감염성 단핵구증
"오늘의AI위키"의 AI를 통해 더욱 풍부하고 폭넓은 지식 경험을 누리세요.
1. 개요
감염성 단핵구증은 엡스타인-바 바이러스(EBV)를 포함한 여러 원인에 의해 발생하는 질환으로, 발열, 인후통, 림프절 종창이 특징적인 증상이다. EBV가 가장 흔한 원인이며, 타액을 통해 전파된다. 소아는 무증상 또는 경미한 증상을 보이지만, 청소년 및 젊은 성인은 4~6주의 잠복기 후 피로감, 인후통, 림프절 비대 등의 증상을 겪을 수 있다. 진단은 신체 검사, 혈액 검사, 혈청학적 검사를 통해 이루어지며, 특이적인 치료법은 없고 대증 요법을 시행한다. 대부분 자연 치유되지만, 드물게 비장 파열, 신경계 합병증 등 심각한 합병증이 발생할 수 있다.
더 읽어볼만한 페이지
- 바이러스성 피부 질환 - 천연두
천연두는 두창바이러스과에 속하는 천연두 바이러스에 의해 발생하는 치명적인 전염병으로, 발열과 발진 증상을 보이며 예방접종을 통해 예방 가능했으나 현재는 백신 접종이 중단되었다. - 바이러스성 피부 질환 - 홍역
홍역은 홍역 바이러스에 의해 발생하는 전염성이 매우 강한 급성 바이러스성 질환으로, 발열, 기침, 콧물, 결막염, 코플릭 반점, 홍반 반점구진성 발진 등의 증상을 보이며, 폐렴, 중이염, 뇌염 등의 합병증을 유발할 수 있고, MMR 백신 접종으로 예방이 가능하지만, 전 세계적으로 여전히 주요 사망 원인이며 반백신 운동으로 발생률이 증가하는 추세이다. - 감염병 - 바이러스
바이러스는 DNA 또는 RNA를 유전 물질로 사용하고 단백질 껍질로 둘러싸인 비세포성 감염체이며, 숙주 세포 내에서만 증식하고 다양한 분야에서 활용된다. - 감염병 - 결핵
결핵은 결핵균에 의해 발생하는 감염성 질환으로, 주로 폐에 영향을 미치며 기침, 객혈 등의 증상을 보이지만 무증상일 수도 있고, 호흡기 비말 전파를 통해 감염되며, 항생제 치료를 하지만 약물 내성 문제로 인해 공중 보건 문제로 남아있다.
감염성 단핵구증 | |
---|---|
일반 정보 | |
![]() | |
다른 이름 | 선열 파이퍼병 필라토프병 키스병 |
전문 분야 | 감염병 |
증상 | |
주요 증상 | 발열 인후통 목의 확대된 림프절 피로 |
합병증 | 간 또는 비장의 붓기 |
발병 | 알 수 없음 |
지속 기간 | 2–4주 |
원인 | |
원인 | 엡스타인-바 바이러스(EBV), 일반적으로 타액을 통해 확산 |
위험 요인 | 알 수 없음 |
진단 및 치료 | |
진단 | 증상 및 혈액 검사 기반 |
감별 진단 | 알 수 없음 |
예방 | 알 수 없음 |
치료 | 충분한 수분 섭취 충분한 휴식 진통제 (예: 아세트아미노펜 (파라세타몰) 및 이부프로펜) |
약물 | 알 수 없음 |
예후 | 알 수 없음 |
빈도 및 사망 | |
빈도 | 연간 10만 명당 45명 (미국) |
사망 | 알 수 없음 |
2. 원인
감염성 단핵구증은 주로 엡스타인-바 바이러스(EBV)에 의해 발생한다. 거대세포바이러스(CMV), 사람면역결핍바이러스(HIV), 톡소플라스마, 사람헤르페스바이러스 6형, B형 간염바이러스 등 다른 미생물에 의해서도 발생할 수 있다.[93] 바이러스가 림프구를 감염시켜 여러 증상이 나타나는데, 감염된 사람 중 절반 이상은 특별한 증상이 없어 감염 여부를 모르고 지나가는 경우가 많다. 주된 전파 경로는 타액이며, 감염된 타액의 비말과 점액이 공중에 떠다니다가 다른 사람에게 호흡되어 전파되거나, 같은 그릇의 음식을 나누어 먹거나 마시면서 감염될 수 있다.[94]
2. 1. 엡스타인-바 바이러스 (EBV)
감염성 단핵구증 사례의 약 90%는 헤르페스바이러스과에 속하는 DNA 바이러스인 엡스타인-바 바이러스에 의해 발생한다. 이는 전 세계에서 가장 흔하게 발견되는 바이러스 중 하나이다. 일반적인 생각과는 달리, 엡스타인-바 바이러스는 전염성이 매우 높지 않다. 키스나 칫솔 공유와 같이 감염된 사람의 타액과의 직접적인 접촉을 통해서만 감염될 수 있다.[32]대부분 EB 바이러스의 첫 감염으로 인해 발생한다. 그러나 소아기에 감염되면 증상이 없는 경우가 많고(불현성 감염), 성인기에는 80% 이상이 항체를 가지고 있기 때문에[83], 발병하는 경우는 성인기에 처음 감염되는 경우가 많다.
2. 2. 거대세포바이러스 (CMV)
인간 거대세포바이러스(CMV)는 감염성 단핵구증 사례의 약 5~7%를 차지하는 또 다른 종류의 헤르페스바이러스이다.[34] 이 바이러스는 타액, 소변, 혈액, 눈물,[35] 모유 및 생식기 분비물을 포함한 체액에서 발견된다.[37] 사람은 감염된 체액과의 직접적인 접촉을 통해 이 바이러스에 감염된다. 거대세포바이러스는 키스와 성관계를 통해 가장 일반적으로 전파된다. 또한 감염된 어머니로부터 태어나지 않은 아이에게 전염될 수 있다. 이 바이러스는 감염된 사람이 징후와 증상을 느낄 수 없기 때문에 종종 "무증상"이다.[35] 그러나 영아, HIV 감염자, 장기 이식 수혜자 및 약한 면역 체계를 가진 사람에게는 생명을 위협하는 질병을 유발할 수 있다. 약한 면역 체계를 가진 사람에게 거대세포바이러스는 폐렴과 망막, 식도, 간, 대장 및 뇌의 염증과 같은 더 심각한 질병을 유발할 수 있다. 인간 인구의 약 90%는 성인이 될 때까지 거대세포바이러스에 감염되지만 대부분은 감염 사실을 알지 못한다.[36] 일단 사람이 거대세포바이러스에 감염되면 바이러스는 평생 동안 신체에 남아 있게 된다. 이 잠복기 동안 바이러스는 단핵구에서만 검출될 수 있다.[37]2. 3. 기타 원인
톡소플라스마는 기생 원생동물로, 감염성 단핵구증 사례의 1% 미만을 차지한다.[38] 바이러스 간염, 아데노바이러스, 풍진, 단순포진 바이러스 또한 감염성 단핵구증의 드문 원인으로 보고되었다.[38]3. 증상
감염성 단핵구증의 의학적 징후와 증상은 연령에 따라 다르게 나타난다.[94]
- '''청소년기와 젊은 성인'''의 경우, 이 질병은 발열, 인후통, 림프절 부종의 세 가지 특징적인 증상으로 나타난다.[17] 발열은 보통 14일 동안 지속되며, 종종 경미하다.[18][30] 인후통은 보통 3~5일 동안 심하며, 이후 7~10일 이내에 호전된다.[19] 림프절 부종은 움직일 수 있으며, 보통 목 뒤(후경부 림프절)에 위치하며 때로는 신체 전체에 나타난다.[11][20][30]
- '''소아'''의 경우 엡스타인-바 바이러스에 감염되어도 대부분 증상이 없거나 가볍다.[94]
- '''고령층'''의 경우 인후통과 림프절병증과 같은 특징적인 징후와 증상을 덜 나타내며, 대신 주로 장기간의 발열, 피로, 권태감, 신체 통증을 경험할 수 있다.[30][23]


이 질병의 가장 두드러진 징후는 종종 인두염이며, 이는 비대해진 편도와 고름이 동반되는 경우가 많으며, 이는 연쇄상구균성 인두염의 경우와 유사한 삼출물이다.[30]
3. 1. 소아
신생아나 소아는 엡스타인-바 바이러스에 감염되어도 대부분 증상이 없거나 가볍다.[94] 후진국이나 개발도상국 혹은 위생 상태가 좋지 않은 환경에서는 대부분 신생아나 소아기에 엡스타인-바 바이러스에 감염되기 때문에 청소년기나 성인이 되어 감염되는 경우는 거의 없다.[94] 사춘기 이전에는 이 질병은 일반적으로 독감과 유사한 증상만 나타나거나, 전혀 나타나지 않을 수 있다.[15] 증상이 나타나는 경우, 일반적인 인후염과 유사한 경향이 있다(경미한 인두염, 편도염 동반 여부).[30]1~2세 정도의 어린아이의 첫 감염에서는 발열과 구개 편도의 농전 (백태)을 동반한 종창·발적이 보이는 정도로, 특이적인 증상이 두드러지지 않는 경우가 많다. 이 때문에 이 연령대의 아이의 첫 감염에서는 전염성 단핵구증으로 진단되지 않고 "편도염"으로 진단되는 경우가 많은 것으로 보인다. 2~3일 만에 자연적으로 호전되기 때문에, 그 이상의 추적도 거의 이루어지지 않는 것으로 보인다.
3. 2. 청소년 및 젊은 성인
청소년이나 젊은 성인이 엡스타인-바 바이러스에 감염되면 4~6주간 증상이 없는 잠복기를 거친다. 이후 피로감, 권태감, 근육통이 1~2주 동안 나타난 후 발열, 인후통, 림프절 비대가 발생한다.[94] 림프절 부종은 주로 목 뒤쪽(후경부 림프절)에서 나타나지만, 때로는 신체 전체에서 나타나기도 한다.[11][30][20]주요 증상으로는 피로감이 있다.[2] 두통, 복통, 구역질, 구토도 나타날 수 있다.[17] 대부분의 증상은 2~4주 후에 사라지지만,[2][24] 피로감과 전반적인 불쾌감(권태감)은 몇 달 동안 지속되기도 한다.[30] 피로감은 환자의 약 28%에서 한 달 이상 지속되며,[21] 미열, 목 림프절 부종, 신체 통증 또한 4주 이상 지속될 수 있다.[30][22][23] 대부분의 사람들은 2~3개월 안에 일상생활로 복귀한다.[22]
가장 두드러진 증상은 인두염이며, 비대해진 편도와 고름이 동반되는 경우가 많고, 이는 연쇄상구균성 인두염과 유사한 삼출물이다.[30] 약 50%의 경우, 입천장에 점상 출혈이라고 하는 작고 붉은 자줏빛 반점이 나타날 수 있다.[23]
일부 환자들은 팔이나 몸통에 반점 또는 구진 형태의 발진이 나타난다.[30] 아목시실린이나 암피실린을 투여받은 거의 모든 환자에게서 전신적인 가려움증을 동반한 반점 구진성 발진이 나타나지만, 이것이 페니실린에 대한 과민반응을 의미하지는 않는다.[30][24]
3. 3. 고령층
고령자가 감염성 단핵구증에 걸리는 경우, 인후통과 림프절병증과 같은 특징적인 징후와 증상을 덜 나타낸다.[30][23] 대신, 주로 장기간의 발열, 피로, 권태감, 신체 통증을 경험할 수 있다.[30] 간 비대와 황달이 발생할 가능성이 더 높다.[23] 40세 이상은 심각한 질병으로 발전할 가능성이 더 높다.[31]3. 4. 합병증
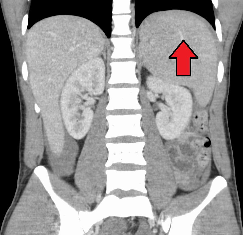
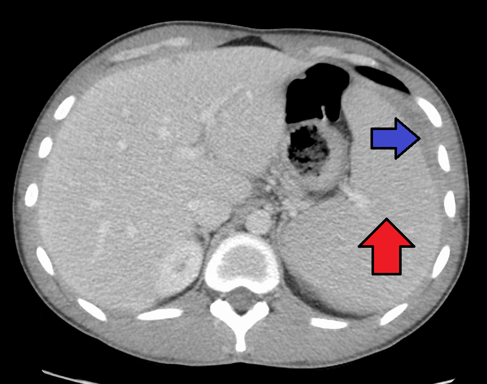
대부분의 감염성 단핵구증은 자연적으로 회복되지만, 드물게 합병증이 나타날 수 있다. 비장 파열, 용혈성 빈혈, 수막염, 뇌염, 횡단척수염, 길랭-바레 증후군 등이 발생할 수 있다.[26][63][64][43][65]비장 비대는 발병 2~3주차에 흔하게 나타나지만, 신체 검사로는 뚜렷하게 나타나지 않을 수 있다. 드물게 비장 파열이 발생할 수 있다.[26] 또한 약간의 간 비대증이 나타날 수 있으며,[23] 황달은 간혹 발생한다.[30][27]
심각한 합병증은 드물며, 5% 미만의 사례에서 발생한다:[63][64]
- 중추신경계 합병증: 수막염, 뇌염, 반신불완전마비, 길랭-바레 증후군, 횡단척수염 등이 있다. 과거 감염성 단핵구증은 다발성 경화증 발병과 연관이 있다.[65]
- 혈액학적 합병증: 자가면역 용혈성 빈혈 (직접 쿰스 검사 양성), 다양한 혈구 감소증, 출혈(혈소판 감소증으로 인해 발생)이 발생할 수 있다.[43]
- 경미한 황달
- 엡스타인-바 바이러스에 의한 간염은 드물다.
- 편도 비대로 인한 상기도 폐쇄는 드물다.
- 면역결핍 환자의 전격성 질병 과정은 드물다.
- 비장 파열은 드물다.
- 심근염과 심낭염은 드물다.
- 체위성 기립성 빈맥 증후군
- 근육통성 뇌척수염/만성 피로 증후군
- 엡스타인-바 바이러스와 관련된 암에는 버킷 림프종, 호지킨 림프종 및 일반적으로 림프종뿐만 아니라 비인두암 및 위암이 포함된다.[66]
- 혈구탐식 림프조직구증[67]
드물게 질병이 지속되어 만성 감염을 초래할 수 있다. 이는 전신 EBV 양성 T 세포 림프종으로 발전할 수 있다.[28] EBV에 의한 감염성 단핵구증은 일반적으로 약 4~6주 이내에 증상이 자연적으로 사라지지만, 드물게 수개월 이상 증상이 지속되고, 전신 상태가 매우 심각해지는 극히 예후 불량의 사례가 있는 것으로 알려졌다. 이러한 사례에서는 EB 바이러스가 지속적으로 활동하고 있는 것이 증명되어 만성 활성 EB 바이러스 감염증(CAEBV)이라는 병태로 구분된다.
4. 진단
감염성 단핵구증은 신체 검사, 혈액 검사, 혈청학적 검사 등을 통해 진단한다.
- 혈액 검사: 백혈구 총수는 정상이거나 약간 증가하며, 호중구 수는 정상 또는 약간 감소한다. 림프구가 현저히 증가하고, 이형 림프구가 5% 이상 나타나는 것이 특징이다. 평균 림프구/백혈구비(L/WBCC)가 0.35 이상이면 특이도 100%, 민감도 90%로 감염성 단핵구증을 감별할 수 있다.[84] 혈액 도말 검사에서 50%의 림프구와 10% 이상의 반응성 림프구 (크고 불규칙한 세포핵)가 존재하면 감염성 단핵구증으로 진단할 수 있다.[46] 이형 림프구는 엡스타인-바 바이러스(EBV)가 B 림프구에 감염되어 세포성 면역 반응으로 활성화된 어린 T 세포가 증가하여 나타난다. 간비종을 동반하는 경우가 많아 트랜스아미나제 (AST, ALT) 수치가 상승하며, 이는 감염성 단핵구증을 시사하는 소견으로 최대 50%의 환자에게서 나타난다.[23]
- 혈청학적 검사:
- 이종 항체 검사: 기니피그, 양, 말의 적혈구 응집 반응을 통해 이루어지지만, CDC에서는 정확성이 떨어져 일반적인 사용을 권장하지 않는다.[6]
- 엡스타인-바 바이러스 (EBV) 항체 검사: 면역글로불린 G (IgG) 양성은 과거 감염, 면역글로불린 M (IgM) 양성은 현재 감염을 나타낸다.
- 바이러스 캡시드 항원 (VCA):
- 항-VCA IgM: 감염 초기(4~6주 이내 소실)
- 항-VCA IgG: 급성기(2~4주에 최대치 후 평생 지속)
- 초기 항원 (EA): 항-EA IgG는 급성기(3~6개월 후 소실)
- EBV 핵 항원 (EBNA): 증상 발현 2~4개월 후(평생 지속)
- 폴 버넬 반응: 전염성 단핵구증 환자에게 나타나는 이종 항체인 폴-버넬 항체를 이용한 검사법이다. 최근에는 항체가의 측정이 발달하여 임상적 의의는 감소하고 있다.[85]
- 항 EBV 항체가 측정: 항 EBV EA-IgG 항체, 항 EBV VCA-IgM, 항 EBV VCA-IgG 항체, 항 EBNA-IgG 항체의 항체가를 측정한다.
- 초감염 패턴: 항 EBNA 항체 음성, 항 VCA-IgG 또는/및 IgM 항체 양성.
- 기감염 패턴: 항 EBNA 항체 양성, 다른 항체는 (통상) 음성.
- 기타 검사: 거대세포바이러스에 대해서는 항 CMV-IgG 및 IgM을 조사하거나, 혈액 중의 거대세포 바이러스 DNA를 PCR로 검사한다.



4. 1. 신체 검사
비장 비대와 경부, 겨드랑이, 서혜 림프절의 림프절 종창은 감염성 단핵구증 진단을 의심하는 데 가장 유용하다. 반면에 경부 림프절 종창이 없고 피로가 나타나지 않는다면 감염성 단핵구증이 아니라고 생각할 수 있다. 비장 비대를 감지하는 신체 검사의 무감도는 감염성 단핵구증에 대한 증거로 사용해서는 안 된다는 것을 의미한다.[23] 신체 검사에서 구개의 점상 출혈이 나타날 수도 있다.[23]4. 2. 혈액 검사
백혈구 총수는 정상이거나 약간 증가하며, 호중구 수는 정상 또는 약간 감소(백분율은 감소)한다. 림프구의 현저한 증가, 이형 림프구의 출현(5% 이상인 경우가 많다)이 특징적이다. 전염성 단핵구증의 감별에 평균 림프구/백혈구비(L/WBCC)를 사용하면 cut off 0.35로 하여, 특이도 100%, 민감도 90%라는 보고가 있다.[84]혈액 도말 검사에서 감염성 단핵구증 진단 기준 중 하나는 50%의 림프구와 10% 이상의 반응성 림프구 (크고 불규칙한 세포핵)의 존재이다.[46] 이형 림프구는 EB 바이러스가 B 림프구에 감염되어 감염 세포에 대한 세포성 면역 반응으로 활성화된 어린 T 세포가 증가하기 때문에 출현한다.
많은 경우 간비종을 동반하므로, 트랜스아미나제 (AST, ALT)가 상승한다. 따라서 간염을 의심받는 경우도 많다. 상승된 간 트랜스아미네이스 수치는 감염성 단핵구증을 강하게 시사하며, 최대 50%의 환자에게서 나타난다.[23]
4. 3. 혈청학적 검사
이종 항체 검사는 기니피그, 양, 말의 적혈구 응집 반응을 통해 이루어진다. 이 검사는 특이성이 있지만, 민감도가 특히 높지 않아 첫 주에는 위음성률이 25%까지, 둘째 주에는 5~10%, 셋째 주에는 5% 정도이다.[23] 진단받은 사람의 약 90%는 3주차에 이종 항체를 가지며, 1년 이내에 사라진다. 검사에 관여하는 항체는 엡스타인-바 바이러스(EBV) 또는 그 어떤 항원과도 상호 작용하지 않는다.[46] 정확성이 떨어지기 때문에 CDC에서는 일반적인 사용을 권장하지 않는다.[6]혈청 검사는 엡스타인-바 바이러스에 대한 항체를 검출한다. 면역글로불린 G (IgG)가 양성이면 주로 과거 감염을 나타내며, 면역글로불린 M (IgM)은 주로 현재 감염을 나타낸다. EBV 표적 항체는 바이러스의 어떤 부분에 결합하는지에 따라 분류될 수 있다.
- 바이러스 캡시드 항원 (VCA):
- 항-VCA IgM은 감염 후 초기에 나타나며, 보통 4~6주 이내에 사라진다.
- 항-VCA IgG는 EBV 감염의 급성기에 나타나 증상 발현 후 2~4주에 최대치를 보인 후 약간 감소하며 평생 지속된다.
- 초기 항원 (EA):
- 항-EA IgG는 질병의 급성기에 나타나 3~6개월 후에 사라진다. 이는 활성 감염과 관련이 있다. 그러나 20%의 사람들은 다른 감염 징후가 없는데도 수년 동안 EA에 대한 항체를 가질 수 있다.
- EBV 핵 항원 (EBNA):
- EBNA에 대한 항체는 증상 발현 후 2~4개월에 서서히 나타나 평생 지속된다.
이러한 검사 결과가 음성일 경우, 이 검사는 이종 친화성 항체 검사보다 감염성 단핵구증을 배제하는 데 더 정확하다. 양성일 경우, 이종 친화성 항체 검사와 유사한 특이성을 보인다.
폴 버넬 반응은 전염성 단핵구증 환자에게 나타나는 이종 항체인 폴-버넬 항체를 이용한 검사법이다. 최근에는 항체가의 측정이 발달하여 임상적 의의는 감소하고 있다.[85]
항 EBV EA-IgG 항체, 항 EBV VCA-IgM, 항 EBV VCA-IgG 항체, 항 EBNA-IgG 항체의 항체가를 측정한다. 항 EBNA 항체는 초감염 후 수개월이 지나야 나타나는 데 반해, 항 EA, VCA 항체는 급성기에도 나타나는 것을 이용한다.
- 초감염 패턴: 항 EBNA 항체 음성, 항 VCA-IgG 또는/및 IgM 항체 양성. 항 EA 항체는 위음성이 많지만, EA 양성이라면 급성 감염의 가능성이 높다.
- 기감염 패턴: 항 EBNA 항체 양성, 다른 항체는 (통상) 음성. 이러한 경우, 증상의 원인으로 EBV 감염은 생각하기 어렵다. (항 VCA-IgG 항체는 기감염 패턴에서도 검출되지만, 통상 저치 (형광 항체법으로 160배 이하)이다)
거대세포바이러스에 대해서는 항 CMV-IgG 및 IgM을 조사 (IgM 양성례는 급성 감염의 가능성이 높다)하는 것 외에, 혈액 중의 거대세포 바이러스 DNA를 핵산 증폭법 (PCR)으로 조사하기도 한다.
5. 치료
엡스타인-바 바이러스에 의한 감염성 단핵구증에 대한 특이적인 치료법은 없으며, 대증 요법이 중심이 된다.[95] 대부분의 경우 양성으로 완전히 회복되지만 때로는 비장 파열, 용혈성 빈혈, 수막염 등의 합병증이 나타날 수 있다.[95] 감염성 단핵구증은 일반적으로 자연 치유되므로 증상 완화 또는 보조 치료만 사용된다.[51] 급성 감염 단계 이후 휴식의 필요성과 일상 활동으로의 복귀는 환자의 전반적인 에너지 수준에 따라 적절하게 결정될 수 있다.[23]
비장 파열의 위험을 줄이기 위해 전문가들은 질병 발병 후 최소 3~4주 동안 또는 치료 의사가 결정한 비장 비대 소실 시점까지 접촉 스포츠 및 기타 격렬한 신체 활동, 특히 복부 압력 증가 또는 발살바 수기 (예: 조정 또는 역도)를 피하도록 권고한다.[23][52] 간비종이 심한 경우에는 복부에 충격을 받아 비장 파열이 일어난 사례도 있으므로 안정이 필요하다. 소아 등, 인두통이나 전신 권태감으로 인해 경구 섭취가 불량해진 경우에는 입원하여 수액을 투여할 필요가 있다.
5. 1. 약물 치료
특이적인 치료법은 없으나, 여러 합병증이 있는 경우에는 코르티코스테로이드 등을 투여할 수 있다.[95] 파라세타몰(아세트아미노펜)과 NSAIDs (예: 이부프로펜)는 발열과 통증을 줄이는 데 사용될 수 있다. 프레드니손은 코르티코스테로이드의 일종으로, 목 통증이나 비대해진 편도를 줄이기 위해 사용되지만, 효과에 대한 증거가 부족하고 부작용의 가능성이 있어 논란의 여지가 있다.[53][54] 정맥 내 코르티코스테로이드 (보통 하이드로코르티손 또는 덱사메타손)는 일상적인 사용은 권장되지 않지만, 기도 폐쇄 위험, 매우 낮은 혈소판 수치 또는 용혈성 빈혈이 있는 경우 유용할 수 있다.[55][56]아시클로비르 및 발라시클로비르와 같은 항바이러스제는 초기 바이러스 배출을 줄일 수 있지만, 이를 뒷받침하는 증거는 거의 없다.[57][58] 항바이러스제는 비싸고, 내성을 유발할 위험이 있으며, 1~10%의 경우 불쾌한 부작용을 유발할 수 있다.[34] 따라서 단순 감염성 단핵구증 환자에게는 권장되지 않지만, 엡스타인-바 바이러스(EBV) 수막염, 말초 신경염, 간염 또는 혈액학적 합병증과 같은 심각한 EBV 증상 관리에 (스테로이드와 함께) 유용할 수 있다.[59]
항생제는 항바이러스 작용을 하지 않지만, 연쇄상구균 (인두염)과 같은 목의 세균 2차 감염을 치료하기 위해 사용할 수 있다.[60] 그러나 암피실린과 아목시실린은 급성 엡스타인-바 바이러스 감염 중에 발진을 유발할 수 있으므로 사용이 권장되지 않는다.[61] 발진을 유발할 가능성이 있으므로 이 질환이 의심될 때는 페니실린계 항생 물질뿐만 아니라 세펨계 항생 물질 투여도 삼가야 한다. 다만, 비교적 높은 비율로 세균에 의한 혼합 감염을 일으킨다는 보고도 있어 혈액 검사 소견으로 혼합 감염이 의심되는 경우에는 항균제 투여를 고려해야 한다.[86]
특히 중증인 사례(발열이 장기적으로 지속, 전신 상태가 현저히 불량, 혈구 감소가 나타나 혈구탐식성 림프조직구증의 합병이 우려되는 등)에서는 부신피질 스테로이드 투여나 감마글로불린 대량 투여가 이루어지기도 한다.
거대세포바이러스에는 간시클로버 (GCV)가 유효할 가능성이 있지만, 골수 억제, 신장애 등 심각한 부작용이 있으므로 감염성 단핵구증에는 일반적으로 사용되지 않는다.
5. 2. 중증 사례
발열이 장기적으로 지속되거나 전신 상태가 매우 불량한 경우, 혈구 감소가 나타나 혈구탐식성 림프조직구증이 우려되는 경우에는 부신피질 스테로이드 투여나 감마글로불린 대량 투여를 고려할 수 있다.[95]6. 예후
대부분의 감염성 단핵구증은 저절로 호전되는 경향이 있다.[28] 엡스타인-바 바이러스(EBV)에 의해 발생하는 경우, 감염성 단핵구증은 엡스타인-바 바이러스 관련 림프증식성 질환 중 하나로 분류된다. 드물게 만성 감염으로 이어져 전신 EBV 양성 T 세포 림프종으로 발전할 수 있다.[28]
심각한 합병증은 5% 미만의 사례에서 드물게 발생한다.[63][64] 합병증은 다음과 같다.
- 중추신경계 합병증: 수막염, 뇌염, 반신불완전마비, 길랭-바레 증후군, 횡단척수염 등. 과거 감염성 단핵구증은 다발성 경화증 발병과 연관이 있다.[65]
- 혈액학적 합병증: 자가면역 용혈성 빈혈 (직접 쿰스 검사 양성) 및 다양한 혈구 감소증, 출혈(혈소판 감소증으로 인해 발생)이 발생할 수 있다.[43]
- 경미한 황달
- 엡스타인-바 바이러스에 의한 간염은 드물다.
- 편도 비대로 인한 상기도 폐쇄는 드물다.
- 면역결핍 환자의 전격성 질병 과정은 드물다.
- 비장 파열은 드물다.
- 심근염과 심낭염은 드물다.
- 체위성 기립성 빈맥 증후군
- 근육통성 뇌척수염/만성 피로 증후군
- 엡스타인-바 바이러스와 관련된 암: 버킷 림프종, 호지킨 림프종, 림프종, 비인두암, 위암 등.[66]
- 혈구탐식 림프조직구증[67]
초기 감염의 급성 증상이 사라지면, 다시 나타나지 않는 경우가 많다. 그러나 일단 감염되면, 바이러스는 평생 동안 체내에 남는다. 바이러스는 주로 B 림프구에서 잠복 상태로 존재한다. 감염성 단핵구증은 이미 바이러스를 잠복 상태로 보유하고 있는지 여부와 관계없이 여러 번 감염될 수 있다. 주기적으로 바이러스가 재활성화될 수 있으며, 이 기간 동안 전염성을 갖게 되지만, 일반적으로 증상은 나타나지 않는다.[2] 일반적으로, 감염성 단핵구증 환자는 잠복 B 림프구 감염으로 인해 추가적인 증상이나 문제가 거의 없다. 그러나 환경적 스트레스 요인으로 인해 취약한 숙주에서는 바이러스가 재활성화되어 모호한 증상을 유발하거나 무증상일 수 있으며, 이 단계에서 바이러스는 다른 사람에게 전파될 수 있다.[2][68][69]
EB 바이러스에 의한 감염성 단핵구증은 대개 4~6주 이내에 증상이 자연적으로 사라지지만, 드물게 수개월 이상 증상이 지속되고, 전신 상태가 매우 심각해지는 경우가 있다. 이러한 사례는 만성 활성 EB 바이러스 감염증(CAEBV)으로 구분된다.
7. 역사
감염성 단핵구증의 특징적인 증상은 19세기 후반까지 보고되지 않은 것으로 보인다.[70] 1885년, 러시아 소아과 의사인 닐 필라토프는 감염성 단핵구증에 해당하는 증상을 보이는 "특발성 림프절염"이라고 불리는 감염 과정을 보고했다.[75] 1889년 독일의 온천 의사이자 소아과 의사인 에밀 파이퍼는 비슷한 사례(일부는 경미함)를 독립적으로 보고했는데, 이 사례들이 가족 내에서 발생 경향을 보여 그는 'Drüsenfieber'(선열)라는 용어를 만들었다.[71][72] 유럽에서는 "파이퍼병"으로 알려져 있다.[75]
1920년 토마스 펙 스프런트와 프랭크 알렉산더 에반스는 존스 홉킨스 병원 게시판에 게재된 "급성 감염에 대한 반응으로서의 단핵구 백혈구 증가증(감염성 단핵구증)"이라는 제목의 질병에 대한 고전적인 임상 설명에서 "감염성 단핵구증"이라는 용어를 처음 사용했다.[75][76]
1964년 브리스톨 대학교의 앤서니 엡스타인과 이본 바는 버킷 림프종 세포에서 엡스타인-바 바이러스를 처음 확인했다.[78] 1967년 필라델피아 아동 병원의 베르너와 거트루드 헨레는 감염성 단핵구증과의 연관성을 밝혔다.[79][80]
참조
[1]
WhoNamedIt
Filatov's disease
[2]
웹사이트
About Epstein-Barr Virus (EBV)
https://www.cdc.gov/[...]
2014-01-07
[3]
서적
Blood: Principles and Practice of Hematology
https://books.google[...]
Lippincott Williams & Wilkins
2003
[4]
웹사이트
About Infectious Mononucleosis
https://www.cdc.gov/[...]
2014-01-07
[5]
웹사이트
Mononucleosis - Symptoms and causes
https://www.mayoclin[...]
2020-02-05
[6]
웹사이트
Epstein-Barr Virus and Infectious Mononucleosis Laboratory Testing
https://www.cdc.gov/[...]
2014-01-07
[7]
간행물
A Study of an Epstein-Barr Virus (EBV) Candidate Vaccine, mRNA-1189, in 12- to 30-Year-Old Healthy Adolescents and Adults
https://clinicaltria[...]
2023-11-19
[8]
웹사이트
New Epstein-Barr virus vaccine trial hailed a success so far
https://ms-uk.org/ne[...]
2023-08-15
[9]
간행물
JAMA PATIENT PAGE. Infectious Mononucleosis.
2016-04-12
[10]
서적
Rosen's Emergency Medicine - Concepts and Clinical Practice
https://books.google[...]
Elsevier Health Sciences
2013
[11]
간행물
Does This Patient Have Infectious Mononucleosis?: The Rational Clinical Examination Systematic Review.
2016-04-12
[12]
서적
Mucocutaneous Manifestations of Viral Diseases: An Illustrated Guide to Diagnosis and Management
https://books.google[...]
CRC Press
2016
[13]
서적
Everything You Need to Know about Mononucleosis
https://archive.org/[...]
The Rosen Publishing Group
1998
[14]
웹사이트
Infectious Mononucleosis (Mono)
http://www.medicinen[...]
medicinenet.com
2011-09-07
[15]
간행물
Epstein-Barr virus infectious mononucleosis in children. I. Clinical and general laboratory findings
https://pubmed.ncbi.[...]
1985-06
[16]
간행물
Epstein-Barr Virus Infection in the Development of Neurological Disorders
2020
[17]
서적
Epstein-Barr Virus
Horizon Scientific Press
[18]
서적
Infectious Diseases
https://books.google[...]
Elsevier Health Sciences
2016
[19]
서적
Principles and Practice of Infectious Diseases
https://books.google[...]
Elsevier Health Sciences
2014
[20]
간행물
Benign lymphadenopathies
[21]
서적
Epstein-Barr Virus
https://books.google[...]
Horizon Scientific Press
2005
[22]
간행물
Infectious mononucleosis
http://cdm15290.cont[...]
2010-05-27
[23]
간행물
Epstein-Barr virus infectious mononucleosis
2004-11
[24]
서적
Mandell, Douglas, and Bennett's principles and practice of infectious disease
Churchill Livingstone
[25]
서적
The Causes of Epilepsy: Common and Uncommon Causes in Adults and Children
https://books.google[...]
Cambridge University Press
2011
[26]
웹사이트
Infectious Mononucleosis
https://www.hopkinsm[...]
Johns Hopkins Medicine
2019-11-19
[27]
간행물
Liver involvement in infectious mononucleosis
1948-01-01
[28]
간행물
Epstein-Barr virus (EBV)-associated lymphoid proliferations, a 2018 update
2018-09
[29]
간행물
Evidence base of incubation periods, periods of infectiousness and exclusion policies for the control of communicable diseases in schools and preschools
2001-04
[30]
서적
Harrison's principles of internal medicine
McGraw-Hill Medical Publishing Division
[31]
간행물
Progress and problems in understanding and managing primary Epstein-Barr virus infections
2011-01
[32]
웹사이트
Mononucleosis and Epstein-Barr: What's the connection?
http://www.mayoclini[...]
2011-11-22
[33]
문서
The Gale Encyclopedia of Medicine
Gale
[34]
간행물
Antiviral agents for infectious mononucleosis (glandular fever)
[35]
문서
Sexually Transmitted Diseases Sourcebook
Omnigraphics, Inc.
[36]
서적
The Gale Encyclopedia of Medicine
Gale
2006
[37]
논문
Cytomegalovirus Latency and Reactivation: An Intricate Interplay With the Host Immune Response
2020-03-31
[38]
논문
Infectious mononucleosis and related syndromes.
1978-11
[39]
논문
Infectious mononucleosis
http://cdm15290.cont[...]
1996-03
[40]
웹사이트
How Long Is Mono Contagious?
http://kidshealth.or[...]
Kidshealth.org
2016-11-19
[41]
문서
eMedicine ped 705
[42]
웹사이트
The Lymphatic System
http://www.gorhams.d[...]
Lymphangiomatosis & Gorham's disease Alliance
2010-02-08
[43]
서적
Mayo Clinic Internal Medicine Concise Textbook
Informa Healthcare
[44]
논문
Anti-i, a frequent cold agglutinin in infectious mononucleosis
[45]
간행물
Monospot Test
http://www.ncbi.nlm.[...]
StatPearls Publishing
2023
[46]
서적
Oxford Handbook of Clinical Medicine, 7th edition
Oxford University Press
[47]
논문
Fibrin ring granulomas in hepatitis A
1992-12
[48]
논문
Epstein-Barr Virus Infection Associated With Bone Marrow Fibrin-Ring Granuloma
2010-02-01
[49]
논문
Epstein-Barr virus, cytomegalovirus, and infectious mononucleosis
2010-08
[50]
웹사이트
Mononucleosis
https://www.lecturio[...]
2020-08-04
[51]
서적
The Merck manual of diagnosis and therapy
https://archive.org/[...]
Merck Research Laboratories
[52]
논문
Mononucleosis and athletic participation: an evidence-based subject review
http://fammed.washin[...]
2008-07
[53]
웹사이트
Mononucleosis (Glandular Fever)
http://www.ncemi.org[...]
National Center for Emergency Medicine Informatics
[54]
논문
Steroids for symptom control in infectious mononucleosis
2015-11-08
[55]
웹사이트
Infectious Mononucleosis
http://www.webmd.com[...]
2006-01-24
[56]
간행물
Therapeutic guidelines: Antibiotic
Therapeutic Guidelines
2006
[57]
논문
Acyclovir for treatment of infectious mononucleosis: a meta-analysis
[58]
논문
Antiviral agents for infectious mononucleosis (glandular fever).
2016-12-08
[59]
논문
Antiviral treatment for severe EBV infections in apparently immunocompetent patients
[60]
웹사이트
Glandular fever - NHS
http://www.nhs.uk/Co[...]
National Health Service (NHS)
2010-09-09
[61]
서적
Mucocutaneous Manifestations of Viral Diseases: An Illustrated Guide to Diagnosis and Management
https://books.google[...]
CRC Press
2016
[62]
간행물
Five Things Physicians and Patients Should Question
http://www.choosingw[...]
American Medical Society for Sports Medicine
2014-04-24
[63]
논문
Acute complications of Epstein-Barr virus infectious mononucleosis
2000-06
[64]
논문
Symptomatic atrial fibrillation with infectious mononucleosis
2008-05
[65]
논문
An updated meta-analysis of risk of multiple sclerosis following infectious mononucleosis
2010-09
[66]
논문
The role of Epstein-Barr virus in cancer.
2006-11
[67]
논문
Epstein–Barr Virus and Hemophagocytic Lymphohistiocytosis
2017
[68]
논문
Compartmentalization and Transmission of Multiple Epstein-Barr Virus Strains in Asymptomatic Carriers
2003-02
[69]
논문
On the dynamics of acute EBV infection and the pathogenesis of infectious mononucleosis
2008-02-01
[70]
논문
Antiquity of Epstein-Barr virus, Sjögren's syndrome, and Hodgkin's disease--historical concordance and discordance
1999-09-01
[71]
서적
Н. Филатов: Лекции об острых инфекционных болезнях у детей [N. Filatov: Lektsii ob ostrikh infeksionnîkh boleznyakh u dietei]
A. Lang
1887
[72]
간행물
Drüsenfieber
Wien
1889
[73]
Citation
Dorland's Illustrated Medical Dictionary
http://dorlands.com/
Elsevier
2015-06-28
[74]
웹사이트
History
https://achh.army.mi[...]
2024-10-28
[75]
학술지
The history of infectious mononucleosis
1974-03
[76]
간행물
Mononuclear leukocytosis in reaction to acute infection (infectious mononucleosis)
Baltimore
1920
[77]
웹사이트
Historical Timeline {{!}} Yale School of Public Health
https://publichealth[...]
2019-01-04
[78]
학술지
Sir Michael Anthony Epstein (1921–2024)
https://www.science.[...]
2024-04-19
[79]
학술지
Book Review: Epstein–Barr Virus
2006-12-21
[80]
학술지
Relation of Burkitt's tumor-associated herpes-ytpe virus to infectious mononucleosis
1968-01
[81]
뉴스
Alfred S. Evans, 78, Expert On Origins of Mononucleosis
https://www.nytimes.[...]
2019-01-04
[82]
웹사이트
伝染性単核球症
https://www.msdmanua[...]
MSDマニュアル家庭版
2022-01-29
[83]
간행물
小児科 Vol.41 No.5 2000
2000
[84]
간행물
Arch Otolaryngol Head Neck Surg 2007; 133: 61-64
2007
[85]
서적
イヤーノート 2015: 内科・外科編
メディック・メディア
2015
[86]
간행물
日耳鼻 2004; 107: 199-202
2004
[87]
웹인용
Epstein-Barr Virus and Infectious Mononucleosis
http://www.cdc.gov/e[...]
National Center for Infectious Diseases
2009-12-06
[88]
웹인용
Glandular fever
http://cks.nice.org.[...]
cks.nice.org.uk
2013-06-15
[89]
웹인용
Epstein-barr ; Mononucleosis ; About Virus ; Mono
http://www.cdc.gov/e[...]
2020-04-28
[90]
웹인용
Epstein-barr ; Mononucleosis ; About Mono
http://www.cdc.gov/e[...]
2020-04-28
[91]
서적
Blood : principles and practice of hematology
https://www.worldcat[...]
[92]
웹인용
서울대학교병원
http://www.snuh.org/[...]
2020-04-28
[93]
웹인용
감염단핵구증(전염단핵구증, 전염성단핵구증)
https://seoul.hyumc.[...]
2020-04-28
[94]
웹인용
감염성 단핵구증 - 질환백과
http://www.amc.seoul[...]
2020-04-28
[95]
웹인용
전염성 단핵구증 < 세브란스어린이병원
https://sev.iseveran[...]
2020-04-28
본 사이트는 AI가 위키백과와 뉴스 기사,정부 간행물,학술 논문등을 바탕으로 정보를 가공하여 제공하는 백과사전형 서비스입니다.
모든 문서는 AI에 의해 자동 생성되며, CC BY-SA 4.0 라이선스에 따라 이용할 수 있습니다.
하지만, 위키백과나 뉴스 기사 자체에 오류, 부정확한 정보, 또는 가짜 뉴스가 포함될 수 있으며, AI는 이러한 내용을 완벽하게 걸러내지 못할 수 있습니다.
따라서 제공되는 정보에 일부 오류나 편향이 있을 수 있으므로, 중요한 정보는 반드시 다른 출처를 통해 교차 검증하시기 바랍니다.
문의하기 : help@durumis.com