뉴스 기사,정부 간행물,학술 논문등을 바탕으로 정보를 가공하여 제공하는 백과사전형 서비스입니다.
모든 문서는 AI에 의해 자동 생성되며, CC BY-SA 4.0 라이선스에 따라 이용할 수 있습니다.
하지만, 위키백과나 뉴스 기사 자체에 오류, 부정확한 정보, 또는 가짜 뉴스가 포함될 수 있으며, AI는 이러한 내용을 완벽하게 걸러내지 못할 수 있습니다.
따라서 제공되는 정보에 일부 오류나 편향이 있을 수 있으므로, 중요한 정보는 반드시 다른 출처를 통해 교차 검증하시기 바랍니다.
문의하기 : help@durumis.com
