골절
"오늘의AI위키"의 AI를 통해 더욱 풍부하고 폭넓은 지식 경험을 누리세요.
1. 개요
골절은 뼈의 연속성이 손상된 상태를 의미하며, 정형외과적 질환으로 분류된다. 골절은 뼈가 완전히 부러지는 완전 골절과 뼈에 금이 가는 불완전 골절로 나뉘며, 해부학적 위치, 연부 조직 손상 정도, 골절 형태, 발생 기전에 따라 다양하게 분류된다. 증상으로는 통증, 부종, 변형 등이 나타나며, 심각한 경우 구획 증후군, 불유합, 부정 유합 등의 합병증이 발생할 수 있다. 진단은 병력 청취와 신체 검사, 방사선 촬영 등을 통해 이루어지며, 치료는 골절된 뼈를 원래 위치로 복원하고 치유를 돕는 것을 목표로 한다. 치료 방법에는 수술적 치료와 보존적 치료가 있으며, 재활 치료를 통해 기능 회복을 돕는다. 골절은 외상, 낙상, 골다공증 등 다양한 원인에 의해 발생하며, 예방을 위해 안전 수칙 준수, 보호 장비 착용, 칼슘 및 비타민 D 섭취 등이 권장된다. 특정 연령층에서 흔하게 발생하는 골절이 있으며, 소아의 경우 성장판 손상, 노인의 경우 골다공증으로 인한 골절의 위험이 높다.
더 읽어볼만한 페이지
- 골절 - 척추골절
척추골절은 뼈의 극돌기를 가로지르는 골절 또는 인대 파열을 동반하는 척추 손상으로, 단순 X-레이에서 극돌기 간 과도한 간격이 관찰될 경우 의심할 수 있으며 CT 스캔과 MRI를 통해 진단 가능하고, 불안정한 형태로 나타나는 경우가 많다. - 골절 - 개방성 골절
개방성 골절은 외상 등으로 뼈가 피부를 뚫고 나와 외부 환경에 노출되는 골절로, 연조직 손상 및 감염 위험이 높아 신속한 진단과 치료가 필요하며, 구스틸로-앤더슨 분류 등으로 심각도를 평가한다. - 급성 통증 - 강간
- 급성 통증 - 화상
화상은 열, 화학물질, 전기, 방사선 등으로 피부와 조직이 손상되는 것으로, 심한 정도에 따라 증상이 다르게 나타나며 원인에 따라 다양한 치료법이 적용되고 심각한 경우 생명을 위협할 수 있다.
2. 분류
골절은 다양한 기준으로 분류될 수 있다.
(a) 폐쇄 골절
(b) 개방 골절
(c) 가로 골절
(d) 나선 골절
(e) 분쇄 골절
(f) 압박 골절
(g) 불완전 골절
(h) 사선 골절
- 발생 기전에 따른 분류:
- 외상성 골절: 낙상, 교통 사고, 싸움 등 외부 충격으로 인해 발생하는 골절이다.
- 병적 골절: 골다공증과 같이 뼈가 약해진 상태에서 작은 충격에도 쉽게 발생하는 골절이다. 골다공증은 병적 골절의 가장 흔한 원인이다.
- 인공 삽입물 주위 골절: 임플란트 끝 부분과 같이 기계적으로 약한 지점에서 발생하는 골절이다.
- 골절 형태에 따른 분류
- 완전 골절: 뼈가 완전히 부러진 상태이다.
- 불완전 골절: 뼈에 금이 가거나 일부만 부러진 상태이다.
- 균열 골절: 뼈에 금이 간 상태이다.
- 골막하 골절: 뼈의 일부가 분리되었지만 겉모습은 변하지 않은 상태이다.
- 단일 골절: 뼈가 한 군데만 부러진 상태이다.
- 다발 골절 (중복 골절): 뼈가 여러 군데 부러진 상태이다.
- 분쇄 골절: 뼈가 여러 조각으로 부서진 상태이다.
- 가로 골절: 골절선이 뼈의 긴 축에 거의 직각을 이루는 골절이다.
- 세로 골절: 골절선이 뼈의 긴 축에 거의 평행을 이루는 골절이다.
- 사선 골절: 골절선이 뼈의 긴 축에 비스듬하게 놓인 골절이다.
- 나선 골절: 골절선이 뼈의 긴 축에 나선형으로 나타나는 골절이다.
이 외에도 골절은 골절된 뼈가 추가적으로 이동할 가능성에 따라 안정형과 불안정형으로 나눌 수 있다.
2. 1. 해부학적 위치에 따른 분류
골절은 발생 부위에 따라 다음과 같이 분류할 수 있다.- 뼈의 중앙 부위 골절: 골간부 골절
- 뼈의 말단부 골절: 골단부 골절
- 원위단 골절 및 근위단 골절로 구분된다. 상지(손) 및 하지(발)에서는 몸통에 가까운 쪽의 골단을 근위단, 먼 쪽의 골단을 원위단으로 한다.
- 머리뼈 골절
- 두개골 골절
- 안면 골절
- 안와 골절
- 광대뼈 골절
- 하악골 골절
- 흉곽 골절
- 늑골 골절
- 흉골 골절
- 척추 골절
- 경추 탈구 골절
- 압박 골절(흉추 및 요추)
- 분쇄 또는 파열 골절(흉추 및 요추, 챈스 골절)
- 골반 골절
- 골반륜 골절
- 비구 골절
- 어깨 골절
- 쇄골 골절
- 상완골 경부 골절
- 위팔 골절
- 상완골 간부 골절
- 팔꿈치 골절
- 상완골 과상 골절
- 상완골 외과 골절
- 요골두 골절
- 주두 골절 (척골 근위단 골절)
- 전완 골절
- 요골 골간부 골절
- 척골 골간부 골절 (팔레 골절, 몬테지아 골절 포함)
- 손목 골절
- 요골 원위단 골절(콜레스 골절, 스미스 골절, 버튼 골절 등)
- 주상골 골절
- 손 골절
- 중수골 골절 (복서 골절 포함)
- 엄지손가락 중수골 기저부 골절 (베넷 골절, 롤란도 골절)
- 말렛 골절 (말단골 골절, 골성 망치 수지)
- 고관절 골절
- 대퇴골 경부 골절 (대퇴골 골두하 골절)
- 대퇴골 전자부 골절
- 대퇴부 골절
- 대퇴골 간부 골절
- 무릎 골절
- 대퇴골 과부 골절
- 슬개골 골절
- 경골 고원 골절 (경골 과부 골절)
- 하퇴 골절
- 경골 간부 골절
- 발목 골절
- 족관절 과부 골절
- 발 골절
- 종골 골절
- 제5 중족골 기저부 골절
2. 2. 연부 조직 손상 정도에 따른 분류
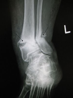
골절이 열상과 동시에 일어나면서, 찢어진 상처를 통해 골절 부위가 외부와 통해 있는 상태를 개방성 골절이라고 한다. 반대는 폐쇄성 골절이다. 개방성 골절의 치료가 중요한 이유는 세균 감염의 위험성 때문이다. 뼈의 세균 감염을 골수염이라 칭하는데, 난치성이다. 따라서 폐쇄성 골절에 비해 개방성 골절은 대개 응급 수술이 필요하다. 시간이 지연될수록 세균 감염의 기회가 많아지므로 빠른 세척과 항생제 사용, 응급 수술이 시행되어야 한다.[11]골절된 뼈가 피부를 뚫고 나오지 않아 골절 위 피부 조직이 정상적으로 존재하며, 골절이 피부 안에서 일어난 경우를 폐쇄성 골절이라고 한다. 개방성 골절과는 다르게 기타 감염이 보통 일어나지 않는다. 개방성 골절보다 심각하지 않을 수 있지만, 동맥이나 신경을 건드렸을 경우에는 심각한 후유증이 발생할 수 있다.[11]
- 폐쇄성/단순 골절은 덮고 있는 피부가 손상되지 않은 경우를 말한다.[11]
- 개방성/복합 골절은 골절 부위와 연결되는 상처가 있거나 골절 혈종이 노출되어 뼈가 오염될 수 있는 경우를 말한다. 개방성 손상은 감염 위험이 더 높다. 보고에 따르면 폐쇄성 골절의 내고정술 후 감염 발생률은 1~2%이며, 개방성 골절의 경우 30%까지 증가한다.[12]
- * 청결 골절
- * 오염 골절
2. 3. 골절 형태에 따른 분류
정형외과 의학에서 골절은 다양한 방식으로 분류된다.골절은 추가적으로 이동할 가능성에 따라 안정형과 불안정형으로 나눌 수 있다.
- 선상 골절 – 뼈의 긴 축과 평행한 골절
- 횡 골절 – 뼈의 긴 축에 직각인 골절
- 사선 골절 – 뼈의 긴 축에 대각선인 골절(30° 이상)
- 나선 골절 – 뼈의 적어도 한 부분이 꼬인 골절
- 압박 골절/쐐기 골절 – 보통 척추에서 발생하며, 예를 들어 척추뼈의 앞부분이 골다공증으로 인해 무너지는 경우(외상 유무에 관계없이 뼈가 부서지기 쉽고 골절되기 쉬운 의학적 상태)
- 충격 골절 – 뼈 조각이 서로 밀려 들어갈 때 발생하는 골절
- 견열 골절 – 뼈 조각이 주요 덩어리에서 분리된 골절
; 완전 골절
: 뼈가 완전하게 연속성을 잃은 상태를 말한다. 일반적인 골절은 이 완전 골절을 의미한다.
; 불완전 골절
: 어떤 이유로 뼈가 연속성을 완전히 잃지 않은 상태의 골절을 말한다. 소위 뼈에 금이 간 상태인 '''균열 골절'''이나 치밀층 이하의 부분이 분리되었음에도 불구하고 골막에 손상이 없어 외형적으로 변화가 없는 '''골막하 골절''' 등이 이 불완전 골절의 전형적인 예이다.
; 단일 골절
: 하나의 뼈가 한 곳에서만 분리된 상태(골절선이 하나만 있는 상태)의 골절을 의미한다. 여러 뼈가 골절되었더라도, 하나의 뼈에 대해 한 곳에서만 분리되었다면 단독 골절이다.
; 다발 골절(중복 골절)
: 하나의 뼈가 여러 곳에서 분리된 상태(골절선이 여러 개 존재하는 상태)의 골절을 의미한다. '''중복 골절'''이라고도 불리며, 특히 세밀하게 분리된 경우에는 '''분쇄 골절'''이라고도 불린다.
; 가로 골절
: 골절선이 뼈의 장축에 대해 거의 직각을 이루는 골절을 말한다.
; 세로 골절
: 골절선이 뼈의 장축에 대해 거의 평행을 이루는 골절을 말한다.
; 사선 골절
: 골절선이 뼈의 장축에 대해 비스듬하게 되어 있는 (거의 직각도 평행도 아닌) 골절을 말한다.
; Spiral fracture영어
: 골절선이 뼈의 장축에 대해 나선형으로 되어 있는 골절을 말한다.
2. 4. 발생 기전에 따른 분류
- 외상성 골절: 지속적인 외상으로 인한 골절이다. 예를 들어 낙상, 교통 사고, 싸움 등으로 인한 골절이 있다.
- 병적 골절: 기저 질환으로 약해진 뼈를 통한 골절을 말한다. 예를 들어 전이로 약해진 뼈를 통한 골절이 있다. 골다공증은 병적 골절의 가장 흔한 원인이다.
- 인공 삽입물 주위 골절: 임플란트 끝 부분의 기계적 약점 지점에서 발생하는 골절이다.
3. 증상 및 합병증
개방성 골절은 골절이 열상과 동시에 일어나 찢어진 상처를 통해 골절 부위가 외부와 통해 있는 상태를 말한다. 반대로 골절된 뼈가 피부를 뚫고 나오지 않아 골절 위 피부 조직이 정상적으로 존재하며, 골절이 피부 안에서 일어난 경우를 폐쇄성 골절이라고 한다. 개방성 골절은 세균 감염의 위험성 때문에 골수염과 같은 난치성 질환으로 이어질 수 있어 응급수술이 필요한 경우가 많다. 반면 폐쇄성 골절은 보통 감염이 일어나지 않지만, 동맥이나 신경을 건드렸을 경우에는 심각한 후유증이 발생할 수 있다.[6]
일부 골절은 구획 증후군이라는 심각한 합병증을 유발할 수 있는데, 치료하지 않으면 해당 사지를 절단해야 할 수도 있다. 그 외에도 뼈가 제대로 붙지 않는 불유합이나 변형된 채로 붙는 부정 유합 등의 합병증이 발생할 수 있다. 특히 대퇴골 및 경골 골절 후에는 뼈가 회전하며 잘못 붙는 부정 유합이 발생하기도 한다.[6]
골절의 합병증은 발생 시점에 따라 다음과 같이 세 가지로 분류할 수 있다.
3. 1. 증상
뼈 조직에는 통증 수용체가 없지만, 골절은 여러 가지 이유로 고통스럽다.[4]- 골막이 파괴되거나 내골막이 파괴될때 여러 통증 수용체를 포함하고 있어 고통스럽다.
- 파열된 골수로 인해 인접한 연조직에 부종과 혈종이 발생하여 압박 통증을 유발한다.
- 뼈 조각을 제자리에 유지하려는 근육 경련이 무의식적으로 일어난다.
신경, 근육, 혈관, 척수, 신경근(척추 골절의 경우), 두개골 내용물(두개골 골절의 경우)과 같은 인접 구조의 손상은 다른 특정 징후와 증상을 유발할 수 있다.[5] 골절은 모든 뼈에서 발생할 수 있다. 건강한 뼈는 약간의 유연성, 탄력성, 가소성을 가지고 있어 골절되기 어렵지만, 한계를 넘는 강한 외력이나 반복적인 외력, 뼈에 종양 등의 병변이 존재하는 경우에는 미미한 외력으로도 파괴된다. 쇄골이나 손의 주상골 등은 구조적으로 외력이 집중되기 쉬워 부러지기 쉽다.
골절 후 완치되었을때, 개인차나 치료법에 따라 다르지만, 양쪽 팔이나 다리 길이에 차이가 생길 수 있다. 다만, 성장기에는 자연 치유력에 의해 같은 길이로 교정되는 경우도 많으며, 수술로 교정하는 경우도 있다.
골절 시 나타나는 증상은 다음과 같다. 다만, 아래의 모든 증상이 항상 나타나는 것은 아니다.
- 이상 운동: 정상적인 상태에서는 움직이지 않아야 할 부분이 관절처럼 움직인다. 장골의 완전 골절에서는 현저하게 나타나지만, 불완전 골절이나 압박 골절에서는 잘 나타나지 않는다.
- 마찰음: 이상 운동이 일어나는 경우, 골절 단면끼리 접촉하여 소리가 난다. 치료자가 촉지하여 확인한다.
- 전위, 변형: 골절된 뼈가 어긋나거나 굽어지는 현상(전위)으로, 골절 부위의 외형이 변한다.
- 통증: 뼈 자체에는 신경이 없지만, 골절 발생 시 뼈 표면에 신경이 집중되어 있는 골막이 파괴되어 대부분 강한 자발통이나 압통이 발생한다. 골절 시 압통은 골절 부위에 국한되어 강하게 나타나는 것이 특징이며, 이를 말게뉴 골절통이라고 한다.
- 종창: 뼈나 주변 조직의 출혈로 인해 골절된 부위를 지지할 수 없거나, 통증 때문에 움직임을 제한한다.
3. 2. 합병증
골절이 열상과 동시에 일어나면서, 찢어진 상처를 통해 골절 부위가 외부와 통해 있는 상태를 개방성 골절이라고 한다. 반대는 폐쇄성 골절이다. 개방성 골절의 치료가 중요한 이유는 세균 감염의 위험성 때문이다. 뼈의 세균 감염을 골수염이라 칭하는데, 난치성이다. 따라서 폐쇄성 골절에 비해 개방성 골절은 대개 응급수술이 필요하다. 시간이 지연될수록 세균 감염의 기회가 많아지므로 빠른 세척과 항생제 사용, 응급 수술이 시행되어야 한다.[6]골절된 뼈가 피부를 뚫고 나오지 않아 골절 위 피부 조직이 정상적으로 존재하며, 골절이 피부 안에서 일어난 경우를 폐쇄성 골절이라고 한다. 개방성 골절과는 다르게 기타 감염이 보통 일어나지 않는다. 개방성 골절보다 심각하지 않을 수 있지만, 동맥이나 신경을 건드렸을 경우에는 심각한 후유증이 발생할 수 있다.[6]
일부 골절은 구획 증후군으로 알려진 심각한 합병증을 유발할 수 있다. 치료하지 않으면 결국 구획 증후군은 영향을 받은 사지의 절단을 필요로 할 수 있다. 다른 합병증으로는 골절된 뼈가 치유되지 않는 불유합이나 골절된 뼈가 변형된 방식으로 치유되는 부정 유합이 있다. 부정 유합의 한 형태는 뼈의 회전 부전으로, 특히 대퇴골 및 경골 골절 후에 흔하게 발생한다.[6]
골절의 합병증은 발생 시점에 따라 세 가지로 분류할 수 있다.[6]
척추 골절의 경우, 골편이 척수를 손상시켜 해당 지배 영역이 마비되거나, 경추의 경우 사망에 이를 수도 있다. 또한 사지 골절의 경우, 골편에 의해 신경이나 혈관이 손상될 수 있다. 갈비뼈 골절의 경우, 폐 손상이나 심장 손상의 위험도 있다. 골수가 존재하는 긴 뼈나 골반 등의 해면골, 대퇴골이 골절된 경우에는 대량의 내출혈에 따른 출혈성 쇼크, 골수강 내의 골수나 지방구에 의한 골수 색전, 폐 지방 색전(지방 색전증) 등으로 인해 사망에 이르는 경우도 있다. 또한 고령자의 경우 골절로 인해 와상 상태가 되기 쉬우며, 이에 따른 치매나 폐렴 등을 일으키기 쉽다.[6]
4. 진단
골절은 병력 청취 및 신체 검사를 통해 진단할 수 있다. 진단을 확인하기 위해 종종 방사선 영상 검사를 시행한다.[1] 특정 상황에서는 탈구 및 골절-탈구를 배제하기 위해 인접 관절의 방사선 검사가 필요하다.[1] 투사 방사선 촬영술만으로는 불충분한 경우, 컴퓨터 단층 촬영(CT) 또는 자기 공명 영상(MRI)이 필요할 수 있다.[1]
5. 치료
골절 치료는 크게 수술적 치료와 보존적 치료로 나눌 수 있다. 보존적 치료는 통증 관리, 부동화(고정) 등 수술을 하지 않는 모든 절차를 의미하며, 수술적 치료는 골절 부위를 수술적으로 개방하는 모든 치료를 포함한다. 이는 골절이 개방 골절인지 폐쇄 골절인지에 관계없이 적용된다.[38]


5. 1. 보존적 치료
골절 치료는 크게 수술적 치료와 보존적 치료로 나눌 수 있으며, 보존적 치료는 통증 관리, 부동화(고정) 또는 기타 비수술적 방법으로 골절을 안정시키는 것을 의미한다.[38]어린이의 팔 골절 시, 이부프로펜은 파라세타몰과 코데인을 함께 사용하는 것만큼 효과가 있는 것으로 나타났다.[39] 응급 상황에서는 1mg/kg의 정맥 케타민을 투여하여 해리 상태를 유도할 수 있다.
골절 골절 치유는 자연적으로 발생하는 과정이므로, 골절 치료는 뼈가 치유된 후 다친 부위의 기능을 최대한 좋게 만드는 것을 목표로 한다. 골절은 일반적으로 부러진 뼈 조각을 원래 위치로 되돌리고(필요한 경우), 뼈가 치유되는 동안 그 위치를 유지함으로써 치료한다. 종종 정복이라고 하는 뼈의 정렬을 올바른 위치에 맞추고 엑스레이로 개선된 정렬을 확인하는 것만으로 충분하다. 이 과정은 마취 없이 매우 고통스러운데, 뼈가 부러지는 것만큼 고통스럽다. 이를 위해 골절된 팔다리는 일반적으로 뼈를 제 위치에 고정하고 골절 위와 아래의 관절을 고정하는 석고 또는 유리 섬유 깁스 또는 부목으로 고정한다. 골절 후 초기 부종이나 부기가 가라앉으면, 골절 부위에 탈착 가능한 보조기 또는 정형 보조기를 착용할 수 있다.
때때로 발가락과 손가락의 말단골과 같은 작은 뼈는 깁스 없이 버디 테이핑으로 치료할 수 있는데, 이는 깁스를 만드는 것과 유사한 기능을 한다. 스즈키 프레임이라는 장치는 깊고 복잡한 관절 내 손가락 골절의 경우에 사용할 수 있다.[40] 제한적인 움직임만 허용함으로써, 고정은 섬유 연골 가골 형성을 가능하게 하면서 해부학적 정렬을 유지하는 데 도움이 되며, 이는 유합(골절된 뼈가 다시 붙는것)을 달성하는 목표로 이어진다.
부목 고정은 약간의 변위가 있는 원위 요골 골절(아래팔 골절)이 있는 어린이의 깁스 고정과 동일한 결과를 가져온다.[41]
골절 정복은 가능한 한 빨리 실시해야 한다. 부종이 가라앉을 때까지 기다려서는 안 된다. 개방창의 감염 위험을 낮게 억제하고, 극력 안전하게 봉합할 수 있는 것은 다친 후 6시간에서 8시간 이내(골든 타임)로 여겨진다. 이 시간은 신체 부위에 따라 변화하며, 안면 외상의 경우 24시간으로 여겨진다. 이 이상 경과하면 세균 증식에 의한 창상 감염의 가능성이 비약적으로 높아지지만, 반드시 골든 타임을 경과한 창상이 1차 폐쇄할 수 없는 것은 아니며, 어디까지나 감염 위험의 기준으로 간주해야 한다.
단순 골절로 뼈의 전위(원래 위치에서 벗어남)가 없으면 그대로 고정하고, 뼈의 전위가 있는 경우에는 손으로 맞추거나 견인 등의 비관혈적 정복술 또는 수술에 의한 관혈적 정복술을 통해 정상적인 정렬 상태로 되돌리고, 일정 기간 고정하여 안정을 유지한다. 비관혈적 정복술은 접합이 정상 값에 있는지 여부를 X-ray 등을 이용하여 정밀도를 높인다. 한편, 복잡 골절에서는 뼈가 표피에서 튀어나와 다양한 세균이 존재하는 외부와 소통하게 되므로, 감염증 억제가 최우선 과제가 된다. 상처 부위의 꼼꼼한 세척 소독과 오염되고 좌멸된 조직의 절제(데브리드망)가 수상 후 즉시 실시되어야 하며, 항생 물질 투여도 적극적으로 이루어진다. 골 유합에 필요한 기간은 손상 부위나 연령에 따라 다르지만, 어느 골절도 같은 프로세스를 거쳐 수복된다. 다만, 감염증이나 부적절한 치료로 인해 골 유합이 지연되거나 유합되지 않는 경우도 있다.
상지(팔)의 골절 치료 목표는 손의 기능 보존이다. 약간의 변형이나 단축은 괜찮다. 한편, 하지(다리)의 골절 치료 목표는 통증 없이 안정된 하중이 가능하도록 하는 것이다. 단축되지 않도록 변형을 최대한 피한다. 또한, 입원하여 골절 치료가 시작되면 즉시 다른 팔다리의 운동을 시작해야 한다고 여겨진다.
염좌는 한 관절 고정인 반면, 골절은 두 관절 고정으로 간주된다. 골절 시 한 관절을 고정하면 회내, 회외 운동이 가능해 정복이 불가능해진다.
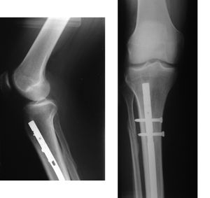
; 내고정
: 수술을 통해 금속판, 와이어, 핀 등의 고정 도구를 사용하여 뼈를 접합하는 방법.
; 외고정
: 깁스·부목 등을 사용하여 신체 외부에서 골절 부위가 움직이지 않도록 고정하는 방법.
:; 상지 골절
:: 상지 골절의 고정에는 부목 위에 삼각건을 하면 된다. 삼각건 위에서 체간을 포함하여 바스트 밴드를 하는 방법도 있다.
:; 장관골 골절
:: 불안정한 장관골 골절을 부목에 올릴 때는 골절부의 상하를 견인하여 시행한다. 기본적으로 골절의 경우 견인하면 연부 조직을 손상시키는 일은 적다. 단, 팔꿈치나 무릎 주변의 경우 견인하면 연부 조직 손상을 일으킬 수 있다. 또한, 개방성 골절의 경우 체외로 나온 골편이 체내로 들어가 감염을 일으키므로 원칙적으로 견인하지 않는다.
; 외고정
: 수술을 통해 골절부 주변 뼈에 핀을 꽂아 체외로 나온 부분을 금속봉이나 레진(수지) 등으로 지지하는 방법. 개방성 골절 등의 경우, 손상 부위에 대한 수술 조작으로 감염 위험이 높아질 수 있는 경우나 분쇄 골절 등에 유용하다.
; 경피적 강선 고정
: 키르시너 와이어 등을 사용하여 X선 투시 하에 피부 밖에서 뼈를 꽂아 고정한다(오른쪽 상단 그림 참조).
Gult의 유합일수에서는, 유합은 중수골에서 2주, 늑골에서 3주, 쇄골에서 4주, 전완골에서 5주, 상완골 체부에서 6주, 경골에서 7주, 양 하퇴골에서 8주, 대퇴골에서 8주, 대퇴골 경부에서 12주가 걸린다.
깁스를 병원에서 감은 후 부종이 생기고 심하게 아파하는 경우 순환 장애를 일으키고 있는 것으로 생각된다. 즉시 병원에 진찰을 받고, 깁스, 속 감개를 잘라야 한다. 골절은 기본적으로 몸을 움직일 때 아픈 것이지만, 안정 시의 격통 지속은 혈관 장애가 고려된다.
5. 2. 수술적 치료
골절 치료는 크게 수술적 치료와 보존적 치료로 나뉜다. 보존적 치료는 통증 관리, 부동화 등 수술을 하지 않는 모든 절차를 의미한다. 수술적 치료는 골절 부위를 수술적으로 개방하는 모든 치료를 포함하며, 개방 골절인지 폐쇄 골절인지에 관계없이 적용된다.[38]일반적으로 수술은 보존적 치료가 실패했거나 실패할 가능성이 높은 경우, 또는 기능적 결과가 좋지 않을 것으로 예상될 때 시행된다.[42] 고관절 골절처럼 골다공증으로 인해 발생하는 일부 골절은 비수술적 치료 시 장기간의 부동성으로 인해 흉부 감염, 욕창, 심부 정맥 혈전증(DVT), 폐색전증 등 여러 합병증을 유발할 수 있어 수술이 일상적으로 제공된다.[43] 관절 표면이 손상된 골절의 경우에도 정확한 정복과 관절의 매끄러움을 회복하기 위해 수술이 권장된다.
감염은 뼈 감염의 재발성 특성 때문에 뼈에서 특히 위험하다. 뼈 조직은 살아있는 세포보다 세포외 기질이 우세하고, 혈관이 적어 면역 세포가 부상 부위로 이동하기 어렵다. 따라서 개방성 골절과 절골술에는 신중한 방부제 절차와 예방적 항생제 사용이 필수적이다.
골 이식이 골절 치료에 사용되기도 한다.[44] 경우에 따라 뼈를 금속으로 보강하기도 한다.[45] 이러한 이식은 신중하게 설계 및 설치해야 한다. 판이나 나사가 뼈의 하중을 너무 많이 지탱하면 ''응력 차폐''로 인해 위축이 발생할 수 있다. 티타늄 합금과 같은 낮은 영률 재료를 사용하면 이 문제를 줄일 수 있지만 완전히 제거할 수는 없다. 하드웨어 설치 시 발생하는 열은 골조직을 손상시킬 수 있으며, 이종 금속을 함께 사용하면 갈바닉 부식이 발생하여 뼈를 손상시키고 전신적 영향을 줄 수 있다.
골절 불유합의 치유 시간을 줄이기 위해 전자기파 또는 초음파를 이용한 골 자극술이 수술의 대안으로 제시될 수 있다.[46][47] 그러나 골 유합 개선을 위한 초음파 및 충격파 치료의 증거는 매우 미약하며, 임상적으로 유의미한 차이를 만들지 않을 가능성이 높다.[46][48]
골절의 정복은 가능한 한 빨리 실시해야 하며, 부종이 가라앉을 때까지 기다려서는 안 된다. 개방창의 감염 위험을 낮추고 안전하게 봉합할 수 있는 골든 타임은 수상 후 6~8시간 이내로 여겨진다. 이 시간은 신체 부위에 따라 다르며, 안면 외상의 경우 24시간으로 여겨진다. 골든 타임을 경과하면 세균 증식으로 인한 창상 감염 가능성이 높아지지만, 반드시 1차 폐쇄가 불가능한 것은 아니며 감염 위험의 기준으로 간주해야 한다.
단순 골절로 뼈의 전위가 없으면 그대로 고정하고, 전위가 있으면 수기 정복이나 견인 등의 비관혈적 정복술 또는 수술에 의한 관혈적 정복술을 통해 정상 정렬 상태로 되돌리고 고정한다. 복잡 골절에서는 감염 억제가 최우선 과제이므로, 상처 부위의 세척 소독과 오염 조직 절제(데브리드망)를 즉시 실시하고, 항생 물질 투여도 적극적으로 이루어진다.
; 내고정
: 수술을 통해 금속판, 와이어, 핀 등의 고정 도구를 사용하여 뼈를 접합하는 방법.
; 외고정
: 수술을 통해 골절부 주변 뼈에 핀을 꽂아 체외로 나온 부분을 금속봉이나 레진(수지) 등으로 지지하는 방법. 개방성 골절 등의 경우, 손상 부위에 대한 수술 조작으로 감염 위험이 높아질 수 있는 경우나 분쇄 골절 등에 유용하다.
; 경피적 강선 고정
: 키르시너 와이어 등을 사용하여 X선 투시 하에 피부 밖에서 뼈를 꽂아 고정한다.
5. 3. 재활 치료
물리 치료 운동 (자가 치료 또는 물리 치료사 주도)은 골절이 치유된 후 기능적 이동성 및 근력 향상, 고관절 골절 환자의 보행 훈련, 기타 신체 운동을 통해 신체 능력을 회복하는 데 도움이 되도록 제안된다.[49][50] 상지의 골절 치료 목표는 손의 기능 보존이며, 약간의 변형이나 단축은 괜찮다. 한편, 하지의 골절 치료 목표는 통증 없이 안정된 하중이 가능하도록 하는 것이며, 단축되지 않도록 변형을 최대한 피한다. 또한, 입원하여 골절 치료가 시작되면 즉시 다른 사지의 운동을 시작해야 한다.6. 예방
고강도 및 저강도 외상 모두 골절 부상을 유발할 수 있다.[30][31] 고강도 외상의 가장 흔한 원인인 자동차 사고를 줄이기 위한 예방 노력에는 운전 중 주의 분산 감소가 포함된다.[32] 흔한 주의 분산 요인으로는 음주 운전, 운전 중 문자 메시지 또는 통화가 있으며, 이 두 가지는 사고 발생률을 약 6배 증가시킨다.[32] 안전벨트를 착용하는 것 또한 충돌 시 부상 가능성을 줄일 수 있다.[32] 제한 속도를 30km/h 또는 20mph (보다 일반적인 시내 50km/h / 30mph와 비교)로 하는 것은 자동차와 사람 간의 충돌 시 사고, 심각한 부상 및 사망 위험을 크게 줄여준다. 비전 제로는 더 나은 교통 설계 및 기타 조치를 통해 교통 사망자를 0으로 줄이고 교통 부상을 획기적으로 줄여 많은 골절을 예방하는 것을 목표로 한다.
저강도 외상의 흔한 원인은 가정 내 낙상이다.[30][31] 예방 노력을 고려할 때, 국립 보건원(NIH)은 낙상 가능성, 낙상력 및 골다공증을 줄이는 방법을 연구한다.[33] 가정 내 낙상을 예방하기 위해, 누군가가 걸려 넘어질 수 있는 통행량이 많은 지역에서 코드를 치우고, 손잡이를 설치하고, 계단을 밝게 유지하고, 욕실의 욕조 근처에 보조 막대를 설치하여 지지할 것을 제안한다.[33] 낙상의 충격을 줄이기 위해 NIH는 엉덩이나 손으로 곧게 떨어지도록 시도할 것을 권장한다.[33]
일부 스포츠는 비교적 높은 골절 위험을 가지며 흔한 스포츠 부상이다. 예방 조치는 특정 스포츠에 어느 정도 따라 다르지만, 적절한 기술을 배우고, 보호 장비를 착용하고, 자신의 능력과 한계를 현실적으로 평가하는 것이 모두 골절 위험을 줄이는 데 도움이 될 수 있다. 접촉 스포츠에서는 미식 축구에서 불필요한 거친 반칙 금지 등 선수 건강을 보호하기 위한 규칙이 시행되고 있다.
칼슘과 비타민 D 보충제를 복용하면 뼈를 강화하는 데 도움이 될 수 있다.[33] 비타민 D 보충제를 추가 칼슘과 함께 사용하면 노인의 고관절 골절 및 기타 유형의 골절 위험을 약간 줄여준다. 그러나 비타민 D 보충만으로는 골절 위험을 줄이지 못했다.[34] 진동 치료를 받는 것 또한 뼈를 강화하고 골절 위험을 줄이는 데 도움이 될 수 있다.[35][36]
7. 특정 연령층에서 흔한 골절
어린이는 뼈가 계속 발달하고 있기 때문에 성장판 손상이나 나무젓가락 골절의 위험이 있다. 나무젓가락 골절은 뼈가 성인만큼 부서지기 쉽지 않아 완전히 골절되지 않고, 힘이 가해지는 반대쪽 표면의 뼈 겉질이 굽혀지는 현상이다. Salter-Harris 골절과 같은 성장판 손상은 뼈가 정상적으로 자라도록 신중한 치료와 정확한 정복이 필요하다. 뼈의 소성 변형 또한 어린이에게서 가능하며, 골절 절제술이 필요할 수 있다. 쇄골 골절 및 상완골 상과상 골절을 포함하여 특정 골절은 주로 어린이에게 발생한다.
7. 1. 소아, 청소년
어린이는 뼈가 계속 발달하고 있기 때문에 성장판 손상이나 나무젓가락 골절(요골 골절)의 위험이 있다.- 나무젓가락 골절은 인장 측면에서 기계적 파괴로 인해 발생한다. 즉, 뼈가 성인만큼 부서지기 쉽지 않기 때문에 완전히 골절되지 않고, 힘이 가해지는 반대쪽 표면의 뼈 겉질이 완전히 파괴되지 않고 굽힘 현상을 보인다.
- Salter-Harris 골절과 같은 성장판 손상은 뼈가 정상적으로 계속 자라도록 하기 위해 신중한 치료와 정확한 정복이 필요하다.
- 뼈가 영구적으로 구부러지지만 부러지지는 않는 뼈의 소성 변형 또한 어린이에게서 가능하다. 이러한 부상은 고정되어 폐쇄적인 방법으로 재정렬할 수 없는 경우 뼈를 재정렬하기 위해 골절 절제술(뼈 절단)이 필요할 수 있다.
- 쇄골 골절 및 상완골 상과상 골절을 포함하여 특정 골절은 주로 어린이에게 발생한다.
- 대나무 마디 골절: 뼈의 장축 방향으로 압력이 가해져 일부가 찌그러져 중간에 대나무 마디와 같은 환상 융기가 생긴 것이다.
- 골단선 손상: 성장기 뼈의 골단부에서 어긋남 등이 생긴 것이다. 전위를 보이는 경우에는 골단선 분리라고도 부른다.
- 넙다리뼈 몸통 골절
- 위팔뼈 위관절융기 골절
- 위팔뼈 가쪽관절융기 골절
골절의 정복을 위해, 견인 요법(traction treatment)이 시행될 수 있다. 직접 견인을 실시하는 경우에는 빈번한 관찰이 필요하다. 대퇴골 골절에서는 총비골신경 마비를 일으키기 쉽다. 하지 골절의 경우 발가락을 젖힐 수 있는지 검사할 필요가 있다.
7. 2. 노인
노인의 경우, 뼈의 약화(골다공증)나 근력 쇠퇴로 인한 보행 불안정으로 인해 넘어짐 등으로 인해 다음과 같은 골절을 일으키기 쉽다.- 대퇴골 경부 골절
- 척추 압박 골절
- 상완골 외과 경 골절
- 요골 원위단 골절
참조
[1]
서적
Official CPC Certification Study Guide
American Medical Association
[2]
웹사이트
Open Fractures - OrthoInfo - AAOS
https://orthoinfo.aa[...]
2024-11-15
[3]
서적
Sabiston Textbook of Surgery
Elsevier
2016-12-04
[4]
웹사이트
MedicineNet – Fracture
http://www.medicinen[...]
[5]
웹사이트
Overview of Fractures
https://www.msdmanua[...]
2022-09-00
[6]
웹사이트
Compartment Syndrome
https://www.lecturio[...]
2021-06-25
[7]
웹사이트
Bone fracture repair: Procedures, risks, and healing time
https://www.medicaln[...]
2022-04-21
[8]
학술지
The effects of smoking on fracture healing
[9]
학술지
Do Nonsteroidal Anti-Inflammatory Drugs Affect Bone Healing? A Critical Analysis
[10]
학술지
Smoking and fracture risk: A meta-analysis
[11]
웹사이트
Simple fracture pathology
https://www.britanni[...]
2021-05-19
[12]
학술지
Prevention of fracture-related infection: a multidisciplinary care package.
2017-12-00
[13]
웹사이트
Fractures of the extremities (general rules and nomenclature)
https://radiopaedia.[...]
2018-02-21
[14]
웹사이트
Essex Lopresti fracture
http://www.wheelesso[...]
[15]
GPnotebook
Bennett's fracture-subluxation
[16]
학술지
Childhood accidental spiral tibial (CAST) fractures
[17]
학술지
Radiologic History Exhibit
[18]
학술지
Posterior fracture-dislocation of the distal part of the fibula. Mechanism and staging of injury
[19]
웹사이트
Lisfranc's fracture
http://medical-dicti[...]
Elsevier
2009-00-00
[20]
학술지
Isolated Medial Cuneiform Fractures: A Systematic Search and Qualitative Analysis of Case Studies
https://japmaonline.[...]
2021-07-00
[21]
학술지
Fracture and dislocation compendium. Orthopaedic Trauma Association Committee for Coding and Classification
[22]
서적
Classification AO des fractures. Tome I. Les os longs
Springer-Verlag
[23]
학술지
Fracture and dislocation classification compendium - 2007: Orthopaedic Trauma Association classification, database and outcomes committee
[24]
GPnotebook
Denis classification of spinal fractures
[25]
서적
AO principles of fracture management, Volume 1
https://books.google[...]
Thieme
2020-11-09
[26]
웹사이트
Fractures of the Acetabulum
http://www.wheelesso[...]
[27]
학술지
Neer classification of fractures of the proximal humerus
[28]
EMedicine
Proximal Humerus Fractures
[29]
웹사이트
Hip Fractures
https://www.lecturio[...]
2021-07-24
[30]
뉴스
Open Fractures - OrthoInfo - AAOS
https://orthoinfo.aa[...]
2018-12-03
[31]
학술지
The epidemiology of open fractures in adults. A 15-year review
2012-06-00
[32]
학술지
Trauma Education and Prevention
2017-10-01
[33]
웹사이트
Preventing Falls and Related Fractures NIH Osteoporosis and Related Bone Diseases National Resource Center
https://www.bones.ni[...]
2018-12-03
[34]
학술지
Vitamin D and vitamin D analogues for preventing fractures in post-menopausal women and older men
2014-04-14
[35]
웹사이트
Update on vibration therapy for bone health
https://www.health.h[...]
2024-12-10
[36]
논문
The effect of a whole-body vibration therapy on the sitting balance of subacute stroke patients: a randomized controlled trial
https://www.tandfonl[...]
2017-08-18
[37]
서적
Phalanx Fractures of the Hand
http://www.ncbi.nlm.[...]
StatPearls Publishing
2022-01-03
[38]
웹사이트
Overview of Bone Fractures
https://www.lecturio[...]
2021-07-25
[39]
논문
A Randomized Clinical Trial of Ibuprofen Versus Paracetamol with Codeine for Acute Pediatric Arm Fracture Pain
[40]
논문
The Suzuki frame for complex intraarticular fractures of the thumb
2005-10
[41]
논문
Cast versus splint in children with minimally angulated fractures of the distal radius: A randomized controlled trial
[42]
웹사이트
Fractures
https://www.hopkinsm[...]
2021-07-25
[43]
웹사이트
Hip Fractures
https://www.lecturio[...]
2021-07-24
[44]
서적
Carranza's Clinical Periodontology
W.B. Saunders
[45]
웹사이트
Fractures
https://www.hopkinsm[...]
2021-07-25
[46]
논문
Healing of fracture nonunions treated with low-intensity pulsed ultrasound (LIPUS): A systematic review and meta-analysis
2017-05
[47]
논문
Bone stimulation for fracture healing: What′s all the fuss?
2009
[48]
논문
Ultrasound and shockwave therapy for acute fractures in adults
2023-03-03
[49]
논문
Overall Effects and Moderators of Rehabilitation in Patients With Wrist Fracture: A Systematic Review
2022-06-03
[50]
논문
Interventions for improving mobility after hip fracture surgery in adults
2022-09-07
본 사이트는 AI가 위키백과와 뉴스 기사,정부 간행물,학술 논문등을 바탕으로 정보를 가공하여 제공하는 백과사전형 서비스입니다.
모든 문서는 AI에 의해 자동 생성되며, CC BY-SA 4.0 라이선스에 따라 이용할 수 있습니다.
하지만, 위키백과나 뉴스 기사 자체에 오류, 부정확한 정보, 또는 가짜 뉴스가 포함될 수 있으며, AI는 이러한 내용을 완벽하게 걸러내지 못할 수 있습니다.
따라서 제공되는 정보에 일부 오류나 편향이 있을 수 있으므로, 중요한 정보는 반드시 다른 출처를 통해 교차 검증하시기 바랍니다.
문의하기 : help@durumis.com






